The Lethal(2)-Essential-for-Life [L(2)EFL] Gene Family Modulates Dengue Virus Infection in Aedes aegypti
Abstract
1. Introduction
2. Results and Discussion
2.1. Mosquito Infection with DENV-2 Using Direct Feeding
2.2. Sequencing Data
2.3. Identification of L(2)efl
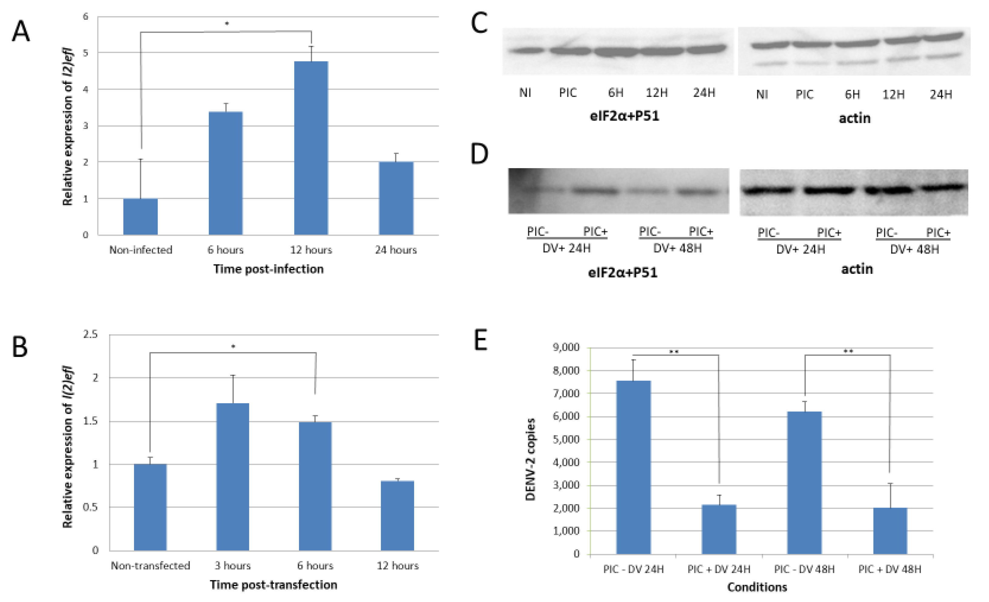
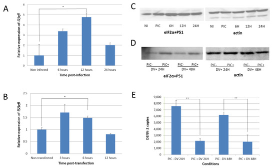
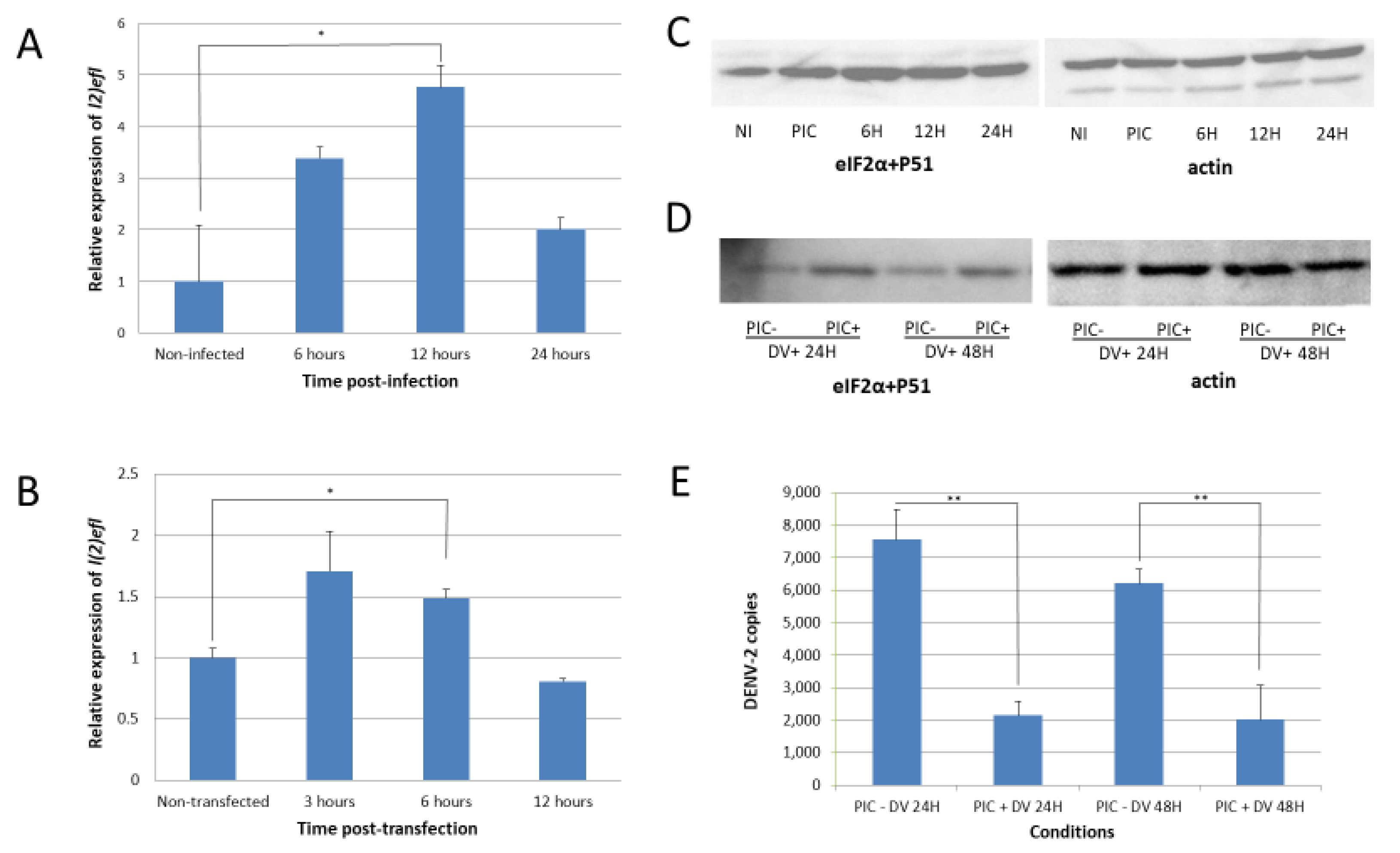
2.4. DENV-2 Replication
2.5. Suppression of L(2)efl-1 and L(2)efl-4 Enhances DENV-2 Replication
3. Material and Methods
3.1. Mosquito Rearing
3.2. Mosquito Infection
3.3. Confirmation of Mosquito Infection
3.4. RNA Extraction and Illumina Library Preparation
3.5. RNA-seq Data Analyses
3.6. Transfection and Infection of the A. aegypti Cell Line CCL-125 with Poly(I:C) and DENV-2
3.7. Immunoblotting of EIF2α
3.8. L(2)efl Suppression
3.9. Virus Titer
3.10. Quantitative RT-PCR
3.11. Ethics Statement
4. Conclusions
Supplementary Materials
Author Contributions
Funding
Acknowledgments
Conflicts of Interest
References
- Gubler, D.J. Epidemic dengue/dengue hemorrhagic fever as a public health, social and economic problem in the 21st century. Trends Microbiol. 2002, 10, 100–103. [Google Scholar] [CrossRef]
- World Health Organization. Dengue: Guidelines for Diagnosis, Treatment, Prevention and Control; WHO: Geneva, Switzerland, 2009. [Google Scholar]
- Gubler, D.J. Dengue and dengue hemorrhagic fever. Clin. Microbiol. Rev. 1998, 11, 480–496. [Google Scholar] [CrossRef] [PubMed]
- Sabchareon, A.; Wallace, D.; Sirivichayakul, C.; Limkittikul, K.; Chanthavanich, P.; Suvannadabba, S.; Jiwariyavej, V.; Dulyachai, W.; Pengsaa, K.; Wartel, T.A.; et al. Protective efficacy of the recombinant, live-attenuated, CYD tetravalent dengue vaccine in Thai schoolchildren: A randomised, controlled phase 2b trial. Lancet 2012, 380, 1559–1567. [Google Scholar] [CrossRef]
- Bhatt, S.; Gething, P.W.; Brady, O.J.; Messina, J.P.; Farlow, A.W.; Moyes, C.L.; Drake, J.M.; Brownstein, J.S.; Hoen, A.G.; Sankoh, O.; et al. The global distribution and burden of dengue. Nature 2013, 496, 504–507. [Google Scholar] [CrossRef]
- Del Angel, R.M.; Valle, J.R. Dengue vaccines: Strongly sought but not a reality just yet. PLoS Pathog 2013, 9, e1003551. [Google Scholar] [CrossRef]
- World Health Organization. Updated Questions and Answers Related to Information Presented in the Sanofi Pasteur Press Release on 30 November 2017 with Regards to the Dengue Vaccine Dengvaxia®. Available online: http://www.who.int/immunization/diseases/dengue/q_and_a_dengue_vaccine_dengvaxia/en/ (accessed on 20 May 2018).
- Rieter, P.; Gubler, D.J. Surveillance and control of urban dengue vectors. In Dengue and Dengue Hemorrhagic Fever; Gubler, D.J., Kuno, G., Eds.; CAB International: Wallingford, UK, 1997; pp. 425–462. [Google Scholar]
- James, A.A. Gene drive systems in mosquitoes: Rules of the road. Trends Parasitol. 2005, 21, 64–67. [Google Scholar] [CrossRef]
- Franz, E.A.W.; Sanchez-vargas, I.; Adelman, Z.N.; Blair, C.D.; Beaty, B.J.; James, A.A.; Olson, K.E. Engineering RNA interference-based resistance to dengue virus type 2 in genetically modified Aedes aegypti. Proc. Natl. Acad. Sci. USA 2006, 103, 4198–4203. [Google Scholar] [CrossRef]
- Behura, S.K.; Gomez-Machorro, C.; Harker, B.W.; DeBruyn, B.; Lovin, D.D.; Hemme, R.R.; Mori, A.; Romero-Severson, J.; Severson, D.W. Global cross-talk of genes of the mosquito Aedes aegypti in response to dengue virus infection. PLoS Negl. Trop. Dis. 2011, 5, e1385. [Google Scholar] [CrossRef] [PubMed]
- Bonizzoni, M.; Dunn, W.A.; Campbell, C.L.; Olson, K.E.; Marinotti, O.; James, A.A. Complex modulation of the Aedes aegypti transcriptome in response to dengue virus infection. PLoS ONE 2012, 7, e50512. [Google Scholar] [CrossRef]
- Guo, X.; Xu, Y.; Bian, G.; Pike, A.D.; Xie, Y.; Xi, Z. Response of the mosquito protein interaction network to dengue infection. BMC Genom. 2010, 11, 380. [Google Scholar] [CrossRef]
- Doolittle, M.J.; Gomez, S.M. Mapping protein interactions between dengue virus and its human and insect hosts. PLoS Negl. Trop. Dis. 2011, 5, e954. [Google Scholar] [CrossRef]
- Lee, H.L.; Wong, Y.C.; Rohani, A. Protein profiles of dengue-infected Aedes aegypti (L). Dengue Bull. 2009, 33, 115–123. [Google Scholar]
- Sim, S.; Dimopoulos, G. Dengue virus inhibits immune responses in Aedes aegypti cells. PLoS ONE 2010, 5, e10678. [Google Scholar] [CrossRef]
- Barón, O.L.; Ursic-Bedoya, R.J.; Lowenberger, C.A.; Ocampo, C.B. Differential gene expression from midguts of refractory and susceptible lines of the mosquito, Aedes aegypti, infected with dengue-2 virus. J. Insect Sci. 2010, 10, 1–23. [Google Scholar] [CrossRef]
- Sim, S.; Ramirez, J.L.; Dimopoulos, G. Dengue virus infection of the Aedes aegypti salivary gland and chemosensory apparatus induces genes that modulate infection and blood-feeding behavior. PLoS Pathog. 2012, 8, e1002631. [Google Scholar] [CrossRef]
- Xi, Z.; Ramirez, J.L.; Dimopoulos, G. The Aedes aegypti toll pathway controls dengue virus infection. PLoS Pathog. 2008, 4, e1000098. [Google Scholar] [CrossRef]
- Souza-Neto, J.A.; Sim, S.; Dimopoulos, G. An evolutionary conserved function of the JAK-STAT pathway in anti-dengue defense. Proc. Natl. Acad. Sci. USA 2009, 106, 17841–17846. [Google Scholar] [CrossRef]
- Runtuwene, L.R.; Konishi, E.; Yamanaka, A.; Makino, Y.; Suzuki, Y.; Takasaki, T.; Kurane, I.; Kobayashi, T.; Eshita, Y. Dengue transmission model by means of viremic adult immuno-competent mouse. Parasit. Vectors 2014, 7, 143. [Google Scholar] [CrossRef]
- Nene, V.; Wortman, J.R.; Lawson, D.; Haas, B.; Kodira, C.; Tu, Z.J.; Loftus, B.; Xi, Z.; Megy, K.; Grabherr, M.; et al. Genome sequence of Aedes aegypti, a major arbovirus vector. Science 2007, 316, 1718–1723. [Google Scholar] [CrossRef]
- Leitmeyer, K.C.; Vaughn, D.W.; Watts, D.M.; Salas, R.; Villalobos, I.; de Chacon; Ramos, C.; Rico-Hesse, R.; de Chachon, I.V.; Ramos, C.; et al. Dengue virus structural differences that correlate with pathogenesis. J. Virol. 1999, 73, 4738–4747. [Google Scholar] [CrossRef]
- Pandey, B.D.B.; Morita, K.; Hasebe, F.; Parquet, M.; Igarashi, A.; Parquet, M.C.; Igarashi, A. Molecular evolution, distribution and genetic relationship among the dengue 2 viruses isolated from different clinical severity. Southeast Asian J. Trop. Med. Public Health 2000, 31, 266–272. [Google Scholar]
- Salazar, M.I.; Richardson, J.H.; Sánchez-Vargas, I.; Olson, K.E.; Beaty, B.J. Dengue virus type 2: Replication and tropisms in orally infected Aedes aegypti mosquitoes. BMC Microbiol. 2007, 7, 9. [Google Scholar] [CrossRef]
- The Gene Ontology Consortium. Gene ontology: Tool for the unification of biology. Nat. Genet. 2000, 25, 25–29. [Google Scholar] [CrossRef]
- Colpitts, T.M.; Barthel, S.; Wang, P.; Fikrig, E. Dengue virus capsid protein binds core histones and inhibits nucleosome formation in human liver cells. PLoS ONE 2011, 6, e24365. [Google Scholar] [CrossRef]
- Zhao, L.; Pridgeon, J.W.; Becnel, J.J.; Clark, G.G.; Linthicum, K.J. Identification of genes differentially expressed during heat shock treatment in Aedes aegypti. J. Med. Entomol. 2009, 46, 490–495. [Google Scholar] [CrossRef]
- Carra, S.; Boncoraglio, A.; Kanon, B.; Brunsting, J.F.; Minoia, M.; Rana, A.; Vos, M.J.; Seidel, K.; Sibon, O.C.M.; Kampinga, H.H. Identification of the Drosophila ortholog of HSPB8: Implication of HSPB8 loss of function in protein folding diseases. J. Biol. Chem. 2010, 285, 37811–37822. [Google Scholar] [CrossRef]
- Morita, K.; Maemoto, T.; Honda, S.; Onishi, K.; Murata, M.; Tanaka, M.; Igarashi, A. Rapid detection of virus genome from imported dengue fever and dengue hemorrhagic fever patients by direct polymerase chain reaction. J. Med. Virol. 1994, 44, 54–58. [Google Scholar] [CrossRef]
- Lawson, D.; Arensburger, P.; Atkinson, P.; Besansky, N.J.; Bruggner, R.V.; Butler, R.; Campbell, K.S.; Christophides, G.K.; Christley, S.; Dialynas, E.; et al. VectorBase: A data resource for invertebrate vector genomics. Nucleic Acids Res. 2009, 37, 583–587. [Google Scholar] [CrossRef]
- Trapnell, C.; Pachter, L.; Salzberg, S.L. TopHat: Discovering splice junctions with RNA-Seq. Bioinformatics 2009, 25, 1105–1111. [Google Scholar] [CrossRef]
- Trapnell, C.; Williams, B.; Pertea, G.; Mortazavi, A.; Pachter, L.; van Baren, J.; Salzberg, S.L.; Wold, B.J.; Pachter, L. Transcript assembly and abundance estimation from RNA-seq reveals thousands of new transcripts and switching among isoforms. Nat. Biotechnol. 2010, 28, 511–515. [Google Scholar] [CrossRef]
- Schmittgen, T.; Livak, K. Analyzing real-time PCR data by the comparative CT method. Nat. Protoc. 2008, 3, 1101–1108. [Google Scholar] [CrossRef] [PubMed]
- Social Science Statistics. n.d. Spearman’s Rho Calculator. Available online: http://www.socscistatistics.com/tests/spearman/default2.aspx (accessed on 18 June 2014).
- Colpitts, T.M.; Cox, J.; Vanlandingham, D.L.; Feitosa, F.M.; Cheng, G.; Kurscheid, S.; Wang, P.; Krishnan, M.N.; Higgs, S.; Fikrig, E. Alterations in the Aedes aegypti transcriptome during infection with West Nile, dengue and yellow fever viruses. PLoS Pathog. 2011, 7, e1002189. [Google Scholar] [CrossRef]
- David, J.-P.; Coissac, E.; Melodelima, C.; Poupardin, R.; Riaz, M.A.; Chandor-Proust, A.; Reynaud, S. Transcriptome response to pollutants and insecticides in the dengue vector Aedes aegypti using next-generation sequencing technology. BMC Genom. 2010, 11, 216. [Google Scholar] [CrossRef]
- Williams, B.R.G. PKR; a sentinel kinase for cellular stress. Oncogene 1999, 18, 6112–6120. [Google Scholar] [CrossRef]
- Connor, J.H.; Lyles, D.S. Inhibition of host and viral translation during vesicular stomatitis virus infection: eIF2 is responsible for the inhibition of viral but not host translation. J. Biol. Chem. 2005, 280, 13512–13519. [Google Scholar] [CrossRef]
- Chisenhall, D.M.; Londono, B.L.; Christofferson, R.C.; McCracken, M.K.; Mores, C.N. Effect of Dengue-2 Virus in the Salivary Glands of Aedes aegypti Mosquitoes. Am. J. Trop. Med. Hyg. 2014, 90, 431–437. [Google Scholar] [CrossRef]



| Sample Source | Replicate | Number of Reads Processed | Number of Reads with ≥1 Reported Alignment (Percent of Total Reads) | Number of Reads that Failed to Align (Percent of Total Reads) |
|---|---|---|---|---|
| 14 days noninfected | 1 | 39,174,903 | 37,360,756 (95.4%) | 1,814,147 (4.6%) |
| 2 | 30,866,781 | 29,259,296 (94.8) | 1,607,485 (5.2%) | |
| 14 days infected | 1 | 27,119,695 | 23,790,556 (87.7%) | 3,849,139 (12.3%) |
| 2 | 34,612,941 | 32,289,737 (93.3%) | 2,323,204 (6.7%) |
| Gene ID | Gene Annotation | RNA-seq | qRT-PCR | |||
|---|---|---|---|---|---|---|
| RPKM | Fold Changes | Normalized Abundance Values | ||||
| Uninfected | Infected | Uninfected | Infected | |||
| AAEL003689 | Histone H4 | 69.5104 | 999.832 | 14.38 | 1.00 | 1.80 |
| AAEL013338 | Lethal(2)-essential-for-life | 743.143 | 7346.79 | 9.9 | 1.00 | 3.84 |
| AAEL007097 | 4-nitrophenyl phosphatase | 918.192 | 6941.7 | 7.56 | 1.00 | 2.55 |
| AAEL010855 | Cdc6 | 8.18748 | 59.1695 | 7.22 | 1.00 | 2.13 |
| AAEL000709 | Cactus | 113.145 | 219.984 | 1.944 | 1.00 | 1.76 |
| AAEL004223 | Antibacterial peptide | 17608.2 | 4622.73 | −3.8 | 1.00 | 2.20 |
| AAEL004851 | Hypothetical protein | 46960.7 | 9712.4 | −4.835 | 1.00 | 1.77 |
| AAEL000200 | Hypothetical protein | 464.005 | 75.3489 | −6.158 | 1.00 | 0.62 |
| AAEL001863 | Zinc carboxypeptidase | 1303.55 | 98.5612 | −13.22 | 1.00 | 0.33 |
| AAEL010776 | Carboxypeptidase | 34.4547 | 0.512953 | −67.169 | 1.00 | 0.58 |
| Gene ID | Gene Annotation | Abundance Level Compared to Uninfected Mosquitoes (2-log-fold) |
|---|---|---|
| AAEL003344 | Metaxin | 0 |
| AAEL010654 | Lethal(2)-essential-for-life protein, l(2)efl | −2.51386 |
| AAEL010660 | Alpha-B-crystallin, putative | −2.86544 |
| AAEL010664 | Actin binding protein, putative | −0.90751 |
| AAEL010667 | Lethal(2)-essential-for-life protein, l(2)efl | 0 |
| AAEL010670 | Lethal(2)-essential-for-life protein, l(2)efl | 2.80795 |
| AAEL013338 | Lethal(2)-essential-for-life protein, l(2)efl | 3.3054 |
| AAEL013339 | AlphaA-crystallin, putative | 0.816776 |
| AAEL013340 | Lethal(2)-essential-for-life protein, l(2)efl | −0.247543 |
| AAEL013341 | Lethal(2)-essential-for-life protein, l(2)efl | −1.30716 |
| AAEL013344 | Lethal(2)-essential-for-life protein, l(2)efl | 3.03323 |
| AAEL013345 | AlphaA-crystallin, putative | 0.752978 |
| AAEL013346 | Lethal(2)-essential-for-life protein, l(2)efl | 1.63413 |
| AAEL013347 | Lethal(2)-essential-for-life protein, l(2)efl | −0.812587 |
| AAEL013348 | Lethal(2)-essential-for-life protein, l(2)efl | 0 |
| AAEL013349 | Lethal(2)-essential-for-life protein, l(2)efl | 1.00427 |
| AAEL013350 | Heat shock protein 26kD, putative | 2.43882 |
| AAEL013351 | Lethal(2)-essential-for-life protein, l(2)efl | 1.48215 |
| AAEL013352 | Lethal(2)-essential-for-life protein, l(2)efl | −0.581082 |
© 2020 by the authors. Licensee MDPI, Basel, Switzerland. This article is an open access article distributed under the terms and conditions of the Creative Commons Attribution (CC BY) license (http://creativecommons.org/licenses/by/4.0/).
Share and Cite
Runtuwene, L.R.; Kawashima, S.; Pijoh, V.D.; Tuda, J.S.B.; Hayashida, K.; Yamagishi, J.; Sugimoto, C.; Nishiyama, S.; Sasaki, M.; Orba, Y.; et al. The Lethal(2)-Essential-for-Life [L(2)EFL] Gene Family Modulates Dengue Virus Infection in Aedes aegypti. Int. J. Mol. Sci. 2020, 21, 7520. https://doi.org/10.3390/ijms21207520
Runtuwene LR, Kawashima S, Pijoh VD, Tuda JSB, Hayashida K, Yamagishi J, Sugimoto C, Nishiyama S, Sasaki M, Orba Y, et al. The Lethal(2)-Essential-for-Life [L(2)EFL] Gene Family Modulates Dengue Virus Infection in Aedes aegypti. International Journal of Molecular Sciences. 2020; 21(20):7520. https://doi.org/10.3390/ijms21207520
Chicago/Turabian StyleRuntuwene, Lucky R., Shuichi Kawashima, Victor D. Pijoh, Josef S. B. Tuda, Kyoko Hayashida, Junya Yamagishi, Chihiro Sugimoto, Shoko Nishiyama, Michihito Sasaki, Yasuko Orba, and et al. 2020. "The Lethal(2)-Essential-for-Life [L(2)EFL] Gene Family Modulates Dengue Virus Infection in Aedes aegypti" International Journal of Molecular Sciences 21, no. 20: 7520. https://doi.org/10.3390/ijms21207520
APA StyleRuntuwene, L. R., Kawashima, S., Pijoh, V. D., Tuda, J. S. B., Hayashida, K., Yamagishi, J., Sugimoto, C., Nishiyama, S., Sasaki, M., Orba, Y., Sawa, H., Takasaki, T., James, A. A., Kobayashi, T., & Eshita, Y. (2020). The Lethal(2)-Essential-for-Life [L(2)EFL] Gene Family Modulates Dengue Virus Infection in Aedes aegypti. International Journal of Molecular Sciences, 21(20), 7520. https://doi.org/10.3390/ijms21207520

