Human Mitochondrial HMG-CoA Synthase Deficiency: Role of Enzyme Dimerization Surface and Characterization of Three New Patients
Abstract
:1. Introduction
2. Results
2.1. Clinical and Biochemical Data in Patients
2.1.1. Patient 1
2.1.2. Patient 2
2.1.3. Patient 3
2.2. Molecular Genetic Testing
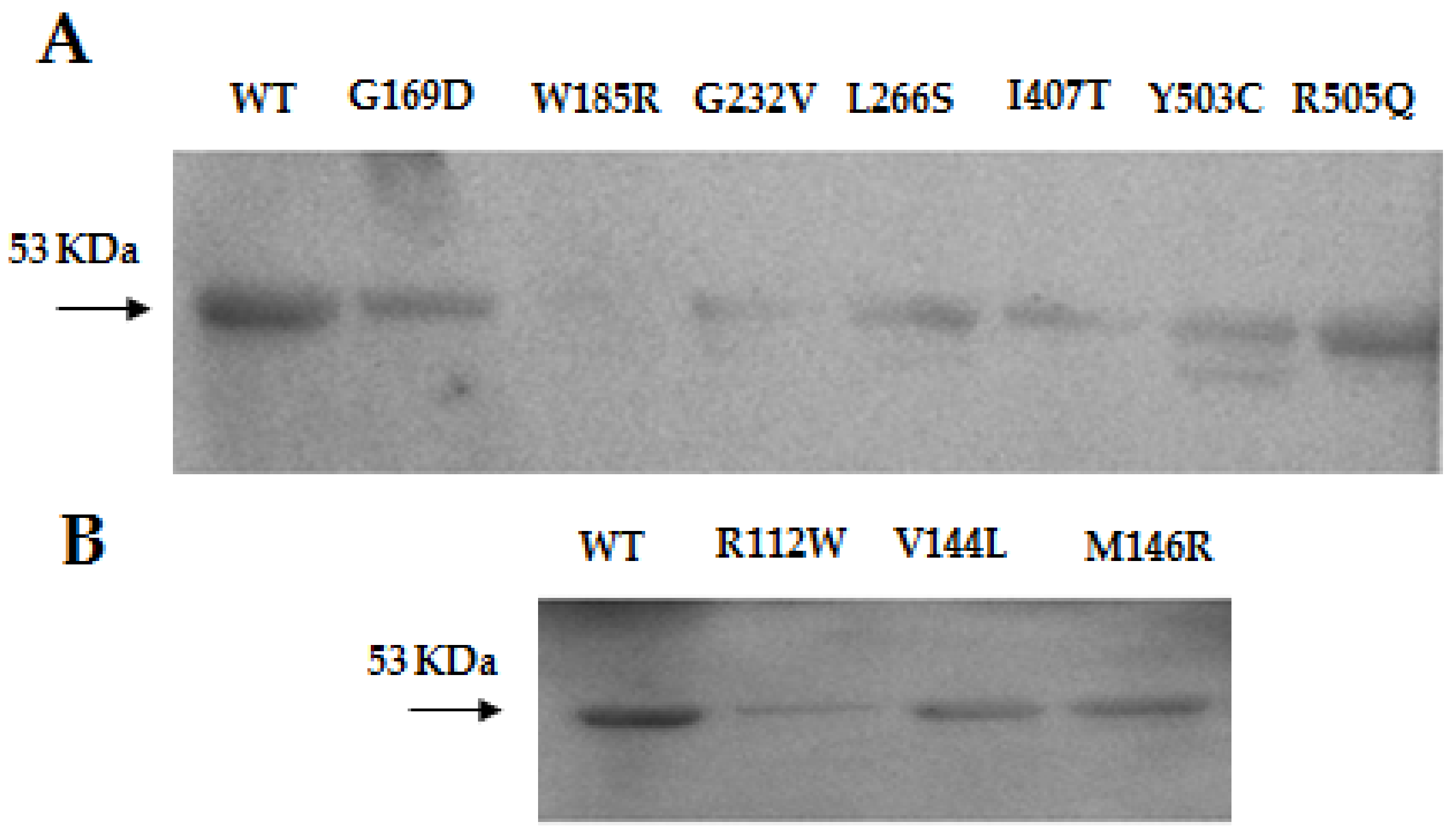
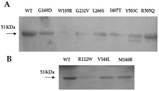
2.3. Protein Expression and Enzymatic Activity of mHS
2.4. Molecular Dynamics Simulations of mHS Mutants
3. Discussion
4. Materials and Methods
4.1. Patients
4.2. Genetic Diagnosis
4.3. mHS Protein Expression in E. coli
4.4. Western Blot Analysis
4.5. Enzymatic Activity
4.6. Structure Modeling of mHS Mutants
4.7. Molecular Dynamics Simulations
Acknowledgments
Author Contributions
Conflicts of Interest
References
- Fukao, T.; Mitchell, G.; Sass, J.O.; Hori, T.; Orii, K.; Aoyama, Y. Ketone body metabolism and its defects. J. Inherit. Metab. Dis. 2014, 37, 541–551. [Google Scholar] [CrossRef] [PubMed]
- Chen, S.W.; Chou, C.T.; Chang, C.C.; Li, Y.J.; Chen, S.T.; Lin, I.C.; Kok, S.H.; Cheng, S.J.; Lee, J.J.; Wu, T.S.; et al. HMGCS2 enhances invasion and metastasis via direct interaction with PPARα to activate Src signaling in colorectal cancer and oral cancer. Oncotarget 2017, 8, 22460–22476. [Google Scholar] [PubMed]
- Saraon, P.; Cretu, D.; Musrap, N.; Karagiannis, G.S.; Batruch, I.; Drabovich, A.P.; van der Kwast, T.; Mizokami, A.; Morrissey, C.; Jarvi, K.; et al. Quantitative proteomics reveals that enzymes of the ketogenic pathway are associated with prostate cancer progression. Mol. Cell. Proteom. 2013, 12, 1589–1601. [Google Scholar] [CrossRef] [PubMed]
- Aledo, R.; Mir, C.; Dalton, R.N.; Turner, C.; Pié, J.; Hegardt, F.G.; Casals, N.; Champion, M.P. Refining the diagnosis of mitochondrial HMG-CoA synthase deficiency. J. Inherit. Metab. Dis. 2006, 29, 207–211. [Google Scholar] [CrossRef] [PubMed]
- Pitt, J.J.; Peters, H.; Boneh, A.; Yaplito-Lee, J.; Wieser, S.; Hinderhofer, K.; Johnson, D.; Zschocke, J. Mitochondrial 3-hydroxy-3-methylglutaryl-CoA synthase deficiency: Urinary organic acid profiles and expanded spectrum of mutations. J. Inherit. Metab. Dis. 2015, 38, 459–466. [Google Scholar] [CrossRef] [PubMed]
- Aledo, R.; Zschocke, J.; Pié, J.; Mir, C.; Fiesel, S.; Mayatepek, E.; Hoffmann, G.F.; Casals, N.; Hegardt, F.G. Genetic basis of mitochondrial HMG-CoA synthase deficiency. Hum. Genet. 2001, 109, 19–23. [Google Scholar] [CrossRef] [PubMed]
- Zschocke, J.; Penzien, J.M.; Bielen, R.; Casals, N.; Aledo, R.; Pié, J.; Hoffmann, G.F.; Hegardt, F.G.; Mayatepek, E. The diagnosis of mitochondrial HMG-CoA synthase deficiency. J. Pediatr. 2002, 140, 778–780. [Google Scholar] [CrossRef] [PubMed]
- Conboy, E.; Vairo, F.; Schultz, M.; Agre, K.; Ridsdale, R.; Deyle, D.; Oglesbee, D.; Gavrilov, D.; Klee, E.W.; Lanpher, B. Mitochondrial 3-Hydroxy-3-Methylglutaryl-CoA synthase deficiency: Unique presenting laboratory values and a review of biochemical and clinical features. JIMD Rep. 2017. [Google Scholar] [CrossRef]
- Ramos, M.; Menao, S.; Arnedo, M.; Puisac, B.; Gil-Rodríguez, M.C.; Teresa-Rodrigo, M.E.; Hernández-Marcos, M.; Pierre, G.; Ramaswami, U.; Baquero-Montoya, C.; et al. New case of mitochondrial HMG-CoA synthase deficiency. Functional analysis of eight mutations. Eur. J. Med. Genet. 2013, 56, 411–415. [Google Scholar] [CrossRef] [PubMed]
- Reed, W.D.; Clinkenbeard, D.; Lane, M.D. Molecular and catalytic properties of mitochondrial (ketogenic) 3-hydroxy-3-methylglutaryl coenzyme A synthase of liver. J. Biol. Chem. 1975, 250, 3117–3123. [Google Scholar] [PubMed]
- Shafqat, N.; Turnbull, A.; Zschocke, J.; Oppermann, U.; Yue, W.W. Crystal structures of human HMG-CoA synthase isoforms provide insights into inherited ketogenesis disorders and inhibitor design. J. Mol. Biol. 2010, 398, 497–506. [Google Scholar] [CrossRef] [PubMed]
- Levtova, A.; Université de Montréal, Montreal, QC, Canada. Personal Communication, 2018.
- Loughrey, C.M.; Cundick, J.; Olpin, S.; Manning, N.; Cardy, D.; Zschocke, J. Poor outcome in 3-hydroxy 3-methylglutaryl-CoA (HMG-CoA) synthase deficiency [Abstract]. J. Inherit. Metab. Dis. 2013, 36, S197. [Google Scholar] [CrossRef]
- Yue, P.; Li, Z.; Moult, J. Loss of protein structure stability as a major causative factor in monogenic disease. J. Mol. Biol. 2005, 353, 459–473. [Google Scholar] [CrossRef] [PubMed]
- Wang, Z.; Moult, J. SNPs, protein structure, and disease. Hum. Mutat. 2001, 17, 263–270. [Google Scholar] [CrossRef] [PubMed]
- Cubellis, M.V.; Baaden, M.; Andreotti, G. Taming molecular flexibility to tackle rare diseases. Biochimie 2015, 113, 54–58. [Google Scholar] [CrossRef] [PubMed]
- Menao, S.; López-Viñas, E.; Mir, C.; Puisac, B.; Gratacós, E.; Arnedo, M.; Carrasco, P.; Moreno, S.; Ramos, M.; Gil, M.C.; et al. Ten novel HMGCL mutations in 24 patients of different origin with 3-hydroxy-3-methyl-glutaric aciduria. Hum. Mutat. 2009, 30, 520–529. [Google Scholar] [CrossRef] [PubMed]
- Pié, J.; López-Viñas, E.; Puisac, B.; Menao, S.; Pié, A.; Casale, C.; Ramos, F.J.; Hegardt, F.G.; Gómez-Puertas, P.; Casals, N. Molecular genetics of HMG-CoA lyase deficiency. Mol. Genet. Metab. 2007, 92, 198–209. [Google Scholar] [CrossRef] [PubMed]
- Benkert, P.; Biasini, M.; Schwede, T. Toward the estimation of the absolute quality of individual protein structure models. Bioinformatics 2011, 27, 343–350. [Google Scholar] [CrossRef] [PubMed]
- Case, D.A.; Babin, V.; Berryman, J.T.; Betz, R.M.; Cai, Q.; Cerutti, D.S.; Cheatham, T.E.; Darden, T.A.; Duke, R.E.; Gohlke, H.; et al. AMBER 14; University of California: San Francisco, CA, USA, 2014. [Google Scholar]
- Humphrey, W.; Dalke, A.; Schulten, K. VMD: Visual molecular dynamics. J. Mol. Graph. 1996, 14, 33–38. [Google Scholar] [CrossRef]




| Features | Patient 1 | Patient 2 | Patient 3 | |
|---|---|---|---|---|
| Clinical Manifestations | Age at Presentation | 3 months | 11.5 months | 3 years |
| Vomiting | + | + | − | |
| Coma | − | − | − | |
| Lethargy | − | + | − | |
| Abnormal Breathing | − | − | − | |
| Hepatomegaly | − | − | − | |
| Developmental Delay | − | − | − | |
| Encephalopathy | − | + (mild) | − | |
| Biochemical Data (plasma or serum) | Hypoglycemia | + | + | + |
| Metabolic Acidosis | − | − | − | |
| Hypoketonemia | + | + | − | |
| Elevated Lactate | − | − | − | |
| Elevated Free Carnitine | − | − | − | |
| Abnormal Acylcarnitines | − | + | + | |
| Elevated Ammonia | − | − | − | |
| Raised Transaminases | − | + | + | |
| Biochemical Data (urine) | Ketonuria | + (low) | + (low) | + (low) |
| Dicarboxylic Aciduria | + | + | + | |
| Hydroxydicarboxylic Aciduria | ? | + | ? | |
| * 4-HMP | ? | + | ? | |
| Mutation | Exon | Protein Effect | Specific Activity (U/mg) | Ref. |
|---|---|---|---|---|
| - | - | Wild type | 1.24 ± 0.01 (100%) | - |
| c.334C>T | E2 | p.R112W | n.d. | This work |
| c.430G>T | E2 | p.V144L | 0.1 ± 0.01 (8.45%) | This work |
| c.437T>G | E2 | p.M146R | n.d. | Levtova et al. 2018 [12] |
| c.506G>A | E2 | p.G169D | n.d. | Pitt et al. 2015 [5] |
| c.553C>T | E4 | p.W185R | n.d. | Pitt et al. 2015 [5] |
| c.695G>T | E4 | p.G232V | n.d. | Pitt et al. 2015 [5] |
| c.797T>C | E4 | p.L266S | n.d. | Pitt et al. 2015 [5] |
| c.1220T>C | E7 | p.I407T | n.d. | Pitt et al. 2015 [5] |
| c.1508A>G | E9 | p.Y503C | 0.11 ± 0.02 (8.72%) | Pitt et al. 2015 [5] |
| c.1514G>A | E9 | p.R505Q | 0.86 ± 0.05 (70.6%) | Pitt et al. 2015 [5] |
© 2018 by the authors. Licensee MDPI, Basel, Switzerland. This article is an open access article distributed under the terms and conditions of the Creative Commons Attribution (CC BY) license (http://creativecommons.org/licenses/by/4.0/).
Share and Cite
Puisac, B.; Marcos-Alcalde, I.; Hernández-Marcos, M.; Tobajas Morlana, P.; Levtova, A.; Schwahn, B.C.; DeLaet, C.; Lace, B.; Gómez-Puertas, P.; Pié, J. Human Mitochondrial HMG-CoA Synthase Deficiency: Role of Enzyme Dimerization Surface and Characterization of Three New Patients. Int. J. Mol. Sci. 2018, 19, 1010. https://doi.org/10.3390/ijms19041010
Puisac B, Marcos-Alcalde I, Hernández-Marcos M, Tobajas Morlana P, Levtova A, Schwahn BC, DeLaet C, Lace B, Gómez-Puertas P, Pié J. Human Mitochondrial HMG-CoA Synthase Deficiency: Role of Enzyme Dimerization Surface and Characterization of Three New Patients. International Journal of Molecular Sciences. 2018; 19(4):1010. https://doi.org/10.3390/ijms19041010
Chicago/Turabian StylePuisac, Beatriz, Iñigo Marcos-Alcalde, María Hernández-Marcos, Pilar Tobajas Morlana, Alina Levtova, Bernd C. Schwahn, Corinne DeLaet, Baiba Lace, Paulino Gómez-Puertas, and Juan Pié. 2018. "Human Mitochondrial HMG-CoA Synthase Deficiency: Role of Enzyme Dimerization Surface and Characterization of Three New Patients" International Journal of Molecular Sciences 19, no. 4: 1010. https://doi.org/10.3390/ijms19041010
APA StylePuisac, B., Marcos-Alcalde, I., Hernández-Marcos, M., Tobajas Morlana, P., Levtova, A., Schwahn, B. C., DeLaet, C., Lace, B., Gómez-Puertas, P., & Pié, J. (2018). Human Mitochondrial HMG-CoA Synthase Deficiency: Role of Enzyme Dimerization Surface and Characterization of Three New Patients. International Journal of Molecular Sciences, 19(4), 1010. https://doi.org/10.3390/ijms19041010

