EpCAM Expression in Lymph Node Metastases of Urothelial Cell Carcinoma of the Bladder: A Pilot Study
Abstract
1. Introduction
2. Results
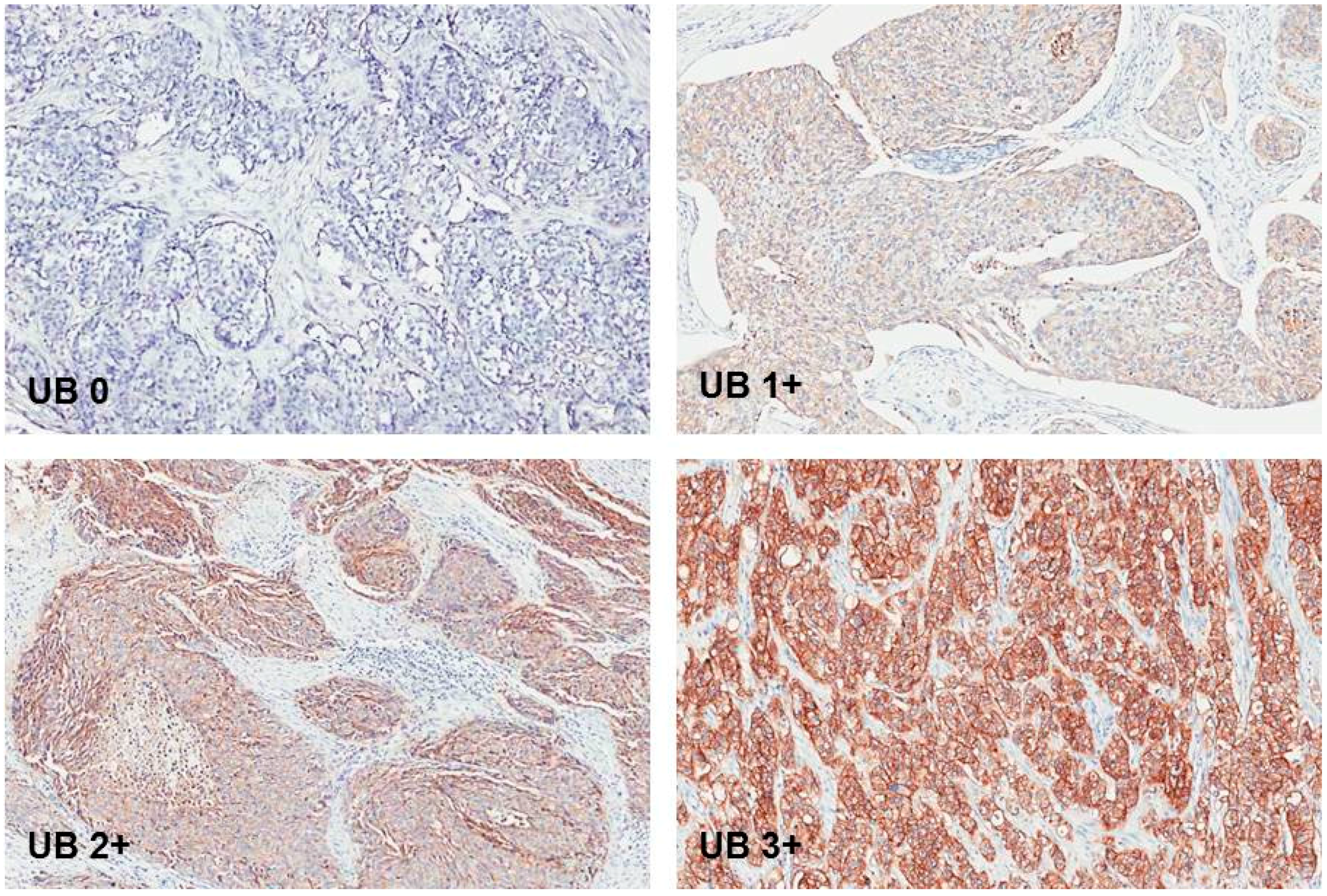
2.1. Immunoreactivity
2.2. Staining Pattern
3. Discussion
4. Materials and Methods
4.1. Patient Samples
4.2. Experimental Setup
4.3. Assessment of Staining Patterns
4.4. Data Analysis
5. Conclusions
Acknowledgments
Author Contributions
Conflicts of Interest
Abbreviations
| MIBC | Muscle invasive bladder cancer | 
| LN | Lymph node | 
| TIS | Total immunostaining score | 
| PS | Proportion score | 
| IS | Intensity score | 
| UCC | Urothelial cell carcinoma | 
| PBS | Phosphate buffered saline | 
| BSA/PBS | Bovine serum albumin/phosphate buffered saline | 
| AB | Antibody | 
| EpCAM | Epithelial cell adhesion molecule | 
References
- Witjes, J.A.; Comperat, E.; Cowan, N.C.; Santis, M.D.; Gakis, G.; Lebret, T.; Ribal, M.J.; Van Der Heijden, A.G.; Sherif, A. EAU guidelines on muscle-invasive and metastatic bladder cancer: Summary of the 2013 guidelines. Eur. Urol. 2014, 65, 778–792. [Google Scholar] [CrossRef] [PubMed]
- Eugenio, B.; Francesco, C.; Riccardo, S.; Paolo, C.; Anna Margherita, M.; Matteo, C.; Lorenzo, B.; Marco, B.; Francesca, G.; Michelangelo, F.; et al. Diagnostic accuracy of (11)C-choline PET/CT in preoperative lymph node staging of bladder cancer: A systematic comparison with contrast-enhanced CT and histologic findings. Clin. Nucl. Med. 2014, 39, e308–e312. [Google Scholar]
- Francesco, C.; Lorenzo, B.; Tiziano, G.; Paolo, C.; Christian, P.; Brunocilla, E.; Giuseppe, M.; Patrick, M.C.; Domenico, R.; Stefano, F.; et al. 11C-choline PET/CT and bladder cancer: Lymph node metastasis assessment with pathological specimens as reference standard. Clin. Nucl. Med. 2015, 40, e124–e128. [Google Scholar]
- Apolo, A.B.; Riches, J.; Schoder, H.; Akin, O.; Trout, A.; Milowsky, M.I.; Bajorin, D.F. Clinical value of fluorine-18 2-Fluoro-2-Deoxy-d-Glucose positron emission tomography/computed tomography in bladder cancer. J. Clin. Oncol. 2010, 28, 3973–3978. [Google Scholar] [CrossRef] [PubMed]
- Mertens, L.S.; Fioole-Bruining, A.; Vegt, E.; Vogel, W.V.; Van Rhijn, B.W.; Horenblas, S. Impact of 18F-fluorodeoxyglucose (FDG)-positron-emission tomography/computed tomography (PET/CT) on management of patients with carcinoma invading bladder muscle. BJU Int. 2013, 112, 729–734. [Google Scholar] [CrossRef] [PubMed]
- Goh, V.; Cook, G. Fluorodeoxyglucose positron-emission tomography (FDG PET)/computed tomography (CT) in bladder cancer. BJU Int. 2013, 112, 709. [Google Scholar] [CrossRef] [PubMed]
- Robert Siemens, D.; Mackillop, W.J.; Peng, Y.; Wei, X.; Berman, D.; Boothy, C.M. Lymph node counts are valid indicators of the quality of surgical care in bladder cancer: A population-based study. Urol. Oncol. 2015, 33, e15–e23. [Google Scholar]
- Bruins, H.M.; Veskimea, N.; Hernandez, V.; Imamura, M.; Neuberger, M.M.; Dahm, P.; Stewart, F.; Lam, T.B.; N’Dow, J.; van der Heijden, A.G.; et al. The impact of the extent of lymphadenectomy on oncologic outcomes in patients undergoing radical cystectomy for bladder cancer: A systematic review. Eur. Urol. 2014, 66, 1065–1077. [Google Scholar] [CrossRef] [PubMed]
- Froehner, M.; Novotny, V.; Heberling, U.; Rutsch, L.; Hübler, M.; Koch, R.; Baretton, G.B.; Wirth, M.P. Relationship of the number of removed lymph nodes to bladder cancer and competing mortality after radical cystectomy. Eur. Urol. 2014, 66, 987–990. [Google Scholar] [CrossRef] [PubMed]
- Oosten, M.V.; Crane, L.M.A.; Bart, J.; Leeuwen, F.W.V.; Dam, G.M.V. Selecting potential targetable biomarkers for imaging purposes in colorectal cancer using TArget selection criteria (TASC): A novel target identification tool. Transl. Oncol. 2011, 4, 71–82. [Google Scholar] [CrossRef] [PubMed]
- Spizzo, G.; Fong, D.; Wurm, M.; Ensinger, C.; Obrist, P.; Hofer, C.; Mazzoleni, G.; Gastl, G.; Went, P. EpCAM expression in primary tumour tissues and metastases: An immunohistochemical analysis. J. Clin. Pathol. 2011, 64, 415–420. [Google Scholar] [CrossRef] [PubMed]
- Iwasaki, K.; Goto, Y.; Katoh, T.; Yamashita, T.; Kaneko, S.; Suga, H. A fluorescent imaging probe based on a macrocyclic scaffold that binds to cellular EpCAM. J. Mol. Evol. 2015, 81, 210–217. [Google Scholar] [CrossRef] [PubMed]
- Genheimer, C.W.; Guthrie, K.I.; Shokes, J.E.; Bruce, A.T.; Quinlan, S.F.; Sangha, N.; Ilagan, R.M.; Basu, J.; Burnette, T.; Ludlow, J.W. Increased urothelial cell detection in the primary bladder smooth muscle cell cultures with dual MACS/qRT-PCR approach. Appl. Immunohistochem. Mol. Morphol. 2011, 19, 184–189. [Google Scholar] [CrossRef] [PubMed]
- Kowalski, M.; Entwistle, J.; Cizeau, J.; Niforos, D.; Loewen, S.; Chapman, W.; MacDonald, G.C. A phase I study of an intravesically administered immunotoxin targeting EpCAM for the treatment of nonmuscle-invasive bladder cancer in BCGrefractory and BCG-intolerant patients. Drug Des. Devel. Ther. 2010, 4, 313–320. [Google Scholar] [PubMed]
- Ni, J.; Cozzi, P.; Hao, J.; Beretov, J.; Chang, L.; Duan, W.; Shigdar, S.; Delprado, W.; Graham, P.; Bucci, J.; et al. Epithelial cell adhesion molecule (EpCAM) is associated with prostate cancer metastasis and chemo/radioresistance via the PI3K/akt/mTOR signaling pathway. Int. J. Biochem. Cell Biol. 2013, 45, 2736–2748. [Google Scholar] [CrossRef] [PubMed]
- Campos, A.K.; Hoving, H.D.; Rosati, S.; van Leenders, G.J.; de Jong, I.J. EpCAM expression in lymph node and bone metastases of prostate carcinoma: A pilot study. Int. J. Mol. Sci. 2016, 17, 1650. [Google Scholar] [CrossRef] [PubMed]
- Brunner, A.; Schaefer, G.; Veits, L.; Brunner, B.; Prelog, M.; Ensinger, C. EpCAM overexpression is associated with high-grade urothelial carcinoma in the renal pelvis. Anticancer Res. 2008, 28, 125–128. [Google Scholar] [PubMed]
- Gastl, G.; Spizzo, G.; Obrist, P.; Dünser, M.; Mikuz, G. Ep-CAM overexpression in breast cancer as a predictor of survival. Lancet 2000, 356, 1981–1982. [Google Scholar] [CrossRef]
- Varga, M.; Obrist, P.; Schneeberger, S.; Mühlmann, G.; Felgel-Farnholz, C.; Fong, D.; Zitt, M.; Brunhuber, T.; Schäfer, G.; Gastl, G.; et al. Overexpression of epithelial cell adhesion molecule antigen in gallbladder carcinoma is an independent marker for poor survival. Clin. Cancer Res. 2004, 10, 3131–3136. [Google Scholar] [CrossRef] [PubMed]
- Spizzo, G.; Gastl, G.; Obrist, P.; Went, P.; Dirnhofer, S.; Bischoff, S.; Mirlacher, M.; Sauter, G.; Simon, R.; Stopatschinskaya, S.; et al. High ep-CAM expression is associated with poor prognosis in node-positive breast cancer. Breast Cancer Res. Treat. 2004, 86, 207–213. [Google Scholar] [CrossRef] [PubMed]
- Bryan, R.T.; Shimwell, N.J.; Wei, W.; Devall, A.J.; Pirrie, S.J.; James, N.D.; Zeegers, M.P.; Cheng, K.K.; Martin, A.; Ward, D.G. Urinary EpCAM in urothelial bladder cancer patients: Characterization and evaluation of biomarker potential. Br. J. Cancer 2014, 110, 679–685. [Google Scholar] [CrossRef] [PubMed]
- Momburg, F.; Moldenhauer, G.; Hämmerling, G.J.; Möller, P. Immunohistochemical study of the expression of a mr 34,000 human epithelium-specific surface glycoprotein in normal and malignant tissues. Cancer Res. 1987, 47, 2883–2891. [Google Scholar] [PubMed]
- Rehders, A.; Anlauf, M.; Adamowsky, I.; Ghadimi, M.H.; Klein, S.; Antke, C.; Cupisti, K.; Stoecklein, N.H.; Knoefel, W.T. Is minimal residual lymph node disease in papillary thyroid cancer of prognostic impact? An analysis of the epithelial cell adhesion molecule EpCAM in lymph nodes of 40 pN0 patients. Pathol. Oncol. Res. 2014, 20, 185–190. [Google Scholar] [CrossRef] [PubMed]
- Kubuschok, B.; Passlick, B.; Izbicki, J.R.; Thetter, O.; Pantel, K. Disseminated tumor cells in lymph nodes as a determinant for survival in surgically resected non-small-cell lung cancer. J. Clin. Oncol. 1999, 17, 19–24. [Google Scholar] [CrossRef] [PubMed]
- Passlick, B.; Izbicki, J.R.; Kubuschok, B.; Nathrath, W.; Thetter, O.; Pichlmeier, U.; Schweiberer, L.; Riethmüller, G.; Pantel, K. Immunohistochemical assessment of individual tumor cells in lymph nodes of patients with non-small-cell lung cancer. J. Clin. Oncol. 1994, 12, 1827–1832. [Google Scholar] [CrossRef] [PubMed]
- Latza, U.; Niedobitek, G.; Schwarting, R.; Nekarda, H.; Stein, H. Ber-EP4: New monoclonal antibody which distinguishes epithelia from mesothelial. J. Clin. Pathol. 1990, 43, 213–219. [Google Scholar] [CrossRef] [PubMed]



| Patient | Age (Years) | Sex | Stage | LN Excised | LN+ | Tissue Type | PS | IS | TIS | 
|---|---|---|---|---|---|---|---|---|---|
| 1 | 39 | M | T2 | 2 | 1 | Primary bladder tumor | 3 | 2 | 6 | 
| Lymph node normal | 0 | 0 | 0 | ||||||
| Lymph node metastasis | 3 | 1 | 3 | ||||||
| 2 | 77 | M | T2 | 15 | 3 | Primary bladder tumor | 4 | 1 | 4 | 
| Lymph node normal | 0 | 0 | 0 | ||||||
| Lymph node metastasis | 4 | 2 | 8 | ||||||
| Lymph node metastasis | 3 | 2 | 6 | ||||||
| 3 | 79 | F | T2 | 17 | 1 | Primary bladder tumor | 4 | 3 | 12 | 
| Lymph node normal | 0 | 0 | 0 | ||||||
| Lymph node metastasis | 4 | 3 | 12 | ||||||
| 4 | 78 | M | Tis | 5 | 1 | Primary bladder tumor | - | - | - | 
| Lymph node normal | 0 | 0 | 0 | ||||||
| Lymph node metastasis | 4 | 3 | 12 | ||||||
| 5 | 69 | M | T2 | 16 | 2 | Primary bladder tumor | 0 | 0 | 0 | 
| Lymph node normal | 0 | 0 | 0 | ||||||
| Lymph node metastasis | 1 | 1 | 1 | ||||||
| 6 | 55 | M | T2 | 3 | 1 | Primary bladder tumor | 4 | 3 | 12 | 
| Lymph node normal | 3 | 2 | 6 | ||||||
| Lymph node metastasis | 0 | 0 | 0 | ||||||
| 7 | 67 | M | T2 | 8 | 4 | Primary bladder tumor | 3 | 1 | 3 | 
| Lymph node normal | 0 | 0 | 0 | ||||||
| Lymph node metastasis | 2 | 1 | 2 | ||||||
| Lymph node metastasis | 4 | 1 | 4 | ||||||
| 8 | 61 | F | T2 | 8 | 3 | Primary bladder tumor | 4 | 2 | 8 | 
| Lymph node normal | 0 | 0 | 0 | ||||||
| Lymph node metastasis | 4 | 2 | 8 | ||||||
| Lymph node metastasis | 4 | 1 | 4 | ||||||
| 9 | 43 | F | T2 | 22 | 5 | Primary bladder tumor | 1 | 1 | 1 | 
| Lymph node normal | 0 | 0 | 0 | ||||||
| Lymph node metastasis | 2 | 1 | 2 | ||||||
| 10 | 68 | M | T2 | 15 | 3 | Primary bladder tumor | - | - | - | 
| Lymph node normal | 0 | 0 | 0 | ||||||
| Lymph node metastasis | 2 | 1 | 2 | ||||||
| Lymph node metastasis | 2 | 1 | 2 | ||||||
| 11 | 64 | F | T2 | 12 | 3 | Primary bladder tumor | 1 | 2 | 2 | 
| Lymph node normal | 0 | 0 | 0 | ||||||
| Lymph node metastasis | 1 | 1 | 1 | ||||||
| Lymph node metastasis | 0 | 0 | 0 | ||||||
| 12 | 64 | M | T2 | 16 | 2 | Primary bladder tumor | 3 | 2 | 6 | 
| Lymph node normal | 0 | 0 | 0 | ||||||
| Lymph node metastasis | 4 | 2 | 8 | ||||||
| 13 | 48 | F | T2 | 7 | 1 | Primary bladder tumor | 4 | 3 | 12 | 
| Lymph node normal | 0 | 0 | 0 | ||||||
| Lymph node metastasis | 3 | 2 | 6 | ||||||
| 14 | 78 | M | T2 | 9 | 4 | Primary bladder tumor | 3 | 2 | 6 | 
| Lymph node normal | 0 | 0 | 0 | ||||||
| Lymph node metastasis | 3 | 2 | 6 | ||||||
| Lymph node metastasis | 4 | 2 | 8 | 
© 2017 by the authors. Licensee MDPI, Basel, Switzerland. This article is an open access article distributed under the terms and conditions of the Creative Commons Attribution (CC BY) license (http://creativecommons.org/licenses/by/4.0/).
Share and Cite
Van der Fels, C.A.M.; Rosati, S.; De Jong, I.J. EpCAM Expression in Lymph Node Metastases of Urothelial Cell Carcinoma of the Bladder: A Pilot Study. Int. J. Mol. Sci. 2017, 18, 1802. https://doi.org/10.3390/ijms18081802
Van der Fels CAM, Rosati S, De Jong IJ. EpCAM Expression in Lymph Node Metastases of Urothelial Cell Carcinoma of the Bladder: A Pilot Study. International Journal of Molecular Sciences. 2017; 18(8):1802. https://doi.org/10.3390/ijms18081802
Chicago/Turabian StyleVan der Fels, Christa A. M., Stefano Rosati, and Igle J. De Jong. 2017. "EpCAM Expression in Lymph Node Metastases of Urothelial Cell Carcinoma of the Bladder: A Pilot Study" International Journal of Molecular Sciences 18, no. 8: 1802. https://doi.org/10.3390/ijms18081802
APA StyleVan der Fels, C. A. M., Rosati, S., & De Jong, I. J. (2017). EpCAM Expression in Lymph Node Metastases of Urothelial Cell Carcinoma of the Bladder: A Pilot Study. International Journal of Molecular Sciences, 18(8), 1802. https://doi.org/10.3390/ijms18081802
 
        

 
       