Programmed Cell Death in Developing Brachypodium distachyon Grain
Abstract
1. Introduction
2. Results
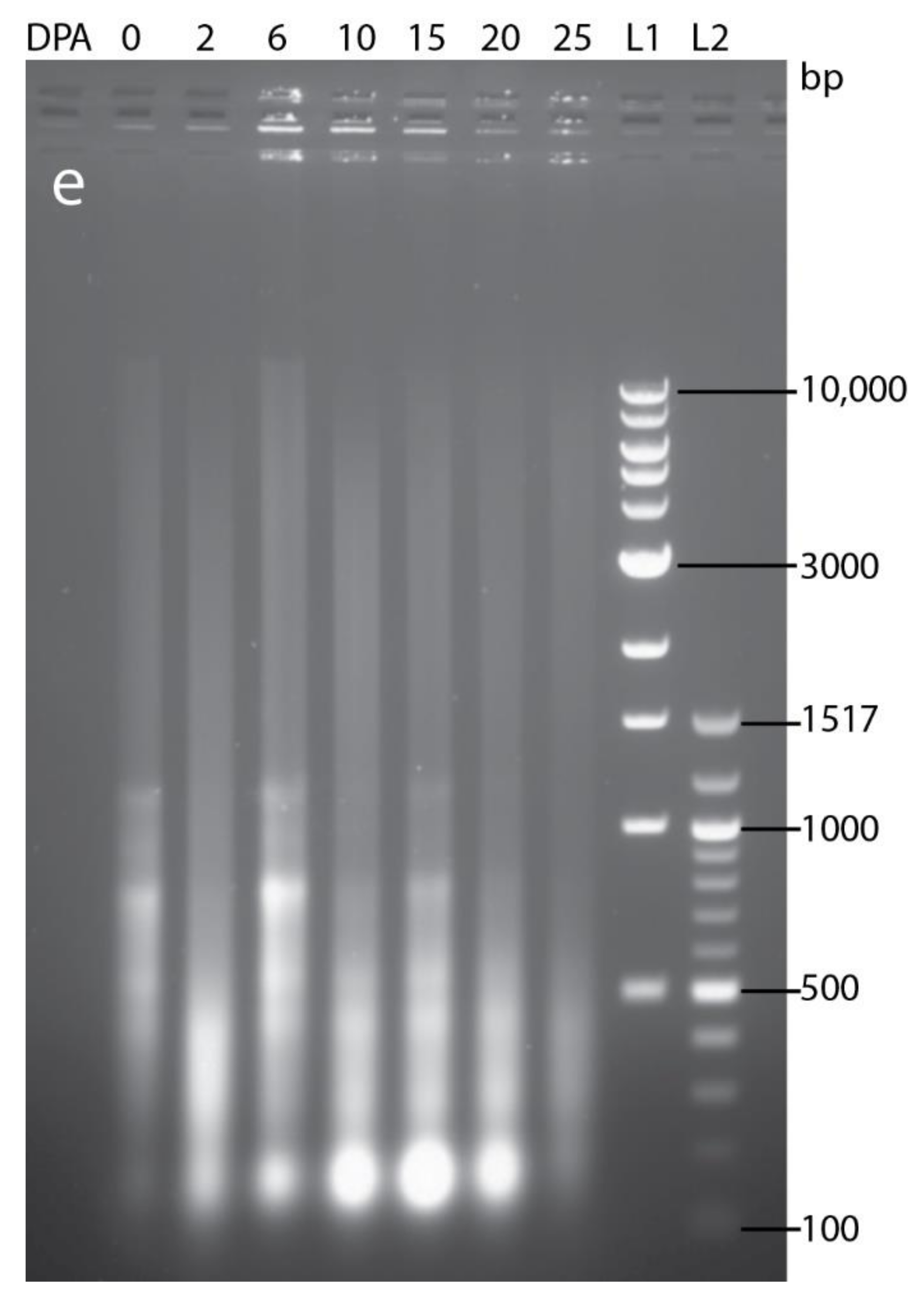
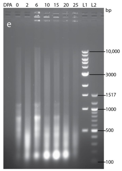
2.1. TUNEL and Vital Staining Reveal Pattern and Progression of PCD in Developing Brachypodium Grain
2.2. Potential Involvement of MADS29 in Brachypodium PCD
2.3. Brachypodium Lacks Expansion of VPEs Found in Triticeae
2.4. Expression Analysis Identifies Putative Grain Specific Proteases
3. Discussion
4. Materials and Methods
4.1. Plant Materials
4.2. TUNEL Staining
4.3. DNA Isolation and Electrophoresis
4.4. Evans Blue Staining
4.5. Thin Section and Light Microscopy
4.6. Source and Phylogenetic Analysis of Selected Protease Family Genes
4.7. RNA-Seq Data Source, Processing and Expression Analysis of Protease Genes
4.8. mRNA In Situ Hybridization
4.9. Real-Time Quantitative PCR
5. Conclusions
Author Contributions
Funding
Institutional Review Board Statement
Informed Consent Statement
Data Availability Statement
Acknowledgments
Conflicts of Interest
Appendix A. Figures





Appendix B. Tables
| Brachypodium distachyon | Hordeum vulgare | Arabidopsis thaliana | Oryza sativa | Triticum aestivum | |||
|---|---|---|---|---|---|---|---|
| families | Uniprot ID | Panther ID | |||||
| A1 pepsin | IPR001461 | PTHR13683 | 93 | 128 | 69 | 102 | 450 |
| C1 papain | IPR000668 | PTHR12411 | 48 | 65 | 39 | 34 | 185 |
| C13 nucellain | IPR001096 | PTHR12000 | 5 | 8 | 5 | 6 | 36 |
| C14 metacaspase | PTHR31773 | PTHR31810 | 10 | 10 | 9 | 10 | 35 |
| Gene Name | Gene ID | Polarity | Amplicon Size (bp) | Primer Sequences (5′ to 3′) | Start-End |
|---|---|---|---|---|---|
| BdACT7 | Bradi_4g41850v3 | Forward | 101 bp | GTGACCTAACTGACTGCTTGAT | (705–726) |
| Reverse | GAGCTTCTCCTTGATATCCCTTAC | (782–805) | |||
| BdA1 pepsin | BRADI_1g42930v3 | Forward | 117 bp | GGCACGTCAACAAACTTCCT | (1494–1413) |
| Reverse | CGGTTCACCATCATTTACCC | (1591–1610) | |||
| BdC1 papain | BRADI_2g08300v3 | Forward | 139 bp | CATGATGAGCTCTGATGCCTAT | (1226–1247) |
| Reverse | GTGGTGGTGTACTGACATACTG | (1343–1364) | |||
| BdC13 nucellain | BRADI_5g16960v3 | Forward | 96 bp | GCAGGACAATGCCCTCTGATTT | (2305–2326) |
| Reverse | GGACTCTAGGAGGATCACAACCTTAC | (2375–2400) | |||
| BdC14 metacaspase | BRADI_2g52470v3 | Forward | 96 bp | TTCAGAGTGCTGGTGAGGTTTATG | (1222–1245) |
| Reverse | CTGCTGATGTTTGGCTGGTTTG | (1296–1317) | |||
| BdMADS29 | BRADI_3g05260v3 | Forward | 377 bp | AACACTCTCCTGTGCCGCAT | (1083–1102) |
| Reverse | CCTCCACCGTGACCTTCTTA | (1440–1459) | |||
| R-T7 | GAATTGTAATACGACTCACTATAGGGCCTCCACCGTGACCTTCTTA | ||||
| Species | Family | Gene Name | Gene ID | UniProt | Ref |
|---|---|---|---|---|---|
| Arabidopsis thaliana | C13 | At-gamma-VPE | AT4G32940 | A0A178UU68 | [66] |
| At-beta-VPE | AT1G62710 | A0A178W0Z7 | |||
| At-alpha-VPE | AT2G25940 | A0A178VQP4 | |||
| At-delta-VPE | AT3G20210 | A0A178VB13 | |||
| At-delta-VPE variant | AT1G08750 | A0A178WNN3 | |||
| C14 | AtMCAs1 | At1g02170 | A0A178W8H4 | [67] | |
| AtMCAs2 | At4g25110 | A0A178V2G1 | |||
| AtMCAs3 | At5g64240 | F4KDK6 | |||
| AtMCAs4 | At1g79340 | A0A178WK95 | |||
| AtMCAs5 | At1g79330 | A0A178WIC7 | |||
| AtMCAs6 | At1g79320 | A0A178W108 | |||
| AtMCAs7 | At1g79310 | A0A178WN22 | |||
| AtMCAs8 | At1g16420 | A0A178WDC5 | |||
| AtMCAs9 | At5g04200 | A0A178U6S6 | |||
| Oryza sativa | C13 | OsVPE1/GLUP3 | Os04g0537900 | Q84LM2 | [68] |
| OsVPE2 | Os01g0559600 | Q7F1B4 | |||
| OsVPE3 | Os02g0644000 | Q8GS39 | |||
| OsVPE4a | Os05g0593900 | Q6L4R2 | |||
| OsVPE4b | Os06g0105100 | Q9LWZ3 | our study | ||
| OsVPE5 | Os02g0219400 | Q6Z6K3 | [55] | ||
| C14 | OsMC1 | Os03g0388900 | Q75LQ1 | [66,69] | |
| OsMC2 | Os03g0389400 | A0A0P0VY86 | |||
| OsMC3 | Os03g0389000 | A0A0P0VY92 | |||
| OsMC4 | Os05g0496400 | A0A0P0WP05 | |||
| OsMC5 | Os05g0496500 | Q84VF0 | |||
| OsMC6 | Os01g0799900 | Q8LJ88 | |||
| OsMC7 | Os11g0134700 | Q2RAW9 | |||
| OsMC8 | Os03g0389100 | Q75LQ8 | |||
| OsMC9 | Os03g0389501 | A0A0P0VYB1 | our study | ||
| OsMC10 | Os10g0565100 | A0A0P0XYC7 | |||
| Hordeum vulgare | C13 | HvLeg-1/HvVPE1 | HORVU6Hr1G060990 | B4ESD9 | [5,23] |
| HvLeg-2/HvVPE2b | HORVU2Hr1G092080 | B4ESE0 | |||
| HvLeg-3/HvVPE2d | HORVU2Hr1G091880 | B4ESE1 | |||
| HvLeg-4/HvVPE3 | HORVU3Hr1G048520 | B4ESE2 | |||
| HvLeg-5/HvVPE4 | HORVU5Hr1G066250 | B4ESE3 | |||
| HvLeg-6/HvVPE2a, Nucellain | HORVU2Hr1G092080 | E5AXU4 | |||
| HvLeg-7/HvVPE2c | E5AXU6 | ||||
| HvLeg-8 | F2DJF5 | ||||
| C14 | HvMC1 | HORVU3Hr1G095700 | A0A287MDW0 | [52] | |
| HvMC2 | HORVU4Hr1G090860 | A0A287Q5C5 | |||
| HvMC3 | HORVU1Hr1G055210 | A0A287FP58 | |||
| HvMC4 | HORVU3Hr1G020830 | A0A287KD76 | |||
| HvMC5 | HORVU1Hr1G071130 | A0A287G509 | |||
| HvMC6 | HORVU5Hr1G023940 | A0A287QP80 | |||
| HvMC7 | HORVU3Hr1G078270 | A0A287LT80 | |||
| HvMC8 | HORVU5Hr1G044610 | A0A287R060 | |||
| HvMC9 | HORVU4Hr1G011900 | A0A287N8J8 | |||
| HvMC10 | HORVU1Hr1G067230 | A0A287G1 × 9 | |||
| Brachypodium distachyon | C13 | BdVPE1 | BRADI_3g50100v3 | I1IC16 | our study |
| BdVPE2 | BRADI_5g16960v3 | I1J043 | |||
| BdVPE3 | BRADI_2g41270v3 | I1HNN1 | |||
| BdVPE4 | BRADI_4g30110v3 | I1IQ27 | |||
| BdVPE5 | BRADI_3g08190v3 | I1HYS5 | |||
| C14 | BdMC1 | Bradi_3g33722v3 | A0A2K2D0W7 | [66] | |
| BdMC2 | Bradi_1g60762v3 | I1H4W5 | |||
| BdMC3 | Bradi_1g60756v3 | I1H4W4 | |||
| BdMC4 | Bradi_1g60800v3 | I1H4W9 | |||
| BdMC5 | Bradi_1g60787v3 | I1H4W8 | |||
| BdMC6 | Bradi_1g60777v3 | I1H4W7 | |||
| BdMC7 | Bradi_2g21100v3 | I1HI23 | |||
| BdMC8 | Bradi_2g21110v3 | I1HI24 | |||
| BdMC9 | Bradi_2g52470v3 | I1HSI1 | |||
| BdMC10 | Bradi_2g50480v3 | I1HRT2 |
References
- Domínguez, F.; Cejudo, F.J. Programmed cell death (PCD): An essential process of cereal seed development and germination. Front. Plant Sci. 2014, 5, 366. [Google Scholar] [CrossRef] [PubMed]
- Morrison, I.N.; O’Brien, T.P.; Kuo, J. Initital cellularization and differentiation of the aleurone cells in the ventral region of the developing wheat grain. Planta 1978, 140, 19–30. [Google Scholar] [CrossRef] [PubMed]
- Norstog, K. Nucellus During Early Embryogeny in Barley: Fine Structure. Int. J. Plant Sci. 1974, 135, 97–103. [Google Scholar] [CrossRef]
- Chen, J.; Yi, Q.; Song, Q.; Gu, Y.; Zhang, J.; Hu, Y.; Liu, H.; Liu, Y.; Yu, G.; Huang, Y. A highly efficient maize nucellus protoplast system for transient gene expression and studying programmed cell death-related processes. Plant Cell Rep. 2015, 34, 1239–1251. [Google Scholar] [CrossRef]
- Radchuk, V.; Weier, D.; Radchuk, R.; Weschke, W.; Weber, H. Development of Maternal Seed Tissue in Barley is Medi-ated by Regulated Cell Expansion and Cell Disintegration and Coordinated with Endosperm Growth. J. Exp. Bot. 2011, 62, 1217–1227. [Google Scholar] [CrossRef] [PubMed]
- Yin, L.; Xue, H. The MADS29 Transcription Factor Regulates the Degradation of the Nucellus and the Nucellar Projection during Rice Seed Development. Plant Cell 2012, 24, 1049–1065. [Google Scholar] [CrossRef] [PubMed]
- Evers, A.D.; Reed, M. Some Novel Observations by Scanning Electron Microscopy. Cereal. Chem. 1988, 65, 81–85. [Google Scholar]
- Freeman, P.L.; Palmer, G.H. THE STRUCTURE OF THE PERICARP AND TESTA OF BARLEY. J. Inst. Brew. 1984, 90, 88–94. [Google Scholar] [CrossRef]
- Oparka, K.J.; Gates, P. Transport of assimilates in the developing caryopsis of rice (Oryza sativa L.). Planta 1981, 151, 561–573. [Google Scholar] [CrossRef]
- Wang, H.L.; Offler, C.E.; Patrick, J.W. Nucellar projection transfer cells in the developing wheat grain. Protoplasma 1994, 182, 39–52. [Google Scholar] [CrossRef]
- Domínguez, F.; Cejudo, F.J. Germination-related genes encoding proteolytic enzymes are expressed in the nucellus of developing wheat grains. Plant J. 1998, 15, 569–574. [Google Scholar] [CrossRef]
- Ellis, J.R.; Chaffey, N.J. Structural Differentiation of the Nucellar Epidermis in the Caryopsis of Rice (Oryza sativa). Ann. Bot. 1987, 60, 671–675. [Google Scholar] [CrossRef]
- Wu, X.; Liu, J.; Li, D.; Liu, C.-M. Rice caryopsis development I: Dynamic changes in different cell layers. J. Integr. Plant Biol. 2016, 58, 772–785. [Google Scholar] [CrossRef] [PubMed]
- Kladnik, A.; Chamusco, K.; Dermastia, M.; Chourey, P. Evidence of Programmed Cell Death in Post-Phloem Transport Cells of the Maternal Pedicel Tissue in Developing Caryopsis of Maize. Plant Physiol. 2004, 136, 3572–3581. [Google Scholar] [CrossRef]
- Thiel, J.; Weier, D.; Sreenivasulu, N.; Strickert, M.; Weichert, N.; Melzer, M.; Czauderna, T.; Wobus, U.; Weber, H.; Weschke, W. Different Hormonal Regulation of Cellular Differentiation and Function in Nucellar Projection and Endosperm Transfer Cells: A Microdissection-Based Transcriptome Study of Young Barley Grains. Plant Physiol. 2008, 148, 1436–1452. [Google Scholar] [CrossRef] [PubMed]
- Domínguez, F.; Moreno, J.; Cejudo, F.J. The nucellus degenerates by a process of programmed cell death during the early stages of wheat grain development. Planta 2001, 213, 352–360. [Google Scholar] [CrossRef] [PubMed]
- Kobayashi, H.; Ikeda, T.M.; Nagata, K. Spatial and temporal progress of programmed cell death in the developing starchy endosperm of rice. Planta 2013, 237, 1393–1400. [Google Scholar] [CrossRef] [PubMed]
- Young, T.E.; Gallie, D.R.; DeMason, D.A. Ethylene-Mediated Programmed Cell Death during Maize Endosperm Development of Wild-Type and Shrunken2 Genotypes. Plant Physiol. 1997, 115, 737–751. [Google Scholar] [CrossRef]
- Bi, X.; Khush, G.S.; Bennett, J. The Rice Nucellin Gene Ortholog OsAsp1 Encodes an Active Aspartic Protease Without a Plant-specific Insert and is Strongly Expressed in Early Embryo. Plant Cell Physiol. 2005, 46, 87–98. [Google Scholar] [CrossRef]
- Chen, F.; Foolad, M.R. Molecular Organization of a Gene in Barley which Encodes a Protein Similar to Aspartic Protease and its Specific Expression in Nucellar Cells during Degeneration. Plant Mol. Biol. 1997, 35, 821–831. [Google Scholar] [CrossRef]
- Asakura, T.; Watanabe, H.; Abe, K.; Arai, S. Rice Aspartic Proteinase, Oryzasin, Expressed During Seed Ripening and Germination, has a Gene Organization Distinct from Those of Animal and Microbial Aspartic Proteinases. JBIC J. Biol. Inorg. Chem. 1995, 232, 77–83. [Google Scholar] [CrossRef]
- Borén, M.; Höglund, A.; Bozhkov, P.; Jansson, C. Developmental Regulation of a VEIDase Caspase-Like Proteolytic Activity in Barley Caryopsis. J. Exp. Bot. 2006, 57, 3747–3753. [Google Scholar] [CrossRef]
- Julián, I.; Gandullo, J.; Santos-Silva, L.K.; Diaz, I.; Martinez, M. Phylogenetically distant barley legumains have a role in both seed and vegetative tissues. J. Exp. Bot. 2013, 64, 2929–2941. [Google Scholar] [CrossRef]
- Linnestad, C.; Doan, D.N.; Brown, R.C.; Lemmon, B.E.; Meyer, D.J.; Jung, R.; Olsen, O.-A. Nucellain, a Barley Homolog of the Dicot Vacuolar-Processing Protease, Is Localized in Nucellar Cell Walls. Plant Physiol. 1998, 118, 1169–1180. [Google Scholar] [CrossRef] [PubMed][Green Version]
- Sreenivasulu, N.; Radchuk, V.; Strickert, M.; Miersch, O.; Weschke, W.; Wobus, U. Gene Expression Patterns Reveal Tis-sue-specific Signaling Networks Controlling Programmed Cell Death and ABA-regulated Maturation in Developing Barley Seeds. Plant J. 2006, 47, 310–327. [Google Scholar] [CrossRef]
- Tran, V.; Weier, D.; Radchuk, R.; Thiel, J.; Radchuk, V. Caspase-Like Activities Accompany Programmed Cell Death Events in Developing Barley Grains. PLoS ONE 2014, 9, e109426. [Google Scholar] [CrossRef] [PubMed]
- Drea, S.; Leader, D.J.; Arnold, B.C.; Shaw, P.; Dolan, L.; Doonan, J.H. Systematic Spatial Analysis of Gene Expression during Wheat Caryopsis Development. Plant Cell 2005, 17, 2172–2185. [Google Scholar] [CrossRef]
- Opanowicz, M.; Hands, P.; Betts, D.; Parker, M.L.; Toole, G.A.; Mills, E.C.; Doonan, J.H.; Drea, S. Endosperm Development in Brachypodium Distachyon. J. Exp. Bot. 2011, 62, 735–748. [Google Scholar] [CrossRef] [PubMed]
- Yang, X.; Wu, F.; Lin, X.; Du, X.; Chong, K.; Gramzow, L.; Schilling, S.; Becker, A.; Theißen, G.; Meng, Z. Live and Let Die-the Bsister MADS-Box Gene OsMADS29 Controls the Degeneration of Cells in Maternal Tissues during Seed Development of Rice (Oryza Sativa). PLoS ONE 2012, 7, e51435. [Google Scholar] [CrossRef]
- Radchuk, V.; Tran, V.; Radchuk, R.; Diaz-Mendoza, M.; Weier, D.; Fuchs, J.; Riewe, D.; Hensel, G.; Kumlehn, J.; Munz, E.; et al. Vacuolar processing enzyme 4 contributes to maternal control of grain size in barley by executing programmed cell death in the pericarp. New Phytol. 2017, 218, 1127–1142. [Google Scholar] [CrossRef] [PubMed]
- Nayar, S.; Sharma, R.; Tyagi, A.K.; Kapoor, S. Functional delineation of rice MADS29 reveals its role in embryo and endosperm development by affecting hormone homeostasis. J. Exp. Bot. 2013, 64, 4239–4253. [Google Scholar] [CrossRef]
- Draper, J.; Mur, L.A.; Jenkins, G.; Ghosh-Biswas, G.C.; Bablak, P.; Hasterok, R.; Routledge, A.P. Brachypodium Distachyon. A New Model System for Functional Genomics in Grasses. Plant Physiol. 2001, 127, 1539–1555. [Google Scholar] [CrossRef]
- Trafford, K.; Haleux, P.; Henderson, M.; Parker, M.; Shirley, N.J.; Tucker, M.R.; Fincher, G.B.; Burton, R.A. Grain Development in Brachypodium and Other Grasses: Possible Interactions between Cell Expansion, Starch Deposition, and Cell-Wall Synthesis. J. Exp. Bot. 2013, 64, 5033–5047. [Google Scholar] [CrossRef]
- Francin-Allami, M.; Lollier, V.; Pavlovic, M.; San Clemente, H.; Rogniaux, H.; Jamet, E.; Guillon, F.; Larré, C. Under-standing the Remodelling of Cell Walls during Brachypodium Distachyon Grain Development through a Sub-Cellular Quantitative Proteomic Approach. Proteomes 2016, 4, 21. [Google Scholar] [CrossRef]
- Francin-Allami, M.; Alvarado, C.; Daniel, S.; Geairon, A.; Saulnier, L.; Guillon, F. Spatial and temporal distribution of cell wall polysaccharides during grain development of Brachypodium distachyon. Plant Sci. 2019, 280, 367–382. [Google Scholar] [CrossRef] [PubMed]
- Guillon, F.; Larre, C.; Petipas, F.; Berger, A.; Moussawi, J.; Rogniaux, H.; Santoni, A.; Saulnier, L.; Jamme, F.; Miquel, M.; et al. A comprehensive overview of grain development in Brachypodium distachyon variety Bd21. J. Exp. Bot. 2011, 63, 739–755. [Google Scholar] [CrossRef]
- Hands, P.; Kourmpetli, S.; Sharples, D.; Harris, R.G.; Drea, S. Analysis of grain characters in temperate grasses reveals distinctive patterns of endosperm organization associated with grain shape. J. Exp. Bot. 2012, 63, 6253–6266. [Google Scholar] [CrossRef] [PubMed]
- Hands, P.; Drea, S. A comparative view of grain development in Brachypodium distachyon. J. Cereal. Sci. 2012, 56, 2–8. [Google Scholar] [CrossRef]
- Kourmpetli, S.; Drea, S. The fruit, the whole fruit, and everything about the fruit. J. Exp. Bot. 2013, 65, 4491–4503. [Google Scholar] [CrossRef] [PubMed]
- Solomon, C.U.; Drea, S. Delineation of post-phloem assimilate transport pathway into developing caryopsis of Brachypodium distachyon. bioRxiv 2019, 718569. [Google Scholar]
- Leroux, B.M.; Goodyke, A.J.; Schumacher, K.I.; Abbott, C.P.; Clore, A.M.; Yadegari, R.; Larkins, B.A.; Dannenhoffer, J. Maize early endosperm growth and development: From fertilization through cell type differentiation. Am. J. Bot. 2014, 101, 1259–1274. [Google Scholar] [CrossRef]
- Okada, T.; Ridma, M.; Jayasinghe, J.E.A.; Nansamba, M.; Baes, M.; Warner, P.; Warner, A.; Correia, D.; Nguyen, V.; Whitford, R.; et al. Unfertilized ovary pushes wheat flower open for cross-pollination. J. Exp. Bot. 2018, 69, 399–412. [Google Scholar] [CrossRef] [PubMed]
- Young, T.E.; Gallie, D.R. Analysis of programmed cell death in wheat endosperm reveals differences in endosperm development between cereals. Plant Mol. Biol. 1999, 39, 915–926. [Google Scholar] [CrossRef]
- Buono, R.A.; Hudecek, R.; Nowack, M.K. Plant proteases during developmental programmed cell death. J. Exp. Bot. 2019, 70, 2097–2112. [Google Scholar] [CrossRef] [PubMed]
- Tsiatsiani, L.; Van Breusegem, F.; Gallois, P.; Zavialov, A.; Lam, E.; Bozhkov, P.V. Metacaspases. Cell Death Differ. 2011, 18, 1279–1288. [Google Scholar] [CrossRef] [PubMed]
- Betekhtin, A.; Milewska-Hendel, A.; Chajec, L.; Rojek-Jelonek, L.; Nowak, K.; Kwasniewska, J.; Wolny, E.; Kurczynska, E.; Hasterok, R. 5-Azacitidine induces cell death in a tissue culture of Brachypodium Dis-tachyon. Int. J. Mol. Sci. 2018, 19, 1806. [Google Scholar] [CrossRef]
- Subburaj, S.; Zhu, D.; Li, X.; Hu, Y.; Yan, Y. Molecular Characterization and Expression Profiling of Brachypodium distachyon L. Cystatin Genes Reveal High Evolutionary Conservation and Functional Divergence in Response to Abiotic Stress. Front. Plant Sci. 2017, 8, 743. [Google Scholar] [CrossRef]
- Porebski, S.; Bailey, L.G.; Baum, B.R. Modification of a CTAB DNA Extraction Protocol for Plants Containing High Polysaccharide and Polyphenol Components. Plant Mol. Biol. Rep. 1997, 15, 8–15. [Google Scholar] [CrossRef]
- Mitchell, A.L.; Attwood, T.K.; Babbitt, P.C.; Blum, M.; Bork, P.; Bridge, A.; Brown, S.D.; Chang, H.-Y.; El-Gebali, S.; Fraser, M.I.; et al. InterPro in 2019: Improving coverage, classification and access to protein sequence annotations. Nucleic Acids Res. 2019, 47, D351–D360. [Google Scholar] [CrossRef] [PubMed]
- Thomas, P.D.; Campbell, M.J.; Kejariwal, A.; Mi, H.; Karlak, B.; Daverman, R.; Diemer, K.; Muruganujan, A.; Narechania, A. PANTHER: A library of protein families and subfamilies indexed by function. Genome Res. 2003, 13, 2129–2141. [Google Scholar] [CrossRef]
- Rawlings, N.D.; Waller, M.; Barrett, A.J.; Bateman, A. Merops: The database of proteolytic enzymes, their substrates and in-hibitors. Nucleic Acids Res. 2014, 42, D503–D509. [Google Scholar] [CrossRef] [PubMed]
- Bostancioglu, S.M.; Tombuloglu, G.; Tombuloglu, H. Genome-wide identification of barley MCs (metacaspases) and their possible roles in boron-induced programmed cell death. Mol. Biol. Rep. 2018, 45, 211–225. [Google Scholar] [CrossRef] [PubMed]
- Rocha, A.J.; Soares, E.L.; Costa, J.H.; Costa, W.L.; Soares, A.A.; Nogueira, F.; Domont, G.B.; Campos, F. Differential expression of cysteine peptidase genes in the inner integument and endosperm of developing seeds of Jatropha curcas L. (Euphorbiaceae). Plant Sci. 2013, 213, 30–37. [Google Scholar] [CrossRef]
- Vercammen, D.; van de Cotte, B.; de Jaeger, G.; Eeckhout, D.; Casteels, P.; Vandepoele, K.; Vandenberghe, I.; Van Beeumen, J.; Inzeé, D.; Van Breusegem, F. Type II Metacaspases Atmc4 and Atmc9 of Arabidopsis thaliana cleave substrates after arginine and lysine. J. Biol. Chem. 2004, 279, 45329–45336. [Google Scholar] [CrossRef] [PubMed]
- Wang, W.; Zhou, X.M.; Xiong, H.X.; Mao, W.Y.; Zhao, P.; Sun, M.X. Papain-like and legumain-like proteases in rice: Genome-wide identification, comprehensive gene feature characterization and expression analysis. BMC Plant Biol. 2018, 18, 1–16. [Google Scholar] [CrossRef] [PubMed]
- Tamura, K.; Stecher, G.; Peterson, D.; Filipski, A.; Kumar, S. MEGA6: Molecular evolutionary genetics analysis version 6.0. Mol. Biol. Evol. 2013, 30, 2725–2729. [Google Scholar] [CrossRef] [PubMed]
- Katoh, K.; Standley, D.M. MAFFT multiple sequence alignment software version 7: Improvements in performance and usability. Mol. Biol. Evol. 2013, 30, 772–780. [Google Scholar] [CrossRef] [PubMed]
- Le, S.Q.; Gascuel, O. An improved general amino acid replacement matrix. Mol. Biol. Evol. 2008, 25, 1307–1320. [Google Scholar] [CrossRef]
- Whelan, S.; Goldman, N. A General Empirical Model of Protein Evolution Derived from Multiple Protein Families Using a Maximum-Likelihood Approach. Mol. Biol. Evol. 2001, 18, 691–699. [Google Scholar] [CrossRef]
- Dobin, A.; Davis, C.A.; Schlesinger, F.; Drenkow, J.; Zaleski, C.; Jha, S.; Batut, P.; Chaisson, M.; Gingeras, T.R. STAR: Ultrafast universal RNA-seq aligner. Bioinformatics 2013, 29, 15–21. [Google Scholar] [CrossRef]
- Liao, Y.; Smyth, G.K.; Shi, W. The R package Rsubread is easier, faster, cheaper and better for alignment and quantification of RNA sequencing reads. Nucleic Acids Res. 2019, 47, e47. [Google Scholar] [CrossRef] [PubMed]
- Love, M.I.; Huber, W.; Anders, S. Moderated estimation of fold change and dispersion for RNA-seq data with DESeq2. Genome Biol. 2014, 15, 550. [Google Scholar] [CrossRef]
- Gu, Z.; Eils, R.; Schlesner, M. Complex heatmaps reveal patterns and correlations in multidimensional genomic data. Bioinformatics 2016, 32, 2847–2849. [Google Scholar] [CrossRef] [PubMed]
- Drea, S.; Corsar, J.; Crawford, B.; Shaw, P.; Dolan, L.; Doonan, J.H. A streamlined method for systematic, high resolution in situ analysis of mRNA distribution in plants. Plant Methods 2005, 1, 8. [Google Scholar] [CrossRef] [PubMed][Green Version]
- Livak, K.J.; Schmittgen, T.D. Analysis of relative gene expression data using real-time quantitative PCR and the 2(-Delta C(T)) Method. Methods 2001, 25, 402–408. [Google Scholar] [CrossRef] [PubMed]
- Kinoshita, T.; Nishimura, M.; Hara-Nishimura, I. Homologues of a vacuolar processing enzyme that are expressed in different organs in Arabidopsis thaliana. Plant Mol. Biol. 1995, 29, 81–89. [Google Scholar] [CrossRef] [PubMed]
- Fagundes, D.; Bohn, B.; Cabreira, C.; Leipelt, F.; Dias, N.C.F.; Bodanesezanettini, M.H.; Cagliari, A. Caspases in plants: Metacaspase gene family in plant stress responses. Funct. Integr. Genom. 2015, 15, 639–649. [Google Scholar] [CrossRef] [PubMed]
- Deng, M.; Bian, H.; Xie, Y.; Kim, Y.; Wang, W.; Lin, E.; Zhu, M. Bcl-2 suppresses hydrogen peroxide-induced pro-grammed cell death via OsVPE2 and OsVPE3, but not via OsVPE1 and OsVPE4, in rice. FEBS J. 2011, 278, 4797–4810. [Google Scholar] [CrossRef]
- Zhang, D.; Yuan, Z. Molecular Control of Grass Inflorescence Development. Annu. Rev. Plant Biol. 2014, 65, 553–578. [Google Scholar] [CrossRef]






| Family | Family | Nucellar | Mesocarp | Endosperm |
|---|---|---|---|---|
| A1 | BRADI1g42930 | - | - | YES |
| A1 | BRADI2g45800 | - | - | YES |
| A1 | BRADI1g49410 | YES | YES | - |
| A1 | BRADI5g26620 | YES | YES | - |
| A1 | BRADI2g02140 | - | - | YES |
| C1 | BRADI2g08300 | - | YES | YES |
| C13 | BRADI5g16960 (BdVPE2) | - | YES | YES |
Publisher’s Note: MDPI stays neutral with regard to jurisdictional claims in published maps and institutional affiliations. |
© 2021 by the authors. Licensee MDPI, Basel, Switzerland. This article is an open access article distributed under the terms and conditions of the Creative Commons Attribution (CC BY) license (https://creativecommons.org/licenses/by/4.0/).
Share and Cite
Saada, S.; Solomon, C.U.; Drea, S. Programmed Cell Death in Developing Brachypodium distachyon Grain. Int. J. Mol. Sci. 2021, 22, 9086. https://doi.org/10.3390/ijms22169086
Saada S, Solomon CU, Drea S. Programmed Cell Death in Developing Brachypodium distachyon Grain. International Journal of Molecular Sciences. 2021; 22(16):9086. https://doi.org/10.3390/ijms22169086
Chicago/Turabian StyleSaada, Safia, Charles Ugochukwu Solomon, and Sinéad Drea. 2021. "Programmed Cell Death in Developing Brachypodium distachyon Grain" International Journal of Molecular Sciences 22, no. 16: 9086. https://doi.org/10.3390/ijms22169086
APA StyleSaada, S., Solomon, C. U., & Drea, S. (2021). Programmed Cell Death in Developing Brachypodium distachyon Grain. International Journal of Molecular Sciences, 22(16), 9086. https://doi.org/10.3390/ijms22169086
