Protein Deimination Signatures in Plasma and Plasma-EVs and Protein Deimination in the Brain Vasculature in a Rat Model of Pre-Motor Parkinson’s Disease
Abstract
1. Introduction
2. Results
2.1. Circulating Plasma Extracellular Vesicles (EVs) are Significantly Increased in the Pre-Motor Parkinson’s Disease (PD) Model Compared with Sham-Treated Rats
2.2. Inflammatory and Hypoxia Related microRNA EV-Cargo is Increased in Plasma of Pre-Motor PD Models
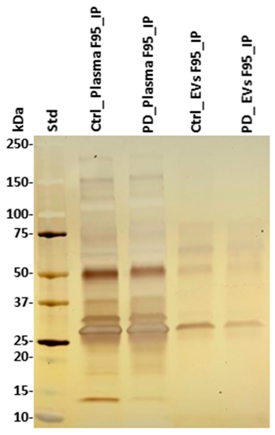
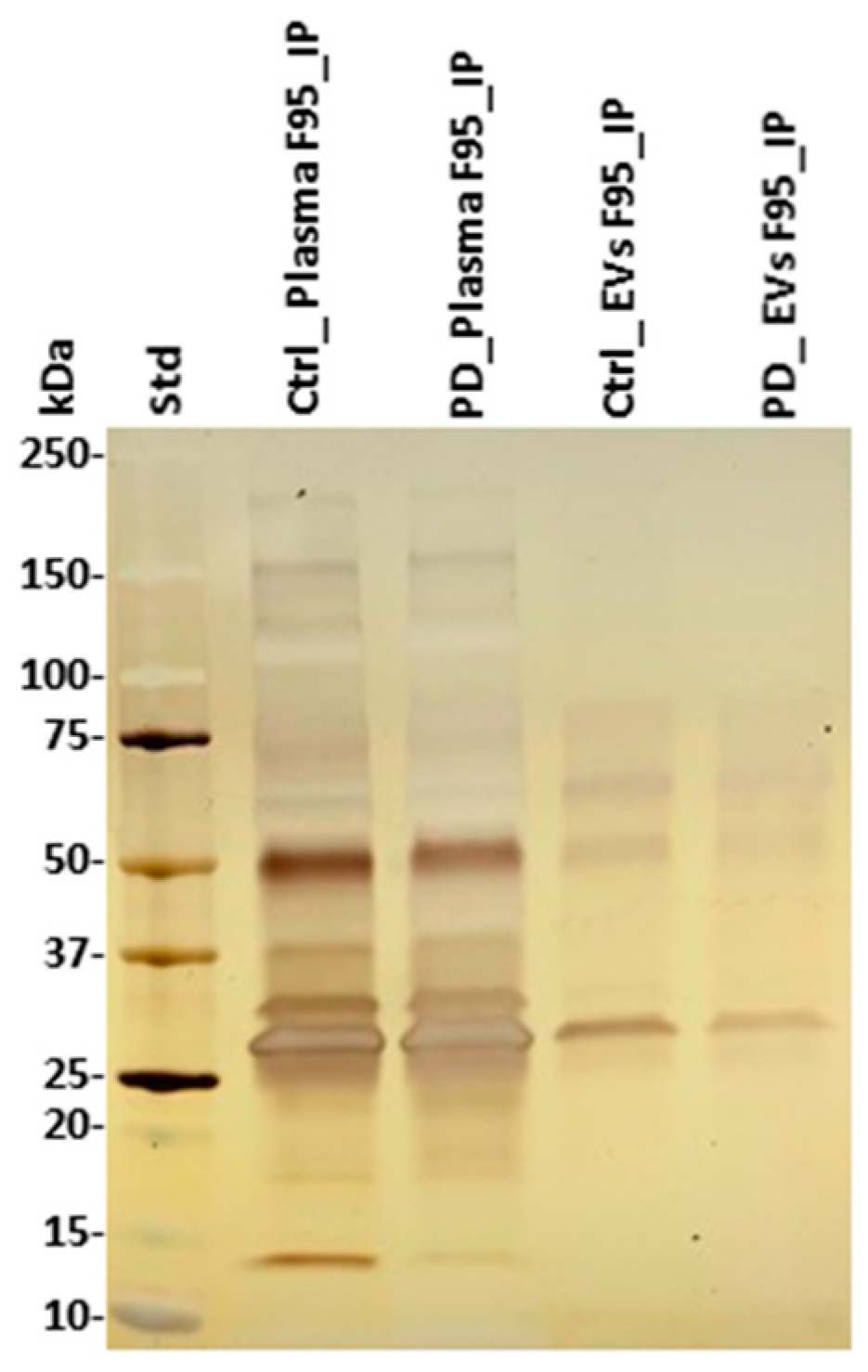
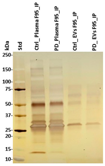
2.3. Deiminated Protein Targets and Kyoto Encyclopedia of Genes and Genomes (KEGG) Pathways Enriched in Deiminated Proteins Differ between Pre-Motor PD and Sham-Treated Rat Plasma and Plasma-EVs
2.4. Deiminated Proteins are Increased in Brain Tissue of Pre-Motor PD Rats
3. Discussion
4. Materials and Methods
4.1. Induction of the Rat Model of Pre-Motor PD
4.2. Immunohistochemistry
4.3. EV isolation and Quantification by Nanoparticle Tracking Analysis
4.4. Western Blotting Analysis for EV Characterisation
4.5. EV Characterisation by Transmission Electron Microscopy
4.6. Analysis of microRNAs miR21, miR155, and miR210 in Plasma-EVs
4.7. Assessment of KEGG Pathways for Deiminated Proteins in Plasma and Plasma-EVs
4.8. Silver Staining
4.9. Statistical Analysis
5. Conclusions
Supplementary Materials
Author Contributions
Funding
Acknowledgments
Conflicts of Interest
Abbreviations
| AD | Alzheimer’s disease |
| ALS | Amyotrophic lateral sclerosis |
| BSA | Bovine serum albumin |
| CD63 | CD63 antigen; granulophysin; lysosomal-associated membrane protein 3 |
| ECL | Enhanced chemiluminescence |
| EVs | Extracellular vesicles |
| F95 | Pan-deimination/citrullination antibody |
| FBS | Foetal bovine serum |
| Flot-1 | Flotillin-1 |
| HD | Huntington’s disease |
| KEGG | Kyoto encyclopedia of genes and genomes |
| LC-MS/MS | Liquid chromatography mass spectrometry |
| miR | microRNA |
| MS | Multiple sclerosis |
| NAFLD | Non-alcoholic fatty liver disease |
| NTA | Nanoparticle tracking analysis |
| PAD | Peptidylarginine deiminase |
| PD | Parkinson’s disease |
| SDS-PAGE | Sodium dodecyl sulfate polyacrylamide gel electrophoresis |
| SLE | Systemic lupus erythematosus |
| TBS | Tris buffered saline |
| TEM | Transmission electron microscopy |
| WB | Western blotting |
References
- Vossenaar, E.R.; Zendman, A.J.; van Venrooij, W.J.; Pruijn, G.J. PAD, a growing family of citrullinating enzymes: Genes, features and involvement in disease. Bioessays 2003, 25, 1106–1118. [Google Scholar] [CrossRef] [PubMed]
- György, B.; Toth, E.; Tarcsa, E.; Falus, A.; Buzas, E.I. Citrullination: A posttranslational modification in health and disease. Int. J. Biochem. Cell Biol. 2006, 38, 1662–1677. [Google Scholar] [CrossRef] [PubMed]
- Kholia, S.; Jorfi, S.; Thompson, P.R.; Causey, C.P.; Nicholas, A.P.; Inal, J.; Lange, S. A Novel Role for Peptidylarginine Deiminases (PADs) in Microvesicle Release: A Therapeutic Potential for PAD Inhibitors to Sensitize Prostate Cancer Cells to Chemotherapy. J. Extracell. Vesicles 2015, 4, 26192. [Google Scholar] [CrossRef] [PubMed]
- Kosgodage, U.S.; Trindade, R.P.; Thompson, P.R.; Inal, J.M.; Lange, S. Chloramidine/Bisindolylmaleimide-I-Mediated Inhibition of Exosome and Microvesicle Release and Enhanced Efficacy of Cancer Chemotherapy. Int. J. Mol. Sci. 2017, 18, 1007. [Google Scholar] [CrossRef]
- Kosgodage, U.S.; Uysal-Onganer, P.; MacLatchy, A.; Kraev, I.; Chatterton, N.P.; Nicholas, A.P.; Inal, J.M.; Lange, S. Peptidylarginine Deiminases Post-Translationally Deiminate Prohibitin and Modulate Extracellular Vesicle Release and MicroRNAs in Glioblastoma Multiforme. Int. J. Mol. Sci. 2018, 20, 103. [Google Scholar] [CrossRef]
- Kosgodage, U.S.; Matewele, P.; Mastroianni, G.; Kraev, I.; Brotherton, D.; Awamaria, B.; Nicholas, A.P.; Lange, S.; Inal, J.M. Peptidylarginine Deiminase Inhibitors Reduce Bacterial Membrane Vesicle Release and Sensitize Bacteria to Antibiotic Treatment. Front. Cell Infect. Microbiol. 2019, 9, 227. [Google Scholar] [CrossRef]
- Uysal-Onganer, P.; MacLatchy, A.; Mahmoud, R.; Kraev, I.; Thompson, P.R.; Inal, J.M.; Lange, S. Peptidylarginine Deiminase Isozyme-Specific PAD2, PAD3 and PAD4 Inhibitors Differentially Modulate Extracellular Vesicle Signatures and Cell Invasion in Two Glioblastoma Multiforme Cell Lines. Int. J. Mol. Sci. 2020, 21, 1495. [Google Scholar] [CrossRef]
- Lange, S.; Gallagher, M.; Kholia, S.; Kosgodage, U.S.; Hristova, M.; Hardy, J.; Inal, J.M. Peptidylarginine Deiminases—Roles in Cancer and Neurodegeneration and Possible Avenues for Therapeutic Intervention via Modulation of Exosome and Microvesicle (EMV) Release? Int. J. Mol. Sci. 2017, 18, 1196. [Google Scholar] [CrossRef]
- Lange, S.; Wray, S.; Devine, M.; Matarin, M.; Hardy, J. Protein Deimination in Protein Misfolding Disorders–Modelled in Human Induced Pluripotent Stem Cells (iPSCs). In Protein Deimination in Human Health and Disease; Nicholas, A.P., Bhattacharya, S.K., Eds.; Springer Science and Business Media: New York, NY, USA, 2017; Volume 2, Chapter 24. [Google Scholar]
- Nicholas, A.P. Dual immunofluorescence study of citrullinated proteins in Parkinson diseased substantia nigra. Neurosci. Lett. 2011, 495, 26–29. [Google Scholar] [CrossRef]
- Nicholas, A.P. Dual immunofluorescence study of citrullinated proteins in Alzheimer diseased frontal cortex. Neurosci. Lett. 2013, 545, 107–111. [Google Scholar] [CrossRef]
- Nicholas, A.P.; Lu, L.; Heaven, M.; Kadish, I.; van Groen, T.; Accavitti-Loper, M.A.; Wewering, S.; Kofskey, D.; Gambetti, P.; Brenner, M. Ongoing studies of deimination in neurodegenerative diseases using the F95 antibody. In Protein Deimination in Human Health and Disease; Nicholas, A.P., Bhattacharya, S.K., Eds.; Springer-Verlag: New York, NY, USA, 2014; pp. 257–280. [Google Scholar]
- Bicker, K.L.; Thompson, P.R. The protein arginine deiminases: Structure, function, inhibition, and disease. Biopolymers 2013, 99, 155–163. [Google Scholar] [CrossRef] [PubMed]
- Wang, S.; Wang, Y. Peptidylarginine deiminases in citrullination, gene regulation, health and pathogenesis. Biochim. Biophys. Acta 2013, 1829, 1126–1135. [Google Scholar] [CrossRef] [PubMed]
- Devine, M.J.; Ryten, M.; Vodicka, P.; Thomson, A.J.; Burdon, T.; Houlden, H.; Cavaleri, F.; Nagano, M.; Drummond, N.J.; Taanman, J.W.; et al. Parkinson’s disease induced pluripotent stem cells with triplication of the α-synuclein locus. Nat. Commun. 2011, 2, 440. [Google Scholar] [CrossRef] [PubMed]
- Pegtel, D.M.; Peferoen, L.; Amor, S. Extracellular vesicles as modulators of cell-to-cell communication in the healthy and diseased brain. Philos. Trans. R Soc. Lond. B Biol. Sci. 2014, 369, 20130516. [Google Scholar] [CrossRef] [PubMed]
- Hill, A.F. Extracellular Vesicles and Neurodegenerative Diseases. J. Neurosci. 2019, 39, 9269–9273. [Google Scholar] [CrossRef]
- Liu, W.; Bai, X.; Zhang, A.; Huang, J.; Xu, S.; Zhang, J. Role of Exosomes in Central Nervous System Diseases. Front. Mol. Neurosci. 2019, 12, 240. [Google Scholar] [CrossRef]
- Longoni, B.; Fasciani, I.; Kolachalam, S.; Pietrantoni, I.; Marampon, F.; Petragnano, F.; Aloisi, G.; Coppolino, M.F.; Rossi, M.; Scarselli, M.; et al. Neurotoxic and Neuroprotective Role of Exosomes in Parkinson’s Disease. Curr. Pharm. Des. 2019, 25, 4510–4522. [Google Scholar] [CrossRef]
- Porro, C.; Panaro, M.A.; Lofrumento, D.D.; Hasalla, E.; Trotta, T. The multiple roles of exosomes in Parkinson’s disease: An overview. Immunopharmacol. Immunotoxicol. 2019, 41, 469–476. [Google Scholar] [CrossRef]
- Gualerzi, A.; Picciolini, S.; Carlomagno, C.; Terenzi, F.; Ramat, S.; Sorbi, S.; Bedoni, M. Raman profiling of circulating extracellular vesicles for the stratification of Parkinson’s patients. Nanomedicine 2019, 22, 102097. [Google Scholar] [CrossRef]
- Picca, A.; Guerra, F.; Calvani, R.; Marini, F.; Biancolillo, A.; Landi, G.; Beli, R.; Landi, F.; Bernabei, R.; Bentivoglio, A.R.; et al. Mitochondrial Signatures in Circulating Extracellular Vesicles of Older Adults with Parkinson’s Disease: Results from the EXosomes in PArkiNson’s Disease (EXPAND) Study. J. Clin. Med. 2020, 9, 504. [Google Scholar] [CrossRef]
- Thome, A.D.; Harms, A.S.; Volpicelli-Daley, L.A.; Standaert, D.G. MicroRNA-155 Regulates Alpha-Synuclein-Induced Inflammatory Responses in Models of Parkinson Disease. J. Neurosci. 2016, 36, 2383–2390. [Google Scholar] [CrossRef]
- Martinez, B.; Peplow, P. MicroRNAs as Diagnostic Markers and Therapeutic Targets for Traumatic Brain Injury. Neural Regen. Res. 2017, 12, 1749. [Google Scholar] [PubMed]
- Slota, J.A.; Booth, S.A. MicroRNAs in Neuroinflammation: Implications in Disease Pathogenesis, Biomarker Discovery and Therapeutic Applications. Noncoding RNA 2019, 5, 35. [Google Scholar] [CrossRef]
- Liu, X.; Chen, J.; Guan, T.; Yao, H.; Zhang, W.; Guan, Z.; Wang, Y. miRNAs and target genes in the blood as biomarkers for the early diagnosis of Parkinson’s disease. BMC Syst. Biol. 2019, 13, 10. [Google Scholar]
- Renani, P.G.; Taheri, F.; Rostami, D.; Farahani, N.; Abdolkarimi, H.; Abdollahi, E.; Taghizadeh, E.; Gheibi Hayat, S.M. Involvement of aberrant regulation of epigenetic mechanisms in the pathogenesis of Parkinson’s disease and epigenetic-based therapies. J. Cell Physiol. 2019, 234, 19307–19319. [Google Scholar] [CrossRef] [PubMed]
- Zhang, Y.; Chen, K.; Sloan, S.A.; Bennett, M.L.; Scholze, A.R.; O’Keeffe, S.; Phatnani, H.P.; Guarnieri, P.; Caneda, C.; Ruderisch, N.; et al. An RNA-sequencing transcriptome and splicing database of glia, neurons, and vascular cells of the cerebral cortex. J. Neurosci. 2014, 34, 11929–11947. [Google Scholar] [CrossRef]
- Ishigami, A.; Ohsawa, T.; Hiratsuka, M.; Taguchi, H.; Kobayashi, S.; Saito, Y.; Murayama, S.; Asaga, H.; Toda, T.; Kimura, N.; et al. Abnormal accumulation of citrullinated proteins catalyzed by peptidylarginine deiminase in hippocampal extracts from patients with Alzheimer’s disease. J. Neurosci. Res. 2005, 80, 120–128. [Google Scholar] [CrossRef]
- Ishigami, A.; Choi, E.-K.; Kim, S.; Maruyama, N. Deimination in Alzheimer’s Disease. In Protein Deimination in Human Health and Disease; Nicholas, A.P., Bhattacharya, S.K., Eds.; Springer Science and Business Media: New York, NY, USA, 2014; Chapter 13. [Google Scholar]
- Ishigami, A.; Masutomi, H.; Handa, S.; Nakamura, M.; Nakaya, S.; Uchida, Y.; Saito, Y.; Murayama, S.; Jang, B.; Jeon, Y.C.; et al. Mass spectrometric identification of citrullination sites and immunohistochemical detection of citrullinated glial fibrillary acidic protein in Alzheimer’s disease brains. J. Neurosci. Res. 2015, 93, 1664–1674. [Google Scholar] [CrossRef]
- Sancandi, M.; Schul, E.V.; Economides, G.; Constanti, A.; Mercer, A. Structural Changes Observed in the Piriform Cortex in a Rat Model of Pre-motor Parkinson’s Disease. Front. Cell Neurosci. 2018, 12, 479. [Google Scholar] [CrossRef]
- Jang, B.; Jin, J.K.; Jeon, Y.C.; Cho, H.J.; Ishigami, A.; Choi, K.C.; Carp, R.I.; Maruyama, N.; Kim, Y.S.; Choi, E.K. Involvement of peptidylarginine deiminase-mediated post-translational citrullination in pathogenesis of sporadic Creutzfeldt-Jakob disease. Acta Neuropathol. 2009, 119, 199–210. [Google Scholar] [CrossRef]
- Jang, B.; Ishigami, A.; Maruyama, N.; Carp, R.I.; Kim, Y.S.; Choi, E.K. Peptidylarginine deiminase and protein citrullination in prion diseases: Strong evidence of neurodegeneration. Prion 2013, 7, 42–46. [Google Scholar] [CrossRef] [PubMed]
- Jang, B.; Jeon, Y.C.; Shin, H.Y.; Lee, Y.J.; Kim, H.; Kondo, Y.; Ishigami, A.; Kim, Y.S.; Choi, E.K. Myelin Basic Protein Citrullination, a Hallmark of Central Nervous System Demyelination, Assessed by Novel Monoclonal Antibodies in Prion Diseases. Mol. Neurobiol. 2018, 55, 3172–3184. [Google Scholar] [CrossRef] [PubMed]
- Li, P.; Nie, Y.; Yu, J. An Effective Method to Identify Shared Pathways and Common Factors among Neurodegenerative Diseases. PLoS ONE 2015, 10, e0143045. [Google Scholar] [CrossRef] [PubMed]
- Luo, S.; Kang, S.S.; Wang, Z.H.; Liu, X.; Day, J.X.; Wu, Z.; Peng, J.; Xiang, D.; Springer, W.; Ye, K. Akt Phosphorylates NQO1 and Triggers its Degradation, Abolishing Its Antioxidative Activities in Parkinson’s Disease. J. Neurosci. 2019, 39, 7291–7305. [Google Scholar] [CrossRef] [PubMed]
- Deus, C.M.; Pereira, S.P.; Cunha-Oliveira, T.; Pereira, F.B.; Raimundo, N.; Oliveira, P.J. Mitochondrial remodeling in human skin fibroblasts from sporadic male Parkinson’s disease patients uncovers metabolic and mitochondrial bioenergetic defects. Biochim. Biophys. Acta Mol. Basis Dis. 2020, 1866, 165615. [Google Scholar] [CrossRef] [PubMed]
- Hikosaka, K.; Yaku, K.; Okabe, K.; Nakagawa, T. Implications of NAD metabolism in pathophysiology and therapeutics for neurodegenerative diseases. Nutr. Neurosci. 2019, 1–13. [Google Scholar] [CrossRef]
- Mashima, K.; Takahashi, S.; Minami, K.; Izawa, Y.; Abe, T.; Tsukada, N.; Hishiki, T.; Suematsu, M.; Kajimura, M.; Suzuki, N. Neuroprotective Role of Astroglia in Parkinson Disease by Reducing Oxidative Stress Through Dopamine-Induced Activation of Pentose-Phosphate Pathway. ASN Neuro 2018, 10, 1759091418775562. [Google Scholar] [CrossRef]
- Area-Gomez, E.; Guardia-Laguarta, C.; Schon, E.A.; Przedborski, S. Mitochondria, OxPhos, and neurodegeneration: Cells are not just running out of gas. J. Clin. Investig. 2019, 129, 34–45. [Google Scholar] [CrossRef]
- Karki, R.; Kodamullil, A.T.; Hoyt, C.T.; Hofmann-Apitius, M. Quantifying mechanisms in neurodegenerative diseases (NDDs) using candidate mechanism perturbation amplitude (CMPA) algorithm. BMC Bioinform. 2019, 20, 494. [Google Scholar] [CrossRef]
- Depboylu, C.; Schäfer, M.K.; Arias-Carrión, O.; Oertel, W.H.; Weihe, E.; Höglinger, G.U. Possible involvement of complement factor C1q in the clearance of extracellular neuromelanin from the substantia nigra in Parkinson disease. J. Neuropathol. Exp. Neurol. 2011, 70, 125–132. [Google Scholar] [CrossRef]
- Chao, Y.; Wong, S.C.; Tan, E.K. Evidence of inflammatory system involvement in Parkinson’s disease. Biomed. Res. Int. 2014, 2014, 308654. [Google Scholar] [CrossRef] [PubMed]
- Carpanini, S.M.; Torvell, M.; Morgan, B.P. Therapeutic Inhibition of the Complement System in Diseases of the Central Nervous System. Front. Immunol. 2019, 10, 362. [Google Scholar] [CrossRef] [PubMed]
- Pal, R.; Tiwari, P.C.; Nath, R.; Pant, K.K. Role of neuroinflammation and latent transcription factors in pathogenesis of Parkinson’s disease. Neurol. Res. 2016, 38, 1111–1122. [Google Scholar] [CrossRef] [PubMed]
- Sun, C.; Yu, W.; Zhao, Z.; Song, C.; Liu, Y.; Jia, G.; Wang, X.; Liu, Y. Peripheral Humoral Immune Response Is Associated With the Non-motor Symptoms of Parkinson’s Disease. Front. Neurosci. 2019, 13, 1057. [Google Scholar] [CrossRef] [PubMed]
- Wang, Y.; Hancock, A.M.; Bradner, J.; Chung, K.A.; Quinn, J.F.; Peskind, E.R.; Galasko, D.; Jankovic, J.; Zabetian, C.P.; Kim, H.M.; et al. Complement 3 and factor h in human cerebrospinal fluid in Parkinson’s disease, Alzheimer’s disease, and multiple-system atrophy. Am. J. Pathol. 2011, 178, 1509–1516. [Google Scholar] [CrossRef]
- Magnadóttir, B.; Bragason, B.T.; Bricknell, I.R.; Bowden, T.; Nicholas, A.P.; Hristova, M.; Guðmundsdóttir, S.; Dodds, A.W.; Lange, S. Peptidylarginine deiminase and deiminated proteins are detected throughout early halibut ontogeny—Complement components C3 and C4 are post-translationally deiminated in halibut (Hippoglossus hippoglossus L.). Dev. Comp. Immunol. 2019, 92, 1–19. [Google Scholar] [CrossRef]
- Magnadóttir, B.; Kraev, I.; Guðmundsdóttir, S.; Dodds, A.W.; Lange, S. Extracellular vesicles from cod (Gadus morhua L.) mucus contain innate immune factors and deiminated protein cargo. Dev. Comp. Immunol. 2019, 99, 103397. [Google Scholar] [CrossRef]
- Magnadóttir, B.; Uysal-Onganer, P.; Kraev, I.; Svansson, V.; Hayes, P.; Lange, S. Deiminated proteins and extracellular vesicles—Novel serum biomarkers in whales and orca. Comp. Biochem. Physiol. Part D Genom. Proteom. 2020, 34, 100676. [Google Scholar] [CrossRef]
- Lange, S.; Kraev, I.; Magnadóttir, B.; Dodds, A.W. Complement component C4-like protein in Atlantic cod (Gadus morhua L.)—Detection in ontogeny and identification of post-translational deimination in serum and extracellular vesicles. Dev. Comp. Immunol. 2019, 101, 103437. [Google Scholar] [CrossRef]
- Phillips, R.A.; Kraev, I.; Lange, S. Protein Deimination and Extracellular Vesicle Profiles in Antarctic Seabirds. Biology (Basel) 2020, 9, 15. [Google Scholar] [CrossRef]
- Pamenter, M.E.; Uysal-Onganer, P.; Huynh, K.W.; Kraev, I.; Lange, S. Post-Translational Deimination of Immunological and Metabolic Protein Markers in Plasma and Extracellular Vesicles of Naked Mole-Rat (Heterocephalus glaber). Int. J. Mol. Sci. 2019, 20, 5378. [Google Scholar] [CrossRef] [PubMed]
- Zhou, Y.; Su, Y.; Xu, W.; Wang, W.; Yao, S. Constipation Increases Disability and Decreases Dopamine Levels in the Nigrostriatal System through Gastric Inflammatory Factors in Parkinson’s Disease. Curr. Neurovasc. Res. 2019, 16, 241–249. [Google Scholar] [CrossRef]
- Wang, W.; Meng, X.; Yang, C.; Fang, D.; Wang, X.; An, J.; Zhang, J.; Wang, L.; Lu, T.; Ruan, H.B.; et al. Brown adipose tissue activation in a rat model of Parkinson’s disease. Am. J. Physiol. Endocrinol. Metab. 2017, 313, E731–E736. [Google Scholar] [CrossRef] [PubMed]
- Carreras, M.C.; Franco, M.C.; Peralta, J.G.; Poderoso, J.J. Nitric oxide, complex I, and the modulation of mitochondrial reactive species in biology and disease. Mol. Aspects Med. 2004, 25, 125–139. [Google Scholar] [CrossRef] [PubMed]
- Klotzsch, E.; Smorodchenko, A.; Löfler, L.; Moldzio, R.; Parkinson, E.; Schütz, G.J.; Pohl, E.E. Superresolution microscopy reveals spatial separation of UCP4 and F0F1-ATP synthase in neuronal mitochondria. Proc. Natl. Acad. Sci. USA 2015, 112, 130–135. [Google Scholar] [CrossRef] [PubMed]
- Andrews, Z.B.; Diano, S.; Horvath, T.L. Mitochondrial uncoupling proteins in the CNS: In support of function and survival. Nat. Rev. Neurosci. 2005, 6, 829–840. [Google Scholar] [CrossRef]
- Akhter, F.; Chen, D.; Yan, S.F.; Yan, S.S. Mitochondrial Perturbation in Alzheimer’s Disease and Diabetes. Prog. Mol. Biol. Transl. Sci. 2017, 146, 341–361. [Google Scholar]
- Arendt, T.; Bullmann, T. Neuronal plasticity in hibernation and the proposed role of the microtubule-associated protein tau as a “master switch” regulating synaptic gain in neuronal networks. Am. J. Physiol. Regul. Integr. Comp. Physiol. 2013, 305, R478–R489. [Google Scholar] [CrossRef]
- Laursen, W.J.; Mastrotto, M.; Pesta, D.; Funk, O.H.; Goodman, J.B.; Merriman, D.K.; Ingolia, N.; Shulman, G.I.; Bagriantsev, S.N.; Gracheva, E.O. Neuronal UCP1 expression suggests a mechanism for local thermogenesis during hibernation. Proc. Natl. Acad. Sci. USA 2015, 112, 1607–1612. [Google Scholar] [CrossRef]
- Jiang, X.; Jin, T.; Zhang, H.; Miao, J.; Zhao, X.; Su, Y.; Zhang, Y. Current Progress of Mitochondrial Quality Control Pathways Underlying the Pathogenesis of Parkinson’s Disease. Oxid. Med. Cell Longev. 2019, 2019, 4578462. [Google Scholar] [CrossRef]
- Limphaibool, N.; Iwanowski, P.; Holstad, M.J.V.; Perkowska, K. Parkinsonism in Inherited Metabolic Disorders: Key Considerations and Major Features. Front. Neurol. 2018, 9, 857. [Google Scholar] [CrossRef] [PubMed]
- Özcan, E.; Çakır, T. Genome-Scale Brain Metabolic Networks as Scaffolds for the Systems Biology of Neurodegenerative Diseases: Mapping Metabolic Alterations. Adv. Neurobiol. 2018, 21, 195–217. [Google Scholar] [PubMed]
- Ferrer, I.; Martinez, A.; Blanco, R.; Dalfó, E.; Carmona, M. Neuropathology of sporadic Parkinson disease before the appearance of parkinsonism: Preclinical Parkinson disease. J. Neural Transm. (Vienna) 2011, 118, 821–839. [Google Scholar] [CrossRef] [PubMed]
- Tan, C.; Liu, X.; Chen, J. Microarray Analysis of the Molecular Mechanism Involved in Parkinson’s Disease. Parkinsons Dis. 2018, 2018, 1590465. [Google Scholar] [CrossRef]
- Kusbeci, T.; Kusbeci, O.Y.; Aktepe, O.C.; Yavas, G.; Ermis, S.S. Conjunctival flora in patients with Parkinson’s disease. Curr. Eye Res. 2009, 34, 251–256. [Google Scholar] [CrossRef]
- Park, S.C.; Moon, J.C.; Shin, S.Y.; Son, H.; Jung, Y.J.; Kim, N.H.; Kim, Y.M.; Jang, M.K.; Lee, J.R. Functional characterization of alpha-synuclein protein with antimicrobial activity. Biochem. Biophys. Res. Commun. 2016, 478, 924–928. [Google Scholar] [CrossRef]
- Davydova, T.V.; Fomina, V.G.; Voskresenskaya, N.I.; Doronina, O.A. Phagocytic activity and state of bactericidal systems in polymorphonuclear leukocytes from patients with Alzheimer’s disease. Bull. Exp. Biol. Med. 2003, 136, 355–357. [Google Scholar] [CrossRef]
- Bielecka, E.; Scavenius, C.; Kantyka, T.; Jusko, M.; Mizgalska, D.; Szmigielski, B.; Potempa, B.; Enghild, J.J.; Prossnitz, E.R.; Blom, A.M.; et al. Peptidyl arginine deiminase from Porphyromonas gingivalis abolishes anaphylatoxin C5a activity. J. Biol. Chem. 2014, 289, 32481–32487. [Google Scholar] [CrossRef]
- Ilie, O.D.; Ciobica, A.; McKenna, J.; Doroftei, B.; Mavroudis, I. Minireview on the Relations between Gut Microflora and Parkinson’s Disease: Further Biochemical (Oxidative Stress), Inflammatory, and Neurological Particularities. Oxid. Med. Cell Longev. 2020, 2020, 4518023. [Google Scholar] [CrossRef]
- Loffredo, L.; Ettorre, E.; Zicari, A.M.; Inghilleri, M.; Nocella, C.; Perri, L.; Spalice, A.; Fossati, C.; De Lucia, M.C.; Pigozzi, F.; et al. Oxidative Stress and Gut-Derived Lipopolysaccharides in Neurodegenerative Disease: Role of NOX2. Oxid. Med. Cell Longev. 2020, 2020, 8630275. [Google Scholar] [CrossRef]
- Lim, K.M.; Kim, H.H.; Bae, O.N.; Noh, J.Y.; Kim, K.Y.; Kim, S.H.; Chung, S.M.; Shin, S.; Kim, H.Y.; Chung, J.H. Inhibition of platelet aggregation by 1-methyl-4-phenyl pyridinium ion (MPP+) through ATP depletion: Evidence for the reduced platelet activities in Parkinson’s disease. Platelets 2009, 20, 163–170. [Google Scholar] [CrossRef] [PubMed]
- Meşe, G.; Richard, G.; White, T.W. Gap junctions: Basic structure and function. J. Investig. Dermatol. 2007, 127, 2516–2524. [Google Scholar] [CrossRef] [PubMed]
- Schwab, B.C.; Heida, T.; Zhao, Y.; van Gils, S.A.; van Wezel, R.J. Pallidal gap junctions-triggers of synchrony in Parkinson’s disease? Mov. Disord. 2014, 29, 1486–1494. [Google Scholar] [CrossRef] [PubMed]
- Phookan, S.; Sutton, A.C.; Walling, I.; Smith, A.; O’Connor, K.A.; Campbell, J.C.; Calos, M.; Yu, W.; Pilitsis, J.G.; Brotchie, J.M; et al. Gap junction blockers attenuate beta oscillations and improve forelimb function in hemiparkinsonian rats. Exp. Neurol. 2015, 265, 160–170. [Google Scholar] [CrossRef] [PubMed]
- Ahmadian, E.; Eftekhari, A.; Samiei, M.; Maleki Dizaj, S.; Vinken, M. The role and therapeutic potential of connexins, pannexins and their channels in Parkinson’s disease. Cell Signal 2019, 58, 111–118. [Google Scholar] [CrossRef]
- Sorli, S.C.; van den Berghe, L.; Masri, B.; Knibiehler, B.; Audigier, Y. Therapeutic potential of interfering with apelin signalling. Drug. Discov. Today 2006, 11, 1100–1106. [Google Scholar] [CrossRef]
- Reaux, A.; De Mota, N.; Skultetyova, I.; Lenkei, Z.; El Messari, S.; Gallatz, K.; Corvol, P.; Palkovits, M.; Llorens-Cortès, C. Physiological role of a novel neuropeptide, apelin, and its receptor in the rat brain. J. Neurochem. 2001, 77, 1085–1096. [Google Scholar] [CrossRef]
- Reaux-Le Goazigo, A.; Bodineau, L.; De Mota, N.; Jeandel, L.; Chartrel, N.; Knauf, C.; Raad, C.; Valet, P.; Llorens-Cortes, C. Apelin and the proopiomelanocortin system: A new regulatory pathway of hypothalamic α-MSH release. Am. J. Physiol. Endocrinol. Metab. 2011, 301, E955–E966. [Google Scholar] [CrossRef]
- De Mota, N.; Lenkei, Z.; Llorens-Cortès, C. Cloning, pharmacological characterization and brain distribution of the rat apelin receptor. Neuroendocrinology 2000, 72, 400–407. [Google Scholar] [CrossRef]
- Sauvant, J.; Delpech, J.C.; Palin, K.; De Mota, N.; Dudit, J.; Aubert, A.; Orcel, H.; Roux, P.; Layé, S.; Moos, F.; et al. Mechanisms involved in dual vasopressin/apelin neuron dysfunction during aging. PLoS ONE 2014, 9, e87421. [Google Scholar] [CrossRef]
- Iturrioz, X.; Alvear-Perez, R.; De Mota, N.; Franchet, C.; Guillier, F.; Leroux, V.; Dabire, H.; Le Jouan, M.; Chabane, H.; Gerbier, R.; et al. Identification and pharmacological properties of E339-3D6, the first nonpeptidic apelin receptor agonist. FASEB J. 2010, 24, 1506–1517. [Google Scholar] [CrossRef] [PubMed]
- Heras-Sandoval, D.; Pérez-Rojas, J.M.; Pedraza-Chaverri, J. Novel compounds for the modulation of mTOR and autophagy to treat neurodegenerative diseases. Cell Signal 2020, 65, 109442. [Google Scholar] [CrossRef] [PubMed]
- Masoumi, J.; Abbasloui, M.; Parvan, R.; Mohammadnejad, D.; Pavon-Djavid, G.; Barzegari, A.; Abdolalizadeh, J. Apelin, a promising target for Alzheimer disease prevention and treatment. Neuropeptides 2018, 70, 76–86. [Google Scholar] [CrossRef]
- Aminyavari, S.; Zahmatkesh, M.; Farahmandfar, M.; Khodagholi, F.; Dargahi, L.; Zarrindast, M.R. Protective role of Apelin-13 on amyloid β25-35-induced memory deficit; Involvement of autophagy and apoptosis process. Prog. Neuropsychopharmacol. Biol. Psychiatry 2019, 89, 322–334. [Google Scholar] [CrossRef] [PubMed]
- Aminyavari, S.; Zahmatkesh, M.; Khodagholi, F.; Sanati, M. Anxiolytic impact of Apelin-13 in a rat model of Alzheimer’s disease: Involvement of glucocorticoid receptor and FKBP5. Peptides 2019, 118, 170102. [Google Scholar] [CrossRef] [PubMed]
- Zou, D.; Li, R.; Huang, X.; Chen, G.; Liu, Y.; Meng, Y.; Wang, Y.; Wu, Y.; Mao, Y. Identification of molecular correlations of RBM8A with autophagy in Alzheimer’s disease. Aging (Albany N.Y.) 2019, 11, 11673–11685. [Google Scholar] [CrossRef] [PubMed]
- Zhu, J.; Dou, S.; Jiang, Y.; Bai, B.; Chen, J.; Wang, C.; Cheng, B. Apelin-36 exerts the cytoprotective effect against MPP+-induced cytotoxicity in SH-SY5Y cells through PI3K/Akt/mTOR autophagy pathway. Life Sci. 2019, 224, 95–108. [Google Scholar] [CrossRef]
- Zhu, J.; Dou, S.; Wang, C.; Jiang, Y.; Wang, C.; Cheng, B. Apelin-36 mitigates MPTP/MPP+-induced neurotoxicity: Involvement of α-synuclein and endoplasmic reticulum stress. Brain Res. 2019, 1721, 146334. [Google Scholar] [CrossRef]
- Zhu, J.; Dou, S.; Jiang, Y.; Chen, J.; Wang, C.; Cheng, B. Apelin-13 protects dopaminergic neurons in MPTP-induced Parkinson’s disease model mice through inhibiting endoplasmic reticulum stress and promoting autophagy. Brain Res. 2019, 1715, 203–212. [Google Scholar] [CrossRef]
- Zhu, J.; Gao, W.; Shan, X.; Wang, C.; Wang, H.; Shao, Z.; Dou, S.; Jiang, Y.; Wang, C.; Cheng, B. Apelin-36 mediates neuroprotective effects by regulating oxidative stress, autophagy and apoptosis in MPTP-induced Parkinson’s disease model mice. Brain Res. 2020, 1726, 146493. [Google Scholar] [CrossRef]
- Berghuis, P.; Dobszay, M.B.; Ibanez, R.M.; Ernfors, P.; Harkany, T. Turning the heterogeneous into homogeneous: Studies on selectively isolated GABAergic interneuron subsets. Int. J. Dev. Neurosci. 2004, 22, 533–543. [Google Scholar] [CrossRef] [PubMed]
- Melis, M.; Pistis, M. Endocannabinoid signaling in midbrain dopamine neurons: More than physiology? Curr. Neuropharmacol. 2007, 5, 268–277. [Google Scholar] [CrossRef] [PubMed][Green Version]
- Orgado, J.M.; Fernández-Ruiz, J.; Romero, J. The endocannabinoid system in neuropathological states. Int. Rev. Psychiatry 2009, 21, 172–180. [Google Scholar] [CrossRef] [PubMed]
- Wang, Y.; Zhang, Q.J.; Wang, H.S.; Wang, T.; Liu, J. Genome-wide microarray analysis identifies a potential role for striatal retrograde endocannabinoid signaling in the pathogenesis of experimental L-DOPA-induced dyskinesia. Synapse 2014, 68, 332–343. [Google Scholar] [CrossRef]
- Aymerich, M.S.; Aso, E.; Abellanas, M.A.; Tolon, R.M.; Ramos, J.A.; Ferrer, I.; Romero, J.; Fernández-Ruiz, J. Cannabinoid pharmacology/therapeutics in chronic degenerative disorders affecting the central nervous system. Biochem. Pharmacol. 2018, 157, 67–84. [Google Scholar] [CrossRef]
- Talarico, G.; Trebbastoni, A.; Bruno, G.; de Lena, C. Modulation of the Cannabinoid System: A New Perspective for the Treatment of the Alzheimer’s Disease. Curr. Neuropharmacol. 2019, 17, 176–183. [Google Scholar] [CrossRef] [PubMed]
- Estrada, J.A.; Contreras, I. Endocannabinoid receptors in the CNS: Potential drug targets for the prevention and treatment of neurologic and psychiatric disorders. Curr. Neuropharmacol. 2020. [Google Scholar] [CrossRef] [PubMed]
- Dennis, M.S.; Byrne, E.J.; Hopkinson, N.; Bendall, P. Neuropsychiatric systemic lupus erythematosus in elderly people: A case series. J. Neurol. Neurosurg. Psychiatry 1992, 55, 1157–1161. [Google Scholar] [CrossRef][Green Version]
- Chiewthanakul, P.; Sawanyawisuth, K.; Foocharoen, C.; Tiamkao, S. Clinical features and predictive factors in neuropsychiatric lupus. Asian Pac. J. Allergy Immunol. 2012, 30, 55–60. [Google Scholar]
- Kivity, S.; Agmon-Levin, N.; Zandman-Goddard, G.; Chapman, J.; Shoenfeld, Y. Neuropsychiatric lupus: A mosaic of clinical presentations. BMC Med. 2015, 13, 43. [Google Scholar] [CrossRef]
- Tan, E.K.; Chan, L.L.; Auchus, A.P. Reversible Parkinsonism in systemic lupus erythematosus. J. Neurol. Sci. 2001, 193, 53–57. [Google Scholar] [CrossRef]
- Miyoshi, Y.; Atsumi, T.; Kitagawa, H.; Ogura, N.; Amasaki, Y.; Tsutsumi, A.; Ohnishi, K.; Fujisaku, A.; Sagawa, A.; Koike, T. Parkinson-like symptoms as a manifestation of systemic lupus erythematosus. Lupus 1993, 2, 199–201. [Google Scholar] [CrossRef] [PubMed]
- Shahar, E.; Goshen, E.; Tauber, Z.; Lahat, E. Parkinsonian syndrome complicating systemic lupus erythematosus. Pediatr. Neurol. 1998, 18, 456–458. [Google Scholar] [CrossRef]
- Liu, F.C.; Huang, W.Y.; Lin, T.Y.; Shen, C.H.; Chou, Y.C.; Lin, C.L.; Lin, K.T.; Kao, C.H. Inverse Association of Parkinson Disease With Systemic Lupus Erythematosus: A Nationwide Population-based Study. Medicine (Baltimore) 2015, 94, e2097. [Google Scholar] [CrossRef] [PubMed]
- Jha, S.K.; Jha, N.K.; Kumar, D.; Ambasta, R.K.; Kumar, P. Linking mitochondrial dysfunction, metabolic syndrome and stress signaling in Neurodegeneration. Biochim. Biophys. Acta Mol. Basis Dis. 2017, 1863, 1132–1146. [Google Scholar] [CrossRef]
- Chi, J.; Xie, Q.; Jia, J.; Liu, X.; Sun, J.; Deng, Y.; Yi, L. Integrated Analysis and Identification of Novel Biomarkers in Parkinson’s Disease. Front. Aging Neurosci. 2018, 10, 178. [Google Scholar] [CrossRef]
- Picca, A.; Calvani, R.; Landi, G.; Marini, F.; Biancolillo, A.; Gervasoni, J.; Persichilli, S.; Primiano, A.; Urbani, A.; Bossola, M.; et al. Circulating amino acid signature in older people with Parkinson’s disease: A metabolic complement to the EXosomes in PArkiNson Disease (EXPAND) study. Exp. Gerontol. 2019, 128, 110766. [Google Scholar] [CrossRef]
- Magnadóttir, B.; Hayes, P.; Gísladóttir, B.; Bragason, B.Þ.; Hristova, M.; Nicholas, A.P.; Guðmundsdóttir, S.; Lange, S. Pentraxins CRP-I and CRP-II are post-translationally deiminated and differ in tissue specificity in cod (Gadus morhua L.) ontogeny. Dev. Comp. Immunol. 2018, 87, 1–11. [Google Scholar] [CrossRef]
- Jiang, R.; Rong, C.; Ke, R.; Meng, S.; Yan, X.; Ke, H.; Wu, S. Differential proteomic analysis of serum exosomes reveals alterations in progression of Parkinson disease. Medicine (Baltimore) 2019, 98, e17478. [Google Scholar] [CrossRef]
- Li, N.; Wu, Y.; Zhu, L.; Huang, Y.; Liu, Z.; Shi, M.; Soltys, D.; Zhang, J.; Chang, Q. Extracellular microvesicles-derived from microglia treated with unaggregated α-synuclein attenuate mitochondrial fission and toxicity-induced by Parkinsonian toxin MPP. Biochem. Biophys. Res. Commun. 2019, 517, 642–647. [Google Scholar] [CrossRef]
- Nemmara, V.V.; Tilvawala, R.; Salinger, A.J.; Miller, L.; Nguyen, S.H.; Weerapana, E.; Thompson, P.R. Citrullination Inactivates Nicotinamide- N-methyltransferase. ACS Chem. Biol. 2018, 13, 2663–2672. [Google Scholar] [CrossRef] [PubMed]
- Surmeier, D.J.; Schumacker, P.T.; Guzman, J.D.; Ilijic, E.; Yang, B.; Zampese, E. Calcium and Parkinson’s disease. Biochem. Biophys. Res. Commun. 2017, 483, 1013–1019. [Google Scholar] [CrossRef] [PubMed]
- Enders, M.; Heider, T.; Ludwig, A.; Kuerten, S. Strategies for Neuroprotection in Multiple Sclerosis and the Role of Calcium. Int. J. Mol. Sci. 2020, 21, 1663. [Google Scholar] [CrossRef] [PubMed]
- Acharya, N.K.; Nagele, E.P.; Han, M.; Coretti, N.J.; DeMarshall, C.; Kosciuk, M.C.; Boulos, P.A.; Nagele, R.G. Neuronal PAD4 expression and protein citrullination: Possible role in production of autoantibodies associated with neurodegenerative disease. J. Autoimmun. 2012, 38, 369–380. [Google Scholar] [CrossRef] [PubMed]
- Kim, S.W.; Lee, H.; Lee, H.K.; Kim, I.D.; Lee, J.K. Neutrophil extracellular trap induced by HMGB1 exacerbates damages in the ischemic brain. Acta Neuropathol. Commun. 2019, 7, 94. [Google Scholar] [CrossRef]
- Lange, S.; Gögel, S.; Leung, K.Y.; Vernay, B.; Nicholas, A.P.; Causey, C.P.; Thompson, P.R.; Greene, N.D.; Ferretti, P. Protein deiminases: New players in the developmentally regulated loss of neural regenerative ability. Dev. Biol. 2011, 355, 205–214. [Google Scholar] [CrossRef]
- Lange, S.; Rocha-Ferreira, E.; Thei, L.; Mawjee, P.; Bennett, K.; Thompson, P.R.; Subramanian, V.; Nicholas, A.P.; Peebles, D.; Hristova, M.; et al. Peptidylarginine deiminases: Novel drug targets for prevention of neuronal damage following hypoxic ischemic insult (HI) in neonates. J. Neurochem. 2014, 130, 555–562. [Google Scholar] [CrossRef]
- Lange, S. Peptidylarginine Deiminases as Drug Targets in Neonatal Hypoxic-Ischemic Encephalopathy. Front. Neurol. 2016, 22, 22. [Google Scholar] [CrossRef]
- Hao, B.; Chen, X.; Dai, D.; Zou, C.; Wu, X.; Chen, J. Bioinformatic analysis of microRNA expression in Parkinson’s disease. Mol. Med. Rep. 2015, 11, 1079–1084. [Google Scholar] [CrossRef]
- Ramaswamy, P.; Christopher, R.; Pal, P.K.; Yadav, R. MicroRNAs to differentiate Parkinsonian disorders: Advances in biomarkers and therapeutics. J. Neurol. Sci. 2018, 394, 26–37. [Google Scholar] [CrossRef]
- Mushtaq, G.; Greig, N.H.; Shaik, M.M.; Tamargo, I.A.; Kamal, M.A. MiRNAs as Circulating Biomarkers for Alzheimer’s Disease and Parkinson’s Disease. Med. Chem. 2016, 12, 217–225. [Google Scholar] [CrossRef]
- Johnson, M.E.; Stecher, B.; Labrie, V.; Brundin, L.; Brundin, P. Triggers, facilitators and aggravators: Redefining Parkinson’s Disease Pathogenesis. Trends Neurosci. 2018, 42, 4–13. [Google Scholar] [CrossRef] [PubMed]
- Sheedy, F.J. Turning 21: Induction of miR-21 as a Key Switch in the Inflammatory Response. Front. Immunol. 2015, 6, 19. [Google Scholar] [CrossRef] [PubMed]
- Liu, B.; Wei, H.; Lan, M.; Jia, N.; Liu, J.; Zhang, M. MicroRNA-21 mediates the protective effects of salidroside against hypoxia/reoxygenation-induced myocardial oxidative stress and inflammatory response. Exp. Ther. Med. 2020, 19, 1655–1664. [Google Scholar] [CrossRef] [PubMed]
- Zhang, L.; Dong, L.Y.; Li, Y.J.; Hong, Z.; Wei, W.S. MiR-21 Represses FasL in Microglia and Protects against Microglia-Mediated Neuronal Cell Death Following Hypoxia/Ischemia. Glia 2012, 60, 1888–1895. [Google Scholar] [CrossRef]
- Han, Z.; Chen, F.; Ge, X.; Tan, J.; Lei, P.; Zhang, J. MiR-21 Alleviated Apoptosis of Cortical Neurons through Promoting PTEN-Akt Signaling Pathway in Vitro after Experimental Traumatic Brain Injury. Brain Res. 2014, 1582, 12–20. [Google Scholar] [CrossRef]
- Gruner, K.; Sahni, V.; Pan, L.; McGuire, T.L.; Bhalala, O.G.; Kessler, J.A.; Tourtellotte, W.G. MicroRNA-21 Regulates Astrocytic Response Following Spinal Cord Injury. J. Neurosci. 2012, 32, 17935–17947. [Google Scholar]
- Junker, A.; Krumbholz, M.; Eisele, S.; Mohan, H.; Augstein, F.; Bittner, R.; Lassmann, H.; Wekerle, H.; Hohlfeld, R.; Meinl, E. MicroRNA Profiling of Multiple Sclerosis Lesions Identifies Modulators of the Regulatory Protein CD47. Brain 2009, 132, 3342–3352. [Google Scholar] [CrossRef]
- Alvarez-Erviti, L.; Seow, Y.; Schapira, A.H.; Rodriguez-Oroz, M.C.; Obeso, J.A.; Cooper, J.M. Influence of microRNA deregulation on chaperone-mediated autophagy and alpha-synuclein pathology in Parkinson’s disease. Cell Death Dis. 2013, 4, e545. [Google Scholar] [CrossRef]
- Burgos, K.; Malenica, I.; Metpally, R.; Courtright, A.; Rakela, B.; Beach, T.; Shill, H.; Adler, C.; Sabbagh, M.; Villa, S.; et al. Profiles of Extracellular MiRNA in Cerebrospinal Fluid and Serum from Patients with Alzheimer’s and Parkinson’s Diseases Correlate with Disease Status and Features of Pathology. PLoS ONE 2014, 9, e94839. [Google Scholar] [CrossRef]
- Kanata, E.; Thüne, K.; Xanthopoulos, K.; Ferrer, I.; Dafou, D.; Zerr, I.; Sklaviadis, T.; Llorens, F. MicroRNA Alterations in the Brain and Body Fluids of Humans and Animal Prion Disease Models: Current Status and Perspectives. Front. Aging Neurosci. 2018, 10, 220. [Google Scholar] [CrossRef]
- Harrison, E.B.; Hochfelder, C.G.; Lamberty, B.G.; Meays, B.M.; Morsey, B.M.; Kelso, M.L.; Fox, H.S.; Yelamanchili, S.V. Traumatic Brain Injury Increases Levels of MiR-21 in Extracellular Vesicles: Implications for Neuroinflammation. FEBS Open Bio 2016, 6, 835–846. [Google Scholar] [CrossRef] [PubMed]
- Worm, J.; Stenvang, J.; Petri, A.; Frederiksen, K.S.; Obad, S.; Elmén, J.; Hedtjärn, M.; Straarup, E.M.; Hansen, J.B.; Kauppinen, S. Silencing of MicroRNA-155 in Mice during Acute Inflammatory Response Leads to Derepression of c/Ebp Beta and down-Regulation of G-CSF. Nucleic Acids Res. 2009, 37, 5784–5792. [Google Scholar] [CrossRef] [PubMed]
- Lopez-Ramirez, M.A.; Wu, D.; Pryce, G.; Simpson, J.E.; Reijerkerk, A.; King-Robson, J.; Kay, O.; de Vries, H.E.; Hirst, M.C.; Sharrack, B.; et al. MicroRNA-155 Negatively Affects Blood-Brain Barrier Function during Neuroinflammation. FASEB J. 2014, 28, 2551–2565. [Google Scholar] [CrossRef] [PubMed]
- Gandhi, R. MiRNA in Multiple Sclerosis: Search for Novel Biomarkers. Mult. Scler. J. 2015, 21, 1095–1103. [Google Scholar] [CrossRef]
- Guedes, J.R.; Custódia, C.M.; Silva, R.J.; de Almeida, L.P.; de Lima, M.C.P.; Cardoso, A.L. Early MiR-155 Upregulation Contributes to Neuroinflammation in Alzheimer’s Disease Triple Transgenic Mouse Model. Hum. Mol. Genet. 2014, 23, 6286–6301. [Google Scholar] [CrossRef]
- Prajapati, P.; Sripada, L.; Singh, K.; Bhatelia, K.; Singh, R.; Singh, R. TNF-alpha regulates miRNA targeting mitochondrial complex-I and induces cell death in dopaminergic cells. Biochim. Biophys. Acta 2015, 1852, 451–461. [Google Scholar] [CrossRef]
- Fasanaro, P.; D’Alessandra, Y.; Di Stefano, V.; Melchionna, R.; Romani, S.; Pompilio, G.; Capogrossi, M.C.; Martelli, F. MicroRNA-210 modulates endothelial cell response to hypoxia and inhibits the receptor tyrosine kinase ligand ephrin-A3. J. Biol. Chem. 2008, 283, 15878–15883. [Google Scholar] [CrossRef]
- Huang, X.; Le, Q.-T.; Giaccia, A.J. MiR-210—Micromanager of the hypoxia pathway. Trends Mol. Med. 2010, 16, 230–237. [Google Scholar] [CrossRef]
- Bavelloni, A.; Ramazzotti, G.; Poli, A.; Piazzi, M.; Focaccia, E.; Blalock, W.; Faenza, I. MiRNA-210: A Current Overview. Anticancer Res. 2017, 37, 6511–6521. [Google Scholar]
- Voloboueva, L.A.; Sun, X.; Xu, L.; Ouyang, Y.-B.; Giffard, R.G. Distinct effects of miR-210 reduction on neurogenesis: Increased neuronal survival of inflammation but reduced proliferation associated with mitochondrial enhancement. J. Neurosci. 2017, 37, 3072–3084. [Google Scholar] [CrossRef] [PubMed][Green Version]
- Lin, M.T.; Beal, M.F. Mitochondrial dysfunction and oxidative stress in neurodegenerative diseases. Nature 2006, 443, 787–795. [Google Scholar] [CrossRef] [PubMed]
- Chen, Z.; Li, Y.; Zhang, H.; Huang, P.; Luthra, R. Hypoxia-regulated microRNA-210 modulates mitochondrial function and decreases ISCU and COX10 expression. Oncogene 2010, 29, 4362–4368. [Google Scholar] [CrossRef] [PubMed]
- Harischandra, D.S.; Ghaisas, S.; Rokad, D.; Zamanian, M.; Jin, H.; Anantharam, V.; Kimber, M.; Kanthasamy, A.; Kanthasamy, AG. Environmental neurotoxicant manganese regulates exosome-mediated extracellular miRNAs in cell culture model of Parkinson’s disease: Relevance to α-synuclein misfolding in metal neurotoxicity. Neurotoxicology 2018, 64, 267–277. [Google Scholar] [CrossRef] [PubMed]
- Konovalova, J.; Gerasymchuk, D.; Parkkinen, I.; Chmielarz, P.; Domanskyi, A. Interplay between MicroRNAs and Oxidative Stress in Neurodegenerative Diseases. Int. J. Mol. Sci. 2019, 20, 6055. [Google Scholar] [CrossRef]
- Wei, Z.; Li, X.; Li, X.; Liu, Q.; Cheng, Y. Oxidative stress in Parkinson’s disease: A systematic review and meta-analysis. Front. Mol. Neurosci. 2018, 11, 236. [Google Scholar] [CrossRef]
- Haqqani, A.S.; Delaney, C.E.; Tremblay, T.L.; Sodja, C.; Sandhu, J.K.; Stanimirovic, D.B. Method for isolation and molecular characterization of extracellular microvesicles released from brain endothelial cells. Fluids Barriers CNS 2013, 10, 4. [Google Scholar] [CrossRef]
- Botcher, N.A.; Falck, J.E.; Thomson, A.M.; Mercer, A. Distribution of interneurons in the CA2 region of the rat hippocampus. Front. Neuroanat. 2014, 8, 124. [Google Scholar] [CrossRef]
- Théry, C.; Witwer, K.W.; Aikawa, E.; Alcaraz, M.J.; Anderson, J.D.; Andriantsitohaina, R.; Antoniou, A.; Arab, T.; Archer, F.; Atkin-Smith, G.K.; et al. Minimal information for studies of extracellular vesicles 2018 (MISEV2018): A position statement of the International Society for Extracellular Vesicles and update of the MISEV2014 guidelines. J. Extracell. Vesicles 2018, 7, 1535750. [Google Scholar] [CrossRef]
- Livak, K.J.; Schmittgen, T.D. Analysis of relative gene expression data using real-time quantitative PCR and the 2(-Delta Delta C(T)) method. Methods 2001, 25, 402–408. [Google Scholar] [CrossRef]
- Nicholas, A.P.; Whitaker, J.N. Preparation of a monoclonal antibody to citrullinated epitopes: Its characterization and some applications to immunohistochemistry in human brain. Glia 2002, 37, 328–336. [Google Scholar] [CrossRef] [PubMed]











| Protein Name | Symbol | Sequences | Total Score (p < 0.05) ⱡ |
|---|---|---|---|
| Serum albumin | A0A0G2JSH5_RAT | 38 | 2280 |
| Serum albumin | ALBU_RAT | 37 | 2215 |
| Alpha-1-macroglobulin | A1M_RAT | 34 | 1890 |
| Alpha-1-inhibitor 3 | A1I3_RAT | 25 | 1615 |
| Complement C3 | M0RBF1_RAT | 30 | 1611 |
| Similar to histidine-rich glycoprotein | A0A0G2K9Y5_RAT | 28 | 1561 |
| Murinoglobulin-1 | D4A6E3_RAT | 22 | 1330 |
| Kininogen-1 | KNG1_RAT | 20 | 1112 |
| Ac1873 | Q7TQ70_RAT | 21 | 1008 |
| Serotransferrin | TRFE_RAT | 18 | 936 |
| Isoform LMW of Kininogen-1 | KNG1_RAT | 15 | 860 |
| Ig gamma-2C chain C region | IGG2C_RAT | 13 | 739 |
| Isoform 2 of Fibrinogen beta chain | FIBB_RAT | 14 | 545 |
| Ig gamma-2A chain C region | IGG2A_RAT | 8 | 520 |
| Isoform Gamma-A of Fibrinogen gamma chain | FIBG_RAT | 10 | 516 |
| Carboxypeptidase N catalytic chain | CBPN_RAT | 8 | 460 |
| Uncharacterized protein | A0A0G2JZW1_RAT | 8 | 446 |
| C-reactive protein | CRP_RAT | 6 | 432 |
| Fibronectin | A0A096P6L8_RAT | 9 | 404 |
| Ig kappa chain C region, A allele | KACA_RAT | 6 | 383 |
| Uncharacterized protein | A0A0G2JVP4_RAT | 7 | 341 |
| Uncharacterized protein | A0A0G2K477_RAT | 6 | 333 |
| Hemoglobin subunit beta-1 | HBB1_RAT | 6 | 319 |
| Apolipoprotein E | A0A0G2K151_RAT | 7 | 316 |
| Uncharacterized protein | D4ACR1_RAT | 4 | 300 |
| Hemoglobin subunit alpha-1/2 | HBB1_RAT | 6 | 295 |
| Uncharacterized protein | D4ACR1_RAT | 4 | 274 |
| Kininogen-1 | A0A0G2JVQ5_RAT | 6 | 251 |
| Carboxypeptidase N subunit 2 | F1LQT4_RAT | 6 | 250 |
| Ig gamma-2B chain C region | IGG2B_RAT | 5 | 237 |
| Hemopexin | HEMO_RAT | 6 | 231 |
| Ceruloplasmin | A0A0G2K9I6_RAT | 6 | 220 |
| Hemoglobin subunit beta-2 | HBB2_RAT | 4 | 216 |
| Uncharacterized protein | M0RA79_RAT | 3 | 213 |
| Keratin, type II cytoskeletal 5 | A0A0G2K509_RAT | 3 | 210 |
| Alpha-1-antiproteinase | A0A0G2JY31_RAT | 3 | 209 |
| Uncharacterized protein | A0A0G2K290_RAT | 3 | 203 |
| Keratin, type II cytoskeletal 6A | K2C6A_RAT | 3 | 198 |
| Ab1-233 | A0A0G2JXK5_RAT | 4 | 197 |
| Uncharacterized protein | F1LVL4_RAT | 3 | 186 |
| Keratin, type I cytoskeletal 14 | K1C14_RAT | 3 | 181 |
| Uncharacterized protein | F1M3 × 3_RAT | 4 | 177 |
| Kallikrein B, plasma 1 | Q5FVS2_RAT | 3 | 175 |
| Complement C2 | Q6MG73_RAT | 4 | 175 |
| Uncharacterized protein | A0A0G2JY98_RAT | 3 | 172 |
| Haptoglobin | A0A0H2UHM3_RAT | 3 | 151 |
| Selenoprotein P | SEPP1_RAT | 4 | 151 |
| Apolipoprotein A-I | APOA1_RAT | 2 | 134 |
| Serine protease inhibitor A3K | SPA3K_RAT | 4 | 130 |
| Uncharacterized protein | F1LXY6_RAT | 2 | 123 |
| Uncharacterized protein | A0A0G2JW41_RAT | 1 | 115 |
| Keratin 16 | Q6IFU9_RAT | 3 | 115 |
| Ig lambda-2 chain C region | LAC2_RAT | 2 | 112 |
| Uncharacterized protein | A0A0G2K4K2_RAT | 3 | 111 |
| Coagulation factor XII | A0A0H2UI19_RAT | 3 | 110 |
| Inter-alpha-trypsin inhibitor heavy chain family, member 4 | D3ZFC6_RAT | 2 | 105 |
| Uncharacterized protein | F1LZH0_RAT | 2 | 93 |
| Uncharacterized protein | F1M0U4_RAT | 2 | 93 |
| RCG21066 | D3ZJW6_RAT | 2 | 86 |
| Uncharacterized protein | M0RAB8_RAT | 1 | 85 |
| Uncharacterized protein | M0R816_RAT | 1 | 83 |
| C-type lectin domain family 11 member A | CLC11_RAT | 2 | 80 |
| Complement factor H | F1M983_RAT | 2 | 79 |
| Beta-globin | Q62669_RAT | 2 | 71 |
| Uncharacterized protein | A0A0G2JV42_RAT | 2 | 62 |
| Uncharacterized protein | F1LM19_RAT | 1 | 53 |
| Inter-alpha-trypsin inhibitor heavy chain 2 | D3ZFH5_RAT | 2 | 53 |
| Uncharacterized protein | F1M5L5_RAT | 2 | 52 |
| Fetub protein | Q6IRS6_RAT | 1 | 45 |
| Uncharacterized protein | A0A0G2JWX0_RAT | 1 | 45 |
| Uncharacterized protein | A0A0G2JTG4_RAT | 1 | 42 |
| Ubiquitin carboxyl-terminal hydrolase isozyme L1 | UCHL1_RAT | 1 | 41 |
| Uncharacterized protein | A0A0G2JUY3_RAT | 1 | 41 |
| Apolipoprotein A-IV | A0A0G2JVX7_RAT | 1 | 39 |
| Extracellular calcium-sensing receptor | CASR_RAT | 1 | 37 |
| Uncharacterized protein | F1LZ11_RAT | 1 | 36 |
| Uncharacterized protein | M0R9U2_RAT | 1 | 34 |
| Golgi apparatus protein 1 | G3V8G5_RAT | 1 | 33 |
| Protein Name | Symbol | Sequences | Total Score (p < 0.05) ⱡ |
|---|---|---|---|
| Complement C3 | M0RBF1_RAT | 89 | 5530 |
| Alpha-1-macroglobulin | A1M_RAT | 74 | 4911 |
| Alpha-1-inhibitor 3 | A1I3_RAT | 59 | 3845 |
| Fibronectin | A0A096P6L8_RAT | 64 | 3722 |
| Murinoglobulin-1 | MUG1_RAT | 57 | 3618 |
| Serum albumin | ALBU_RAT | 56 | 3564 |
| Serum albumin | A0A0G2JSH5_RAT | 56 | 3550 |
| Fibrinogen beta chain | FIBB_RAT | 53 | 3399 |
| Serotransferrin | TRFE_RAT | 53 | 3384 |
| Ac1873 | Q7TQ70_RAT | 56 | 3317 |
| Isoform Gamma-A of Fibrinogen gamma chain | FIBG_RAT | 31 | 2185 |
| Similar to histidine-rich glycoprotein | A0A0G2K9Y5_RAT | 38 | 2137 |
| Kininogen-1 | KNG1_RAT | 33 | 1981 |
| Complement C2 | Q6MG73_RAT | 30 | 1875 |
| Ceruloplasmin | A0A0G2K9I6_RAT | 32 | 1816 |
| Complement factor H | G3V9R2_RAT | 28 | 1570 |
| Kallikrein B, plasma 1 | Q5FVS2_RAT | 27 | 1552 |
| Ig gamma-2C chain C region | IGG2C_RAT | 21 | 1447 |
| Complement factor B | A0A0U1RRP9_RAT | 24 | 1405 |
| Hemopexin | HEMO_RAT | 25 | 1388 |
| Keratin, type II cytoskeletal 5 | K2C5_RAT | 24 | 1284 |
| Uncharacterized protein | G3V9J1_RAT | 22 | 1197 |
| Inter alpha-trypsin inhibitor, heavy chain 4 | Q5EBC0_RAT | 22 | 1192 |
| Carboxypeptidase N catalytic chain | CBPN_RAT | 18 | 1172 |
| Uncharacterized protein | A0A0G2JVP4_RAT | 18 | 1133 |
| Ig gamma-2A chain C region | IGG2A_RAT | 16 | 1108 |
| Complement C4 | CO4_RAT | 20 | 1070 |
| Carboxypeptidase N subunit 2 | F1LQT4_RAT | 19 | 1042 |
| Plasminogen | PLMN_RAT | 20 | 1001 |
| Apolipoprotein A-IV | APOA4_RAT | 17 | 989 |
| Uncharacterized protein | A0A0G2JZW1_RAT | 13 | 980 |
| Inter-alpha trypsin inhibitor, heavy chain 1 | B2RYM3_RAT | 18 | 960 |
| Complement C5 | A0A096P6L9_RAT | 21 | 959 |
| Apolipoprotein E | A0A0G2K151_RAT | 13 | 813 |
| Keratin, type I cytoskeletal 14 | K1C14_RAT | 14 | 779 |
| Complement C4B (Chido blood group) | Q6MG90_RAT | 13 | 769 |
| Ab1-233 | A0A0G2JYK0_RAT | 14 | 760 |
| Inter-alpha-trypsin inhibitor heavy chain 2 | D3ZFH5_RAT | 15 | 755 |
| Uncharacterized protein | F1LTJ5_RAT | 14 | 735 |
| Serine protease inhibitor A3L | SPA3L_RAT | 14 | 734 |
| Serine protease inhibitor A3K | SPA3K_RAT | 12 | 685 |
| Keratin, type I cytoskeletal 42 | K1C42_RAT | 12 | 660 |
| Uncharacterized protein | A0A0G2K477_RAT | 11 | 656 |
| Haptoglobin | A0A0H2UHM3_RAT | 14 | 650 |
| Keratin, type I cytoskeletal 17 | A0A0G2K9Q9_RAT | 14 | 634 |
| Alpha-1-antiproteinase | A0A0G2JY31_RAT | 11 | 613 |
| Inter-alpha-trypsin inhibitor heavy chain H3 | D3ZBS2_RAT | 13 | 610 |
| Selenoprotein P | SEPP1_RAT | 9 | 590 |
| C-type lectin domain family 11 member | CLC11_RAT | 12 | 587 |
| Uncharacterized protein | M0RA79_RAT | 10 | 571 |
| Apolipoprotein A-I | APOA1_RAT | 10 | 558 |
| C-reactive protein | CRP_RAT | 7 | 554 |
| Coagulation factor XII | A0A0H2UI19_RAT | 11 | 550 |
| Ig kappa chain C region, A allele | KACA_RAT | 7 | 536 |
| Uncharacterized protein | F1M3X3_RAT | 9 | 536 |
| Insulin-like growth factor binding protein, acid labile subunit, isoform CRA_b | F1LRE2_RAT | 9 | 529 |
| Kininogen-1 | A0A0G2JVQ5_RAT | 9 | 524 |
| Uncharacterized protein | F1LXY6_RAT | 7 | 507 |
| Keratin 16 | Q6IFU9_RAT | 9 | 504 |
| Uncharacterized protein | A0A0G2K828_RAT | 7 | 500 |
| Keratin, type II cytoskeletal 75 | A0A0H2UHH5_RAT | 9 | 496 |
| Uncharacterized protein | D4ACR1_RAT | 8 | 471 |
| Apolipoprotein B-100 | F1M6Z1_RAT | 12 | 457 |
| Keratin, type II cytoskeletal 6A | K2C6A_RAT | 9 | 446 |
| Keratin, type II cytoskeletal 8 | K2C8_RAT | 8 | 435 |
| Apolipoprotein H | Q5I0M1_RAT | 9 | 435 |
| Uncharacterized protein | D3ZZ08_RAT | 7 | 433 |
| Ig gamma-2B chain C region | IGG2B_RAT | 8 | 433 |
| Carboxylesterase 1C | EST1C_RAT | 8 | 431 |
| Hemoglobin subunit alpha-1/2 | HBA_RAT | 8 | 411 |
| Angiopoietin-like 6 | B2RYM1_RAT | 8 | 407 |
| Alpha-2-HS-glycoprotein | FETUA_RAT | 8 | 403 |
| Uncharacterized protein | M0R9U2_RAT | 6 | 403 |
| Hemoglobin subunit beta-1 | HBB1_RAT | 6 | 380 |
| Uncharacterized protein | A0A0G2K290_RAT | 6 | 378 |
| Uncharacterized protein | F1LZ11_RAT | 7 | 373 |
| Ig lambda-2 chain C region | LAC2_RAT | 6 | 340 |
| Uncharacterized protein | M0RAB8_RAT | 5 | 330 |
| Fetub protein | Q6IRS6_RAT | 7 | 314 |
| Uncharacterized protein | D4A3D1_RAT | 5 | 312 |
| Afamin | G3V9R9_RAT | 7 | 312 |
| Keratin, type I cytoskeletal 19 | K1C19_RAT | 7 | 308 |
| Uncharacterized protein | A0A0G2JUY4_RAT | 5 | 307 |
| Uncharacterized protein | M0RDF2_RAT | 5 | 281 |
| Uncharacterized protein | M0RBK4_RAT | 3 | 272 |
| Uncharacterized protein | A0A0G2JY98_RAT | 4 | 268 |
| Uncharacterized protein | A0A0G2JXP0_RAT | 4 | 257 |
| Extracellular matrix protein 1 | ECM1_RAT | 5 | 255 |
| Group specific component | Q68FY4_RAT | 6 | 247 |
| Desmoplakin | F1LMV6_RAT | 6 | 244 |
| Vitronectin | Q3KR94_RAT | 6 | 233 |
| Uncharacterized protein | M0RAV0_RAT | 3 | 225 |
| Peptidoglycan recognition protein 2 | M0R485_RAT | 5 | 220 |
| Uncharacterized protein | A0A0G2K7I1_RAT | 2 | 211 |
| Uncharacterized protein | A0A0G2JW41_RAT | 2 | 210 |
| Uncharacterized protein | A0A0G2K7P6_RAT | 3 | 204 |
| Glutathione peroxidase | A0A0G2K531_RAT | 4 | 201 |
| Uncharacterized protein | A0A0G2JTG4_RAT | 3 | 200 |
| Uncharacterized protein | F1LVL4_RAT | 3 | 199 |
| C4b-binding protein alpha chain | C4BPA_RAT | 6 | 196 |
| RCG21066 | D3ZJW6_RAT | 4 | 194 |
| Alpha-2-macroglobulin | A2MG_RAT | 4 | 194 |
| Uncharacterized protein | A0A0G2K304_RAT | 4 | 193 |
| Uncharacterized protein | A0A0G2K4I8_RAT | 4 | 188 |
| Uncharacterized protein | M0R693_RAT | 4 | 187 |
| Complement C1q subcomponent subunit B | G3V7N9_RAT | 3 | 186 |
| T-kininogen 1 | KNT1_RAT | 4 | 174 |
| Uncharacterized protein | A0A0G2K332_RAT | 3 | 169 |
| Protein AMBP | AMBP_RAT | 2 | 169 |
| Uncharacterized protein | A0A0G2JZV7_RAT | 3 | 164 |
| Uncharacterized protein | A0A0G2JXB7_RAT | 4 | 161 |
| Uncharacterized protein | M0RD98_RAT | 2 | 161 |
| Junction plakoglobin | PLAK_RAT | 2 | 154 |
| Actin, cytoplasmic 1 | A0A0G2K3K2_RAT | 3 | 153 |
| Uncharacterized protein | A0A0G2JV42_RAT | 2 | 153 |
| Uncharacterized protein | F1M7B3_RAT | 2 | 151 |
| Uncharacterized protein | A0A0G2K245_RAT | 2 | 150 |
| Uncharacterized protein | M0R4Z4_RAT | 3 | 142 |
| Uncharacterized protein | F1M1R0_RAT | 2 | 138 |
| Uncharacterized protein | F1LYF1_RAT | 2 | 134 |
| Complement C8 gamma chain | D3ZPI8_RAT | 2 | 134 |
| Uncharacterized protein | D3ZC54_RAT | 2 | 133 |
| Uncharacterized protein | F1M3E9_RAT | 3 | 132 |
| CD5 antigen-like | Q4KM75_RAT | 2 | 129 |
| Collagen type XVIII alpha 1 chain | F1LR02_RAT | 2 | 128 |
| Serpin family F member 2 | F7FHF3_RAT | 2 | 126 |
| Uncharacterized protein | M0R628_RAT | 2 | 124 |
| Uncharacterized protein | G3V8Z5_RAT | 3 | 118 |
| Uncharacterized protein | F1LZH0_RAT | 2 | 117 |
| Ab1-233 | A0A0H2UHI5_RAT | 2 | 105 |
| Papilin, proteoglycan-like sulfated glycoprotein | D3ZD40_RAT | 3 | 104 |
| Uncharacterized protein | A0A0G2K3K8_RAT | 2 | 104 |
| Uncharacterized protein | F1LWS4_RAT | 3 | 103 |
| Uncharacterized protein | D3ZPL2_RAT | 1 | 101 |
| Uncharacterized protein | D4A4L6_RAT | 2 | 101 |
| Uncharacterized protein | M0R816_RAT | 1 | 99 |
| Glutamine synthetase | GLNA_RAT | 3 | 99 |
| Uncharacterized protein | A0A0G2K5D2_RAT | 2 | 98 |
| Uncharacterized protein | F1M663_RAT | 1 | 96 |
| Uncharacterized protein | M0R8G6_RAT | 1 | 93 |
| Uncharacterized protein | M0R8Q4_RAT | 1 | 91 |
| Uncharacterized protein | F1LWD0_RAT | 2 | 91 |
| Similar to RIKEN cDNA | A0A0G2K896_RAT | 2 | 86 |
| Uncharacterized protein | M0R5A0_RAT | 2 | 83 |
| Uncharacterized protein | F1M5L5_RAT | 2 | 77 |
| Uncharacterized protein | D3ZFF8_RAT | 2 | 75 |
| Uncharacterized protein | A0A0G2K4K2_RAT | 2 | 73 |
| Prothrombin | G3V843_RAT | 2 | 73 |
| Uncharacterized protein | M0R7Q2_RAT | 2 | 69 |
| Uncharacterized protein | A0A096P6M7_RAT | 1 | 65 |
| Tripartite motif-containing 33 | D3ZUK4_RAT | 2 | 65 |
| Uncharacterized protein | M0R8B5_RAT | 1 | 61 |
| Uncharacterized protein | M0R4C5_RAT | 1 | 60 |
| Ig kappa chain V region S211 | KVX01_RAT | 1 | 59 |
| Uncharacterized protein | F1LTY5_RAT | 1 | 57 |
| Uncharacterized protein | M0R4G1_RAT | 1 | 55 |
| Suprabasin | F7FEM5_RAT | 1 | 53 |
| NADH:ubiquinone oxidoreductase subunit B10 | D4A0T0_RAT | 2 | 52 |
| Complement C1q subcomponent subunit A | C1QA_RAT | 1 | 52 |
| Ciliary rootlet coiled-coil, rootletin | F1M6Q2_RAT | 2 | 52 |
| E3 ubiquitin-protein ligase HUWE1 | A0A0G2JVW5_RAT | 2 | 52 |
| Complement factor properdin | B0BNN4_RAT | 1 | 52 |
| Uncharacterized protein | A0A0G2JX36_RAT | 1 | 51 |
| Tubulin beta-2B chain | TBB2B_RAT | 1 | 51 |
| Uncharacterized protein | A0A0G2K0N6_RAT | 1 | 50 |
| Cadherin-1 | CADH1_RAT | 1 | 46 |
| Caspase 8-associated protein 2 | D4A7V6_RAT | 2 | 46 |
| Phospholipase A2 | A0A0G2JZ44_RAT | 1 | 46 |
| PEX5-related protein | F1LMT5_RAT | 2 | 44 |
| Collectin sub-family member 11 | F1LSS7_RAT | 1 | 44 |
| Oxysterol-binding protein | A0A0G2K0D5_RAT | 2 | 43 |
| Uncharacterized protein | F1M6N0_RAT | 1 | 42 |
| Obscurin-like protein 1 | OBSL1_RAT | 2 | 42 |
| Serum amyloid A protein | Q5M878_RAT | 1 | 41 |
| Proline-rich protein 5 | A0A0H2UHJ6_RAT | 1 | 41 |
| Complement component C9 | F7F389_RAT | 1 | 39 |
| Methyltransferase-like 3 | Q4V8G6_RAT | 1 | 36 |
| Complement C8 alpha chain | D3ZWD6_RAT | 1 | 35 |
| Serine (Or cysteine) peptidase inhibitor, clade C (Antithrombin), member 1 | Q5M7T5_RAT | 1 | 33 |
| Cell cycle checkpoint control protein RAD9B | RAD9B_RAT | 1 | 33 |
| Heparin cofactor 2 | A0A0G2K8K3_RAT | 1 | 33 |
| Histone H4 | H4_RAT | 1 | 33 |
| Uncharacterized protein (Fragment) | A0A096MK45_RAT | 1 | 32 |
| Phosphatidylinositol glycan anchor biosynthesis, class Q | Q642B8_RAT | 1 | 32 |
| Protein Name | Symbol | Sequences | Total Score (p < 0.05) ⱡ |
|---|---|---|---|
| Serum albumin | A0A0G2JSH5_RAT | 13 | 829 |
| RCG36700 | A0A0G2K3G0_RAT | 13 | 654 |
| Keratin, type II cytoskeletal 5 | K2C5_RAT | 14 | 624 |
| Keratin, type I cytoskeletal 17 | A0A0G2K9Q9_RAT | 12 | 571 |
| Keratin, type I cytoskeletal 14 | K1C14_RAT | 8 | 500 |
| Actin, cytoplasmic 1 | A0A0G2K3K2_RAT | 8 | 461 |
| Keratin, type II cytoskeletal 6A | K2C6A_RAT | 8 | 401 |
| Keratin, type I cytoskeletal 19 | K1C19_RAT | 9 | 391 |
| Keratin 16 | Q6IFU9_RAT | 6 | 368 |
| Heat shock protein HSP 90-beta | A0A0G2K793_RAT | 9 | 337 |
| Keratin, type II cytoskeletal 8 | K2C8_RAT | 6 | 330 |
| Keratin, type II cytoskeletal 75 | A0A0H2UHH5_RAT | 7 | 320 |
| Heat shock 70 kDa protein 1A | HS71A_RAT | 5 | 312 |
| Heat shock protein HSP 90-alpha | HS90A_RAT | 7 | 298 |
| Uncharacterized protein | A0A0G2K828_RAT | 4 | 284 |
| Ig gamma-2A chain C region | IGG2A_RAT | 5 | 281 |
| Isoform LMW of Kininogen-1 | KNG1_RAT | 6 | 272 |
| Alpha-1-macroglobulin | A1M_RAT | 8 | 267 |
| Keratin, type I cytoskeletal 42 | K1C42_RAT | 5 | 265 |
| Heat shock 70 kDa protein 1-like | HS71L_RAT | 4 | 257 |
| Complement C3 | M0RBF1_RAT | 6 | 238 |
| Ig gamma-2C chain C region | IGG2C_RAT | 5 | 224 |
| Serotransferrin | A0A0G2QC06_RAT | 5 | 222 |
| Uncharacterized protein | D4ACR1_RAT | 3 | 179 |
| Murinoglobulin-1 | A0A0G2JUP5_RAT | 3 | 148 |
| Ig kappa chain C region, A allele | KACA_RAT | 2 | 142 |
| Desmoplakin | F1LMV6_RAT | 3 | 131 |
| C-reactive protein | A0A0G2K8V5_RAT | 2 | 119 |
| Histone H4 | H4_RAT | 2 | 109 |
| 14-3-3 protein theta | 1433T_RAT | 2 | 103 |
| 40S ribosomal protein | RSSA_RAT | 1 | 93 |
| Elongation factor 1-alpha | M0R757_RAT | 2 | 87 |
| Ubiquitin-like modifier-activating enzyme 1 | UBA1_RAT | 2 | 87 |
| Ig gamma-2B chain C region | IGG2B_RAT | 2 | 82 |
| Uncharacterized protein | A0A0G2JUY4_RAT | 1 | 82 |
| L-lactate dehydrogenase A chain | LDHA_RAT | 2 | 69 |
| Uncharacterized protein | M0RA79_RAT | 1 | 66 |
| Apolipoprotein E | A0A0G2K151_RAT | 1 | 64 |
| Globin a4 | A0A0G2JSW3_RAT | 1 | 63 |
| Uncharacterized protein | A0A0G2K980_RAT | 1 | 60 |
| Uncharacterized protein | D3ZE63_RAT | 1 | 57 |
| Histone H2A.Z | H2AZ_RAT | 2 | 55 |
| Peptidyl-prolyl cis-trans isomerase FKBP4 | FKBP4_RAT | 1 | 55 |
| Peroxiredoxin-2 | A0A0G2JSH9_RAT | 1 | 55 |
| L-lactate dehydrogenase B chain | LDHB_RAT | 2 | 54 |
| Eukaryotic initiation factor 4A-II | A0A0G2K8B7_RAT | 2 | 52 |
| Clathrin heavy chain | F1M779_RAT | 1 | 49 |
| Tubulin alpha chain | A0A0H2UHM7_RAT | 1 | 49 |
| Uncharacterized protein | A0A096P6M7_RAT | 1 | 46 |
| cAMP responsive element binding protein 3, isoform CRA | A0A0G2K331_RAT | 2 | 45 |
| Transportin 1 | F1LQP9_RAT | 1 | 44 |
| Unconventional myosin-Va | A0A0G2K4Y7_RAT | 2 | 44 |
| 6-phosphogluconate dehydrogenase, decarboxylating | A0A0G2K7Q8_RAT | 1 | 43 |
| Uncharacterized protein | A0A0G2K8S2_RAT | 1 | 41 |
| Phospholipase A2 | A0A0G2JZ44_RAT | 1 | 41 |
| Histone H2B | A0A0G2JXE0_RAT | 1 | 40 |
| Ventricular zone-expressed PH domain-containing protein homolog 1 | A0A0G2K6S2_RAT | 1 | 40 |
| Uncharacterized protein | A0A0G2JVP4_RAT | 1 | 37 |
| Pyruvate kinase | A0A0G2JVG3_RAT | 1 | 37 |
| Centromere protein E | D3ZV60_RAT | 1 | 36 |
| Methyltransferase-like 3 | Q4V8G6_RAT | 1 | 35 |
| Transketolase | G3V826_RAT | 1 | 35 |
| Uncharacterized protein | A0A0G2KB28_RAT | 1 | 35 |
| Enhancer of mRNA-decapping protein 4 | EDC4_RAT | 1 | 35 |
| T-complex protein 1 subunit eta | D4AC23_RAT | 1 | 34 |
| Signal-induced proliferation-associated 1 | E9PSX8_RAT | 1 | 34 |
| Stress-70 protein, mitochondrial | F1M953_RAT | 1 | 32 |
| Filamin-C | A0A0H2UHR7_RAT | 1 | 32 |
| Protein Name | Symbol | Sequences | Total Score (p < 0.05) ⱡ |
|---|---|---|---|
| Serum albumin | ALBU_RAT | 41 | 2238 |
| Alpha-1-macroglobulin | A1M_RAT | 33 | 1650 |
| Keratin, type II cytoskeletal 5 | K2C5_RAT | 29 | 1395 |
| Similar to histidine-rich glycoprotein | A0A0G2K9Y5_RAT | 28 | 1305 |
| Serotransferrin | TRFE_RAT | 28 | 1238 |
| Alpha-1-inhibitor | A1I3_RAT | 21 | 976 |
| Kininogen-1 | KNG1_RAT | 17 | 898 |
| Complement C3 | M0RBF1_RAT | 16 | 815 |
| Keratin, type II cytoskeletal 75 | A0A0H2UHH5_RAT | 13 | 714 |
| Ig gamma-2C chain C region | IGG2C_RAT | 14 | 699 |
| Murinoglobulin-1 | A0A0G2JUW7_RAT | 15 | 683 |
| Ig gamma-2A chain C region | IGG2A_RAT | 12 | 670 |
| Keratin, type I cytoskeletal 17 | A0A0G2K9Q9_RAT | 14 | 663 |
| Keratin, type II cytoskeletal 6A | K2C6A_RAT | 12 | 649 |
| Keratin, type II cytoskeletal 1b | A0A0G2JZQ9_RAT | 12 | 595 |
| Keratin, type I cytoskeletal 14 | K1C14_RAT | 12 | 592 |
| Actin, cytoplasmic 1 | A0A0G2K3K2_RAT | 11 | 539 |
| Desmoplakin | F1LMV6_RAT | 14 | 523 |
| Keratin, type II cytoskeletal 8 | K2C8_RAT | 10 | 503 |
| Junction plakoglobin | PLAK_RAT | 10 | 481 |
| Keratin, type I cytoskeletal 42 | K1C42_RAT | 11 | 472 |
| Uncharacterized protein | A0A0G2JVP4_RAT | 9 | 447 |
| Uncharacterized protein | A0A0G2JVP4_RAT | 7 | 417 |
| Keratin 16 | Q6IFU9_RAT | 9 | 413 |
| C-reactive protein | CRP_RAT | 6 | 325 |
| Uncharacterized protein | M0RA79_RAT | 5 | 303 |
| Tubulin alpha-1B chain | TBA1B_RAT | 7 | 296 |
| Uncharacterized protein | A0A0G2K9Y0_RAT | 6 | 293 |
| Ig kappa chain C region, A allele | KACA_RAT | 6 | 280 |
| Ac1873 | Q7TQ70_RAT | 7 | 256 |
| Tubulin beta-5 chain | TBB5_RAT | 5 | 246 |
| Tubulin beta-2B chain | TBB2B_RAT | 5 | 244 |
| Tubulin beta-4B chain | TBB4B_RAT | 5 | 229 |
| Isoform Long of Annexin A2 | ANXA2_RAT | 3 | 228 |
| Histone H4 | H4_RAT | 4 | 221 |
| Uncharacterized protein | A0A0G2K290_RAT | 4 | 218 |
| Isoform Gamma-A of Fibrinogen gamma chain | FIBG_RAT | 4 | 215 |
| Carboxypeptidase N catalytic chain | CBPN_RAT | 6 | 202 |
| Uncharacterized protein | A0A0G2K828_RAT | 3 | 176 |
| Histone H2B | A0A0G2JXE0_RAT | 3 | 172 |
| Neurofilament heavy polypeptide | F1LRZ7_RAT | 3 | 164 |
| Keratin 83 | A0A0G2JUU5_RAT | 4 | 150 |
| Uncharacterized protein | A0A0G2K3S3_RAT | 2 | 137 |
| Uncharacterized protein | M0RD98_RAT | 2 | 132 |
| Hemopexin | HEMO_RAT | 4 | 130 |
| Ig gamma-2B chain C region | IGG2B_RAT | 3 | 129 |
| Uncharacterized protein | D4ACR1_RAT | 2 | 126 |
| Carboxypeptidase N subunit 2 | F1LQT4_RAT | 3 | 123 |
| Keratinocyte proline-rich protein | G3V9A5_RAT | 3 | 122 |
| Uncharacterized protein | F1LXY6_RAT | 2 | 116 |
| Plakophilin 1 | D3ZY51_RAT | 2 | 115 |
| Selenoprotein P | SEPP1_RAT | 3 | 106 |
| Uncharacterized protein | F1M3X3_RAT | 2 | 102 |
| Apolipoprotein E | A0A0G2K151_RAT | 3 | 97 |
| Epsilon 1 globin | O88752_RAT | 1 | 91 |
| Globin c2 | A0A0G2JSV6_RAT | 2 | 82 |
| Keratin 78 (Fragment) | A0A0G2JUR6_RAT | 2 | 81 |
| Isoform 2 of Fibrinogen beta chain | FIBB_RAT | 2 | 81 |
| Keratin, type I cytoskeletal 40 | K1C40_RAT | 2 | 80 |
| Uncharacterized protein | A0A096P6M7_RAT | 1 | 80 |
| Neurofilament medium polypeptide | G3V7S2_RAT | 2 | 73 |
| Vitronectin | Q3KR94_RAT | 2 | 72 |
| Heat shock 70 kDa protein 1A | HS71A_RAT | 2 | 72 |
| Uncharacterized protein | A0A0G2K6T8_RAT | 2 | 69 |
| Uncharacterized protein | F1M6N0_RAT | 2 | 66 |
| Ras homolog family member C | A0A0G2K6E0_RAT | 1 | 64 |
| Chymotrypsinogen B | F1MA56_RAT | 2 | 61 |
| Uncharacterized protein | A0A0G2JZV7_RAT | 1 | 59 |
| Lactadherin | A0A0G2K506_RAT | 1 | 57 |
| Uncharacterized protein | A0A0G2JTG4_RAT | 1 | 56 |
| Uncharacterized protein | A0A0G2K099_RAT | 1 | 51 |
| Uncharacterized protein | A0A0G2JV42_RAT | 1 | 51 |
| Dystrophin | DMD_RAT | 2 | 50 |
| Cell division control protein 42 homolog | A0A0G2JSM8_RAT | 1 | 50 |
| Ig lambda-2 chain C region | LAC2_RAT | 2 | 49 |
| Uncharacterized protein | M0RBK4_RAT | 1 | 43 |
| Desmoglein 1 | D3ZM39_RAT | 1 | 42 |
| Elongation factor 1-alpha | M0R757_RAT | 1 | 42 |
| Uncharacterized protein | A0A0G2K4K2_RAT | 2 | 41 |
| Cationic trypsinogen | G3V7Q8_RAT | 1 | 41 |
| Histidine ammonia-lyase | HUTH_RAT | 1 | 40 |
| Trypsin V-A | TRYA_RAT | 1 | 39 |
| Cingulin | D4A4X4_RAT | 1 | 39 |
| Uncharacterized protein | A0A0G2K8S2_RAT | 1 | 39 |
| Centrosomal protein 290 | A0A0G2K715_RAT | 1 | 39 |
| Proline-rich protein 5 | A0A0H2UHJ6_RAT | 1 | 38 |
| Uncharacterized protein | A0A0G2JUY3_RAT | 1 | 38 |
| Uncharacterized protein | M0RAB8_RAT | 1 | 37 |
| Spliceosome RNA helicase Ddx39b | A0A0G2KAT4_RAT | 1 | 37 |
| Uncharacterized protein | A0A0G2K0N8_RAT | 1 | 37 |
| Complement factor B (Fragment) | A0A096MKF9_RAT | 1 | 36 |
| Methyltransferase-like 3 | Q4V8G6_RAT | 1 | 35 |
| Golgi apparatus protein 1 | G3V8G5_RAT | 1 | 35 |
| Ceruloplasmin | A0A0G2K9I6_RAT | 1 | 35 |
| Histone H2A.Z | H2AZ_RAT | 1 | 35 |
| DNA-(apurinic or apyrimidinic site) lyase | D3ZPZ3_RAT | 1 | 34 |
| Keratin, type II cytoskeletal 80 | K2C80_RAT | 1 | 33 |
| Uncharacterized protein (Fragment) | A0A096MK45_RAT | 1 | 32 |
© 2020 by the authors. Licensee MDPI, Basel, Switzerland. This article is an open access article distributed under the terms and conditions of the Creative Commons Attribution (CC BY) license (http://creativecommons.org/licenses/by/4.0/).
Share and Cite
Sancandi, M.; Uysal-Onganer, P.; Kraev, I.; Mercer, A.; Lange, S. Protein Deimination Signatures in Plasma and Plasma-EVs and Protein Deimination in the Brain Vasculature in a Rat Model of Pre-Motor Parkinson’s Disease. Int. J. Mol. Sci. 2020, 21, 2743. https://doi.org/10.3390/ijms21082743
Sancandi M, Uysal-Onganer P, Kraev I, Mercer A, Lange S. Protein Deimination Signatures in Plasma and Plasma-EVs and Protein Deimination in the Brain Vasculature in a Rat Model of Pre-Motor Parkinson’s Disease. International Journal of Molecular Sciences. 2020; 21(8):2743. https://doi.org/10.3390/ijms21082743
Chicago/Turabian StyleSancandi, Marco, Pinar Uysal-Onganer, Igor Kraev, Audrey Mercer, and Sigrun Lange. 2020. "Protein Deimination Signatures in Plasma and Plasma-EVs and Protein Deimination in the Brain Vasculature in a Rat Model of Pre-Motor Parkinson’s Disease" International Journal of Molecular Sciences 21, no. 8: 2743. https://doi.org/10.3390/ijms21082743
APA StyleSancandi, M., Uysal-Onganer, P., Kraev, I., Mercer, A., & Lange, S. (2020). Protein Deimination Signatures in Plasma and Plasma-EVs and Protein Deimination in the Brain Vasculature in a Rat Model of Pre-Motor Parkinson’s Disease. International Journal of Molecular Sciences, 21(8), 2743. https://doi.org/10.3390/ijms21082743

