Appearance of New Cutaneous Superficial Basal Cell Carcinomas during Successful Nivolumab Treatment of Refractory Metastatic Disease: Implications for Immunotherapy in Early Versus Late Disease
Abstract
:1. Introduction
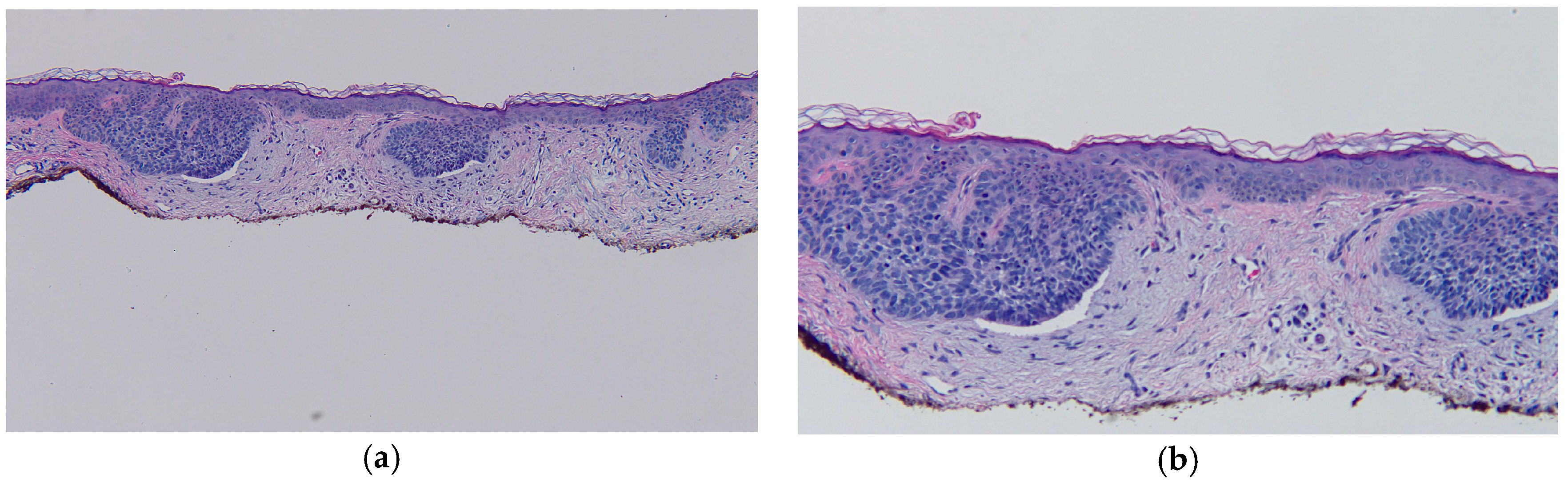
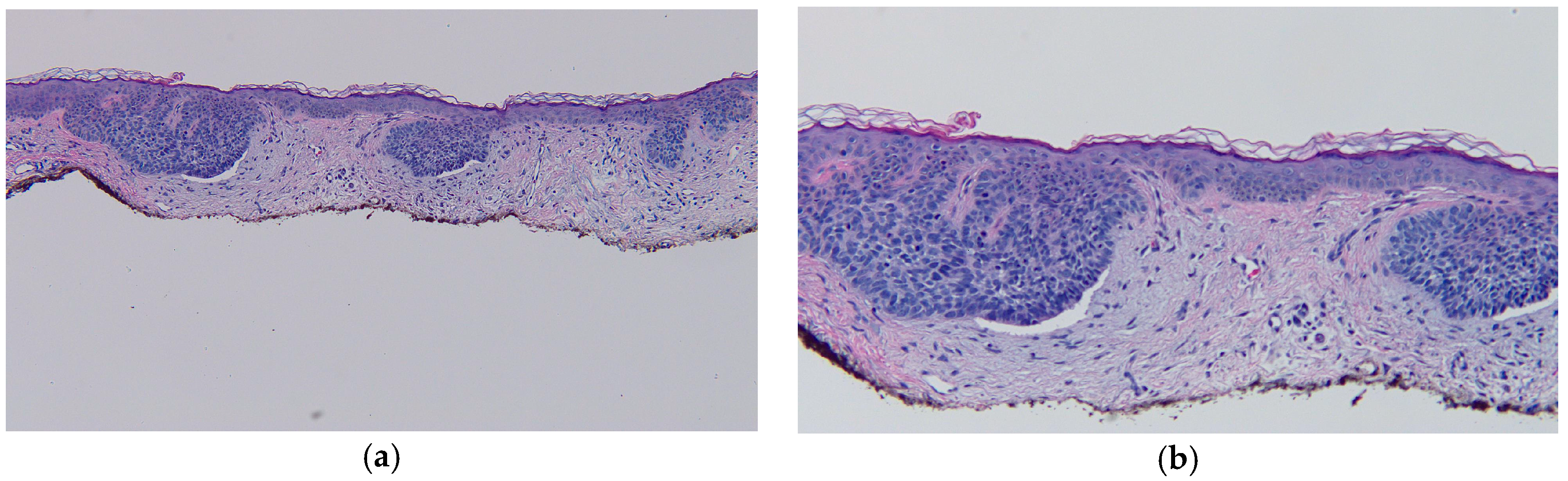
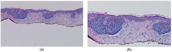
2. Case Presentation
3. Discussion
4. Conclusions
Acknowledgments
Author Contributions
Conflicts of Interest
References
- Lo, J.S.; Snow, S.N.; Reizner, G.T.; Mohs, F.E.; Larson, P.O.; Hruza, G.J. Metastatic basal cell carcinoma: Report of twelve cases with a review of the literature. J. Am. Acad. Dermatol. 1991, 24, 715–719. [Google Scholar] [CrossRef]
- Sekulic, A.; Migden, M.R.; Basset-Seguin, N.; Garbe, C.; Gesierich, A.; Lao, C.D.; Miller, C.; Mortier, L.; Murrell, D.F.; Hamid, O.; et al. Long-term safety and efficacy of vismodegib in patients with advanced basal-cell carcinoma: Final update of the pivotal ERIVANCE BCC study. BMC Cancer 2017, 17, 332. [Google Scholar] [CrossRef] [PubMed]
- Dummer, R.; Guminski, A.; Gutzmer, R.; Dirix, L.; Lewis, K.D.; Combemale, P.; Herd, R.M.; Kaatz, M.; Loquai, C.; Stratigos, A.J.; et al. The 12-month analysis from basal cell carcinoma outcomes with LDE225 treatment (BOLT): A phase II, randomized, double-blind study of sonidgib in patients with advanced basal cell carcinoma. J. Am. Acad. Dermatol. 2016, 75, 113–125. [Google Scholar] [CrossRef] [PubMed]
- Knepper, T.C.; Freeman, M.L.; Gibney, G.T.; McLeod, H.L.; Russell, J.S. Clinical response to pazopanib in a patient with KDR-mutated metastatic basal cell carcinoma. JAMA Dermatol. 2017, 153, 607–609. [Google Scholar] [CrossRef] [PubMed]
- Ikeda, S.; Goodman, A.M.; Cohen, P.R.; Jensen, T.J.; Ellison, C.K.; Frampton, G.; Miller, V.; Patel, S.P.; Kurzrock, R. Metastatic basal cell carcinoma with amplification of PD-L1: Exceptional response to anti-PD1 therapy. NPJ Genom. Med. 2016, 1, 16037. [Google Scholar] [CrossRef] [PubMed]
- Frampton, G.M.; Fichtenholtz, A.; Otto, G.A.; Wang, K.; Downing, S.R.; He, J.; Schnall-Levin, M.; White, J.; Sanford, E.M.; An, P.; et al. Development and validation of a clinical cancer genomic profiling text based on massively parallel DNA sequencing. Nat. Biotechnol. 2013, 31, 1023–1031. [Google Scholar] [CrossRef] [PubMed]
- Gandhi, S.A.; Kampp, J. Skin cancer epidemiology, detection, and management. Med. Clin. North Am. 2015, 99, 1323–1335. [Google Scholar] [CrossRef] [PubMed]
- Epstein, E.H. Basal cell carcinomas: Attack of the hedgehog. Nat. Rev. Cancer 2008, 8, 743–754. [Google Scholar] [CrossRef] [PubMed]
- Khagi, Y.; Kurzrock, R.; Patel, S.P. Next generation predictive biomarkers for immune checkpoint inhibition. Cancer Metastasis Rev. 2017, 36, 179–190. [Google Scholar] [CrossRef] [PubMed]
- Patel, S.P.; Kurzrock, R. PD-L1 expression as a predictive biomarker in cancer immunotherapy. Mol. Cancer Ther. 2015, 14, 847–856. [Google Scholar] [CrossRef] [PubMed]
- Goodman, A.; Patel, S.P.; Kurzrock, R. PD-1—PD-L1 immune-checkpoint blockade in B-cell lymphomas. Nat. Rev. Clin. Oncol. 2017, 14, 203–220. [Google Scholar] [CrossRef] [PubMed]
- Ansell, S.M.; Lesokhin, A.; Borrello, I.; Halwani, A.; Scott, E.C.; Gutierrez, M.; Schuster, S.J.; Millenson, M.M.; Cattry, D.; Freeman, G.J.; et al. PD-1 blockade with nivolumab in relapsed or refractory Hodgkin’s lymphoma. N. Engl. J. Med. 2015, 372, 311–319. [Google Scholar] [CrossRef] [PubMed]
- Armand, P.; Shipp, M.; Ribrag, V.; Michot, J.M.; Zinzani, P.L.; Kuruvilla, J.; Snyder, E.S.; Ricart, A.D.; Balakumaran, A.; Rose, S.; et al. Programmed death-1 blockade with pembrolizumab in patients with classical Hodgkin lymphoma after brentuximab vedotin failure. J. Clin. Oncol. 2016, 34, 3733–3739. [Google Scholar] [CrossRef] [PubMed]
- Wheler, J.J.; Janku, F.; Naing, A.; Li, Y.; Stephen, B.; Zinner, R.; Subbiah, V.; Fu, S.; Karp, D.; Falchook, G.S.; et al. Cancer therapy directed by comprehensive genomic profiling: A single center study. Cancer Res. 2016, 76, 3690–3701. [Google Scholar] [CrossRef] [PubMed]
- Westin, J.R.; Kurzrock, R. It’s about time: Lesson for solid tumors from chronic myelogenous leukemia therapy. Mol. Cancer Ther. 2012, 11, 2549–2555. [Google Scholar] [CrossRef] [PubMed]
- Ding, W.; LaPlant, B.R.; Call, T.G.; Parikh, S.A.; Leis, J.F.; He, R.; Shanafelt, T.D.; Sinha, S.; Le-Rademacher, J.; Feldman, A.L.; et al. Pembrolizumab in patients with chronic lymphocytic leukemia with Richter’s transformation and relapsed CLL. Blood 2017, 129, 3419–3427. [Google Scholar] [CrossRef] [PubMed]
- Chang, J.; Zhu, G.A.; Cheung, C.; Li, S.; Kim, J.; Chang, A.L.S. Association between programmed death ligand 1 expression in patients with basal cell carcinomas and the number of treatment modalities. JAMA Dermatol. 2017, 153, 285–290. [Google Scholar] [CrossRef] [PubMed]
- Hansford, S.; Kaurah, P.; Li-Chang, H.; Woo, M.; Senz, J.; Pinheiro, H.; Schrader, K.A.; Schaeffer, D.F.; Shumansky, K.; Zogopoulos, G.; et al. Hereditary diffuse gastric cancer syndrome: CDH1 mutations and beyond. JAMA Oncol. 2015, 1, 23–32. [Google Scholar] [CrossRef] [PubMed]


| Genomic Alteration | Soft Tissue Tumor (2014) | Liver Metastasis (2015) | New Primary Cutaneous Tumor that Appeared while His Metastatic Disease was Responding to Nivolumab (2016) |
|---|---|---|---|
| AXIN1 T601 | No | Yes | |
| BAP1 K368 * | No | Yes | |
| CARD11 E756K | No | Yes | |
| CDKN1A R140Q | Yes | Yes | No |
| CDKN2A p16INK4a P81L | Yes | Yes | No |
| CTNNA1 R383H | Yes | Yes | Yes |
| FLT1 E487K | Yes | No | |
| JAK2 amplification | Yes | No | |
| KDR R1032Q | No | Yes | |
| LRP1B splice site 9121-1G > A | Yes | Yes | No |
| LRP1B W2334 * | Yes | No | |
| MLL2 splice site 4132-1G > A | Yes | No | |
| NOTCH1 W287 * | Yes | Yes | No |
| PDGFRA E459K | Yes | No | |
| PD-L1 (CD274) amplification | Yes | No | |
| PD-L2 (PDCD1LG2) amplification | Yes | No | |
| PIK3R2 Q412 * | Yes | No | |
| PTCH1 Q1366 * | Yes | Yes | No |
| PTCH1 S181 *, splice site 584+1G > A | No | Yes | |
| PTCH1 W197 * | Yes | Yes | No |
| SLIT2 K325 * | Yes | Yes | No |
| SMARCA4 Q1166 * | Yes | Yes | No |
| SPEN R1854Q | No | Yes | |
| TERT promoter-139-138CC > TT | Yes | No | |
| TP53 E285K | No | Yes | |
| TP53 P278S | Yes | Yes | No |
| Total Characterized alterations | 10 | 19 | 8 |
| Tumor mutation burden (mutations/megabase) | 79 | 103 | 45 |
© 2017 by the authors. Licensee MDPI, Basel, Switzerland. This article is an open access article distributed under the terms and conditions of the Creative Commons Attribution (CC BY) license (http://creativecommons.org/licenses/by/4.0/).
Share and Cite
Cohen, P.R.; Kato, S.; Goodman, A.M.; Ikeda, S.; Kurzrock, R. Appearance of New Cutaneous Superficial Basal Cell Carcinomas during Successful Nivolumab Treatment of Refractory Metastatic Disease: Implications for Immunotherapy in Early Versus Late Disease. Int. J. Mol. Sci. 2017, 18, 1663. https://doi.org/10.3390/ijms18081663
Cohen PR, Kato S, Goodman AM, Ikeda S, Kurzrock R. Appearance of New Cutaneous Superficial Basal Cell Carcinomas during Successful Nivolumab Treatment of Refractory Metastatic Disease: Implications for Immunotherapy in Early Versus Late Disease. International Journal of Molecular Sciences. 2017; 18(8):1663. https://doi.org/10.3390/ijms18081663
Chicago/Turabian StyleCohen, Philip R., Shumei Kato, Aaron M. Goodman, Sadakatsu Ikeda, and Razelle Kurzrock. 2017. "Appearance of New Cutaneous Superficial Basal Cell Carcinomas during Successful Nivolumab Treatment of Refractory Metastatic Disease: Implications for Immunotherapy in Early Versus Late Disease" International Journal of Molecular Sciences 18, no. 8: 1663. https://doi.org/10.3390/ijms18081663
APA StyleCohen, P. R., Kato, S., Goodman, A. M., Ikeda, S., & Kurzrock, R. (2017). Appearance of New Cutaneous Superficial Basal Cell Carcinomas during Successful Nivolumab Treatment of Refractory Metastatic Disease: Implications for Immunotherapy in Early Versus Late Disease. International Journal of Molecular Sciences, 18(8), 1663. https://doi.org/10.3390/ijms18081663
