Characterization of the Proteins Involved in the DNA Repair Mechanism in M. smegmatis
Abstract
1. Introduction
2. Results and Discussion
2.1. Investigation on the Ogt Protein
2.2. Expression, Purification and Analysis of Ada-AlkA
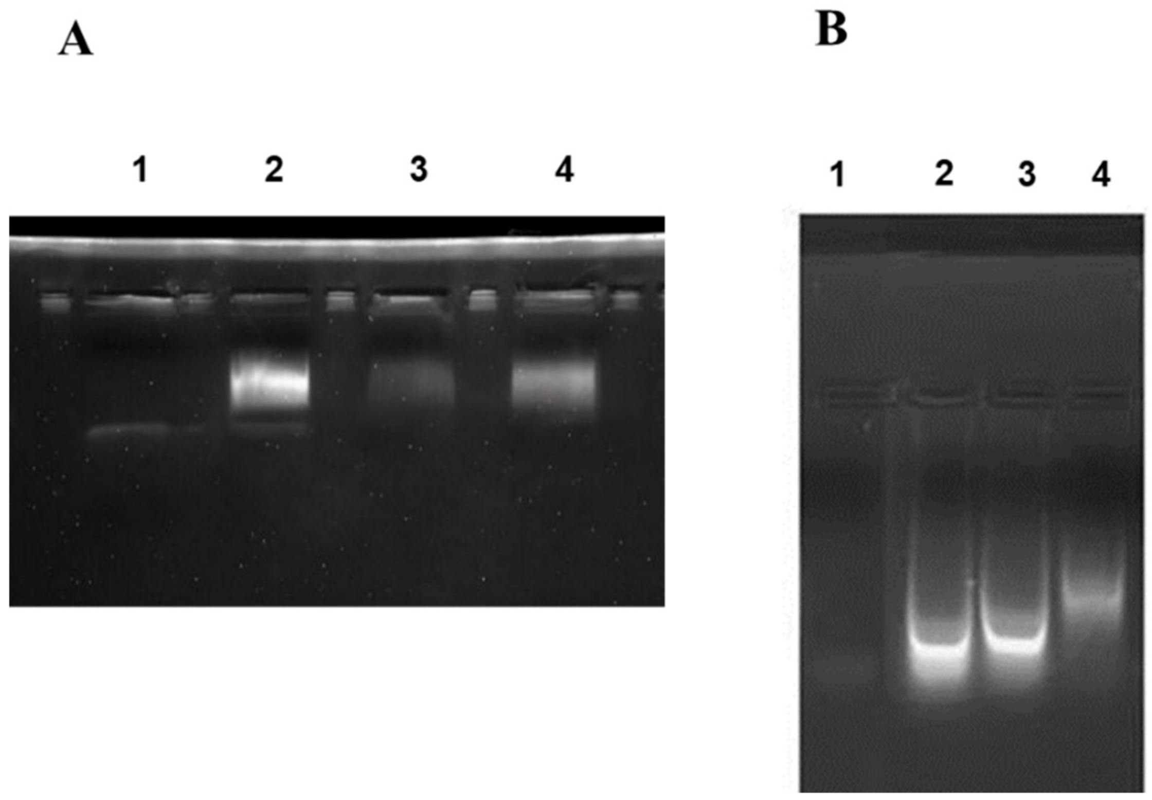
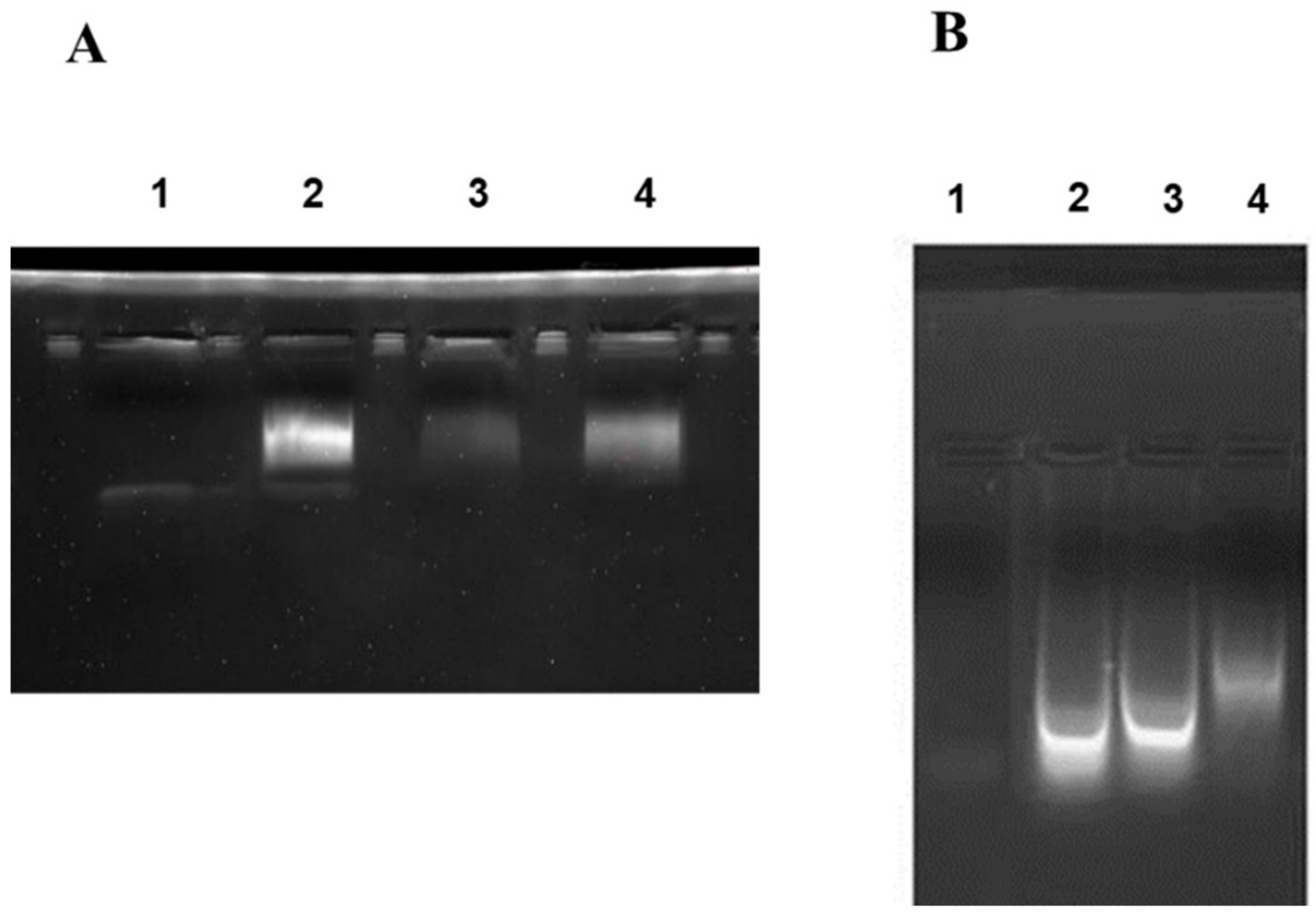
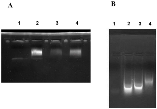
2.3. Ada-AlkA/Ogt Interaction
2.4. Expression, Purification and Structural Analyses of FadE8
3. Materials and Methods
3.1. Recombinant Production of FadE8, Ogt and Ada-AlkA Proteins
3.2. Protein-DNA Interaction
3.3. Isovaleryl-CoA Dehydrogenase Activity of FadE8
3.4. FadE8-Flavin Adenine Dinucleotide Molecular Docking Analysis
3.5. Isolation of Ogt Complexes in Mycobacterium smegmatis
3.6. Ada-AlkA and Ogt Molecular Docking Analysis
3.7. Validation of Ada-AlkA and Ogt Complex
4. Conclusions
Supplementary Materials
Author Contributions
Funding
Conflicts of Interest
Abbreviations
| O6-MeG | O6-methylguanine |
| N7-MeG | N7-methylguanine |
| N3-MeA | N3-methyladenine |
| N1-MeA | N1-methyladenine |
| N3-MeC | N3-methylcytosine |
| O4-MeT | O4-methyltimine |
| DCPIP | 2,6 dichlorophenolindophenol |
| MTB | Mycobacterium tuberculosis |
| GST | Glutathione S-transferase |
| GSH | Glutathione |
| EMSA | Electrophoretic mobility shift assay |
| CD | Circular dichroism |
| PDB | Protein Data Bank |
| FAD | Flavin adenine dinucleotide |
| PCR | Polymerase chain reaction |
| IPTG | Isopropyl-thio-β-D-galactoside |
| LC-MS/MS | Liquid chromatography/tandem mass spectrometry |
References
- Sturla, S.J. DNA adduct profiles: Chemical approaches to addressing the biological impact of DNA damage from small molecules. Curr. Opin. Chem. Biol. 2007, 11, 293–299. [Google Scholar] [CrossRef] [PubMed]
- Di Pasquale, P.; Caterino, M.; Di Somma, A.; Squillace, M.; Rossi, E.; Landini, P.; Iebba, V.; Schippa, S.; Papa, R.; Selan, L.; et al. E. coli to DNA-Methylating Agents Impairs Biofilm Formation and Invasion of Eukaryotic Cells via Down Regulation of the N-Acetylneuraminate Lyase NanA. Front. Microbiol. 2016, 7, 147. [Google Scholar] [CrossRef]
- Hu, C.W.; Chen, C.M.; Ho, H.H.; Chao, M.R. Simultaneous quantification of methylated purines in DNA by isotope dilution LC-MS/MS coupled with automated solid-phase extraction. Anal. Bioanal. Chem. 2012, 402, 1199–1208. [Google Scholar] [CrossRef] [PubMed]
- Drabløs, F.; Feyzi, E.; Aas, P.A.; Vaagbø, C.B.; Kavli, B.; Bratlie, M.S.; Pena-Diaz, J.; Otterlei, M.; Slupphaug, G.; Krokan, H.E. Alkylation damage in DNA and RNA-repair mechanisms and medical significance. DNA Rep. 2004, 3, 1389–1407. [Google Scholar] [CrossRef] [PubMed]
- Landini, P.; Volkert, M.R. Regulatory responses of the adaptive response to alkylation damage: A simple regulon with complex regulatory features. J. Bacteriol. 2000, 182, 6543–6549. [Google Scholar] [CrossRef]
- Rippa, V.; Amoresano, A.; Esposito, C.; Landini, P.; Volkert, M.; Duilio, A. Specific DNA binding and regulation of its own expression by the AidB protein in Escherichia coli. J. Bacteriol. 2010, 192, 6136–6142. [Google Scholar] [CrossRef][Green Version]
- Nieminuszczy, J.; Grzesiuk, E. Bacterial DNA repair genes and their eukaryotic homologues: 3. AlkB dioxygenase and Ada methyltransferase in the direct repair of alkylated DNA. Acta Biochim. Pol. 2007, 54, 459–468. [Google Scholar] [CrossRef]
- Sedgwick, B.; Lindahl, T. Recent progress on the Ada response for inducible repair of DNA alkylation damage. Oncogene 2002, 21, 8886–8894. [Google Scholar] [CrossRef]
- Mielecki, D.; Grzesiuk, E. Ada response-a strategy for repair of alkylated DNA in bacteria. FEMS Microbiol. 2014, 1, 1–11. [Google Scholar] [CrossRef]
- Delaney, J.C.; Essigmann, J.M. Mutagenesis, genotoxicity, and repair of 1-methyladenine, 3-alkylcytosines, 1-methylguanine, and 3-methylthymine in alkB Escherichia coli. Proc. Natl. Acad. Sci. USA 2004, 101, 14051–14056. [Google Scholar] [CrossRef]
- Rippa, V.; Duilio, A.; di Pasquale, P.; Amoresano, A.; Landini, P.; Volkert, M.R. Preferential DNA damage prevention by the E. coli AidB gene: A new mechanism for the protection of specific genes. DNA Repair 2011, 10, 934–941. [Google Scholar] [CrossRef] [PubMed]
- Hamill, M.J.; Jost, M.; Wong, C.; Bene, N.C.; Drennan, C.L.; Elliott, S.J. Electrochemical characterization of Escherichia coli adaptive response protein AidB. Int. J. Mol. Sci. 2012, 13, 16899–16915. [Google Scholar] [CrossRef]
- Yang, M.; Aamodt, R.M.; Dalhus, B.; Balasingham, S.; Helle, I.; Andersen, P.; Tønjum, T.; Alseth, I.; Rognes, T.; Bjørås, M. The ada operon of Mycobacterium tuberculosis encodes two DNA methyltransferases for inducible repair of DNA alkylation damage. DNA Repair 2011, 10, 595–602. [Google Scholar] [CrossRef]
- Singh, A. Guardians of the mycobacterial genome: A review on DNA repair systems in Mycobacterium tuberculosis. Microbiology 2017, 163, 1740–1758. [Google Scholar] [CrossRef]
- Miggiano, R.; Casazza, V.; Garavaglia, S.; Ciaramella, M.; Perugino, G.; Rizzi, M.; Rossia, F. Biochemical and Structural Studies of the Mycobacterium tuberculosis O6-Methylguanine Methyltransferase and Mutated Variants. J. Bacteriol. 2013, 195, 2728. [Google Scholar] [CrossRef] [PubMed]
- Mattossovich, R.; Merlo, R.; Miggiano, R.; Valenti, A.; Perugino, G. O6-alkylguanine-DNA Alkyltransferases in Microbes Living on the Edge: From Stability to Applicability. Review. Int. J. Mol. Sci. 2020, 21, 2878. [Google Scholar] [CrossRef] [PubMed]
- Bradford, M.M. A rapid and sensitive method for the quantitation of microgram quantities of protein utilizing the principle of protein-dye binding. Anal. Biochem. 1976, 72, 248. [Google Scholar] [CrossRef]
- Roy, A.; Kucukural, A.; Zhang, Y. I-TASSER: A unified platform for automated protein structure and function prediction. Nat. Protoc. 2010, 5, 725. [Google Scholar] [CrossRef]
- Yang, J.; Yan, R.; Roy, A.; Xu, D.; Poisson, J.; Zhang, Y. The I-TASSER Suite: Protein structure and function prediction. Nat. Methods 2015, 12, 7. [Google Scholar] [CrossRef]
- Yang, J.; Zhang, Y. I-TASSER server: New development for protein structure and function predictions. Nucleic Acids Res. 2015, 43, W174–W181. [Google Scholar] [CrossRef]
- Zhang, Y. I-TASSER server for protein 3D structure prediction. BMC Bioinform. 2008, 9, 40. [Google Scholar] [CrossRef]
- Jorgensen, W.L.; Tirado-Rives, J. Potential energy functions for atomic-level simulations of water and organic and biomolecular systems. Proc. Natl. Acad. Sci. USA 2005, 102, 6665–6670. [Google Scholar] [CrossRef] [PubMed]
- Dodda, L.S.; Vilseck, J.Z.; Tirado-Rives, J.; Jorgensen, W.L. 1.14* CM1A-LBCC: Localized bond-charge corrected CM1A charges for condensed-phase simulations. J. Phys. Chem. B 2017, 121, 3864–3870. [Google Scholar] [CrossRef] [PubMed]
- Dodda, L.S.; Cabeza de Vaca, I.; Tirado-Rives, J.; Jorgensen, W.L. LigParGen web server: An automatic OPLS-AA parameter generator for organic ligands. Nucleic Acids Res. 2017, 45, W331–W336. [Google Scholar] [CrossRef] [PubMed]
- Schneidman-Duhovny, D.; Inbar, Y.; Nussinov, R.; Wolfson, H.J. PatchDock and SymmDock: Servers for rigid and symmetric docking. Nucleic Acids Res. 2005, 33, W363–W367. [Google Scholar] [CrossRef] [PubMed]
- Mashiach, E.; Schneidman-Duhovny, D.; Andrusier, N.; Nussinov, R.; Wolfson, H.J. FireDock: A web server for fast interaction refinement in molecular docking. Nucleic Acids Res. 2008, 36, W229–W232. [Google Scholar] [CrossRef]
- Salentin, S.; Schreiber, S.; Haupt, V.J.; Adasme, M.F.; Schroeder, M. PLIP: Fully automated protein–ligand interaction profiler. Nucleic Acids Res. 2015, 43, W443–W447. [Google Scholar] [CrossRef]
- Kurkcuoglu, Z.; Koukos, P.I.; Citro, N.; Trellet, M.E.; Rodrigues, J.P.G.L.M.; Moreira, I.S.; Roel-Touris, J.; Melquiond, A.S.J.; Geng, C.; Schaarschmidt, J.; et al. Performance of HADDOCK and a simple contact-based protein–ligand binding affinity predictor in the D3R Grand Challenge 2. J. Comput. Aid. Mol. Des. 2018, 32, 175–185. [Google Scholar] [CrossRef]
- Pettersen, E.F.; Goddard, T.D.; Huang, C.C.; Couch, G.S.; Greenblatt, D.M.; Meng, E.C.; Ferrin, T.E. UCSF Chimera—A visualization system for exploratory research and analysis. J. Comput. Chem. 2004, 25, 1605–1612. [Google Scholar] [CrossRef]
- Waterhouse, A.; Bertoni, M.; Bienert, S.; Studer, G.; Tauriello, G.; Gumienny, R.; Heer, F.T.; de Beer, T.A.P.; Rempfer, C.; Bordoli, L.; et al. SWISS-MODEL: Homology modelling of protein structures and complexes. Nucleic Acids Res. 2018, 46, W296–W303. [Google Scholar] [CrossRef]
- Laskowski, R.A. PDBsum new things. Nucleic Acids Res. 2008, 37 (Suppl. 1), D355–D359. [Google Scholar] [CrossRef] [PubMed]
- De Beer, T.A.; Berka, K.; Thornton, J.M.; Laskowski, R.A. PDBsum additions. Nucleic Acids Res. 2013, 42, D292–D296. [Google Scholar] [CrossRef] [PubMed]
- Laskowski, R.A. PDBsum: Summaries and analyses of PDB structures. Nucleic Acids Res. 2001, 29, 221–222. [Google Scholar] [CrossRef]
- Vangone, A.; Bonvin, A.M. Contacts-based prediction of binding affinity in protein–protein complexes. Elife 2015, 4, e07454. [Google Scholar] [CrossRef] [PubMed]
- Xue, L.C.; Rodrigues, J.P.; Kastritis, P.L.; Bonvin, A.M.; Vangone, A. PRODIGY: A web server for predicting the binding affinity of protein–protein complexes. Bioinformatics 2016, 32, 3676–3678. [Google Scholar] [CrossRef]
- Caterino, M.; Corbo, C.; Imperlini, E.; Armiraglio, M.; Pavesi, E.; Aspesi, A.; Loreni, F.; Dianzani, I.; Ruoppolo, M. Differential proteomic analysis in human cells subjected to ribosomal stress. Proteomics 2013, 13, 1220–1227. [Google Scholar] [CrossRef]








| Protein | Isovaleryl-CoA Dehydrogenase Activity (μmol min−1/mg Protein) |
|---|---|
| AidB (E. coli) | 0.12 ± 0.01 |
| FadE8 (M. smegmatis) | 0.30 ± 0.01 |
| Human Acyl-CoA dehydrogenase | 8.2 to 11.7 |
© 2020 by the authors. Licensee MDPI, Basel, Switzerland. This article is an open access article distributed under the terms and conditions of the Creative Commons Attribution (CC BY) license (http://creativecommons.org/licenses/by/4.0/).
Share and Cite
Di Somma, A.; Canè, C.; Moretta, A.; Cirillo, A.; Cemič, F.; Duilio, A. Characterization of the Proteins Involved in the DNA Repair Mechanism in M. smegmatis. Int. J. Mol. Sci. 2020, 21, 5391. https://doi.org/10.3390/ijms21155391
Di Somma A, Canè C, Moretta A, Cirillo A, Cemič F, Duilio A. Characterization of the Proteins Involved in the DNA Repair Mechanism in M. smegmatis. International Journal of Molecular Sciences. 2020; 21(15):5391. https://doi.org/10.3390/ijms21155391
Chicago/Turabian StyleDi Somma, Angela, Carolina Canè, Antonio Moretta, Arianna Cirillo, Franz Cemič, and Angela Duilio. 2020. "Characterization of the Proteins Involved in the DNA Repair Mechanism in M. smegmatis" International Journal of Molecular Sciences 21, no. 15: 5391. https://doi.org/10.3390/ijms21155391
APA StyleDi Somma, A., Canè, C., Moretta, A., Cirillo, A., Cemič, F., & Duilio, A. (2020). Characterization of the Proteins Involved in the DNA Repair Mechanism in M. smegmatis. International Journal of Molecular Sciences, 21(15), 5391. https://doi.org/10.3390/ijms21155391

