Parkinson Disease Protein 7 (PARK7) Is Related to the Ability of Mammalian Sperm to Undergo In Vitro Capacitation
Abstract
:1. Introduction
2. Results
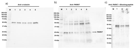
2.1. Classification of Sperm Samples Based on Their Relative PARK7 Content
2.2. Sperm Motility
2.3. Sperm Viability
2.4. Membrane Lipid Disorder
2.5. Acrosome Membrane Integrity
2.6. Intracellular Calcium Levels
2.7. Intracellular ROS Levels
2.8. Mitochondrial Membrane Potential (MMP)
2.9. Localization of PARK7 in Sperm during In Vitro Capacitation and Acrosomal Exocytosis
3. Discussion
4. Materials and Methods
4.1. Semen Samples
4.2. In Vitro Capacitation and Progesterone-Induced Acrosomal Exocytosis
4.3. Sperm Motility
4.4. Flow Cytometry Analyses
4.4.1. Sperm Viability (SYBR-14/PI)
4.4.2. Membrane Lipid Disorder (M540/YO-PRO-1)
4.4.3. Intracellular Levels of Calcium (Fluo3-AM/PI)
4.4.4. Mitochondrial Membrane Potential (JC-1)
4.4.5. Acrosome Membrane Integrity (PNA-FITC/PI)
4.4.6. Intracellular O2− Levels (HE/YO-PRO-1)
4.4.7. Intracellular H2O2 Levels (H2DCFDA/PI)
4.5. Immunoblotting
4.6. Immunofluorescence
4.7. Statistical Analyses
5. Conclusions
Supplementary Materials
Author Contributions
Funding
Institutional Review Board Statement
Informed Consent Statement
Data Availability Statement
Conflicts of Interest
References
- Chang, M.C. Fertilizing Capacity of Spermatozoa deposited into the Fallopian Tubes. Nature 1951, 168, 697–698. [Google Scholar] [CrossRef]
- Austin, C.R. Observations on the Penetration of the Sperm into the Mammalian Egg. Aust. J. Biol. Sci. 1951, 4, 581–596. [Google Scholar] [CrossRef] [Green Version]
- Austin, C.R. The ‘Capacitation’ of the Mammalian Sperm. Nature 1952, 170, 326. [Google Scholar] [CrossRef]
- Harrison, R.A.; Ashworth, P.J.; Miller, N.G. Bicarbonate/CO2, an effector of capacitation, induces a rapid and reversible change in the lipid architecture of boar sperm plasma membranes. Mol. Reprod. Dev. 1996, 45, 378–391. [Google Scholar] [CrossRef]
- van Gestel, R.A.; Brewis, I.A.; Ashton, P.R.; Helms, J.B.; Brouwers, J.F.; Gadella, B.M. Capacitation-dependent concentration of lipid rafts in the apical ridge head area of porcine sperm cells. Mol. Hum. Reprod. 2005, 11, 583–590. [Google Scholar] [CrossRef] [Green Version]
- Tsai, P.-S.; De Vries, K.J.; De Boer-Brouwer, M.; Garcia-Gil, N.; Van Gestel, R.A.; Colenbrander, B.; Gadella, B.M.; Van Haeften, T. Syntaxin and VAMP association with lipid rafts depends on cholesterol depletion in capacitating sperm cells. Mol. Membr. Biol. 2007, 24, 313–324. [Google Scholar] [CrossRef]
- Visconti, P.E.; Krapf, D.; de la Vega-Beltrán, J.L.; Acevedo, J.J.; Darszon, A. Ion channels, phosphorylation and mammalian sperm capacitation. Asian J. Androl. 2011, 13, 395–405. [Google Scholar] [CrossRef] [Green Version]
- Yeste, M.; Fernández-Novell, J.M.; Ramió-Lluch, L.; Estrada, E.; Rocha, L.G.; Cebrián-Pérez, J.A.; Muiño-Blanco, T.; Concha, I.I.; Ramírez, A.; Rodríguez-Gil, J.E. Intracellular calcium movements of boar spermatozoa during “in vitro” capacitation and subsequent acrosome exocytosis follow a multiple-storage place, extracellular calcium-dependent model. Andrology 2015, 3, 729–747. [Google Scholar] [CrossRef] [Green Version]
- Ramió-Lluch, L.; Fernández-Novell, J.M.; Peña, A.; Colás, C.; Cebrián-Pérez, J.A.; Muiño-Blanco, T.; Ramírez, A.; Concha, I.I.; Rigau, T.; Rodríguez-Gil, J.E. “in vitro” capacitation and acrosome reaction are concomitant with specific changes in mitochondrial activity in boar sperm: Evidence for a nucleated mitochondrial activation and for the existence of a capacitation-sensitive subpopulational structure. Reprod. Domest. Anim. 2011, 46, 664–673. [Google Scholar] [CrossRef]
- Betarelli, R.P.; Rocco, M.; Yeste, M.; Fernández-Novell, J.M.; Placci, A.; Azevedo Pereira, B.; Castillo-Martín, M.; Estrada, E.; Peña, A.; Zangeronimo, M.G.; et al. The achievement of boar sperm in vitro capacitation is related to an increase of disrupted disulphide bonds and intracellular reactive oxygen species levels. Andrology 2018, 6, 781–797. [Google Scholar] [CrossRef] [Green Version]
- Tvrdá, E.; Kňažická, Z.; Bárdos, L.; Massányi, P.; Lukáč, N. Impact of oxidative stress on male fertility—A review. Acta Vet. Hung. 2011, 59, 465–484. [Google Scholar] [CrossRef]
- Boerke, A.; Brouwers, J.F.; Olkkonen, V.M.; van de Lest, C.H.A.; Sostaric, E.; Schoevers, E.J.; Helms, J.B.; Gadella, B.M. Involvement of bicarbonate-induced radical signaling in oxysterol formation and sterol depletion of capacitating mammalian sperm during in vitro fertilization. Biol. Reprod. 2013, 88, 21. [Google Scholar] [CrossRef] [Green Version]
- O’Flaherty, C.; de Lamirande, E.; Gagnon, C. Positive role of reactive oxygen species in mammalian sperm capacitation: Triggering and modulation of phosphorylation events. Free Radic. Biol. Med. 2006, 41, 528–540. [Google Scholar] [CrossRef]
- Aitken, R.J. Reactive oxygen species as mediators of sperm capacitation and pathological damage. Mol. Reprod. Dev. 2017, 84, 1039–1052. [Google Scholar] [CrossRef]
- Larsen, K.; Madsen, L.B.; Høj, A.; Bendixen, C. Porcine DJ-1: Cloning of PARK7 cDNA, sequence comparison, expression analysis and chromosomal localization. Cytogenet. Genome Res. 2007, 116, 93–99. [Google Scholar] [CrossRef]
- Wang, Y.; Sun, Y.; Zhao, X.; Yuan, R.; Jiang, H.; Pu, X. Downregulation of DJ-1 Fails to Protect Mitochondrial Complex I Subunit NDUFS3 in the Testes and Contributes to the Asthenozoospermia. Mediators Inflamm. 2018, 2018, 6136075. [Google Scholar] [CrossRef] [Green Version]
- Favareto, A.P.A.; Rodello, L.; Taconeli, C.A.; Bicudo, S.D.; Klinefelter, G.R.; Kempinas, W.G. Identification of the SP22 sperm protein in Santa Inês and Dorper rams. Reprod. Domest. Anim. 2010, 45, 323–330. [Google Scholar] [CrossRef]
- Klinefelter, G.R.; Welch, J.E.; Perreault, S.D.; Moore, H.D.; Zucker, R.M.; Suarez, J.D.; Roberts, N.L.; Bobseine, K.; Jeffay, S. Localization of the sperm protein SP22 and inhibition of fertility in vivo and in vitro. J. Androl. 2002, 23, 48–63. [Google Scholar] [CrossRef]
- An, C.-N.; Jiang, H.; Wang, Q.; Yuan, R.-P.; Liu, J.-M.; Shi, W.-L.; Zhang, Z.-Y.; Pu, X.-P. Down-regulation of DJ-1 protein in the ejaculated spermatozoa from Chinese asthenozoospermia patients. Fertil. Steril. 2011, 96, 19–23. [Google Scholar] [CrossRef]
- Sun, Y.; Zhang, W.-J.; Zhao, X.; Yuan, R.-P.; Jiang, H.; Pu, X.-P. PARK7 protein translocating into spermatozoa mitochondria in Chinese asthenozoospermia. Reproduction 2014, 148, 249–257. [Google Scholar] [CrossRef] [Green Version]
- Sharma, R.; Agarwal, A.; Mohanty, G.; Du Plessis, S.S.; Gopalan, B.; Willard, B.; Yadav, S.P.; Sabanegh, E. Proteomic analysis of seminal fluid from men exhibiting oxidative stress. Reprod. Biol. Endocrinol. 2013, 11, 85. [Google Scholar] [CrossRef] [Green Version]
- Yoshida, K.; Sato, Y.; Yoshiike, M.; Nozawa, S.; Ariga, H.; Iwamoto, T. Immunocytochemical localization of DJ-1 in human male reproductive tissue. Mol. Reprod. Dev. 2003, 66, 391–397. [Google Scholar] [CrossRef]
- Miller, L.; Woodward, E.M.; Campos, J.R.; Squires, E.L.; Troedsson, M. Distribution pattern(s) of sperm protein at 22 kDa (SP22) on fresh, cooled and frozen/thawed equine spermatozoa and expression of SP22 in tissues from the testes and epididymides of normal stallions. Reprod. Domest. Anim. 2015, 50, 275–282. [Google Scholar] [CrossRef]
- Shen, S.; Wang, J.; Liang, J.; He, D. Comparative proteomic study between human normal motility sperm and idiopathic asthenozoospermia. World J. Urol. 2013, 31, 1395–1401. [Google Scholar] [CrossRef]
- Wang, J.; Wang, J.; Zhang, H.-R.; Shi, H.-J.; Ma, D.; Zhao, H.-X.; Lin, B.; Li, R.-S. Proteomic analysis of seminal plasma from asthenozoospermia patients reveals proteins that affect oxidative stress responses and semen quality. Asian J. Androl. 2009, 11, 484–491. [Google Scholar] [CrossRef] [Green Version]
- Heidary, Z.; Zaki-Dizaji, M.; Saliminejad, K.; Edalatkhah, H.; Khorram Khorshid, H.R. MiR-4485-3p expression reduced in spermatozoa of men with idiopathic asthenozoospermia. Andrologia 2020, 52, e13539. [Google Scholar] [CrossRef]
- Hosseinifar, H.; Gourabi, H.; Salekdeh, G.H.; Alikhani, M.; Mirshahvaladi, S.; Sabbaghian, M.; Modarresi, T.; Gilani, M.A.S. Study of sperm protein proy in men with and without varicocele using two-dimensional gel electrophoresis. Urology 2013, 81, 293–300. [Google Scholar] [CrossRef] [PubMed]
- Montjean, D.; De La Grange, P.; Gentien, D.; Rapinat, A.; Belloc, S.; Cohen-Bacrie, P.; Menezo, Y.; Benkhalifa, M. Sperm transcriptome profiling in oligozoospermia. J. Assist. Reprod. Genet. 2012, 29, 3–10. [Google Scholar] [CrossRef] [PubMed] [Green Version]
- Yeste, M. Sperm cryopreservation update: Cryodamage, markers, and factors affecting the sperm freezability in pigs. Theriogenology 2016, 85, 47–64. [Google Scholar] [CrossRef] [PubMed]
- Waberski, D.; Henning, H.; Petrunkina, A.M. Assessment of storage effects in liquid preserved boar semen. Reprod. Domest. Anim. 2011, 46, 45–48. [Google Scholar] [CrossRef]
- Green, C.E.; Watson, P.F. Comparison of the capacitation-like state of cooled boar spermatozoa with true capacitation. Reproduction 2001, 122, 889–898. [Google Scholar] [CrossRef]
- Perez-Patiño, C.; Barranco, I.; Li, J.; Padilla, L.; Martinez, E.A.; Rodriguez-Martinez, H.; Roca, J.; Parrilla, I. Cryopreservation Differentially Alters the Proteome of Epididymal and Ejaculated Pig Spermatozoa. Int. J. Mol. Sci. 2019, 20, 1791. [Google Scholar] [CrossRef] [PubMed] [Green Version]
- Katoh, Y.; Takebayashi, K.; Kikuchi, A.; Iki, A.; Kikuchi, K.; Tamba, M.; Kawashima, A.; Matsuda, M.; Okamura, N. Porcine sperm capacitation involves tyrosine phosphorylation and activation of aldose reductase. Reproduction 2014, 148, 389–401. [Google Scholar] [CrossRef] [PubMed] [Green Version]
- Tardif, S.; Dubé, C.; Chevalier, S.; Bailey, J.L. Capacitation is associated with tyrosine phosphorylation and tyrosine kinase-like activity of pig sperm proteins. Biol. Reprod. 2001, 65, 784–792. [Google Scholar] [CrossRef] [Green Version]
- Rodríguez-Tobón, E.; Fierro, R.; González-Márquez, H.; García-Vázquez, F.A.; Arenas-Ríos, E. Boar sperm incubation with reduced glutathione (GSH) differentially modulates protein tyrosine phosphorylation patterns and reorganization of calcium in sperm, in vitro fertilization, and embryo development depending on concentrations. Res. Vet. Sci. 2021, 135, 386–396. [Google Scholar] [CrossRef] [PubMed]
- Hijioka, M.; Inden, M.; Yanagisawa, D.; Kitamura, Y. DJ-1/PARK7: A New Therapeutic Target for Neurodegenerative Disorders. Biol. Pharm. Bull. 2017, 40, 548–552. [Google Scholar] [CrossRef] [Green Version]
- Choi, Y.-J.; Uhm, S.-J.; Song, S.-J.; Song, H.; Park, J.-K.; Kim, T.; Park, C.; Kim, J.-H. Cytochrome c upregulation during capacitation and spontaneous acrosome reaction determines the fate of pig sperm cells: Linking proteome analysis. J. Reprod. Dev. 2008, 54, 68–83. [Google Scholar] [CrossRef] [Green Version]
- Lechniak, D.; Kedzierski, A.; Stanislawski, D. The use of HOS test to evaluate membrane functionality of boar sperm capacitated in vitro. Reprod. Domest. Anim. 2002, 37, 379–380. [Google Scholar] [CrossRef]
- Harrison, R.A. Capacitation mechanisms, and the role of capacitation as seen in eutherian mammals. Reprod. Fertil. Dev. 1996, 8, 581–594. [Google Scholar] [CrossRef]
- Cerolini, S.; Maldjian, A.; Surai, P.; Noble, R. Viability, susceptibility to peroxidation and fatty acid composition of boar semen during liquid storage. Anim. Reprod. Sci. 2000, 58, 99–111. [Google Scholar] [CrossRef]
- Breitbart, H. Intracellular calcium regulation in sperm capacitation and acrosomal reaction. Mol. Cell. Endocrinol. 2002, 187, 139–144. [Google Scholar] [CrossRef]
- Spinaci, M.; Muccilli, V.; Bucci, D.; Cardullo, N.; Gadani, B.; Tringali, C.; Tamanini, C.; Galeati, G. Biological effects of polyphenol-rich extract and fractions from an oenological oak-derived tannin on in vitro swine sperm capacitation and fertilizing ability. Theriogenology 2018, 108, 284–290. [Google Scholar] [CrossRef] [Green Version]
- Chen, Y.; Wang, K.; Zhang, D.; Zhao, Z.; Huang, J.; Zhou, L.; Feng, M.; Shi, J.; Wei, H.; Li, L.; et al. GPx6 is involved in the in vitro induced capacitation and acrosome reaction in porcine sperm. Theriogenology 2020, 156, 107–115. [Google Scholar] [CrossRef]
- Efrat, M.; Stein, A.; Pinkas, H.; Breitbart, H.; Unger, R.; Birk, R. Paraoxonase 1 (PON1) attenuates sperm hyperactivity and spontaneous acrosome reaction. Andrology 2019, 7, 24–30. [Google Scholar] [CrossRef] [Green Version]
- García Herreros, M.; Aparicio, I.M.; Núñez, I.; García-Marín, L.J.; Gil, M.C.; Peña Vega, F.J. Boar sperm velocity and motility patterns under capacitating and non-capacitating incubation conditions. Theriogenology 2005, 63, 795–805. [Google Scholar] [CrossRef]
- Ramió, L.; Rivera, M.M.; Ramírez, A.; Concha, I.I.; Peña, A.; Rigau, T.; Rodríguez-Gil, J.E. Dynamics of motile-sperm subpopulation structure in boar ejaculates subjected to “in vitro” capacitation and further “in vitro” acrosome reaction. Theriogenology 2008, 69, 501–512. [Google Scholar] [CrossRef]
- Jiménez, I.; González-Márquez, H.; Ortiz, R.; Herrera, J.A.; Garcií, A.; Betancourt, M.; Fierro, R. Changes in the distribution of lectin receptors during capacitation and acrosome reaction in boar spermatozoa. Theriogenology 2003, 59, 1171–1180. [Google Scholar] [CrossRef]
- Verstegen, J.; Iguer-Ouada, M.; Onclin, K. Computer assisted semen analyzers in andrology research and veterinary practice. Theriogenology 2002, 57, 149–179. [Google Scholar] [CrossRef]
- Garner, D.L.; Johnson, L.A. Viability assessment of mammalian sperm using SYBR-14 and propidium iodide. Biol. Reprod. 1995, 53, 276–284. [Google Scholar] [CrossRef] [PubMed]
- Rathi, R.; Colenbrander, B.; Bevers, M.M.; Gadella, B.M. Evaluation of in vitro capacitation of stallion spermatozoa. Biol. Reprod. 2001, 65, 462–470. [Google Scholar] [CrossRef] [PubMed] [Green Version]
- Yeste, M.; Estrada, E.; Rivera Del Álamo, M.-M.; Bonet, S.; Rigau, T.; Rodríguez-Gil, J.-E. The increase in phosphorylation levels of serine residues of protein HSP70 during holding time at 17 °C is concomitant with a higher cryotolerance of boar spermatozoa. PLoS ONE 2014, 9, e90887. [Google Scholar] [CrossRef] [Green Version]
- Steckler, D.; Stout, T.A.E.; Durandt, C.; Nöthling, J.O. Validation of merocyanine 540 staining as a technique for assessing capacitation-related membrane destabilization of fresh dog sperm. Theriogenology 2015, 83, 1451–1460. [Google Scholar] [CrossRef] [Green Version]
- Harrison, R.A.; Mairet, B.; Miller, N.G. Flow cytometric studies of bicarbonate-mediated Ca2+ influx in boar sperm populations. Mol. Reprod. Dev. 1993, 35, 197–208. [Google Scholar] [CrossRef] [PubMed]
- Ortega-Ferrusola, C.; Sotillo-Galán, Y.; Varela-Fernández, E.; Gallardo-Bolaños, J.M.; Muriel, A.; González-Fernández, L.; Tapia, J.A.; Peña, F.J. Detection of “apoptosis-like” changes during the cryopreservation process in equine sperm. J. Androl. 2008, 29, 213–221. [Google Scholar] [CrossRef] [PubMed]
- Nagy, S.; Jansen, J.; Topper, E.K.; Gadella, B.M. A triple-stain flow cytometric method to assess plasma- and acrosome-membrane integrity of cryopreserved bovine sperm immediately after thawing in presence of egg-yolk particles. Biol. Reprod. 2003, 68, 1828–1835. [Google Scholar] [CrossRef]
- Mortimer, D.; Curtis, E.F.; Miller, R.G. Specific labelling by peanut agglutinin of the outer acrosomal membrane of the human spermatozoon. J. Reprod. Fertil. 1987, 81, 127–135. [Google Scholar] [CrossRef] [PubMed]
- Guthrie, H.D.; Welch, G.R. Determination of intracellular reactive oxygen species and high mitochondrial membrane potential in Percoll-treated viable boar sperm using fluorescence-activated flow cytometry. J. Anim. Sci. 2006, 84, 2089–2100. [Google Scholar] [CrossRef] [Green Version]
- Kashir, J.; Buntwal, L.; Nomikos, M.; Calver, B.L.; Stamatiadis, P.; Ashley, P.; Vassilakopoulou, V.; Sanders, D.; Knaggs, P.; Livaniou, E.; et al. Antigen unmasking enhances visualization efficacy of the oocyte activation factor, phospholipase C zeta, in mammalian sperm. Mol. Hum. Reprod. 2017, 23, 54–67. [Google Scholar] [CrossRef] [Green Version]








| Incubation Time | ||||||
|---|---|---|---|---|---|---|
| 0 min | 120 min | 240 min | 250 min | 300 min | ||
| VCL (μm/s) | Low PARK7 | 119.52 ± 15.09 | 76.15 ± 14.81 | 67.58 ± 4.59 | 65.99 ± 6.50 | 60.98 ± 11.27 |
| High PARK7 | 85.24 ± 35.07 | 77.30 ± 16.43 | 78.79 ± 8.14 | 84.73 ± 9.96 | 77.69 ± 7.49 | |
| VSL (μm/s) | Low PARK7 | 81.33 ± 16.15 | 42.75 ± 13.69 | 34.58 ± 14.31 | 31.09 ± 7.95 | 27.65 ± 11.34 |
| High PARK7 | 55.55 ± 30.51 | 43.37 ± 12.79 | 50.34 ± 6.14 | 55.83 ± 14.50 | 45.56 ± 13.55 | |
| VAP (μm/s) | Low PARK7 | 95.54 ± 16.06 | 55.03 ± 13.70 | 44.99 ± 12.07 | 42.59 ± 8.39 | 38.37 ± 12.66 |
| High PARK7 | 63.62 ± 34.78 | 51.67 ± 15.08 | 58.14 ± 7.50 | 63.39 ± 14.17 | 53.76 ± 12.33 | |
| LIN (%) | Low PARK7 | 67.53 ± 6.21 | 54.76 ± 8.91 | 50.30 ± 18.59 | 46.81 ± 8.89 | 43.36 ± 14.15 |
| High PARK7 | 62.81 ± 8.27 | 55.74 ± 10.33 | 63.97 ± 6.18 | 65.13 ± 9.19 | 57.77 ± 11.60 | |
| STR (%) | Low PARK7 | 84.69 ± 2.90 a | 75.97 ± 7.09 a | 74.23 ± 13.42 a | 71.41 ± 6.16 a | 68.56 ± 11.46 a |
| High PARK7 | 87.03 ± 0.46 a | 83.82 ± 3.70 a | 86.67 ± 3.80 a | 87.55 ± 3.87 b | 83.75 ± 6.63 a | |
| WOB (%) | Low PARK7 | 79.57 ± 4.84 | 71.49 ± 5.46 | 65.94 ± 14.16 | 64.34 ± 8.50 | 61.53 ± 11.69 |
| High PARK7 | 72.09 ± 9.24 | 66.26 ± 9.86 | 73.72 ± 4.80 | 74.15 ± 7.61 | 68.51 ± 8. 90 | |
| ALH (μm) | Low PARK7 | 3.71 ± 0.27 a | 2.57 ± 0.40 a | 2.23 ± 0.18 a | 2.52 ± 0.24 a | 2.23 ± 0.65 a |
| High PARK7 | 2.90 ± 0.61 a | 2.87 ± 0.42 a | 2.68 ± 0.14 b | 2.82 ± 0.03 a | 2.78 ± 0.06 a | |
| BCF (Hz) | Low PARK7 | 9.94 ± 0.52 | 8.08 ± 1.71 | 6.89 ± 2.16 | 6.53 ± 1.77 | 6.50 ± 2.03 |
| High PARK7 | 10.59 ± 0.44 | 9.88 ± 1.07 | 9.88 ± 0.70 | 9.65 ± 1.47 | 9.67 ± 1.21 | |
Publisher’s Note: MDPI stays neutral with regard to jurisdictional claims in published maps and institutional affiliations. |
© 2021 by the authors. Licensee MDPI, Basel, Switzerland. This article is an open access article distributed under the terms and conditions of the Creative Commons Attribution (CC BY) license (https://creativecommons.org/licenses/by/4.0/).
Share and Cite
Recuero, S.; Delgado-Bermúdez, A.; Mateo-Otero, Y.; Garcia-Bonavila, E.; Llavanera, M.; Yeste, M. Parkinson Disease Protein 7 (PARK7) Is Related to the Ability of Mammalian Sperm to Undergo In Vitro Capacitation. Int. J. Mol. Sci. 2021, 22, 10804. https://doi.org/10.3390/ijms221910804
Recuero S, Delgado-Bermúdez A, Mateo-Otero Y, Garcia-Bonavila E, Llavanera M, Yeste M. Parkinson Disease Protein 7 (PARK7) Is Related to the Ability of Mammalian Sperm to Undergo In Vitro Capacitation. International Journal of Molecular Sciences. 2021; 22(19):10804. https://doi.org/10.3390/ijms221910804
Chicago/Turabian StyleRecuero, Sandra, Ariadna Delgado-Bermúdez, Yentel Mateo-Otero, Estela Garcia-Bonavila, Marc Llavanera, and Marc Yeste. 2021. "Parkinson Disease Protein 7 (PARK7) Is Related to the Ability of Mammalian Sperm to Undergo In Vitro Capacitation" International Journal of Molecular Sciences 22, no. 19: 10804. https://doi.org/10.3390/ijms221910804
APA StyleRecuero, S., Delgado-Bermúdez, A., Mateo-Otero, Y., Garcia-Bonavila, E., Llavanera, M., & Yeste, M. (2021). Parkinson Disease Protein 7 (PARK7) Is Related to the Ability of Mammalian Sperm to Undergo In Vitro Capacitation. International Journal of Molecular Sciences, 22(19), 10804. https://doi.org/10.3390/ijms221910804

