Molecular Cytogenetic Identification of Wheat-Aegilops Biuncialis 5Mb Disomic Addition Line with Tenacious and Black Glumes
Abstract
1. Introduction
2. Results
2.1. Genomic In Situ Hybridization (GISH) Analysis
2.2. Non-Denaturing Fluorescence In Situ Hybridization (ND-FISH) Analysis
2.3. Multicolor GISH (mcGISH) Analysis
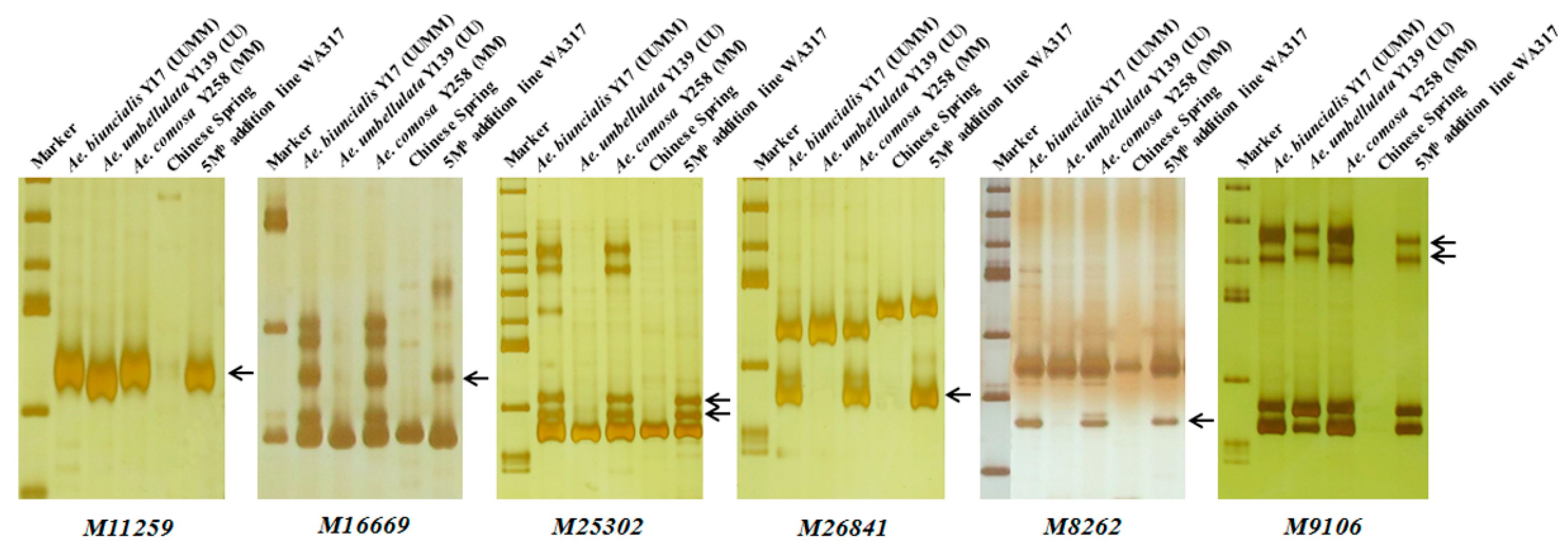
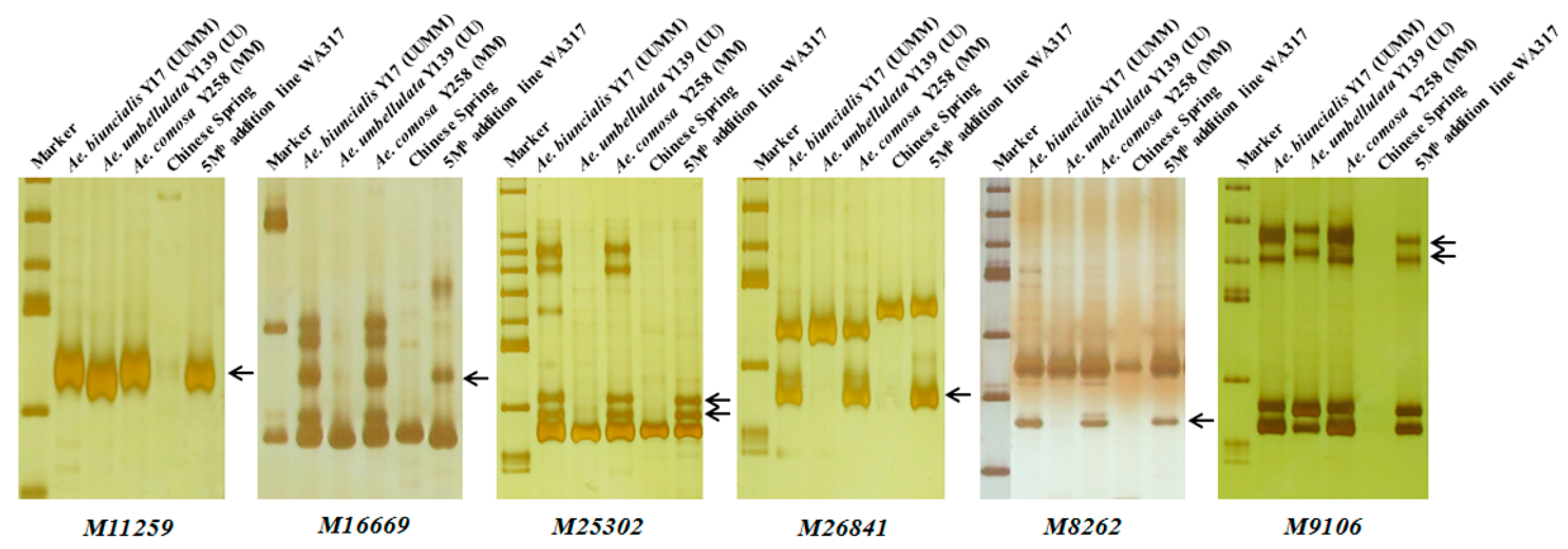
2.4. Development of Ae. Biuncialis Specific Markers and Molecular Detection of Line WA317
2.5. The Agronomic Traits of Line WA317
3. Discussion
4. Materials and Methods
4.1. Plant Materials
4.2. GISH Analysis
4.3. Non-Denaturing FISH Analysis
4.4. Multicolor GISH (mcGISH) Analysis
4.5. Development of Ae. Biuncialis Specific Markers and Identification of The Addition Line WA317
4.6. Agronomic Trait Determination of WA317
Supplementary Materials
Author Contributions
Funding
Acknowledgments
Conflicts of Interest
Abbreviations
| CS | Chinese Spring |
| DAPI | 4,6-Diamidino-2-phenylindole |
| GISH | Genomic in situ hybridization |
| ISH | in situ hybridization |
| ND-FISH | Non-denaturing fluorescence in situ hybridization |
| SLAF | Specific-locus amplified fragment sequencing |
| PCR | Polymerase chain reaction |
References
- Doležel, J.; Kubaláková, M.; Bartoš, J.; Macas, J. Flow cytogenetics and plant genome mapping. Chromosome Res. 2004, 12, 77–91. [Google Scholar] [CrossRef]
- Han, H.M.; Bai, L.; Su, J.J.; Zhang, J.P.; Song, L.Q.; Gao, A.N.; Yang, X.M.; Li, X.Q.; Liu, W.H.; Li, L.H. Genetic rearrangements of six wheat-Agropyron cristatum 6P addition lines revealed by molecular markers. PLoS ONE 2014, 9, e91066. [Google Scholar] [CrossRef] [PubMed]
- Triebe, B.; Mukai, Y.; Dhaliwal, H.S.; Martin, T.J.; Gill, B.S. Identification of alien chromatin specifying resistance to wheat streak mosaic and greenbug in wheat germ plasm by C-banding and in situ hybridization. Theor. Appl. Genet. 1991, 81, 381–389. [Google Scholar] [CrossRef] [PubMed]
- Jauhar, P.P.; Peterson, T.S.; Xu, S.S. Cytogenetic and molecular characterization of a durum alien disomic addition line with enhanced tolerance to Fusarium head blight. Genome 2009, 52, 467–483. [Google Scholar] [CrossRef] [PubMed]
- Chapman, V.; Riley, R. Disomic addition of rye chromosome II to wheat. Nature 1955, 175, 1091–1092. [Google Scholar] [CrossRef]
- Ying, J.; Chen, P.C. Studies of development of disomic addition lines of Triticum aestivum-Haynaldia villosa via AABBDDDD octaploid. Yi Chuan Xue Bao 2000, 27, 506–510. [Google Scholar] [PubMed]
- Zheng, Q.; Lv, Z.L.; Niu, Z.X.; Li, B.; Li, H.W.; Xu, S.S.; Han, F.P.; Li, Z.S. Molecular cytogenetic characterization and stem rust resistance of five wheat-Thinopyrum ponticum partial amphiploids. J. Genet. Genom. 2014, 41, 591–599. [Google Scholar] [CrossRef]
- Friebe, B.; Qi, L.L.; Nasuda, S.; Zhang, P.; Tuleen, N.A.; Gill, B.S. Development of a complete set of Triticum aestivum-Aegilops speltoides chromosome addition lines. Theor. Appl. Genet. 2000, 101, 51–58. [Google Scholar] [CrossRef]
- Wu, J.; Yang, X.M.; Wang, H.; Li, H.J.; Li, L.H.; Li, X.Q.; Liu, W.H. The introgression of chromosome 6P specifying for increased numbers of florets and kernels from Agropyron cristatum into wheat. Theor. Appl. Genet. 2006, 114, 13–20. [Google Scholar] [CrossRef]
- Gill, B.S.; Friebe, B.; Endo, T.R. Standard karyotype and nomenclature system for description of chromosome bands and structural aberrations in wheat (Triticum aestivum). Genome 1991, 34, 830–839. [Google Scholar] [CrossRef]
- Cuadrado, A.; Vitellozzi, F.; Jouve, N.; Ceoloni, C. Fluorescence in situ hybridization with multiple repeated DNA probes applied to the analysis of wheat-rye chromosome pairing. Theor. Appl. Genet. 1997, 94, 347–355. [Google Scholar] [CrossRef]
- Han, F.; Lamb, J.C.; Birchler, J.A. High frequency of centromere inactivation resulting in stable dicentric chromosomes of maize. Proc. Natl. Acad. Sci. USA 2006, 103, 3238–3243. [Google Scholar] [CrossRef] [PubMed]
- Tang, Z.; Yang, Z.; Fu, S. Oligonucleotides replacing the roles of repetitive sequences pAs1, pSc119.2, pTa-535, pTa71, CCS1, and pAWRC.1 for FISH analysis. J. Appl. Genet. 2014, 55, 313–318. [Google Scholar] [CrossRef] [PubMed]
- Adonina, I.G.; Salina, E.A.; Efremova, T.T.; Pshenichnikova, T.A. The study of introgressive lines of Triticum aestivum × Aegilops speltoides by in situ and SSR analyses. Plant Breed 2004, 123, 220–224. [Google Scholar] [CrossRef]
- Wang, R.R.C.; Larson, S.R.; Jensen, K.B. Analyses of Thinopyrum bessarabicum, T. elongatum, and T. junceum chromosomes using EST-SSR markers. Genome 2010, 53, 1083–1089. [Google Scholar] [CrossRef]
- Hagras, A.A.-A.; Kishii, M.; Sato, K.; Tanaka, H.; Tsujimoto, H. Extended application of barley EST markers for the analysis of alien chromosomes added to wheat genetic background. Breed. Sci. 2005, 55, 335–341. [Google Scholar] [CrossRef]
- Zhang, J.P.; Liu, W.H.; Lu, Y.Q.; Liu, Q.X.; Yang, X.M.; Li, X.Q.; Li, L.H. A resource of large-scale molecular markers for monitoring Agropyron cristatum chromatin introgression in wheat background based on transcriptome sequences. Sci. Rep. 2017, 7, 11942. [Google Scholar] [CrossRef]
- Shen, X.; Kong, L.; Ohm, H. Fusarium head blight resistance in hexaploid wheat (Triticum aestivum)-Lophopyrum genetic lines and tagging of the alien chromatin by PCR markers. Theor. Appl. Genet. 2003, 108, 808–813. [Google Scholar] [CrossRef]
- Grewal, S.; Hubbart-Edwards, S.; Yang, C.Y.; Devi, U.; Baker, L.; Heath, J.; Ashling, S.; Scholefield, D.; Howells, C.; Yarde, J.; et al. Rapid identification of homozygosity and site of wild relative introgressions in wheat through chromosome-specific KASP genotyping assays. Plant Biotechnol. J. 2020, 18, 743–755. [Google Scholar] [CrossRef]
- Chen, S.; Huang, Z.; Dai, Y.; Qin, S.; Gao, Y.; Zhang, L.; Gao, Y.; Chen, J. The development of 7E chromosome-specific molecular markers for Thinopyrum elongatum based on SLAF-seq technology. PLoS ONE 2013, 8, e65122. [Google Scholar] [CrossRef]
- Zhang, Y.; Zhang, J.P.; Huang, L.; Gao, A.N.; Zhang, J.; Yang, X.M.; Liu, W.H.; Li, X.Q.; Li, L.H. A high-density genetic map for P genome of Agropyron Gaertn. based on specific-locus amplified fragment sequencing (SLAF-seq). Planta 2015, 242, 1335–1347. [Google Scholar] [CrossRef] [PubMed]
- Liu, L.; Luo, Q.; Teng, W.; Li, B.; Li, H.; Li, Y.; Li, Z.; Zheng, Q. Development of Thinopyrum ponticum-specific molecular markers and FISH probes based on SLAF-seq technology. Planta 2018, 247, 1099–1108. [Google Scholar] [CrossRef] [PubMed]
- Duan, Q.; Wang, Y.Y.; Qiu, L.; Ren, T.H.; Li, Z.; Fu, S.L.; Tang, Z.X. Physical location of new PCR-based Markers and powdery mildew resistance gene(s) on rye (Secale cereale L.) chromosome 4 using 4R dissection lines. Front. Plant Sci. 2017, 8, 1716. [Google Scholar] [CrossRef] [PubMed]
- Du, H.; Tang, Z.; Duan, Q.; Tang, S.; Fu, S. Using the 6RL(Ku) minichromosome of rye (Secale cereale L.) to create wheat-rye 6D/6RL(Ku) small segment translocation lines with powdery mildew resistance. Int. J. Mol. Sci. 2018, 19, 3933. [Google Scholar] [CrossRef] [PubMed]
- Doebley, J.F.; Gaut, B.S.; Smith, B.D. The molecular genetics of crop domestication. Cell 2006, 127, 1309–1321. [Google Scholar] [CrossRef] [PubMed]
- Simons, K.J.; Fellers, J.P.; Trick, H.N.; Zhang, Z.; Tai, Y.S.; Gill, B.S.; Faris, J.D. Molecular characterization of the major wheat domestication gene Q. Genetics 2006, 172, 547–555. [Google Scholar] [CrossRef]
- Sharma, J.S.; Running, K.L.D.; Xu, S.S.; Zhang, Q.; Peters Haugrud, A.R.; Sharma, S.; McClean, P.E.; Faris, J.D. Genetic analysis of threshability and other spike traits in the evolution of cultivated emmer to fully domesticated durum wheat. Mol. Genet. Genom. 2019, 294, 757–771. [Google Scholar] [CrossRef]
- Dvorak, J.; Deal, K.R.; Luo, M.C.; You, F.M.; von Borstel, K.; Dehghani, H. The origin of spelt and free-threshing hexaploid wheat. J. Hered. 2012, 103, 426–441. [Google Scholar] [CrossRef]
- Faris, J.D.; Zhang, Z.; Chao, S. Map-based analysis of the tenacious glume gene Tg-B1 of wild emmer and its role in wheat domestication. Gene 2014, 542, 198–208. [Google Scholar] [CrossRef]
- Kerber, E.R.; Rowland, G.G. Origin of the free threshing character in hexaploid wheat. Can. J. Genet. Cytol. 1974, 16, 145–154. [Google Scholar] [CrossRef]
- Nalam, V.J.; Vales, M.I.; Watson, C.J.W.; Kianian, S.F.; Riera-Lizarazu, O. Map-based analysis of genes affecting the brittle rachis character in tetraploid wheat (Triticum turgidum L.). Theor. Appl. Genet. 2005, 112, 373–381. [Google Scholar] [CrossRef] [PubMed]
- Sood, S.; Kuraparthy, V.; Bai, G.; Gill, B.S. The major threshability genes soft glume (sog) and tenacious glume (Tg), of diploid and polyploid wheat, trace their origin to independent mutations at non-orthologous loci. Theor. Appl. Genet. 2009, 119, 341–351. [Google Scholar] [CrossRef]
- Dvořák, J.; Chen, K.C. Phylogenetic relationships between chromosomes of wheat and chromosome 2E of Elytrigia elongata. Can. J. Genet. Cytol. 1984, 26, 128–132. [Google Scholar] [CrossRef]
- Zhang, Z.; Li, A.; Song, G.; Geng, S.; Gill, B.S.; Faris, J.D.; Mao, L. Comprehensive analysis of Q gene near isogenic lines reveals key molecular pathways for wheat domestication and improvement. Plant J. 2020, 102, 299–310. [Google Scholar] [CrossRef] [PubMed]
- Mansfeld, R. Das morphologische System des Saatweizens, Triticum aestivum L.s.l. Der Züchter 1951, 21, 41–60. [Google Scholar] [CrossRef]
- Dorofeev, V.F.; Filatenko, A.A.; Migushova, E.F.; Udachin, R.A.; Jacubziner, M.M. Flora of Cultivated Plants; Dorofeev, V.F., Korovina, O.N., Eds.; Pshenitsa (Wheat), Leningrad: Kolos, Russia, 1979. [Google Scholar]
- Börner, A.; Schäfer, M.; Schmidt, A.; Grau, M.; Vorwald, J. Associations between geographical origin and morphological characters in bread wheat. Plant Genet. Resour. 2005, 3, 360–372. [Google Scholar] [CrossRef]
- Khlestkina, E.K.; Pshenichnikova, T.A.; Röder, M.S.; Salina, E.A.; Arbuzova, V.S.; Börner, A. Comparative mapping of genes for glume colouration and pubescence in hexaploid wheat (Triticum aestivum L.). Theor. Appl. Genet. 2006, 113, 801–807. [Google Scholar] [CrossRef]
- Kozub, N.A.; Sozinov, I.A.; Niniyeva, A.K.; Tverdokhleb, Y.V.; Blume, Y.B.; Boguslavskii, R.L. Genetic marking of glume color in Triticum spelta L. var. caeruleum using gliadins. Cytol Genet Cytol. Genet. 2016, 50, 168–172. [Google Scholar] [CrossRef]
- Sobko, T.A.; Sozinov, A.A. Mapping of loci that control morphological spike traits and reserve grain proteins in 1A chromosome of winter common wheat. Tsitol. Genet. 1997, 31, 18–26. [Google Scholar]
- Pshenichnikova, T.A.; Bokarev, I.E.; Shchukina, L.V. Hybrid and monosomic analyses of smoky coloration of the ear in common wheat. Russ. J. Genet. 2005, 41, 1147–1149. [Google Scholar] [CrossRef]
- Khlestkina, E.K.; Röder, M.S.; Börner, A. Mapping genes controlling anthocyanin pigmentation on the glume and pericarp in tetraploid wheat (Triticum durum L.). Euphytica 2010, 171, 65–69. [Google Scholar] [CrossRef]
- Van Slageren, M.W. A Monograph of Aegilops L. and Amblyopyrum (Jaub and Spach) Eig (Poaceae). In Wageningen Agricultural University Papers 94-7; Wageningen Agricultural University: Wageningen, The Netherlands, 1994; p. 514. [Google Scholar]
- Mirzaghaderi, G.; Mason, A.S. Broadening the bread wheat D genome. Theor. Appl. Genet. 2019, 132, 1295–1307. [Google Scholar] [CrossRef] [PubMed]
- Molnár, I.; Gáspár, L.; Sárvári, É.; Dulai, S.; Hoffmann, B.; Molnár-láng, M.; Galiba, G. Physiological and morphological responses to water stress in Aegilops biuncialis and Triticum aestivum genotypes with differing tolerance to drought. Funct. Plant Boil. 2004, 31, 1149–1159. [Google Scholar] [CrossRef]
- Colmer, T.D.; Flowers, T.J.; Munns, R. Use of wild relatives to improve salt tolerance in wheat. J. Exp. Bot. 2006, 57, 1059–1078. [Google Scholar] [CrossRef]
- Zhou, J.P.; Yao, C.H.; Yang, E.N.; Yin, M.Q.; Liu, C.; Ren, Z.L. Characterization of a new wheat Aegilops biuncialis addition line conferring quality-associated HMW glutenin subunits. Genet. Mol. Res. 2014, 13, 660–669. [Google Scholar] [CrossRef]
- Schneider, A.; Linc, G.; Molnár, I.; Molnár-Láng, M. Molecular cytogenetic characterization of Aegilops biuncialis and its use for the identification of 5 derived wheat-Aegilops biuncialis disomic addition lines. Genome 2005, 48, 1070–1082. [Google Scholar] [CrossRef]
- Schneider, A.; Molnár-láng, M. Detection of various U and M chromosomesin wheat-Aegilops biuncialis hybrids and derivatives using fluorescence in situ hybridisation and molecular markers. Czech J. Genet. Plant Breed. 2012, 48, 169–177. [Google Scholar] [CrossRef]
- Schneider, A.; Molnár, I.; Molnár-Láng, M. Selection of U and M genome-specific wheat SSR markers using wheat-Aegilops biuncialis and wheat-Ae. geniculata addition lines. Euphytica 2010, 175, 357–364. [Google Scholar] [CrossRef]
- Molnár, I.; Šimková, H.; Leverington-Waite, M.; Goram, R.; Cseh, A.; Vrána, J.; Farkas, A.; Doležel, J.; Molnár-Láng, M.; Griffiths, S. Syntenic relationships between the U and M genomes of Aegilops, wheat and the model species Brachypodium and rice as revealed by COS markers. PLoS ONE 2013, 8, e70844. [Google Scholar] [CrossRef]
- Wang, J.; Zhang, W.; Zhao, H.; Li, F.R.; Wang, Z.G.; Ji, J.; Zhang, X.Q.; Wang, D.W.; Li, J.M. Molecular cytogenetic characterization of the Aegilops biuncialis karyotype. Genet. Mol. Res. 2013, 12, 683–692. [Google Scholar] [CrossRef] [PubMed]
- Zhao, H.; Zhang, W.; Wang, J.Y.; Li, F.R.; Cui, F.; Ji, J.; Wang, D.W.; Li, J.M. Comparative study on drought tolerance of wheat and wheat-Aegilops biuncialis 6Ub addition lines. J. Food Agric. Environ. 2013, 11, 1046–1052. [Google Scholar]
- Li, H.; Dong, Z.; Ma, C.; Tian, X.; Xiang, Z.; Xia, Q.; Ma, P.; Liu, W. Discovery of powdery mildew resistance gene candidates from Aegilops biuncialis chromosome 2Mb based on transcriptome sequencing. PLoS ONE 2019, 14, e0220089. [Google Scholar] [CrossRef] [PubMed]
- Mukai, Y.; Nakahara, Y.; Yamamoto, M. Simultaneous discrimination of the 3 genomes in hexaploid wheat by multicolour fluorescence in situ hybridization using total genomic and highly repeated DNA probes. Genome 1993, 36, 489–494. [Google Scholar] [CrossRef] [PubMed]
- Molnár, I.; Molnár-láng, M. Visualization of U and M genome chromosomes by multicolour genomic in situ hybridization in Aegilops biuncialis and Triticum aestivum-Ae. biumcialis amphiploids. Acta Agron. Hung. 2010, 58, 195–202. [Google Scholar] [CrossRef]
- Garg, M.; Tsujimoto, H.; Gupta, R.K.; Kumar, A.; Kaur, N.; Kumar, R.; Chunduri, V.; Sharma, N.K.; Chawla, M.; Sharma, S.; et al. Chromosome specific substitution lines of Aegilops geniculata alter parameters of bread making quality of wheat. PLoS ONE 2016, 11, e0162350. [Google Scholar] [CrossRef] [PubMed]
- Molnár, I.; Vrána, J.; Burešová, V.; Cápal, P.; Farkas, A.; Darkó, É.; Cseh, A.; Kubaláková, M.; Molnár-Láng, M.; Doležel, J. Dissecting the U, M, S and C genomes of wild relatives of bread wheat (Aegilops spp.) into chromosomes and exploring their synteny with wheat. Plant J. 2016, 88, 452–467. [Google Scholar] [CrossRef]
- Zhou, S.H.; Zhang, J.P.; Che, Y.H.; Liu, W.H.; Lu, Y.Q.; Yang, X.M.; Li, X.Q.; Jia, J.Z.; Liu, X.; Li, L.H. Construction of Agropyron Gaertn. genetic linkage maps using a wheat 660K SNP array reveals a homoeologous relationship with the wheat genome. Plant Biotechnol. J. 2017, 16, 818–827. [Google Scholar] [CrossRef]
- Gaál, E.; Valárik, M.; Molnár, I.; Farkas, A.; Linc, G. Identification of COS markers specific for Thinopyrum elongatum chromosomes preliminary revealed high level of macrosyntenic relationship between the wheat and Th. elongatum genomes. PLoS ONE 2018, 13, e0208840. [Google Scholar] [CrossRef]
- Liu, W.H.; Luan, Y.; Wang, J.C.; Wang, X.G.; Su, J.J.; Zhang, J.P.; Yang, X.M.; Gao, A.N.; Li, L.H. Production and identification of wheat-Agropyron cristatum (1·4P) alien translocation lines. Genome 2010, 53, 472–481. [Google Scholar] [CrossRef]
- Fu, S.L.; Chen, L.; Wang, Y.Y.; Li, M.; Yang, Z.J.; Qiu, L.; Yan, B.J.; Ren, Z.L.; Tang, Z.X. Oligonucleotide probes for ND-FISH analysis to identify rye and wheat chromosomes. Sci. Rep. 2015, 5, 10552. [Google Scholar] [CrossRef]
- Han, F.P.; Gao, Z.; Birchler, J.A. Centromere inactivation and reactivation reveals both epigenetic and genetic components for centromere specification. Plant Cell 2009, 21, 1929–1939. [Google Scholar] [CrossRef] [PubMed]
- Sun, X.W.; Liu, D.Y.; Zhang, X.F.; Li, W.B.; Liu, H.; Hong, W.G.; Jiang, C.B.; Guan, N.; Ma, C.X.; Zeng, H.P.; et al. SLAF-seq: An efficient method of large-scale de novo SNP discovery and genotyping using high-throughput sequencing. PLoS ONE 2013, 8, e58700. [Google Scholar] [CrossRef] [PubMed]
- Luan, Y.; Wang, X.G.; Liu, W.H.; Li, C.Y.; Zhang, J.P.; Gao, A.N.; Wang, Y.D.; Yang, X.M.; Li, L.H. Production and identification of wheat-Agropyron cristatum 6P translocation lines. Planta 2010, 232, 501–510. [Google Scholar] [CrossRef] [PubMed]





| Type | Ae. Biuncialis Y17 (UUMM) | Ae. Umbellulata Y139 (UU) | Ae. Comosa Y258 (MM) | No. of Specific Markers | No. of WA317 Specific Markers |
|---|---|---|---|---|---|
| Type 1: U and M shared | + | + | + | 172 | 37 |
| Type 2: U-specific | + | + | - | 6 | 0 |
| Type 3: M-specific | + | - | + | 102 | 6 |
| Type 4: Y17-specific | + | - | - | 18 | 2 |
| Trait | 2017–2018 Season | 2018–2019 Season | ||
|---|---|---|---|---|
| CS | WA317 | CS | WA317 | |
| Plant height (cm) | 114.60 ± 2.30 | 81.00 ± 3.35 ** | 120.25 ± 4.02 | 82.90 ± 5.02 ** |
| Valid spikes per plant | 11.83 ± 0.98 | 10.80 ± 0.84 | 12.16 ± 0.98 | 10.50 ± 1.22 |
| Spike length | 7.80 ± 0.34 | 7.50 ± 0.72 | 8.23 ± 0.65 | 8.00 ± 0.19 |
| Spikelet number per spike | 21.43 ± 1.51 | 19.20 ± 1.09 | 22.67 ± 1.37 | 20.80 ± 0.75 |
| Grain number per spike | 63.00 ± 4.64 | 42.60 ± 5.94 ** | 63.33 ± 4.63 | 44.00 ± 3.69 ** |
| Thousand grain weight (g) | 36.81 ± 1.56 | 30.77 ± 2.81 ** | 34.56 ± 0.42 | 26.05 ± 1.01 ** |
© 2020 by the authors. Licensee MDPI, Basel, Switzerland. This article is an open access article distributed under the terms and conditions of the Creative Commons Attribution (CC BY) license (http://creativecommons.org/licenses/by/4.0/).
Share and Cite
Song, L.; Zhao, H.; Zhang, Z.; Zhang, S.; Liu, J.; Zhang, W.; Zhang, N.; Ji, J.; Li, L.; Li, J. Molecular Cytogenetic Identification of Wheat-Aegilops Biuncialis 5Mb Disomic Addition Line with Tenacious and Black Glumes. Int. J. Mol. Sci. 2020, 21, 4053. https://doi.org/10.3390/ijms21114053
Song L, Zhao H, Zhang Z, Zhang S, Liu J, Zhang W, Zhang N, Ji J, Li L, Li J. Molecular Cytogenetic Identification of Wheat-Aegilops Biuncialis 5Mb Disomic Addition Line with Tenacious and Black Glumes. International Journal of Molecular Sciences. 2020; 21(11):4053. https://doi.org/10.3390/ijms21114053
Chicago/Turabian StyleSong, Liqiang, Hui Zhao, Zhi Zhang, Shuai Zhang, Jiajia Liu, Wei Zhang, Na Zhang, Jun Ji, Lihui Li, and Junming Li. 2020. "Molecular Cytogenetic Identification of Wheat-Aegilops Biuncialis 5Mb Disomic Addition Line with Tenacious and Black Glumes" International Journal of Molecular Sciences 21, no. 11: 4053. https://doi.org/10.3390/ijms21114053
APA StyleSong, L., Zhao, H., Zhang, Z., Zhang, S., Liu, J., Zhang, W., Zhang, N., Ji, J., Li, L., & Li, J. (2020). Molecular Cytogenetic Identification of Wheat-Aegilops Biuncialis 5Mb Disomic Addition Line with Tenacious and Black Glumes. International Journal of Molecular Sciences, 21(11), 4053. https://doi.org/10.3390/ijms21114053

