Keratin Biomembranes as a Model for Studying Onychomycosis
Abstract
1. Introduction
2. Results and Discussion
2.1. Protein Extraction from Human Hair
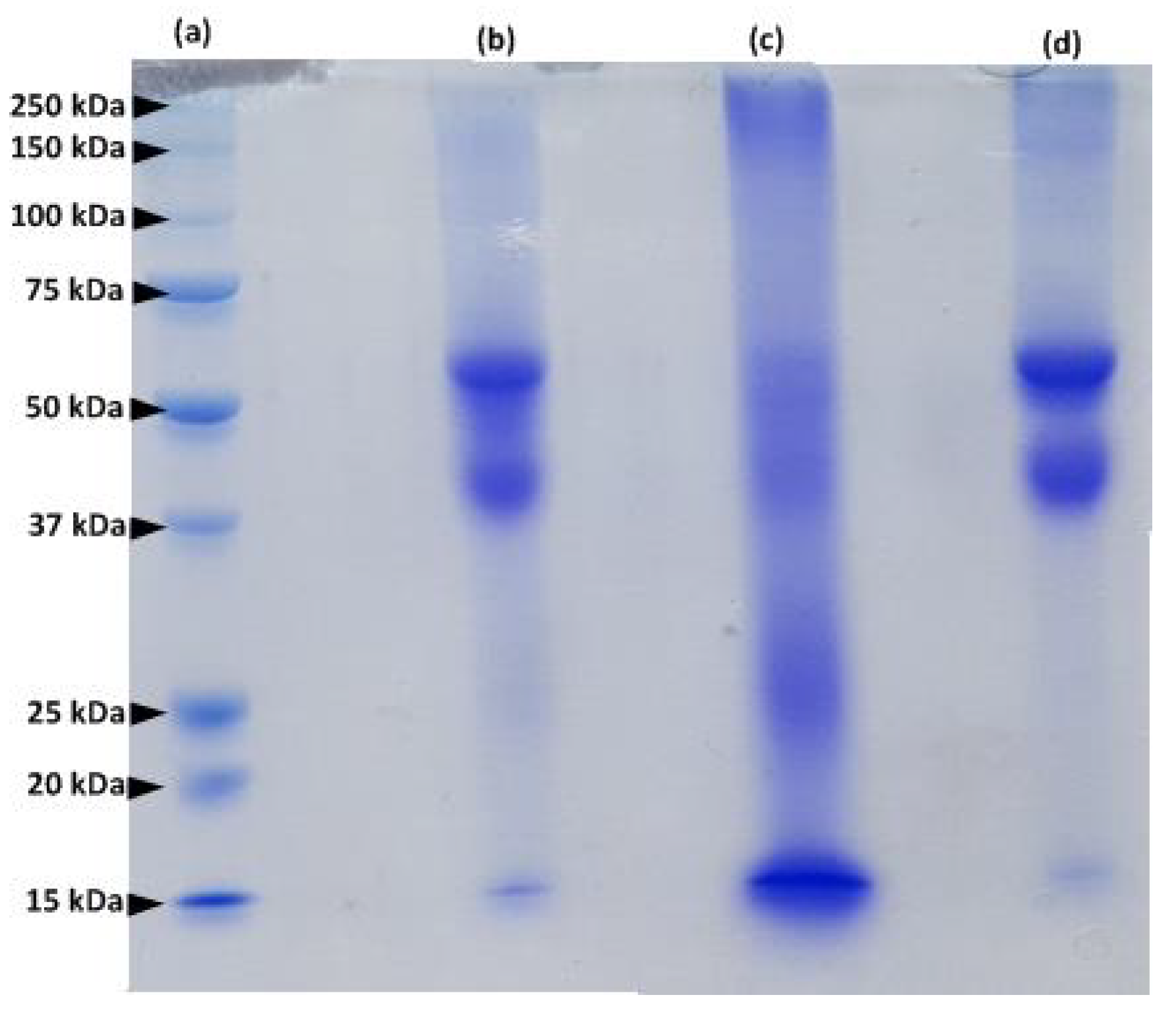
2.2. SDS–PAGE Analysis of Keratin Extracts
2.3. Preparation of Keratin Films
2.4. X-ray Diffraction Analysis (XRD) of Keratin Films
2.5. Fourier Transform Infrared Spectroscopy (FTIR) Analysis of Keratin Films
2.6. Thermogravimetric Analysis (TGA) of Keratin Films Done
2.7. Scanning Electron Microscopy (SEM) of Keratin Films
2.8. Infection of Keratin Films by Trichophyton Rubrum
3. Materials and Methods
3.1. Extraction of Protein from Human Hair
3.2. Keratin Film Preparation
3.3. SDS–PAGE Analysis
3.4. XRD Analysis
3.5. FTIR Analysis
3.6. TGA Analysis
3.7. SEM Analysis
3.8. Infection of Keratin Films
3.9. Statistical Methods
4. Conclusions
Author Contributions
Funding
Acknowledgments
Conflicts of Interest
Abbreviations
| KF | Keratin film |
| DTT | 1,4-Dithiothreitol |
| ME | β-Mercaptoethanol |
| FTIR | Fourier transform infrared spectroscopy |
| SDS–PAGE | Sodium dodecyl sulfate polyacrylamide gel electrophoresis |
| XRD | X-ray diffraction analysis |
| TGA | Thermogravimetric analysis |
| DTG | Derivative thermogravimetry |
| SEM | Scanning electron microscopy |
References
- Gupta, A.K.; Simpson, F.C. New therapeutic options for onychomycosis. Expert Opin. Pharmacother. 2012, 13, 1131–1142. [Google Scholar] [CrossRef]
- Kaur, I.P.; Kakkar, N. Topical delivery of antifungal agents. Expert Opin. Drug Deliv. 2010, 7, 1303–1327. [Google Scholar] [CrossRef]
- Ghannoum, M.; Isham, N.; Herbert, J.; Henry, W.; Yurdakul, S. Activity of TDT 067 (terbinafine in transfersome) against agents of onychomycosis, as determined by minimum inhibitory and fungicidal concentrations. J. Clin. Microbiol. 2011, 49, 1716–1720. [Google Scholar] [CrossRef] [PubMed]
- Tanabe, T.; Okitsu, N.; Tachibana, A.; Yamauchi, K. Preparation and characterization of keratin – chitosan composite film. Biomaterials 2002, 23, 817–825. [Google Scholar] [CrossRef]
- Osborne, C.S.; Leitner, I.; Favre, B.; Ryder, N.S. Antifungal drug response in an in vitro model of dermatophyte nail infection. Med. Mycol. 2004, 42, 159–163. [Google Scholar] [CrossRef] [PubMed][Green Version]
- Schaller, M.; Borelli, C.; Berger, U.; Walker, B.; Schmidt, S.; Weindl, G.; Jäckel, A. Susceptibility testing of amorolfine, bifonazole and ciclopiroxolamine against Trichophyton rubrum in an in vitro model of dermatophyte nail infection. Med. Mycol. 2009, 47, 753–758. [Google Scholar] [CrossRef]
- Baeza, L.C.; Bailao, A.M.; Borges, C.L.; Pereira, M.; Soares, C.M.; Giannini, M.J.S.M. cDNA representational difference analysis used in the identification of genes expressed by Trichophyton rubrum during contact with keratin. Microbes Infect. 2007, 9, 1415–1421. [Google Scholar] [CrossRef]
- Traynor, M.J.; Turner, R.B.; Evans, C.R.G.; Khengar, R.H.; Jones, S.A.; Brown, M.B. Effect of a novel penetration enhancer on the ungual permeation of two antifungal agents. J. Pharm. Pharmacol. 2010, 62, 730–737. [Google Scholar] [CrossRef]
- Mertin, D.; Lippold, B.C. In-vitro permeability of the human nail and of a keratin membrane from bovine hooves: Prediction of the penetration rate of antimycotics through the nail plate and their efficacy. J. Pharm. Pharmacol. 1997, 49, 866–872. [Google Scholar] [CrossRef]
- Mertin, D.; Lippold, B.C. In-vitro Permeability of the Human Nail and of a Keratin Membrane from Bovine Hooves: Influence of the Partition Coefficient Octanol/Water and the Water Solubility of Drugs on their Permeability and Maximum Flux. J. Pharm. Pharmacol. 1997, 49, 30–34. [Google Scholar] [CrossRef]
- Baden, H.P.; Goldsmith, L.A.; Fleming, B. A comparative study of the physicochemical properties of human keratinized tissues. Biochim. Biophys. Acta Protein Struct. 1973, 322, 269–278. [Google Scholar] [CrossRef]
- Marshall, R.C.; Gillespie, J.M. The keratin proteins of wool, horn and hoof from sheep. Aust. J. Biol. Sci. 1977, 30, 389–400. [Google Scholar] [CrossRef]
- Lusiana Reichl, S.; Müller-Goymann, C.C. Keratin film made of human hair as a nail plate model for studying drug permeation. Eur. J. Pharm. Biopharm. 2011, 78, 432–440. [Google Scholar] [CrossRef] [PubMed]
- Nakamura, A.; Arimoto, M.; Takeuchi, K.; Fujii, T. A Rapid Extraction Procedure of Human Hair Proteins and Identification of Phosphorylated Species. Biol. Pharm. Bull. 2002, 25, 569–572. [Google Scholar] [CrossRef] [PubMed]
- Lin, Y.; Huang, K.; Chen, S.; Cheng, N.; Yu, J. Keratin/chitosan UV-crosslinked composites promote the osteogenic differentiation of human adipose derived stem cells. J. Mater. Chem. B 2017, 5, 4614–4622. [Google Scholar] [CrossRef] [PubMed]
- Cooper, D.; Sun, T.T. Monoclonal Antibody Analysis of Bovine Epithelial Keratins. J. Biol. Chem. 1986, 261, 4646–4654. [Google Scholar] [PubMed]
- Arai, K.; Negishi, M. Grafting on Wool. I. Electron Microscopic Studies on the Location of Grafted Polymer in Wool Structure. J. Polym. Sci. 1971, 9, 1865–1877. [Google Scholar] [CrossRef]
- Xie, H.; Li, S.; Zhang, S. Ionic liquids as novel solvents for the dissolution and blending of wool keratin fibers. Green Chem. 2005, 7, 606–608. [Google Scholar] [CrossRef]
- Wang, B.; Yang, W.; McKittrick, J.; Meyers, M.A. Keratin: Structure, mechanical properties, occurrence in biological organisms, and efforts at bioinspiration. Prog. Mater. Sci. 2016, 76, 229–318. [Google Scholar] [CrossRef]
- Liu, X.; Nie, Y.; Meng, X.; Zhang, Z.; Zhang, X.; Zhang, S. DBN-based ionic liquids with high capability for the dissolution of wool keratin. RSC Adv. 2017, 7, 1981–1988. [Google Scholar] [CrossRef]
- Krimm, B.S.; Bandekart, J. Vibrational Spectroscopy and Conformation of Peptides, Polypeptides and Proteins. Adv. Protein Chem. 1986, 38, 181–364. [Google Scholar] [PubMed]
- Wang, J.; Hao, S.; Luo, T.; Cheng, Z.; Li, W.; Gao, F.; Guo, T.; Gong, Y.; Wang, B. Feather keratin hydrogel for wound repair: Preparation, healing effect and biocompatibility evaluation. Colloids Surf. B Biointerfaces 2017, 149, 341–350. [Google Scholar] [CrossRef] [PubMed]
- Vasconcelos, A.; Freddi, G.; Cavaco-paulo, A. Biodegradable Materials Based on Silk Fibroin and Keratin. Biomacromolecules 2008, 9, 1299–1305. [Google Scholar] [CrossRef] [PubMed]
- Milczarek, P.; Zielinski, M.; Garcia, M.L. The mechanism and stability of thermal transitions in hair keratin. Colloid Polym. Sci. 1992, 270, 1106–1115. [Google Scholar] [CrossRef]
- Dankers, L.M. Physical Analysis of Human Hair. Master’s Thesis, Missouri University of Science and Technology, Rolla, MO, USA, 2007. Available online: http://scholarsmine.mst.edu/masters_theses/6772 (accessed on 20 April 2020).
- Popescu, C.; Augustin, P. Effect of Chlorination Treatment on the Thermogravimetric Behaviour of Wool Fibres. Therm. Anal. Calorim. 1999, 57, 509–515. [Google Scholar] [CrossRef]
- Monteiro, V.F.; Maciel, A.P.; Longo, E. Thermal Analysis of Caucasian Human Hair. J. Therm. Anal. Calorim. 2005, 79, 289–293. [Google Scholar] [CrossRef]
- Ingham, P.E. The Pyrolysis of Wool and the Action of Flame Retardants. J. Appl. Polym. Sci. 1971, 15, 3025–3041. [Google Scholar] [CrossRef]
- Block, R.J.; Bolling, D.; Brand, F.C.; Schein, A. The Composition of Keratins: The Amino Acid Composition of Hair, Wool, Horn and Other Eukeratins. J. Biol. Chem. 1939, 128, 181–186. [Google Scholar]
- Walters, K.A.; Flynn, G.L. Permeability characteristics of the human nail plate. Int. J. Cosmet. Sci. 1983, 5, 231–246. [Google Scholar] [CrossRef]
- Zoccola, M.; Aluigi, A.; Tonin, C. Characterisation of keratin biomass from butchery and wool industry wastes. J. Mol. Struct. 2009, 938, 35–40. [Google Scholar] [CrossRef]
- Bradford, M.M. A rapid and sensitive method for the quantitation of microgram quantities of protein utilizing the principle of protein-dye binding. Anal. Biochem. 1976, 72, 248–254. [Google Scholar] [CrossRef]
- Bio-Rad Protein Assay. 1993. Available online: http://www.bio-rad.com/webroot/web/pdf/lsr/literature/LIT33.pdf (accessed on 26 April 2020).








© 2020 by the authors. Licensee MDPI, Basel, Switzerland. This article is an open access article distributed under the terms and conditions of the Creative Commons Attribution (CC BY) license (http://creativecommons.org/licenses/by/4.0/).
Share and Cite
Valkov, A.; Zinigrad, M.; Sobolev, A.; Nisnevitch, M. Keratin Biomembranes as a Model for Studying Onychomycosis. Int. J. Mol. Sci. 2020, 21, 3512. https://doi.org/10.3390/ijms21103512
Valkov A, Zinigrad M, Sobolev A, Nisnevitch M. Keratin Biomembranes as a Model for Studying Onychomycosis. International Journal of Molecular Sciences. 2020; 21(10):3512. https://doi.org/10.3390/ijms21103512
Chicago/Turabian StyleValkov, Anton, Michael Zinigrad, Alexander Sobolev, and Marina Nisnevitch. 2020. "Keratin Biomembranes as a Model for Studying Onychomycosis" International Journal of Molecular Sciences 21, no. 10: 3512. https://doi.org/10.3390/ijms21103512
APA StyleValkov, A., Zinigrad, M., Sobolev, A., & Nisnevitch, M. (2020). Keratin Biomembranes as a Model for Studying Onychomycosis. International Journal of Molecular Sciences, 21(10), 3512. https://doi.org/10.3390/ijms21103512

