Biocompatibility Study of a New Dental Cement Based on Hydroxyapatite and Calcium Silicates: Focus on Liver, Kidney, and Spleen Tissue Effects
Abstract
:1. Introduction
2. Results
2.1. Health Status of the Rats during the Experimental Period
2.2. Blood Parameters
2.3. Histological and Stereological Parameters
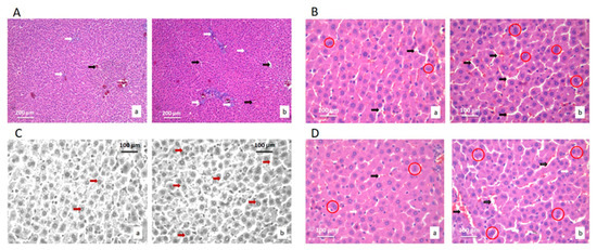
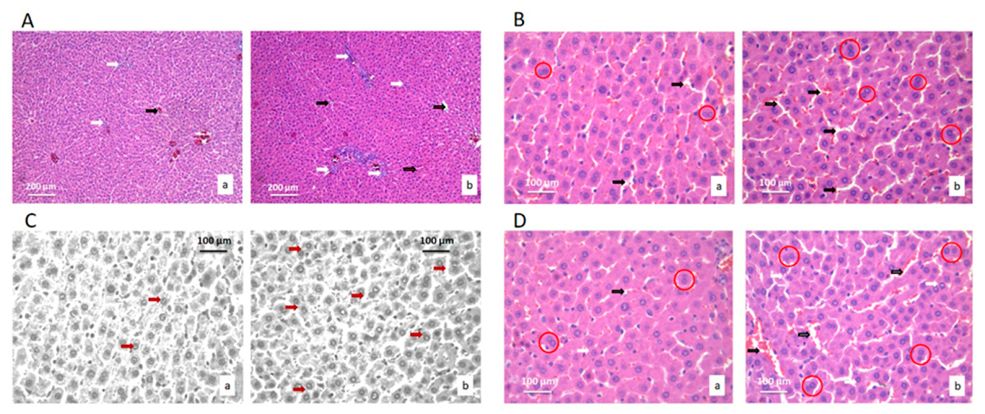
2.3.1. Histological and Stereological Parameters of the Liver Tissue
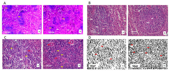
2.3.2. Histological and Stereological Parameters of the Kidney Tissue
2.3.3. Histological and Stereological Parameters of the Spleen Tissue
2.4. Expression of Proteins Ki67 and CD68 in Liver, Kidney, and Spleen
3. Discussion
4. Materials and Methods
4.1. Test Material
4.2. Experiment Design
4.3. Histological and Stereological Analysis of the Liver, Kidney, and Spleen Tissue
4.4. Immunohistochemical Analysis
4.5. Statistical Analysis
5. Conclusions
Supplementary Materials
Author Contributions
Funding
Institutional Review Board Statement
Data Availability Statement
Acknowledgments
Conflicts of Interest
References
- Benetti, F.; Gomes-Filho, J.E.; de Araújo Lopes, J.M.; Barbosa, J.G.; Jacinto, R.C.; Cintra, L.T.A. In vivo biocompatibility and biomineralization of calcium silicate cements. Eur. J. Oral Sci. 2018, 126, 326–333. [Google Scholar] [CrossRef] [PubMed]
- Niu, L.N.; Jiao, K.; Zhang, W.; Camilleri, J.; Bergeron, B.E.; Feng, H.L.; Mao, J.; Chen, J.H.; Pashley, D.H.; Tay, F.R. A review of the bioactivity of hydraulic calcium silicate cements. J. Dent. 2014, 42, 517–533. [Google Scholar] [CrossRef] [PubMed] [Green Version]
- da Fonseca, T.S.; Silva, G.F.; Guerreiro-Tanomaru, J.M.; Delfino, M.M.; Sasso-Cerri, E.; Tanomaru-Filho, M.; Cerri, P.S. Biodentine and MTA modulate immunoinflammatory response favoring bone formation in sealing of furcation perforations in rat molars. Clin. Oral Investig. 2019, 23, 1237–1252. [Google Scholar] [CrossRef] [PubMed]
- Darvell, B.W.; Wu, R.C.T. “MTA”—An Hydraulic Silicate Cement: Review update and setting reaction. Dent. Mater. 2011, 27, 407–422. [Google Scholar] [CrossRef]
- Hajizadeh, N.; Madani, Z.S.; Zabihi, E.; Golpour, M.; Zahedpasha, A.; Mohammadnia, M. Effect of MTA and CEM on mineralization-associated gene expression in stem cells derived from apical papilla. Iran. Endod. J. 2018, 13, 94–101. [Google Scholar] [CrossRef]
- Almeida, L.H.S.; Moraes, R.R.; Morgental, R.D.; Cava, S.S.; Rosa, W.L.O.; Rodrigues, P.; Ribeiro, A.S.; Só, M.; Pappen, F.G. Synthesis of silver-containing calcium aluminate particles and their effects on a MTA-based endodontic sealer. Dent. Mater. 2018, 34, e214–e223. [Google Scholar] [CrossRef]
- de Azevedo Queiroz, I.O.; Mello, W.G.; Martins, C.M.; Dal Fabbro, R.; Narciso, L.G.; Massunari, L.; Cintra, L.T.A.; Ervolino, E.; Gomes-Filho, J.E. Systemic bone marker expression induced by grey and white mineral trioxide aggregate in normal and diabetic conditions. Int. Endod. J. 2018, 51, 889–900. [Google Scholar] [CrossRef]
- Mehrvarzfar, P.; Abbott, P.V.; Mashhadiabbas, F.; Vatanpour, M.; Tour Savadkouhi, S. Clinical and histological responses of human dental pulp to MTA and combined MTA/treated dentin matrix in partial pulpotomy. Aust. Endod. J. 2018, 44, 46–53. [Google Scholar] [CrossRef]
- Kurun Aksoy, M.; Tulga Oz, F.; Orhan, K. Evaluation of calcium (Ca2+) and hydroxide (OH−) ion diffusion rates of indirect pulp capping materials. Int. J. Artif. Organs 2017, 40, 641–646. [Google Scholar] [CrossRef]
- Kang, S.H.; Shin, Y.S.; Lee, H.S.; Kim, S.O.; Shin, Y.; Jung, I.Y.; Song, J.S. Color changes of teeth after treatment with various mineral trioxide aggregate-based materials: An ex vivo study. J. Endod. 2015, 41, 737–741. [Google Scholar] [CrossRef]
- Torabinejad, M.; Parirokh, M.; Dummer, P.M.H. Mineral trioxide aggregate and other bioactive endodontic cements: An updated overview-part II: Other clinical applications and complications. Int. Endod. J. 2018, 51, 284–317. [Google Scholar] [CrossRef]
- Alqedairi, A.; Muñoz-Viveros, C.A.; Pantera, E.A.; Campillo-Funollet, M.; Alfawaz, H.; Abou Neel, E.A.; Abuhaimed, T.S. Superfast Set, Strong and Less Degradable Mineral Trioxide Aggregate Cement. Int. J. Dent. 2017, 2017, 3019136. [Google Scholar] [CrossRef] [PubMed] [Green Version]
- Khalil, W.A.; Eid, N.F. Biocompatibility of BioAggregate and mineral trioxide aggregate on the liver and kidney. Int. Endod. J. 2013, 46, 730–737. [Google Scholar] [CrossRef]
- Jokanović, V.; Čolović, B.; Jokanović, B.; Živković, S. Superplastic, Quick-Bonding Endodontic Mixtures and Their Hydration. Int. J. Appl. Ceram. Technol. 2015, 12, E83–E91. [Google Scholar] [CrossRef]
- Petrović, V.; Opačić, G.V.; Jokanović, V.; Jovanović, M.; Basta Jovanović, G.; Živković, S. Biocompatibility of a new nanomaterial based on calcium silicate implanted in subcutaneous connective tissue of rats. Acta Vet. Brno 2012, 62, 697–708. [Google Scholar] [CrossRef] [Green Version]
- Opačić Galić, V.; Petrović, V.; Živković, S.; Jokanović, V.; Nikolić, B.; Knežević Vukčević, J.; Mitić Ćulafić, D. New nanostructural biomaterials based on active silicate systems and hydroxyapatite: Characterization and genotoxicity in human peripheral blood lymphocytes. Int. Endod. J. 2013, 46, 506–516. [Google Scholar] [CrossRef]
- Petrović, V.; Opačić Galić, V.; Živković, S.; Nikolić, B.; Danilović, V.; Miletić, V.; Jokanović, V.; Mitić Ćulafić, D. Biocompatibility of new nanostructural materials based on active silicate systems and hydroxyapatite: In vitro and in vivo study. Int. Endod. J. 2015, 48, 966–975. [Google Scholar] [CrossRef] [PubMed]
- Popović, B.M.; Prokić, B.; Prokić, B.B.; Jokanović, V.; Danilović, V.; Živković, S. Histological evaluation of direct pulp capping with novel nanostructural materials based on active silicate cements and biodentine® on pulp tissue. Acta Vet. Brno 2013, 63, 347–360. [Google Scholar] [CrossRef] [Green Version]
- Jokanović, V.; Čolović, B.; Prokić, B.B.; Tomanović, N.; Popović Bajić, M.; Živković, S. Subchronic Systemic Toxicity of New Endodontic Material Based on Calcium Hydroxyapatite and Calcium Silicates. Adv. Mater. Sci. Eng. 2018, 2018, 1–6. [Google Scholar] [CrossRef] [Green Version]
- Cetenovic, B.; Prokic, B.; Vasilijic, S.; Dojcinovic, B.; Magic, M.; Jokanovic, V.; Markovic, D. Biocompatibility Investigation of New Endodontic Materials Based on Nanosynthesized Calcium Silicates Combined with Different Radiopacifiers. J. Endod. 2017, 43, 425–432. [Google Scholar] [CrossRef]
- Schembri, M.; Peplow, G.; Camilleri, J. Analyses of heavy metals in mineral trioxide aggregate and Portland cement. J. Endod. 2010, 36, 1210–1215. [Google Scholar] [CrossRef]
- Dammaschke, T.; Gerth, H.U.V.; Züchner, H.; Schäfer, E. Chemical and physical surface and bulk material characterization of white ProRoot MTA and two Portland cements. Dent. Mater. 2005, 21, 731–738. [Google Scholar] [CrossRef] [PubMed]
- Demirkaya, K.; Demirdögen, B.C.; Torun, Z.Ö.; Erdem, O.; Çlrak, E.; Tunca, Y.M. Brain aluminium accumulation and oxidative stress in the presence of calcium silicate dental cements. Hum. Exp. Toxicol. 2017, 36, 1071–1080. [Google Scholar] [CrossRef] [PubMed]
- Pozarska, A.; Rodríguez-Castillo, J.A.; Surate Solaligue, D.E.; Ntokou, A.; Rath, P.; Mižíková, I.; Madurga, A.; Mayer, K.; Vadász, I.; Herold, S.; et al. Stereological monitoring of mouse lung alveolarization from the early postnatal period to adulthood. Am. J. Physiol. Lung Cell. Mol. Physiol. 2017, 312, L882–L895. [Google Scholar] [CrossRef] [PubMed] [Green Version]
- Tatar, A.; Ozmen, H.K.; Yoruk, O. Evaluation of volume of nasopharyngeal cancers by the Cavalieri principle. Asian Pac. J. Cancer Prev. 2018, 19, 2403–2407. [Google Scholar] [CrossRef] [PubMed]
- Paraš, S.; Trišić, D.; Mitrović Ajtić, O.; Prokić, B.; Drobne, D.; Živković, S.; Jokanović, V. Toxicological profile of nanostructured bone substitute based on hydroxyapatite and poly(Lactide-co-glycolide) after subchronic oral exposure of rats. Nanomaterials 2020, 10, 918. [Google Scholar] [CrossRef]
- Sun, X.; Kaufman, P.D. Ki-67: More than a proliferation marker. Chromosoma 2018, 127, 175–186. [Google Scholar] [CrossRef]
- Matsuyama, S.; Karim, M.R.; Izawa, T.; Kuwamura, M.; Yamate, J. Immunohistochemical analyses of the kinetics and distribution of macrophages in the developing rat kidney. J. Toxicol. Pathol. 2018, 31, 207–212. [Google Scholar] [CrossRef] [Green Version]
- Schmitt, D.; Levy, R.; Carroll, B. Toxicological Evaluation of β-Caryophyllene Oil: Subchronic Toxicity in Rats. Int. J. Toxicol. 2016, 35, 558–567. [Google Scholar] [CrossRef]
- He, Y.; Tao, H.; Zhang, Y.; Jiang, Y.; Zhang, S.; Zhao, C. Biocompatibility of bio-Mg-Zn alloy within bone with heart, liver, kidney and spleen. Sci. Bull. 2009, 54, 484–491. [Google Scholar] [CrossRef] [Green Version]
- Rönsch, H.; Krämer, R.; Morbach, S. Impact of osmotic stress on volume regulation, cytoplasmic solute composition and lysine production in Corynebacterium glutamicum MH20-22B. J. Biotechnol. 2003, 104, 87–97. [Google Scholar] [CrossRef]
- Tan, Y.J.; Ren, Y.S.; Gao, L.; Li, L.F.; Cui, L.J.; Li, B.; Li, X.; Yang, J.; Wang, M.Z.; Lv, Y.Y.; et al. 28-Day Oral Chronic Toxicity Study of Arctigenin in Rats. Front. Pharmacol. 2018, 9, 1077. [Google Scholar] [CrossRef] [Green Version]
- Demirkaya, K.; Can Demirdöğen, B.; Öncel Torun, Z.; Erdem, O.; Çetinkaya, S.; Akay, C. In vivo evaluation of the effects of hydraulic calcium silicate dental cements on plasma and liver aluminium levels in rats. Eur. J. Oral. Sci. 2016, 124, 75–81. [Google Scholar] [CrossRef] [PubMed]
- Muskhelishvili, L.; Latendresse, J.R.; Kodell, R.L.; Henderson, E.B. Evaluation of Cell Proliferation in Rat Tissues with BrdU, PCNA, Ki-67(MIB-5) Immunohistochemistry and in Situ Hybridization for Histone mRNA. J. Histochem. Cytochem. 2003, 51, 1681–1688. [Google Scholar] [CrossRef] [Green Version]
- Elchaninov, A.V.; Fatkhudinov, T.K.; Usman, N.Y.; Kananykhina, E.Y.; Arutyunyan, I.V.; Makarov, A.V.; Lokhonina, A.V.; Eremina, I.Z.; Surovtsev, V.V.; Goldshtein, D.V.; et al. Dynamics of macrophage populations of the liver after subtotal hepatectomy in rats. BMC Immunol. 2018, 19, 1–8. [Google Scholar] [CrossRef] [PubMed]
- Wang, Y.; Zhu, Z.; He, Y.; Jiang, Y.; Zhang, J.; Niu, J.; Mao, L.; Yuan, G. In vivo degradation behavior and biocompatibility of Mg-Nd-Zn-Zr alloy at early stage. Int. J. Mol. Med. 2012, 29, 178–184. [Google Scholar] [CrossRef] [PubMed] [Green Version]
- Hou, L.; Li, Z.; Pan, Y.; Du, L.; Li, X.; Zheng, Y.; Li, L. In vitro and in vivo studies on biodegradable magnesium alloy. Prog. Nat. Sci. Mater. Int. 2014, 24, 466–471. [Google Scholar] [CrossRef] [Green Version]
- Bronte, V.; Pittet, M.J. The Spleen in Local and Systemic Regulation of Immunity. Immunity 2013, 39, 806–818. [Google Scholar] [CrossRef] [Green Version]
- Gerlach, C.; Sakkab, D.Y.; Scholzen, T.; Daßler, R.; Alison, M.R.; Gerdes, J. Ki-67 expression during rat liver regeneration after partial hepatectomy. Hepatology 1997, 26, 573–578. [Google Scholar] [CrossRef]
- Sobecki, M.; Mrouj, K.; Camasses, A.; Parisis, N.; Nicolas, E.; Llères, D.; Gerbe, F.; Prieto, S.; Krasinska, L.; David, A.; et al. The cell proliferation antigen Ki-67 organises heterochromatin. Elife 2016, 5, e13722. [Google Scholar] [CrossRef]
- Ahmed, S.M.; Abdelrahman, S.A.; Shalaby, S.M. Evaluating the effect of silver nanoparticles on testes of adult albino rats (histological, immunohistochemical and biochemical study). J. Mol. Histol. 2017, 48, 9–27. [Google Scholar] [CrossRef] [PubMed]
- Paraš, S.; Janković, O.; Trišić, D.; Čolović, B.; Mitrović Ajtić, O.; Dekić, R.; Soldatović, I.; Živković Sandić, M.; Živković, S.; Jokanović, V. Influence of nanostructured calcium aluminate and calcium silicate on the liver: Histological and unbiased stereological analysis. Int. Endod. J. 2019, 52, 1162–1172. [Google Scholar] [CrossRef] [PubMed]
- Lee, H.B.; Blaufox, M.D. Blood volume in the rat. J. Nucl. Med. 1985, 26, 72–76. [Google Scholar] [PubMed]
- Nestorović, N.; Trifunović, S.; Jarić, I.; Manojlović-Stojanoski, M.; Ristić, N.; Filipović, B.; Šošić-Jurjević, B.; Milošević, V. Sex steroid application reverses changes in rat castration cells: Unbiased stereological analysis. Arch. Biol. Sci. 2016, 68, 821–828. [Google Scholar] [CrossRef] [Green Version]
- Santos, M.; Marcos, R.; Santos, N.; Malhão, F.; Monteiro, R.A.F.; Rocha, E. An unbiased stereological study on subpopulations of rat liver macrophages and on their numerical relation with the hepatocytes and stellate cells. J. Anat. 2009, 214, 744–751. [Google Scholar] [CrossRef] [PubMed]
- Pridans, C.; Sauter, K.A.; Irvine, K.M.; Davis, G.M.; Lefevre, L.; Raper, A.; Rojo, R.; Nirmal, A.J.; Beard, P.; Cheeseman, M.; et al. Macrophage colony-stimulating factor increases hepatic macrophage content, liver growth, and lipid accumulation in neonatal rats. Am. J. Physiol. Liver Physiol. 2018, 314, G388–G398. [Google Scholar] [CrossRef] [Green Version]







| Experimental (n = 12) | Control (n = 9) | |
|---|---|---|
| Hemoglobin | 137 ± 8 | 114 ± 6 |
| Leukocytes | 5.3 ± 0.9 | 6.2 ± 0.9 |
| Platelets | 520 ± 170 | 630 ± 150 |
| ALT | 70 ± 30 | 60 ± 30 |
| AST | 600 ± 600 | 700 ± 700 |
| ALP | 63 ± 8 | 69 ± 8 |
| Urea | 5.1 ± 0.8 | 5.2 ± 0.5 |
| Creatinine | 38 ± 5 | 40 ± 5 |
| Bilirubin | 1 ± 1 | 1.3 ± 0.5 |
| Parameter | Experimental (n = 12) | Control (n = 9) |
|---|---|---|
| Volume density of hepatocytes (mm0) | 0.69 ± 0.04 | 0.66 ± 0.05 |
| Volume density of capillary sinusoids (mm0) | 0.22 ± 0.02 * | 0.16 ± 0.01 |
| Volume density of connective tissue (mm0) | 0.14 ± 0.010 | 0.13 ± 0.003 |
| Number of hepatocytes | 290,000 ± 30,000 * | 255,168 ± 21,823 |
| Numerical density of hepatocytes (mm−3) | 49,600 ± 1100 * | 44,575 ± 2633 |
| Surface area of hepatocytes (μm2) | 148 ± 9 | 153 ± 7 |
| Surface area of hepatocytes nuclei (μm2) | 50 ± 4 | 47 ± 2 |
| NCO of hepatocytes | 0.400 ± 0.02 * | 0.324 ± 0.023 |
| Mitotic index of hepatocytes | 1.75 ± 0.03 | 1.6 ± 0.2 |
| Number of connective tissue cells | 135,000 ± 17,000 * | 127,486 ± 17,518 |
| Numerical density of connective tissue cells (mm−3) | 26,000 ± 3000 * | 21,934 ± 2367 |
| Surface area of connective tissue cells (μm2) | 101 ± 3 | 100 ± 3 |
| Number of capillary endothelial cells | 318,007 ± 13,600 * | 275,916 ± 12,907 |
| Numerical density of capillary endothelial cells (mm−3) | 53,000 ± 3000 * | 48,069 ± 2807 |
| Surface area of capillary endothelial cells (μm2) | 83 ± 3 * | 75 ± 4 |
| Parameter | Experimental (n = 12) | Control (n = 9) |
|---|---|---|
| Volume density of epithelial cells of collecting canals (mm0) | 0.36 ± 0.03 | 0.33 ± 0.04 |
| Volume density of blood sinusoids (mm0) | 0.28 ± 0.04 * | 0.22 ± 0.03 |
| Volume density of connective tissue (mm0) | 0.12 ± 0.01 | 0.10 ± 0.01 |
| Volume density of glomeruli (mm0) | 0.28 ± 0.03 | 0.30 ±0.04 |
| Number of epithelial cells of collecting ducts | 143,497 ± 1278 * | 138,147 ± 3332 |
| Numerical density of epithelial cells of collecting ducts (mm−3) | 21,004 ± 1950 | 19,972 ± 2621 |
| Surface area of epithelial cells of collecting ducts (μm2) | 218 ± 29 | 204 ± 50 |
| Surface area of nuclei of epithelial cells of collecting ducts (μm2) | 64 ± 2 | 63 ± 3 |
| NCO of epithelial cells of collecting ducts | 0.30 ± 0.02 * | 0.26 ± 0.03 |
| Number of connective tissue cells | 139,988 ± 1158 | 134,698 ± 12,922 |
| Numerical density of connective tissue cells | 22,653 ± 1188 | 22,144 ± 2982 |
| Surface area of connective tissue cells (μm2) | 110 ± 7 | 102 ± 6 |
| Number of capillary endothelial cells | 324,461 ± 35,600 * | 296,854 ± 26,658 |
| Numerical density of capillary endothelial cells (mm−3) | 35,963 ± 4713 | 37,645 ± 4459 |
| Surface area of capillary endothelial cells (μm2) | 79 ± 5 | 75 ± 4 |
| Surface area of glomeruli (μm2) | 4216 ± 237 | 4064 ± 535 |
| Distance between glomeruli and Bowman’s capsule | 49 ± 3 | 44 ± 4 |
| Parameter | Experimental (n = 12) | Control (n = 9) |
|---|---|---|
| Volume density of epithelial cells (mm0) | 0.39 ± 0.03 | 0.36 ± 0.03 |
| Volume density of lymphocytes (mm0) | 0.42 ± 0.03 * | 0.30 ± 0.06 |
| Volume density of connective tissue (mm0) | 0.13 ± 0.01 | 0.12 ± 0.03 |
| Volume density of blood capillaries (mm0) | 0.22 ± 0.03 * | 0.17 ± 0.05 |
| Number of epithelial cells | 235,889 ± 24,968 | 204,568 ± 33,318 |
| Numerical density of epithelial cells (mm−3) | 39,852 ± 3479 | 35,642 ± 2626 |
| Surface area of epithelial cells (μm2) | 130 ± 5 | 132 ± 4 |
| Surface area of nuclei of epithelial cells (μm2) | 45 ± 7 | 41 ± 3 |
| NCO of epithelial cells | 0.30 ± 0.07 | 0.29 ± 0.05 |
| Number of connective tissue cells | 143,198 ± 8734 | 137,006 ± 8694 |
| Numerical density of connective tissue cells (mm−3) | 26,598 ± 3602 | 23,146 ± 2872 |
| Surface area of connective tissue cells (μm2) | 113 ± 6 | 106 ± 6 |
| Number of capillary endothelial cells | 249,688 ± 40,834 | 223,148 ± 20,204 |
| Numerical density of capillary endothelial cells (mm−3) | 36,426 ± 4879 | 34,969 ± 2599 |
| Surface area of capillary endothelial cells (μm2) | 78 ± 4 | 74 ± 2 |
| Number of lymphocytes | 462,635 ± 29,632 * | 348,337 ± 23,325 |
| Numerical density of lymphocytes (mm−3) | 59,226 ± 5059 * | 49,132 ± 3740 |
| Surface area of lymphocytes (μm2) | 95 ± 5 | 96 ± 5 |
Publisher’s Note: MDPI stays neutral with regard to jurisdictional claims in published maps and institutional affiliations. |
© 2021 by the authors. Licensee MDPI, Basel, Switzerland. This article is an open access article distributed under the terms and conditions of the Creative Commons Attribution (CC BY) license (https://creativecommons.org/licenses/by/4.0/).
Share and Cite
Paraš, S.; Trišić, D.; Mitrović Ajtić, O.; Antonijević, Đ.; Čolović, B.; Drobne, D.; Jokanović, V. Biocompatibility Study of a New Dental Cement Based on Hydroxyapatite and Calcium Silicates: Focus on Liver, Kidney, and Spleen Tissue Effects. Int. J. Mol. Sci. 2021, 22, 5468. https://doi.org/10.3390/ijms22115468
Paraš S, Trišić D, Mitrović Ajtić O, Antonijević Đ, Čolović B, Drobne D, Jokanović V. Biocompatibility Study of a New Dental Cement Based on Hydroxyapatite and Calcium Silicates: Focus on Liver, Kidney, and Spleen Tissue Effects. International Journal of Molecular Sciences. 2021; 22(11):5468. https://doi.org/10.3390/ijms22115468
Chicago/Turabian StyleParaš, Smiljana, Dijana Trišić, Olivera Mitrović Ajtić, Đorđe Antonijević, Božana Čolović, Damjana Drobne, and Vukoman Jokanović. 2021. "Biocompatibility Study of a New Dental Cement Based on Hydroxyapatite and Calcium Silicates: Focus on Liver, Kidney, and Spleen Tissue Effects" International Journal of Molecular Sciences 22, no. 11: 5468. https://doi.org/10.3390/ijms22115468
APA StyleParaš, S., Trišić, D., Mitrović Ajtić, O., Antonijević, Đ., Čolović, B., Drobne, D., & Jokanović, V. (2021). Biocompatibility Study of a New Dental Cement Based on Hydroxyapatite and Calcium Silicates: Focus on Liver, Kidney, and Spleen Tissue Effects. International Journal of Molecular Sciences, 22(11), 5468. https://doi.org/10.3390/ijms22115468

