Proteomic Investigation of S-Nitrosylated Proteins During NO-Induced Adventitious Rooting of Cucumber
Abstract
1. Introduction
2. Results
2.1. Effect of Exogenous S-Nitrosoglutathione (GSNO) on Adventitious Rooting in Cucumber
2.2. Effect of Nitric Oxide (NO) Scavenger on Adventitious Rooting in Cucumber
2.3. Effect of GSNO on the Levels of Total S-Nitrosothiol (SNO), and S-Nitrosoglutathione Reductase (GSNOR) Activity and Endogenous NO Level During the Development of Adventitious Roots in Cucumber
2.4. Identification of S-Nitrosylated Proteins During NO-Induced Adventitious Rooting in Cucumber
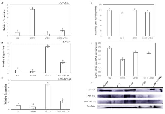
2.5. Effect of GSNO on the Activities and S-Nitrosylation Level of Tubulin Alpha Chain (TUA), Glutathione Reductase (GR), and Glyceraldehyde-3-Phosphate Dehydrogenase (GAPDH) During Adventitious Rooting
3. Discussion
4. Materials and Methods
4.1. Plant Materials
4.2. Treatments of Explants
4.3. Determination of Endogenous SNO Content, NO Production, and GSNOR Activity
4.4. Biotin-Switch Assay and Identification of Biotinylated Proteins
4.5. Western Blotting
4.6. GR, GAPDH Activity
4.7. Gene Expression Analyses by RT-qPCR
4.8. Statistical Analysis
5. Conclusion
Author Contributions
Funding
Conflicts of Interest
References
- Skiba, U.; Smith, K. Nitrification and denitrification as sources of nitric oxide and nitrous oxide in a sandy loam soil. Soil Biol. Biochem. 1993, 25, 1527–1536. [Google Scholar] [CrossRef]
- Rockel, P.; Strube, F.; Rockel, A.; Wildt, J.; Kaiser, W.M. Regulation of nitric oxide (NO) production by plant nitrate reductase in vivo and in vitro. J. Exp. Bot. 2002, 53, 103–110. [Google Scholar] [CrossRef] [PubMed]
- Corpas, F.; Barroso, J. Nitric oxide synthase-like activity in higher plants. Nitric Oxide-Biol. Chem. 2017, 68, 5–6. [Google Scholar] [CrossRef] [PubMed]
- Niu, L.; Liao, W. Hydrogen Peroxide Signaling in Plant Development and Abiotic Responses: Crosstalk with Nitric Oxide and Calcium. Front. Plant Sci. 2016, 7. [Google Scholar] [CrossRef]
- He, H.; Huang, W.; Oo, T.L.; Gu, M.; He, L.-F. Nitric oxide inhibits aluminum-induced programmed cell death in peanut (Arachis hypoganea L.) root tips. J. Hazard. Mater. 2017, 333, 285–292. [Google Scholar] [CrossRef]
- Akram, N.A.; Iqbal, M.; Muhammad, A.; Ashraf, M.; Al-Qurainy, F.; Shafiq, S. Aminolevulinic acid and nitric oxide regulate oxidative defense and secondary metabolisms in canola (Brassica napus L.) under drought stress. Protoplasma 2018, 255, 163–174. [Google Scholar] [CrossRef]
- Alamri, S.A.; Siddiqui, M.H.; Al-Khaishany, M.Y.; Khan, M.N.; Ali, H.M.; Alakeel, K.A. Nitric oxide-mediated cross-talk of proline and heat shock proteins induce thermotolerance in Vicia faba L. Environ. Exp. Bot. 2019, 161, 290–302. [Google Scholar] [CrossRef]
- Neill, S.J.; Desikan, R.; Hancock, J.T. Nitric oxide signalling in plants. New Phytol. 2003, 159, 11–35. [Google Scholar] [CrossRef]
- Pagnussat, G.C.; Lanteri, M.L.; Lamattina, L. Nitric oxide and cyclic GMP are messengers in the indole acetic acid-induced adventitious rooting process. Plant. Physiol. 2003, 132, 1241–1248. [Google Scholar] [CrossRef]
- Liao, W.; Xiao, H.; Zhang, M. Role and relationship of nitric oxide and hydrogen peroxide in adventitious root development of marigold. Acta Physiol. Plant. 2009, 31, 1279. [Google Scholar] [CrossRef]
- Astier, J.; Rasul, S.; Koen, E.; Manzoor, H.; Besson-Bard, A.; Lamotte, O.; Jeandroz, S.; Durner, J.; Lindermayr, C.; Wendehenne, D. S-nitrosylation: An emerging post-translational protein modification in plants. Plant Sci. 2011, 181, 527–533. [Google Scholar] [CrossRef] [PubMed]
- Gaston, B.M.; Carver, J.; Doctor, A.; Palmer, L.A. S-nitrosylation signaling in cell biology. Mol. Interv. 2003, 3, 253–263. [Google Scholar] [CrossRef] [PubMed]
- Hess, D.T.; Stamler, J.S. Regulation by S-nitrosylation of protein post-translational modification. J. Biol. Chem. 2012, 287, 4411–4418. [Google Scholar] [CrossRef]
- Astier, J.; Kulik, A.; Koen, E.; Besson-Bard, A.; Bourque, S.; Jeandroz, S.; Lamotte, O.; Wendehenne, D. Protein S-nitrosylation: what’s going on in plants? Free Radic. Biol. Med. 2012, 53, 1101–1110. [Google Scholar] [CrossRef] [PubMed]
- Lamotte, O.; Bertoldo, J.B.; Besson-Bard, A.; Rosnoblet, C.; Aimé, S.; Hichami, S.; Terenzi, H.; Wendehenne, D. Protein S-nitrosylation: Specificity and identification strategies in plants. Front. Chem. 2015, 2, 114. [Google Scholar] [CrossRef]
- Feng, J.; Chen, L.; Zuo, J. Protein S-nitrosylation in plants: Current progresses and challenges. J. Integr. Plant Biol. 2019. [Google Scholar] [CrossRef]
- Aebersold, R.; Mann, M. Mass spectrometry-based proteomics. Nature 2003, 422, 198. [Google Scholar] [CrossRef]
- Hu, J.; Huang, X.; Chen, L.; Sun, X.; Lu, C.; Zhang, L.; Wang, Y.; Zuo, J. Site-specific nitrosoproteomic identification of endogenously S-nitrosylated proteins in Arabidopsis. Plant Physiol. 2015, 167, 1731–1746. [Google Scholar] [CrossRef]
- Lindermayr, C.; Saalbach, G.; Durner, J. Proteomic identification of S-nitrosylated proteins in Arabidopsis. Plant Physiol. 2005, 137, 921–930. [Google Scholar] [CrossRef]
- Morisse, S.; Zaffagnini, M.; Gao, X.-H.; Lemaire, S.D.; Marchand, C.H. Insight into protein S-nitrosylation in Chlamydomonas reinhardtii. Redox Signal. 2014, 21, 1271–1284. [Google Scholar] [CrossRef]
- de Pinto, M.C.; Locato, V.; Sgobba, A.; del Carmen Romero-Puertas, M.; Gadaleta, C.; Delledonne, M.; De Gara, L. S-nitrosylation of ascorbate peroxidase is part of programmed cell death signaling in tobacco Bright Yellow-2 cells. Plant Physiol. 2013, 163, 1766–1775. [Google Scholar] [CrossRef] [PubMed]
- Correa-Aragunde, N.; Foresi, N.; Lamattina, L. Nitric oxide is a ubiquitous signal for maintaining redox balance in plant cells: Regulation of ascorbate peroxidase as a case study. J. Exp. Bot. 2015, 66, 2913–2921. [Google Scholar] [CrossRef] [PubMed]
- Yun, B.-W.; Feechan, A.; Yin, M.; Saidi, N.B.; Le Bihan, T.; Yu, M.; Moore, J.W.; Kang, J.-G.; Kwon, E.; Spoel, S.H. S-nitrosylation of NADPH oxidase regulates cell death in plant immunity. Nature 2011, 478, 264. [Google Scholar] [CrossRef] [PubMed]
- Lombardo, M.C.; Lamattina, L. Abscisic acid and nitric oxide modulate cytoskeleton organization, root hair growth and ectopic hair formation in Arabidopsis. Nitric Oxide 2018, 80, 89–97. [Google Scholar] [CrossRef] [PubMed]
- Yu, Q.-X.; Ahammed, G.J.; Zhou, Y.-H.; Shi, K.; Zhou, J.; Yu, Y.; Yu, J.-Q.; Xia, X.-J. Nitric oxide is involved in the oxytetracycline-induced suppression of root growth through inhibiting hydrogen peroxide accumulation in the root meristem. Sci. Rep. 2017, 7, 43096. [Google Scholar] [CrossRef] [PubMed]
- Liu, M.; Liu, X.X.; He, X.L.; Liu, L.J.; Wu, H.; Tang, C.X.; Zhang, Y.S.; Jin, C.W. Ethylene and nitric oxide interact to regulate the magnesium deficiency-induced root hair development in Arabidopsis. New Phytol. 2017, 213, 1242–1256. [Google Scholar] [CrossRef]
- Yuan, H.M.; Huang, X. Inhibition of root meristem growth by cadmium involves nitric oxide-mediated repression of auxin accumulation and signalling in Arabidopsis. Plant Cell Environ. 2016, 39, 120–135. [Google Scholar] [CrossRef]
- Lanteri, M.L.; Laxalt, A.M.; Lamattina, L. Nitric oxide triggers phosphatidic acid accumulation via phospholipase D during auxin-induced adventitious root formation in cucumber. Plant Physiol. 2008, 147, 188–198. [Google Scholar] [CrossRef]
- Jin, X.; Liao, W.B.; Yu, J.H.; Ren, P.J.; Dawuda, M.; Wang, M.; Niu, L.J.; Li, X.P.; Xu, X.T. Nitric oxide is involved in ethylene-induced adventitious rooting in marigold (Tagetes erecta L.). Sci. Hortic. 2017, 97, 620–631. [Google Scholar] [CrossRef]
- Niu, L.; Yu, J.; Liao, W.; Yu, J.; Zhang, M.; Dawuda, M.M. Calcium and calmodulin are involved in Nitric Oxide-induced adventitious rooting of cucumber under simulated osmotic stress. Front. Plant Sci. 2017, 8, 1684. [Google Scholar] [CrossRef]
- Feng, J.; Wang, C.; Chen, Q.; Chen, H.; Ren, B.; Li, X.; Zuo, J. S-nitrosylation of phosphotransfer proteins represses cytokinin signaling. Nat. Commun. 2013, 4, 1529. [Google Scholar] [CrossRef] [PubMed]
- Wang, J.; Wang, Y.; Lv, Q.; Wang, L.; Du, J.; Bao, F.; He, Y.-K. Nitric oxide modifies root growth by S-nitrosylation of plastidial glyceraldehyde-3-phosphate dehydrogenase. Biochem. Biophys. Res. Commun. 2017, 488, 88–94. [Google Scholar] [CrossRef] [PubMed]
- Terrile, M.C.; París, R.; Calderón-Villalobos, L.I.; Iglesias, M.J.; Lamattina, L.; Estelle, M.; Casalongué, C.A. Nitric oxide influences auxin signaling through S-nitrosylation of the Arabidopsis TRANSPORT INHIBITOR RESPONSE 1 auxin receptor. Plant J. 2012, 70, 492–500. [Google Scholar] [CrossRef] [PubMed]
- Feechan, A.; Kwon, E.; Yun, B.-W.; Wang, Y.; Pallas, J.A.; Loake, G.J. A central role for S-nitrosothiols in plant disease resistance. Proc. Natl. Acad. Sci. USA 2005, 102, 8054–8059. [Google Scholar] [CrossRef]
- Frungillo, L.; Skelly, M.J.; Loake, G.J.; Spoel, S.H.; Salgado, I. S-nitrosothiols regulate nitric oxide production and storage in plants through the nitrogen assimilation pathway. Nat. Commun. 2014, 5, 5401. [Google Scholar] [CrossRef]
- Lin, A.; Wang, Y.; Tang, J.; Xue, P.; Li, C.; Liu, L.; Hu, B.; Yang, F.; Loake, G.J.; Chu, C. Nitric oxide and protein S-nitrosylation are integral to hydrogen peroxide-induced leaf cell death in rice. Plant Physiol. 2012, 158, 451–464. [Google Scholar] [CrossRef]
- Rapaka, V.K.; Bessler, B.; Schreiner, M.; Druege, U. Interplay between initial carbohydrate availability, current photosynthesis, and adventitious root formation in Pelargonium cuttings. Plant Sci. 2005, 168, 1547–1560. [Google Scholar] [CrossRef]
- Akram, M. Citric acid cycle and role of its intermediates in metabolism. Cell Biochem. Biophys. 2014, 68, 475–478. [Google Scholar] [CrossRef]
- Nick, P. Signals, motors, morphogenesis-the cytoskeleton in plant development. Plant Biol. 1999, 1, 169–179. [Google Scholar] [CrossRef]
- Jaffrey, S.R.; Erdjument-Bromage, H.; Ferris, C.D.; Tempst, P.; Snyder, S.H. Protein S-nitrosylation: A physiological signal for neuronal nitric oxide. Nat. Cell Biol. 2001, 3, 193. [Google Scholar] [CrossRef]
- Yemets, A.I.; Krasylenko, Y.A.; Lytvyn, D.I.; Sheremet, Y.A.; Blume, Y.B. Nitric oxide signalling via cytoskeleton in plants. Plant Sci. 2011, 181, 545–554. [Google Scholar] [CrossRef] [PubMed]
- Shenton, D.; Grant, C.M. Protein S-thiolation targets glycolysis and protein synthesis in response to oxidative stress in the yeast Saccharomyces cerevisiae. Biochem. J. 2003, 374, 513–519. [Google Scholar] [CrossRef] [PubMed]
- Sen, N.; Hara, M.R.; Kornberg, M.D.; Cascio, M.B.; Bae, B.-I.; Shahani, N.; Thomas, B.; Dawson, T.M.; Dawson, V.L.; Snyder, S.H. Nitric oxide-induced nuclear GAPDH activates p300/CBP and mediates apoptosis. Nat. Cell Biol. 2008, 10, 866. [Google Scholar] [CrossRef] [PubMed]
- Kornberg, M.D.; Sen, N.; Hara, M.R.; Juluri, K.R.; Nguyen, J.V.K.; Snowman, A.M.; Law, L.; Hester, L.D.; Snyder, S.H. GAPDH mediates nitrosylation of nuclear proteins. Nat. Cell Biol. 2010, 12, 1094. [Google Scholar] [CrossRef]
- Meyer, A.J. The integration of glutathione homeostasis and redox signaling. J. Plant Physiol. 2008, 165, 1390–1403. [Google Scholar] [CrossRef]
- Bao, Y.; Kost, B.; Chua, N.H. Reduced expression of α-tubulin genes in Arabidopsis thaliana specifically affects root growth and morphology, root hair development and root gravitropism. Plant J. 2001, 28, 145–157. [Google Scholar] [CrossRef]
- Zhu, Y.; Liao, W.; Niu, L.; Wang, M.; Ma, Z. Nitric oxide is involved in hydrogen gas-induced cell cycle activation during adventitious root formation in cucumber. BMC Plant Biol. 2016, 16, 146. [Google Scholar] [CrossRef]
- Begara-Morales, J.C.; Sánchez-Calvo, B.; Chaki, M.; Mata-Pérez, C.; Valderrama, R.; Padilla, M.N.; López-Jaramillo, J.; Luque, F.; Francisco, J.C.; Barroso, J.B. Differential molecular response of monodehydroascorbate reductase and glutathione reductase by nitration and S-nitrosylation. J. Exp. Bot. 2015, 66, 5983–5996. [Google Scholar] [CrossRef]
- Lorbiecke, R.; Sauter, M. Adventitious root growth and cell-cycle induction in deepwater rice. Plant Physiol. 1999, 119, 21–30. [Google Scholar] [CrossRef]
- Beltrán, B.; Orsi, A.; Clementi, E.; Moncada, S. Oxidative stress and S-nitrosylation of proteins in cells. Br. J. Pharmacol. 2000, 129, 953–960. [Google Scholar] [CrossRef]
- Graziano, M.; Lamattina, L. Nitric oxide accumulation is required for molecular and physiological responses to iron deficiency in tomato roots. Plant J. 2007, 52, 949–960. [Google Scholar] [CrossRef]
- Xuan, W.; Xu, S.; Li, M.; Han, B.; Zhang, B.; Zhang, J.; Lin, Y.; Huang, J.; Shen, W.; Cui, J. Nitric oxide is involved in hemin-induced cucumber adventitious rooting process. J. Plant Physiol. 2012, 169, 1032–1039. [Google Scholar] [CrossRef]
- Durner, J.; Wendehenne, D.; Klessig, D.F. Defense gene induction in tobacco by nitric oxide, cyclic GMP, and cyclic ADP-ribose. Proc. Natl. Acad. Sci. USA 1998, 95, 10328–10333. [Google Scholar] [CrossRef]
- Jaffrey, S.R.; Snyder, S.H. The biotin switch method for the detection of S-nitrosylated proteins. Sci. STKE 2001, 86, pl1. [Google Scholar] [CrossRef]
- Foyer, C.H.; Halliwell, B. The presence of glutathione and glutathione reductase in chloroplasts: A proposed role in ascorbic acid metabolism. Planta 1976, 133, 21–25. [Google Scholar] [CrossRef]
- Piattoni, C.; Guerrero, S.; Iglesias, A. A differential redox regulation of the pathways metabolizing glyceraldehyde-3-phosphate tunes the production of reducing power in the cytosol of plant cells. Int. J. Mol. Sci. 2013, 14, 8073–8092. [Google Scholar] [CrossRef]
- Zhao, Y.; Liu, W.; Xu, Y.-P.; Cao, J.-Y.; Braam, J.; Cai, X.-Z. Genome-wide identification and functional analyses of calmodulin genes in Solanaceous species. BMC Plant Biol. 2013, 13, 70. [Google Scholar] [CrossRef]






| Accession Number | Protein Name | Mol Mass | Peptide Sequence |
|---|---|---|---|
| A0A0A0K9P5 | 11S globulin subunit beta-like | 54 kDa | SSLLAFLC11LAVFING NGFEETVC299TLRLKHN |
| A0A0A0K674 | 26S protease regulatory subunit 7 | 47 kDa | AKKVNDLC56GIKESDT QPLQVARC91TKIINPN MARSKKAC263IVFFDEV |
| A0A0A0K3C4 | 26S proteasome non-ATPase regulatory subunit 2 homolog | 98 kDa | GLIYLGSC539NEEVAQA |
| A0A0A0LQ32 | 4-alpha-glucanotransferase | 64 kDa | YSGQDANC140GNTLLIS |
| A0A0A0KAJ9 | 60S ribosomal protein L3 | 44 kDa | KDDATKPC41RLTAFLG |
| A0A0A0KXM8 | 6-phosphogluconate dehydrogenase, decarboxylating | 53 kDa | AYLEKGDC103IIDGGNE |
| Q08375 | Acetyl-CoA acyltransferase (3-ketoacyl-coa thiolase) | 48 kDa | SIENAQNC191LLPMGVT FASQFVYC370RNKLGLD LGATGARC401VATLLHE AVFERGDC440VDELCNA |
| A0A0A0LFR2 | Acetyltransferase component of pyruvate dehydrogenase complex | 58 kDa | NRSQFLQC75QRGVSMM YYLTVDTC341VDKLMDL FMSVTLSC509DHRVIDG |
| A0A0A0KHD6 | Aconitate hydratase | 95 kDa | PAVVDLAC103MRDAMNR ALVAKKAC442ELGLEVK |
| A0A0A0KJ21 | Actin | 41 kDa | EDIQPLVC12DNGTGMV TYNSIMKC287DVDIRKD |
| A0A0A0KRC5 | Acyl-coenzyme A oxidase | 73 kDa | QHLMESTC457KVQKAED SARMSVEC486AKRLSQF KDQLQKLC544SIYALFT |
| A0A0A0LNE3 | Adenosylhomocysteinase | 53 kDa | EMPGLMAC42RTEFGPS |
| A0A0A0KSC6 | Adenylosuccinate lyase | 60 kDa | MEIGANC7RVLDQPR LEFFHFSC186TSEDINN |
| A0A0A0K9F9 | Aldehyde dehydrogenase family 7 member B4 | 54 kDa | QYMRRSTC490TINYGNE |
| H6WX41 | Alkaline alpha galactosidase 3 | 86 kDa | HHTDAVYC441AKQTAVV SSAKPRQC744IVDSSVV |
| A0A0A0KMH9 | Alpha-mannosidase | 114 kDa | MEKQANSC8LPFSFLV NNSIQGAC76VQNVLDS QPKILSQC470PLLNISF |
| A0A0A0L5C9 | Aminopeptidase | 99 kDa | QPSSIQAC82EVSQILV AFALSMAC587QQSVTSL |
| A0A0A0KF04 | Aminotransferase 2 | 44 kDa | DHTIKAVC142IVHNETA |
| A0A0A0LEK8 | Aspartate aminotransferase | 50 kDa | NRVTTVQC163LSGTGSL |
| G3EIZ8 | ATP synthase subunit alpha | 54 kDa | AESETLYC202VYVAIGQ |
| A0A2D0UXD2 | Betaine aldehyde dehydrogenase | 54 kDa | AKLEAIDC100GKPLEEA |
| A0A0A0K2H5 | Beta-xylosidase/alpha-L-arabinofuranosidase 2-like | 84 kDa | LAGLDLDC344GDFLGKH PGCANVAC485TSAQLDE |
| A0A0A0KYI1 | Biotin carboxylase | 58 kDa | MDAAMPLC8KSARAPS KLADESVC117IGEAPSS SAAVSRGC142TMLHPGY |
| A0A0A0LD02 | Carbonic anhydrase | 35 kDa | STASINTC9LFSLNKS ACSDSRVC167PSHVLDF |
| G8EX76 | Chloroplast transketolase | 80 kDa | EGIANEAC246SLAGHWG |
| A0A0A0LCU8 | Coatomer subunit beta | 106 kDa | MEKSC5TLLVHFD STAVIYEC262AGTLVSL RAAANTYC284QLLLSQS MKSTNMKC879LTPISAL |
| A0A0A0LBW6 | D-3-phosphoglycerate dehydrogenase | 63 kDa | AAATEHGC144LVVNAPT |
| A0A0A0KG56 | Dihydrolipoyl dehydrogenase 2, chloroplastic-like | 59 kDa | KLVPHVYC393IGDANGK |
| A0A0A0LTJ3 | Elongation factor Ts, mitochondrial | 121 kDa | TGAGMMDC693KKALAES TGAGMMDC936KKALSET |
| A0A0A0K581 | Eukaryotic translation initiation factor 3 subunit B | 60 kDa | TTKTLGYC112FIEYGTP |
| A0A0A0LC36 | Eukaryotic translation initiation factor 3 subunit C | 106 kDa | TKARAMLC519DIYHHAL SWDQPSGC785IIFHDVT |
| A0A0A0L3P3 | Ferredoxin--NADP reductase, chloroplastic | 46 kDa | DSKTVSLC213VKRLVYT |
| A0A0A0K8H3 | Fructose-1,6-bisphosphatase, cytosolic | 36 kDa | LVSSGRTC95ILVSEED |
| A0A0A0KKE4 | Fructose-bisphosphate aldolase | 38 kDa | MSC3YRGKYAD |
| A0A0A0KEY8 | Glucose-1-phosphate adenylyltransferase | 57 kDa | PNLKRKLC58ISSLIAD |
| A0A0A0LRW2 | Glucose-6-phosphate isomerase | 67 kDa | MASISGIC8SSSPSLK AVLNEASC559KEPVEPL |
| A0A0A0KPY1 | Glutamate decarboxylase | 56 kDa | MVDENTIC205VAAILGS KKKTNGVC499 |
| A0A0A0K488 | Glutamate-1-semialdehyde 2,1-aminomutase 2, chloroplastic-like | 54 kDa | SVGIGLPC47STKLSHT |
| A0A0A0K8Q7 | Glutathione reductase | 59 kDa | AGGVGGTC122VIRGCVP |
| A0A0A0K8C1 | Glyceraldehyde-3-phosphate dehydrogenase | 36 kDa | NIVSNASC154TTNCLAP NASCTTNC158LAPLAKV |
| A0A0A0LN17 | Glycine cleavage system P protein | 113 kDa | TFVISNNC252HPQTIDI NPASAAMC688GMKIVSV |
| A0A0A0LAN5 | Glycosyltransferase | 55 kDa | QLTPRPNC123IISDMCI |
| A0A0A0KHX5 | Glyoxysomal fatty acid beta-oxidation multifunctional protein MFP-a | 79 kDa | MC2HALLVTI NLKHTIAC303IDAVETG |
| A0A0A0LNA7 | Guanosine nucleotide diphosphate dissociation inhibitor | 49 kDa | SEGETAKC278KKVVCDP |
| A0A0A0K921 | Heat shock 70 kDaa protein 15-like | 92 kDa | VIDQLVYC704INSYREA |
| A0A0A0KXG3 | Heat shock protein 70 | 70 kDa | NMDLFRKC319MEPVEKC CMEPVEKC326LRDAKMD MKELESIC609NPIIAKM |
| A0A0A0K5T7 | Ketol-acid reductoisomerase | 63 kDa | NISVIAVC242PKGMGPS CMDILYEC394YEDVASG |
| A0A0A0LXB9 | L-ascorbate oxidase | 65 kDa | YMFWSPDC54VENIVMG GTASISQC116AINPGET ELSGKEKC236APFILHV IPPKALAC574GSTALVK |
| A0A0A0L5B9 | Lon protease homolog 2, peroxisomal | 98 kDa | DLKLASAC757ESNLLEG |
| A0A0A0LR30 | Lsocitrate lyase | 64 kDa | QLKTFSEC320VTDAIMN |
| A0A0A0L0E4 | Malate dehydrogenase | 36 kDa | CTAIAKYC142PNALVNM |
| A0A0A0LUC5 | Malate synthase | 65 kDa | KGMYKEAC533KMFTRQC |
| A0A0A0L5H2 | Methionine S-methyltransferase | 120 kDa | VDSFLALC15QQSGDAA QLERIVGC210IPQILNP HALSVYSC364QLLQPNQ HLPAQREC664DKSASSR CGWDVIEC997HAGVSVV ADFKRIAC1082SS |
| A0A0A0LEZ3 | Methionine synthase | 84 kDa | IPSNTFSC64YDQVLDT HLVVSTSC328SLLHTAV |
| A0A0A0LIC6 | Methylenetetrahydrofolate reductase | 72 kDa | ETMMHLTC128TNMPVEK YEKFMKYC446LGKLRSS |
| A0A0A0KI79 | Mg-protoporphyrin IX chelatase | 45 kDa | KGRPQVQC60NVATEIN KVKISRVC350AELNVDG |
| A0A0A0LN97 | Multicopper oxidase | 60 kDa | DGVYGTTC99PIPPGKN |
| A0A0A0KIJ0 | Ncharacterized protein | 55 kDa | IEPVPESC99VSTLEER |
| A0A0A0L679 | Phospho-2-dehydro-3-deoxyheptonate aldolase | 57 kDa | FLLQGGDC124AESFKEF NSRYHTHC479DPRLNAS |
| A0A0A0KEF3 | Phosphoglycerate kinase | 50 kDa | QVVKADDC177IGPEVEK |
| A0A0A0KTJ4 | Phospholipase D | 92 kDa | YFSQRRGC178KVTLYQD KFYEPHRC209WEDVFDA LFPESIEC736VKSVNQL |
| A0A0A0L987 | Phosphoribulokinase | 46 kDa | ****MAVC4TVYTTQS |
| A0A0A0L989 | Polyadenylate-binding protein | 71 kDa | AFGSILSC146KVALDSS |
| A0A0A0K809 | Presequence protease 1, chloroplastic/mitochondrial-like | 122 kDa | VFLRSLTC12SSLVCNR RGKAMSGC743AEDLFNL SLLSRKNC847LVNITAD |
| A0A0A0K8X9 | Protease Do-like 2, chloroplastic | 68 kDa | AAAMASSC9FSPFDST VLARGVDC204DIALLSV LKFGNLPC230LQDAVTV AAIAASSC571ILRDYGI |
| A0A0A0LRK5 | Purple acid phosphatase | 54 kDa | VLCDLGVC26NGGITSG |
| A0A0A0L0U0 | Pyrophosphate--fructose 6-phosphate 1-phosphotransferase subunit alpha | 67 kDa | ETFAEAKC208PTKVVGV ASHVALEC276TLQSHPN RTIVKPGC584SQEVLKA |
| A0A0A0KH95 | Pyrophosphate--fructose 6-phosphate 1-phosphotransferase subunit beta | 61 kDa | LKTRVIGC224PKTIDGD SFGFDTAC247RIYAEMI |
| A0A218KBQ1 | Pyruvate kinase | 55 kDa | KPGNNILC143SDGTITL QKMMIYKC287NLAGKPV AVLDGTDC328VMLSGES |
| A0A0A0KAU8 | RuBisCO large subunit-binding protein subunit alpha | 64 kDa | LSSASILC14SSHKSLR |
| A0A0A0KFZ8 | RuvB-like helicase | 51 kDa | PQTKFVQC224PDGELQK |
| A0A0A0KBZ1 | S-(hydroxymethyl)glutathione dehydrogenase | 40 kDa | TQGQVITC10KAAVAWE GVDYSFEC271IGNVNVM |
| C4PAW8 | Sedoheptulose-1,7-bisphosphatase | 42 kDa | GLIRLLTC93MGEALRT SHFCKYAC148SEEVPEL |
| A0A0A0K8A3 | Selenium-binding protein 2-like | 53 kDa | KDTGYVGC277ALTSNMV |
| A8CM21 | Stachyose synthase | 96 kDa | SSAINKGC383TSCSCKA GLTNMFNC792SGTIQHL |
| A0A0A0KGA1 | Succinate-semialdehyde dehydrogenase | 58 kDa | GPALASGC230TVVIKPS NSGQTC346VCANRILVQ |
| A0A0A0LVU2 | T-complex protein 1 subunit delta | 57 kDa | RSLHDALC404VVRCLVN AITLATEC519VRMILKI |
| A0A0A0LZU0 | T-complex protein 1 subunit eta | 60 kDa | FADRDIFC313AGRVAEE NAATEAAC517LILSVDE |
| A0A0A0LLK5 | Tocopherol cyclase | 57 kDa | PLCGIHHC16SFKLVEA |
| A0A0A0KBL8 | Transketolase, chloroplastic | 80 kDa | NRSSRSRC65GVVRASV EGIANEAC249SLAGHWG |
| A0A0A0K6A8 | Tubulin alpha chain | 49 kDa | GIQVGNAC20WELYCLE TIQFVDWC347PTGFKCG AKVQRAVC376MISNSTS |
| A0A0A0LCY8 | Tubulin beta chain | 50 kDa | LHIQGGQC12GNQIGAK ATMSGVTC238CLRFPGQ NNVKSTVC354DIPPTGL |
| A0A0A0K9N4 | Ubiquitin carboxyl-terminal hydrolase 6 | 54 kDa | YMNSTLQC121LHSVPEL MQQDAEEC200WTQLLYT ESVYSLKC256HISQEVN |
| A0A0A0KZ30 | UDP-glucose 6-dehydrogenase | 52 kDa | MVKIC5CIGAGYV TKEAHAVC417ILTEWDE |
| A0A0A0KZU3 | Gamma aminobutyrate transaminase 2 | 56 kDa | TNPKLGSC18AKDVAAL |
| A0A0A0LHR0 | PALP domain-containing protein | 58 kDa | SSPFTLVC36SSATSDS |
| A0A0A0LQL1 | Uncharacterized protein | 110 kDa | LARGQLRC391IGATTLE |
| A0A0A0LTW3 | UVR domain-containing protein | 96 kDa | RRRKASRC26VPRAMFE LARGELQC343IGATTLD |
| A0A0A0KSQ4 | Probable nucleoredoxin 1 | 63 kDa | WICEGGVC559RKA |
| A0A0A0L5E7 | Uncharacterized protein | 43 kDa | QQFTGLRC13APLSSSR |
| A0A0A0LNR8 | Peptidase_S9 domain-containing protein | 85 kDa | ILSGEVSC428ISPANSN PVKDVSNC514LTKGASE AAARNPVC653NLALMVG |
| A0A0A0KN12 | Oxalate--CoA ligase-like | 55 kDa | KLRFIRS291CSASLAPS |
| A0A0A0K983 | Uncharacterized protein | 69 kDa | TTDGKTNC422LNAAVGT AMVTQAYC569DVPFSYT |
| A0A0A0KI31 | Glyoxysomal fatty acid beta-oxidation Multifunctional protein MFP-a | 79 kDa | GLEVAMAC124HARLSTK NLKHPLVC251IDVVETG |
| A0A0A0KIK3 | enolase isoform | 47 kDa | QIKTGAPC408RSERLAK |
| A0A0A0KL58 | AA_TRNA_LIGASE_II domain-containing protein | 51 kDa | TATERTLC402CILENYQ ATERTLC403CILENYQK |
| A0A0A0KPT0 | Protein kinase domain-containing protein | 127 kDa | RGAAKGLC974FLHHNCI YLEITLRC1124VEEFPSK |
| A0A0A0KQJ3 | Alpha-amylase 3, chloroplastic isoform | 101 kDa | LDPLLYHC13AKGKHRF RPCSFTYC37PNKLLCH NWELTVGC112NLAGKWI ISVSVRKC292SETTKYL |
| A0A0A0KTH8 | Malate dehydrogenase, chloroplastic | 48 kDa | SRTSRVTC49SINQVEA CNTNALIC230LKNAPKI ELLAEKRC413VAHLTGE |
| A0A0A0KW04 | 2-hydroxyacyl-CoA lyase | 60 kDa | DISEIPNC154VARVLNS RSLAIGKC274DVALVVG |
| A0A0A0KWS0 | 2,3-bisphosphoglycerate-independent Phosphoglycerate mutase | 61 kDa | NGVRTFAC356SETVKFG |
| A0A0A0L7Y5 | 11S globulin seed storage protein 2-like | 57 kDa | SSGLIVKC260DEEMSFL NGIEETVC297TARVQHN |
| A0A0A0LFS9 | Cell division control protein 48 homolog E | 89 kDa | CTEAALQC426IREKMDV KARQSAPC576VLFFDEL |
| A0A0A0LHX3 | Uncharacterized protein | 71 kDa | NTPQQLAC176IDVIEDG KVPLCIPC201EDKVFRE |
| A0A0A0LJ13 | Triosephosphate isomerase, chloroplastic | 32 kDa | EGLGVIAC177IGELLEE |
| A0A0A0LTR4 | Beta-glucosidase 44-like | 57 kDa | LPVVCMLC14AATAMHL |
| A0A0A0LV53 | Lysosomal beta glucosidase-like | 68 kDa | NVCSNVNC542VVVVVSG |
| A0A0A0KD01 | Uncharacterized protein | 91 kDa | HLNAAASC154QIQFVCK KELDEAIC328WAKVSET NLEDRLAC546KDNSSPL |
| A0A0A0KTK6 | Aminotran_1_2 domain-containing protein | 52 kDa | KVPDVLYC417LKLLEAT |
| A0A0A0KW15 | Uncharacterized protein | 51 kDa | EIKEGCGC460KG |
| A0A0A0L0K6 | Uncharacterized protein | 50 kDa | DGVYGTTC103PIPPGKN |
| A0A0A0L0Q4 | Ribos_L4_asso_C domain-containing protein | 44 kDa | QGAFGNMC100RGGRMFA |
| A0A0A0L5U9 | Acyl-CoA dehydrogenase family member 10 | 91 kDa | STVGNQMC262DVAYFCL NLEYGHLC511EIMGRSI SDATNIEC579SITREGD SGAMDPRC605KILIVMG |
| A0A0A0LI90 | Aldedh domain-containing protein | 53 kDa | HKAPIAEC98LVKEIAK |
| A0A0A0LRM4 | 11-beta-hydroxysteroid dehydrogenase 1B-like | 38 kDa | PVETADEC267AKGVVRG |
| A0A0A0LUA8 | Aldedh domain-containing protein | 59 kDa | KVGPALAC232GNTVVLK GKSPFIVC325EDADVDK |
| A0A0A0K8W3 | Uncharacterized protein | 109 kDa | MKNC4SNALSAN KLLRNYRC701HPDILHL |
| A0A0A0KNB1 | OMPdecase domain-containing protein | 52 kDa | STSYDLVC73GVPYTAL EKIGPEIC274LLKTHVD |
| A0A0A0L1I8 | DNA mismatch repair protein MLH3 isoform | 136 kDa | AYVLNLEC311PVSFYDL KKSRMQSC394QASLIDS RVLNSKAC1128RGAIMFG |
| A0A0A0LAP3 | Uncharacterized protein | 60 kDa | MVTHC5INLHLHR |
| A0A0A0LL68 | E2F_TDP domain-containing protein | 47 kDa | ALALPPQC47CLQYHRP ACFSERQC318RMIIKST |
| A0A0A0LPD2 | B5 domain-containing protein | 66 kDa | ANRYDLLC76LEGLAQA TKNVFIEC256TATDLTK |
| A0A0A0LRD9 | Programmed cell death protein 4 | 78 kDa | DTFEACRC309IRQLGVT VVSEACQC606IRDLGMP |
| A0A0A0LSH7 | DEAD-box ATP-dependent RNA helicase 56 | 48 kDa | KDLLKNEC166PHIVVGT |
| A0A0A0LYN5 | Asparagine--tRNA ligase, cytoplasmic 1 | 64 kDa | LQVETYAC324ALSSVYT DLQDDMNC368AEAYVRF |
| A0A0A0LYR4 | Arginine--tRNA ligase, cytoplasmic isoform | 66 kDa | AEVVEEAC526TNLLPNV |
| A0A0A0KMJ3 | Uncharacterized protein | 111 kDa | MARLVLPC8KSVGLAR QASRKLIC80SVATEPL DIMAKYTC241RIEADKS |
| A0A0A0KSN9 | T-complex protein 1 subunit zeta 1 | 59 kDa | MERLVLAC331GGEAVNS NVKNPHSC375TILIKGP |
| A0A0A0L246 | Uncharacterized protein | 57 kDa | LEDTLVAC63LDRIFKT RSRAMVIC278GRLLSKE FSLVDESC295LRNLISA LLSSFPTC345VKHVIYA |
| A0A0A0L3I1 | Peptidase_S9 domain-containing protein | 81 kDa | MSPC4ALLRLFR VKEGDEPC132DITPKEF NFVDKFSC651PIILFQG |
| A0A0A0L6P6 | HATPase_c domain-containing protein | 80 kDa | KKSFENLC548KTIKDIL DRIVDSPC573CLVTGEY RIVDSPC574CLVTGEYG |
| A0A0A0LFM9 | T-complex protein 1 subunit theta | 58 kDa | KYAADAVC516TVLRVDQ |
| A0A0A0LIF5 | Chaperonin CPN60-2, mitochondrial | 61 kDa | VAGDGTTC122ATILTRA TNQKNQKC244ELEDPLI |
| A0A0A0LXZ3 | UVR domain-containing protein | 102 kDa | LARGELQC404IGATTLD |
| A0A0A0M2C3 | RuBisCO large subunit-binding protein subunit beta, chloroplastic | 64 kDa | MAVEYENC280KLLLVDK KTFLMSDC584VVVEIKE |
| A0A0A0KSV2 | Bifunctional aspartokinase/homoserine dehydrogenase 1, chloroplastic | 101 kDa | QVAVIPNC490SILAAVG |
| A0A0A0KWR4 | Probable serine protease EDA2 isoform | 55 kDa | MDLWLSEC480QSTTGRN |
| A0A0A0LCI7 | 5-methyltetrahydropteroyltriglutamate--Homocysteine methyltransferase-like | 84 kDa | HLVVSTSC328SLLHTAV |
| A0A0A0LK02 | SET domain-containing protein | 57 kDa | RANEELIC413QVVRNAC |
| A0A0A0LZR2 | 5-methyltetrahydropteroyltriglutamate--homocysteine methyltransferase | 91 kDa | KIVVSTSC390SLLHTAV |
| A0A0A0M063 | Glyco_transf_20 domain-containing protein | 97 kDa | LVKELSEC861SVSNLS |
| A0A0A0KK36 | Probable polygalacturonase | 48 kDa | WNIHPVYC208RNVVVRY |
| A0A0A0LHX3 | Peroxisomal fatty acid beta-oxidation multifunctional protein AIM1 isoform | 71 kDa | NTPQQLAC176IDVIEDG KVPLCIPC201EDKVFRE |
| A0A0A0LL68 | legumin J | 47 kDa | ALALPPQC47CLQYHRP ACFSERQC318RMIIKST |
| A0A0A0LNN6 | Uncharacterized protein | 55 kDa | NGFEETVC313TLRLKHS |
| A0A0A0L6K0 | Uncharacterized protein | 37 kDa | GFVFPKKC75NEVVIKL PEYVQKSC147SLNQEET AGEEGLEC293ISMIVAT |
| A0A0A0L7C4 | Acetyl-coenzyme A synthetase, chloroplastic/glyoxysomal isoform | 89 kDa | NLIVTSSC10NAVRPFP SSTTTSSC75LLRPPFA LAQRIIDC329KPKIVIT LVSHPQC699AEAAVVG |
| A0A0A0LBK4 | 3-ketoacyl-CoA thiolase 2, peroxisomal | 47 kDa | LGTTGARC401VATLLSE |
| A0A0A0LT72 | NAB domain-containing protein | 40 kDa | RTSSSPSC20DTFSSNR KAGEMARC248MLKLRDD |
| A0A0A0LU46 | Probable aspartyl aminopeptidase | 56 kDa | AATNDAKC36KNNAVVT VVRNDMSC449GSTIGPI |
| A0A0A0LXJ8 | 4-hydroxy-3-methylbut-2-en-1-yl Diphosphate synthase (ferredoxin), chloroplastic | 82 kDa | VALRVAEC181FDKIRVN |
| A0A0A0KGD1 | Elongation factor 2-like | 84 kDa | ETVEDVPC355GNTVAMV |
| A0A0A0L9F9 | WD_REPEATS_REGION domain-containing protein | 120 kDaa | MAC3IKGVNRS |
| A0A0A0KTQ0 | PKS_ER domain-containing protein | 40 kDa | PSQLNSYC16HFISSKL |
| A0A0A0KN12 | Oxalate--CoA ligase-like | 55 kDa | KLRFIRSC291SASLAPS |
| A0A0A0LXU2 | 4-coumarate--CoA ligase-like 7 | 59 kDa | IHSPKILC165FNDLVNM GRELMEEC326ANNIPSA |
| A0A0A0KEW1 | Agglutinin domain-containing protein | 53 kDa | ENESSWPC93TLFNFIP LLATKAKC419DIPFSYT |
| A0A0A0KHT0 | F-box domain-containing protein | 45 kDa | RLLLLRRC66YSTATKK |
| A0A0A0KLY1 | ANK_REP_REGION domain-containing protein | 56 kDa | MC2SGSKNKV KVDVNRAC109GSDLTTA |
| A0A0A0KT59 | Uncharacterized protein | 89 kDa | PCGLSLSC66SLSLSLS DKAVESLC320RIGSQMR AGKVTKFC517RILSPEL AIQHILPC532VKELSSD |
| A0A0A0KZ23 | PCI domain-containing protein | 37 kDa | TRNYSEKC105INNIMDF |
| A0A0A0LQN5 | Minotran_1_2 domain-containing protein | 52 kDa | PGNPTGQC226LSEANLR |
| A0A0A0LBA6 | Starch branching enzyme I | 99 kDa | FPAVPPLC17KRSDSTF |
| A0A0A0KM90 | Uroporphyrinogen decarboxylase | 43 kDa | MSC3IHNSPLP IHNSPLPC11FSASSSS |
| A0A0A0K6R4 | V-type proton ATPase catalytic subunit A | 68 kDa | AIPGAFGC256GKTVISQ |
© 2019 by the authors. Licensee MDPI, Basel, Switzerland. This article is an open access article distributed under the terms and conditions of the Creative Commons Attribution (CC BY) license (http://creativecommons.org/licenses/by/4.0/).
Share and Cite
Niu, L.; Yu, J.; Liao, W.; Xie, J.; Yu, J.; Lv, J.; Xiao, X.; Hu, L.; Wu, Y. Proteomic Investigation of S-Nitrosylated Proteins During NO-Induced Adventitious Rooting of Cucumber. Int. J. Mol. Sci. 2019, 20, 5363. https://doi.org/10.3390/ijms20215363
Niu L, Yu J, Liao W, Xie J, Yu J, Lv J, Xiao X, Hu L, Wu Y. Proteomic Investigation of S-Nitrosylated Proteins During NO-Induced Adventitious Rooting of Cucumber. International Journal of Molecular Sciences. 2019; 20(21):5363. https://doi.org/10.3390/ijms20215363
Chicago/Turabian StyleNiu, Lijuan, Jihua Yu, Weibiao Liao, Jianming Xie, Jian Yu, Jian Lv, Xuemei Xiao, Linli Hu, and Yue Wu. 2019. "Proteomic Investigation of S-Nitrosylated Proteins During NO-Induced Adventitious Rooting of Cucumber" International Journal of Molecular Sciences 20, no. 21: 5363. https://doi.org/10.3390/ijms20215363
APA StyleNiu, L., Yu, J., Liao, W., Xie, J., Yu, J., Lv, J., Xiao, X., Hu, L., & Wu, Y. (2019). Proteomic Investigation of S-Nitrosylated Proteins During NO-Induced Adventitious Rooting of Cucumber. International Journal of Molecular Sciences, 20(21), 5363. https://doi.org/10.3390/ijms20215363

