Cross-Recognition of Promoters by the Nine SigB Homologues Present in Streptomyces coelicolor A3(2)
Abstract
1. Introduction
2. Results and Discussion
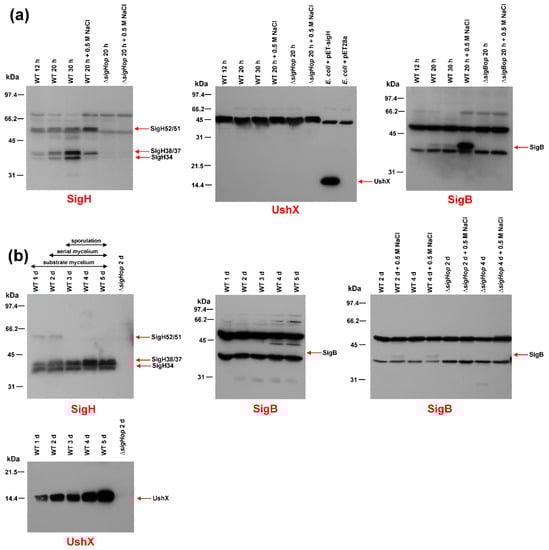
2.1. Levels of SigB and SigH after Osmotic Stress and during Differentiation
2.2. Deletion of the sigB and sigH Operons in S. coelicolor A3(2)
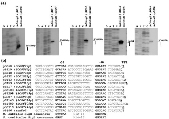
2.3. Identification of SigB Regulon Using a Heterologous Two-Plasmid System
2.4. Cross-Recognition of Promoters by Nine Homologues of SigB
3. Materials and Methods
3.1. Bacterial Strains, Culture Conditions, and Plasmids
3.2. Recombinant DNA Techniques
3.3. Detection of E. coli Clones Containing SigB-Dependent Promoters and Cross-Recognition of Promoters by Nice SigB Homologous Sigma Factors
3.4. RNA Isolation and S1-Nuclease Mapping
3.5. Isolation of SigB, SigH, UshX Proteins and Immunoblot Analysis
3.6. Construction of Deletion Mutants in S. coelicolor A3(2)
Supplementary Materials
Author Contributions
Funding
Institutional Review Board Statement
Informed Consent Statement
Data Availability Statement
Acknowledgments
Conflicts of Interest
Abbreviations
| Amp | ampicillin |
| Apr | apramycin |
| B | Bacillus |
| CFU | colony forming units |
| Cm | chloramphenicol |
| Kan | kanamycin |
| E | Escherichia |
| LB | Luria-Bertani (medium) |
| IPTG | isopropyl-β-D-thiogalactopyranoside |
| PCR | polymerase chain reaction |
| S | Streptomyces |
| SDS-PAGE | sodium dodecyl sulfate-polyacrylamide gel |
| TSS | transcription start site |
| X-gal | 5-bromo-4-chloro-3-indolyl-β-D-galactopyranosid |
| WT | wild type |
References
- Chater, K.F. Differentiation in Streptomyces: The properties and programming of diverse cell types. In Streptomyces: Molecular Biology and Biotechnology; Dyson, P.J., Ed.; Caister Academic Press: Norfolk, UK, 2011; pp. 43–86. [Google Scholar]
- Jones, S.E.; Elliot, M.A. Exploring the regulation of Streptomyces growth and development. Curr. Opin. Microbiol. 2018, 42, 25–30. [Google Scholar] [CrossRef] [PubMed]
- van der Heul, H.U.; Bilyk, B.L.; McDowall, K.J.; Seipke, R.F.; van Wezel, G.P. Regulation of antibiotic production in Actinobacteria: New perspectives from the post-genomic era. Nat. Prod. Rep. 2018, 35, 575–604. [Google Scholar] [CrossRef]
- Vohradsky, J.; Li, X.M.; Dale, G.; Folcher, M.; Nguyen, L.; Viollier, P.H.; Thompson, C.J. Developmental control of stress stimulons in Streptomyces coelicolor revealed by statistical analysis of global gene expression patters. J. Bacteriol. 2000, 182, 4979–4986. [Google Scholar] [CrossRef] [PubMed]
- Ayala, F.R.; Bartolini, M.; Grau, R. The stress-responsive alternative sigma factor SigB of Bacillus subtilis and its relatives: An old friend with new functions. Front. Microbiol. 2020, 11, 1761. [Google Scholar] [CrossRef]
- Hecker, M.; Pane-Farre, J.; Volker, U. SigB-dependent general stress response in Bacillus subtilis and related gram-positive bacteria. Annu. Rev. Microbiol. 2007, 61, 215–236. [Google Scholar] [CrossRef]
- Kormanec, J.; Sevcikova, B.; Novakova, R.; Homerova, D.; Rezuchova, B.; Mingyar, E. The complex regulatory network in the regulation of stress-response sigma factors in Streptomyces coelicolor A3(2). In Stress and Environmental Regulation of Gene Expression and Adaptation in Bacteria; de Bruijn, F.J., Ed.; John Wiley & Sons: Hoboken, NJ, USA, 2016; pp. 321–336. [Google Scholar]
- Bentley, S.D.; Chater, K.F.; Cerdeno-Tarraga, A.M.; Challis, G.L.; Thomson, N.R.; James, K.D.; Harris, D.E.; Quail, M.A.; Kieser, H.; Harper, D.; et al. Complete genome sequence of the model actinomycete Streptomyces coelicolor A3(2). Nature 2002, 417, 141–147. [Google Scholar] [CrossRef] [PubMed]
- Mittenhuber, G. A phylogenetic study of the general stress response sigma factor σB of Bacillus subtilis and its regulatory proteins. J. Mol. Microbiol. 2002, 4, 427–452. [Google Scholar]
- Potuckova, L.; Kelemen, G.H.; Findlay, K.C.; Lonetto, M.A.; Buttner, M.J.; Kormanec, J. A new RNA polymerase sigma factor, σF, is required for the late stages of morphological differentiation in Streptomyces spp. Mol. Microbiol. 1995, 17, 37–48. [Google Scholar] [CrossRef] [PubMed]
- Kelemen, G.H.; Brown, G.L.; Kormanec, J.; Potuckova, L.; Chater, K.F.; Buttner, M.J. The position of the sigma-factor genes, whiG and sigF, in the hierarchy controlling the development of spore chains in the aerial hyphae of Streptomyces coelicolor A3(2). Mol. Microbiol. 1996, 21, 593–603. [Google Scholar] [CrossRef]
- Sun, J.; Kelemen, G.H.; Fernandez-Abalos, J.M.; Bibb, M.J. Green fluorescent protein as a reporter for spatial and temporal gene expression in Streptomyces coelicolor A3(2). Microbiol. SGM 1999, 145, 2221–2227. [Google Scholar] [CrossRef]
- Kim, E.S.; Song, J.Y.; Kim, D.W.; Chater, K.F.; Lee, K.J. A possible extended family of regulators of sigma factor activity in Streptomyces coelicolor. J. Bacteriol. 2008, 190, 7559–7566. [Google Scholar] [CrossRef] [PubMed]
- Kelemen, G.H.; Brian, P.; Flard, K.; Chamberlin, L.; Chater, K.F.; Buttner, M.J. Developmental regulation of transcription of whiE, a locus specifying the polyketide spore pigment in Streptomyces coelicolor A3(2). J. Bacteriol. 1998, 180, 2515–2521. [Google Scholar] [CrossRef]
- Tzanis, A.; Dalton, K.A.; Hesketh, A.; den Hengst, C.D.; Buttner, M.J.; Thibessard, A.; Kelemen, G.H. A sporulation-specific, sigF-dependent protein, SspA, affects septum positioning in Streptomyces coelicolor. Mol. Microbiol. 2014, 91, 363–380. [Google Scholar] [CrossRef] [PubMed]
- Dalton, K.A.; Thibessard, A.; Hunter, J.I.; Kelemen, G.H. A novel compartment, the ‘subapical stem’ of the aerial hyphae, is the location of a sigN-dependent, developmentally distinct transcription in Streptomyces coelicolor. Mol. Microbiol. 2007, 64, 719–737. [Google Scholar] [CrossRef]
- Mao, X.-M.; Zhou, Z.; Hou, X.-P.; Guan, W.-J.; Li, Y.-Q. Reciprocal regulation between sigK and differentiation programs in Streptomyces coelicolor. J. Bacteriol. 2009, 91, 6473–6481. [Google Scholar] [CrossRef][Green Version]
- Kormanec, J.; Homerova, D.; Barak, I.; Sevcikova, B. A new gene, sigG, encoding a putative alternative sigma factor of Streptomyces coelicolor A3(2). FEMS Microbiol. Lett. 1999, 172, 153–158. [Google Scholar] [CrossRef] [PubMed][Green Version]
- Strakova, E.; Zikova, A.; Vohradsky, J. Interference of sigma factor controlled networks by using numerical modeling applied to microarray time series data of the germinating prokaryote. Nucleic Acids Res. 2013, 42, 748–763. [Google Scholar] [CrossRef] [PubMed]
- Sevcikova, B.; Mazurakova, V.; Kormanec, J. Characterization of the alternative sigma factor σG in Streptomyces coelicolor A3(2). Folia Microbiol. 2005, 50, 47–58. [Google Scholar] [CrossRef] [PubMed]
- Homerova, D.; Sevcikova, B.; Rezuchova, B.; Kormanec, J. Regulation of an alternative sigma factor σI by a partner switching mechanism with an anti-sigma factor PrsI and an anti-anti-sigma factor ArsI in Streptomyces coelicolor A3(2). Gene 2012, 492, 71–80. [Google Scholar] [CrossRef]
- Cho, Y.H.; Lee, E.J.; Ahn, B.E.; Roe, J.H. SigB, an RNA polymerase sigma factor required for osmoprotection and proper differentiation of Streptomyces coelicolor. Mol. Microbiol. 2001, 42, 205–214. [Google Scholar] [CrossRef]
- Lee, E.J.; Cho, Y.H.; Kim, H.S.; Ahn, B.E.; Roe, J.H. Regulation of σB by an anti- and anti-anti-sigma factor in Streptomyces coelicolor in response to osmotic stress. J. Bacteriol. 2004, 186, 8490–8498. [Google Scholar] [CrossRef]
- Fernandez-Martinez, L.; Bishop, A.; Parkes, L.; Del Sol, R.; Salerno, P.; Sevcikova, B.; Mazurakova, V.; Kormanec, J.; Dyson, P. Osmoregulation in Streptomyces coelicolor: Modulation of SigB activity by OsaC. Mol. Microbiol. 2009, 71, 1250–1262. [Google Scholar] [CrossRef]
- Lee, E.J.; Karoonuthaisiri, N.; Kim, H.S.; Park, J.H.; Cha, C.J.; Kao, C.M.; Roe, J.H. A master regulator σB governs osmotic and oxidative response as well as differentiation via a network of sigma factors in Streptomyces coelicolor. Mol. Microbiol. 2005, 57, 1252–1264. [Google Scholar] [CrossRef] [PubMed]
- Gaskell, A.A.; Crack, J.C.; Kelemen, G.H.; Hutchings, M.I.; Le Brun, N.E. RmsA is an anti-sigma factor that modulates its activity through [2Fe-2S] cluster cofactor. J. Biol. Chem. 2007, 282, 31812–31820. [Google Scholar] [CrossRef]
- Sevcikova, B.; Benada, O.; Kofronova, O.; Kormanec, J. Stress-response sigma factor σH is essential for morphological differentiation of Streptomyces coelicolor A3(2). Arch. Microbiol. 2001, 177, 98–106. [Google Scholar] [CrossRef] [PubMed]
- Kormanec, J.; Sevcikova, B.; Halgasova, N.; Knirschova, R.; Rezuchova, B. Identification and transcriptional characterization of the gene encoding the stress—Response sigma factor σH in Streptomyces coelicolor A3(2). FEMS Microbiol. Lett. 2000, 189, 31–38. [Google Scholar] [PubMed]
- Kelemen, G.H.; Viollier, P.; Tenor, J.L.; Marri, L.; Buttner, M.J.; Thompson, C.J. A connection between stress and development in the multicellular prokaryote Streptomyces coelicolor A3(2). Mol. Microbiol. 2001, 40, 804–814. [Google Scholar] [CrossRef] [PubMed]
- Viollier, P.H.; Weihofen, A.; Folcher, M.; Thompson, C.J. Post-translational regulation of the Streptomyces coelicolor stress responsive sigma factor, SigH, involves translational control, proteolytic processing, and an anti-sigma factor homolog. J. Mol. Biol. 2003, 325, 637–649. [Google Scholar] [CrossRef]
- Sevcikova, B.; Kormanec, J. Activity of the Streptomyces coelicolor stress-response sigma factor σH is regulated an anti-sigma factor. FEMS Microbiol. Lett. 2002, 209, 229–235. [Google Scholar] [CrossRef]
- Sevcikova, B.; Rezuchova, B.; Homerova, D.; Kormanec, J. The anti-anti sigma factor BldG is involved in activation of stress-response sigma factor σH in Streptomyces coelicolor A3(2). J. Bacteriol. 2010, 192, 5674–5681. [Google Scholar] [CrossRef]
- Sevcikova, B.; Rezuchova, B.; Mingyar, E.; Homerova, D.; Novakova, R.; Feckova, L.; Kormanec, J. Pleiotropic anti-anti-sigma factor BldG is phosphorylated by several anti-sigma factor kinases in the process of activating multiple sigma factors in Streptomyces coelicolor A3(2). Gene 2020, 755, 144883. [Google Scholar] [CrossRef]
- Karoonuthaisiry, N.; Weaver, D.; Huang, J.; Cohen, S.N.; Kao, C.M. Regional organization of gene expression in Streptomyces coelicolor. Gene 2005, 353, 53–66. [Google Scholar] [CrossRef]
- Novakova, R.; Sevcikova, B.; Kormanec, J. A method for the identification of promoters recognized by RNA polymerase containing a particular sigma factor: Cloning of a developmentally regulated promoter and corresponding gene directed by the Streptomyces aureofaciens sigma factor RpoZ. Gene 1998, 208, 43–50. [Google Scholar] [CrossRef]
- Kormanec, J.; Sevcikova, B. Identification and transcriptional analysis of a cold shock inducible gene, cspA, in Streptomyces coelicolor A3(2). Mol. Gen. Genet. 2000, 264, 251–256. [Google Scholar] [CrossRef] [PubMed]
- Kormanec, J.; Sevcikova, B. The stress-response sigma factor σH controls the expression of ssgB, a homologue of the sporulation-specific cell division gene ssgA in Streptomyces coelicolor A3(2). Mol. Genet. Genom. 2002, 267, 536–543. [Google Scholar] [CrossRef]
- Kormanec, J.; Sevcikova, B. Stress-response sigma factor σH directs expression of the gltB gene encoding glutamate synthase in Streptomyces coelicolor A3(2). Biochim. Biophys. Acta 2002, 1577, 149–154. [Google Scholar] [CrossRef]
- Mazurakova, V.; Sevcikova, B.; Rezuchova, B.; Kormanec, J. Cascade of sigma factors in streptomycetes: Identification of a new extracytoplasmic function sigma factor σJ that is under the control of the stress-response sigma factor σH in Streptomyces coelicolor A3(2). Arch. Microbiol. 2006, 186, 435–446. [Google Scholar] [CrossRef]
- Kundu, T.K.; Kusano, S.; Ishihama, A. Promoter selectivity of Escherichia coli RNA polymerase σF holoenzyme involved in transcription of flagellar and chemotaxis genes. J. Bacteriol. 1997, 179, 4264–4269. [Google Scholar] [CrossRef][Green Version]
- Gust, B.; Challis, G.L.; Fowler, K.; Kieser, T.; Chater, K.F. PCR-targeted Streptomyces gene replacement identifies a protein domain needed for biosynthesis of the sesquiterpene soil odor geosmin. Proc. Natl. Acad. Sci. USA 2003, 100, 1541–1546. [Google Scholar] [CrossRef] [PubMed]
- Homerova, D.; Bischoff, M.; Dumoulin, A.; Kormanec, J. Optimization of a two-plasmid system for the identification of promoters recognized by RNA polymerase containing Staphylococcus aureus alternative sigma factor σB. FEMS Microbiol. Lett. 2004, 232, 173–179. [Google Scholar] [CrossRef]
- Homerova, D.; Surdova, K.; Mikusova, K.; Kormanec, J. Identification of promoters recognized by RNA polymerase containing Mycobacterium tuberculosis stress-response sigma factor σF. Arch. Microbiol. 2007, 187, 185–197. [Google Scholar] [CrossRef] [PubMed]
- Petersohn, A.; Bernhardt, J.; Gerth, U.; Hoper, D.; Koburger, T.; Volker, U.; Hecker, M. Identification of σB-dependent genes in Bacillus subtilis using a promoter consensus-directed search and oligonucleotide hybridization. J. Bacteriol. 1999, 181, 5718–5724. [Google Scholar] [CrossRef]
- Lee, E.J.; Cho, Y.H.; Kim, H.S.; Roe, J.H. Identification of σB-dependent promoters using consensus-directed search of Streptomyces coelicolor genome. J. Microbiol. 2004, 42, 147–151. [Google Scholar]
- Maxam, A.M.; Gilbert, W. Sequencing end-labelled DNA with base specific chemical cleavages. Methods Enzymol. 1980, 65, 449–560. [Google Scholar]
- Facey, P.D.; Sevcikova, B.; Novakova, R.; Hitchings, M.D.; Crack, J.C.; Kormanec, J.; Dyson, P.J.; Del Sol, R. The dpsA gene of Streptomyces coelicolor: Induction of expression from a single promoter in response to environmental stress or during development. PLoS ONE 2011, 6, e25593. [Google Scholar] [CrossRef]
- Viollier, P.H.; Kelemen, G.H.; Dale, G.E.; Nguyen, K.T.; Buttner, M.J.; Thompson, C.J. Specialized osmotic stress response systems involve multiple SigB-like sigma factors in Streptomyces coelicolor. Mol. Microbiol. 2003, 47, 699–714. [Google Scholar] [CrossRef] [PubMed]
- Ausubel, F.M.; Brent, R.; Kingstone, R.E.; Moore, D.O.; Seidman, J.S.; Smith, J.A.; Struh, K. Current Protocols in Molecular Biology; John Wiley & Sons: Hoboken, NJ, USA, 1995. [Google Scholar]
- Kieser, T.; Bibb, M.J.; Buttner, M.J.; Chater, K.F.; Hopwood, D.A. Practical Streptomyces Genetics; The John Innes Foundation: Norwich, UK, 2000. [Google Scholar]
- Prentki, P.; Krisch, M. In vitro insertional mutagenesis with a selectable DNA fragment. Gene 1984, 29, 303–313. [Google Scholar] [CrossRef]
- Csolleiova, D.; Knirschova, R.; Rezuchova, D.; Homerova, D.; Sevcikova, B.; Matulova, M.; Núñez, L.E.; Novakova, R.; Feckova, L.; Javorova, R.; et al. An efficient system for stable markerless integration of large biosynthetic gene clusters into Streptomyces chromosomes. Appl. Microbiol. Biotechnol. 2021, 105, 2123–2137. [Google Scholar] [CrossRef] [PubMed]
- Blondelet-Rouault, M.-H.; Weiser, J.; Lebrihi, A.; Branny, P.; Pernodet, J.-L. Antibiotic resistance gene cassettes derived from the W interposon for use in E. coli and Streptomyces. Gene 1997, 190, 315–317. [Google Scholar] [CrossRef]
- Redenbach, M.; Kieser, H.M.; Denapaite, D.; Eichner, A.; Cullum, J.; Kinashi, H.; Hopwood, D.A. A set of ordered cosmids and a detailed genetic and physical map for the 8 Mb Streptomyces coelicolor A3 (2) chromosome. Mol. Microbiol. 1996, 21, 77–96. [Google Scholar] [CrossRef] [PubMed]
- Kormanec, J. Analyzing the developmental expression of sigma factors with S1-nuclease mapping. In Nuclease Methods and Protocols. Methods in Molecular Biology; Chein, C.H., Ed.; Humana Press: Totowa, NJ, USA, 2001; Volume 160, pp. 481–494. [Google Scholar]
- Laemmli, U.K. Cleavage of structural proteins during assembly of the head of Bacteriophage T4. Nature 1970, 227, 680–685. [Google Scholar] [CrossRef] [PubMed]
- Bradford, M.M. A rapid and sensitive method for the quantitation of microgram quantities of protein utilizing the principle of protein-dye binding. Anal. Biochem. 1976, 72, 248–254. [Google Scholar] [CrossRef]





| SCO Gene or Operon Directed by Identified Promoter | Encoded Protein/Function |
|---|---|
| SCO0279 | putative glycosyl hydrolase |
| SCO0566, SCO0565, SCO0564, SCO0563 | putative membrane protein, polyprenyl synthase, HP, HP |
| SCO0775 | HP |
| SCO1089, SCO1088, SCO1087, SCO1086 | HP, putative oxidoreductase, L-treonine aldolase, HP |
| SCO1566 | putative acetyltransferase |
| SCO2315 | putative membrane protein |
| SCO2512, SCO2511, SCO2510, SCO2509 | HP, HP, HP, undecaprenyl phosphate synthase |
| SCO3557, SCO3556, SCO3555, SCO3554, SCO3553, SCO3552, SCO3551 | putative septum site determining protein, all other—membrane HP |
| SCO5749 | atypical response regulator |
| SCO5998 | putative UDP-N-acetylglucosamine transferase |
| SCO6014 | putative cationic amino acid transporter |
| SCO6509 | hydrophobic protein |
| SCO7446 | putative regulator |
| rrnE | 16S, 23S, 5S rRNA operon |
| Plasmid | Promoter | Sequence | 35 Region | 10 Region | TSS |
|---|---|---|---|---|---|
| SigB-dependent | |||||
| pBS87 | SCO5998p | GACCCGTGCG | GCCATC | ACTACGCCGAACGG GGGTAT | CCGATGCATG |
| pBT43 | SCO1566p | CGTGCCGTCT | GCTTGG | CGGCGGCGTGGCG GGGTAG | GCGAAGGACA |
| SigBL-dependent | |||||
| pBS17 | SCO2512p | GGCGCGAAGA | GTGAAA | CCGTAAAGGGAA GGGAAA | GCGATGGAG |
| pBS32 | SCO1089p | CTGCGGGACC | GTTTCC | CCCGTGCCGCGCC GGGTAT | ACGAATCCG |
| pBS60 | SCO0279p | TGCAGCCCTG | GTTCAA | CGAGGCGAAGCTGG GCATAT | TCGTGCACT |
| pBS319 | SCO7446p | CGTGGGGCGG | GTGATG | TTTGCCGGATTCGG GGGTAG | ACGGGTCGG |
| pBT53 | SCO2315p | GGGGCCGTAG | GTTTCG | AACGCGCTTTCC GGGCCA | GACGGAAGGCA |
| pBT143 | SCO6014p | GCCCATCCGC | GTGAAA | TCGCCCACGCCG GGGCAT | ACGCAGTA |
| SigBM-dependent | |||||
| pBS480 | SCO6509p | CGTGACCGAC | GCCTGT | TCGGTGAAAATC GGGAAA | CCAGTACGACA |
| SigBF-dependent | |||||
| pBT298 | SCO5749p | GCCCGAAGCC | GTGTAG | AAGTACGGGTTTCG GGGAAC | CTTCTGGTC |
| SigBGLM-dependent | |||||
| pBS48 | SCO0775p | AGCGGCACGG | GGTTCG | GGAGCGGGATGC GGTAAG | GACGGGAAC |
| SigBGKLM-dependent | |||||
| pBS10 | SCO0566p | GCTTTGAACT | GCATAA | ACGCCCTCTCAAAG GGGTAT | TCGGGATC |
| SigBFGKLM-dependent | |||||
| pBS46/pG54 | rrnEp2 | GCTCCAGTAC | GTTTAC | ATCTCCGCTCGGAC GGGCAC | CCGATCACT |
| SigBFHKLM-dependent | |||||
| pBS103/pH90 | SCO3557p | TGGCGCGTGG | GTTTGC | CTGAGAGGGCTCTC GGGTAC | ACCATGGAA |
| SigBFHIL-dependent | |||||
| pH3 | SCO2026p | TTACTCGCTG | GTTTCG | AGCGCGTAATCTCC GGGCAT | GAGCCGTA |
| SigBFHN-dependent | |||||
| pH4 | SCO5332p | GGCGAGGTAC | GTTTGC | GAAGAAGGTGGCGT GGGCAA | GATCCGCC |
| SigF-dependent | |||||
| pF40p | SCO3748p | CCGGGTTGTT | GATTCA | TTTCGTGCTAGGCT GGACAT | CAG |
| pF81 | SCO1541p | ACTCAGAGGG | GTTTAC | AACGGCACCGTAGG TGGCAT | GTCGATTT |
| pF132 | SCO5556p | TGATTAGCCC | GTTTCG | TGTTTGATTTGC GGTATA | TATCTGCC |
| SigFH-dependent | |||||
| pF42 | SCO5038p | TACGAGCGGG | GTTCAA | GGTTGTGATCCGGT GGTAAA | GTGATA |
| SigFHN-dependent | |||||
| pF23p | SCO4189p | TTTGAAACTT | GTTTAT | AGGTAGTAGCCAAGT GGGGAC | AACATAG |
| pH89 | SCO1276p | GCGTATTCCG | GTTTGC | CGCTCCAGGGCCTC GGGTAG | AAAATCCACA |
| pHT114 | SCO3167p | GAACGAAACC | GTTTCG | TTTCGCTAGGCGCTG GGGTAC | ATTCGTCA |
| SigGKM-dependent | |||||
| pG45 | SCO5555p | AACTTCCCAC | GTTAGA | GGCGTGGTTGCCG GGGTAC | TCAAGGCACT |
| Strain or Plasmid | Genotypes and Relevant Characteristics a | Reference or Source |
|---|---|---|
| Strains | ||
| E. coli DH5α | F− supE44 ΔlacU169 (ϕ80dlacZψΔM15) hsdR17 recA1 endA1 gyrA96 thi-1 relA1 Host strain for plasmid cloning and propagation | Invitrogen |
| E. coli XL1-Blue | recA1 endA1 gyrA96 thi-1 hsdR17 supE44 relA1 lac [F′ proAB lacIqZΔM15 Tn10 (Tetr)]. Host strain for two-plasmid system | Stratagene |
| E. coli BW25113/pIJ790 | Δ(araD-araB)567 ΔlacZ4787(::rrnB-4) lacIp-4000 (lacIQ)
rpoS369(Am) rph-1 Δ(rhaD-rhaB) hsdR514. Host strain containing pIJ790 for REDIRECT strategy | [41] |
| E. coli ET12567/pUZ8002 | dam-13::Tn9 dcm-6 hsdM. A methylation-deficient host strain containing non-transmissible pUZ80023 for conjugation | [50] |
| S. coelicolor M145 | wild-type, prototrophic SCP1− SCP2− Pgl+ | [50] |
| S. coelicolor ΔsigB | ΔsigB::aac3(IV), AprR, deleted sigB gene in S. coelicolor M145 and replaced with the aac3(IV) gene from pIJ773 | this study |
| S. coelicolor ΔsigBop | Δ(rsbB rsbA sigB)::aac3(IV), AprR, deleted rsbB, rsbA, sigB operon in S. coelicolor M145 and replaced with the aac3(IV) gene from pIJ773 | this study |
| S. coelicolor ΔsigHop | Δ(ushY ushX sigH)::aac3(IV), AprR, deleted ushY, ushX, sigH operon in S. coelicolor M145 and replaced with the aac3(IV) gene from pHP45 aac | this study |
| Plasmids | ||
| pBluescript II SK | AmpR, standard E. coli cloning vector | Stratagene |
| LITMUS 28 | AmpR, standard E. coli cloning vector | New England Biolabs |
| pHP45 | AmpR, standard E. coli cloning vector | [51] |
| pAPH3 | AmpR, KanR, LITMUS 28 derivative containing the neo gene of Tn5 | [52] |
| pHP45 aac | AmpR, AprR, pHP45 derivative containing the aacC4 gene | [53] |
| pAAC4A | AmpR, AprR, pBluescript II SK derivative containing the aacC4 gene | this study |
| pSIGSC1 | AmpR, pBR322 derivative containing the ushY, ushX, sigH operon | [28] |
| pSigHdel1 | AmpR, AprR, pAAC4A derivative containing the sigH upstream region | this study |
| pSigHdel2 | AmpR, KanR, pAPH3 derivative containing the sigH downstream region | this study |
| pSigHdel3 | AmpR, KanR, AprR, pAPH3 derivative containing deleted sigH operon and replaced with the aacC4 gene | this study |
| pIJ773 | AmpR, AprR, pBluescript KS derivative containing the aac(3)IV gene and oriT | [39] |
| Stf55 | AmpR, KanR, SuperCos-1 derivative containing the sigH operon | [54] |
| Stf55DSigBop | AmpR, KanR, AprR, Stf55 derivative containing deleted sigH operon and replaced with the aac3(IV) gene | this study |
| Stf55DSigB | AmpR, KanR, AprR, Stf55 derivative containing deleted sigH gene and replaced with the aac3(IV) gene | this study |
| pAC5mut2 | CmR, expression plasmid vector with the trc promoter | [35] |
| pAC5-sigF1 | CmR, pAC5mut2 containing the sigF gene under the trc promoter | [36] |
| pAC5-sigG1 | CmR, pAC5mut2 containing the sigF gene under the trc promoter | [20] |
| pAC5-sigH1 | CmR, pAC5mut2 containing the sigF gene under the trc promoter | [38] |
| pAC5-sigB | CmR, pAC5mut2 containing the sigB gene under the trc promoter | this study |
| pAC5-sigI | CmR, pAC5mut2 containing the sigI gene under the trc promoter | this study |
| pAC5-sigK | CmR, pAC5mut2 containing the sigK gene under the trc promoter | this study |
| pAC5-sigL | CmR, pAC5mut2 containing the sigL gene under the trc promoter | this study |
| pAC5-sigM | CmR, pAC5mut2 containing the sigM gene under the trc promoter | this study |
| pAC5-sigN | CmR, pAC5mut2 containing the sigN gene under the trc promoter | this study |
| pAC5-sigF2 | CmR, pAC5mut2 containing the N-terminally truncated sigF gene under the trc promoter | this study |
| pAC5-sigH2 | CmR, pAC5mut2 containing the sigH gene including longer N-terminal region under the trc promoter | this study |
| pSB40N | AmpR, promoter probe plasmid containing a promoterless lacZα gene | [36] |
Publisher’s Note: MDPI stays neutral with regard to jurisdictional claims in published maps and institutional affiliations. |
© 2021 by the authors. Licensee MDPI, Basel, Switzerland. This article is an open access article distributed under the terms and conditions of the Creative Commons Attribution (CC BY) license (https://creativecommons.org/licenses/by/4.0/).
Share and Cite
Sevcikova, B.; Rezuchova, B.; Mazurakova, V.; Homerova, D.; Novakova, R.; Feckova, L.; Kormanec, J. Cross-Recognition of Promoters by the Nine SigB Homologues Present in Streptomyces coelicolor A3(2). Int. J. Mol. Sci. 2021, 22, 7849. https://doi.org/10.3390/ijms22157849
Sevcikova B, Rezuchova B, Mazurakova V, Homerova D, Novakova R, Feckova L, Kormanec J. Cross-Recognition of Promoters by the Nine SigB Homologues Present in Streptomyces coelicolor A3(2). International Journal of Molecular Sciences. 2021; 22(15):7849. https://doi.org/10.3390/ijms22157849
Chicago/Turabian StyleSevcikova, Beatrica, Bronislava Rezuchova, Vladimira Mazurakova, Dagmar Homerova, Renata Novakova, Lubomira Feckova, and Jan Kormanec. 2021. "Cross-Recognition of Promoters by the Nine SigB Homologues Present in Streptomyces coelicolor A3(2)" International Journal of Molecular Sciences 22, no. 15: 7849. https://doi.org/10.3390/ijms22157849
APA StyleSevcikova, B., Rezuchova, B., Mazurakova, V., Homerova, D., Novakova, R., Feckova, L., & Kormanec, J. (2021). Cross-Recognition of Promoters by the Nine SigB Homologues Present in Streptomyces coelicolor A3(2). International Journal of Molecular Sciences, 22(15), 7849. https://doi.org/10.3390/ijms22157849

