Signaling Role of Mitochondrial Enzymes and Ultrastructure in the Formation of Molecular Mechanisms of Adaptation to Hypoxia
Abstract
:1. Introduction
2. Results
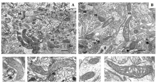
2.1. The Rate of RC Enzymes and Morphological Features of Mitochondria under Normoxic Conditions in the CC of Rats with High (HR) or Low Resistance (LR) to Hypoxia
2.2. Effects of the Mild Hypoxic Exposure (Hypobaric Hypoxia, HBH, 14% O2; O2 Concentration in Air Decreased by 33%)
2.3. Effect of a Course of “Moderate” Hypobaric Hypoxia (HBH, 10% O2; O2 Concentration in Inspired Air Decreased by 50%)
2.4. Effects a Course of the “Severe” Hypobaric Hypoxia (HBH, 8% O2; O2 Concentration in Air Decreased by 62%)
2.5. Effects of Different Long-Term Hypoxia Regiments on Dynamics of Rats Resistance
3. Discussion
4. Conclusions
- In in vivo conditions, gradual changes in reduced oxygen content result in CC rats a differentiated response of MC I-V enzyme subunits and in mitochondria ultrastructural changes. Together these parameters play a role of highly sensitive molecular markers reflecting the state of energy metabolism and the formation of mechanisms of immediate and long-term adaptation of the mitochondrial apparatus to oxygen deficit.
- The MC II activation in a certain range of reduced O2 concentrations is a compensatory mechanism, that ensures the preservation of the activity of RC cytochrome site enzymes, the formation of new kinetic properties of MC I and the restoration of its activity under these conditions, as well as the ultrastructural reorganization of mitochondria.
- The level of mitochondrial enzymes and mitochondrial dynamics in the CC LR and HR rats are different and affect the formation of urgent and long-term adaptation of animals to hypoxia.
5. Materials and Methods
5.1. Materials
5.2. Evaluation of Resistance of Animals to Acute Hypoxia
5.3. Hypoxia Regimens
5.4. Extraction of Proteins from CC Tissue
5.5. Measurement of CC Contents of Mitochondrial Enzyme Complex (MC) Subunits
5.6. Measurement of Succinate Dehydrogenase Activity (SDH) in CC Mitochondria
5.7. Electron Microscopy of the Cerebral Cortex
5.8. Statistics
Author Contributions
Funding
Institutional Review Board Statement
Informed Consent Statement
Data Availability Statement
Acknowledgments
Conflicts of Interest
Abbreviations
| ATP5A | a subunit of MC V (ATP synthase F1 subunit alpha) |
| CC | cerebral cortex |
| COX1 | a subunit of MC IV (cytochrome c oxidase subunit 1) |
| Cyt b; | a subunit of MC-III (cytochrome b) |
| HBH | hypobaric hypoxia |
| HR | high-resistance rats |
| LR | low-resistance rats |
| MC | mitochondrial complex |
| NDUFV2 | a subunit of complex I (MC I, NADH dehydrogenase [ubiquinone] flavoprotein) |
| OXPHOS | oxidative phosphorylation |
| RC | respiratory chain |
| ROS | reactive oxygen species |
| SDH | succinate dehydrogenase (MC II) |
| SDHA | a subunit of succinate dehydrogenase complex (MC II) |
| Tr | resistance index |
References
- Chandel, N.S. Mitochondria as signaling organelles. BMC Biol. 2014, 12, 34. [Google Scholar] [CrossRef]
- Das, J. The role of mitochondrial respiration in physiological and evolutionary adaptation. BioEssays 2006, 28, 890–901. [Google Scholar] [CrossRef]
- Devin, A.; Rigoulet, M. Mechanisms of mitochondrial response to variations in energy demand in eukaryotic cells. Am. J. Physiol. Cell Physiol. 2007, 292, C52–C58. [Google Scholar] [CrossRef] [Green Version]
- Gnaiger, E. Mitochondrial Physiology: The Many Faces and Functions of on Organelle; MiP: Innsbruck, Austria, 2005; p. 151. [Google Scholar]
- Lukyanova, L.D. Mitochondria Signaling in Adaptation to Hypoxia. Int. J. Physiol. Pathophysiol. 2014, 5, 363–381. [Google Scholar] [CrossRef]
- McBride, H.M.; Neuspiel, M.; Wasiak, S. Mitochondria: More Than Just a Powerhouse. Curr. Biol. 2006, 16, R551–R560. [Google Scholar] [CrossRef] [PubMed] [Green Version]
- Orrenius, S.; Packer, L.; Cadenas, E. Mitochondrial Signaling in Health and Disease; CRC Press: Boca Raton, FL, USA; Taylor Francis Group: Abingdon, UK, 2012; p. 300. [Google Scholar]
- Osellame, L.D.; Blacker, T.S.; Duchen, M.R. Cellular and molecular mechanisms of mitochondrial function. Best Pract. Res. Clin. Endocrinol. Metab. 2012, 26, 711–723. [Google Scholar] [CrossRef] [PubMed] [Green Version]
- Tait, S.; Green, D.R. Mitochondria and cell signalling. J. Cell Sci. 2012, 125, 807–815. [Google Scholar] [CrossRef] [Green Version]
- Hochachka, P.W.; Buck, L.T.; Doll, C.J.; Land, S. Unifying theory of hypoxia tolerance: Molecular/metabolic defense and rescue mechanisms for surviving oxygen lack. Proc. Natl. Acad. Sci. USA 1996, 93, 9493–9498. [Google Scholar] [CrossRef] [Green Version]
- Luk’yanova, L.D. Bioenergetic hypoxia: Definition, mechanisms, and methods of correction. Bull. Exp. Biol. Med. 1997, 124, 835–843. [Google Scholar] [CrossRef]
- Lukyanova, L.D.; Dudchenko, A.M.; Tsybina, T.A.; Germanova, E.L.; Tkachuk, E.N.; Erenburg, I.V. Effect of intermittent normobaric hypoxia on kinetic properties of mitochondrial enzymes. Bull. Exp. Biol. Med. 2007, 144, 795–801. [Google Scholar] [CrossRef] [PubMed]
- Lukyanova, L.D.; Dudchenko, A.M.; Germanova, E.L.; Tsybina, T.A.; Kapaladse, R.A.; Ehrenbourg, I.V.; Tkatchouk, E.N. Mitochondria signaling in formation of body resistance to hypoxia. In Intermitten Hypoxia: From Molecular Mechanisms to Clinical Applications; Lei, X., Serebrovskaya, T., Eds.; Nova Science Publishers: New York, NY, USA, 2010. [Google Scholar]
- Dudchenko, A.M.; Chernobaeva, G.N.; Belousova, V.V.; Vlasova, I.G.; Luk’Yanova, L.D. Bioenergetic parameters of the brain in rats with different resistance to hypoxia. Bull. Exp. Biol. Med. 1993, 115, 263–267. [Google Scholar] [CrossRef]
- Dudchenko, A.M.; Luk’yanova, L.D. Effects of adaptation to periodic hypoxia on kinetic parameters of respiratory chain enzymes in rat brain. Bull. Exp. Biol. Med. 1996, 121, 232–235. [Google Scholar] [CrossRef]
- Lukyanova, L.D. Limiting steps of energy metabolism in brain in hypoxia. Neurochem. Intern. 1988, 13, 146–147. [Google Scholar]
- Chance, B. Metabolic heterogeneities in rapidly metabolizing tissues. J. Appl. Cardiol. 1989, 4, 207–221. [Google Scholar]
- Jones, D.P.; Kennedy, F.G. Analysis of intracellular oxygenation of isolated adult cardiac myocytes. Am. J. Physiol. Physiol. 1986, 250, C384–C390. [Google Scholar] [CrossRef]
- Jones, D.P.; Mason, H.S. Gradients of oxygen concentration in hepatocytes. J. Biol. Chem. 1978, 253, 4874–4880. [Google Scholar] [CrossRef]
- Jones, D.P.; Aw, T.Y.; Sillau, A.H. Defining the resistance to oxygen transfer in tissue hypoxia. Cell. Mol. Life Sci. 1990, 46, 1180–1185. [Google Scholar] [CrossRef]
- Takahashi, E.; Sato, K.; Endoh, H.; Xu, Z.-L.; Doi, K. Direct observation of radial intracellular P O 2 gradients in a single cardiomyocyte of the rat. Am. J. Physiol. Circ. Physiol. 1998, 275, H225–H233. [Google Scholar] [CrossRef]
- Tamura, M.; Oshino, N.; Chance, B.; Silver, I.A. Optical measurements of intracellular oxygen concentration of rat heart in vitro. Arch. Biochem. Biophys. 1978, 191, 8–22. [Google Scholar] [CrossRef]
- Kaasik, A.; Veksler, V.; Boehm, E.; Novotova, M.; Minajeva, A.; Ventura-Clapier, R. Energetic Crosstalk Between Organelles: Architectural integration of energy production and utilization. Circ. Res. 2001, 89, 153–159. [Google Scholar] [CrossRef] [Green Version]
- Brunk, U.T.; Terman, A. The mitochondrial-lysosomal axis theory of aging. JBIC J. Biol. Inorg. Chem. 2002, 269, 1996–2002. [Google Scholar] [CrossRef]
- Luk’Yanova, L.D.; Kirova, Y.; Germanova, E.L. Peculiarities of Immediate Response of Respiratory Chain Enzymes in Rat Cerebral Cortex to Hypoxia. Bull. Exp. Biol. Med. 2019, 166, 426–431. [Google Scholar] [CrossRef]
- Mironova, G.D.; Pavlik, L.L.; Kirova, Y.; Belosludtseva, N.; Mosentsov, A.A.; Khmil, N.; Germanova, E.L.; Lukyanova, L.D. Effect of hypoxia on mitochondrial enzymes and ultrastructure in the brain cortex of rats with different tolerance to oxygen shortage. J. Bioenerg. Biomembr. 2019, 51, 329–340. [Google Scholar] [CrossRef]
- Hochachka, P.W.; Dressendorfer, R.H. Succinate accumulation in man during exercise. Graefe’s Arch. Clin. Exp. Ophthalmol. 1976, 35, 235–242. [Google Scholar] [CrossRef] [PubMed]
- Kondrashova, M.N. The formation and utilization of succinate in mitochondria as a control mechanism of energization and energy state of tissue. In Biological and Biochemical Oscillators; Chance, B., Ed.; Academic Press: New York, NY, USA, 1993; pp. 373–397. [Google Scholar]
- Dickey, A.; Strack, S. PKA/AKAP1 and PP2A/B 2 Regulate Neuronal Morphogenesis via Drp1 Phosphorylation and Mitochondrial Bioenergetics. J. Neurosci. 2011, 31, 15716–15726. [Google Scholar] [CrossRef] [Green Version]
- Gomes, L.C.; Di Benedetto, G.; Scorrano, L. During autophagy mitochondria elongate, are spared from degradation and sustain cell viability. Nat. Cell Biol. 2011, 13, 589–598. [Google Scholar] [CrossRef] [PubMed] [Green Version]
- Khacho, M.; Clark, A.; Svoboda, D.S.; Azzi, J.; MacLaurin, J.G.; Meghaizel, C.; Sesaki, H.; Lagace, D.C.; Germain, M.; Harper, M.-E.; et al. Mitochondrial Dynamics Impacts Stem Cell Identity and Fate Decisions by Regulating a Nuclear Transcriptional Program. Cell Stem Cell 2016, 19, 232–247. [Google Scholar] [CrossRef] [Green Version]
- Baker, N.; Patel, J.; Khacho, M. Linking mitochondrial dynamics, cristae remodeling and supercomplex formation: How mitochondrial structure can regulate bioenergetics. Mitochondrion 2019, 49, 259–268. [Google Scholar] [CrossRef]
- Mishra, P.; Chan, D.C. Metabolic regulation of mitochondrial dynamics. J. Cell Biol. 2016, 212, 379–387. [Google Scholar] [CrossRef] [PubMed] [Green Version]
- Mitra, K. Mitochondrial fission-fusion as an emerging key regulator of cell proliferation and differentiation. BioEssays 2013, 35, 955–964. [Google Scholar] [CrossRef]
- Ord, M.J.; Smith, R.A. Correlation of mitochondrial form and function in vivo: Microinjection of substrate and nucleotides. Cell Tissue Res. 1982, 227, 129–137. [Google Scholar] [CrossRef]
- Tondera, D.; Grandemange, S.; Jourdain, A.A.; Karbowski, M.; Mattenberger, Y.B.; Herzig, S.; Da Cruz, S.; Clerc, P.; Raschke, I.; Merkwirth, C.; et al. SLP-2 is required for stress-induced mitochondrial hyperfusion. EMBO J. 2009, 28, 1589–1600. [Google Scholar] [CrossRef] [PubMed] [Green Version]
- Woods, D.C. Mitochondrial Heterogeneity: Evaluating Mitochondrial Subpopulation Dynamics in Stem Cells. Stem Cells Int. 2017, 2017, 1–7. [Google Scholar] [CrossRef] [PubMed] [Green Version]
- Chan, D.C. Fusion and Fission: Interlinked Processes Critical for Mitochondrial Health. Annu. Rev. Genet. 2012, 46, 265–287. [Google Scholar] [CrossRef] [PubMed] [Green Version]
- Chen, H.; Chan, D.C. Mitochondrial dynamics-fusion, fission, movement, and mitophagy-in neurodegenerative diseases. Hum. Mol. Genet. 2009, 18, R169–R176. [Google Scholar] [CrossRef] [PubMed]
- Karbowski, M.; Youle, R.J. Dynamics of mitochondrial morphology in healthy cells and during apoptosis. Cell Death Differ. 2003, 10, 870–880. [Google Scholar] [CrossRef] [PubMed] [Green Version]
- Liesa, M.; Palacín, M.; Zorzano, A. Mitochondrial Dynamics in Mammalian Health and Disease. Physiol. Rev. 2009, 89, 799–845. [Google Scholar] [CrossRef] [Green Version]
- Lyamzaev, K.; Tokarchuk, A.; Panteleeva, A.A.; Mulkidjanian, A.Y.; Skulachev, V.; Chernyak, B. Induction of autophagy by depolarization of mitochondria. Autophagy 2018, 14, 921–924. [Google Scholar] [CrossRef]
- Ono, T.; Isobe, K.; Nakada, K.; Hayashi, J.-I. Human cells are protected from mitochondrial dysfunction by complementation of DNA products in fused mitochondria. Nat. Genet. 2001, 28, 272–275. [Google Scholar] [CrossRef]
- Westermann, B. Bioenergetic role of mitochondrial fusion and fission. Biochim. Biophys. Acta (BBA) Bioenerg. 2012, 1817, 1833–1838. [Google Scholar] [CrossRef] [PubMed] [Green Version]
- Kondadi, A.K.; Anand, R.; Reichert, A.S. Functional Interplay between Cristae Biogenesis, Mitochondrial Dynamics and Mitochondrial DNA Integrity. Int. J. Mol. Sci. 2019, 20, 4311. [Google Scholar] [CrossRef] [PubMed] [Green Version]
- Zick, M.; Rabl, R.; Reichert, A.S. Cristae formation—Linking ultrastructure and function of mitochondria. Biochim. Biophys. Acta (BBA) Bioenerg. 2009, 1793, 5–19. [Google Scholar] [CrossRef] [Green Version]
- Zimmermann, M.; Reichert, A.S. How to get rid of mitochondria: Crosstalk and regulation of multiple mitophagy pathways. Biol. Chem. 2017, 399, 29–45. [Google Scholar] [CrossRef] [PubMed]
- Cogliati, S.; Frezza, C.; Soriano, M.E.; Varanita, T.; Quintana-Cabrera, R.; Corrado, M.; Cipolat, S.; Costa, V.; Casarin, A.; Gomes, L.C.; et al. Mitochondrial Cristae Shape Determines Respiratory Chain Supercomplexes Assembly and Respiratory Efficiency. Cell 2013, 155, 160–171. [Google Scholar] [CrossRef] [Green Version]
- Glancy, B.; Kim, Y.; Katti, P.; Willingham, T.B. The Functional Impact of Mitochondrial Structure Across Subcellular Scales. Front. Physiol. 2020, 11. [Google Scholar] [CrossRef] [PubMed]
- Chance, B.; Hollunger, G. The interaction of energy and electron transfer reactions in mitochondria. I. General properties and nature of the products of succinate-linked reduction of pyridine nucleotide. J. Biol. Chem. 1961, 236, 1534–1543. [Google Scholar] [CrossRef]
- Buck, K.J.; Walter, N.; Denmark, D.L. Genetic variability of respiratory complex abundance, organization and activity in mouse brain. Genes Brain Behav. 2013, 13, 135–143. [Google Scholar] [CrossRef] [PubMed] [Green Version]
- Meerson, F.Z. The Failing Heart: Adaptation and Deadaptation; Katz, A.M., Ed.; Raven Press: New York, NY, USA, 1983; p. 323. [Google Scholar]
- Pernas, L.; Scorrano, L. Mito-Morphosis: Mitochondrial Fusion, Fission, and Cristae Remodeling as Key Mediators of Cellular Function. Annu. Rev. Physiol. 2016, 78, 505–531. [Google Scholar] [CrossRef]
- Lukyanova, L.D.; Kirova, Y. Effect of hypoxic preconditioning on free radical processes in tissues of rats with different resistance to hypoxia. Bull. Exp. Biol. Med. 2011, 151, 292–296. [Google Scholar] [CrossRef]
- Abramov, A.Y.; Scorziello, A.; Duchen, M. Three Distinct Mechanisms Generate Oxygen Free Radicals in Neurons and Contribute to Cell Death during Anoxia and Reoxygenation. J. Neurosci. 2007, 27, 1129–1138. [Google Scholar] [CrossRef]
- Fan, J.; Cai, H.; Yang, S.; Yan, L.; Tan, W. Comparison between the effects of normoxia and hypoxia on antioxidant enzymes and glutathione redox state in ex vivo culture of CD34+ cells. Comp. Biochem. Physiol. Part B Biochem. Mol. Biol. 2008, 151, 153–158. [Google Scholar] [CrossRef]
- Honchar, O.O.; Man’Kovs’Ka, I.M. Glutathione system adaptation to acute stress in the heart of rats during different regimes of hypoxia training. Ukr. Biokhimichnyi Zhurnal 2007, 79, 79–85. [Google Scholar]
- Lin, A.M.; Chen, C.F.; Ho, L.T. Neuroprotective Effect of Intermittent Hypoxia on Iron-Induced Oxidative Injury in Rat Brain. Exp. Neurol. 2002, 176, 328–335. [Google Scholar] [CrossRef]
- Mansfield, K.D.; Simon, M.C.; Keith, B. Hypoxic reduction in cellular glutathione levels requires mitochondrial reactive oxygen species. J. Appl. Physiol. 2004, 97, 1358–1366. [Google Scholar] [CrossRef]
- Furchgott, R.; Shorr, E. The effect of succinate on respiration and certain metabolic processes of mammalian tissues at low oxy-gen tensions in vitro. J. Biol. Chem. 1948, 175, 201–2015. [Google Scholar] [CrossRef]
- Taegtmeyer, H. Metabolic responses to cardiac hypoxia. Increased production of succinate by rabbit papillary muscles. Circ. Res. 1978, 43, 808–815. [Google Scholar] [CrossRef] [PubMed] [Green Version]
- Hohl, C.; Oestreich, R.; Rösen, P.; Wiesner, R.; Grieshaber, M. Evidence for succinate production by reduction of fumarate during hypoxia in isolated adult rat heart cells. Arch. Biochem. Biophys. 1987, 259, 527–535. [Google Scholar] [CrossRef]
- Kondrashova, M.N.; Volkova, S.P.; Kuznetzov, I.V.; Grigorenko, E.V.; Babsky, A.M.; Podoletz, A. Succinic acid as a physio-logical signal molecule. In Signal Molecule and Behavior; Winlow, W., Vinogradova, O.S., Sakharov, D.A., Eds.; Manchester University Press: Manchester, NY, USA, 1991; pp. 295–300. [Google Scholar]
- Dudchenko, A.M.; Luk’Yanova, L.D. Effects of adaptation to hypoxia on cytochrome levels in the brain and liver of rats. Bull. Exp. Biol. Med. 1995, 120, 1193–1195. [Google Scholar] [CrossRef]
- Lukyanova, L.D.; Romanova, V.E.; Chernobaeva, G.N. Features of oxidative phosphorylation in brain mitochondria of rats differing in their sensitivity to hypoxia. Bull. Eksp. Biol. Med. 1991, 112, 49–51. [Google Scholar]
- Luk’yanova, L.D.; Chernobaeva, G.N.; Romanova, V.E. Effects of adaptation to intermittent hypoxia on oxidative phosphor-ylation in brain mitochondria of rats with different sensitivities toward oxygen deficiency. Bull. Eksp. Biol. Med. 1995, 120, 1189–1192. [Google Scholar] [CrossRef]
- Hawkins, B.J.; Levin, M.; Doonan, P.J.; Petrenko, N.B.; Davis, C.W.; Patel, V.V.; Madesh, M. Mitochondrial Complex II Prevents Hypoxic but Not Calcium- and Proapoptotic Bcl-2 Protein-induced Mitochondrial Membrane Potential Loss. J. Biol. Chem. 2010, 285, 26494–26505. [Google Scholar] [CrossRef] [Green Version]
- Maevsky, E.I.; Rosenfield, A.S.; Grishina, E.V.; Kondrashova, M.N. Correction of Metabolic Acidosis Through Sustaining of Mitochondrial Function; ONTI Pushchino: Moscow, Russia, 2001. [Google Scholar]
- Weinberg, J.M.; Venkatachalam, M.A.; Roeser, N.F.; Saikumar, P.; Dong, Z.; Senter, R.A.; Nissim, I. Anaerobic and aerobic pathways for salvage of proximal tubules from hypoxia-induced mitochondrial injury. Am. J. Physiol. Physiol. 2000, 279, F927–F943. [Google Scholar] [CrossRef]
- Ramos, E.S.; Motori, E.; Brüser, C.; Kühl, I.; Yeroslaviz, A.; Ruzzenente, B.; Kauppila, J.H.K.; Busch, J.D.; Hultenby, K.; Habermann, B.H.; et al. Mitochondrial fusion is required for regulation of mitochondrial DNA replication. PLoS Genet. 2019, 15, e1008085. [Google Scholar] [CrossRef] [Green Version]
- Ahmad, T.; Aggarwal, K.; Pattnaik, B.; Mukherjee, S.; Sethi, T.; Tiwari, B.K.; Kumar, M.; Michealraj, A.; Mabalirajan, U.; Ghosh, B.; et al. Computational classification of mitochondrial shapes reflects stress and redox state. Cell Death Dis. 2013, 4, e461. [Google Scholar] [CrossRef] [Green Version]
- Hochachka, P.W. Defense strategies against hypoxia and hypothermia. Science 1986, 231, 234–241. [Google Scholar] [CrossRef]
- Fedotcheva, N.I.; Sokolov, A.P.; Kondrashova, M.N. Nonezymatic formation of succinate in mitochondria under oxidative stress. Free Radic. Biol. Med. 2006, 41, 56–64. [Google Scholar] [CrossRef] [PubMed]
- Fonseca, M.D.C.; Aguiar, C.J.; Franco, J.A.D.R.; Gingold, R.N.; Leite, M.F. GPR91: Expanding the frontiers of Krebs cycle intermediates. Cell Commun. Signal. 2016, 14, 1–9. [Google Scholar] [CrossRef] [Green Version]
- Flippo, K.H.; Strack, S. Mitochondrial dynamics in neuronal injury, development and plasticity. J. Cell Sci. 2017, 130, 671–681. [Google Scholar] [CrossRef] [PubMed] [Green Version]
- Ding, W.-X.; Li, M.; Biazik, J.M.; Morgan, D.G.; Guo, F.; Ni, H.-M.; Goheen, M.; Eskelinen, E.-L.; Yin, X.-M. Electron Microscopic Analysis of a Spherical Mitochondrial Structure. J. Biol. Chem. 2012, 287, 42373–42378. [Google Scholar] [CrossRef] [PubMed] [Green Version]
- Chouchani, E.T.; Pell, V.R.; Gaude, E.; Aksentijevic, D.; Sundier, S.Y.; Robb, E.L.; Logan, A.; Nadtochiy, S.M.; Ord, E.; Smith, A.; et al. Ischaemic accumulation of succinate controls reperfusion injury through mitochondrial ROS. Nat. Cell Biol. 2014, 515, 431–435. [Google Scholar] [CrossRef] [PubMed] [Green Version]
- Kuznetsov, A.V.; Margreiter, R. Heterogeneity of Mitochondria and Mitochondrial Function within Cells as Another Level of Mitochondrial Complexity. Int. J. Mol. Sci. 2009, 10, 1911–1929. [Google Scholar] [CrossRef] [PubMed] [Green Version]
- Benard, G.; Bellance, N.; James, D.; Parrone, P.; Fernandez, H.; Letellier, T.; Rossignol, R. Mitochondrial bioenergetics and structural network organization. J. Cell Sci. 2007, 120, 838–848. [Google Scholar] [CrossRef] [PubMed] [Green Version]
- Acin-Perez, R.; Enriquez, J.A. The function of the respiratory supercomplexes: The plasticity model. Biochim. Biophys. Acta Bioenerg. 2014, 1837, 444–450. [Google Scholar] [CrossRef] [Green Version]
- Lapuente-Brun, E.; Moreno-Loshuertos, R.; Acín-Pérez, R.; Latorre-Pellicer, A.; Colás, C.; Balsa, E.; Perales-Clemente, E.; Quirós, P.M.; Calvo, E.; Rodríguez-Hernández, M.A.; et al. Supercomplex Assembly Determines Electron Flux in the Mitochondrial Electron Transport Chain. Science 2013, 340, 1567–1570. [Google Scholar] [CrossRef] [PubMed]
- Guarás, A.; Perales-Clemente, E.; Calvo, E.; Acin-Perez, R.; Loureiro, M.; Pujol, C.; Martínez-Carrascoso, I.; Nuñez, E.; Garcia-Marques, F.; Rodríguez-Hernández, M.A.; et al. The CoQH2/CoQ Ratio Serves as a Sensor of Respiratory Chain Efficiency. Cell Rep. 2016, 15, 197–209. [Google Scholar] [CrossRef] [Green Version]
- Acin-Perez, R.; Silva, P.F.; Peleato, M.L.; Pérez-Martos, A.; Enriquez, J.A. Respiratory Active Mitochondrial Supercomplexes. Mol. Cell 2008, 32, 529–539. [Google Scholar] [CrossRef]
- Anwar, M.R.; Saldana-Caboverde, A.; Garcia, S.; Diaz, F. The Organization of Mitochondrial Supercomplexes is Modulated by Oxidative Stress In Vivo in Mouse Models of Mitochondrial Encephalopathy. Int. J. Mol. Sci. 2018, 19, 1582. [Google Scholar] [CrossRef] [Green Version]
- Enríquez, J.A. Supramolecular Organization of Respiratory Complexes. Annu. Rev. Physiol. 2016, 78, 533–561. [Google Scholar] [CrossRef]
- Guo, R.; Zong, S.; Wu, M.; Gu, J.; Yang, M. Architecture of Human Mitochondrial Respiratory Megacomplex I2III2IV2. Cell 2017, 170, 1247–1257. [Google Scholar] [CrossRef] [Green Version]
- Jang, S.; Javadov, S. Elucidating the contribution of ETC complexes I and II to the respirasome formation in cardiac mitochondria. Sci. Rep. 2018, 8, 1–12. [Google Scholar] [CrossRef]
- Javadov, S.; Kozlov, A.V.; Camara, A.K.S. Mitochondria in Health and Diseases. Cells 2020, 9, 1177. [Google Scholar] [CrossRef]
- Kondrashova, M.; Zakharchenko, M.; Zakharchenko, A.; Khunderyakova, N.; Maevsky, E. Study of succinate dehydrogenase and α-ketoglutarate dehydrogenase in mitochondria inside glass-adhered lymphocytes under physiological conditions—The two dehydrogenases as counterparts of adrenaline and acetylcholine regulation. In Biochemistry, Genetics and Molecular Biology “Dehydrogenases”; Canuto, R.A., Ed.; InTech: Rijeka, Croatia, 2012. [Google Scholar] [CrossRef] [Green Version]
- Maevsky, E.I.; Rosenfeld, A.S.; Peskov, A.B.; Kondrashova, M.N. Signal sympathetic action of succinate in experimental and clinical studies. In Proceedings of the 14th European Bioenergetics Conference—2006 Short Reports, Moscow, Russia, 22–27 July 2006; pp. 536–537. [Google Scholar]
- Lukyanova, L.D.; Germanova, E.L.; Kopaladze, R.A. Development of resistance of an organism under various conditions of hypoxic preconditioning: Role of the hypoxic period and reoxygenation. Bull. Exp. Biol. Med. 2009, 147, 400–404. [Google Scholar] [CrossRef] [PubMed]
- Tregub, P.; Kulikov, V.; Bespalov, A. Tolerance to acute hypoxia maximally increases in case of joint effect of normobaric hypoxia and permissive hypercapnia in rats. Pathophysiology 2013, 20, 165–170. [Google Scholar] [CrossRef] [PubMed]
- Chilov, D.; Camenisch, G.; Kvietikova, I.; Ziegler, U.; Gassmann, M.; Wenger, R.H. Induction and nuclear translocation of hypoxia-inducible factor-1 (HIF-1): Heterodimerization with ARNT is not necessary for nuclear accumulation of HIF-1alpha. J. Cell. Sci. 1999, 112, 1203–1212. [Google Scholar] [CrossRef] [PubMed]
- Vik, S.; Hatefi, Y. Possible occurrence and role of an essential histidyl residue in succinate dehydrogenase. Proc. Natl. Acad. Sci. USA 1981, 78, 6749–6753. [Google Scholar] [CrossRef] [PubMed] [Green Version]
- Weakley, B.S. A Beginners Handbook in Biological Electron Microscopy; Churchill Livingstone: Edinburg, TX, USA; London, UK, 1972; p. 228. [Google Scholar]








| Measured Parameters | Animal Phenotype | NDUFV2 (MC I) | SDHA (MC II) | Cyt b (MC III) | COX1 (MC IV) | ATP5A (MC V) |
|---|---|---|---|---|---|---|
| Control (21% O2) | HR/LR, % | 155 | 125 | 129 | 119 | 119 |
| 14% O2 | ||||||
| 14% O2 after 20 sessions | LR/C, % | 116 | 104 | 121 * | 89 | 94 |
| HR/C, % | 85 | 85 | 115 | 85 | 86 | |
| HR/LR, % | 73 | 82 | 95 | 96 | 91 | |
| 10% O2 | ||||||
| 10% O2 after 20 sessions | LR/C, % | 115 * | 50 * | 130 * | 90 | 92 |
| HR/C, % | 117 * | 55 * | 120 | 86 | 89 | |
| HR/LR, % | 102 | 110 | 92 | 96 | 97 | |
| 8% O2 | ||||||
| 8% O2 after 20 sessions | LR/C, % | 115 | 90 | 145 | 79 * | 65 * |
| HR/C, % | 107 | 76 * | 114 | 65 * | 58 * | |
| HR/LR, % | 93 | 84 | 79 * | 82 | 89 | |
| Animal Phenotype | Total Number of Mitochondria per 10 µm2 | Small Mitochondria (0.14–0.25 µm) (% of Total Number) | Elongated Mitochondria (0.5–3 µm) (% of Total Number) | Hyper-Elongated Mitochondria (4 µm) (% of Total Number) |
|---|---|---|---|---|
| HR | 7.25 ± 0.43 | 32.8 | 38 | 11 |
| LR | 6.17 ± 0.36 | 28.6 | 29 | 3 |
| HR/LR (%) | 118 | 115 | 131 * | 367 * |
| Animal Phenotype | Area, µm2 | Perimeter, µm | ||
|---|---|---|---|---|
| Small Mitochondria (0.14–0.25 µm) | Elongated Mitochondria (0.5–3 µm) | Small Mitochondria (0.14–0.25 µm) | Elongated Mitochondria (0.5–3 µm) | |
| HR | 0.047 ± 0.01 | 0.196 ± 0.014 | 0.751 ± 0.015 | 1.741 ± 0.111 |
| LR | 0.064 ± 0.03 | 0.281 ± 0.018 | 0.950 ± 0.022 | 2.030 ± 0.138 |
| HR/LR (%) | 73 * | 70 * | 79 * | 86 |
| Hypoxic Regimens | LR | HR | ||||
|---|---|---|---|---|---|---|
| Small Mitochondria (0.14–0.25 µm) (in % of Control) | Elongated Mitochondria (0.5–3 µm) (in % of Control) | Hyper-Elongated Mitochondria (4 µm and >) (in % of Control) | Small Mitochondria (0.14–0.25 µm) (in % of Control) | Elongated Mitochondria (0.5–3 µm) (in % of Control) | Hyper-Elongated Mitochondria (4 µm and >) (in % of Control) | |
| Immediately after the first hypoxic exposure | ||||||
| 14% O2 | 279 ± 3.0 ** | 92 ± 0.8 | 134 ± 1.1 * | 124 ± 0.8 | 69 ± 0.5 * | 69 ± 0.7 * |
| 10% O2 | 357 ± 3.3 ** | 85 ± 0.6 * | 85 ± 0.7 * | 114 ± 1.0 | 78 ± 0.6 * | 42 ± 0.3 * |
| 8% O2 | 178 ± 1.9 ** | 138 ± 1.2 * | 206 ± 1.5 ** | 47 ± 0.3 ** | 197 ± 2.0 ** | 438 ± 3.5 ** |
| After course training | ||||||
| 14% O2 | 191 ± 1.5 ** | 134 ± 1.2 * | 100 ± 0.9 | 105 ± 0.9 | 108 ± 1.1 | 64 ± 0.5 * |
| 10% O2 | 199 ± 1.4 ** | 126 ± 1.1 * | 300 ± 2.5 ** | 136 ± 1.1 * | 95 ± 1.0 | 45 ± 0.4 ** |
| 8% O2 | 124 ± 1.1 * | 98 ± 0.8 | 400 ± 3.8 ** | 80 ± 0.6 * | 113 ± 0.9 | 45 ± 0.5 ** |
Publisher’s Note: MDPI stays neutral with regard to jurisdictional claims in published maps and institutional affiliations. |
© 2021 by the authors. Licensee MDPI, Basel, Switzerland. This article is an open access article distributed under the terms and conditions of the Creative Commons Attribution (CC BY) license (https://creativecommons.org/licenses/by/4.0/).
Share and Cite
Lukyanova, L.; Germanova, E.; Khmil, N.; Pavlik, L.; Mikheeva, I.; Shigaeva, M.; Mironova, G. Signaling Role of Mitochondrial Enzymes and Ultrastructure in the Formation of Molecular Mechanisms of Adaptation to Hypoxia. Int. J. Mol. Sci. 2021, 22, 8636. https://doi.org/10.3390/ijms22168636
Lukyanova L, Germanova E, Khmil N, Pavlik L, Mikheeva I, Shigaeva M, Mironova G. Signaling Role of Mitochondrial Enzymes and Ultrastructure in the Formation of Molecular Mechanisms of Adaptation to Hypoxia. International Journal of Molecular Sciences. 2021; 22(16):8636. https://doi.org/10.3390/ijms22168636
Chicago/Turabian StyleLukyanova, Ludmila, Elita Germanova, Natalya Khmil, Lybov Pavlik, Irina Mikheeva, Maria Shigaeva, and Galina Mironova. 2021. "Signaling Role of Mitochondrial Enzymes and Ultrastructure in the Formation of Molecular Mechanisms of Adaptation to Hypoxia" International Journal of Molecular Sciences 22, no. 16: 8636. https://doi.org/10.3390/ijms22168636
APA StyleLukyanova, L., Germanova, E., Khmil, N., Pavlik, L., Mikheeva, I., Shigaeva, M., & Mironova, G. (2021). Signaling Role of Mitochondrial Enzymes and Ultrastructure in the Formation of Molecular Mechanisms of Adaptation to Hypoxia. International Journal of Molecular Sciences, 22(16), 8636. https://doi.org/10.3390/ijms22168636

