LAG-3, TIM-3 and VISTA Expression on Tumor-Infiltrating Lymphocytes in Oropharyngeal Squamous Cell Carcinoma—Potential Biomarkers for Targeted Therapy Concepts
Abstract
1. Introduction
2. Results
2.1. Patient and Tumor Characteristics
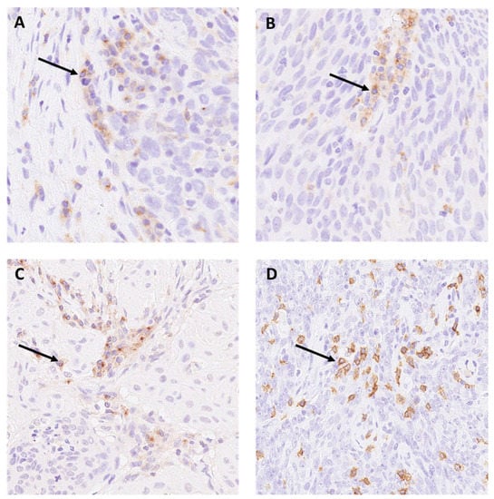
2.2. Expression Profile of LAG-3, TIM-3 and VISTA
2.3. Survival Analysis
3. Discussion
4. Materials and Methods
4.1. Patient Cohort
4.2. p16INK4a Immunohistochemistry, HPV-DNA Genotyping and Construction of Tissue Microarray
4.3. Immunohistochemistry
4.4. Scoring of LAG-3, TIM-3, and VISTA
4.5. Statistical Analysis
Author Contributions
Funding
Institutional Review Board Statement
Informed Consent Statement
Data Availability Statement
Acknowledgments
Conflicts of Interest
References
- Pardoll, D.M. The Blockade of Immune Checkpoints in Cancer Immunotherapy. Nat. Rev. Cancer 2012, 12, 252–264. [Google Scholar] [CrossRef] [PubMed]
- Shi, T.; Ma, Y.; Yu, L.; Jiang, J.; Shen, S.; Hou, Y.; Wang, T. Cancer Immunotherapy: A Focus on the Regulation of Immune Checkpoints. Int. J. Mol. Sci. 2018, 19, 1389. [Google Scholar] [CrossRef] [PubMed]
- Hodi, F.S.; O’Day, S.J.; McDermott, D.F.; Weber, R.W.; Sosman, J.A.; Haanen, J.B.; Gonzalez, R.; Robert, C.; Schadendorf, D.; Hassel, J.C.; et al. Improved Survival with Ipilimumab in Patients with Metastatic Melanoma. N. Engl. J. Med. 2010, 363, 711–723. [Google Scholar] [CrossRef] [PubMed]
- Wolchok, J.D.; Kluger, H.; Callahan, M.K.; Postow, M.A.; Rizvi, N.A.; Lesokhin, A.M.; Segal, N.H.; Ariyan, C.E.; Gordon, R.-A.; Reed, K.; et al. Nivolumab plus Ipilimumab in Advanced Melanoma. N. Engl. J. Med. 2013, 369, 122–133. [Google Scholar] [CrossRef]
- Brahmer, J.R.; Tykodi, S.S.; Chow, L.Q.M.; Hwu, W.-J.; Topalian, S.L.; Hwu, P.; Drake, C.G.; Camacho, L.H.; Kauh, J.; Odunsi, K.; et al. Safety and Activity of Anti-PD-L1 Antibody in Patients with Advanced Cancer. N. Engl. J. Med. 2012, 366, 2455–2465. [Google Scholar] [CrossRef] [PubMed]
- Topalian, S.L.; Hodi, F.S.; Brahmer, J.R.; Gettinger, S.N.; Smith, D.C.; McDermott, D.F.; Powderly, J.D.; Carvajal, R.D.; Sosman, J.A.; Atkins, M.B.; et al. Safety, Activity, and Immune Correlates of Anti-PD-1 Antibody in Cancer. N. Engl. J. Med. 2012, 366, 2443–2454. [Google Scholar] [CrossRef] [PubMed]
- Callahan, M.K.; Wolchok, J.D.; Allison, J.P. Anti-CTLA-4 Antibody Therapy: Immune Monitoring during Clinical Development of a Novel Immunotherapy. Semin. Oncol. 2010, 37, 473–484. [Google Scholar] [CrossRef] [PubMed]
- Mangsbo, S.M.; Sandin, L.C.; Anger, K.; Korman, A.J.; Loskog, A.; Tötterman, T.H. Enhanced Tumor Eradication by Combining CTLA-4 or PD-1 Blockade with CpG Therapy. J. Immunother. 2010, 33, 225–235. [Google Scholar] [CrossRef]
- He, Y.; Rivard, C.J.; Rozeboom, L.; Yu, H.; Ellison, K.; Kowalewski, A.; Zhou, C.; Hirsch, F.R. Lymphocyte-Activation Gene-3, an Important Immune Checkpoint in Cancer. Cancer Sci. 2016, 107, 1193–1197. [Google Scholar] [CrossRef]
- Anderson, A.C.; Joller, N.; Kuchroo, V.K. Lag-3, Tim-3, and TIGIT: Co-Inhibitory Receptors with Specialized Functions in Immune Regulation. Immunity 2016, 44, 989–1004. [Google Scholar] [CrossRef]
- Goldberg, M.V.; Drake, C.G. LAG-3 in Cancer Immunotherapy. Curr. Top. Microbiol. Immunol. 2011, 344, 269–278. [Google Scholar] [CrossRef]
- Baitsch, L.; Legat, A.; Barba, L.; Fuertes Marraco, S.A.; Rivals, J.-P.; Baumgaertner, P.; Christiansen-Jucht, C.; Bouzourene, H.; Rimoldi, D.; Pircher, H.; et al. Extended Co-Expression of Inhibitory Receptors by Human CD8 T-Cells Depending on Differentiation, Antigen-Specificity and Anatomical Localization. PLoS ONE 2012, 7, e30852. [Google Scholar] [CrossRef] [PubMed]
- Grosso, J.F.; Kelleher, C.C.; Harris, T.J.; Maris, C.H.; Hipkiss, E.L.; De Marzo, A.; Anders, R.; Netto, G.; Getnet, D.; Bruno, T.C.; et al. LAG-3 Regulates CD8+ T Cell Accumulation and Effector Function in Murine Self- and Tumor-Tolerance Systems. J. Clin. Investig. 2007, 117, 3383–3392. [Google Scholar] [CrossRef] [PubMed]
- Demeure, C.E.; Wolfers, J.; Martin-Garcia, N.; Gaulard, P.; Triebel, F. T Lymphocytes Infiltrating Various Tumour Types Express the MHC Class II Ligand Lymphocyte Activation Gene-3 (LAG-3): Role of LAG-3/MHC Class II Interactions in Cell-Cell Contacts. Eur. J. Cancer 2001, 37, 1709–1718. [Google Scholar] [CrossRef]
- Anderson, A.C. Tim-3, a Negative Regulator of Anti-Tumor Immunity. Curr. Opin. Immunol. 2012, 24, 213–216. [Google Scholar] [CrossRef] [PubMed]
- Wolf, Y.; Anderson, A.C.; Kuchroo, V.K. TIM3 Comes of Age as an Inhibitory Receptor. Nat. Rev. Immunol. 2020, 20, 173–185. [Google Scholar] [CrossRef] [PubMed]
- DeKruyff, R.H.; Bu, X.; Ballesteros, A.; Santiago, C.; Chim, Y.-L.E.; Lee, H.-H.; Karisola, P.; Pichavant, M.; Kaplan, G.G.; Umetsu, D.T.; et al. T Cell/Transmembrane, Ig, and Mucin-3 Allelic Variants Differentially Recognize Phosphatidylserine and Mediate Phagocytosis of Apoptotic Cells. J. Immunol. 2010, 184, 1918–1930. [Google Scholar] [CrossRef]
- Huang, Y.-H.; Zhu, C.; Kondo, Y.; Anderson, A.C.; Gandhi, A.; Russell, A.; Dougan, S.K.; Petersen, B.-S.; Melum, E.; Pertel, T.; et al. CEACAM1 Regulates TIM-3-Mediated Tolerance and Exhaustion. Nature 2015, 517, 386–390. [Google Scholar] [CrossRef]
- Zhu, C.; Anderson, A.C.; Schubart, A.; Xiong, H.; Imitola, J.; Khoury, S.J.; Zheng, X.X.; Strom, T.B.; Kuchroo, V.K. The Tim-3 Ligand Galectin-9 Negatively Regulates T Helper Type 1 Immunity. Nat. Immunol. 2005, 6, 1245–1252. [Google Scholar] [CrossRef]
- Liu, J.-F.; Ma, S.-R.; Mao, L.; Bu, L.-L.; Yu, G.-T.; Li, Y.-C.; Huang, C.-F.; Deng, W.-W.; Kulkarni, A.B.; Zhang, W.-F.; et al. T-cell Immunoglobulin Mucin 3 Blockade Drives an Antitumor Immune Response in Head and Neck Cancer. Mol. Oncol. 2017, 11, 235–247. [Google Scholar] [CrossRef]
- Wiener, Z.; Kohalmi, B.; Pocza, P.; Jeager, J.; Tolgyesi, G.; Toth, S.; Gorbe, E.; Papp, Z.; Falus, A. TIM-3 Is Expressed in Melanoma Cells and Is Upregulated in TGF-Beta Stimulated Mast Cells. J. Investig. Dermatol. 2007, 127, 906–914. [Google Scholar] [CrossRef] [PubMed]
- Zhuang, X.; Zhang, X.; Xia, X.; Zhang, C.; Liang, X.; Gao, L.; Zhang, X.; Ma, C. Ectopic Expression of TIM-3 in Lung Cancers: A Potential Independent Prognostic Factor for Patients with NSCLC. Am. J. Clin. Pathol. 2012, 137, 978–985. [Google Scholar] [CrossRef] [PubMed]
- Cai, C.; Xu, Y.-F.; Wu, Z.-J.; Dong, Q.; Li, M.-Y.; Olson, J.C.; Rabinowitz, Y.M.; Wang, L.-H.; Sun, Y. Tim-3 Expression Represents Dysfunctional Tumor Infiltrating T Cells in Renal Cell Carcinoma. World J. Urol. 2016, 34, 561–567. [Google Scholar] [CrossRef] [PubMed]
- El Halabi, L.; Adam, J.; Marty, V.; Bosq, J.; Lazarovici, J.; Danu, A.; Ribrag, V.; Ghez, D. Strong Expression of the Immune Checkpoint Regulators LAG3 and Tim3 in Hodgkin Lymphoma. Blood 2016, 128, 2952. [Google Scholar] [CrossRef]
- Mehta, N.; Maddineni, S.; Mathews, I.I.; Andres Parra Sperberg, R.; Huang, P.-S.; Cochran, J.R. Structure and Functional Binding Epitope of V-Domain Ig Suppressor of T Cell Activation. Cell Reports 2019, 28, 2509–2516. [Google Scholar] [CrossRef]
- Flies, D.B.; Wang, S.; Xu, H.; Chen, L. Cutting Edge: A Monoclonal Antibody Specific for the Programmed Death-1 Homolog Prevents Graft-versus-Host Disease in Mouse Models. J. Immunol. 2011, 187, 1537–1541. [Google Scholar] [CrossRef]
- Wang, L.; Rubinstein, R.; Lines, J.L.; Wasiuk, A.; Ahonen, C.; Guo, Y.; Lu, L.-F.; Gondek, D.; Wang, Y.; Fava, R.A.; et al. VISTA, a Novel Mouse Ig Superfamily Ligand That Negatively Regulates T Cell Responses. J. Exp. Med. 2011, 208, 577–592. [Google Scholar] [CrossRef]
- Lines, J.L.; Pantazi, E.; Mak, J.; Sempere, L.F.; Wang, L.; O’Connell, S.; Ceeraz, S.; Suriawinata, A.A.; Yan, S.; Ernstoff, M.S.; et al. VISTA Is an Immune Checkpoint Molecule for Human T Cells. Cancer Res. 2014, 74, 1924–1932. [Google Scholar] [CrossRef]
- Flies, D.B.; Han, X.; Higuchi, T.; Zheng, L.; Sun, J.; Ye, J.J.; Chen, L. Coinhibitory Receptor PD-1H Preferentially Suppresses CD4+ T Cell-Mediated Immunity. J. Clin. Investig. 2014, 124, 1966–1975. [Google Scholar] [CrossRef]
- Le Mercier, I.; Chen, W.; Lines, J.L.; Day, M.; Li, J.; Sergent, P.; Noelle, R.J.; Wang, L. VISTA Regulates the Development of Protective Antitumor Immunity. Cancer Res. 2014, 74, 1933–1944. [Google Scholar] [CrossRef]
- Bharaj, P.; Chahar, H.S.; Alozie, O.K.; Rodarte, L.; Bansal, A.; Goepfert, P.A.; Dwivedi, A.; Manjunath, N.; Shankar, P. Characterization of Programmed Death-1 Homologue-1 (PD-1H) Expression and Function in Normal and HIV Infected Individuals. PLoS ONE 2014, 9, e109103. [Google Scholar] [CrossRef]
- Lines, J.L.; Sempere, L.F.; Broughton, T.; Wang, L.; Noelle, R. VISTA Is a Novel Broad-Spectrum Negative Checkpoint Regulator for Cancer Immunotherapy. Cancer Immunol. Res. 2014, 2, 510–517. [Google Scholar] [CrossRef] [PubMed]
- Ferris, R.L.; Blumenschein, G.; Fayette, J.; Guigay, J.; Colevas, A.D.; Licitra, L.; Harrington, K.; Kasper, S.; Vokes, E.E.; Even, C.; et al. Nivolumab for Recurrent Squamous-Cell Carcinoma of the Head and Neck. N. Engl. J. Med. 2016, 375, 1856–1867. [Google Scholar] [CrossRef] [PubMed]
- Chow, L.Q.M.; Haddad, R.; Gupta, S.; Mahipal, A.; Mehra, R.; Tahara, M.; Berger, R.; Eder, J.P.; Burtness, B.; Lee, S.-H.; et al. Antitumor Activity of Pembrolizumab in Biomarker-Unselected Patients With Recurrent and/or Metastatic Head and Neck Squamous Cell Carcinoma: Results From the Phase Ib KEYNOTE-012 Expansion Cohort. J. Clin. Oncol. 2016, 34, 3838–3845. [Google Scholar] [CrossRef] [PubMed]
- Cohen, E.E.W.; Soulières, D.; Le Tourneau, C.; Dinis, J.; Licitra, L.; Ahn, M.-J.; Soria, A.; Machiels, J.-P.; Mach, N.; Mehra, R.; et al. Pembrolizumab versus Methotrexate, Docetaxel, or Cetuximab for Recurrent or Metastatic Head-and-Neck Squamous Cell Carcinoma (KEYNOTE-040): A Randomised, Open-Label, Phase 3 Study. Lancet 2019, 393, 156–167. [Google Scholar] [CrossRef]
- Chaturvedi, A.K.; Engels, E.A.; Pfeiffer, R.M.; Hernandez, B.Y.; Xiao, W.; Kim, E.; Jiang, B.; Goodman, M.T.; Sibug-Saber, M.; Cozen, W.; et al. Human Papillomavirus and Rising Oropharyngeal Cancer Incidence in the United States. J. Clin. Oncol. 2011, 29, 4294–4301. [Google Scholar] [CrossRef] [PubMed]
- Tinhofer, I.; Jöhrens, K.; Keilholz, U.; Kaufmann, A.; Lehmann, A.; Weichert, W.; Stenzinger, A.; Stromberger, C.; Klinghammer, K.; Becker, E.-T.; et al. Contribution of Human Papilloma Virus to the Incidence of Squamous Cell Carcinoma of the Head and Neck in a European Population with High Smoking Prevalence. Eur. J. Cancer 2015, 51, 514–521. [Google Scholar] [CrossRef]
- Wittekindt, C.; Wagner, S.; Bushnak, A.; Prigge, E.-S.; von Knebel Doeberitz, M.; Würdemann, N.; Bernhardt, K.; Pons-Kühnemann, J.; Maulbecker-Armstrong, C.; Klussmann, J.P. Increasing Incidence Rates of Oropharyngeal Squamous Cell Carcinoma in Germany and Significance of Disease Burden Attributed to Human Papillomavirus. Cancer Prev. Res. 2019, 12, 375–382. [Google Scholar] [CrossRef]
- Kreimer, A.R.; Clifford, G.M.; Boyle, P.; Franceschi, S. Human Papillomavirus Types in Head and Neck Squamous Cell Carcinomas Worldwide: A Systematic Review. Cancer Epidemiol. Biomark. Prev. 2005, 14, 467–475. [Google Scholar] [CrossRef]
- Castellsagué, X.; Alemany, L.; Quer, M.; Halec, G.; Quirós, B.; Tous, S.; Clavero, O.; Alòs, L.; Biegner, T.; Szafarowski, T.; et al. HPV Involvement in Head and Neck Cancers: Comprehensive Assessment of Biomarkers in 3680 Patients. J. Natl. Cancer Inst. 2016, 108, djv403. [Google Scholar] [CrossRef]
- Maxwell, J.H.; Grandis, J.R.; Ferris, R.L. HPV-Associated Head and Neck Cancer: Unique Features of Epidemiology and Clinical Management. Annu. Rev. Med. 2016, 67, 91–101. [Google Scholar] [CrossRef] [PubMed]
- Oliva, M.; Spreafico, A.; Taberna, M.; Alemany, L.; Coburn, B.; Mesia, R.; Siu, L.L. Immune Biomarkers of Response to Immune-Checkpoint Inhibitors in Head and Neck Squamous Cell Carcinoma. Ann. Oncol. 2019, 30, 57–67. [Google Scholar] [CrossRef] [PubMed]
- Li, N.; Workman, C.J.; Martin, S.M.; Vignali, D.A.A. Biochemical Analysis of the Regulatory T Cell Protein Lymphocyte Activation Gene-3 (LAG-3; CD223). J. Immunol. 2004, 173, 6806–6812. [Google Scholar] [CrossRef]
- Baumeister, S.H.; Freeman, G.J.; Dranoff, G.; Sharpe, A.H. Coinhibitory Pathways in Immunotherapy for Cancer. Annu. Rev. Immunol. 2016, 34, 539–573. [Google Scholar] [CrossRef] [PubMed]
- Woo, S.-R.; Turnis, M.E.; Goldberg, M.V.; Bankoti, J.; Selby, M.; Nirschl, C.J.; Bettini, M.L.; Gravano, D.M.; Vogel, P.; Liu, C.L.; et al. Immune Inhibitory Molecules LAG-3 and PD-1 Synergistically Regulate T-Cell Function to Promote Tumoral Immune Escape. Cancer Res. 2012, 72, 917–927. [Google Scholar] [CrossRef] [PubMed]
- Waugh, K.A.; Leach, S.M.; Moore, B.L.; Bruno, T.C.; Buhrman, J.D.; Slansky, J.E. Molecular Profile of Tumor-Specific CD8+ T Cell Hypofunction in a Transplantable Murine Cancer Model. J. Immunol. 2016, 197, 1477–1488. [Google Scholar] [CrossRef]
- Huang, R.-Y.; Eppolito, C.; Lele, S.; Shrikant, P.; Matsuzaki, J.; Odunsi, K. LAG3 and PD1 Co-Inhibitory Molecules Collaborate to Limit CD8+ T Cell Signaling and Dampen Antitumor Immunity in a Murine Ovarian Cancer Model. Oncotarget 2015, 6, 27359–27377. [Google Scholar] [CrossRef]
- Mandal, R.; Şenbabaoğlu, Y.; Desrichard, A.; Havel, J.J.; Dalin, M.G.; Riaz, N.; Lee, K.-W.; Ganly, I.; Hakimi, A.A.; Chan, T.A.; et al. The Head and Neck Cancer Immune Landscape and Its Immunotherapeutic Implications. JCI Insight 2016, 1, e89829. [Google Scholar] [CrossRef]
- Panda, A.; Rosenfeld, J.A.; Singer, E.A.; Bhanot, G.; Ganesan, S. Genomic and Immunologic Correlates of LAG-3 Expression in Cancer. OncoImmunology 2020, 9, 1756116. [Google Scholar] [CrossRef]
- Wuerdemann, N.; Gültekin, S.E.; Pütz, K.; Wittekindt, C.; Huebbers, C.U.; Sharma, S.J.; Eckel, H.; Schubotz, A.B.; Gattenlöhner, S.; Büttner, R.; et al. PD-L1 Expression and a High Tumor Infiltrate of CD8+ Lymphocytes Predict Outcome in Patients with Oropharyngeal Squamous Cells Carcinoma. Int. J. Mol. Sci. 2020, 21, 5228. [Google Scholar] [CrossRef]
- Matsuzaki, J.; Gnjatic, S.; Mhawech-Fauceglia, P.; Beck, A.; Miller, A.; Tsuji, T.; Eppolito, C.; Qian, F.; Lele, S.; Shrikant, P.; et al. Tumor-Infiltrating NY-ESO-1–Specific CD8+ T Cells Are Negatively Regulated by LAG-3 and PD-1 in Human Ovarian Cancer. Proc. Natl. Acad. Sci. USA 2010, 107, 7875–7880. [Google Scholar] [CrossRef]
- Li, F.-J.; Zhang, Y.; Jin, G.-X.; Yao, L.; Wu, D.-Q. Expression of LAG-3 Is Coincident with the Impaired Effector Function of HBV-Specific CD8+ T Cell in HCC Patients. Immunol. Lett. 2013, 150, 116–122. [Google Scholar] [CrossRef]
- Takaya, S.; Saito, H.; Ikeguchi, M. Upregulation of Immune Checkpoint Molecules, PD-1 and LAG-3, on CD4+ and CD8+ T Cells after Gastric Cancer Surgery. Yonago Acta Med. 2015, 58, 39–44. [Google Scholar]
- Yang, Z.-Z.; Kim, H.J.; Villasboas, J.C.; Chen, Y.-P.; Price-Troska, T.; Jalali, S.; Wilson, M.; Novak, A.J.; Ansell, S.M. Expression of LAG-3 Defines Exhaustion of Intratumoral PD-1 + T Cells and Correlates with Poor Outcome in Follicular Lymphoma. Oncotarget 2017, 8, 61425–61439. [Google Scholar] [CrossRef]
- Ascierto, P.A.; Bono, P.; Bhatia, S.; Melero, I.; Nyakas, M.S.; Svane, I.-M.; Larkin, J.; Gomez-Roca, C.; Schadendorf, D.; Dummer, R.; et al. Efficacy of BMS-986016, a Monoclonal Antibody That Targets Lymphocyte Activation Gene-3 (LAG-3), in Combination with Nivolumab in Pts with Melanoma Who Progressed during Prior Anti–PD-1/PD-L1 Therapy (Mel Prior IO) in All-Comer and Biomarker-Enriched Populations. Ann. Oncol. 2017, 28, v611–v612. [Google Scholar] [CrossRef]
- Qin, S.; Xu, L.; Yi, M.; Yu, S.; Wu, K.; Luo, S. Novel Immune Checkpoint Targets: Moving beyond PD-1 and CTLA-4. Mol. Cancer 2019, 18, 155. [Google Scholar] [CrossRef]
- Kim, J.E.; Patel, M.A.; Mangraviti, A.; Kim, E.S.; Theodros, D.; Velarde, E.; Liu, A.; Sankey, E.W.; Tam, A.; Xu, H.; et al. Combination Therapy with Anti-PD-1, Anti-TIM-3, and Focal Radiation Results in Regression of Murine Gliomas. Clin. Cancer Res. 2017, 23, 124–136. [Google Scholar] [CrossRef]
- Wu, L.; Deng, W.-W.; Huang, C.-F.; Bu, L.-L.; Yu, G.-T.; Mao, L.; Zhang, W.-F.; Liu, B.; Sun, Z.-J. Expression of VISTA Correlated with Immunosuppression and Synergized with CD8 to Predict Survival in Human Oral Squamous Cell Carcinoma. Cancer Immunol. Immunother. 2017, 66, 627–636. [Google Scholar] [CrossRef]
- Kondo, Y.; Ohno, T.; Nishii, N.; Harada, K.; Yagita, H.; Azuma, M. Differential Contribution of Three Immune Checkpoint (VISTA, CTLA-4, PD-1) Pathways to Antitumor Responses against Squamous Cell Carcinoma. Oral Oncol. 2016, 57, 54–60. [Google Scholar] [CrossRef]
- Luke, J.J.; Azad, N.S.; Edwards, R.; Huang, S.-M.A.; Comprelli, A.; Monga, M.; Reilly, T.P.; Hodi, F.S. Phase 1, Open-Label, Adaptive Biomarker Trial That Informs the Evolution of Combination Immuno-Oncology (IO) Therapies (ADVISE), a Precision IO Approach to Personalized Medicine. J. Clin. Oncol. 2018, 36, TPS3101. [Google Scholar] [CrossRef]
- Sobin, L.H.; Gospodarowicz, M.K.; Wittekind, C. TNM Classification of Malignant Tumours; John Wiley & Sons: Hoboken, NJ, USA, 2011. [Google Scholar]
- El-Naggar, A.K.; Chan, J.K.C.; Grandis, J.R.; Takata, T.; Slootweg, P.J. WHO Classification of Head and Neck Tumors; International Agency for Research on Cancer: Lyon, France, 2017. [Google Scholar]
- Ascierto, P.A.; McArthur, G.A. Checkpoint Inhibitors in Melanoma and Early Phase Development in Solid Tumors: What’s the Future? J. Transl. Med. 2017, 15, 173. [Google Scholar] [CrossRef] [PubMed]
- Khunger, M.; Hernandez, A.V.; Pasupuleti, V.; Rakshit, S.; Pennell, N.A.; Stevenson, J.; Mukhopadhyay, S.; Schalper, K.; Velcheti, V. Programmed Cell Death 1 (PD-1) Ligand (PD-L1) Expression in Solid Tumors As a Predictive Biomarker of Benefit From PD-1/PD-L1 Axis Inhibitors: A Systematic Review and Meta-Analysis. JCO Precis. Oncol. 2017, 1, 1–15. [Google Scholar] [CrossRef]


| Risk Factors | All | HPV-Related | HPV-Negative | p | ||||
|---|---|---|---|---|---|---|---|---|
| (n = 241) | 100% | (n = 63) | 26% | (n = 177) | 74% | |||
| Nicotine | never | 44 | 18% | 24 | 39% | 20 | 11% | <0.001 |
| former/current | 195 | 82% | 38 | 61% | 156 | 89% | ||
| Alcohol | ≤ 2 drinks/day | 114 | 58% | 50 | 96% | 63 | 44% | <0.001 |
| > 2 drinks/day | 82 | 42% | 2 | 4% | 80 | 56% | ||
| Age | young (< 60 years) | 118 | 49% | 34 | 54% | 84 | 47% | 0.375 |
| old (≥ 60 years) | 123 | 51% | 29 | 46% | 93 | 53% | ||
| Gender | male | 189 | 78% | 44 | 70% | 144 | 81% | 0.057 |
| female | 52 | 22% | 19 | 30% | 33 | 19% | ||
| ECOG | healthy (0–1) | 172 | 74% | 45 | 78% | 127 | 72% | 0.417 |
| sick (2–4) | 62 | 26% | 13 | 22% | 49 | 28% | ||
| Tumor characteristics | ||||||||
| Localization | tonsil | 126 | 53% | 42 | 67% | 83 | 48% | 0.012 |
| other than tonsil | 110 | 47% | 21 | 33% | 89 | 52% | ||
| UICC7 stages | I−III | 98 | 41% | 24 | 38% | 74 | 42% | 0.562 |
| >III | 141 | 59% | 39 | 62% | 101 | 58% | ||
| T-stage | T1–3 | 190 | 79% | 54 | 86% | 135 | 77% | 0.149 |
| T> 3 | 49 | 21% | 9 | 14% | 40 | 23% | ||
| N-stage | N0 | 69 | 29% | 8 | 13% | 61 | 35% | 0.001 |
| N+ | 170 | 71% | 55 | 87% | 114 | 65% | ||
| M-stage | M0 | 222 | 95% | 60 | 98% | 161 | 94% | 0.296 a |
| M > 0 | 11 | 5% | 1 | 2% | 10 | 6% | ||
| Recurrence | no | 209 | 87% | 62 | 98% | 146 | 82% | <0.001 a |
| yes | 32 | 13% | 1 | 2% | 31 | 18% | ||
| Treatment | ||||||||
| Upfront Surgery | Yes | 175 | 73% | 54 | 86% | 120 | 68% | 0.006 |
| No | 66 | 27% | 9 | 14% | 57 | 32% | ||
| LAG-3 Expression | TIM-3 Expression | VISTA Expression | CD8 Expression | ||||||||||||||||||
|---|---|---|---|---|---|---|---|---|---|---|---|---|---|---|---|---|---|---|---|---|---|
| All | yes | (%) | no | (%) | p | yes | (%) | no | (%) | p | yes | (%) | no | (%) | p | yes | (%) | no | (%) | p | |
| 73 | 31% | 166 | 69% | 122 | 51% | 119 | 49% | 168 | 70% | 73 | 30% | 89 | 37% | 149 | 63% | ||||||
| LAG-3 Expression | yes | 54 | 74% | 19 | 26% | <0.001 | 66 | 90% | 7 | 10% | <0.001 | 39 | 56% | 31 | 44% | <0.001 | |||||
| no | 68 | 41% | 98 | 59% | 101 | 61% | 65 | 39% | 50 | 30% | 116 | 70% | |||||||||
| TIM-3 Expression | yes | 113 | 93% | 9 | 7% | <0.001 | 65 | 54% | 55 | 46% | <0.001 | ||||||||||
| no | 55 | 46% | 64 | 54% | 24 | 20% | 94 | 80% | |||||||||||||
| VISTA Expression | yes | 71 | 43% | 94 | 57% | 0.007 | |||||||||||||||
| no | 18 | 25% | 55 | 75% | |||||||||||||||||
| CD8 Expression | yes | ||||||||||||||||||||
| no | |||||||||||||||||||||
| HPV-relation | yes | 28 | 44% | 35 | 56% | 0.006 | 44 | 70% | 19 | 30% | <0.001 | 47 | 75% | 16 | 25% | 0.313 | 42 | 67% | 21 | 33% | <0.001 |
| no | 45 | 26% | 130 | 74% | 78 | 44% | 99 | 56% | 120 | 68% | 57 | 32% | 46 | 26% | 128 | 74% | |||||
| HPV-related OPSCC | LAG-3 Expression | TIM-3 Expression | VISTA Expression | CD8 Expression | |||||||||||||||||
| n = 63 | yes | (%) | no | (%) | p | yes | (%) | no | (%) | p | yes | (%) | no | (%) | p | yes | (%) | no | (%) | p | |
| 28 | 44% | 35 | 56% | 44 | 70% | 19 | 30% | 47 | 75% | 16 | 25% | 42 | 67% | 21 | 33% | ||||||
| LAG-3 Expression | yes | 24 | 86% | 4 | 14% | 0.026 a | 25 | 89% | 3 | 11% | 0.021 a | 25 | 89% | 3 | 11% | 0.001 a | |||||
| no | 20 | 57% | 15 | 43% | 22 | 63% | 13 | 37% | 17 | 49% | 18 | 51% | |||||||||
| TIM-3 Expression | yes | 41 | 93% | 3 | 7% | <0.001 a | 37 | 84% | 7 | 16% | <0.001 a | ||||||||||
| no | 6 | 32% | 13 | 68% | 5 | 26% | 14 | 74% | |||||||||||||
| VISTA Expression | yes | 38 | 81% | 9 | 19% | <0.001 a | |||||||||||||||
| no | 4 | 26% | 12 | 74% | |||||||||||||||||
| CD8 Expression | yes | ||||||||||||||||||||
| no | |||||||||||||||||||||
| HPV-negative OPSCC | LAG-3 Expression | TIM-3 Expression | VISTA Expression | CD8 Expression | |||||||||||||||||
| n = 177 | yes | (%) | no | (%) | p | yes | (%) | no | (%) | p | yes | (%) | no | (%) | p | yes | (%) | no | (%) | p | |
| 45 | 26% | 130 | 74% | 78 | 44% | 99 | 56% | 120 | 68% | 57 | 32% | 46 | 26% | 128 | 74% | ||||||
| LAG-3 Expression | yes | 30 | 67% | 15 | 33% | 0.001 | 41 | 91% | 4 | 9% | <0.001 a | 14 | 33% | 28 | 67% | 0.267 | |||||
| no | 48 | 40% | 82 | 60% | 78 | 60% | 52 | 40% | 32 | 25% | 98 | 75% | |||||||||
| TIM-3 Expression | yes | 72 | 92% | 6 | 8% | <0.001 | 28 | 37% | 48 | 63% | 0.006 | ||||||||||
| no | 48 | 48% | 51 | 52% | 18 | 18% | 80 | 82% | |||||||||||||
| VISTA Expression | yes | 32 | 27% | 85 | 73% | 0.695 | |||||||||||||||
| no | 14 | 25% | 43 | 75% | |||||||||||||||||
| CD8 Expression | yes | ||||||||||||||||||||
| no | |||||||||||||||||||||
| Univariate | Multivariate | ||||||||||||||||
|---|---|---|---|---|---|---|---|---|---|---|---|---|---|---|---|---|---|
| Median Survival [Years] | |||||||||||||||||
| N | OS | CI | p | 5Y-OS | HR | CI | pa | HR | CI | pa | |||||||
| All | Lower | Upper | Lower | Upper | Lower | Upper | |||||||||||
| LAG-3 Expression | no | 166 | 4.822 | 3.657 | 5.768 | 0.036 | 51% | 0.037 | n.s. | ||||||||
| yes | 73 | 7.148 | 4.163 | 10.127 | 60% | 0.668 | 0.456 | 0.976 | |||||||||
| TIM-3 Expression | no | 119 | 3.545 | 1.309 | 5.781 | <0.001 | 45% | <0.001 | n.s. | ||||||||
| yes | 122 | 7.551 | n.a. | n.a. | 63% | 0.515 | 0.364 | 0.729 | |||||||||
| VISTA Expression | no | 73 | 3.129 | 0.489 | 5.768 | 0.049 | 45% | 0.050 | n.s. | ||||||||
| yes | 168 | 5.323 | 4.257 | 6.390 | 58% | 0.707 | 0.500 | 1.000 | |||||||||
| CD8 Expression | no | 149 | 2.490 | 1.189 | 3.792 | <0.001 | 40% | 0.308 | 0.202 | 0.470 | <0.001 | <0.001 | |||||
| yes | 89 | n.a | n.a. | n.a. | 78% | 0.432 | 0.272 | 0.685 | |||||||||
| HPV | HPV-negative | 177 | 4.019 | 2.554 | 5.484 | <0.001 | 44% | <0.001 | 0.003 | ||||||||
| HPV-related | 63 | n.a | n.a. | n.a. | 81% | 0.276 | 0.161 | 0.472 | 0.430 | 0.244 | 0.757 | ||||||
| Age | young (<60 years) | 118 | 8.600 | 5.445 | 11.755 | 0.001 | 63% | 0.001 | 0.004 | ||||||||
| old (≥60 years) | 123 | 3.663 | 2.146 | 5.180 | 46% | 1.794 | 1.297 | 2.517 | 1.663 | 1.171 | 2.362 | ||||||
| ECOG | healthy (0–2) | 172 | 6.608 | 4.272 | 8.944 | <0.001 | 61% | <0.001 | <0.001 | ||||||||
| sick (3–4) | 62 | 1.668 | 0.970 | 2.367 | 31% | 2.529 | 1.773 | 3.606 | 2.377 | 1.626 | 3.475 | ||||||
| UICC 7 stages | 1–3 | 98 | 6.655 | 3.659 | 9.650 | 0.017 | 63% | 0.018 | 0.029 | ||||||||
| ≥4 | 141 | 4.181 | 2.053 | 6.309 | 48% | 0.657 | 0.463 | 0.931 | 0.812 | 0.673 | 0.979 | ||||||
Publisher’s Note: MDPI stays neutral with regard to jurisdictional claims in published maps and institutional affiliations. |
© 2020 by the authors. Licensee MDPI, Basel, Switzerland. This article is an open access article distributed under the terms and conditions of the Creative Commons Attribution (CC BY) license (http://creativecommons.org/licenses/by/4.0/).
Share and Cite
Wuerdemann, N.; Pütz, K.; Eckel, H.; Jain, R.; Wittekindt, C.; Huebbers, C.U.; Sharma, S.J.; Langer, C.; Gattenlöhner, S.; Büttner, R.; et al. LAG-3, TIM-3 and VISTA Expression on Tumor-Infiltrating Lymphocytes in Oropharyngeal Squamous Cell Carcinoma—Potential Biomarkers for Targeted Therapy Concepts. Int. J. Mol. Sci. 2021, 22, 379. https://doi.org/10.3390/ijms22010379
Wuerdemann N, Pütz K, Eckel H, Jain R, Wittekindt C, Huebbers CU, Sharma SJ, Langer C, Gattenlöhner S, Büttner R, et al. LAG-3, TIM-3 and VISTA Expression on Tumor-Infiltrating Lymphocytes in Oropharyngeal Squamous Cell Carcinoma—Potential Biomarkers for Targeted Therapy Concepts. International Journal of Molecular Sciences. 2021; 22(1):379. https://doi.org/10.3390/ijms22010379
Chicago/Turabian StyleWuerdemann, Nora, Katharina Pütz, Hans Eckel, Rishabh Jain, Claus Wittekindt, Christian U. Huebbers, Shachi J. Sharma, Christine Langer, Stefan Gattenlöhner, Reinhard Büttner, and et al. 2021. "LAG-3, TIM-3 and VISTA Expression on Tumor-Infiltrating Lymphocytes in Oropharyngeal Squamous Cell Carcinoma—Potential Biomarkers for Targeted Therapy Concepts" International Journal of Molecular Sciences 22, no. 1: 379. https://doi.org/10.3390/ijms22010379
APA StyleWuerdemann, N., Pütz, K., Eckel, H., Jain, R., Wittekindt, C., Huebbers, C. U., Sharma, S. J., Langer, C., Gattenlöhner, S., Büttner, R., Speel, E.-J., Suchan, M., Wagner, S., Quaas, A., & Klussmann, J. P. (2021). LAG-3, TIM-3 and VISTA Expression on Tumor-Infiltrating Lymphocytes in Oropharyngeal Squamous Cell Carcinoma—Potential Biomarkers for Targeted Therapy Concepts. International Journal of Molecular Sciences, 22(1), 379. https://doi.org/10.3390/ijms22010379

