Compensatory Protection of Thioredoxin-Deficient Cells from Etoposide-Induced Cell Death by Selenoprotein W via Interaction with 14-3-3
Abstract
:1. Introduction
2. Results
2.1. Cys32 in the CXXC Motif of Trx1 is Required for Interaction with 14-3-3β
2.2. The Cys191 Residue of 14-3-3β Is Identified as the Binding Site of SELENOW and Trx1
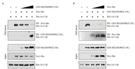
2.3. Interaction of 14-3-3β with Trx1 Is Regulated by SELENOW and Vice Versa
2.4. Deficiency of Trx1 and SELENOW Increases the Sensitivity of Cells to Etoposide-Induced Cell Death
2.5. Decreased Akt Phosphorylation by Downregulation of Trx1 is Restored by SELENOW Overexpression
3. Discussion
4. Materials and Methods
4.1. Cell Culture, Transfection, and Reagents
4.2. RNA Interference and Plasmids
4.3. Western Blot Assay
4.4. Immunoprecipitation
4.5. Protein Purification
4.6. Pull-Down Assay
4.7. Flow Cytometry
Author Contributions
Funding
Institutional Review Board Statement
Informed Consent Statement
Data Availability Statement
Acknowledgments
Conflicts of Interest
References
- Lu, J.; Holmgren, A. Thioredoxin System in Cell Death Progression. Antioxid. Redox Signal 2012, 17, 1738–1747. [Google Scholar] [CrossRef]
- Lee, S.; Kim, S.M.; Lee, R.T. Thioredoxin and Thioredoxin Target Proteins: From Molecular Mechanisms to Functional Significance. Antioxid. Redox Signal 2013, 18, 1165–1207. [Google Scholar] [CrossRef] [Green Version]
- Meuillet, E.J.; Mahadevan, D.; Berggren, M.; Coon, A.; Powis, G. Thioredoxin-1 binds to the C2 domain of PTEN inhibiting PTEN’s lipid phosphatase activity and membrane binding: A mechanism for the functional loss of PTEN’s tumor suppressor activity. Arch. Biochem. Biophys. 2004, 429, 123–133. [Google Scholar] [CrossRef]
- Saitoh, M.; Nishitoh, H.; Fujii, M.; Takeda, K.; Tobiume, K.; Sawada, Y.; Kawabata, M.; Miyazono, K.; Ichijo, H. Mammalian thioredoxin is a direct inhibitor of apoptosis signal-regulating kinase (ASK). EMBO J. 1998, 17, 2596–2606. [Google Scholar] [CrossRef] [PubMed] [Green Version]
- Karlenius, T.C.; Tonissen, K.F. Thioredoxin and Cancer: A Role for Thioredoxin in all States of Tumor Oxygenation. Cancers 2010, 2, 209–232. [Google Scholar] [CrossRef] [Green Version]
- Bhatia, M.; McGrath, K.L.; Di Trapani, G.; Charoentong, P.; Shah, F.; King, M.M.; Clarke, F.M.; Tonissen, K. The thioredoxin system in breast cancer cell invasion and migration. Redox Biol. 2015, 8, 68–78. [Google Scholar] [CrossRef] [PubMed]
- Berggren, M.; Gallegos, A.; Gasdaska, J.R.; Gasdaska, P.Y.; Warneke, J.; Powis, G. Thioredoxin and thioredoxin reductase gene expression in human tumors and cell lines, and the effects of serum stimulation and hypoxia. Anticancer Res. 1996, 16, 3459–3466. [Google Scholar] [PubMed]
- Chiueh, C.C.; Andoh, T.; Chock, P.B. Induction of Thioredoxin and Mitochondrial Survival Proteins Mediates Preconditioning-Induced Cardioprotection and Neuroprotection. Ann. N. Y. Acad. Sci. 2005, 1042, 403–418. [Google Scholar] [CrossRef]
- Damdimopoulos, A.E.; Miranda-Vizuete, A.; Pelto-Huikko, M.; Gustafsson, J.; Spyrou, G. Human Mitochondrial Thioredoxin. J. Biol. Chem. 2002, 277, 33249–33257. [Google Scholar] [CrossRef] [Green Version]
- Kahlos, K.; Soini, Y.; Säily, M.; Koistinen, P.; Kakko, S.; Pääkkö, P.; Holmgren, A.; Kinnula, V.L. Up-regulation of thioredoxin and thioredoxin reductase in human malignant pleural mesothelioma. Int. J. Cancer 2001, 95, 198–204. [Google Scholar] [CrossRef]
- Mitsui, A.; Hamuro, J.; Nakamura, H.; Kondo, N.; Hirabayashi, Y.; Ishizaki-Koizumi, S.; Hirakawa, T.; Inoue, T.; Yodoi, J. Overexpression of Human Thioredoxin in Transgenic Mice Controls Oxidative Stress and Life Span. Antioxid. Redox Signal 2002, 4, 693–696. [Google Scholar] [CrossRef] [PubMed]
- Zuo, Z.; Zhang, P.; Lin, F.; Shang, W.; Bi, R.; Lu, F.; Wu, J.; Jiang, L. Interplay between Trx-1 and S100P promotes colorectal cancer cell epithelial–mesenchymal transition by up-regulating S100A4 through AKT activation. J. Cell. Mol. Med. 2018, 22, 2430–2441. [Google Scholar] [CrossRef] [PubMed] [Green Version]
- D’annunzio, V.; Perez, V.; Mazo, T.; Muñoz, M.C.; Dominici, F.; Carreras, M.C.; Poderoso, J.J.; Sadoshima, J.; Gelpi, R.J. Loss of myocardial protection against myocardial infarction in middle-aged transgenic mice overexpressing cardiac thioredoxin-1. Oncotarget 2016, 7, 11889–11898. [Google Scholar] [CrossRef] [PubMed]
- González, R.; López-Grueso, M.J.; Muntané, J.; Bárcena, J.A.; Padilla, C.A. Redox regulation of metabolic and signaling pathways by thioredoxin and glutaredoxin in NOS-3 overexpressing hepatoblastoma cells. Redox Biol. 2015, 6, 122–134. [Google Scholar] [CrossRef] [Green Version]
- Yang, H.; Wen, Y.-Y.; Zhao, R.; Lin, Y.-L.; Fournier, K.; Yang, H.-Y.; Qiu, Y.; Diaz, J.; Laronga, C.; Lee, M.-H. DNA Damage–Induced Protein 14-3-3 σ Inhibits Protein Kinase B/Akt Activation and Suppresses Akt-Activated Cancer. Cancer Res. 2006, 66, 3096–3105. [Google Scholar] [CrossRef] [Green Version]
- Dibble, C.C.; Asara, J.M.; Manning, B.D. Characterization of Rictor Phosphorylation Sites Reveals Direct Regulation of mTOR Complex 2 by S6K1. Mol. Cell. Biol. 2009, 29, 5657–5670. [Google Scholar] [CrossRef] [Green Version]
- Jeon, Y.H.; Park, Y.H.; Kwon, J.H.; Lee, J.H.; Kim, I.Y. Inhibition of 14-3-3 binding to Rictor of mTORC2 for Akt phosphorylation at Ser473 is regulated by selenoprotein W. Biochim. Biophys. Acta (BBA) 2013, 1833, 2135–2142. [Google Scholar] [CrossRef] [Green Version]
- Papp, L.V.; Lu, J.; Holmgren, A.; Khanna, K.K. From Selenium to Selenoproteins: Synthesis, Identity, and Their Role in Human Health. Antioxid. Redox Signal 2007, 9, 775–806. [Google Scholar] [CrossRef]
- Liu, J.; Chen, Q.; Rozovsky, S. Utilizing Selenocysteine for Expressed Protein Ligation and Bioconjugations. J. Am. Chem. Soc. 2017, 139, 3430–3437. [Google Scholar] [CrossRef] [Green Version]
- Dery, L.; Reddy, P.S.; Dery, S.; Mousa, R.; Ktorza, O.; Talhami, A.; Metanis, N. Accessing human selenoproteins through chemical protein synthesis. Chem. Sci. 2016, 8, 1922–1926. [Google Scholar] [CrossRef] [Green Version]
- Jeong, D.-W.; Kim, E.H.; Kim, T.S.; Chung, Y.W.; Kim, H.; Kim, I.Y. Different distributions of selenoprotein W and thioredoxin during postnatal brain development and embryogenesis. Mol. Cells 2004, 17, 156–159. [Google Scholar] [PubMed]
- Noh, O.J.; Park, Y.H.; Chung, Y.W.; Kim, I.Y. Transcriptional Regulation of Selenoprotein W by MyoD during Early Skeletal Muscle Differentiation. J. Biol. Chem. 2010, 285, 40496–40507. [Google Scholar] [CrossRef] [PubMed] [Green Version]
- Beilstein, M.; Vendeland, S.; Barofsky, E.; Jensen, O.; Whanger, P. Selenoprotein W of rat muscle binds glutathione and an unknown small molecular weight moiety. J. Inorg. Biochem. 1996, 61, 117–124. [Google Scholar] [CrossRef]
- Gu, Q.-P.; Beilstein, M.A.; Barofsky, E.; Ream, W.; Whanger, P.D. Purification, Characterization, and Glutathione Binding to Selenoprotein W From Monkey Muscle. Arch. Biochem. Biophys. 1999, 361, 25–33. [Google Scholar] [CrossRef]
- Jeong, D.W.; Kim, T.S.; Chung, Y.W.; Lee, B.J.; Kim, I.Y. Selenoprotein W is a glutathione-dependent antioxidant in vivo. FEBS Lett. 2002, 517, 225–228. [Google Scholar] [CrossRef] [Green Version]
- Kim, Y.-J.; Chai, Y.-G.; Ryu, J.-C. Selenoprotein W as molecular target of methylmercury in human neuronal cells is down-regulated by GSH depletion. Biochem. Biophys. Res. Commun. 2005, 330, 1095–1102. [Google Scholar] [CrossRef]
- Ko, K.Y.; Lee, J.H.; Jang, J.K.; Jin, Y.; Kang, H.; Kim, I.Y. S-Glutathionylation of mouse selenoprotein W prevents oxidative stress-induced cell death by blocking the formation of an intramolecular disulfide bond. Free. Radic. Biol. Med. 2019, 141, 362–371. [Google Scholar] [CrossRef]
- Park, Y.H.; Jeon, Y.H.; Kim, I.Y. Selenoprotein W promotes cell cycle recovery from G2 arrest through the activation of CDC25B. Biochim. Biophys. Acta (BBA) 2012, 1823, 2217–2226. [Google Scholar] [CrossRef] [Green Version]
- Pommier, Y.; Leo, E.; Zhang, H.; Marchand, C. DNA Topoisomerases and Their Poisoning by Anticancer and Antibacterial Drugs. Chem. Biol. 2010, 17, 421–433. [Google Scholar] [CrossRef] [Green Version]
- Jeon, Y.H.; Ko, K.Y.; Lee, J.H.; Park, K.J.; Jang, J.K.; Kim, I.Y. Identification of a redox-modulatory interaction between selenoprotein W and 14-3-3 protein. Biochim. Biophys. Acta (BBA) 2016, 1863, 10–18. [Google Scholar] [CrossRef] [PubMed] [Green Version]
- Pennington, K.L.; Chan, T.Y.; Torres, M.; Andersen, J.L. The dynamic and stress-adaptive signaling hub of 14-3-3: Emerging mechanisms of regulation and context-dependent protein–protein interactions. Oncogene 2018, 37, 5587–5604. [Google Scholar] [CrossRef] [PubMed] [Green Version]
- Morrison, D. 14-3-3: Modulators of signaling proteins? Science 1994, 266, 56–57. [Google Scholar] [CrossRef] [Green Version]
- Lin, H.-K.; Wang, G.; Chen, Z.; Teruya-Feldstein, J.; Liu, Y.; Chan, C.-H.; Yang, W.-L.; Erdjument-Bromage, H.; Nakayama, K.I.; Nimer, S.; et al. Phosphorylation-dependent regulation of cytosolic localization and oncogenic function of Skp2 by Akt/PKB. Nature 2009, 11, 420–432. [Google Scholar] [CrossRef] [Green Version]
- Yamagata, K.; Daitoku, H.; Takahashi, Y.; Namiki, K.; Hisatake, K.; Kako, K.; Mukai, H.; Kasuya, Y.; Fukamizu, A. Arginine Methylation of FOXO Transcription Factors Inhibits Their Phosphorylation by Akt. Mol. Cell 2008, 32, 221–231. [Google Scholar] [CrossRef]
- Schlegelmilch, K.; Mohseni, M.; Kirak, O.; Pruszak, J.; Rodriguez, J.R.; Zhou, D.; Kreger, B.T.; Vasioukhin, V.; Avruch, J.; Brummelkamp, T.R.; et al. Yap1 Acts Downstream of α-Catenin to Control Epidermal Proliferation. Cell 2011, 144, 782–795. [Google Scholar] [CrossRef] [Green Version]
- Neal, C.L.; Yu, D. 14-3-3ζ as a prognostic marker and therapeutic target for cancer. Expert Opin. Ther. Targets 2010, 14, 1343–1354. [Google Scholar] [CrossRef] [Green Version]
- Yaffe, M.B.; Rittinger, K.; Volinia, S.; Caron, P.R.; Aitken, A.; Leffers, H.; Gamblin, S.; Smerdon, S.; Cantley, L. The Structural Basis for 14-3-3: Phosphopeptide Binding Specificity. Cell 1997, 91, 961–971. [Google Scholar] [CrossRef] [Green Version]
- Würtele, M.; Jelich-Ottmann, C.; Wittinghofer, A.; Oecking, C. Structural view of a fungal toxin acting on a 14-3-3 regulatory complex. EMBO J. 2003, 22, 987–994. [Google Scholar] [CrossRef] [PubMed] [Green Version]
- Muslin, A.J.; Tanner, J.; Allen, P.M.; Shaw, A.S. Interaction of 14-3-3 with Signaling Proteins Is Mediated by the Recognition of Phosphoserine. Cell 1996, 84, 889–897. [Google Scholar] [CrossRef] [Green Version]
- Seimiya, H.; Sawada, H.; Muramatsu, Y.; Shimizu, M.; Ohko, K.; Yamane, K.; Tsuruo, T. Involvement of 14-3-3 proteins in nuclear localization of telomerase. EMBO J. 2000, 19, 2652–2661. [Google Scholar] [CrossRef] [PubMed] [Green Version]
- Patel, A.; Cummings, N.; Batchelor, M.; Hill, P.J.; Dubois, T.; Mellits, K.H.; Frankel, G.; Connerton, I. Host protein interactions with enteropathogenic Escherichia coli (EPEC): 14-3-3tau binds Tir and has a role in EPEC-induced actin polymerization. Cell. Microbiol. 2006, 8, 55–71. [Google Scholar] [CrossRef]
- Sumioka, A.; Nagaishi, S.; Yoshida, T.; Lin, A.; Miura, M.; Suzuki, T. Role of 14-3-3γ in FE65-dependent Gene Transactivation Mediated by the Amyloid β-Protein Precursor Cytoplasmic Fragment. J. Biol. Chem. 2005, 280, 42364–42374. [Google Scholar] [CrossRef] [Green Version]
- Yasmin, L.; Jansson, A.L.; Panahandeh, T.; Palmer, R.H.; Francis, M.S.; Hallberg, B. Delineation of exoenzyme S residues that mediate the interaction with 14-3-3 and its biological activity. FEBS J. 2006, 273, 638–646. [Google Scholar] [CrossRef] [PubMed]
- Jiang, J.; Balcerek, J.; Rozenova, K.; Cheng, Y.; Bersenev, A.; Wu, C.; Song, Y.; Tong, W. 14-3-3 regulates the LNK/JAK2 pathway in mouse hematopoietic stem and progenitor cells. J. Clin. Investig. 2012, 122, 2079–2091. [Google Scholar] [CrossRef] [PubMed]
- Floen, M.J.; Forred, B.; Bloom, E.J.; Vitiello, P. Thioredoxin-1 redox signaling regulates cell survival in response to hyperoxia. Free. Radic. Biol. Med. 2014, 75, 167–177. [Google Scholar] [CrossRef] [PubMed] [Green Version]
- Nakao, L.; Everley, R.A.; Marino, S.M.; Lo, S.M.; de Souza, L.E.R.; Gygi, S.P.; Gladyshev, V.N. Mechanism-based Proteomic Screening Identifies Targets of Thioredoxin-like Proteins. J. Biol. Chem. 2015, 290, 5685–5695. [Google Scholar] [CrossRef] [Green Version]
- Musiani, F.; Ciurli, S.; Dikiy, A. Interaction of Selenoprotein W with 14-3-3 Proteins: A Computational Approach. J. Proteome Res. 2011, 10, 968–976. [Google Scholar] [CrossRef]
- Mochizuki, M.; Kwon, Y.-W.; Yodoi, J.; Masutani, H. Thioredoxin Regulates Cell Cycleviathe ERK1/2-Cyclin D1 Pathway. Antioxid. Redox Signal 2009, 11, 2957–2971. [Google Scholar] [CrossRef]
- Choudhury, G.G. Akt Serine Threonine Kinase Regulates Platelet-derived Growth Factor-induced DNA Synthesis in Glomerular Mesangial Cells. J. Biol. Chem. 2001, 276, 35636–35643. [Google Scholar] [CrossRef] [Green Version]
- Manning, B.D.; Toker, A. AKT/PKB Signaling: Navigating the Network. Cell 2017, 169, 381–405. [Google Scholar] [CrossRef] [Green Version]
- Lu, T.; Zong, M.; Fan, S.; Lu, Y.; Yu, S.; Fan, L. Thioredoxin 1 is associated with the proliferation and apoptosis of rheumatoid arthritis fibroblast-like synoviocytes. Clin. Rheumatol. 2017, 37, 117–125. [Google Scholar] [CrossRef] [Green Version]
- Fu, H.; Subramanian, R.; Masters, S.C. 14-3-3 Proteins: Structure, Function, and Regulation. Annu. Rev. Pharmacol. Toxicol. 2000, 40, 617–647. [Google Scholar] [CrossRef] [PubMed]
- Satoh, J.-I.; Nanri, Y.; Yamamura, T. Rapid identification of 14-3-3-binding proteins by protein microarray analysis. J. Neurosci. Methods 2006, 152, 278–288. [Google Scholar] [CrossRef] [PubMed]
- Bozulic, L.; Surucu, B.; Hynx, D.; Hemmings, B.A. PKBα/Akt1 Acts Downstream of DNA-PK in the DNA Double-Strand Break Response and Promotes Survival. Mol. Cell 2008, 30, 203–213. [Google Scholar] [CrossRef] [PubMed]
- Song, G.; Ouyang, G.; Bao, S. The activation of Akt/PKB signaling pathway and cell survival. J. Cell. Mol. Med. 2005, 9, 59–71. [Google Scholar] [CrossRef]
- Jeon, Y.H.; Park, Y.H.; Lee, J.H.; Hong, J.-H.; Kim, I.Y. Selenoprotein W enhances skeletal muscle differentiation by inhibiting TAZ binding to 14-3-3 protein. Biochim. Biophys. Acta (BBA) 2014, 1843, 1356–1364. [Google Scholar] [CrossRef] [Green Version]
- Arnér, E.S.; Holmgren, A. The thioredoxin system in cancer. Semin. Cancer Biol. 2006, 16, 420–426. [Google Scholar] [CrossRef]
- Holmgren, A. Thioredoxin. Annu. Rev. Biochem. 1985, 54, 237–271. [Google Scholar] [CrossRef]
- Arnér, E.; Holmgren, A. Physiological functions of thioredoxin and thioredoxin reductase. JBIC J. Biol. Inorg. Chem. 2000, 267, 6102–6109. [Google Scholar] [CrossRef]
- Gromer, S.; Urig, S.; Becker, K. The thioredoxin system? From science to clinic. Med. Res. Rev. 2003, 24, 40–89. [Google Scholar] [CrossRef]
- Sohn, J.; Rudolph, J. Catalytic and Chemical Competence of Regulation of Cdc25 Phosphatase by Oxidation/Reduction. Biochemistry 2003, 42, 10060–10070. [Google Scholar] [CrossRef] [PubMed]
- Rollins, M.F.; van der Heide, D.M.; Weisend, C.M.; Kundert, J.A.; Comstock, K.M.; Suvorova, E.S.; Capecchi, M.R.; Merrill, G.F.; Schmidt, E.E. Hepatocytes lacking thioredoxin reductase 1 have normal replicative potential during development and regeneration. J. Cell Sci. 2010, 123, 2402–2412. [Google Scholar] [CrossRef] [PubMed] [Green Version]
- Watson, W.H.; Pohl, J.; Montfort, W.R.; Stuchlik, O.; Reed, M.S.; Powis, G.; Jones, D.P. Redox Potential of Human Thioredoxin 1 and Identification of a Second Dithiol/Disulfide Motif. J. Biol. Chem. 2003, 278, 33408–33415. [Google Scholar] [CrossRef] [PubMed] [Green Version]





Publisher’s Note: MDPI stays neutral with regard to jurisdictional claims in published maps and institutional affiliations. |
© 2021 by the authors. Licensee MDPI, Basel, Switzerland. This article is an open access article distributed under the terms and conditions of the Creative Commons Attribution (CC BY) license (https://creativecommons.org/licenses/by/4.0/).
Share and Cite
Kang, H.; Jeon, Y.H.; Ham, M.; Ko, K.; Kim, I.Y. Compensatory Protection of Thioredoxin-Deficient Cells from Etoposide-Induced Cell Death by Selenoprotein W via Interaction with 14-3-3. Int. J. Mol. Sci. 2021, 22, 10338. https://doi.org/10.3390/ijms221910338
Kang H, Jeon YH, Ham M, Ko K, Kim IY. Compensatory Protection of Thioredoxin-Deficient Cells from Etoposide-Induced Cell Death by Selenoprotein W via Interaction with 14-3-3. International Journal of Molecular Sciences. 2021; 22(19):10338. https://doi.org/10.3390/ijms221910338
Chicago/Turabian StyleKang, Hyunwoo, Yeong Ha Jeon, Minju Ham, Kwanyoung Ko, and Ick Young Kim. 2021. "Compensatory Protection of Thioredoxin-Deficient Cells from Etoposide-Induced Cell Death by Selenoprotein W via Interaction with 14-3-3" International Journal of Molecular Sciences 22, no. 19: 10338. https://doi.org/10.3390/ijms221910338
APA StyleKang, H., Jeon, Y. H., Ham, M., Ko, K., & Kim, I. Y. (2021). Compensatory Protection of Thioredoxin-Deficient Cells from Etoposide-Induced Cell Death by Selenoprotein W via Interaction with 14-3-3. International Journal of Molecular Sciences, 22(19), 10338. https://doi.org/10.3390/ijms221910338
