LRG1 Expression Is Elevated in the Eyes of Patients with Neovascular Age-Related Macular Degeneration
Abstract
:1. Introduction
2. Results
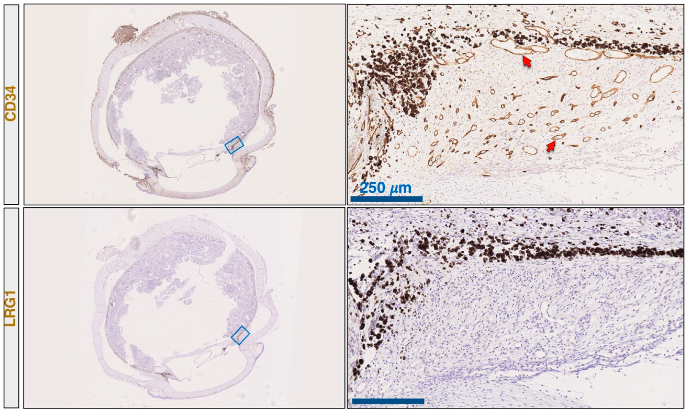
2.1. LRG1 Is Expressed in Vessels and Myofibroblasts of CNVMs of nvAMD Patients
2.2. Soluble LRG1 Levels Are Higher in Naïve nvAMD Patients
3. Discussion
4. Materials and Methods
4.1. Immunohistochemistry (IHC)
4.2. Multiplex Immunohistochemistry
4.3. Subjects
4.4. Aqueous Humor Sample Collection
4.5. Assessment of the LRG1 Level in the Aqueous Humor
4.6. SDS–PAGE and Western Blotting
4.7. Statistical Analysis
Author Contributions
Funding
Institutional Review Board Statement
Informed Consent Statement
Data Availability Statement
Acknowledgments
Conflicts of Interest
Appendix A


References
- Arruabarrena, C.; Toro, M.; Onen, M.; Malyugin, B.; Rejdak, R.; Tognetto, D.; Zweifel, S.; Giglio, R.; Teus, M. Impact on Visual Acuity in Neovascular Age Related Macular Degeneration (nAMD) in Europe Due to COVID-19 Pandemic Lockdown. J. Clin. Med. 2021, 10, 3281. [Google Scholar] [CrossRef]
- Fleckenstein, M.; Keenan, T.D.L.; Guymer, R.H.; Chakravarthy, U.; Schmitz-Valckenberg, S.; Klaver, C.C.; Wong, W.T.; Chew, E.Y. Age-related macular degeneration. Nat. Rev. Dis. Prim. 2021, 7, 1–25. [Google Scholar] [CrossRef]
- Ammar, M.J.; Hsu, J.; Chiang, A.; Ho, A.C.; Regillo, C.D. Age-related macular degeneration therapy: A review. Curr. Opin. Ophthalmol. 2020, 31, 215–221. [Google Scholar] [CrossRef] [PubMed]
- Elfalah, M.; AlRyalat, S.A.; Toro, M.D.; Rejdak, R.; Zweifel, S.; Nazzal, R.; Abu-Ameerh, M.; Ababneh, O.; Gharaibeh, A.; Sharif, Z.; et al. Delayed Intravitreal Anti-VEGF Therapy for Patients During the COVID-19 Lockdown: An Ethical Endeavor. Clin. Ophthalmol. 2021, 15, 661–669. [Google Scholar] [CrossRef]
- Bajka, A.; Wiest, M.; Hamann, T.; Toro, M.; Zweifel, S. Assessment of Patients’ Confidence Regarding a New Triage Concept in a Medical Retina Clinic during the First COVID-19 Outbreak. Int. J. Environ. Res. Public Heal. 2021, 18, 5846. [Google Scholar] [CrossRef] [PubMed]
- Mettu, P.S.; Allingham, M.J.; Cousins, S.W. Incomplete response to Anti-VEGF therapy in neovascular AMD: Exploring disease mechanisms and therapeutic opportunities. Prog. Retin. Eye Res. 2021, 82, 100906. [Google Scholar] [CrossRef] [PubMed]
- Nicolò, M.; Desideri, L.F.; Vagge, A.; Traverso, C.E. Faricimab: An investigational agent targeting the Tie-2/angiopoietin pathway and VEGF-A for the treatment of retinal diseases. Expert Opin. Investig. Drugs 2021, 30, 193–200. [Google Scholar] [CrossRef]
- Iglicki, M.; González, D.P.; Loewenstein, A.; Zur, D. Longer-acting treatments for neovascular age-related macular degeneration—Present and future. Eye 2021, 35, 1111–1116. [Google Scholar] [CrossRef]
- Plyukhova, A.A.; Budzinskaya, M.V.; Starostin, K.M.; Rejdak, R.; Bucolo, C.; Reibaldi, M.; Toro, M.D. Comparative Safety of Bevacizumab, Ranibizumab, and Aflibercept for Treatment of Neovascular Age-Related Macular Degeneration (AMD): A Systematic Review and Network Meta-Analysis of Direct Comparative Studies. J. Clin. Med. 2020, 9, 1522. [Google Scholar] [CrossRef]
- Castellino, N.; Longo, A.; Avitabile, T.; Russo, A.; Fallico, M.; Bonfiglio, V.; Toro, M.D.; Rejdak, R.; Nowomiejska, K.; Murabito, P.; et al. Circulating insulin-like growth factor-1: A new clue in the pathogenesis of age-related macular degeneration. Aging 2018, 10, 4241–4247. [Google Scholar] [CrossRef]
- Dolar-Szczasny, J.; Bucolo, C.; Zweifel, S.; Carnevali, A.; Rejdak, R.; Załuska, W.; Czarnek-Chudzik, A.; Toro, M.D. Evaluation of Aqueous Flare Intensity in Eyes Undergoing Intravitreal Bevacizumab Therapy to Treat Neovascular Age-Related Macular Degeneration. Front. Pharmacol. 2021, 12, 656774. [Google Scholar] [CrossRef]
- Wang, X.; Abraham, S.; McKenzie, J.A.G.; Jeffs, N.; Swire, M.; Tripathi, V.B.; Luhmann, U.F.; Lange, C.A.K.; Zhai, Z.; Arthur, H.; et al. LRG1 promotes angiogenesis by modulating endothelial TGF-β signalling. Nat. Cell Biol. 2013, 499, 306–311. [Google Scholar] [CrossRef] [Green Version]
- Wang, Y.; Xing, Q.; Chen, X.; Wang, J.; Guan, S.; Chen, X.; Sun, P.; Wang, M.; Cheng, Y. The Clinical Prognostic Value of LRG1 in Esophageal Squamous Cell Carcinoma. Curr. Cancer Drug Targets 2019, 19, 756–763. [Google Scholar] [CrossRef]
- Zhang, Q.; Huang, R.; Tang, Q.; Yu, Y.; Huang, Q.; Chen, Y.; Wang, G.; Wang, X. Leucine-rich alpha-2-glycoprotein-1 is up-regulated in colorectal cancer and is a tumor promoter. OncoTargets Ther. 2018, 11, 2745–2752. [Google Scholar] [CrossRef] [PubMed] [Green Version]
- Zhang, A.; Fang, H.; Chen, J.; He, L.; Chen, Y. Role of VEGF-A and LRG1 in Abnormal Angiogenesis Associated with Diabetic Nephropathy. Front. Physiol. 2020, 11, 1064. [Google Scholar] [CrossRef] [PubMed]
- Li, Z.; Zeng, C.; Nong, Q.; Long, F.; Liu, J.; Mu, Z.; Chen, B.; Wu, D.; Wu, H. Exosomal Leucine-Rich-Alpha2-Glycoprotein 1 Derived from Non-Small-Cell Lung Cancer Cells Promotes Angiogenesis via TGF-β Signal Pathway. Mol. Ther.-Oncolytics 2019, 14, 313–322. [Google Scholar] [CrossRef] [PubMed] [Green Version]
- Zhang, J.; Zhu, L.; Fang, J.; Ge, Z.; Li, X. LRG1 modulates epithelial-mesenchymal transition and angiogenesis in colorectal cancer via HIF-1α activation. J. Exp. Clin. Cancer Res. 2016, 35, 1–11. [Google Scholar] [CrossRef] [PubMed] [Green Version]
- Nobl, M.; Reich, M.; Dacheva, I.; Siwy, J.; Mullen, W.; Schanstra, J.P.; Choi, C.Y.; Kopitz, J.; Kretz, F.T.; Auffarth, G.U.; et al. Proteomics of vitreous in neovascular age-related macular degeneration. Exp. Eye Res. 2016, 146, 107–117. [Google Scholar] [CrossRef] [PubMed]
- Qu, S.-C.; Xu, D.; Li, T.-T.; Zhang, J.-F.; Liu, F. iTRAQ-based proteomics analysis of aqueous humor in patients with dry age-related macular degeneration. Int. J. Ophthalmol. 2019, 12, 1758–1766. [Google Scholar] [CrossRef]
- Gao, B.-B.; Chen, X.; Timothy, N.; Aiello, L.P.; Feener, E.P. Characterization of the Vitreous Proteome in Diabetes without Diabetic Retinopathy and Diabetes with Proliferative Diabetic Retinopathy. J. Proteome Res. 2008, 7, 2516–2525. [Google Scholar] [CrossRef]
- Kodeboyina, S.K.; Lee, T.J.; Churchwell, L.; Ulrich, L.; Bollinger, K.; Bogorad, D.; Estes, A.; Zhi, W.; Sharma, S.; Sharma, A. The Constitutive Proteome of Human Aqueous Humor and Race Specific Alterations. Proteomes 2020, 8, 34. [Google Scholar] [CrossRef] [PubMed]
- Gao, Y.; Zhou, J.; Xie, Z.; Wang, J.; Ho, C.-K.; Zhang, Y.; Li, Q. Mechanical strain promotes skin fibrosis through LRG-1 induction mediated by ELK1 and ERK signalling. Commun. Biol. 2019, 2, 1–15. [Google Scholar] [CrossRef] [PubMed]
- Sng, M.K.; Chan, J.S.K.; Teo, Z.; Phua, T.; Tan, E.H.P.; Wee, J.; Koh, N.J.N.; Tan, C.K.; Chen, J.P.; Pal, M.; et al. Selective deletion of PPARβ/δ in fibroblasts causes dermal fibrosis by attenuated LRG1 expression. Cell Discov. 2018, 4, 15. [Google Scholar] [CrossRef] [Green Version]
- Honda, H.; Fujimoto, M.; Serada, S.; Urushima, H.; Mishima, T.; Lee, H.; Ohkawara, T.; Kohno, N.; Hattori, N.; Yokoyama, A.; et al. Leucine-rich α -2 glycoprotein promotes lung fibrosis by modulating TGF-β signaling in fibroblasts. Physiol. Rep. 2017, 5, e13556. [Google Scholar] [CrossRef] [Green Version]
- O’Connor, M.N.; Kallenberg, D.; Jackstadt, R.; Watson, A.; Alatsatianos, M.; Ohme, J.; Camilli, C.; Pilotti, C.P.; Dritsoula, A.; Bowers, C.; et al. LRG1 destabilizes tumor vessels and restricts immunotherapeutic potency. BioRxiv 2020. [Google Scholar] [CrossRef]
- Yang, Y.; Luo, R.; Cheng, Y.; Liu, T.; Dai, W.; Li, Y.; Ge, S.; Xu, G. Leucine-rich α2-glycoprotein-1 upregulation in plasma and kidney of patients with lupus nephritis. BMC Nephrol. 2020, 21, 122. [Google Scholar] [CrossRef]
- Guldvik, I.J.; Zuber, V.; Braadland, P.R.; Grytli, H.H.; Ramberg, H.; Lilleby, W.; Thiede, B.; Zucknick, M.; Saatcioglu, F.; Gislefoss, R.; et al. Identification and Validation of Leucine-rich α-2-glycoprotein 1 as a Noninvasive Biomarker for Improved Precision in Prostate Cancer Risk Stratification. Eur. Urol. Open Sci. 2020, 21, 51–60. [Google Scholar] [CrossRef]
- Ladd, J.J.; Busald, T.; Johnson, M.M.; Zhang, Q.; Pitteri, S.J.; Wang, H.; Brenner, D.E.; Lampe, P.D.; Kucherlapati, R.; Feng, Z.; et al. Increased Plasma Levels of the APC-Interacting Protein MAPRE1, LRG1, and IGFBP2 Preceding a Diagnosis of Colorectal Cancer in Women. Cancer Prev. Res. 2012, 5, 655–664. [Google Scholar] [CrossRef] [Green Version]
- Kallenberg, D.; Tripathi, V.; Javaid, F.; Pilotti, C.; George, J.; Davis, S.; Blackburn, J.W.; O’Connor, M.; Dowsett, L.; Bowers, C.E.; et al. A Humanized Antibody against LRG1 that Inhibits Angiogenesis and Reduces Retinal Vascular Leakage. bioRxiv 2020. [Google Scholar] [CrossRef]




| Patient | Age Range | Sex | Anti-VEGF | Diabetes | α-SMA Positivity * | Vessel Density * | LRG1 Expression in Myofibroblasts * | LRG1 Expression in Vessels * |
|---|---|---|---|---|---|---|---|---|
| #1 | 80–90 | M | No | Yes | ++ | +++ | +++ | +++ |
| #2 | 70–80 | M | No | No | ++ | +++ | +++ | +++ |
| #3 | 80–90 | F | No | No | ++ | + | +++ | − |
| #4 | 60–70 | M | No | No | ++ | +++ | +++ | +++ |
| #5 | 70–80 | F | No | No | + | +++ | + | +++ |
| #6 | 60–70 | F | Yes | No | ++ | ++ | +++ | + |
| #7 | 80–90 | F | Yes | Yes | +++ | + | + | +/− |
| #8 | 60–70 | M | Yes | No | + | + | + | − |
| #9 | 70–80 | F | Yes | No | + | + | − | + |
| #10 | 60–70 | F | Yes | No | ++ | + | ++ | − |
| #11 | 70–80 | M | Yes | No | ++ | ++ | ++ | +/− |
| Exudative AMD Group, n = 58 | Control Group, n = 51 | |
|---|---|---|
| Age, years, mean ± SD | 76 ± 8 | 72 ± 9 |
| Sex, M:F | 1:1 | 1:1.04 |
| Eyes | 58 eyes; | 51 eyes; |
| 46.5% right | 55% right | |
| Hypertension, n | ||
| Yes | 39 | 34 |
| No | 19 | 17 |
| Dyslipidemia, n | ||
| Yes | 32 | 19 |
| No | 26 | 32 |
Publisher’s Note: MDPI stays neutral with regard to jurisdictional claims in published maps and institutional affiliations. |
© 2021 by the authors. Licensee MDPI, Basel, Switzerland. This article is an open access article distributed under the terms and conditions of the Creative Commons Attribution (CC BY) license (https://creativecommons.org/licenses/by/4.0/).
Share and Cite
Mundo, L.; Tosi, G.M.; Lazzi, S.; Pertile, G.; Parolini, B.; Neri, G.; Posarelli, M.; De Benedetto, E.; Bacci, T.; Silvestri, E.; et al. LRG1 Expression Is Elevated in the Eyes of Patients with Neovascular Age-Related Macular Degeneration. Int. J. Mol. Sci. 2021, 22, 8879. https://doi.org/10.3390/ijms22168879
Mundo L, Tosi GM, Lazzi S, Pertile G, Parolini B, Neri G, Posarelli M, De Benedetto E, Bacci T, Silvestri E, et al. LRG1 Expression Is Elevated in the Eyes of Patients with Neovascular Age-Related Macular Degeneration. International Journal of Molecular Sciences. 2021; 22(16):8879. https://doi.org/10.3390/ijms22168879
Chicago/Turabian StyleMundo, Lucia, Gian Marco Tosi, Stefano Lazzi, Grazia Pertile, Barbara Parolini, Giovanni Neri, Matteo Posarelli, Elena De Benedetto, Tommaso Bacci, Ennio Silvestri, and et al. 2021. "LRG1 Expression Is Elevated in the Eyes of Patients with Neovascular Age-Related Macular Degeneration" International Journal of Molecular Sciences 22, no. 16: 8879. https://doi.org/10.3390/ijms22168879
APA StyleMundo, L., Tosi, G. M., Lazzi, S., Pertile, G., Parolini, B., Neri, G., Posarelli, M., De Benedetto, E., Bacci, T., Silvestri, E., Siciliano, M. C., Barbera, S., Orlandini, M., Greenwood, J., Moss, S. E., & Galvagni, F. (2021). LRG1 Expression Is Elevated in the Eyes of Patients with Neovascular Age-Related Macular Degeneration. International Journal of Molecular Sciences, 22(16), 8879. https://doi.org/10.3390/ijms22168879

