Soluble Prokaryotic Overexpression and Purification of Human GM-CSF Using the Protein Disulfide Isomerase b′a′ Domain
Abstract
1. Introduction
2. Results
2.1. Design and Construction of Plasmids
2.2. Expression and Solubility of the Recombinant Tagged hGM-CSF Proteins
2.3. Growth Rates
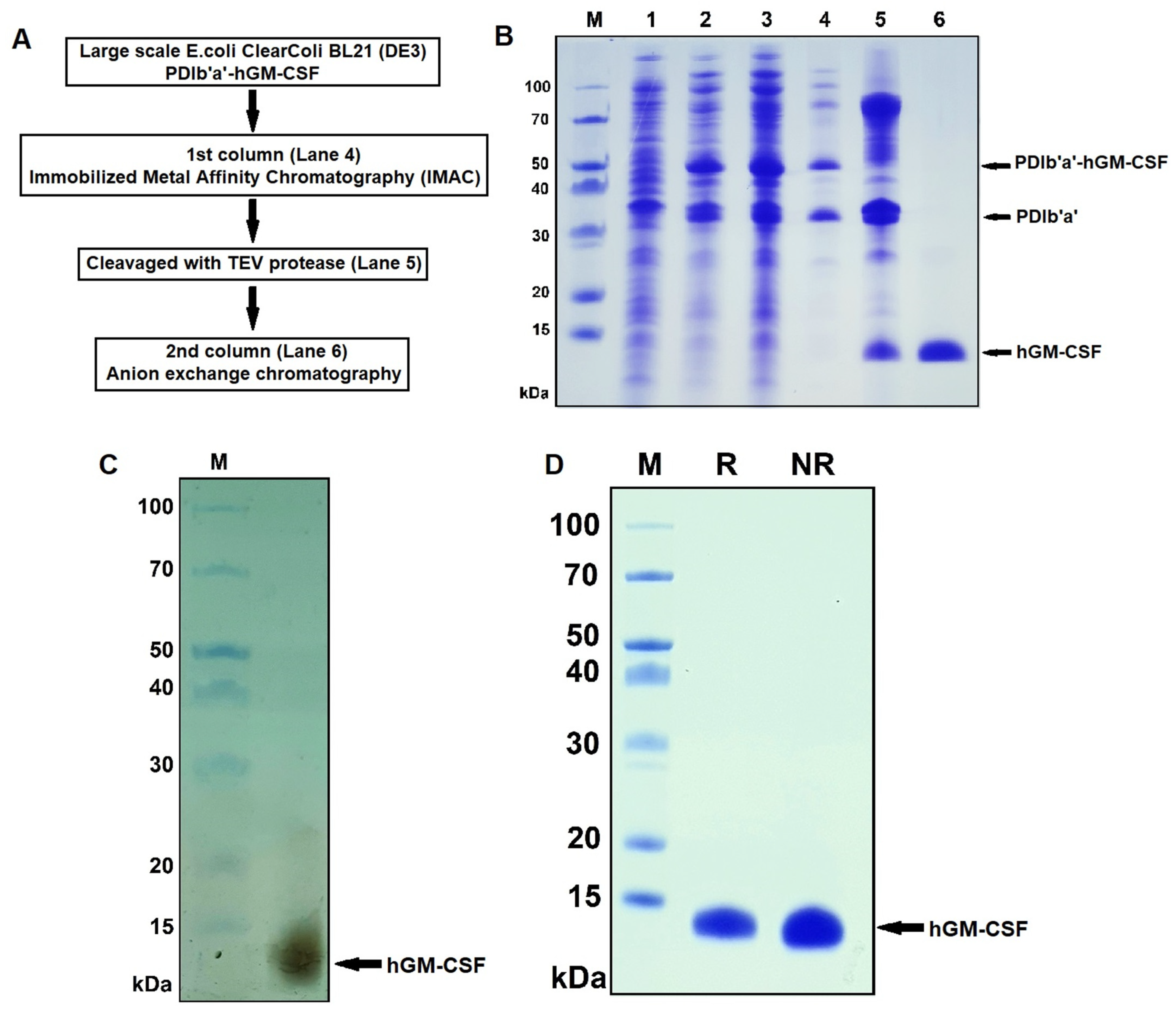
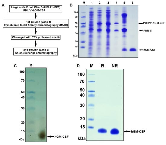
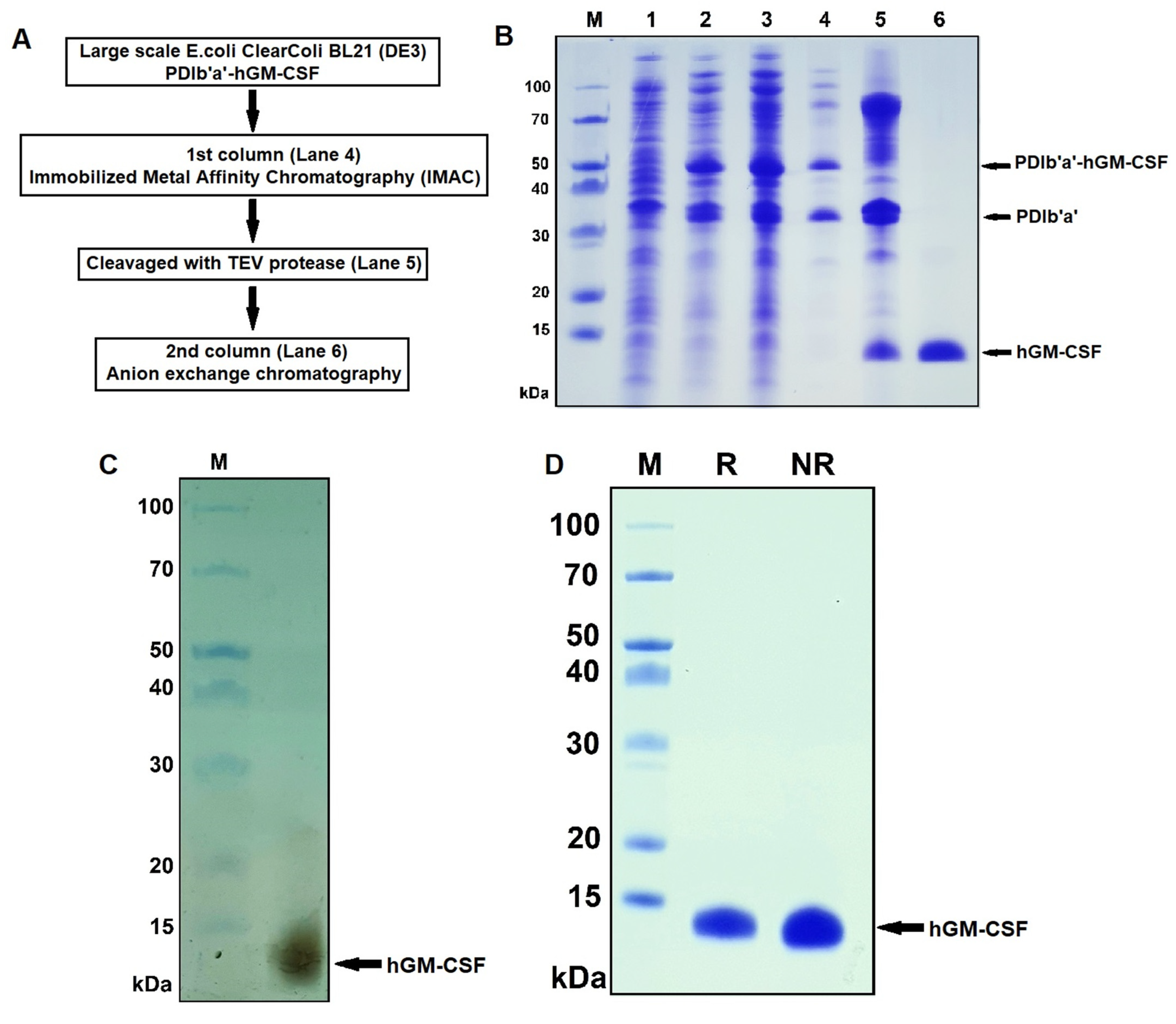
2.4. Purification of Recombinant hGM-CSF
2.5. Biological Activity of the Purified hGM-CSF
3. Discussion
3.1. Expression and Solubility
3.2. Purification
3.3. Biological Activity
4. Materials and Methods
4.1. Materials
4.2. Plasmid Construction
4.3. Expression and Solubility of Fusion Proteins
4.4. Purification of Recombinant hGM-CSF (18-144 aa) and Tag Removal
4.5. SDS-PAGE and Silver Staining
4.6. Analysis of SDS-PAGE Gels
4.7. Identification of Purified hGM-CSF by LC-MS/MS
4.8. In Vitro Activity Assay
4.9. Statistical Analysis
Author Contributions
Funding
Institutional Review Board Statement
Informed Consent Statement
Data Availability Statement
Conflicts of Interest
References
- Metcalf, D. Hematopoietic cytokines. Blood 2008, 111, 485–491. [Google Scholar] [CrossRef] [PubMed]
- Becher, B.; Tugues, S.; Greter, M. GM-CSF: From Growth Factor to Central Mediator of Tissue Inflammation. Immunity 2016, 45, 963–973. [Google Scholar] [CrossRef]
- Lee, K.M.C.; Achuthan, A.A.; Hamilton, J.A. GM-CSF: A Promising Target in Inflammation and Autoimmunity. Immunotargets Ther. 2020, 9, 225–240. [Google Scholar] [CrossRef] [PubMed]
- Dranoff, G.; Jaffee, E.; Lazenby, A.; Golumbek, P.; Levitsky, H.; Brose, K.; Jackson, V.; Hamada, H.; Pardoll, D.; Mulligan, R.C. Vaccination with irradiated tumor cells engineered to secrete murine granulocyte-macrophage colony-stimulating factor stimulates potent, specific, and long-lasting anti-tumor immunity. Proc. Natl. Acad. Sci. USA 1993, 90, 3539–3543. [Google Scholar] [CrossRef] [PubMed]
- Lawson, D.H.; Lee, S.; Zhao, F.; Tarhini, A.A.; Margolin, K.A.; Ernstoff, M.S.; Atkins, M.B.; Cohen, G.I.; Whiteside, T.L.; Butterfield, L.H.; et al. Randomized, Placebo-Controlled, Phase III Trial of Yeast-Derived Granulocyte-Macrophage Colony-Stimulating Factor (GM-CSF) Versus Peptide Vaccination Versus GM-CSF Plus Peptide Vaccination Versus Placebo in Patients With No Evidence of Disease After Complete Surgical Resection of Locally Advanced and/or Stage IV Melanoma: A Trial of the Eastern Cooperative Oncology Group-American College of Radiology Imaging Network Cancer Research Group (E4697). J. Clin. Oncol. 2015, 33, 4066–4076. [Google Scholar]
- Markham, A. Naxitamab: First Approval. Drugs 2021, 81, 291–296. [Google Scholar] [CrossRef]
- Kruger, C.; Laage, R.; Pitzer, C.; Schabitz, W.R.; Schneider, A. The hematopoietic factor GM-CSF (granulocyte-macrophage colony-stimulating factor) promotes neuronal differentiation of adult neural stem cells in vitro. BMC Neurosci. 2007, 8, 88. [Google Scholar] [CrossRef]
- Schwanke, R.C.; Renard, G.; Chies, J.M.; Campos, M.M.; Batista, E.L., Jr.; Santos, D.S.; Basso, L.A. Molecular cloning, expression in Escherichia coli and production of bioactive homogeneous recombinant human granulocyte and macrophage colony stimulating factor. Int. J. Biol. Macromol. 2009, 45, 97–102. [Google Scholar] [CrossRef]
- Waller, E.K. The role of sargramostim (rhGM-CSF) as immunotherapy. Oncologist 2007, 12 (Suppl. 2), 22–26. [Google Scholar] [CrossRef]
- Correale, P.; Campoccia, G.; Tsang, K.Y.; Micheli, L.; Cusi, M.G.; Sabatino, M.; Bruni, G.; Sestini, S.; Petrioli, R.; Pozzessere, D.; et al. Recruitment of dendritic cells and enhanced antigen-specific immune reactivity in cancer patients treated with hr-GM-CSF (Molgramostim) and hr-IL-2. results from a phase Ib clinical trial. Eur. J. Cancer 2001, 37, 892–902. [Google Scholar] [CrossRef]
- Moonen, P.; Mermod, J.J.; Ernst, J.F.; Hirschi, M.; DeLamarter, J.F. Increased biological activity of deglycosylated recombinant human granulocyte/macrophage colony-stimulating factor produced by yeast or animal cells. Proc. Natl. Acad. Sci. USA 1987, 84, 4428–4431. [Google Scholar] [CrossRef]
- Cebon, J.; Nicola, N.; Ward, M.; Gardner, I.; Dempsey, P.; Layton, J.; Duhrsen, U.; Burgess, A.W.; Nice, E.; Morstyn, G. Granulocyte-macrophage colony stimulating factor from human lymphocytes. The effect of glycosylation on receptor binding and biological activity. J. Biol. Chem. 1990, 265, 4483–4491. [Google Scholar] [CrossRef]
- Burgess, A.W.; Begley, C.G.; Johnson, G.R.; Lopez, A.F.; Williamson, D.J.; Mermod, J.J.; Simpson, R.J.; Schmitz, A.; DeLamarter, J.F. Purification and properties of bacterially synthesized human granulocyte-macrophage colony stimulating factor. Blood 1987, 69, 43–51. [Google Scholar] [CrossRef] [PubMed]
- Doherty, D.H.; Rosendahl, M.S.; Smith, D.J.; Hughes, J.M.; Chlipala, E.A.; Cox, G.N. Site-specific PEGylation of engineered cysteine analogues of recombinant human granulocyte-macrophage colony-stimulating factor. Bioconjug. Chem. 2005, 16, 1291–1298. [Google Scholar] [CrossRef] [PubMed]
- Thomson, C.A.; Olson, M.; Jackson, L.M.; Schrader, J.W. A simplified method for the efficient refolding and purification of recombinant human GM-CSF. PLoS ONE 2012, 7, e49891. [Google Scholar] [CrossRef]
- Malekian, R.; Jahanian-Najafabadi, A.; Moazen, F.; Ghavimi, R.; Mohammadi, E.; Akbari, V. High-yield Production of Granulocyte-macrophage Colony-stimulating Factor in E. coli BL21 (DE3) By an Auto-induction Strategy. Iran. J. Pharm. Res. 2019, 18, 469–478. [Google Scholar] [PubMed]
- Taherian, E.; Mohammadi, E.; Jahanian-Najafabadi, A.; Moazen, F.; Akbari, V. Cloning, Optimization of Periplasmic Expression and Purification of Recombinant Granulocyte Macrophage-Stimulating Factor in Escherichia coli BL21 (DE3). Adv. Biomed. Res. 2019, 8, 71. [Google Scholar]
- Soheili, S.; Jahanian-Najafabadi, A.; Akbari, V. Evaluation of soluble expression of recombinant granulocyte macrophage stimulating factor (rGM-CSF) by three different E. coli strains. Res. Pharm. Sci. 2020, 15, 218–225. [Google Scholar]
- Malekian, R.; Sima, S.; Jahanian-Najafabadi, A.; Moazen, F.; Akbari, V. Improvement of soluble expression of GM-CSF in the cytoplasm of Escherichia coli using chemical and molecular chaperones. Protein Expr. Purif. 2019, 160, 66–72. [Google Scholar] [CrossRef]
- Das, K.M.; Banerjee, S.; Shekhar, N.; Damodaran, K.; Nair, R.; Somani, S.; Raiker, V.P.; Jain, S.; Padmanabhan, S. Cloning, soluble expression and purification of high yield recombinant hGMCSF in Escherichia coli. Int. J. Mol. Sci. 2011, 12, 2064–2076. [Google Scholar] [CrossRef] [PubMed]
- Srinivasa Babu, K.; Muthukumaran, T.; Antony, A.; Prem Singh Samuel, S.D.; Balamurali, M.; Murugan, V.; Meenakshisundaram, S. Single step intein-mediated purification of hGMCSF expressed in salt-inducible E. coli. Biotechnol. Lett. 2009, 31, 659–664. [Google Scholar] [CrossRef] [PubMed]
- Do, B.H.; Ryu, H.B.; Hoang, P.; Koo, B.K.; Choe, H. Soluble prokaryotic overexpression and purification of bioactive human granulocyte colony-stimulating factor by maltose binding protein and protein disulfide isomerase. PLoS ONE 2014, 9, e89906. [Google Scholar] [CrossRef]
- Nguyen, M.T.; Koo, B.K.; Thi Vu, T.T.; Song, J.A.; Chong, S.H.; Jeong, B.; Ryu, H.B.; Moh, S.H.; Choe, H. Prokaryotic soluble overexpression and purification of bioactive human growth hormone by fusion to thioredoxin, maltose binding protein, and protein disulfide isomerase. PLoS ONE 2014, 9, e89038. [Google Scholar] [CrossRef] [PubMed]
- Vu, T.T.; Koo, B.K.; Song, J.A.; Chong, S.H.; Park, C.R.; Nguyen, M.T.; Jeong, B.; Ryu, H.B.; Seong, J.Y.; Jang, Y.J.; et al. Soluble overexpression and purification of bioactive human CCL2 in E. coli by maltose-binding protein. Mol. Biol. Rep. 2015, 42, 651–663. [Google Scholar] [CrossRef] [PubMed]
- Vu, T.T.; Jeong, B.; Yu, J.; Koo, B.K.; Jo, S.H.; Robinson, R.C.; Choe, H. Soluble prokaryotic expression and purification of crotamine using an N-terminal maltose-binding protein tag. Toxicon 2014, 92, 157–165. [Google Scholar] [CrossRef] [PubMed]
- Nguyen, M.T.; Krupa, M.; Koo, B.K.; Song, J.A.; Vu, T.T.; Do, B.H.; Nguyen, A.N.; Seo, T.; Yoo, J.; Jeong, B.; et al. Prokaryotic Soluble Overexpression and Purification of Human VEGF165 by Fusion to a Maltose Binding Protein Tag. PLoS ONE 2016, 11, e0156296. [Google Scholar] [CrossRef]
- Vu, T.T.; Jeong, B.; Krupa, M.; Kwon, U.; Song, J.A.; Do, B.H.; Nguyen, M.T.; Seo, T.; Nguyen, A.N.; Joo, C.H.; et al. Soluble Prokaryotic Expression and Purification of Human Interferon Alpha-2b Using a Maltose-Binding Protein Tag. J. Mol. Microbiol. Biotechnol. 2016, 26, 359–368. [Google Scholar] [CrossRef]
- Do, B.H.; Nguyen, M.T.; Song, J.A.; Park, S.; Yoo, J.; Jang, J.; Lee, S.; So, S.; Yoon, Y.; Kim, I.; et al. Soluble Prokaryotic Expression and Purification of Bioactive Tumor Necrosis Factor-Related Apoptosis-Inducing Ligand. J. Microbiol. Biotechnol. 2017, 27, 2156–2164. [Google Scholar] [CrossRef]
- Nguyen, A.N.; Song, J.A.; Nguyen, M.T.; Do, B.H.; Kwon, G.G.; Park, S.S.; Yoo, J.; Jang, J.; Jin, J.; Osborn, M.J.; et al. Prokaryotic soluble expression and purification of bioactive human fibroblast growth factor 21 using maltose-binding protein. Sci. Rep. 2017, 7, 16139. [Google Scholar] [CrossRef]
- Nguyen, M.T.; Prima, M.J.; Song, J.A.; Kim, J.; Do, B.H.; Yoo, J.; Park, S.; Jang, J.; Lee, S.; Lee, E.; et al. Prokaryotic soluble overexpression and purification of oncostatin M using a fusion approach and genetically engineered E. coli strains. Sci. Rep. 2019, 9, 13706. [Google Scholar] [CrossRef]
- Kapust, R.B.; Waugh, D.S. Escherichia coli maltose-binding protein is uncommonly effective at promoting the solubility of polypeptides to which it is fused. Protein Sci. 1999, 8, 1668–1674. [Google Scholar] [CrossRef] [PubMed]
- Waugh, D.S. The remarkable solubility-enhancing power of Escherichia coli maltose-binding protein. Postepy Biochem. 2016, 62, 377–382. [Google Scholar] [PubMed]
- Nallamsetty, S.; Waugh, D.S. Mutations that alter the equilibrium between open and closed conformations of Escherichia coli maltose-binding protein impede its ability to enhance the solubility of passenger proteins. Biochem. Biophys. Res. Commun. 2007, 364, 639–644. [Google Scholar] [CrossRef]
- Kozlov, G.; Maattanen, P.; Thomas, D.Y.; Gehring, K. A structural overview of the PDI family of proteins. FEBS J. 2010, 277, 392–436. [Google Scholar] [CrossRef]
- Pirneskoski, A.; Ruddock, L.W.; Klappa, P.; Freedman, R.B.; Kivirikko, K.I.; Koivunen, P. Domains b’ and a’ of protein disulfide isomerase fulfill the minimum requirement for function as a subunit of prolyl 4-hydroxylase. The N-terminal domains a and b enhances this function and can be substituted in part by those of ERp57. J. Biol. Chem. 2001, 276, 11287–11293. [Google Scholar] [CrossRef] [PubMed]
- Nguyen, V.D.; Wallis, K.; Howard, M.J.; Haapalainen, A.M.; Salo, K.E.; Saaranen, M.J.; Sidhu, A.; Wierenga, R.K.; Freedman, R.B.; Ruddock, L.W.; et al. Alternative conformations of the x region of human protein disulphide-isomerase modulate exposure of the substrate binding b’ domain. J. Mol. Biol. 2008, 383, 1144–1155. [Google Scholar] [CrossRef]
- Ren, G.; Ke, N.; Berkmen, M. Use of the SHuffle Strains in Production of Proteins. Curr. Protoc. Protein Sci. 2016, 85, 5–26. [Google Scholar] [CrossRef]
- Nguyen, M.T.; Heo, Y.; Do, B.H.; Baek, S.; Kim, C.J.; Jang, Y.J.; Lee, W.; Choe, H. Bacterial overexpression and purification of soluble recombinant human serum albumin using maltose-binding protein and protein disulphide isomerase. Protein Expr. Purif. 2020, 167, 105530. [Google Scholar] [CrossRef]
- Sorensen, H.P.; Mortensen, K.K. Soluble expression of recombinant proteins in the cytoplasm of Escherichia coli. Microb. Cell Fact. 2005, 4, 1. [Google Scholar] [CrossRef]
- Shaw, M.K.; Ingraham, J.L. Synthesis of macromolecules by Escherichia coli near the minimal temperature for growth. J. Bacteriol. 1967, 94, 157–164. [Google Scholar] [CrossRef]
- Jacobs, P.P.; Inan, M.; Festjens, N.; Haustraete, J.; Van Hecke, A.; Contreras, R.; Meagher, M.M.; Callewaert, N. Fed-batch fermentation of GM-CSF-producing glycoengineered Pichia pastoris under controlled specific growth rate. Microb. Cell Fact. 2010, 9, 93. [Google Scholar] [CrossRef] [PubMed]
- Bordier, C. Phase separation of integral membrane proteins in Triton X-114 solution. J. Biol. Chem. 1981, 256, 1604–1607. [Google Scholar] [CrossRef]
- Aida, Y.; Pabst, M.J. Removal of endotoxin from protein solutions by phase separation using Triton X-114. J. Immunol. Methods 1990, 132, 191–195. [Google Scholar] [CrossRef]
- Liu, S.; Tobias, R.; McClure, S.; Styba, G.; Shi, Q.; Jackowski, G. Removal of endotoxin from recombinant protein preparations. Clin. Biochem. 1997, 30, 455–463. [Google Scholar] [CrossRef]
- Magalhaes, P.O.; Lopes, A.M.; Mazzola, P.G.; Rangel-Yagui, C.; Penna, T.C.; Pessoa, A., Jr. Methods of endotoxin removal from biological preparations: A review. J. Pharm. Pharm. Sci. 2007, 10, 388–404. [Google Scholar] [PubMed]
- Mack, L.; Brill, B.; Delis, N.; Groner, B. Endotoxin depletion of recombinant protein preparations through their preferential binding to histidine tags. Anal. Biochem. 2014, 466, 83–88. [Google Scholar] [CrossRef]
- London, A.S.; Japutra, C.; Planck, K.; Lihon, M.; Nguyen, A.A. A novel method to determine residual detergent in biological samples post endotoxin reduction treatment and evaluation of strategies for subsequent detergent removal. Int. Immunopharmacol. 2016, 37, 16–22. [Google Scholar] [CrossRef] [PubMed]
- Boratynski, J.; Szermer-Olearnik, B. Endotoxin Removal from Escherichia coli Bacterial Lysate Using a Biphasic Liquid System. Methods Mol. Biol. 2017, 1600, 107–112. [Google Scholar] [PubMed]
- Mamat, U.; Wilke, K.; Bramhill, D.; Schromm, A.B.; Lindner, B.; Kohl, T.A.; Corchero, J.L.; Villaverde, A.; Schaffer, L.; Head, S.R.; et al. Detoxifying Escherichia coli for endotoxin-free production of recombinant proteins. Microb. Cell Fact. 2015, 14, 57. [Google Scholar] [CrossRef]






| Expression Level (%) | Solubility (%) | ||||||
|---|---|---|---|---|---|---|---|
| E. Coli strain | Tag | 37 °C | 30 °C | 18 °C | 37 °C | 30 °C | 18 °C |
| BL21 (DE3) | His | 18 1.9 | 17.3 2.7 | 2.7 0.8 | 22.7 1.3 | 15.7 1.7 | 80.2 3 |
| MBP | 22.1 3.6 | 20.2 4.9 | 7.3 1 | 30.5 5.1 | 42.7 3.6 | 87.6 2.4 | |
| PDIb′a′ | 17.4 1.4 | 14.1 2.8 | 3.8 1 | 26.7 5.1 | 85 3.6 | 77.7 8.6 | |
| ClearColi BL21 (DE3) | His | 66.3 9.4 | 61.1 5.6 | 9.3 1.1 | 8.5 2.4 | 7.5 1.5 | 84.1 5.3 |
| MBP | 29.8 2.9 | 33.1 2.3 | 9.4 1.7 | 25 0.3 | 63.5 14.6 | 84.8 7.7 | |
| PDIb′a′ | 24 6.2 | 27.3 6.6 | 13.3 3.5 | 56 2.1 | 94.6 2.1 | 87.2 6 | |
| LOBSTR | His | 59.2 2.9 | 38.9 3.9 | 9.3 0.4 | 10.5 4.5 | 9.3 0.7 | 68.4 2.1 |
| MBP | 22.4 1.3 | 14.8 3.3 | 6.8 0.5 | 31 1.1 | 68.2 13.4 | 86.5 6.7 | |
| PDIb′a′ | 17.2 3.7 | 14.2 2.6 | 3.7 1.3 | 46.2 2.1 | 89.7 7.9 | 53.8 11 | |
| Origami2 (DE3) | His | 56.5 ± 5.8 | 50 ± 4.4 | 25.9 ± 5.1 | 2.9 ± 1.4 | 3.3 ± 1.1 | 18.6 ± 4.2 |
| MBP | 25.5 ± 0.3 | 16.5 ± 1.4 | 16.5 ± 1.9 | 33.3 ± 3.4 | 95.3 ± 1.6 | 92.9 ± 2 | |
| PDIb′a′ | 41.8 ± 10.8 | 33.3 ± 11 | 22 ± 3 | 36.2 ± 7.3 | 93.7 ± 2.7 | 95.1 ± 2.5 | |
| SHuffle T7 | His | 49.7 ± 2.9 | 38.8 ± 5.8 | 15 ± 2 | 5.8 ± 1.8 | 12.9 ± 0.9 | 62.5 ± 0.6 |
| MBP | 24.1 ± 6.7 | 14.9 ± 1.6 | 6.3 ± 0.7 | 23.5 ± 4.6 | 61.6 ± 8.7 | 93.7 ± 3 | |
| PDIb′a′ | 14.9 ± 3.6 | 18.2 ± 0.2 | 18 ± 1.8 | 28.3 ± 2.4 | 97 ± 1.1 | 97.1 ± 1.2 | |
| Purification Step | Total Protein (mg) | Purity (%) | hGM-CSF (mg) | Yield (%) |
|---|---|---|---|---|
| Supernatant of whole E. coli lysate | 118.8 | 23 | 27.3 | 100 |
| 1st IMAC | 13.3 | 38 | 5.05 | 18.5 |
| 2nd IEC | 0.7 | 98 | 0.68 | 13.5 |
Publisher’s Note: MDPI stays neutral with regard to jurisdictional claims in published maps and institutional affiliations. |
© 2021 by the authors. Licensee MDPI, Basel, Switzerland. This article is an open access article distributed under the terms and conditions of the Creative Commons Attribution (CC BY) license (https://creativecommons.org/licenses/by/4.0/).
Share and Cite
Nguyen, T.K.O.; Vu, T.L.; Nguyen, M.Q.; Ta, H.K.K.; Park, K.S.; Kim, S.H.; Kim, C.J.; Jang, Y.J.; Choe, H. Soluble Prokaryotic Overexpression and Purification of Human GM-CSF Using the Protein Disulfide Isomerase b′a′ Domain. Int. J. Mol. Sci. 2021, 22, 5267. https://doi.org/10.3390/ijms22105267
Nguyen TKO, Vu TL, Nguyen MQ, Ta HKK, Park KS, Kim SH, Kim CJ, Jang YJ, Choe H. Soluble Prokaryotic Overexpression and Purification of Human GM-CSF Using the Protein Disulfide Isomerase b′a′ Domain. International Journal of Molecular Sciences. 2021; 22(10):5267. https://doi.org/10.3390/ijms22105267
Chicago/Turabian StyleNguyen, Thi Kieu Oanh, Thi Luong Vu, Minh Quan Nguyen, Huynh Kim Khanh Ta, Kyoung Sun Park, Soo Hyeon Kim, Chong Jai Kim, Yeon Jin Jang, and Han Choe. 2021. "Soluble Prokaryotic Overexpression and Purification of Human GM-CSF Using the Protein Disulfide Isomerase b′a′ Domain" International Journal of Molecular Sciences 22, no. 10: 5267. https://doi.org/10.3390/ijms22105267
APA StyleNguyen, T. K. O., Vu, T. L., Nguyen, M. Q., Ta, H. K. K., Park, K. S., Kim, S. H., Kim, C. J., Jang, Y. J., & Choe, H. (2021). Soluble Prokaryotic Overexpression and Purification of Human GM-CSF Using the Protein Disulfide Isomerase b′a′ Domain. International Journal of Molecular Sciences, 22(10), 5267. https://doi.org/10.3390/ijms22105267

