Coeliac Disease and Mast Cells
Abstract
1. Introduction
2. Genetic and Immune Features of Coeliac Disease
3. Role of MCs in Coeliac Disease
3.1. Intestinal MCs Biology
3.2. Overview of Literature on MCs in CD
3.3. MC as a New Player in CD
4. Conclusions and Future Perspectives
Author Contributions
Funding
Acknowledgments
Conflicts of Interest
References
- Ludvigsson, J.F.; Leffler, D.A.; Bai, J.C.; Biagi, F.; Fasano, A.; Green, P.H.; Hadjivassiliou, M.; Kaukinen, K.; Kelly, C.P.; Leonard, J.N.; et al. The Oslo definitions for coeliac disease and related terms. Gut 2013, 62, 43–52. [Google Scholar] [CrossRef] [PubMed]
- Mustalahti, K.; Catassi, C.; Reunanen, A.; Fabiani, E.; Heier, M.; McMillan, S.; Murray, L.; Metzger, M.H.; Gasparin, M.; Bravi, E.; et al. The prevalence of coeliac disease in Europe: Results of a centralized, international mass screening project. Ann. Med. 2010, 42, 587–595. [Google Scholar] [CrossRef] [PubMed]
- Bibbò, S.; Pes, G.M.; Usai-Satta, P.; Salis, R.; Soro, S.; Quarta Colosso, B.M.; Dore, M.P. Chronic autoimmune disorders are increased in coeliac disease: A case-control study. Medicine 2017, 96, e8562. [Google Scholar] [CrossRef] [PubMed]
- Oberhuber, G.; Granditsch, G.; Vogelsang, H. The histopathology of coeliac disease: Time for a standardized report scheme for pathologists. Eur. J. Gastroenterol. Hepatol. 1999, 11, 1185–1194. [Google Scholar] [CrossRef] [PubMed]
- Dieterich, W.; Ehnis, T.; Bauer, M.; Donner, P.; Volta, U.; Riecken, E.O.; Schuppan, D. Identification of tissue transglutaminase as the autoantigen of coeliac disease. Nat. Med. 1997, 3, 797–801. [Google Scholar] [CrossRef] [PubMed]
- Van Elburg, R.M.; Uil, J.J.; Mulder, C.J.; Heymans, H.S. Intestinal permeability in patients with coeliac disease and relatives of patients with coeliac disease. Gut 1993, 34, 354–357. [Google Scholar] [CrossRef] [PubMed]
- Matysiak-Budnik, T.; Candalh, C.; Dugave, C.; Namane, A.; Cellier, C.; Cerf-Bensussan, N.; Heyman, M. Alterations of the intestinal transport and processing of gliadin peptides in coeliac disease. Gastroenterology 2003, 125, 696–707. [Google Scholar] [CrossRef]
- Molberg, Ø.; Solheim Flaete, N.; Jensen, T.; Lundin, K.E.; Arentz-Hansen, H.; Anderson, O.D.; Kjersti Uhlen, A.; Sollid, L.M. Intestinal esponses to high-molecular-weight glutenins in coeliac disease. Gastroenterology 2003, 125, 337–344. [Google Scholar] [CrossRef]
- Shan, L.; Molberg, Ø.; Parrot, I.; Hausch, F.; Filiz, F.; Gray, G.M.; Sollid, L.M.; Khosla, C. Structural basis for gluten intolerance in coeliac sprue. Science 2002, 297, 2275–2279. [Google Scholar] [CrossRef]
- Molberg, O.; Mcadam, S.N.; Körner, R.; Quarsten, H.; Kristiansen, C.; Madsen, L.; Fugger, L.; Scott, H.; Norén, O.; Roepstorff, P.; et al. Tissue transglutaminase selectively modifies gliadin peptides that are recognized by gut-derived T cells in coeliac disease. Nat. Med. 1998, 4, 713–717. [Google Scholar] [CrossRef]
- Nilsen, E.M.; Lundin, K.E.; Krajci, P.; Scott, H.; Sollid, L.M.; Brandtzaeg, P. Gluten specific, HLA-DQ restricted T cells from coeliac mucosa produce cytokines with Th1 or Th0 profile dominated by interferon gamma. Gut 1995, 37, 766–776. [Google Scholar] [CrossRef] [PubMed]
- Nilsen, E.M.; Jahnsen, F.L.; Lundin, K.E.; Johansen, F.E.; Fausa, O.; Sollid, L.M.; Jahnsen, J.; Scott, H.; Brandtzaeg, P. Gluten induces an intestinal cytokine response strongly dominated by interferon gamma in patients with coeliac disease. Gastroenterology 1998, 115, 551–563. [Google Scholar] [CrossRef]
- Bodd, M.; Ráki, M.; Tollefsen, S.; Fallang, L.E.; Bergseng, E.; Lundin, K.E.; Sollid, L.M. HLA-DQ2-restricted gluten-reactive T cells produce IL-21 but not IL-17 or IL-22. Mucosal. Immunol. 2010, 3, 594–601. [Google Scholar] [CrossRef] [PubMed]
- Cicerone, C.; Nenna, R.; Pontone, S. Th17, intestinal microbiota and the abnormal immune response in the pathogenesis of coeliac disease. Gastroenterol. Hepatol. Bed. Bench. 2015, 8, 117–122. [Google Scholar] [PubMed]
- Mamone, G.; Ferranti, P.; Rossi, M.; Roepstorff, P.; Fierro, O.; Malorni, A.; Addeo, F. Identification of a peptide from α-gliadin resistant to digestive enzymes: Implications for coeliac disease. J. Chromatogr. B Analyt. Technol. Biomed. Life Sci. 2007, 855, 236–241. [Google Scholar] [CrossRef]
- Qiao, S.W.; Bergseng, E.; Molberg, Ø.; Xia, J.; Fleckenstein, B.; Khosla, C.; Sollid, L.M. Antigen presentation to coeliac lesion-derived T cells of a 33-mer gliadin peptide naturally formed by gastrointestinal digestion. J. Immunol. 2004, 173, 1757–1762. [Google Scholar] [CrossRef]
- Green, P.H.; Jabri, B. Coeliac disease. Lancet 2003, 362, 383–391. [Google Scholar] [CrossRef]
- Jabri, B.; Abadie, V. IL-15 functions as a danger signal to regulate tissue-resident T cells and tissue destruction. Nat. Rev. Immunol. 2015, 15, 771–783. [Google Scholar] [CrossRef]
- Gianfrani, C.; Troncone, R.; Mugione, P.; Cosentini, E.; De Pascale, M.; Faruolo, C.; Senger, S.; Terrazzano, G.; Southwood, S.; Auricchio, S.; et al. Coeliac disease association with CD8+ T cell responses: Identification of a novel gliadin-derived HLA-A2-restricted epitope. J. Immunol. 2003, 170, 2719–2726. [Google Scholar] [CrossRef]
- Mazzarella, G.; Stefanile, R.; Camarca, A.; Giliberti, P.; Cosentini, E.; Marano, C.; Iaquinto, G.; Giardullo, N.; Auricchio, S.; Sette, A.; et al. Gliadin activates HLA class I-restricted CD8+ T cells in coeliac disease intestinal mucosa and induces the enterocyte apoptosis. Gastroenterology 2008, 134, 1017–1027. [Google Scholar] [CrossRef]
- Maiuri, L.; Picarelli, A.; Boirivant, M.; Coletta, S.; Mazzilli, M.C.; De Vincenzi, M.; Londei, M.; Auricchio, S. Definition of the initial immunologic modifications upon in vitro gliadin challenge in the small intestine of coeliac patients. Gastroenterology 1996, 110, 1368–1378. [Google Scholar] [CrossRef] [PubMed]
- Abadie, V.; Sollid, L.M.; Barreiro, L.B.; Jabri, B. Integration of genetic and immunological insights into a model of coeliac disease pathogenesis. Annu. Rev. Immunol. 2011, 29, 493–525. [Google Scholar] [CrossRef] [PubMed]
- Zanoni, G.; Navone, R.; Lunardi, C.; Tridente, G.; Bason, C.; Sivori, S.; Beri, R.; Dolcino, M.; Valletta, E.; Corrocher, R.; et al. In coeliac disease, a subset of autoantibodies against transglutaminase binds toll-like receptor 4 and induces activation of monocytes. PLoS Med. 2006, 3, e358. [Google Scholar] [CrossRef] [PubMed]
- Balakireva, A.V.; Zamyatnin, A.A. Properties of Gluten Intolerance: Gluten Structure, Evolution, Pathogenicity and Detoxification Capabilities. Nutrients 2016, 8, 644. [Google Scholar] [CrossRef] [PubMed]
- Maiuri, L.; Ciacci, C.; Ricciardelli, I.; Vacca, L.; Raia, V.; Auricchio, S.; Picard, J.; Osman, M.; Quaratino, S.; Londei, M. Association between innate response to gliadin and activation of pathogenic T-cells in coeliac disease. Lancet 2003, 362, 30–37. [Google Scholar] [CrossRef]
- Palová-Jelínková, L.; Dáňová, K.; Drašarová, H.; Dvořák, M.; Funda, D.P.; Fundová, P.; Kotrbová-Kozak, A.; Černá, M.; Kamanová, J.; Martin, S.F.; et al. Pepsin digest of wheat gliadin fraction increases production of IL-1β via TLR4/MyD88/TRIF/MAPK/NF-κB signaling pathway and an NLRP3 inflammasome activation. PLoS ONE 2013, 8, e62426. [Google Scholar] [CrossRef] [PubMed]
- Araya, R.E.; Gomez Castro, M.F.; Carasi, P.; McCarville, J.L.; Jury, J.; Mowat, A.M.; Verdu, E.F.; Chirdo, F.G. Mechanisms of innate immune activation by gluten peptide p31-43 in mice. Am. J. Physiol. Gastrointest. Liver Physiol. 2016, 311, G40–G49. [Google Scholar] [CrossRef] [PubMed]
- Patidar, M.; Yadav, N.; Dalai, S.K. Interleukin 15: A key cytokine for immunotherapy. Cytokine Growth Factor Rev. 2016, 31, 49–59. [Google Scholar] [CrossRef] [PubMed]
- Tagaya, Y.; Bamford, R.N.; DeFilippis, A.P.; Waldmann, T.A. IL-15: A pleiotropic cytokine with diverse receptor/signaling pathways whose expression is controlled at multiple levels. Immunity 1996, 4, 329–336. [Google Scholar] [CrossRef]
- Ebert, E.C. Interleukin 15 is a potent stimulant of intraepithelial lymphocytes. Gastroenterology 1998, 115, 1439–1445. [Google Scholar] [CrossRef]
- Liu, R.B.; Engels, B.; Schreiber, K.; Ciszewski, C.; Schietinger, A.; Schreiber, H.; Jabri, B. IL-15 in tumor microenvironment causes rejection of large established tumors by T cells in a noncognate T-cell receptor-dependent manner. Proc. Natl. Acad. Sci. USA 2013, 110, 8158–8163. [Google Scholar] [CrossRef] [PubMed]
- Fehniger, T.A.; Caligiuri, M.A. Interleukin 15: Biology and relevance to human disease. Blood 2001, 97, 14–32. [Google Scholar] [CrossRef] [PubMed]
- Londei, M.; Quaratino, S.; Maiuri, L. Coeliac disease: A model autoimmune disease with gene therapy applications. Gene Ther. 2003, 10, 835–843. [Google Scholar] [CrossRef] [PubMed]
- Bischoff, S.C. Physiological and pathophysiological functions of intestinal MCs. Semin. Immunopathol. 2009, 31, 185–205. [Google Scholar] [CrossRef] [PubMed]
- Gurish, M.F.; Tao, H.; Abonia, J.P.; Arya, A.; Friend, D.S.; Parker, C.M.; Austen, K.F. Intestinal MCs progenitors require CD49dβ7 (α4β7 integrin) for tissue-specific homing. J. Exp. Med. 2001, 194, 1243–1252. [Google Scholar] [CrossRef] [PubMed]
- Abonia, J.P.; Austen, K.F.; Rollins, B.J.; Joshi, S.K.; Flavell, R.A.; Kuziel, W.A.; Koni, P.A.; Gurish, M.F. Constitutive homing of MCs progenitors to the intestine depends on autologous expression of the chemokine receptor CXCR2. Blood 2005, 105, 4308–4313. [Google Scholar] [CrossRef] [PubMed]
- Frossi, B.; Mion, F.; Tripodo, C.; Colombo, M.P.; Pucillo, C.E. Rheostatic Functions of MCs in the Control of Innate and Adaptive Immune Responses. Trends Immunol. 2017. [Google Scholar] [CrossRef]
- Weidner, N.; Austen, K.F. Heterogeneity of mast cells at multiple body sites: Fluorescent determination of avidin binding and immunofluorescent determination of chymase, tryptase, and carboxypeptidase content. Pathol. Res. Pract. 1993, 189, 156–162. [Google Scholar] [CrossRef]
- Irani, A.M.; Bradford, T.R.; Kepley, C.L.; Schechter, N.M.; Schwartz, L.B. Detection of MCT and MCTC types of human mast cells by immunohistochemistry using new monoclonal anti-tryptase and anti-chymase antibodies. J. Histochem Cytochem. 1989, 37, 1509–1515. [Google Scholar] [CrossRef]
- Redegeld, F.A.; Yu, Y.; Kumari, S.; Charles, N.; Blank, U. Non-IgE mediated mast cell activation. Immunol. Rev. 2018, 282, 87–113. [Google Scholar] [CrossRef]
- Sandig, H.; Bulfone-Pauss, S. TLR signaling in mast cell: Common and unique features. Front. Immunol. 2012, 3, 185. [Google Scholar] [CrossRef] [PubMed]
- Subramanian, H.; Gupta, K.; Hydar, A. Roles of MAS-related G protein coupled receptor-X2 (MRGPRX2) on mast cell-mediated host defense, pseudoallergic drug reactions and chronic inflammatory diseases. J. Allergy Clin Immunol. 2016, 138, 700–710. [Google Scholar] [CrossRef] [PubMed]
- Gri, G.; Frossi, B.; D’Inca, F.; Danelli, L.; Betto, E.; Mion, F.; Sibilano, R.; Pucillo, C. Mast cell: An emerging partner in immune interaction. Front. Immunol. 2012, 3, 120. [Google Scholar] [CrossRef] [PubMed]
- Deiteren, A.; De Man, J.G.; Pelckmans, P.A.; De Winter, B.Y. Histamine H4 receptors in the gastrointestinal tract. Br. J. Pharmacol. 1995, 172, 1165–1178. [Google Scholar] [CrossRef]
- Homaidan, F.R.; Tripodi, J.; Zhao, L.; Burakoff, R. Regulation of ion transport by histamine in mouse cecum. Eur. J. Pharmacol. 1997, 331, 199–204. [Google Scholar] [CrossRef]
- Barbara, G.; Wang, B.; Stanghellini, V.; de Giorgio, R.; Cremon, C.; Di Nardo, G.; Trevisani, M.; Campi, B.; Geppetti, P.; Tonini, M.; et al. Mast cell-dependent excitation of visceral-nociceptive sensory neurons in irritable bowel syndrome. Gastroenterology 2007, 132, 26–37. [Google Scholar] [CrossRef]
- Mawe, G.M.; Hoffman, J.M. Serotonin signalling in the gut--functions, dysfunctions and therapeutic targets. Nat. Rev. Gastroenterol. Hepatol. 2013, 10, 473–486, Erratum in: Nat. Rev. Gastroenterol. Hepatol. 2013, 10, 564. [Google Scholar] [CrossRef]
- Cremon, C.; Carini, G.; Wang, B.; Vasina, V.; Cogliandro, R.F.; De Giorgio, R.; Stanghellini, V.; Grundy, D.; Tonini, M.; De Ponti, F.; et al. Intestinal serotonin release, sensory neuron activation, and abdominal pain in irritable bowel syndrome. Am. J. Gastroenterol. 2011, 106, 1290–1298. [Google Scholar] [CrossRef]
- Coleman, N.S.; Foley, S.; Dunlop, S.P.; Wheatcroft, J.; Blackshaw, E.; Perkins, A.C.; Singh, G.; Marsden, C.A.; Holmes, G.K.; Spiller, R.C. Abnormalities of serotonin metabolism and their relation to symptoms in untreated celiac disease. Clin. Gastroenterol. Hepatol. 2006, 4, 874–881. [Google Scholar] [CrossRef]
- Wilcz-Villega, E.M.; McClean, S.; O’Sullivan, M.A. Mast cell tryptase reduces junctional adhesion molecule-A (JAM-A) expression in intestinal epithelial cells: Implications for the mechanisms of barrier dysfunction in irritable bowel syndrome. Am. J. Gastroenterol. 2013, 108, 1140–1151. [Google Scholar] [CrossRef] [PubMed]
- Jacob, C.; Yang, P.C.; Darmoul, D.; Amadesi, S.; Saito, T.; Cottrell, G.S.; Coelho, A.M.; Singh, P.; Grady, E.F.; Perdue, M.; et al. Mast cell tryptase controls paracellular permeability of the intestine. Role of protease-activated receptor 2 and β-arrestins. J. Biol. Chem. 2005, 280, 31936–31948. [Google Scholar] [CrossRef]
- Li, S.; Guan, J.; Ge, M.; Huang, P.; Lin, Y.; Gan, X. Intestinal mucosal injury induced by tryptase-activated protease-activated receptor 2 requires β-arrestin-2 in vitro. Mol. Med. Rep. 2015, 12, 7181–7187. [Google Scholar] [CrossRef] [PubMed]
- Tchougounova, E.; Lundequist, A.; Fajardo, I.; Winberg, J.-O.; Åbrink, M.; Pejler, G. A key role for mast cell chymase in the activation of pro-matrix metalloprotease-9 and pro-matrix metalloprotease-2. J. Biol. Chem. 2005, 280, 9291–9296. [Google Scholar] [CrossRef] [PubMed]
- Groschwitz, K.R.; Wu, D.; Osterfeld, H.; Ahrens, R.; Hogan, S.P. Chymase-mediated intestinal epithelial permeability is regulated by a protease-activating receptor/matrix metalloproteinase-2-dependent mechanism. Am. J. Physiol. Gastrointest. Liver Physiol. 2013, 304, G479–G489. [Google Scholar] [CrossRef] [PubMed]
- Fu, Z.; Thorpe, M.; Hellman, L. rMCP-2, the Major Rat Mucosal Mast Cell Protease, an Analysis of Its Extended Cleavage Specificity and Its Potential Role in Regulating Intestinal Permeability by the Cleavage of Cell Adhesion and Junction Proteins. PLoS ONE 2015, 10, e0131720. [Google Scholar] [CrossRef] [PubMed]
- Papa, A.; Danese, S.; Gasbarrini, A.; Gasbarrini, G. Review article: Potential therapeutic applications and mechanisms of action of heparin in inflammatory bowel disease. Aliment Pharmacol. Ther. 2000, 14, 1403–1409. [Google Scholar] [CrossRef] [PubMed]
- Salas, A.; Sans, M.; Soriano, A.; Reverter, J.C.; Anderson, D.C.; Piqué, J.M.; Panés, J. Heparin attenuates TNF-α induced inflammatory response through a CD11b dependent mechanism. Gut 2000, 47, 88–96. [Google Scholar] [CrossRef]
- Boyce, J.A. Eicosanoid mediators of mast cells: Receptors, regulation of synthesis, and pathobiologic implications. Chem. Immunol. Allergy 2005, 87, 59–79. [Google Scholar]
- Sharkey, K.A.; Kroese, A.B. Consequences of intestinal inflammation on the enteric nervous system: Neuronal activation induced by inflammatory mediators. Anat. Rec. 2001, 262, 79–90. [Google Scholar] [CrossRef]
- Mankertz, J.; Tavalali, S.; Schmitz, H.; Mankertz, A.; Riecken, E.O.; Fromm, M.; Schulzke, J.D. Expression from the human occludin promoter is affected by tumor necrosis factor α and interferon gamma. J. Cell Sci. 2000, 113, 2085–2090. [Google Scholar]
- Prasad, S.; Mingrino, R.; Kaukinen, K.; Hayes, K.L.; Powell, R.M.; MacDonald, T.T.; Collins, J.E. Inflammatory processes have differential effects on claudins 2, 3 and 4 in colonic epithelial cells. Lab. Investig. 2005, 85, 1139–1162. [Google Scholar] [CrossRef] [PubMed]
- Al-Sadi, R.; Ye, D.; Boivin, M.; Guo, S.; Hashimi, M.; Ereifej, L.; Ma, T.Y. Interleukin-6 modulation of intestinal epithelial tight junction permeability is mediated by JNK pathway activation of claudin-2 gene. PLoS ONE 2014, 9, e85345. [Google Scholar] [CrossRef] [PubMed]
- Van Nassauw, D.; Adriaensen, J.P. Timmermans The bidirectional communication between neurons and mast cells within the gastrointestinal tract. Auton. Neurosci. 2007, 133, 91–103. [Google Scholar] [CrossRef] [PubMed]
- Buhner, S.; Schemann, M. Mast cell-nerve axis with a focus on the human gut. Biochim. Biophys. Acta 2012, 1822, 85–92. [Google Scholar] [CrossRef] [PubMed]
- van Diest, S.A.; Stanisor, O.I.; Boeckxstaens, G.E.; de Jonge, W.J.; van den Wijngaard, R.M. Relevance of MCs-nerve interactions in intestinal nociception. Biochim. Biophys. Acta 2012, 1822, 74–84. [Google Scholar] [CrossRef] [PubMed]
- Frossi, B.; Mion, F.; Sibilano, R.; Danelli, L.; Pucillo, C.E.M. Is it time for a new classification of mast cells? What do we know about mast cell heterogeneity? Immunol. Rev. 2018, 282, 35–46. [Google Scholar] [CrossRef]
- Wouters, M.M.; Vicario, M.; Santos, J. The role of MCs in functional GI disorders. Gut 2016, 65, 155–168. [Google Scholar] [CrossRef]
- Theoharides, T.C. MCs in Irritable Bowel Syndrome and Ulcerative Colitis: Function Not Numbers Is What Makes All the Difference. Dig. Dis. Sci. 2014, 59, 897–898. [Google Scholar] [CrossRef][Green Version]
- Kim, M.; Chae, H.; Shin, T.; Kim, H.; Kim, H. Estrogen regulates cytokine release in human mast cells. Immunopharmacol. Immunotoxicol. 2001, 23, 495–504. [Google Scholar] [CrossRef]
- Muñoz-Cruz, S.; Mendoza-Rodríguez, Y.; Nava-Castro, K.E.; Yepez-Mulia, L.; Morales-Montor, J. Gender-related effects of sex steroids on histamine release and FcεRI expression in rat peritoneal mast cells. J. Immunol. Res. 2015, 2015, 351829. [Google Scholar] [CrossRef]
- Zierau, O.; Zenclussen, A.C.; Jensen, F. Role of female sex hormones, estradiol and progesterone, in mast cell behaviour. Front. Immunol. 2012, 3, 169. [Google Scholar] [CrossRef] [PubMed]
- Chen, W.; Mempel, M.; Schober, W.; Behrendt, H.; Ring, J. Gender difference, sex hormones, and immediate type hypersensitivity reactions. Allergy 2008, 63, 1418–1427. [Google Scholar] [CrossRef] [PubMed]
- Zielińska, M.; Fichna, J.; Bashashati, M.; Habibi, S.; Sibaev, A.; Timmermans, J.P.; Storr, M. G protein-coupled estrogen receptor and estrogen receptor ligands regulate colonic motility and visceral pain. Neurogastroenterol. Motil. 2017, 29, 7. [Google Scholar] [CrossRef] [PubMed]
- Hamilton, M.; Hornick, J.L.; Akin, C.; Castells, M.C.; Greenberger, N.J. Mast cell activation syndrome: A newly recognized disorder with systemic clinical manifestations. J. Allergy Clin. Immunol. 2011, 128, 147–152. [Google Scholar] [CrossRef] [PubMed]
- Jansson-Knodell, C.L.; Hujoel, I.A.; West, C.P.; Taneja, V.; Prokop, L.J.; Rubio-Tapia, A.; Murray, J.A. Sex Difference in Celiac Disease in Undiagnosed Populations: A Systematic Review and Meta-analysis. Clin. Gastroenterol. Hepatol. 2018. [Google Scholar] [CrossRef] [PubMed]
- Ciacci, C.; Cirillo, M.; Sollazzo, R.; Savino, G.; Sabbatini, F.; Mazzacca, G. Gender and clinical presentation in adult celiac disease. Scand. J. Gastroenterol. 1995, 30, 1077–1081. [Google Scholar] [CrossRef]
- Ludvigsson, J.F.; Montgomery, S.M.; Ekbom, A.; Brandt, L.; Granath, F. Small-intestinal histopathology and mortality risk in celiac disease. JAMA 2009, 302, 1171–1178. [Google Scholar] [CrossRef]
- Kumar, P.O.; Donoghue, D.P.; Stenson, K.; Dawson, A.M. Reintroduction of gluten in children with treated coeliac disease. Gut 1979, 20, 743–749. [Google Scholar] [CrossRef]
- Strobel, S.; Busuttil, A.; Ferguson, A. Human intestinal mucosal MCs: Expanded population in untreated coeliac disease. Gut 1983, 24, 222–227. [Google Scholar] [CrossRef]
- Kosnai, I.; Kuitunen, P.; Savilahti, E.; Sipponen, P. Mast cells and eosinophils in the jejunal mucosa of patients with intestinal cow’s milk allergy and coeliac disease of childhood. J. Pediatr. Gastroenterol. Nutr. 1984, 3, 368–372. [Google Scholar] [CrossRef]
- Dollberg, L.; Gurevitz, M.; Freier, S. Gastrointestinal MCs in health, and in coeliac disease and other conditions. Arch. Dis. Childh. 1980, 55, 702–705. [Google Scholar] [CrossRef] [PubMed]
- Suranyi, Y.; Freier, S.; Faber, J.; Dollberg, L. Intestinal mast cells in different stages of coeliac disease. Isr. J. Med. Sci. 1986, 22, 370–375. [Google Scholar] [PubMed]
- Horváth, K.; Simon, K.; Horn, G.; Bodánszky, H. Mast cell degranulation after a single dose of gliadin in the jejunum of patients with coeliac disease. Acta Paediatr. Hung. 1986, 27, 311–316. [Google Scholar] [PubMed]
- Lavö, B.; Knutson, L.; Lööf, L.; Odlind, B.; Venge, P.; Hällgren, R. Challenge with gliadin induces eosinophil and MCs activation in the jejunum of patients with coeliac disease. Am. J. Med. 1989, 87, 655–660. [Google Scholar] [CrossRef]
- Loft, D.E.; Marsh, M.N.; Sandle, G.I.; Crowe, P.T.; Garner, V.; Gordon, D.; Baker, R. Studies of intestinal lymphoid tissue. XII. Epithelial lymphocyte and mucosal responses to rectal gluten challenge in celiac sprue. Gastroenterology 1989, 97, 29–37. [Google Scholar] [CrossRef]
- Lähteenoja, H.; Mäki, M.; Viander, M.; Räihä, I.; Vilja, P.; Rantala, I.; Toivanen, A.; Syrjänen, S. Local challenge on oral mucosa with an α-gliadin related synthetic peptide in patients with celiac disease. Am. J. Gastroenterol. 2000, 95, 2880–2887. [Google Scholar] [PubMed]
- Losurdo, G.; Piscitelli, D.; Pezzuto, F.; Fortarezza, F.; Covelli, C.; Marra, A.; Iannone, A.; Amoruso, A.; Principi, M.; Ierardi, E.; et al. T Helper Lymphocyte and Mast Cell Immunohistochemical Pattern in Non-coeliac Gluten Sensitivity. Gastroenterol. Res. Pract. 2017, 2017, 5023680. [Google Scholar] [CrossRef] [PubMed]
- Frossi, B.; Tripodo, C.; Guarnotta, C.; Carroccio, A.; De Carli, M.; De Carli, S.; Marino, M.; Calabrò, A.; Pucillo, C.E. MCs are associated with the onset and progression of coeliac disease. J. Allergy Clin. Immunol. 2017, 139, 1266–1274. [Google Scholar] [CrossRef]
- Enoksson, M.; Moller-Westerberg, C.; Wicher, G.; Fallon, P.G.; Forsberg-Nilsson, K.; Lunderius-Andersson, C.; Nilsson, G. Intraperitoneal influx of neutrophils in response to IL-33 is mast cell-dependent. Blood 2013, 121, 530–536. [Google Scholar] [CrossRef]
- Merluzzi, S.; Frossi, B.; Gri, G.; Parusso, S.; Tripodo, C.; Pucillo, C. Mast cells enhance proliferation of B lymphocytes and drive their differentiation toward IgA-secreting plasma cells. Blood 2010, 115, 2810–2817. [Google Scholar] [CrossRef]



| Receptor Family | Members | Ligands |
|---|---|---|
| FcR | ||
| FcεR | FcεRI | IgE |
| FcγR | FcγRI, FcγRII, FcγRIII | IgG |
| Toll like receptors | TLR1, TLR2, TLR3, TLR4, TLR5, TLR6, TLR7, TLR8, TLR9 | Microbial PAMPs |
| G protein coupled receptor | MRGPRX2 | Antimicrobial host defense peptides, neuropeptides, major basic protein, substance P, vaso intestinal peptide |
| Adhesion molecules | ICAM-1, VCAM, VLA4, Siglec6, Siglec7, Siglec8, SynCAM, N-cadherin, α2β1, α3β1, α4β1, α5β1, αVβ3 | LFA-1, VLA-4, α4β1, sialic acid, fibronectin, collagen |
| Co-stimulatory molecules | ||
| TNF/TNFR family member | CD40L, OX40L, 4-1BB, GITR, CD153, Fas, TRAIL-R | CD40, OX40, 4-1BBL, GITR ligand, CD30, FasL, TRAIL |
| B7 family members | CD28, ICOSL, PD-L1, PD-L2 | CD80, CD86, ICOS, PD1, PD2 |
| Nothch family members | Notch1, Notch2 | Jag1, Jag2, Delta1, Delta4 |
| Class | Mediator | Effect on GI | Ref. |
|---|---|---|---|
| Pre-formed | |||
| Biogenic amines | Histamine | Neuron excitation Increased Cl− secretion Increased intestinal motility | [44] [45] [46] |
| 5-hydroxytryptamine | Neuron excitation | [47,48,49] | |
| Proteases | Tryptase | TJ disruption Increased intestinal permeability Epithelial cell apoptosis | [50] [50,51] [52] |
| Chymase | ECM degradation Increased intestinal permeability | [53,54,55] [55] | |
| Proteoglicans | Heparin | Inhibition of cytokine and chemokines production | [56,57,58] |
| Newly-synthesized | |||
| Lipid-derived | PGD2 | Increased electrolytic secretion | [59] |
| LTC4, LTD4 | Increased electrolytic secretion | [59,60] | |
| Cytokines | IL-1, IL-6, IL-17, TNF-α | TJ disruption | [61,62,63] |
| Neuropeptides | Vasoactive intestinal peptide, NGF, SP | Neuron excitation | [64,65,66] |
| Subjects | MC or MC Product Identification | Observation/Effect | Reference |
|---|---|---|---|
| 20 CD patients untreated and on gluten-free diet | Astra blu staining | MC numbers are higher than normal in intestinal mucosa of untreated CD patients and remain high after gluten-free diet | [70] |
| 25 pediatric CD patients 10 pediatric CD patients on gluten-free diet | Astra blu staining | Lower number of (granulated) MCs in intestinal mucosa of untreated CD patients compared to patients on gluten-free diet Decrease in number of (granulated) MCs in patients on gluten-free diet after receiving gluten | [73] |
| 19 CD patients 11 CD patients on gluten-free diet | Astra blu/safranin pH 0.3 staining | Increase number of MCs in intestinal mucosa of untreated CD patients returning to normal range after gluten-free diet | [71] |
| 47 pediatric CD patients 17 pediatric CD patients on gluten-free diet | Iron diamine staining | Positive correlation between number of MCs and villous height Increased number of (granulated) MCs in patients under diet regimen | [72] |
| 20 pediatric CD patients untreated and on gluten-free diet | Toluidine blu staining | During the untreated phase of the disease the MC number in the intestinal mucosa is depressed. On a gluten-free diet the number of MCs rises | [74] |
| 14 children with treated CD disease | Toluidine blu staining | Reduced number of intestinal MCs 5h after single challenge with gluten | [75] |
| 10 adult CD patients | Histamine release detection | Gliadin perfusion of closed jejunal segment induces a twofold histamine secretion in CD patients compared to control | [76] |
| 10 adult CD patients on gluten-free diet | Toluidine blu staining | Rapid reduction (1h) of MC numbers in the rectal mucosa of CD patiets after instillation of gluten solution into the rectum | [77] |
| 37 adult CD patients on gluten-free diet | Toluidine blu staining | Reduced numbers of (granulated) MCs in the oral submucosa of CD patients after injection of gliadin solution into the buccal submucosa | [78] |
| 20 Non-coeliac gluten sensitivity (NCGS) patients 16 CD patients (Marsh 1–2) | CD117 staining | CD117+ cells are higher in jeunal biopsies of NCGS and CD patients compared to control | [79] |
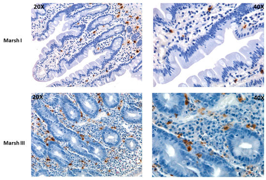
| 10 Marsh1 CD patients 9 Marsh2 CD patients 9 Marsh3 CD patients | Tryptase staining | Increased numbers of trptase+ cells in intestinal mucosa of Marsh 2 and Marsh 3 compare to Marsh 1 CD patients and controls The disease worsening associates with the acquisition of a pro-inflammatory phenotype of MCs | [80] |
© 2019 by the authors. Licensee MDPI, Basel, Switzerland. This article is an open access article distributed under the terms and conditions of the Creative Commons Attribution (CC BY) license (http://creativecommons.org/licenses/by/4.0/).
Share and Cite
Frossi, B.; De Carli, M.; Calabrò, A. Coeliac Disease and Mast Cells. Int. J. Mol. Sci. 2019, 20, 3400. https://doi.org/10.3390/ijms20143400
Frossi B, De Carli M, Calabrò A. Coeliac Disease and Mast Cells. International Journal of Molecular Sciences. 2019; 20(14):3400. https://doi.org/10.3390/ijms20143400
Chicago/Turabian StyleFrossi, Barbara, Marco De Carli, and Antonino Calabrò. 2019. "Coeliac Disease and Mast Cells" International Journal of Molecular Sciences 20, no. 14: 3400. https://doi.org/10.3390/ijms20143400
APA StyleFrossi, B., De Carli, M., & Calabrò, A. (2019). Coeliac Disease and Mast Cells. International Journal of Molecular Sciences, 20(14), 3400. https://doi.org/10.3390/ijms20143400

