Recombination Events Involving the atp9 Gene Are Associated with Male Sterility of CMS PET2 in Sunflower
Abstract
1. Introduction
2. Results
2.1. Identification of Recombination Events in CMS PET2
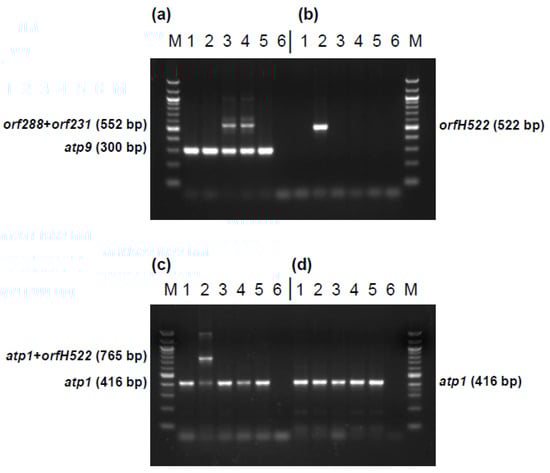
2.2. Origin of Orf288 and Orf231 in CMS PET2
2.3. Expression and RNA Editing of Orf288 and Orf231
2.4. Presence of Orf288 and Orf231 in CMS GIG1
2.5. Protein Analyses of Orf288 and Orf231
2.6. Development of Diagnostic Markers for CMS PET1 and CMS PET2 Cytoplasm
3. Discussion
3.1. Molecular Mechanisms behind Male Sterility in CMS PET2
3.2. Recombination Events Leading to Rearrangements at Atp9
3.3. Role of RNA Editing in Creating a Functional ATP9
3.4. CMS PET2 as Alternative to CMS PET1 in Commercial Hybrid Breeding
4. Materials and Methods
4.1. Plant Material
4.2. DNA Isolation and Labeling
4.3. Cloning and Sequencing
4.4. RNA Isolation and Reverse Transcriptase (RT)-PCR Analysis
4.5. Overexpression of Recombinant Orfs in E. coli
4.6. Immuno-Blotting
4.7. Accession Numbers
Supplementary Materials
Acknowledgments
Author Contributions
Conflicts of Interest
References
- Horn, R.; Gupta, J.K.; Colombo, N. Mitochondrion role in molecular basis of cytoplasmic male sterility. Mitochondrion 2014, 19, 198–205. [Google Scholar] [CrossRef] [PubMed]
- Kaul, M.L.H. Male Sterility in Higher Plants. Monographs in Theoretical and Applied Genetics; Springer: Berlin/Heidelberg, Germany; New York, NY, USA, 1988. [Google Scholar]
- Laser, K.D.; Lersten, N.R. Anatomy and cytology of microsporogenesis in cytoplasmic male sterile angiosperms. Bot. Rev. 1972, 33, 337–346. [Google Scholar] [CrossRef]
- Hanson, M.R.; Bentolila, S. Interactions of mitochondrial and nuclear genes that affect male gametophyte development. Plant Cell 2004, 16 (Suppl. 1), S154–S169. [Google Scholar] [CrossRef] [PubMed]
- Bohra, A.; Jha, U.C.; Adhimoolam, P.; Bisht, D.; Singh, N.P. Cytoplasmic male sterility (CMS) in hybrid breeding in field crops. Plant Cell Rep. 2016, 35, 967–993. [Google Scholar] [CrossRef] [PubMed]
- Schnable, P.S.; Wise, R.P. The molecular basis of cytoplasmic male sterility and fertility restoration. Trends Plant Sci. 1998, 3, 175–180. [Google Scholar] [CrossRef]
- Reddy, C.V.C.M.; Sinha, R.; Reddy, A.V.V.; Reddy, Y.R. Maintenance of male sterility and fertility restoration in different CMS sources in sunflower (Helianthus annuus L.). Asian J. Plant Sci. 2008, 7, 762–766. [Google Scholar] [CrossRef]
- Leclercq, P. Une sterilite male chez le tournesol. Ann. Amelior. Plants 1969, 19, 99–106. [Google Scholar]
- Vear, F. Changes in sunflower breeding over the last fifty years. OCL 2016, 23, D202. [Google Scholar] [CrossRef]
- Miller, R.J.; Koepe, D.E. Southern corn leaf blight: Susceptible and resistant mitochondria. Science 1971, 173, 67–69. [Google Scholar] [CrossRef] [PubMed]
- Levings, C.S. The Texas cytoplasm of maize—Cytoplasmic male-sterility and disease susceptibility. Science 1990, 250, 942–947. [Google Scholar] [CrossRef] [PubMed]
- Serieys, H. Identification, study and utilisation in breeding programs of new CMS sources in the FAO subnetwork. In Proceedings of the 2005 Sunflower Subnetwork Progress Report, Novi Sad, Serbia and Montenegro, 17–20 July 2005; FAO: Rome, Italy, 2005; pp. 47–53. [Google Scholar]
- De la Canal, L.; Crouzillat, D.; Quetier, F.; Ledoigt, G. A transcriptional alteration on the atp9 gene is associated with a sunflower male-sterile cytoplasm. Theor. Appl. Genet. 2001, 102, 1185–1189. [Google Scholar] [CrossRef]
- Horn, R.; Friedt, W. Fertility restoration of new CMS sources in sunflower. Plant Breed. 1997, 116, 317–322. [Google Scholar] [CrossRef]
- Horn, R.; Friedt, W. CMS sources in sunflower: Different origin but same mechanism? Theor. Appl. Genet. 1999, 98, 195–201. [Google Scholar] [CrossRef]
- Liu, Z.; Wang, D.; Feng, J.; Seiler, G.J.; Cai, X.; Jan, C.-C. Diversifying sunflower germplasm by integration and mapping of a novel male fertility restoration gene. Genetics 2013, 193, 727–737. [Google Scholar] [CrossRef] [PubMed]
- Schnabel, U.; Engelmann, U.; Horn, R. Development of markers for the use of the PEF1-cytoplasm in sunflower hybrid breeding. Plant Breed. 2008, 127, 587–591. [Google Scholar] [CrossRef]
- Dimitrijevic, A.; Horn, R. Sunflower hybrid breeding: From markers to genomic selection. Front. Plant Sci. 2018, 8, 2238. [Google Scholar] [CrossRef] [PubMed]
- Horn, R. Molecular diversity of male sterility inducing and male-fertile cytoplasms in the genus Helianthus. Theor. Appl. Genet. 2002, 104, 562–570. [Google Scholar] [CrossRef] [PubMed]
- Horn, R.; Kusterer, B.; Lazarescu, E.; Prüfe, M.; Özdemir, N.; Friedt, W. Molecular diversity of CMS sources and fertility restoration in the genus Helianthus. Helia 2002, 25, 29–40. [Google Scholar] [CrossRef]
- Whelan, E.D.P.; Dedio, W. Registration of sunflower germplasm composite crosses CMG-1, CMG-2, and CMG-3. Crop Sci. 1980, 20, 832. [Google Scholar] [CrossRef]
- Horn, R.; Hustedt, J.E.G.; Horstmeyer, A.; Hahnen, J.; Zetsche, K.; Friedt, W. The CMS-associated 16 kDa protein encoded by orfH522 is also present in other male sterile cytoplasms of sunflower. Plant Mol. Biol. 1996, 30, 523–538. [Google Scholar] [CrossRef] [PubMed]
- Whelan, E.D.P. Cytoplasmic male sterility in Helianthus giganteus L. × H. annuus L. interspecific hybrids. Crop Sci. 1981, 21, 855–858. [Google Scholar]
- Horner, H. A comparative light- and electron-microscopic study of microsporogenesis in male-fertile and cytoplasmic male-sterile sunflower (Helianthus annuus). Am. J. Bot. 1977, 64, 745–759. [Google Scholar] [CrossRef]
- Balk, J.; Leaver, C.J. The PET1-CMS mitochondrial mutation in sunflower is associated with premature programmed cell death and cytochrome c release. Plant Cell 2001, 13, 1803–1818. [Google Scholar] [CrossRef] [PubMed]
- Horn, R.; Köhler, R.H.; Zetsche, K. A mitochondrial 16 kDa protein is associated with cytoplasmic male sterility in sunflower. Plant Mol. Biol. 1991, 17, 29–36. [Google Scholar] [CrossRef] [PubMed]
- Köhler, R.H.; Horn, R.; Lössl, A.; Zetsche, K. Cytoplasmic male sterility in sunflower is correlated with the co-transcription of a new open reading frame with the atpA gene. Mol. Gen. Genet. 1991, 227, 369–376. [Google Scholar] [CrossRef] [PubMed]
- Laver, H.K.; Reynolds, S.J.; Monéger, F.; Leaver, C.J. Mitochondrial genome organization and expression associated with cytoplasmic male sterility in sunflower (Helianthus annuus). Plant J. 1991, 1, 185–193. [Google Scholar] [CrossRef] [PubMed]
- Monéger, F.; Smart, C.J.; Leaver, C.J. Nuclear restoration of cytoplasmic male sterility in sunflower is associated with the tissue-specific regulation of a novel mitochondrial gene. EMBO J. 1994, 13, 8–17. [Google Scholar] [PubMed]
- Smart, C.J.; Moneger, F.; Leaver, C.J. Cell-specific regulation of gene expression in mitochondria during anther development in sunflower. Plant Cell 1994, 6, 811–825. [Google Scholar] [CrossRef] [PubMed]
- Nizampatnam, N.R.; Doodhi, H.; Narasimhan, Y.K.; Mulpuri, S.; Viswanathaswamy, D.K. Expression of sunflower cytoplasmic male sterility-associated open reading frame, orfH522 induces male sterility in transgenic tobacco plants. Planta 2009, 229, 987–1001. [Google Scholar] [CrossRef] [PubMed]
- Nizampatnam, N.R.; Kumar, V.D. Intron hairpin and transitive RNAi mediated silencing of orfH522 transcripts restores male fertility in transgenic male sterile tobacco plants expressing orfH522. Plant Mol. Biol. 2011, 76, 557–573. [Google Scholar] [CrossRef] [PubMed]
- Notsu, Y.; Masood, S.; Nishikawa, T.; Kubo, N.; Akiduki, G.; Nakazono, M.; Hirai, A.; Kadowaki, K. The complete sequence of the rice (Oryza sativa L.) mitochondrial genome: Frequent DNA sequence acquisition and loss during the evolution of flowering plants. Mol. Genet. Genom. 2002, 268, 434–445. [Google Scholar] [CrossRef] [PubMed]
- Unseld, M.; Marienfeld, J.R.; Brandt, P.; Brennicke, A. The mitochondrial genome of Arabidopsis thaliana contains 57 genes in 366,924 nucleotides. Nat. Genet. 1997, 15, 57–61. [Google Scholar] [CrossRef] [PubMed]
- Tanaka, Y.; Tsuda, M.; Yasumoto, K.; Terachi, T.; Yamagishi, H. The complete mitochondrial genome sequence of Brassica oleracea and analysis of coexisting mitotypes. Curr. Genetics 2014, 60, 277–284. [Google Scholar] [CrossRef] [PubMed]
- Bentolila, S.; Stefanov, S. A reevaluation of rice mitochondrial evolution based on the complete sequence of male-fertile and male-sterile mitochondrial genomes. Plant Physiol. 2012, 158, 996–1017. [Google Scholar] [CrossRef] [PubMed][Green Version]
- Slipiko, M.; Myszczynski, K.; Buczkowska-Chmielewska, K.; Baczkiewicz, A.; Szczecinska, M.; Sawicki, J. Comparative analysis of four Calypogeia species revealed unexpected change in evolutionarily-stable liverwort mitogenomes. Genes 2017, 8, 395. [Google Scholar] [CrossRef] [PubMed]
- Igarashi, K.; Kazama, T.; Motomura, K.; Toriyama, K. Whole genomic sequencing of RT98 mitochondria derived from Oryza rufipogon and Northern blot analysis to uncover a cytoplasmic male sterility-associated gene. Plant Cell Physiol. 2013, 54, 237–243. [Google Scholar] [CrossRef] [PubMed]
- Okazaki, M.; Kazama, T.; Murata, H.; Motomura, K.; Toriyama, K. Whole mitochondrial genome sequencing and transcriptional analysis to uncover an RT102-type cytoplasmic male sterility-associated candidate gene derived from Oryza rufipogon. Plant Cell Physiol. 2013, 54, 1560–1568. [Google Scholar] [CrossRef] [PubMed]
- Tanaka, Y.; Tsuda, M.; Yasumoto, K.; Yamagishi, H.; Terachi, T. A complete mitochondrial genome sequence of Ogura-type male-sterile cytoplasm and its comparative analysis with that of a normal cytoplasm in radish (Raphanus sativus L.). BMC Genom. 2012, 13, 352. [Google Scholar] [CrossRef] [PubMed]
- Liu, H.; Cui, P.; Zhan, K.; Lin, Q.; Zhuo, G.; Guo, X.; Ding, F.; Yang, W.; Liu, D.; Hu, S.; et al. Comparative analysis of mitochondrial genomes between a wheat K-type cytoplasmic male sterility (CMS) line and its maintainer line. BMC Genom. 2011, 12, 163. [Google Scholar] [CrossRef] [PubMed]
- Tuteja, R.; Saxena, R.K.; Davila, J.; Shah, T.; Chen, W.; Xiao, Y.L.; Fan, G.; Saxena, K.B.; Alverson, A.J.; Spillane, C.; et al. Cytoplasmic male sterility-associated chimeric open reading frames identified by mitochondrial genome sequencing of four Cajanus genotypes. DNA Res. 2013, 20, 485–495. [Google Scholar] [CrossRef] [PubMed]
- Grassa, C.J.; Ebert, D.P.; Kane, N.C.; Rieseberg, L.H. Complete mitochondrial genome sequence of sunflower (Helianthus annuus L.). Genome Announc. 2016, 4, e00981-16. [Google Scholar] [CrossRef] [PubMed]
- Recipon, H. The sequence of the sunflower mitochondrial ATPase subunit 9 gene. Nucleic Acid Res. 1990, 18, 1644. [Google Scholar] [CrossRef] [PubMed][Green Version]
- Luo, D.; Xu, H.; Liu, Z.; Guo, J.; Li, H.; Chen, L.; Fang, C.; Zhang, Q.; Bai, M.; Yao, N.; et al. A detrimental mitochondrial-nuclear interaction causes cytoplasmic male sterility in rice. Nat. Genet. 2013, 45, 573–577. [Google Scholar] [CrossRef] [PubMed]
- Leipner, J.; Horn, R. Nuclear and cytoplasmic differences in the mitochondrial respiration and protein expression of CMS and maintainer lines of sunflower. Euphytica 2002, 123, 411–419. [Google Scholar] [CrossRef]
- Dabbeni-Sala, F.; Rail, A.K.; Lippe, G. proteomics. In Proteomics—Human Diseases and Protein Functions; Man, T.K., Flores, R.J., Eds.; INTECH Open Access Publisher: Rijeka, Croatia, 2012; pp. 161–188. [Google Scholar]
- Rak, M.; Gokova, S.; Tzagoloff, A. Modular assembly of yeast mitochondrial ATP synthase. EMBO J. 2011, 30, 920–930. [Google Scholar] [CrossRef] [PubMed]
- Wesolowski, W.; Szklarczyk, M.; Szalonek, M.; Slowinska, J. Analysis of the mitochondrial proteome in cytoplasmic male-sterile and male-fertile beets. J. Proteom. 2015, 119, 61–74. [Google Scholar] [CrossRef] [PubMed]
- Yamamoto, M.P.; Kubo, T.; Mikami, T. The 5’-leader sequence of sugar beet mitochondrial atp6 encodes a novel polypeptide that is characteristic of Owen cytoplasmic male sterility. Mol. Gen. Genom. 2005, 273, 342–349. [Google Scholar] [CrossRef] [PubMed]
- Matsuhira, H.; Kagami, H.; Kurata, M.; Kitazaka, K.; Matsunaga, M.; Hamaguchi, Y.; Hagihara, E.; Ueda, M.; Harada, M.; Muramatsu, A.; et al. Unusual and typical features of a novel restorer-of-fertility gene of sugar beet (Beta vulgaris L.). Genetics 2012, 192, 1347–1358. [Google Scholar] [CrossRef] [PubMed]
- Jia, L.; Dienhardt, M.K.; Stuart, R.A. Oxa1 directly interacts with ATP9 and mediates its assembly into the mitochondrial F1Fo-ATP synthase complex. Mol. Biol. Cell 2007, 18, 1897–18908. [Google Scholar] [CrossRef] [PubMed]
- Kühn, K.; Gualberto, J.M. Recombination in the stability, repair and evolution of the mitochondrial genome. Adv. Bot. Res. 2012, 63, 215–252. [Google Scholar]
- Mackenzie, S.; McIntosh, L. Higher plant mitochondria. Plant Cell 1999, 11, 571–586. [Google Scholar] [CrossRef] [PubMed]
- Gallagher, L.J.; Betz, S.K.; Chase, C.D. Mitochondrial RNA editing truncates a chimeric open reading frame associated with S male-sterility in maize. Curr. Genet. 2002, 42, 179–184. [Google Scholar] [CrossRef] [PubMed]
- Serieys, H.; Vincourt, P. Characterisation of some new CMS sources from Helianthus genus. Helia 1987, 10, 9–13. [Google Scholar]
- Szklarczyk, M.; Oczkowski, M.; Augustyniak, H.; Börner, T.; Linke, B.; Michalik, B. Organisation and expression of mitochondrial atp9 genes from CMS and fertile carrots. Theor. Appl. Genet. 2000, 100, 263–270. [Google Scholar] [CrossRef]
- Szklarczyk, M.; Szymanski, M.; Wójik-Jagla, M.; Simon, P.W.; Weihe, A.; Börner, T. Mitochondrial atp9 genes from petaloid male-sterile and male-fertile carrots differ in their status of heteroplasmy recombination involvement, post-transcriptional processing as well as accumulation of RNA and protein product. Theor. Appl. Genet. 2014, 127, 1689–1701. [Google Scholar] [CrossRef] [PubMed]
- Dieterich, J.H.; Braun, H.P.; Schmitz, U.K. Alloplasmic male sterility in Brassica napus (CMS ‘Tournefortii-Stiewe’) is associated with a special gene arrangement around a novel atp9 gene. Mol. Genet. Genom. 1993, 269, 723–731. [Google Scholar] [CrossRef] [PubMed]
- Liu, X.-L.; Zhang, S.-W.; Duan, J.-Q.; Du, G.-H.; Liu, F.-H. Mitochondrial genes atp6 and atp9 cloned and characterized from ramie (Boehmeria nivea (L.) Gaud.) and their relationship with cytoplasmic male sterility. Mol. Breed. 2012, 30, 23–32. [Google Scholar] [CrossRef]
- Takena, M.; Verbitskiy, D.; Zehrmann, A.; Härtel, B.; Bayer-Csaszar, E.; Glass, F.; Brennicke, A. RNA editing in plant mitochondria—Connecting RNA target sequences and acting proteins. Mitochondrion 2014, 19, 191–197. [Google Scholar] [CrossRef] [PubMed]
- Hammani, K.; Giegé, P. RNA metabolism in plant mitochondria. Cell 2014, 19, 380–389. [Google Scholar] [CrossRef] [PubMed]
- Giege, P.; Brennicke, A. RNA editing in Arabidopsis mitochondria effects 441 C to U changes in ORFs. Proc. Natl. Acad. Sci. USA 1999, 96, 15324–15329. [Google Scholar] [CrossRef] [PubMed]
- Schuster, W.; Brennicke, A. RNA editing of ATPase subunit 9 transcripts in Oenothera mitochondria. FEBS Lett. 1990, 268, 252–256. [Google Scholar] [CrossRef]
- Dellorto, P.; Moenne, A.; Graves, P.V.; Jordana, X. The potato mitochondrial ATP synthase subunit-9—Gene structure, RNA editing and partial protein-sequence. Plant Sci. 1993, 88, 45–53. [Google Scholar] [CrossRef]
- Bégu, D.; Graves, P.-V.; Domec, C.; Arselin, G.; Litvak, S.; Araya, A. RNA editing of wheat mitochondrial ATP synthase subunit 9: Direct protein and cDNA sequencing. Plant Cell 1990, 2, 1283–1290. [Google Scholar] [CrossRef] [PubMed]
- Hernould, M.; Suharsono, S.; Litvak, S.; Araya, A.; Mouras, A. Male-sterility induction in transgenic tobacco plants with an unedited atp9 mitochondrial gene from wheat. Proc. Natl. Acad. Sci. USA 1993, 90, 2370–2374. [Google Scholar] [CrossRef] [PubMed]
- Gomez-Casati, D.F.; Busi, M.V.; Gonzalez-Schain, N.; Mouras, A.; Zabaleta, E.J.; Araya, A. A mitochondrial dysfunction induces the expression of nuclear-encoded complex I genes in engineered male sterile Arabidopsis thaliana. FEBS Lett. 2002, 532, 70–74. [Google Scholar] [CrossRef]
- Zabaleta, E.; Mouras, A.; Hernould, M.; Araya, A. Transgenic male-sterile plant induced by an unedited atp9 gene is restored to fertility by inhibiting its expression with antisense RNA. Proc. Natl. Acad. Sci. USA 1996, 93, 11259–11263. [Google Scholar] [CrossRef] [PubMed]
- Kalinati, N.Y.; Kumar, D.V.; Reddy, S.S. RNA editing of the nad3 and atp9 mitochondrial gene transcripts of safflower (Carthamus tinctorius). Int. J. Integr. Biol. 2008, 3, 143–149. [Google Scholar]
- Siculella, L.; Palmer, J.D. Physical and gene organization of mitochondrial DNA in fertile and male sterile sunflower. CMS-associated alterations in structure and transcription of the atpA gene. Nucl. Acids Res. 1988, 16, 3787–3799. [Google Scholar] [CrossRef] [PubMed]
- Horn, R.; Reddemann, A.; Drumeva, M. Comparison of cytoplasmic male sterility based on PET1 and PET2 cytoplasm in sunflower (Helianthus annuus L.). In Proceedings of the 2016 19th International Sunflower Conference, Edirne, Turkey, 29 May–6 June 2016; pp. 620–629. [Google Scholar]
- Kim, S.; Lim, H.; Park, S.; Cho, K.-H.; Sung, S.-K.; Oh, D.-G.; Kim, K.-T. Identification of a novel mitochondrial genome type and development of molecular markers for cytoplasm classification in radish (Raphanus sativus L.). Theor. Appl. Genet. 2007, 115, 1137–1145. [Google Scholar] [CrossRef] [PubMed]
- Liu, G.; Zhao, Z.; Xiao, M.; Mason, A.S.; Yan, H.; Zhou, Q.; Fu, D. Repetitive sequence characterization and development of SSR and CMS-specific markers in the Brassica mitochondrial genomes. Mol. Breed. 2015, 35, 219. [Google Scholar] [CrossRef]
- Zhang, X.; Meng, Z.; Zhou, T.; Sun, G.; Shi, J.; Yu, Y.; Zhang, R.; Guo, S. Mitochondrial SCAR and SSR markers for distinguishing cytoplasmic male sterile lines from their isogenic maintainer lines in cotton. Plant Breed. 2012, 131, 563–570. [Google Scholar] [CrossRef]
- Sanetomo, R.; Gebhardt, C. Cytoplasmic genome types of European potatoes and their effects on complex agronomic traits. BMC Plant Biol. 2015, 15, 162. [Google Scholar] [CrossRef] [PubMed]
- Doyle, J.J.; Doyle, J.L. A rapid DNA isolation procedure for small quantities of fresh leaf tissue. Phytochem. Bull. 1987, 19, 11–15. [Google Scholar]
- Horn, R. Technical protocol for mitochondria isolation for different studies. In Alternative Respiratory Pathways in Higher Plants; Gupta, K.J., Mur, L.A., Neelwarne, B., Eds.; John Wiley & Sons, Ltd.: Chichester, UK, 2015; pp. 347–358. [Google Scholar] [CrossRef]
- Evans, M.R.; Bertera, A.L.; Harris, D.W. The Southern blot. Mol. Biotechnol. 1994, 1, 1–12. [Google Scholar] [CrossRef] [PubMed]









© 2018 by the authors. Licensee MDPI, Basel, Switzerland. This article is an open access article distributed under the terms and conditions of the Creative Commons Attribution (CC BY) license (http://creativecommons.org/licenses/by/4.0/).
Share and Cite
Reddemann, A.; Horn, R. Recombination Events Involving the atp9 Gene Are Associated with Male Sterility of CMS PET2 in Sunflower. Int. J. Mol. Sci. 2018, 19, 806. https://doi.org/10.3390/ijms19030806
Reddemann A, Horn R. Recombination Events Involving the atp9 Gene Are Associated with Male Sterility of CMS PET2 in Sunflower. International Journal of Molecular Sciences. 2018; 19(3):806. https://doi.org/10.3390/ijms19030806
Chicago/Turabian StyleReddemann, Antje, and Renate Horn. 2018. "Recombination Events Involving the atp9 Gene Are Associated with Male Sterility of CMS PET2 in Sunflower" International Journal of Molecular Sciences 19, no. 3: 806. https://doi.org/10.3390/ijms19030806
APA StyleReddemann, A., & Horn, R. (2018). Recombination Events Involving the atp9 Gene Are Associated with Male Sterility of CMS PET2 in Sunflower. International Journal of Molecular Sciences, 19(3), 806. https://doi.org/10.3390/ijms19030806
