Stabilization of Immobilized Lipases by Intense Intramolecular Cross-Linking of Their Surfaces by Using Aldehyde-Dextran Polymers
Abstract
1. Introduction
2. Results and Discussion
2.1. Study of the Aldehyde-Dextran Reactivity
- Multipoint reaction with poly-aminated structures;
- One-point attachment with single amino groups in the presence of Schiff’s base stabilizers;
- One-point attachment between single amino groups and modified cyclic structures.
- The density of aldehyde groups in the polymer is very high;
- There are no steric hindrances for the amino-aldehyde reaction;
- The reaction with a poly-aminated structure involves a number of multipoint covalent attachments in the absence of stabilizers.
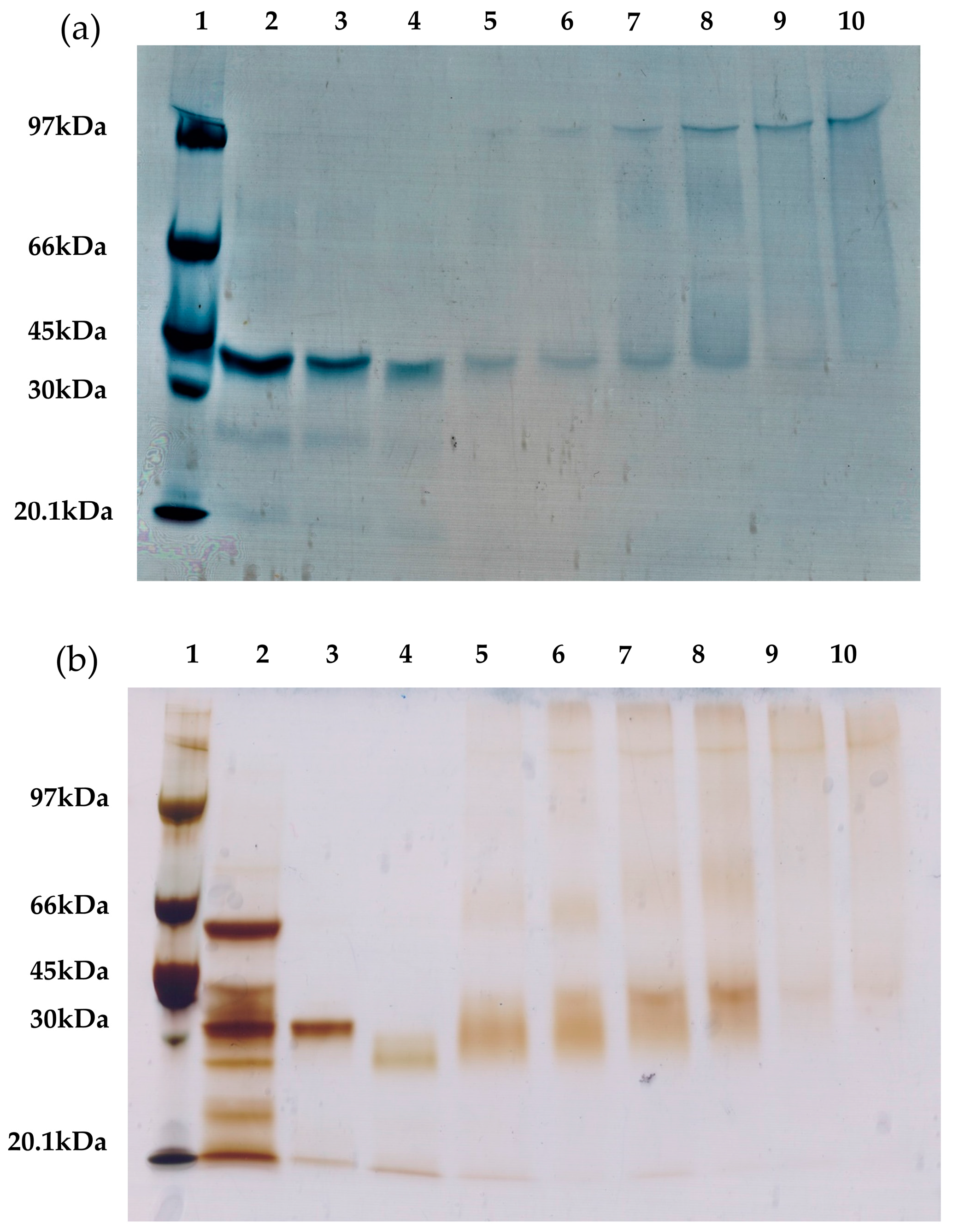
2.2. Cross-Linking of Lipases Adsorbed on Octyl-Sepharose Support
2.3. Optimizing the Lipase Cross-Linking
3. Materials and Methods
3.1. Materials
3.2. Lipase Enzymatic Activity Assay
3.3. PGA Enzymatic Activity Assay
3.4. Dextran-Toyopearl Support Preparation
3.5. Activation of Dextran-Toyopearl Support (ADT)
3.6. Immobilization of Penicillin G Acylase (PGA) on ADT
3.7. Lipase Immobilization
3.8. Chemical Amination of Immobilized Lipases
3.9. Dextran Aldehyde Coating
3.10. Thermal-Stabilization Studies
3.11. SDS-PAGE Analysis
4. Conclusions
Acknowledgments
Author Contributions
Conflicts of Interest
Abbreviations
| TLL | Thermomyces lanuginosus lipase |
| RML | Rhizomucor miehiei lipase |
| CALB | Candida antarctica B lipase |
| PGA | Penicillin G acylase from Escherichia coli |
| OA | Octyl agarose |
| Dx-CHO | Aldehyde-dextran |
| EDAC | 1-ethyl-3-[3-dimethylaminopropil]carbodiimide |
| pNPB | p-pitrophenolbutyrate |
| ADT | Aldehyde-dextran-Toyopearl |
| Asp | Aspartic acid |
| Glu | Glutamic acid |
| Lys | Lysine |
| Cys | Cysteine |
| DTT | Dithiothreitol |
| EDA | Ethylenediamine |
| TNBS | 2,4,6-trinitrobenzenesulfonic |
| NIPAB | 6-nitro-3-phenylacetamidobenzoic acid |
References
- Singh, R.; Tiwari, M.; Singh, R.; Lee, J.-K. From protein engineering to immobilization: Promising strategies for the upgrade of industrial enzymes. Int. J. Mol. Sci. 2013, 14, 1232. [Google Scholar] [CrossRef] [PubMed]
- Adlercreutz, P. Immobilisation and application of lipases in organic media. Chem. Soc. Rev. 2013, 42, 6406–6436. [Google Scholar] [CrossRef] [PubMed]
- Zhang, J.; Shi, H.; Wu, D.; Xing, Z.; Zhang, A.; Yang, Y.; Li, Q. Recent developments in lipase-catalyzed synthesis of polymeric materials. Process Biochem. 2014, 49, 797–806. [Google Scholar] [CrossRef]
- Jaeger, K.-E.; Eggert, T. Lipases for biotechnology. Curr. Opin. Biotechnol. 2002, 13, 390–397. [Google Scholar] [CrossRef]
- Mateo, C.; Palomo, J.M.; Fernandez-Lorente, G.; Guisan, J.M.; Fernandez-Lafuente, R. Improvement of enzyme activity, stability and selectivity via immobilization techniques. Enzyme Microb. Technol. 2007, 40, 1451–1463. [Google Scholar] [CrossRef]
- Fernandez-Lorente, G.; Cabrera, Z.; Godoy, C.; Fernandez-Lafuente, R.; Palomo, J.M.; Guisan, J.M. Interfacially activated lipases against hydrophobic supports: Effect of the support nature on the biocatalytic properties. Process Biochem. 2008, 43, 1061–1067. [Google Scholar] [CrossRef]
- Hass, M.A.S.; Mulder, F.A.A. Contemporary NMR studies of protein electrostatics. Annu. Rev. Biophys. 2015, 44, 53–75. [Google Scholar] [CrossRef] [PubMed]
- Fernandez-Lafuente, R.; Rosell, C.M.; Rodriguez, V.; Santana, C.; Soler, G.; Bastida, A.; Guisán, J.M. Preparation of activated supports containing low pK amino groups. A new tool for protein immobilization via the carboxyl coupling method. Enzyme Microb. Technol. 1993, 15, 546–550. [Google Scholar] [PubMed]
- Rocha-Martin, J.; Acosta, A.; Berenguer, J.; Guisan, J.M.; Lopez-Gallego, F. Selective oxidation of glycerol to 1,3-dihydroxyacetone by covalently immobilized glycerol dehydrogenases with higher stability and lower product inhibition. Bioresour. Technol. 2014, 170, 445–453. [Google Scholar] [CrossRef] [PubMed]
- Pessela, B.C.; Mateo, C.; Filho, M.; Carrascosa, A.V.; Fernandez-Lafuente, R.; Guisán, J.M. Stabilization of the quaternary structure of a hexameric alpha-galactosidase from Thermus sp. T2 by immobilization and post-immobilization techniques. Process Biochem. 2008, 43, 193–198. [Google Scholar]
- Hidalgo, A.; Betancor, L.; Lopez-Gallego, F.; Moreno, R.; Berenguer, J.; Fernández-Lafuente, R.; Guisán, J.M. Design of an immobilized preparation of catalase from Thermus thermophilus to be used in a wide range of conditions: Structural stabilization of a multimeric enzyme. Enzyme Microb. Technol. 2003, 33, 278–285. [Google Scholar] [CrossRef]
- Fernandez-Lorente, G.; Filice, M.; Lopez-Vela, D.; Pizarro, C.; Wilson, L.; Betancor, L.; Avila, Y.; Guisan, J.M. Cross-linking of lipases adsorbed on hydrophobic supports: Highly selective hydrolysis of fish oil catalyzed by RML. J. Am. Oil Chem. Soc. 2011, 88, 801–807. [Google Scholar] [CrossRef]
- Pizarro, C.; Brañes, M.C.; Markovits, A.; Fernández-Lorente, G.; Guisán, J.M.; Chamy, R.; Wilson, L. Influence of different immobilization techniques for Candida cylindracea lipase on its stability and fish oil hydrolysis. J. Mol. Catal. B Enzym. 2012, 78, 111–118. [Google Scholar] [CrossRef]
- Betancor, L.; Fuentes, M.; Dellamora-Ortiz, G.; López-Gallego, F.; Hidalgo, A.; Alonso-Morales, N.; Mateo, C.; Guisán, J.M.; Fernández-Lafuente, R. Dextran aldehyde coating of glucose oxidase immobilized on magnetic nanoparticles prevents its inactivation by gas bubbles. J. Mol. Catal. B Enzym. 2005, 32, 97–101. [Google Scholar] [CrossRef]
- Fernández-Lafuente, R.; Rodrı́guez, V.; Mateo, C.; Fernández-Lorente, G.; Arminsen, P.; Sabuquillo, P.; Guisán, J.M. Stabilization of enzymes (d-amino acid oxidase) against hydrogen peroxide via immobilization and post-immobilization techniques. J. Mol. Catal. B Enzym. 1999, 7, 173–179. [Google Scholar] [CrossRef]
- Betancor, L.; López-Gallego, F.; Hidalgo, A.; Alonso-Morales, N.; Fuentes, M.; Fernández-Lafuente, R.; Guisán, J.M. Prevention of interfacial inactivation of enzymes by coating the enzyme surface with dextran-aldehyde. J. Biotechnol. 2004, 110, 201–207. [Google Scholar] [CrossRef] [PubMed]
- Lopez-Gallego, F.; Betancor, L.; Hidalgo, A.; Dellamora-Ortiz, G.; Mateo, C.; Fernández-Lafuente, R.; Guisán, J.M. Stabilization of different alcohol oxidases via immobilization and post immobilization techniques. Enzyme Microb. Technol. 2007, 40, 278–284. [Google Scholar] [CrossRef]
- Neishlos, A.L.; Novikova, E.V.; Passet, B.V.; Moskvin, A.V. IR and NMR study of the structure of dextran polyaldehyde. Russ. J. Appl. Chem. 2004, 77, 128–130. [Google Scholar] [CrossRef]
- Mateo, C.; Pessela, B.C.C.; Fuentes, M.; Torres, R.; Betancor, L.; Hidalgo, A.; Fernández-Lorente, G.; Fernandez-Lafuente, R.; Guisan, J.M. Stabilization of multimeric enzymes via immobilization and further cross-linking with aldehyde-dextran. In Immobilization of Enzymes and Cells; Guisan, J.M., Ed.; Humana Press: Totowa, NJ, USA, 2006; pp. 129–141. [Google Scholar]
- Maia, J.; Carvalho, R.A.; Coelho, J.F.J.; Simões, P.N.; Gil, M.H. Insight on the periodate oxidation of dextran and its structural vicissitudes. Polymer 2011, 52, 258–265. [Google Scholar] [CrossRef]
- Bezbradica, D.I.; Mateo, C.; Guisan, J.M. Novel support for enzyme immobilization prepared by chemical activation with cysteine and glutaraldehyde. J. Mol. Catal. B Enzym. 2014, 102, 218–224. [Google Scholar] [CrossRef]
- Fernandez-Lafuente, R. Lipase from Thermomyces lanuginosus: Uses and prospects as an industrial biocatalyst. J. Mol. Catal. B Enzym. 2010, 62, 197–212. [Google Scholar] [CrossRef]
- Rodrigues, R.C.; Fernandez-Lafuente, R. Lipase from Rhizomucor miehei as an industrial biocatalyst in chemical process. J. Mol. Catal. B Enzym. 2010, 64, 1–22. [Google Scholar] [CrossRef]
- Kirk, O.; Christensen, M.W. Lipases from Candida antarctica: Unique biocatalysts from a unique origin. Org. Process Res. Dev. 2002, 6, 446–451. [Google Scholar] [CrossRef]
- Bastida, A.; Sabuquillo, P.; Armisen, P.; Fernández-Lafuente, R.; Huguet, J.; Guisán, J.M. A single step purification, immobilization, and hyperactivation of lipases via interfacial adsorption on strongly hydrophobic supports. Biotechnol. Bioeng. 1998, 58, 486–493. [Google Scholar] [CrossRef]
- Fernandez-Lafuente, R.; Armisén, P.; Sabuquillo, P.; Fernández-Lorente, G.; Guisán, J.M. Immobilization of lipases by selective adsorption on hydrophobic supports. Chem. Phys. Lipids 1998, 93, 185–197. [Google Scholar]
- Palomo, J.M.; Muñoz, G.; Fernández-Lorente, G.; Mateo, C.; Fernández-Lafuente, R.; Guisán, J.M. Interfacial adsorption of lipases on very hydrophobic support (octadecyl-Sepabeads): Immobilization, hyperactivation and stabilization of the open form of lipases. J. Mol. Catal. B Enzym. 2002, 19–20, 279–286. [Google Scholar] [CrossRef]
- Fernández-Lorente, G.; Lopez-Gallego, F.; Bolivar, J.M.; Rocha-Martin, J.; Moreno-Perez, S.; Guisán, J.M. Immobilization of proteins on highly activated glyoxyl supports: Dramatic increase of the enzyme stability via multipoint immobilization on pre-existing carriers. Curr. Org. Chem. 2015, 19, 1719–1731. [Google Scholar] [CrossRef]
- Rocha-Martín, J.; Vega, D.; Bolivar, J.M.; Hidalgo, A.; Berenguer, J.; Guisán, J.M.; López-Gallego, F. Characterization and further stabilization of a new anti-prelog specific alcohol dehydrogenase from Thermus thermophilus HB27 for asymmetric reduction of carbonyl compounds. Bioresour. Technol. 2012, 103, 343–350. [Google Scholar] [CrossRef] [PubMed]
- Aragon, C.C.; Mateo, C.; Ruiz-Matute, A.I.; Corzo, N.; Fernandez-Lorente, G.; Sevillano, L.; Díaz, M.; Monti, R.; Santamaría, R.I.; Guisan, J.M. Production of xylo-oligosaccharides by immobilized-stabilized derivatives of endo-xylanase from Streptomyces halstedii. Process Biochem. 2013, 48, 478–483. [Google Scholar] [CrossRef]
- Bernal, C.; Marciello, M.; Mesa, M.; Sierra, L.; Fernandez-Lorente, G.; Mateo, C.; Guisan, J.M. Immobilisation and stabilisation of β-galactosidase from Kluyveromyces lactis using a glyoxyl support. Int. Dairy J. 2013, 28, 76–82. [Google Scholar] [CrossRef]
- López-Gallego, F.; Fernandez-Lorente, G.; Rocha-Martin, J.; Bolivar, J.M.; Mateo, C.; Guisan, J.M. Stabilization of enzymes by multipoint covalent immobilization on supports activated with glyoxyl groups. Methods Mol. Biol. 2013, 1051, 59–71. [Google Scholar] [PubMed]
- Jackson, E.; López-Gallego, F.; Guisan, J.M.; Betancor, L. Enhanced stability of l-lactate dehydrogenase through immobilization engineering. Process Biochem. 2016, 51, 1248–1255. [Google Scholar] [CrossRef]
- Bolivar, J.M.; López-Gallego, F.; Godoy, C.; Rodrigues, D.S.; Rodrigues, R.C.; Batalla, P.; Rocha-Martín, J.; Mateo, C.; Giordano, R.L.C.; Guisán, J.M. The presence of thiolated compounds allows the immobilization of enzymes on glyoxyl agarose at mild pH values: New strategies of stabilization by multipoint covalent attachment. Enzyme Microb. Technol. 2009, 45, 477–483. [Google Scholar] [CrossRef]
- Galvis, M.; Barbosa, O.; Torres, R.; Ortiz, C.; Fernandez-Lafuente, R. Effect of solid-phase chemical modification on the features of the lipase from Thermomyces lanuginosus. Process Biochem. 2012, 47, 460–466. [Google Scholar] [CrossRef]
- Petersen, B.; Petersen, T.N.; Andersen, P.; Nielsen, M.; Lundegaard, C. A generic method for assignment of reliability scores applied to solvent accessibility predictions. BMC Struct. Biol. 2009, 9, 51. [Google Scholar] [CrossRef] [PubMed]
- Rueda, N.; Santos, J.C.S.D.; Ortiz, C.; Barbosa, O.; Fernandez-Lafuente, R.; Torres, R. Chemical amination of lipases improves their immobilization on octyl-glyoxyl agarose beads. Catal. Today 2016, 259 Pt 1, 107–118. [Google Scholar] [CrossRef]
- Rueda, N.; dos Santos, J.C.S.; Torres, R.; Ortiz, C.; Barbosa, O.; Fernandez-Lafuente, R. Improved performance of lipases immobilized on heterofunctional octyl-glyoxyl agarose beads. RSC Adv. 2015, 5, 11212–11222. [Google Scholar] [CrossRef]
- Moreno-Pérez, S.; Orrego, A.H.; Romero-Fernández, M.; Trobo-Maseda, L.; Martins-DeOliveira, S.; Munilla, R.; Fernández-Lorente, G.; Guisan, J.M. Chapter three—Intense pegylation of enzyme surfaces: Relevant stabilizing effects. In Methods Enzymol; Kumar, C.V., Ed.; Academic Press: Cambridge, MA, USA, 2016; Volume 571, pp. 55–72. [Google Scholar]
- Hernández-Ortiz, J.C.; Vivaldo-Lima, E. Crosslinking. In Handbook of Polymer Synthesis, Characterization, and Processing; John Wiley & Sons, Inc.: Hoboken, NJ, USA, 2013; pp. 187–204. [Google Scholar]
- Siddiqui, K.S.; Cavicchioli, R. Improved thermal stability and activity in the cold-adapted lipase B from Candida antarctica following chemical modification with oxidized polysaccharides. Extremophiles 2005, 9, 471–476. [Google Scholar] [CrossRef] [PubMed]
- Blanco, R.M.; Guisán, J. Stabilization of enzymes by multipoint covalent attachment to agarose-aldehyde gels. Borohydride reduction of trypsin-agarose derivatives. Enzyme Microb. Technol. 1989, 11, 360–366. [Google Scholar] [CrossRef]
- Snyder, S.L.; Sobocinski, P.Z. An improved 2,4,6-trinitrobenzenesulfonic acid method for the determination of amines. Anal. Biochem. 1975, 64, 284–288. [Google Scholar] [CrossRef]
- Rodrigues, R.C.; Godoy, C.A.; Volpato, G.; Ayub, M.A.Z.; Fernandez-Lafuente, R.; Guisan, J.M. Immobilization-stabilization of the lipase from Thermomyces lanuginosus: Critical role of chemical amination. Process Biochem. 2009, 44, 963–968. [Google Scholar] [CrossRef]
- Carraway, K.L.; Koshland, D.E. Carbodiimide modification of proteins. In Methods Enzymol.; Academic Press: Cambridge, MA, USA, 1972; Volume 25, pp. 616–623. [Google Scholar]
- Carraway, K.L.; Spoerl, P.; Koshland, D.E. Carboxyl group modification in chymotrypsin and chymotrypsinogen. J. Mol. Biol. 1969, 42, 133–137. [Google Scholar] [CrossRef]
- Ruiz, M.; Galvis, M.; Barbosa, O.; Ortiz, C.; Torres, R.; Fernandez-Lafuente, R. Solid-phase modification with succinic polyethyleneglycol of aminated lipase B from Candida antarctica: Effect of the immobilization protocol on enzyme catalytic properties. J. Mol. Catal. B Enzym. 2013, 87, 75–82. [Google Scholar] [CrossRef]
- Romero, O.; Guisán, J.M.; Illanes, A.; Wilson, L. Reactivation of penicillin acylase biocatalysts: Effect of the intensity of enzyme-support attachment and enzyme load. J. Mol. Catal. B Enzym. 2012, 74, 224–229. [Google Scholar] [CrossRef]
- Chevallet, M.; Luche, S.; Rabilloud, T. Silver staining of proteins in polyacrylamide gels. Nat. Protoc. 2006, 1, 1852–1858. [Google Scholar] [CrossRef] [PubMed]








| Residues | Lipase | |||||
|---|---|---|---|---|---|---|
| TLL a | RML b | CALB c | ||||
| Exposed | Buried | Exposed | Buried | Exposed | Buried | |
| Lys | 6 | 1 | 5 | 2 | 7 | 2 |
| Glu | 10 | 2 | 10 | 3 | 3 | 1 |
| Asp | 13 | 6 | 10 | 5 | 9 | 5 |
| N-terminal | 1 | - | 1 | - | 1 | - |
| NH2 groups after chemical amination | 30 | 1 | 26 | 2 | 20 | 2 |
| Modification a | Lipases | ||
|---|---|---|---|
| TLL b | RML c | CALB c | |
| Unmodified conjugate | 7.5 | 6.7 | 10.1 |
| 50% amination plus 100% aldehyde-dextran | 16.3 | 25.4 | 36.3 |
| 80% amination plus 100% aldehyde-dextran | 23.7 | 33.2 | 24.4 |
| 100% amination plus 100% aldehyde-dextran | 48.5 | 40.1 | 10.6 |
| 100% amination plus 60% aldehyde-dextran | 16.1 | 32.8 | 20.6 |
| 100% amination plus 40% aldehyde-dextran | 11.1 | 27.6 | 25.8 |
| 100% amination plus 20% aldehyde-dextran | 7.5 | 20.3 | - |
| Lipase | Parameter | Modification | |||||||
|---|---|---|---|---|---|---|---|---|---|
| Unmodified Conjugated | Totally Aminated Conjugated | Totally Aminated +Dx-CHO 1.5 kDa | Totally Aminated +Dx-CHO 6 kDa | Totally Aminated +Dx-CHO 25 kDa | |||||
| 3 h a | 24 h a | 3 h a | 24 h a | 3 h a | 24 h a | ||||
| TLL | t1/2 (h) b | 0.87 | 1.1 | 17.4 | 20.5 | 27.3 | 28.1 | 25.6 | 36.7 |
| Stabilization Factor c | 1 | 1.3 | 20.0 | 23.6 | 31.4 | 32.3 | 29.5 | 42.3 | |
| RML | t1/2 (h) b | 0.08 | 0.16 | 9.8 | 19 | 14.6 | 15.3 | 19.4 | 20.5 |
| Stabilization Factor c | 1 | 2 | 122.5 | 237.5 | 182.5 | 191.3 | 242.5 | 256.3 | |
| Conjugate | Half-Life a | Stabilization Factor b |
|---|---|---|
| CALB-OA | 7.4 | 1 |
| 1 mM EDAC | 7.1 | 0.96 |
| 10 mM EDAC | 2.2 | 0.3 |
| 1 mM EDAC + 25 kDa dextran-aldehyde | 24.6 | 3.3 |
| 10 mM EDAC + 25 kDa dextran-aldehyde | 31.5 | 4.2 |
| Oxidation Degree of Dextran (%) | mmoles NaIO4/g Dextran a | Amount of NaIO4 Added/g Dextran a (g) |
|---|---|---|
| 20 | 2.22 | 0.47 |
| 40 | 4.44 | 0.95 |
| 60 | 6.67 | 1.43 |
| 100 | 11.1 | 2.38 |
© 2018 by the authors. Licensee MDPI, Basel, Switzerland. This article is an open access article distributed under the terms and conditions of the Creative Commons Attribution (CC BY) license (http://creativecommons.org/licenses/by/4.0/).
Share and Cite
Orrego, A.H.; Ghobadi, R.; Moreno-Perez, S.; Mendoza, A.J.; Fernandez-Lorente, G.; Guisan, J.M.; Rocha-Martin, J. Stabilization of Immobilized Lipases by Intense Intramolecular Cross-Linking of Their Surfaces by Using Aldehyde-Dextran Polymers. Int. J. Mol. Sci. 2018, 19, 553. https://doi.org/10.3390/ijms19020553
Orrego AH, Ghobadi R, Moreno-Perez S, Mendoza AJ, Fernandez-Lorente G, Guisan JM, Rocha-Martin J. Stabilization of Immobilized Lipases by Intense Intramolecular Cross-Linking of Their Surfaces by Using Aldehyde-Dextran Polymers. International Journal of Molecular Sciences. 2018; 19(2):553. https://doi.org/10.3390/ijms19020553
Chicago/Turabian StyleOrrego, Alejandro H., Rohollah Ghobadi, Sonia Moreno-Perez, Adriana Jaime Mendoza, Gloria Fernandez-Lorente, Jose M. Guisan, and Javier Rocha-Martin. 2018. "Stabilization of Immobilized Lipases by Intense Intramolecular Cross-Linking of Their Surfaces by Using Aldehyde-Dextran Polymers" International Journal of Molecular Sciences 19, no. 2: 553. https://doi.org/10.3390/ijms19020553
APA StyleOrrego, A. H., Ghobadi, R., Moreno-Perez, S., Mendoza, A. J., Fernandez-Lorente, G., Guisan, J. M., & Rocha-Martin, J. (2018). Stabilization of Immobilized Lipases by Intense Intramolecular Cross-Linking of Their Surfaces by Using Aldehyde-Dextran Polymers. International Journal of Molecular Sciences, 19(2), 553. https://doi.org/10.3390/ijms19020553

