Abstract
Complement overactivation has been reported in most patients with Barraquer–Simons syndrome (BSS), a rare form of acquired partial lipodystrophy. Complement Factor D (FD) is a serine protease with a crucial role in the activation of the alternative pathway of the complement system, which is mainly synthesized by adipose tissue. However, its role in the pathogenesis of BSS has not been addressed. In this study, plasma FD concentration was measured in 13 patients with BSS, 20 patients with acquired generalized lipodystrophy, 22 patients with C3 glomerulopathy (C3G), and 50 healthy controls. Gene expression and immunohistochemistry studies were assayed using atrophied adipose tissue from a patient with BSS. We found significantly elevated FD levels in BSS cases compared with the remaining cohorts (p < 0.001). There were no significant differences in FD levels between sexes but FD was strongly and directly associated with age in BSS (r = 0.7593, p = 0.0036). A positive correlation between FD and C3 was seen in patients with C3G, characterized by decreased FD levels due to chronic C3 consumption, but no correlation was detected for BSS. Following mRNA quantification in the patient’s adipose tissue, we observed decreased CFD and C3 but elevated C5 transcript levels. In contrast, the increased FD staining detected in the atrophied areas reflects the effects of persistent tissue damage on the adipose tissue, thus providing information on the ongoing pathogenic process. Our results suggest that FD could be a reliable diagnostic biomarker involved in the pathophysiology of BSS by promoting unrestrained local complement system activation in the adipose tissue environment.
1. Introduction
Lipodystrophies are a heterogeneous group of rare disorders characterized by the loss of adipose tissue [1]. There are multiple subtypes of lipodystrophies, which can be congenital or acquired and which in turn vary in the distribution of adipose tissue loss, being partial, generalized, or localized. One of these diseases is Barraquer–Simons syndrome (BSS; ORPHA:79087), an acquired form of partial lipodystrophy characterized by bilateral symmetrical loss of adipose tissue at upper body locations [1]. Dysregulation of the alternative pathway (AP) of the complement system, denoted by C3 hypocomplementemia, is a frequent clinical feature among patients with BSS, commonly due to the presence of C3 nephritic factor (C3NeF) [2]. C3NeF is an autoantibody directed to the AP C3 convertase that acts by stabilizing and increasing the half-life of the complex, which leads to C3 consumption and chronic C3 hypocomplementemia [3]. In most of the published cohorts of patients with BSS, C3NeF is the most frequent antibody (70%) [2,4], although our group has described the existence of additional autoantibodies against AP proteins [2]. Moreover, Mathieson et al. evidenced that C3NeF could lyse adipocytes [5].
C3NeF is not exclusive to patients with BSS, but is also involved in another pathological condition not related to lipodystrophy called C3 glomerulopathy (C3G) [6]. The mechanistic connection with complement activation is further reinforced by the fact that 20% of BSS patients eventually develop C3G [1]. Our group has recently published the first evidence of ongoing complement system activation in affected adipose tissue from an 11-year-old girl with BSS [7]. This finding, together with the abnormal levels of the AP proteins in patients with BSS, points to complement dysregulation as a central pathological event in the development of this rare disease; however, the exact mechanism by which complement causes fat loss remains unclear.
Complement factor D (FD), also termed adipsin, is a serine protease with a crucial role in the activation of the AP of the complement system [8,9]. FD is secreted by several tissues and cell types, although the major source in humans is mature adipocytes and macrophages in adipose tissue [8,9,10]. Given the connection of FD with adipose tissue and complement system activation, it could be considered a central player in the pathogenesis of BSS, as previously suggested by other authors [4,5,11]. However, this assumption has not been demonstrated yet. In pathological situations where adipose tissue function is widely affected, such as lipodystrophy syndromes, the synthesis and secretion of the adipokines leptin and adiponectin are seriously impaired [1], but this is unknown for FD. Recently, Wu and collaborators showed that FD levels were reduced but still detected in patients with congenital and acquired generalized lipodystrophy (CGL and AGL, respectively), in contrast to patients with familial partial lipodystrophy (FPLD), in whom FD levels were similar to healthy subjects [12]. However, the authors did not quantify FD levels in patients with BSS nor did they analyze the existence of local differences in its expression levels and, therefore, the role of FD in the pathogenesis of the BSS remains unanswered.
The present study aimed to quantify FD levels in a cohort of 13 patients with BSS and compare them with patients in other pathological situations, such as AGL and C3G, and with healthy donors. Another objective of this study was to explore the effect of age and sex on FD levels in the previously mentioned cohorts. Finally, gene expression studies and detection of FD were carried out on adipose tissue from a patient with BSS previously studied by our group.
2. Results
2.1. Circulating FD Levels Are Increased in Patients with BSS
The plasma FD concentration was measured in 13 patients with BSS, 20 patients with AGL, 22 patients with C3G and 50 healthy donors. FD levels were significantly elevated in patients with BSS compared with individuals from the control, AGL and C3G cohorts (BSS: median 1.530 µg/mL (IQR—1.425–1.940); controls: 1.185 µg/mL (1.025–1.423); AGL: 0.905 µg/mL (0.753–1.125); C3G: 1.115 µg/mL (0.705–1.570); p < 0.05 for controls and C3G, and p < 0.001 for AGL) (Figure 1). In contrast, plasma FD levels in the AGL cohort were significantly lower than those of controls (p < 0.05) (Figure 1). We performed a Western blot on the plasma from controls, patients with BSS, C3G and AGL and observed that FD levels were reduced in patients with AGL and elevated in BSS compared to controls. Demographic details and basic clinical information are listed in Table 1.
Figure 1.
Plasma FD levels. (A) FD levels were quantified in plasma samples from controls (n = 50), patients with Barraquer–Simons syndrome (BSS, n = 13), patients with C3 glomerulopathy (C3G, n = 22), and patients with acquired generalized lipodystrophy (AGL, n = 20). The results are presented as medians and interquartile ranges. Differences between groups were assessed by the Kruskall–Wallis test. p < 0.05 was considered statistically significant. (B) FD levels were assessed by Western blot, confirming that FD was elevated in patients with BSS and decreased in patients with AGL.
Table 1.
Clinical and demographical data of all cohorts.
2.2. FD Levels Are a Potentially Reliable Biomarker for the Diagnosis of BSS
A ROC curve using FD levels was implemented to find a cut-off value for predicting the utility of this parameter as a diagnostic biomarker. ROC curve analysis indicated that plasma FD levels were a potential diagnostic biomarker for BSS and AGL, with Area Under the Curve (AUC) values of 0.83 (95% confidence interval (CI): 0.70–0.95, p < 0.001) (Figure 2A) and 0.75 (0.61–0.89, p < 0.001) (Figure 2B), respectively. In contrast, in patients with C3G, FD levels were not a reliable biomarker, with an AUC value of 0.54 (0.37–0.71, p = 0.54) (Figure 2C). The cut-off was chosen using the Youden index. An FD level value ≥1.47 µg/mL was associated with a higher probability to detect patients with BSS (sensitivity: 77%, specificity: 78%, negative predictive value: 77%, positive predictive value: 78%, likelihood ratio: 3.47). However, the validation of the cut-off value ≤0.92 µg/mL for patients with AGL did not show acceptable results (sensitivity: 15%, specificity: 33%, negative predictive value: 45%, positive predictive value: 10%, likelihood ratio: 0.23).
Figure 2.
Plasma FD levels ROC curves for samples from patients with Barraquer–Simons syndrome (BSS) (A), patients with acquired generalized lipodystrophy (AGL) (B), and patients with C3 glomerulopathy (C3G) (C). p < 0.05 was considered statistically significant. AUC, area under the ROC curve.
2.3. Age- and Sex-Related Differences in FD Levels
We analyzed the effect of age on the concentration of FD in all cohorts. Linear regression analyses demonstrated a significant age-related effect for FD levels in controls, BSS and C3G cohorts, but not for patients with AGL. Age was significantly and positively correlated with FD levels in healthy controls (r = 0.2962, p = 0.0368, Figure 3A), patients with BSS (r = 0.7593, p = 0.0036, Figure 3B) and patients with C3G (r = 0.4782, p = 0.0244, Figure 3C), but not in patients with AGL (Figure 3D). No significant differences were observed in FD levels between males and females in all cohorts (Figure 4A–D).
Figure 3.
Correlation of plasma FD levels with age. Age positively correlated with FD levels from controls (A), patients with Barraquer–Simons syndrome (BSS) (B), patients with C3 glomerulopathy (C3G) (C), but not in patients with acquired generalized lipodystrophy (AGL) (D). These correlations were calculated using the Spearman Rank correlation coefficient. Females are indicated by circles and males by triangles. p < 0.05 was considered to be statistically significant.
Figure 4.
Differences in plasma FD levels between sexes. FD levels were compared between males and females in controls (A), patients with Barraquer–Simons syndrome (BSS) (B), patients with C3 glomerulopathy (C3G) (C), and patients with acquired generalized lipodystrophy (AGL) (D). These comparisons were assessed using the Mann–Whitney test. The results are represented as medians and interquartile ranges. p < 0.05 was considered to be statistically significant.
2.4. Effects of Complement System Activation on Plasma FD Levels
To better understand the differences seen in FD levels between patients with BSS and patients with C3G, we assessed the correlation between circulating C3 and FD levels. Our results showed that FD correlated significantly with C3 in patients with C3G (r = 0.5863, p = 0.0041), while no correlation was observed in patients with BSS and controls (Figure 5A–C). In addition, we studied the relationship between C3 levels and age, and no correlation was observed in any cohort (Figure 5D–F). We then compared FD levels between patients with positive/negative results for C3NeF autoantibodies in both the BSS and C3G cohorts. Patients with a positive result for C3NeF had significantly lower serum C3 levels in both cohorts (p < 0.001) (Figure 6A), although differences in FD concentration were found only in patients with C3G, being lower in those with C3NeF autoantibodies (C3NeF positive: 1.080 µg/mL (0.650–1.230), and C3NeF negative: 1.870 µg/mL (1.170–2.220); p < 0.001; Figure 6B).
Figure 5.
Correlation between C3 and FD levels in plasma and between C3 levels and age. The relationship between these parameters was investigated in controls (A,D), patients with Barraquer–Simons syndrome (BSS) (B,E) and patients with C3 glomerulopathy (C3G) (C,F). Correlations were analyzed using the Spearman Rank correlation coefficient. Females are indicated by circles and males by triangles. p < 0.05 was considered to be statistically significant.
Figure 6.
Differences in C3 and FD plasma levels in patients with Barraquer–Simons syndrome (BSS) and patients with C3 glomerulopathy (C3G). C3 (A) and FD (B) levels were analyzed in the BSS and C3G cohorts according to the presence of C3 nephritic factor (C3NeF). The results are represented as medians and interquartile ranges. p < 0.05 was considered to be statistically significant.
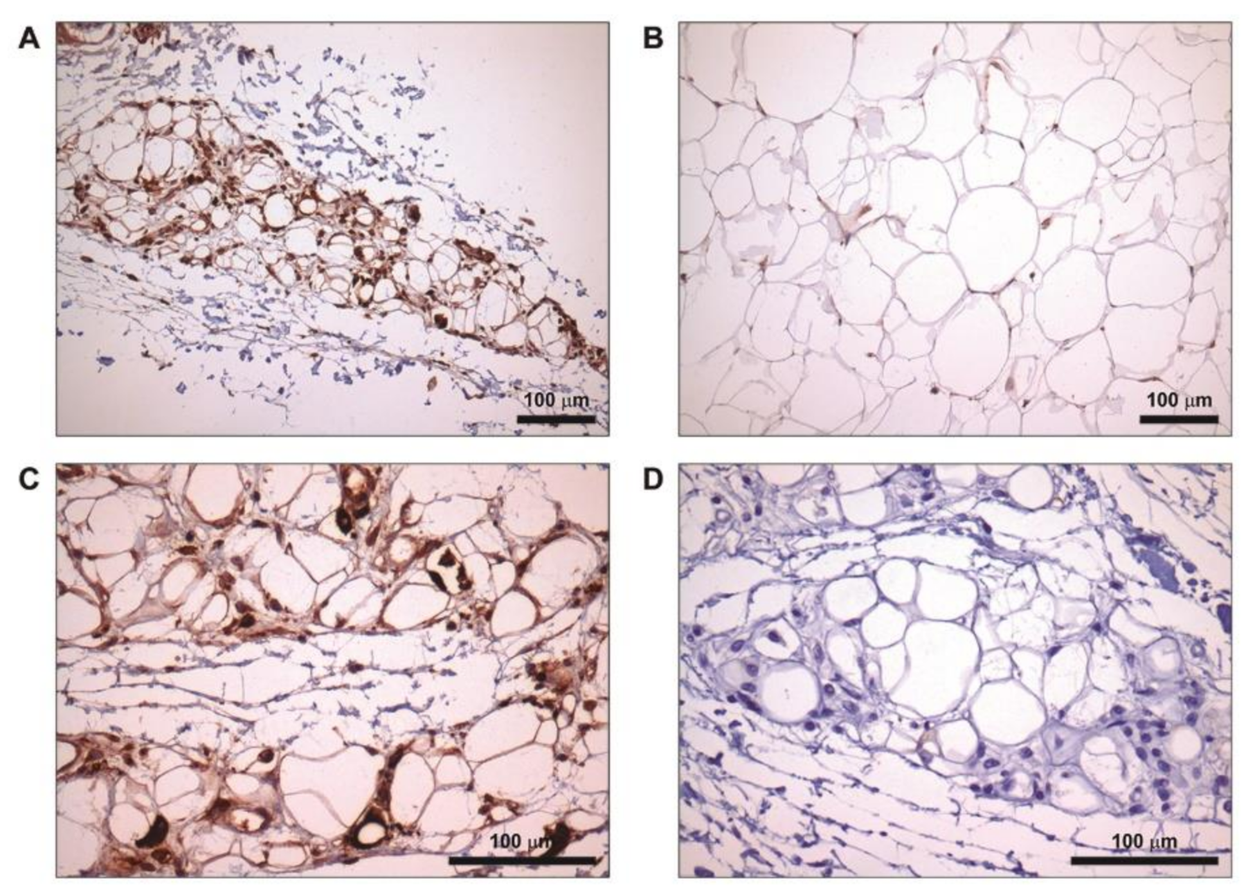
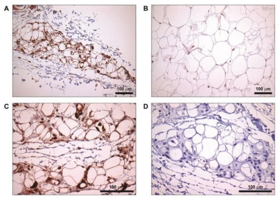
2.5. Increased FD Labelling at Lipoatrophic Areas
We performed an immunohistochemistry assay to analyze the presence and localization of FD in the adipose tissue from an 11-year-old girl with BSS and two healthy donors (a 69-year-old male and a 57-year-old female). We observed that FD was overrepresented and widely extended along affected areas of adipose tissue from the patient with BSS (Figure 7A) compared with adipose tissue from a healthy donor, in which FD was observed in small isolated spots (Figure 7B). Using a higher magnification image, we detected that, although most FD staining was present in the extracellular space and the stroma vascular cells, there were at least some adipocytes that show remarkable cytoplasmic staining (Figure 7C). To determine whether the results were due to nonspecific binding of the primary antibody, we performed isotype control staining (Figure 7D). This result prompted us to perform gene expression analyses in the same adipose tissue biopsies. Levels of transcripts corresponding to components of the complement system C3 and Complement Factor D (CFD) showed reduced expression in adipose tissue from the patient with respect to healthy controls; in contrast, C5 mRNA was marginally increased (Table 2). Furthermore, the examination of gene expression levels of master regulatory factors associated with the promotion of adipogenesis indicated that peroxisome proliferator-activated-γ (PPARG) and CCAAT/enhancer-binding protein α (CEBPA) mRNAs were down-regulated in the patient with BSS with respect to controls (Table 2).
Figure 7.
Immunostaining of FD in adipose tissue. The subcutaneous adipose tissue of a patient with Barraquer–Simons syndrome (A) showed higher and widely spread staining of FD in comparison with healthy control tissue (B) (immunohistochemistry, original magnification ×20). More detailed images from atrophied areas showed that FD staining was detected both in the stroma vascular fraction and in adipocytes (C) (immunohistochemistry, original magnification ×40). Staining was performed using a rabbit IgG (ab172730; Abcam) as an isotype control (D) (immunohistochemistry, original magnification ×40). Scale bars: 100 µm.
Table 2.
mRNA expression levels of genes of the complement system and adipogenesis pathway in subcutaneous adipose tissue samples from a patient with Barraquer–Simons syndrome and healthy controls.
3. Discussion
In this study, we found that plasma FD levels are significantly higher in a representative cohort of patients with BSS compared with controls and another two cohorts composed of patients with AGL and C3G. This study points to FD as a potential biomarker in BSS.
At the end of the 1980s and the beginning of the 1990s, Dr. Spiegelman’s group showed that mouse adipocytes secreted a tissue-specific adipokine that they called adipsin, which has important functions for the development of adipose tissue [9]. This protein was found to be identical to human FD, which is considered to be a rate-limiting factor in the activation of the AP of the complement system [9]. In this pathway, FD cleaves complement factor B and catalyzes the formation of C3 convertase (C3bBb) [13], which leads to a proteolytic cascade that produces several complement fragments, including C3a, C3b, C5a, and C5b, and eventually leads to the formation of the membrane attack complex (C5b-9) [13].
The role of the complement system in the biology of adipose tissue has been described in several papers [14,15,16]. The fact that FD is the only protein of the complement system that is mainly synthesized by adipocytes, in contrast to the other complement components, which are produced by the liver, places FD as an important player in adipose tissue function. Adipocytes are also capable of synthesizing other complement components, particularly those involved in the initial steps of complement activation (e.g., factors B, C2, C3, C4, C1Q, C1R, C1S) but they express almost none of the terminal complex components (C8A, C8B, C8G, C9), with the exception of C5, C6, and C7 [17,18,19,20]. Furthermore, local complement activation promotes lipid accumulation and adipocyte differentiation [21].
Increased levels of serum FD are closely related to several pathological conditions. For example, plasma FD has been found to be elevated in patients with obesity [22,23,24], age-macular degeneration [25], coronary artery disease [26], osteoarthritis [27], non-alcoholic fatty liver disease [28], and polycystic ovary syndrome [29]. Conversely, according to different experimental and clinical studies, plasma FD concentrations are low in animals and patients with diabetes mellitus [30,31,32,33], and in those pathological conditions where adipose tissue is almost completely absent, such as CGL and AGL [12], in agreement with the results from our group (Figure 1). On the other hand, plasma FD concentrations were reported to be normal in patients with FPLD, in whom some adipose tissue is preserved [12]. Herein, we provide experimental evidence for altered FD plasma levels in patients with BSS and C3G, two conditions characterized by dysregulation of the AP of the complement system. Interestingly, while BSS patients exhibited significantly elevated FD concentrations, those with C3G showed a slight decrease in plasma FD (Figure 1). Additionally, our results suggest that FD levels may be a marker to identify patients with BSS (Figure 2A). Specifically, FD levels ≥1.47 µg/mL were associated with a higher probability of detecting patients with BSS. In contrast, FD levels were not a useful biomarker in patients with AGL (Figure 2B), which is consistent with the low FD levels typically found in all generalized lipodystrophies.
Moreover, we observed a significant direct correlation of FD levels with age in healthy controls, BSS patients and C3G patients, with this correlation being stronger in the BSS cohort (Figure 3A–C). In striking contrast to this observation, the complete absence of adipose tissue that characterizes AGL could help explain the lack of age-dependence of FD levels in patients with this generalized form of lipodystrophy (Figure 3D). Additionally, no noticeable effect of sex on FD levels in the control, BSS and C3G cohorts was observed (Figure 4A–D).
FD is constitutively secreted at high rates by adipose tissue but rapidly catabolized in the proximal renal tubules [9,34]. The fractional catabolic rate of plasma FD has been estimated to be 60% per hour, contributing to its low serum concentrations in non-pathological situations [35]. Serum FD levels were found to be elevated in patients with chronic renal failure due to a lower renal catabolic rate [35,36,37]. In this work, we did not observe differences in FD concentrations between patients with C3G and controls (Figure 1); however, a positive correlation between FD and C3 was seen in patients with C3G, a condition characterized by decreased FD levels due to chronic C3 consumption (Figure 5). Surprisingly, no such FD/C3 correlation was detected in BSS, a clinical condition also characterized by complement hyperactivation (Figure 5). When we analyzed FD in situations of complement dysregulation, such as in the presence of C3NeF, plasma FD was significantly lower in C3NeF-positive patients with C3G compared with the rest of the negative individuals (Figure 6B,C). In contrast, complement system activation did not affect FD levels in patients with BSS (Figure 6B,C). In a previous work, Gaya da Costa et al. showed that FD levels were not related to either the activity of the AP or C3 levels in a healthy population [38], in agreement with our results (Figure 5). In contrast to other AP proteins, FD does not undergo proteolytic activation to justify its consumption during AP activation. There are studies about FD levels in systemic lupus erythematosus (SLE), another condition characterized by pathological activation of the complement system, in which plasma levels of FD were not different from those of healthy controls [39,40]. Complement activation in SLE is mainly due to the classical pathway, with limited AP implication, is and normally not as pronounced as in C3G, which may explain why patients with SLE do not show a decrease in plasma FD levels. FD is almost completely reabsorbed in the renal tubule, but in situations where a selective defect of the tubular epithelium occurs, such as Fanconi’s syndrome, FD levels were elevated in urine and decreased in plasma [36]. C3G is a chronic disease that tends to progress to end-stage renal disease and tubular atrophy in advanced cases [41]. C3NeF induces a marked activation of the AP, which usually appears even before renal manifestations. This chronic activation of the complement system causes massive production of complement fragments which are deposited in the kidney, severely damaging the organ and leading to tubular dysfunction and renal failure [41]. Defective tubular reabsorption could therefore explain the lower levels of FD found in C3NeF-positive patients with C3G. However, further studies are needed to understand whether this is the case or whether the lower FD levels are mediated by different mechanisms secondary to complement activation.
In our BSS cohort, three out of thirteen patients (23%) had kidney disease (Table 1), and all of them showed elevated levels of plasma FD in contrast to those observed in patients with C3G. Moreover, as we have previously clarified, in patients with BSS, FD levels do not correlate with the degree of activation of the complement system. Therefore, one possible explanation of our results is that adipose tissue of patients with BSS expresses more FD than unaffected adipose tissue, resulting in significantly elevated circulating levels. To further examine this hypothesis, we studied the presence of FD in the adipose tissue from the affected arm of an 11-year-old girl with BSS, observing that FD in the atrophied areas was significantly overrepresented compared to healthy donor tissue (Figure 7A,B). Although most FD staining was present in the extracellular space and the stroma vascular cells, some adipocytes showed remarkable cytoplasmic staining (Figure 7A,C). Considering these results, the stroma vascular fraction could have a determining role in the synthesis of complement components in the pathogenic context of BSS, but further experiments will be necessary to confirm this hypothesis. In a previous report from our group, we demonstrated ongoing complement activation by detecting local C3, C5a, and C5b-9 deposits in adipose tissue from this same patient [7]. In this context, if FD production is higher than usual, further activation of the AP could occur locally in the adipose tissue, and combined with the presence of C3NeF, damage of the tissue would occur. However, following mRNA quantification in the patient’s adipose tissue, we observed decreased CFD and C3 but elevated C5 transcript levels as compared to those from the adipose tissue of a control female obtained from the same anatomical location (Table 2). Although these results are somewhat conflicting with respect to those obtained by immunohistochemistry, they could be explained by the lower expression of PPARG and CEBPA regulatory genes observed in the patients’ samples, a scenario consistent with lipoatrophy (Table 2) [42]. In agreement with this, the down-regulation of PPARG may be the main causative event of the coordinate impairment in the expression of CFD and C3 genes, which are known targets of PPARG-dependent regulation [43,44]. Correspondingly, if the tissue sample was obtained at an advanced stage of lipodystrophy, the expression of complement genes may be significantly influenced by down-regulation of PPARG and CEBPA. However, the elevated expression of C5 (Table 2), a gene not controlled by PPARG, may suggest that upregulation of complement-related genes is a chronic phenomenon occurring before and during adipose tissue damage. Nevertheless, we cannot rule out that the differences we observed between the controls and the patient may be due to a lack of age matching. Previous data showed that C5, but not C3 levels, increase with age [38], and as we demonstrated in this work, FD concentration increased with age in controls. According to this higher CFD and C5 mRNA levels would be expected in controls as compared to the patient. Our finding of reduced expression of the CFD gene in the patient is in striking contrast to bibliography-based expectations, but conversely, we observed higher C5 expression in the patient´s tissue, which could partially support our hypothesis. However, we cannot rule out that the lower CFD expression in the BSS is a direct consequence of the down-regulation of the PPARG gene, or that it is due to the lack of appropriately age-matched controls. On the other hand, our immunohistochemistry results may instead reflect (i) a lack of correlation between FD and C3 mRNA/protein levels in this pathological context and (ii) the effects of persistent tissue damage on the adipose tissue, thus providing information on the ongoing pathogenic process. Moreover, in light of these observations, we cannot rule out the contribution of other non-adipose cell types to the adipocyte milieu of complement proteins. For these hypotheses to be tested, fat biopsies from affected and unaffected areas should be obtained during the progression of the disease, which is a major and evident limitation.
In conclusion, the findings herein presented suggest that FD could be a reliable diagnostic biomarker involved in the pathophysiology of BSS by promoting unrestrained local complement system activation in the adipose tissue environment. Further studies are needed to validate its importance in the mechanism of the disease, as well as a possible treatment target.
4. Materials and Methods
4.1. Study Cohorts
Thirteen patients with BSS and 20 patients with AGL were enrolled for this study. All of them were diagnosed based on standardized criteria [45]. Briefly, one criterion for both lipodystrophies was fat loss during childhood or adulthood. The patients with BSS were characterized by large areas of the body being affected, particularly the head, shoulders, upper extremities, and trunk, with preservation of adipose tissue in the lower extremities. In contrast, patients with AGL were characterized by loss of fat, affecting the entire body. The presence of autoimmune markers or autoimmune diseases can be supportive of the diagnosis of BSS and AGL. Laboratory findings such as low complement C3 and the presence of C3NeF were used during the diagnosis of BSS.
Congenital forms of lipodystrophy were excluded based on the natural history of the disease, clinical features, age at onset, and/or pathogenic variants in CGL (AGPAT2, BSCL2, CAV1, PTRF, PPARG) and FPLD-related genes (LMNA, PPARG, PLIN1, CIDEC, LIPE, CAV1, AKT2). No consanguinity was reported in any case. The clinical, demographical, and immunological features for these 13 patients with BSS were previously described in [2].
Twenty-two patients with biopsy-proven C3G were selected for inclusion in this study based on standardized criteria [6,46,47]. Additionally, 50 healthy subjects were recruited as controls.
All cohorts were matched in terms of sex and age. For more details, see Table 1.
4.2. Biological Samples
Blood samples were drawn in plain tubes, allowed to clot at room temperature, and centrifuged for 10 min at 4 °C. EDTA-plasma was aliquoted and stored at –20 and –80 °C until use to avoid repeated freezing and thawing.
Immunohistochemistry and gene expression studies were performed using subcutaneous adipose tissue biopsy from the arm of an 11-year-old girl with BSS (described in [7]). As controls, we collected subcutaneous adipose tissue from two healthy, lean, male and female (69- and 57-year-olds, respectively) obtained at similar anatomical sites (arm). Adipose samples from these healthy controls has been described elsewhere [48]. The tissues used for histological studies were stored in paraffin blocks. Fresh frozen tissues were preserved until their use to extract mRNA.
4.3. Complement System Determinations
Serum C3 levels were measured by nephelometry (Siemens Healthcare, Erlangen, Germany). C3NeF was detected by ELISA assay as previously described [49].
4.4. Measurement of FD in Plasma by ELISA
Plasma FD was measured using an in-house ELISA assay, optimized for use in plasma. ELISA plates (MaxiSorp®, Nunc) were coated with 100 ng/well of mouse monoclonal anti-human FD (GAU 01-04-02, Invitrogen, Carlsbad, CA, USA) diluted in carbonate-bicarbonate buffer pH 9.3 (overnight, 4 °C). Plates were blocked with PBS-BSA 1% and washed with PBS-BSA 0.1% (both incubations 1 h at 37 °C). A standard curve ranging from 0 to 80 ng/mL of purified FD (Complement Technology, Tyler, TX, USA) was included on each plate, alongside one internal control plasma sample used to assess interassay variability. The interassay coefficient of variation was below 10%. Plasma samples were diluted in PBS-BSA 0.1% at 1/50, 1/100, and 1/200 dilutions for analysis. FD detection was made using a mouse monoclonal anti-human FD conjugated with biotin (GAU 008-01B-02, Invitrogen) (1/2500 dilution, 1 h at 37 °C) and then with streptavidin-peroxidase polymer (S2438, Sigma Aldrich, St Louis, MO, USA) (1/400, both incubations 45 min at 37 °C). The reactions were developed using ABTS as substrate and read at 405/620 nm using an Epoch™ Microplate Spectrophotometer (BioTek Instruments, Inc., Winooski, VT, USA). All samples were measured in duplicate.
4.5. Western Blot Analysis
Plasma underwent electrophoresis in SDS-PAGE gels and was transferred to nitrocellulose membranes using iBlot 2 Dry Blotting System (Invitrogen). They were incubated with anti-FD antibody (PA5-79034, Invitrogen) (1/1000 dilution, overnight at 4 °C) and then with goat anti-rabbit IgG (#107-6515, Bio-Rad, Hercules, CA, USA) (1/40,000 dilution, 1 h at room temperature). Peroxidase activity was analyzed using ECL™ Select Western Blotting Detection Reagent (GE Healthcare Bio-Sciences, New Burnswick, NJ, USA). UVITEC Alliance 1D MAX (UVITEC Cambridge) was used for image acquisition.
4.6. RNA Extraction and qRT-PCR
Adipose tissue samples were fragmented by mechanical disruption and then homogenized in RA-1 buffer (Macherey-Nagel, Düren, Germany) supplemented with 10% β-mercaptoethanol. RNA was immediately isolated from the homogenate using a column affinity-based methodology (NucleoSpin® RNA II; Macherey-Nagel). cDNA was synthesized from 0.5 µg of total RNA using MultiScribe reverse transcriptase and random hexamer primers (Applied Biosystems, Foster City, CA, USA). mRNA expression levels were determined by quantitative real-time reverse transcription-polymerase chain reaction (qRT-PCR) using TaqMan reagents and an Applied Biosystems 7500 Fast Real-Time PCR System (Applied Biosystems). Real-time PCR was performed in a final volume of 20 µL using TaqMan Universal PCR Master Mix, No AmpErase UNG reagent, and the following specific primer probes (TaqMan Gene Expression Assays; Applied Biosystems): C3 (Complement component 3), Hs00163811_m1; C5 (Complement component 5), Hs01004342_m1; CFD (Complement factor D, adipsin), Hs00157263_m1; PPARG (peroxisome proliferator-activated receptor-gamma, PPAR-γ), Hs00234592_m1; CEBPA (CCAAT enhancer-binding protein-alpha), Hs00269972_s1. Data for mRNA levels of the genes of interest were normalized to that of reference control (18S ribosomal RNA, Hs99999901_s1) and were calculated using the comparative 2-ΔCT method.
4.7. Immunohistochemical Staining
The adipose tissue was sectioned (5 µm) using a rotary paraffin microtome (Leica, RM2255, Wetzlar, Germany). The sections were placed on IHC Microscope Slides (K8020, Dako, Santa Clara, CA, USA) and stored until their use. The sample was dewaxed with xylene and rehydrated with 100, 96, 80, 70% (5 min each) ethanol. After this step, the sample was washed in tris-buffered saline (TBS) (150 mM NaCl, 50 mM Tris-HCl, pH 7.6). The slides were placed into citrate-antigen repairing solution (0.01 M, pH 6.0) and the unmasking of the epitopes was performed using the PT LINK system (Dako) following the instructions of the manufacturer. The sample was blocked using TBS supplemented with 10% goat serum in a wet chamber for 1 h at room temperature. FD was detected using a polyclonal rabbit anti-human FD (PA5-79034, from Invitrogen) with a dilution of 1 µg/mL (overnight at 4 °C in a wet chamber). The color reaction was developed using the Mouse and Rabbit Specific HRP/DAB (ABC) Detection IHC kit (ab64264, from Abcam, Cambridge, UK). Staining was performed using a rabbit IgG (ab172730; Abcam) as an isotype control. Finally, the tissue was counterstained with hematoxylin and mounted with DPX mounting medium.
4.8. Statistical Analysis
Statistical analysis was performed using GraphPad Prism version 6.01 (San Diego, CA, USA). Concentrations of complement FD are represented as median with interquartile range (IQR). Mann–Whitney U and Kruskall–Wallis non-parametric tests were used for statistical analysis and Spearman Rank correlation coefficient (r) was used for correlation between variables. Receiver operating characteristic (ROC) curve analysis was used to analyze the diagnostic value of plasma FD levels as a potential biomarker. Additionally, other statistical parameters, such as sensitivity, specificity, cut-off value, positive predictive value, negative predictive value, and area under the ROC curve (AUC) with 95% confidence interval (CI), were also evaluated. p < 0.05 was considered statistically significant.
Author Contributions
Conceptualization, F.C. and M.L.-T.; methodology, F.C., L.G.-S., J.V., A.L.-L. and E.A.; formal analysis, M.L.-T., F.C. and P.N.; resources, F.C. and M.L.-T.; data curation, F.C.; writing—original draft preparation, F.C.; writing—review and editing, L.G.-S., A.L.-L., E.A., G.C., F.S., R.J.B., F.V., D.A.-V., S.R.d.C., T.C., P.N. and M.L.-T.; visualization, F.C.; supervision, M.L.-T.; project administration, F.C.; funding acquisition, M.L.-T., F.C., T.C. and P.N. All authors have read and agreed to the published version of the manuscript.
Funding
This study was funded by the Spanish Instituto de Salud Carlos III (ISCIII) and the European Regional Development Fund from the European Union (grant PI15-00255), by the Spanish Autonomous Region of Madrid (Complement II-CM network; S2017/BMD-3673), by the Asociación Española de Familiares y Afectados de Lipodistrofias (AELIP), by an intramural grant from the Xunta de Galicia (grant number ED431B 2020/37), and by the intramural research program of the National Institute of Diabetes and Digestive and Kidney Diseases.
Institutional Review Board Statement
The study was conducted according to the guidelines of the Declaration of Helsinki and was approved by the Clinical Research Ethics Committee of La Paz University Hospital (project code PI-3522, 28 February 2019), and by the Institutional Review Board of the National Institute of Diabetes and Digestive and Kidney Diseases (ClinicalTrials.gov Identifier: NCT00001987).
Informed Consent Statement
Informed consent was obtained from all subjects involved in the study.
Data Availability Statement
Data sharing not applicable.
Acknowledgments
We would like to thank patients, their families and clinicians for being part of these studies.
Conflicts of Interest
The authors declare no conflict of interest.
Abbreviations
AGL, acquired generalized lipodystrophy; AP, alternative pathway; AUC, Area Under the Curve; BSS, Barraquer–Simons syndrome; CGL, congenital generalized lipodystrophy; CEBPA, CCAAT/enhancer-binding protein-α; C3G, C3 glomerulopathy; C3NeF, C3 nephritic factor; CFD, Complement Factor D (gene); FD, factor D (protein); FPL, familial partial lipodystrophy; PPARG, Peroxisome proliferator-activated receptor-γ; ROC, Receiver operating characteristic.
References
- Brown, R.J.; Araujo-Vilar, D.; Cheung, P.T.; Dunger, D.; Garg, A.; Jack, M.; Mungai, L.; Oral, E.A.; Patni, N.; Rother, K.I.; et al. The Diagnosis and Management of Lipodystrophy Syndromes: A Multi-Society Practice Guideline. J. Clin. Endocrinol. Metab. 2016, 101, 4500–4511. [Google Scholar] [CrossRef]
- Corvillo, F.; Ceccarini, G.; Nozal, P.; Magno, S.; Pelosini, C.; Garrido, S.; López-Lera, A.; Moraru, M.; Vilches, C.; Fornaciari, S.; et al. Immunological Features of Patients Affected by Barraquer-Simons Syndrome. Orphanet. J. Rare Dis. 2020, 15, 9. [Google Scholar] [CrossRef]
- Corvillo, F.; Okrój, M.; Nozal, P.; Melgosa, M.; Sánchez-Corral, P.; López-Trascasa, M. Nephritic Factors: An Overview of Classification, Diagnostic Tools and Clinical Associations. Front. Immunol. 2019, 10, 886. [Google Scholar] [CrossRef]
- Misra, A.; Peethambaram, A.; Garg, A. Clinical Features and Metabolic and Autoimmune Derangements in Acquired Partial Lipodystrophy: Report of 35 Cases and Review of the Literature. Medicine (Baltimore) 2004, 83, 18–34. [Google Scholar] [CrossRef]
- Mathieson, P.W.; Würzner, R.; Oliveria, D.B.; Lachmann, P.J.; Peters, D.K. Complement-Mediated Adipocyte Lysis by Nephritic Factor Sera. J. Exp. Med. 1993, 177, 1827–1831. [Google Scholar] [CrossRef] [Green Version]
- Cook, H.T. C3 Glomerulopathy. F1000Research 2017, 6, 248. [Google Scholar] [CrossRef] [Green Version]
- Corvillo, F.; Nozal, P.; López-Lera, A.; De Miguel, M.P.; Piñero-Fernández, J.A.; De Lucas, R.; García-Concepción, M.D.; Beato, M.J.; Araújo-Vilar, D.; López-Trascasa, M. Evidence of Ongoing Complement Activation on Adipose Tissue from an 11-Year-Old Girl with Barraquer-Simons Syndrome. J. Dermatol. 2020, 47, 1439–1444. [Google Scholar] [CrossRef] [PubMed]
- Cook, K.S.; Min, H.Y.; Johnson, D.; Chaplinsky, R.J.; Flier, J.S.; Hunt, C.R.; Spiegelman, B.M. Adipsin: A Circulating Serine Protease Homolog Secreted by Adipose Tissue and Sciatic Nerve. Science 1987, 237, 402–405. [Google Scholar] [CrossRef]
- White, R.T.; Damm, D.; Hancock, N.; Rosen, B.S.; Lowell, B.B.; Usher, P.; Flier, J.S.; Spiegelman, B.M. Human Adipsin Is Identical to Complement Factor D and Is Expressed at High Levels in Adipose Tissue. J. Biol. Chem. 1992, 267, 9210–9213. [Google Scholar] [CrossRef]
- Whaley, K. Biosynthesis of the Complement Components and the Regulatory Proteins of the Alternative Complement Pathway by Human Peripheral Blood Monocytes. J. Exp. Med. 1980, 151, 501–516. [Google Scholar] [CrossRef]
- Oliveira, J.; Freitas, P.; Lau, E.; Carvalho, D. Barraquer-Simons Syndrome: A Rare Form of Acquired Lipodystrophy. BMC Res. Notes 2016, 9, 175. [Google Scholar] [CrossRef] [Green Version]
- Wu, X.; Hutson, I.; Akk, A.M.; Mascharak, S.; Pham, C.T.N.; Hourcade, D.E.; Brown, R.; Atkinson, J.P.; Harris, C.A. Contribution of Adipose-Derived Factor D/Adipsin to Complement Alternative Pathway Activation: Lessons from Lipodystrophy. J. Immunol. 2018, 200, 2786–2797. [Google Scholar] [CrossRef] [Green Version]
- Ricklin, D.; Hajishengallis, G.; Yang, K.; Lambris, J.D. Complement: A Key System for Immune Surveillance and Homeostasis. Nat. Immunol. 2010, 11, 785–797. [Google Scholar] [CrossRef] [Green Version]
- Saleh, J.; Al-Maqbali, M.; Abdel-Hadi, D. Role of Complement and Complement-Related Adipokines in Regulation of Energy Metabolism and Fat Storage. Compr. Physiol. 2019, 9, 1411–1429. [Google Scholar] [CrossRef]
- Moreno-Navarrete, J.M.; Fernández-Real, J.M. The Complement System Is Dysfunctional in Metabolic Disease: Evidences in Plasma and Adipose Tissue from Obese and Insulin Resistant Subjects. Semin. Cell Dev. Biol. 2019, 85, 164–172. [Google Scholar] [CrossRef]
- Phieler, J.; Garcia-Martin, R.; Lambris, J.D.; Chavakis, T. The Role of the Complement System in Metabolic Organs and Metabolic Diseases. Semin. Immunol. 2013, 25, 47–53. [Google Scholar] [CrossRef] [Green Version]
- Gauvreau, D.; Roy, C.; Tom, F.-Q.; Lu, H.; Miegueu, P.; Richard, D.; Song, W.-C.; Stover, C.; Cianflone, K. A New Effector of Lipid Metabolism: Complement Factor Properdin. Mol. Immunol. 2012, 51, 73–81. [Google Scholar] [CrossRef]
- Matsunaga, H.; Iwashita, M.; Shinjo, T.; Yamashita, A.; Tsuruta, M.; Nagasaka, S.; Taniguchi, A.; Fukushima, M.; Watanabe, N.; Nishimura, F. Adipose Tissue Complement Factor B Promotes Adipocyte Maturation. Biochem. Biophys. Res. Commun. 2018, 495, 740–748. [Google Scholar] [CrossRef] [PubMed]
- Vlaicu, S.I.; Tatomir, A.; Boodhoo, D.; Vesa, S.; Mircea, P.A.; Rus, H. The Role of Complement System in Adipose Tissue-Related Inflammation. Immunol. Res. 2016, 64, 653–664. [Google Scholar] [CrossRef]
- Kaye, S.; Lokki, A.I.; Hanttu, A.; Nissilä, E.; Heinonen, S.; Hakkarainen, A.; Lundbom, J.; Lundbom, N.; Saarinen, L.; Tynninen, O.; et al. Upregulation of Early and Downregulation of Terminal Pathway Complement Genes in Subcutaneous Adipose Tissue and Adipocytes in Acquired Obesity. Front. Immunol. 2017, 8. [Google Scholar] [CrossRef] [Green Version]
- Song, N.-J.; Kim, S.; Jang, B.-H.; Chang, S.-H.; Yun, U.J.; Park, K.-M.; Waki, H.; Li, D.Y.; Tontonoz, P.; Park, K.W. Small Molecule-Induced Complement Factor D (Adipsin) Promotes Lipid Accumulation and Adipocyte Differentiation. PLoS ONE 2016, 11, e0162228. [Google Scholar] [CrossRef]
- Napolitano, A.; Lowell, B.B.; Damm, D.; Leibel, R.L.; Ravussin, E.; Jimerson, D.C.; Lesem, M.D.; Van Dyke, D.C.; Daly, P.A.; Chatis, P. Concentrations of Adipsin in Blood and Rates of Adipsin Secretion by Adipose Tissue in Humans with Normal, Elevated and Diminished Adipose Tissue Mass. Int. J. Obes. Relat. Metab. Disord. 1994, 18, 213–218. [Google Scholar]
- Maslowska, M.; Vu, H.; Phelis, S.; Sniderman, A.D.; Rhode, B.M.; Blank, D.; Cianflone, K. Plasma Acylation Stimulating Protein, Adipsin and Lipids in Non-Obese and Obese Populations. Eur. J. Clin. Investig. 1999, 29, 679–686. [Google Scholar] [CrossRef]
- Derosa, G.; Fogari, E.; D’Angelo, A.; Bianchi, L.; Bonaventura, A.; Romano, D.; Maffioli, P. Adipocytokine Levels in Obese and Non-Obese Subjects: An Observational Study. Inflammation 2013, 36, 914–920. [Google Scholar] [CrossRef] [PubMed]
- Stanton, C.M.; Yates, J.R.W.; den Hollander, A.I.; Seddon, J.M.; Swaroop, A.; Stambolian, D.; Fauser, S.; Hoyng, C.; Yu, Y.; Atsuhiro, K.; et al. Complement Factor D in Age-Related Macular Degeneration. Investig. Ophthalmol. Vis. Sci. 2011, 52, 8828–8834. [Google Scholar] [CrossRef] [PubMed]
- Ohtsuki, T.; Satoh, K.; Shimizu, T.; Ikeda, S.; Kikuchi, N.; Satoh, T.; Kurosawa, R.; Nogi, M.; Sunamura, S.; Yaoita, N.; et al. Identification of Adipsin as a Novel Prognostic Biomarker in Patients With Coronary Artery Disease. J. Am. Heart Assoc. 2019, 8, e013716. [Google Scholar] [CrossRef]
- Valverde-Franco, G.; Tardif, G.; Mineau, F.; Paré, F.; Lussier, B.; Fahmi, H.; Pelletier, J.-P.; Martel-Pelletier, J. High in Vivo Levels of Adipsin Lead to Increased Knee Tissue Degradation in Osteoarthritis: Data from Humans and Animal Models. Rheumatology (Oxford) 2018, 57, 1851–1860. [Google Scholar] [CrossRef] [PubMed] [Green Version]
- Qiu, Y.; Wang, S.-F.; Yu, C.; Chen, Q.; Jiang, R.; Pei, L.; Huang, Y.-L.; Pang, N.-Z.; Zhang, Z.; Ling, W.; et al. Association of Circulating Adipsin, Visfatin, and Adiponectin with Nonalcoholic Fatty Liver Disease in Adults: A Case-Control Study. Ann. Nutr. Metab. 2019, 74, 44–52. [Google Scholar] [CrossRef]
- Gursoy Calan, O.; Calan, M.; Yesil Senses, P.; Unal Kocabas, G.; Ozden, E.; Sari, K.R.; Kocar, M.; Imamoglu, C.; Senses, Y.M.; Bozkaya, G.; et al. Increased Adipsin Is Associated with Carotid Intima Media Thickness and Metabolic Disturbances in Polycystic Ovary Syndrome. Clin. Endocrinol. (Oxf.) 2016, 85, 910–917. [Google Scholar] [CrossRef]
- Vasilenko, M.A.; Kirienkova, E.V.; Skuratovskaia, D.A.; Zatolokin, P.A.; Mironyuk, N.I.; Litvinova, L.S. The Role of Production of Adipsin and Leptin in the Development of Insulin Resistance in Patients with Abdominal Obesity. Dokl. Biochem. Biophys. 2017, 475, 271–276. [Google Scholar] [CrossRef]
- Zhou, Q.; Ge, Q.; Ding, Y.; Qu, H.; Wei, H.; Wu, R.; Yao, L.; Wei, Q.; Feng, Z.; Long, J.; et al. Relationship between Serum Adipsin and the First Phase of Glucose-Stimulated Insulin Secretion in Individuals with Different Glucose Tolerance. J. Diabetes Investig. 2018, 9, 1128–1134. [Google Scholar] [CrossRef] [Green Version]
- Wang, J.-S.; Lee, W.-J.; Lee, I.-T.; Lin, S.-Y.; Lee, W.-L.; Liang, K.-W.; Sheu, W.H.-H. Association Between Serum Adipsin Levels and Insulin Resistance in Subjects With Various Degrees of Glucose Intolerance. J. Endocr. Soc. 2018, 3, 403–410. [Google Scholar] [CrossRef]
- Lo, J.C.; Ljubicic, S.; Leibiger, B.; Kern, M.; Leibiger, I.B.; Moede, T.; Kelly, M.E.; Bhowmick, D.C.; Murano, I.; Cohen, P.; et al. Adipsin Is an Adipokine That Improves β Cell Function in Diabetes. Cell 2014, 158, 41–53. [Google Scholar] [CrossRef] [Green Version]
- Volanakis, J.E.; Narayana, S.V. Complement Factor D, a Novel Serine Protease. Protein Sci. 1996, 5, 553–564. [Google Scholar] [CrossRef] [PubMed] [Green Version]
- Pascual, M.; Steiger, G.; Estreicher, J.; Macon, K.; Volanakis, J.E.; Schifferli, J.A. Metabolism of Complement Factor D in Renal Failure. Kidney Int. 1988, 34, 529–536. [Google Scholar] [CrossRef] [PubMed] [Green Version]
- Volanakis, J.E.; Barnum, S.R.; Giddens, M.; Galla, J.H. Renal Filtration and Catabolism of Complement Protein D. N. Engl. J. Med. 1985, 312, 395–399. [Google Scholar] [CrossRef] [PubMed]
- Pascual, M.; Paccaud, J.P.; Macon, K.; Volanakis, J.E.; Schifferli, J.A. Complement Activation by the Alternative Pathway Is Modified in Renal Failure: The Role of Factor D. Clin. Nephrol. 1989, 32, 185–193. [Google Scholar] [PubMed]
- Gaya da Costa, M.; Poppelaars, F.; van Kooten, C.; Mollnes, T.E.; Tedesco, F.; Würzner, R.; Trouw, L.A.; Truedsson, L.; Daha, M.R.; Roos, A.; et al. Age and Sex-Associated Changes of Complement Activity and Complement Levels in a Healthy Caucasian Population. Front. Immunol. 2018, 9. [Google Scholar] [CrossRef] [PubMed]
- Barnum, S.R.; Niemann, M.A.; Kearney, J.F.; Volanakis, J.E. Quantitation of Complement Factor D in Human Serum by a Solid-Phase Radioimmunoassay. J. Immunol. Methods 1984, 67, 303–309. [Google Scholar] [CrossRef]
- Zhang, T.-P.; Li, H.-M.; Leng, R.-X.; Li, X.-P.; Li, X.-M.; Pan, H.-F.; Ye, D.-Q. Plasma Levels of Adipokines in Systemic Lupus Erythematosus Patients. Cytokine 2016, 86, 15–20. [Google Scholar] [CrossRef] [PubMed]
- Bomback, A.S.; Santoriello, D.; Avasare, R.S.; Regunathan-Shenk, R.; Canetta, P.A.; Ahn, W.; Radhakrishnan, J.; Marasa, M.; Rosenstiel, P.E.; Herlitz, L.C.; et al. C3 Glomerulonephritis and Dense Deposit Disease Share a Similar Disease Course in a Large United States Cohort of Patients with C3 Glomerulopathy. Kidney Int. 2018, 93, 977–985. [Google Scholar] [CrossRef]
- Vigouroux, C.; Caron-Debarle, M.; Le Dour, C.; Magré, J.; Capeau, J. Molecular Mechanisms of Human Lipodystrophies: From Adipocyte Lipid Droplet to Oxidative Stress and Lipotoxicity. Int. J. Biochem. Cell Biol. 2011, 43, 862–876. [Google Scholar] [CrossRef] [PubMed]
- Ryu, K.-Y.; Jeon, E.J.; Leem, J.; Park, J.-H.; Cho, H. Regulation of Adipsin Expression by Endoplasmic Reticulum Stress in Adipocytes. Biomolecules 2020, 10, 314. [Google Scholar] [CrossRef] [Green Version]
- Mogilenko, D.A.; Kudriavtsev, I.V.; Shavva, V.S.; Dizhe, E.B.; Vilenskaya, E.G.; Efremov, A.M.; Perevozchikov, A.P.; Orlov, S.V. Peroxisome Proliferator-Activated Receptor α Positively Regulates Complement C3 Expression but Inhibits Tumor Necrosis Factor α-Mediated Activation of C3 Gene in Mammalian Hepatic-Derived Cells. J. Biol. Chem. 2013, 288, 1726–1738. [Google Scholar] [CrossRef] [Green Version]
- Araújo-Vilar, D.; Santini, F. Diagnosis and Treatment of Lipodystrophy: A Step-by-Step Approach. J. Endocrinol. Investig. 2019, 42, 61–73. [Google Scholar] [CrossRef] [Green Version]
- Caravaca-Fontán, F.; Lucientes, L.; Cavero, T.; Praga, M. Update on C3 Glomerulopathy: A Complement-Mediated Disease. Nephron 2020, 144, 272–280. [Google Scholar] [CrossRef]
- Sethi, S.; Haas, M.; Markowitz, G.S.; D’Agati, V.D.; Rennke, H.G.; Jennette, J.C.; Bajema, I.M.; Alpers, C.E.; Chang, A.; Cornell, L.D.; et al. Mayo Clinic/Renal Pathology Society Consensus Report on Pathologic Classification, Diagnosis, and Reporting of GN. J. Am. Soc. Nephrol. 2016, 27, 1278–1287. [Google Scholar] [CrossRef] [Green Version]
- Cereijo, R.; Quesada-López, T.; Gavaldà-Navarro, A.; Tarascó, J.; Pellitero, S.; Reyes, M.; Puig-Domingo, M.; Giralt, M.; Sánchez-Infantes, D.; Villarroya, F. The Chemokine CXCL14 Is Negatively Associated with Obesity and Concomitant Type-2 Diabetes in Humans. Int. J. Obes. (Lond) 2021, 45, 706–710. [Google Scholar] [CrossRef] [PubMed]
- Blom, A.M.; Corvillo, F.; Magda, M.; Stasiłojć, G.; Nozal, P.; Pérez-Valdivia, M.Á.; Cabello-Chaves, V.; Rodríguez de Córdoba, S.; López-Trascasa, M.; Okrój, M. Testing the Activity of Complement Convertases in Serum/Plasma for Diagnosis of C4NeF-Mediated C3 Glomerulonephritis. J. Clin. Immunol. 2016, 36, 517–527. [Google Scholar] [CrossRef] [PubMed] [Green Version]
Publisher’s Note: MDPI stays neutral with regard to jurisdictional claims in published maps and institutional affiliations. |
© 2021 by the authors. Licensee MDPI, Basel, Switzerland. This article is an open access article distributed under the terms and conditions of the Creative Commons Attribution (CC BY) license (https://creativecommons.org/licenses/by/4.0/).






