Biotherapeutic Effect of Gingival Stem Cells Conditioned Medium in Bone Tissue Restoration
Abstract
:1. Introduction
2. Results
2.1. Human GMSCs Characterization
2.2. 3D-PLA Scaffold Characterization
2.3. Osteogenic In Vitro Performance
2.4. Global Transcriptome Analysis
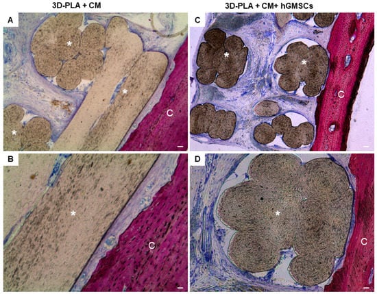
2.5. 3D-PLA In Vivo Evaluation
3. Discussion
4. Materials and Methods
4.1. Cell Culture and Characterization
4.2. Scaffold Development and Three-Dimensional Scaffold Constructs
4.3. Scanning Electron Microscopy (SEM) Characterization
4.4. Conditioned Medium (CM) Collection
4.5. In Vitro Osteogenesis Performance
4.6. RNA Extraction
4.7. RNA Sequencing and Library Preparation
4.8. NGS Data Processing
4.9. Statistical Analysis
4.10. Animals
4.11. Ethics Statement for Animal Use
4.12. Scaffold Grafting
4.13. Experimental Design
- 3D-PLA Group (N = 4): rats subjected to scraping of the cortical calvaria bone tissue and implant of 3D-PLA;
- 3D-PLA + hGMSCs (N = 4): rats subjected to scraping of the cortical calvaria bone tissue and implant of 3D-PLA + hGMSCs;
- 3D-PLA + CM (N = 4): rats subjected to scraping of the cortical calvaria bone tissue and implant of 3D-PLA + CM;
- 3D-PLA + CM + hGMSCs (N = 4): rats subjected to scraping of the cortical calvaria bone tissue and implant of 3D-PLA + CM + hGMSCs.
5. Conclusions
Acknowledgments
Author Contributions
Conflicts of Interest
Abbreviations
| PLA | Poly-(lactide) |
| MSCs | Mesenchymal stem cells |
| GMSCs | Gingival mesenchymal stem cells |
| CM | Conditioned medium |
| SEM | Scanning electron microscopy |
| hGMSCs | Human gingival mesenchymal stem cells |
| NGS | Next generation sequencing |
| GO | Gene ontology |
| ECM | Extracellular matrix |
| 3D | Three-dimensional |
| SHED | Stem cells from human exfoliated deciduous teeth |
| RIPA | Radioimmunoprecipitation assay |
| ARS | Alizarin Red S |
| UCSC | University of California, Santa Cruz |
| FPKM | Fragments per kilobase of exon per million fragments mapped |
References
- Florencio-Silva, R.; Sasso, G.R.D.S.; Sasso-Cerri, E.; Simoes, M.J.; Cerri, P.S. Biology of bone tissue: Structure, function, and factors that influence bone cells. BioMed Res. Int. 2015, 2015, 421746. [Google Scholar] [CrossRef] [PubMed]
- Wu, T.; Yu, S.; Chen, D.; Wang, Y. Bionic design, materials and performance of bone tissue scaffolds. Materials 2017, 10, 1187. [Google Scholar] [CrossRef] [PubMed]
- Roseti, L.; Parisi, V.; Petretta, M.; Cavallo, C.; Desando, G.; Bartolotti, I.; Grigolo, B. Scaffolds for bone tissue engineering: State of the art and new perspectives. Mater. Sci. Eng. C Mater. Biol. Appl. 2017, 78, 1246–1262. [Google Scholar] [CrossRef] [PubMed]
- Tyler, B.; Gullotti, D.; Mangraviti, A.; Utsuki, T.; Brem, H. Polylactic acid (pla) controlled delivery carriers for biomedical applications. Adv. Drug Deliv. Rev. 2016, 107, 163–175. [Google Scholar] [CrossRef] [PubMed]
- Farah, S.; Anderson, D.G.; Langer, R. Physical and mechanical properties of pla, and their functions in widespread applications—A comprehensive review. Adv. Drug Deliv. Rev. 2016, 107, 367–392. [Google Scholar] [CrossRef] [PubMed]
- Holmes, B.; Zhu, W.; Li, J.; Lee, J.D.; Zhang, L.G. Development of novel three-dimensional printed scaffolds for osteochondral regeneration. Tissue Eng. Part A 2015, 21, 403–415. [Google Scholar] [CrossRef] [PubMed]
- Gregor, A.; Filova, E.; Novak, M.; Kronek, J.; Chlup, H.; Buzgo, M.; Blahnova, V.; Lukasova, V.; Bartos, M.; Necas, A.; et al. Designing of pla scaffolds for bone tissue replacement fabricated by ordinary commercial 3d printer. J. Biol. Eng. 2017, 11, 31. [Google Scholar] [CrossRef] [PubMed]
- Mushahary, D.; Spittler, A.; Kasper, C.; Weber, V.; Charwat, V. Isolation, cultivation, and characterization of human mesenchymal stem cells. Cytometry A 2017. [Google Scholar] [CrossRef] [PubMed]
- Dominici, M.; Le Blanc, K.; Mueller, I.; Slaper-Cortenbach, I.; Marini, F.; Krause, D.; Deans, R.; Keating, A.; Prockop, D.; Horwitz, E. Minimal criteria for defining multipotent mesenchymal stromal cells. The international society for cellular therapy position statement. Cytotherapy 2006, 8, 315–317. [Google Scholar] [CrossRef] [PubMed]
- Liu, J.; Yu, F.; Sun, Y.; Jiang, B.; Zhang, W.; Yang, J.; Xu, G.-T.; Liang, A.; Liu, S. Concise reviews: Characteristics and potential applications of human dental tissue-derived mesenchymal stem cells. Stem Cells 2015, 33, 627–638. [Google Scholar] [CrossRef] [PubMed]
- Fawzy El-Sayed, K.M.; Dorfer, C.E. Gingival mesenchymal stem/progenitor cells: A unique tissue engineering gem. Stem Cells Int. 2016, 2016, 7154327. [Google Scholar] [CrossRef] [PubMed]
- Asutay, F.; Acar, H.A.; Yolcu, U.; Kirtay, M.; Alan, H. Dental stem cell sources and their potentials for bone tissue engineering. J. Istanb. Univ. Fac. Dent. 2015, 49, 51–56. [Google Scholar] [CrossRef] [PubMed]
- Wang, F.; Yu, M.; Yan, X.; Wen, Y.; Zeng, Q.; Yue, W.; Yang, P.; Pei, X. Gingiva-derived mesenchymal stem cell-mediated therapeutic approach for bone tissue regeneration. Stem Cells Dev. 2011, 20, 2093–2102. [Google Scholar] [CrossRef] [PubMed]
- Xu, Q.C.; Wang, Z.G.; Ji, Q.X.; Yu, X.B.; Xu, X.Y.; Yuan, C.Q.; Deng, J.; Yang, P.S. Systemically transplanted human gingiva-derived mesenchymal stem cells contributing to bone tissue regeneration. Int. J. Clin. Exp. Pathol. 2014, 7, 4922–4929. [Google Scholar] [PubMed]
- Tomar, G.B.; Srivastava, R.K.; Gupta, N.; Barhanpurkar, A.P.; Pote, S.T.; Jhaveri, H.M.; Mishra, G.C.; Wani, M.R. Human gingiva-derived mesenchymal stem cells are superior to bone marrow-derived mesenchymal stem cells for cell therapy in regenerative medicine. Biochem. Biophys. Res. Commun. 2010, 393, 377–383. [Google Scholar] [CrossRef] [PubMed]
- Tomasello, L.; Mauceri, R.; Coppola, A.; Pitrone, M.; Pizzo, G.; Campisi, G.; Pizzolanti, G.; Giordano, C. Mesenchymal stem cells derived from inflamed dental pulpal and gingival tissue: A potential application for bone formation. Stem Cell Res. Ther. 2017, 8, 179. [Google Scholar] [CrossRef] [PubMed]
- Vizoso, F.J.; Eiro, N.; Cid, S.; Schneider, J.; Perez-Fernandez, R. Mesenchymal stem cell secretome: Toward cell-free therapeutic strategies in regenerative medicine. Int. J. Mol. Sci. 2017, 18, 1852. [Google Scholar] [CrossRef] [PubMed]
- Pawitan, J.A. Prospect of stem cell conditioned medium in regenerative medicine. BioMed Res. Int. 2014, 2014, 965849. [Google Scholar] [CrossRef] [PubMed]
- Osugi, M.; Katagiri, W.; Yoshimi, R.; Inukai, T.; Hibi, H.; Ueda, M. Conditioned media from mesenchymal stem cells enhanced bone regeneration in rat calvarial bone defects. Tissue Eng. Part A 2012, 18, 1479–1489. [Google Scholar] [CrossRef] [PubMed]
- Inukai, T.; Katagiri, W.; Yoshimi, R.; Osugi, M.; Kawai, T.; Hibi, H.; Ueda, M. Novel application of stem cell-derived factors for periodontal regeneration. Biochem. Biophys. Res. Commun. 2013, 430, 763–768. [Google Scholar] [CrossRef] [PubMed]
- Katagiri, W.; Osugi, M.; Kinoshita, K.; Hibi, H. Conditioned medium from mesenchymal stem cells enhances early bone regeneration after maxillary sinus floor elevation in rabbits. Implant Dent. 2015, 24, 657–663. [Google Scholar] [CrossRef] [PubMed]
- Katagiri, W.; Watanabe, J.; Toyama, N.; Osugi, M.; Sakaguchi, K.; Hibi, H. Clinical study of bone regeneration by conditioned medium from mesenchymal stem cells after maxillary sinus floor elevation. Implant Dent. 2017, 26, 607–612. [Google Scholar] [CrossRef] [PubMed]
- Linero, I.; Chaparro, O. Paracrine effect of mesenchymal stem cells derived from human adipose tissue in bone regeneration. PLoS ONE 2014, 9, e107001. [Google Scholar] [CrossRef] [PubMed]
- Zhang, B.; Zhang, P.B.; Wang, Z.L.; Lyu, Z.W.; Wu, H. Tissue-engineered composite scaffold of poly(lactide-co-glycolide) and hydroxyapatite nanoparticles seeded with autologous mesenchymal stem cells for bone regeneration. J. Zhejiang Univ. Sci. B 2017, 18, 963–976. [Google Scholar] [CrossRef] [PubMed]
- Guvendiren, M.; Molde, J.; Soares, R.M.; Kohn, J. Designing biomaterials for 3d printing. ACS Biomater. Sci. Eng. 2016, 2, 1679–1693. [Google Scholar] [CrossRef] [PubMed]
- Liu, A.; Xue, G.H.; Sun, M.; Shao, H.F.; Ma, C.Y.; Gao, Q.; Gou, Z.R.; Yan, S.G.; Liu, Y.M.; He, Y. 3D printing surgical implants at the clinic: A experimental study on anterior cruciate ligament reconstruction. Sci. Rep. 2016, 6. [Google Scholar] [CrossRef] [PubMed]
- Gremare, A.; Guduric, V.; Bareille, R.; Heroguez, V.; Latour, S.; L’Heureux, N.; Fricain, J.C.; Catros, S.; Le Nihouannen, D. Characterization of printed pla scaffolds for bone tissue engineering. J. Biomed. Mater. Res. Part A 2017. [Google Scholar] [CrossRef] [PubMed]
- Tran, C.; Damaser, M.S. Stem cells as drug delivery methods: Application of stem cell secretome for regeneration. Adv. Drug Deliv. Rev. 2015, 82–83, 1–11. [Google Scholar] [CrossRef] [PubMed]
- Noiseux, N.; Gnecchi, M.; Lopez-Ilasaca, M.; Zhang, L.; Solomon, S.D.; Deb, A.; Dzau, V.J.; Pratt, R.E. Mesenchymal stem cells overexpressing akt dramatically repair infarcted myocardium and improve cardiac function despite infrequent cellular fusion or differentiation. Mol. Ther. J. Am. Soc. Gene Ther. 2006, 14, 840–850. [Google Scholar] [CrossRef] [PubMed]
- Libro, R.; Diomede, F.; Scionti, D.; Piattelli, A.; Grassi, G.; Pollastro, F.; Bramanti, P.; Mazzon, E.; Trubiani, O. Cannabidiol modulates the expression of Alzheimer’s disease-related genes in mesenchymal stem cells. Int. J. Mol. Sci. 2016, 18, 26. [Google Scholar] [CrossRef] [PubMed]
- Wada, N.; Maeda, H.; Hasegawa, D.; Gronthos, S.; Bartold, P.M.; Menicanin, D.; Fujii, S.; Yoshida, S.; Tomokiyo, A.; Monnouchi, S.; et al. Semaphorin 3a induces mesenchymal-stem-like properties in human periodontal ligament cells. Stem Cells Dev. 2014, 23, 2225–2236. [Google Scholar] [CrossRef] [PubMed]
- Wang, X.; Li, G.; Liu, Y.; Yu, W.; Sun, Q. Biocompatibility of biological material polylactic acid with stem cells from human exfoliated deciduous teeth. Biomed. Rep. 2017, 6, 519–524. [Google Scholar] [CrossRef] [PubMed]
- Timashev, P.; Kuznetsova, D.; Koroleva, A.; Prodanets, N.; Deiwick, A.; Piskun, Y.; Bardakova, K.; Dzhoyashvili, N.; Kostjuk, S.; Zagaynova, E.; et al. Novel biodegradable star-shaped polylactide scaffolds for bone regeneration fabricated by two-photon polymerization. Nanomedicine 2016, 11, 1041–1053. [Google Scholar] [CrossRef] [PubMed]
- Rajan, T.S.; Giacoppo, S.; Diomede, F.; Ballerini, P.; Paolantonio, M.; Marchisio, M.; Piattelli, A.; Bramanti, P.; Mazzon, E.; Trubiani, O. The secretome of periodontal ligament stem cells from ms patients protects against eae. Sci. Rep. 2016, 6, 38743. [Google Scholar] [CrossRef] [PubMed]
- Ekwueme, E.C.; Shah, J.V.; Mohiuddin, M.; Ghebes, C.A.; Crispim, J.F.; Saris, D.B.F.; Fernandes, H.A.M.; Freeman, J.W. Cross-talk between human tenocytes and bone marrow stromal cells potentiates extracellular matrix remodeling in vitro. J. Cell. Biochem. 2016, 117, 684–693. [Google Scholar] [CrossRef] [PubMed]
- Ando, Y.; Matsubara, K.; Ishikawa, J.; Fujio, M.; Shohara, R.; Hibi, H.; Ueda, M.; Yamamoto, A. Stem cell-conditioned medium accelerates distraction osteogenesis through multiple regenerative mechanisms. Bone 2014, 61, 82–90. [Google Scholar] [CrossRef] [PubMed]
- Collett, G.D.M.; Canfield, A.E. Angiogenesis and pericytes in the initiation of ectopic calcification. Circ. Res. 2005, 96, 930–938. [Google Scholar] [CrossRef] [PubMed]
- Diomede, F.; Rajan, T.S.; Gatta, V.; D’Aurora, M.; Merciaro, I.; Marchisio, M.; Muttini, A.; Caputi, S.; Bramanti, P.; Mazzon, E.; et al. Stemness maintenance properties in human oral stem cells after long-term passage. Stem Cells Int. 2017, 2017, 5651287. [Google Scholar] [CrossRef] [PubMed]
- Rajan, T.S.; Scionti, D.; Diomede, F.; Grassi, G.; Pollastro, F.; Piattelli, A.; Cocco, L.; Bramanti, P.; Mazzon, E.; Trubiani, O. Gingival stromal cells as an in vitro model: Cannabidiol modulates genes linked with amyotrophic lateral sclerosis. J. Cell. Biochem. 2017, 118, 819–828. [Google Scholar] [CrossRef] [PubMed]
- Libro, R.; Scionti, D.; Diomede, F.; Marchisio, M.; Grassi, G.; Pollastro, F.; Piattelli, A.; Bramanti, P.; Mazzon, E.; Trubiani, O. Cannabidiol modulates the immunophenotype and inhibits the activation of the inflammasome in human gingival mesenchymal stem cells. Front. Phys. 2016, 7, 559. [Google Scholar] [CrossRef] [PubMed]
- Ballerini, P.; Diomede, F.; Petragnani, N.; Cicchitti, S.; Merciaro, I.; Cavalcanti, M.; Trubiani, O. Conditioned medium from relapsing-remitting multiple sclerosis patients reduces the expression and release of inflammatory cytokines induced by lps-gingivalis in thp-1 and mo3.13 cell lines. Cytokine 2017, 96, 261–272. [Google Scholar] [CrossRef] [PubMed]
- Gugliandolo, A.; Diomede, F.; Cardelli, P.; Bramanti, A.; Scionti, D.; Bramanti, P.; Trubiani, O.; Mazzon, E. Transcriptomic analysis of gingival mesenchymal stem cells cultured on 3D bioprinted scaffold: A promising strategy for neuroregeneration. J. Biomed. Mater. Res. Part A 2017, 106, 126–137. [Google Scholar] [CrossRef] [PubMed]
- Diomede, F.; Caputi, S.; Merciaro, I.; Frisone, S.; D’Arcangelo, C.; Piattelli, A.; Trubiani, O. Pro-inflammatory cytokine release and cell growth inhibition in primary human oral cells after exposure to endodontic sealer. Int. Endod. J. 2014, 47, 864–872. [Google Scholar] [CrossRef] [PubMed]
- Rajan, T.S.; Giacoppo, S.; Trubiani, O.; Diomede, F.; Piattelli, A.; Bramanti, P.; Mazzon, E. Conditioned medium of periodontal ligament mesenchymal stem cells exert anti-inflammatory effects in lipopolysaccharide-activated mouse motoneurons. Exp. Cell Res. 2016, 349, 152–161. [Google Scholar] [CrossRef] [PubMed]
- Diomede, F.; Zini, N.; Gatta, V.; Fulle, S.; Merciaro, I.; D’Aurora, M.; La Rovere, R.M.; Traini, T.; Pizzicannella, J.; Ballerini, P.; et al. Human periodontal ligament stem cells cultured onto cortico-cancellous scaffold drive bone regenerative process. Eur. Cells Mater. 2016, 32, 181–201. [Google Scholar] [CrossRef]






| Gene ID (Entrez) | Name | Description | GO Processes | Gene Expression Value hGMSCs | Gene Expression Value 3D-PLA + hGMSCs | Gene Expression Value 3D-PLA + CM + hGMSCs | Log2 (Fold Change) hGMSCs vs. 3D-PLA + hGMSCs | Log2 (Fold Change) hGMSCs vs. 3D-PLA + CM + hGMSCs | FDR hGMSCs vs. 3D-PLA + hGMSCs | FDR hGMSCs vs. 3D-PLA + CM + hGMSCs |
|---|---|---|---|---|---|---|---|---|---|---|
| 25842 | ASF1A | Anti-silencing function 1A histone chaperone | Ossification | 0.00 | 0.00 | 26.45 | 0.00 | 34.62 | 1.24 × 10−4 | 1.24 × 10−4 |
| 55973 | BCAP29 | B-cell receptor associated protein 29 | Ossification | 0.0047 | 0.0043 | 10.94 | −0.13 | 11.17 | 1.24 × 10−4 | 1.24 × 10−4 |
| 55589 | BMP2K | BMP2 inducible kinase | Regulation of ossification | 0.0007 | 0.0006 | 24.75 | −0.14 | 15.02 | 1.24 × 10−4 | 1.24 × 10−4 |
| 9249 | DHRS3 | Dehydrogenase/reductase 3 | Regulation of ossification | 0.00 | 26.03 | 38.03 | 34.60 | 35.15 | 1.34 × 10−3 | 3.46 × 10−4 |
| 56975 | FAM20C | Golgi associated secretory pathway kinase | Regulation of ossification | 0.00 | 16.20 | 23.66 | 33.91 | 34.46 | 1.24 × 10−4 | 3.46 × 10−4 |
| 2274 | FHL2 | Four and a half LIM domains 2 | Ossification | 0.00 | 63.31 | 81.21 | 35.88 | 36.24 | 1.46 × 10−2 | 1.24 × 10−4 |
| 8200 | GDF5 | Growth differentiation factor 5 | Ossification | 0.00 | 0.00 | 27.97 | 0.00 | 34.70 | 1.24 × 10−4 | 4.00 × 10−3 |
| 51564 | HDAC7 | Histone deacetylase 7 | Regulation of ossification | 0.00 | 0.00 | 15.34 | 0.00 | 33.84 | 2.44 × 10−2 | 2.38 × 10−4 |
| 3399 | ID3 | Inhibitor of DNA binding 3, HLH protein | Regulation of ossification | 0.00 | 0.00 | 58.82 | 0.00 | 35.78 | 1.24 × 10−4 | 1.24 × 10−4 |
| 27152 | INTU | Inturned planar cell polarity protein | Regulation of ossification | 0.00 | 0.00 | 39.70 | 0.00 | 35.21 | 1.24 × 10−4 | 1.24 × 10−4 |
| 9260 | PDLIM7 | PDZ and LIM domain 7 | Ossification; Regulation of ossification | 0.00 | 0.00 | 43.41 | 0.00 | 35.34 | 1.24 × 10−4 | 3.86 × 10−2 |
| 5191 | PEX7 | Peroxisomal biogenesis factor 7 | Ossification | 0.00 | 0.00 | 95.30 | 0.00 | 36.47 | 2.38 × 10−4 | 1.15 × 10−3 |
| 387 | RHOA | Ras homolog family member A | Ossification | 0.00 | 0.00 | 35.48 | 0.00 | 35.05 | 2.16 × 10−3 | 1.24 × 10−4 |
| 6169 | RPL38 | Ribosomal protein L38 | Ossification | 0.00 | 0.00 | 391.99 | 0.00 | 38.51 | 1.24 × 10−4 | 1.24 × 10−4 |
| 6422 | SFRP1 | Secreted frizzled related protein 1 | Ossification; Regulation of ossification | 0.00 | 0.00 | 14.30 | 0.00 | 33.74 | 2.38 × 10−4 | 4.62 × 10−2 |
| 10736 | SIX2 | SIX homeobox 2 | Regulation of ossification | 0.00 | 0.00 | 31.25 | 0.00 | 34.86 | 6.60 × 10−4 | 4.22 × 10−2 |
| 4086 | SMAD1 | SMAD family member 1 | Ossification; Regulation of ossification | 0.00 | 0.00 | 45.60 | 0.00 | 35.41 | 2.71 × 10−3 | 2.38 × 10−4 |
| 6615 | SNAI1 | Snail family transcriptional repressor 1 | Ossification | 0.00 | 0.00 | 40.55 | 0.00 | 35.24 | 1.24 × 10−4 | 1.24 × 10−4 |
| 6662 | SOX9 | SRY-box 9 | Ossification; Regulation of ossification | 0.00 | 0.00 | 16.34 | 0.00 | 33.93 | 1.24 × 10−4 | 1.24 × 10−4 |
| 169200 | TMEM64 | Transmembrane protein 64 | Ossification; Regulation of ossification | 0.00 | 0.00 | 13.21 | 0.00 | 33.62 | 1.24 × 10−4 | 3.06 × 10−3 |
| 10766 | TOB2 | Transducer of ERBB2, 2 | Regulation of ossification | 0.00 | 19.14 | 27.96 | 34.16 | 34.70 | 1.24 × 10−4 | 1.24 × 10−4 |
| Experimental Groups | Experimental Procedures | Results |
|---|---|---|
| 3D-PLA (N = 4) | Rats subjected to scraping of the cortical calvaria bone tissue and implant of 3D-PLA | Evaluation 6 weeks after surgery evidenced that ECM not fully covered the interstitial area of the biomaterial porous and empty areas were present inside the biomaterial structure. |
| 3D-PLA + hGMSCs (N = 4) | Rats subjected to scraping of the cortical calvaria bone tissue and implant of 3D-PLA enriched with hGMSCs | Evaluation 6 weeks after surgery showed more ECM deposition inside the biomaterial scaffold. At high magnification ECM, without signs of mineralization, is present on the filaments side and at the interface of the native bone and scaffold. |
| 3D-PLA + CM (N = 4) | Rats subjected to scraping of the cortical calvaria bone tissue and implant of 3D-PLA enriched with CM | Evaluation 6 weeks after surgery showed a strong ECM deposition inside the biomaterial structure and on the native bone tissue. New blood vessel structure are visible in the ECM and on the interface of scaffold and host tissue, to indicate the beginning of the regeneration process. |
| 3D-PLA + CM + hGMSCs (N = 4) | Rats subjected to scraping of the cortical calvaria bone tissue and implant of 3D-PLA enriched with CM and hGMSCs | Evaluation 6 weeks after surgery showed less blood vessels. |
© 2018 by the authors. Licensee MDPI, Basel, Switzerland. This article is an open access article distributed under the terms and conditions of the Creative Commons Attribution (CC BY) license (http://creativecommons.org/licenses/by/4.0/).
Share and Cite
Diomede, F.; Gugliandolo, A.; Scionti, D.; Merciaro, I.; Cavalcanti, M.F.; Mazzon, E.; Trubiani, O. Biotherapeutic Effect of Gingival Stem Cells Conditioned Medium in Bone Tissue Restoration. Int. J. Mol. Sci. 2018, 19, 329. https://doi.org/10.3390/ijms19020329
Diomede F, Gugliandolo A, Scionti D, Merciaro I, Cavalcanti MF, Mazzon E, Trubiani O. Biotherapeutic Effect of Gingival Stem Cells Conditioned Medium in Bone Tissue Restoration. International Journal of Molecular Sciences. 2018; 19(2):329. https://doi.org/10.3390/ijms19020329
Chicago/Turabian StyleDiomede, Francesca, Agnese Gugliandolo, Domenico Scionti, Ilaria Merciaro, Marcos FXB Cavalcanti, Emanuela Mazzon, and Oriana Trubiani. 2018. "Biotherapeutic Effect of Gingival Stem Cells Conditioned Medium in Bone Tissue Restoration" International Journal of Molecular Sciences 19, no. 2: 329. https://doi.org/10.3390/ijms19020329
APA StyleDiomede, F., Gugliandolo, A., Scionti, D., Merciaro, I., Cavalcanti, M. F., Mazzon, E., & Trubiani, O. (2018). Biotherapeutic Effect of Gingival Stem Cells Conditioned Medium in Bone Tissue Restoration. International Journal of Molecular Sciences, 19(2), 329. https://doi.org/10.3390/ijms19020329

