Neoadjuvant Therapy of Pancreatic Cancer: Definitions and Benefits
Abstract
1. Introduction
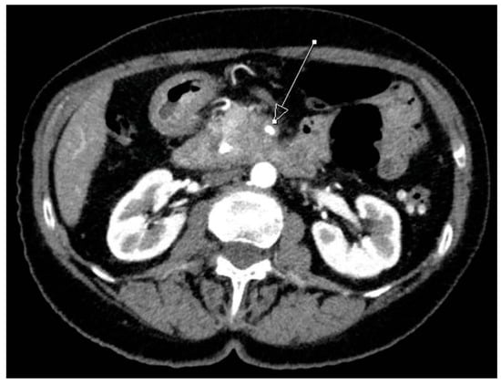
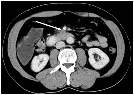
2. Definition of Resectability
3. Definition of Neoadjuvant Therapy
4. Rationale for Neoadjuvant Therapy
4.1. Effects of Surgical Complications on Multimodality Treatment
4.2. Effects of Multimodality Treatment on the Surgical Complication Rate
4.3. Effect of Neoadjuvant Therapy on Nutritional Status
4.4. Histological Response
4.5. Response Prediction
4.5.1. Response Prediction by CA19.9 Serum Levels
4.5.2. Response Prediction by Positron-Emission-Tomography (PET)
4.6. Disease Progression under Neoadjuvant Therapy
4.7. Effect on Survival
5. Discussion
Author Contributions
Conflicts of Interest
References
- Heestand, G.M.; Murphy, J.D.; Lowy, A.M. Approach to patients with pancreatic cancer without detectable metastases. J. Clin. Oncol. 2015, 33, 1770–1778. [Google Scholar] [CrossRef] [PubMed]
- Von Hoff, D.D.; Ervin, T.; Arena, F.P.; Chiorean, E.G.; Infante, J.; Moore, M.; Seay, T.; Tjulandin, S.A.; Ma, W.W.; Saleh, M.N.; et al. Increased survival in pancreatic cancer with nab-paclitaxel plus gemcitabine. N. Engl. J. Med. 2013, 369, 1691–1703. [Google Scholar] [CrossRef] [PubMed]
- Conroy, T.; Desseigne, F.; Ychou, M.; Ducreux, M.; Bouche, O.; Guimbaud, R.; Becouarn, Y.; Montoto-Grillot, C.; Gourgou-Bourgade, S.; Adenis, A.; et al. Randomized phase III trial comparing FOLFIRINOX (F: 5FU/leucovorin [LV], irinotecan [I], and oxaliplatin [O]) versus gemcitabine (G) as first-line treatment for metastatic pancreatic adenocarcinoma (MPA): Preplanned interim analysis results of the PRODIGE 4/ACCORD 11 trial. J. Clin. Oncol. 2010, 28 (Suppl. S15), 4010. [Google Scholar]
- Sauer, R.; Becker, H.; Hohenberger, W.; Rodel, C.; Wittekind, C.; Fietkau, R.; Martus, P.; Tschmelitsch, J.; Hager, E.; Hess, C.F.; et al. Preoperative versus postoperative chemoradiotherapy for rectal cancer. N. Engl. J. Med. 2004, 351, 1731–1740. [Google Scholar] [CrossRef] [PubMed]
- Cunningham, D.; Allum, W.H.; Stenning, S.P.; Thompson, J.N.; van de Velde, C.J.; Nicolson, M.; Scarffe, J.H.; Lofts, F.J.; Falk, S.J.; Iveson, T.J.; et al. Perioperative chemotherapy versus surgery alone for resectable gastroesophageal cancer. N. Engl. J. Med. 2006, 355, 11–20. [Google Scholar] [CrossRef] [PubMed]
- Van Hagen, P.; Hulshof, M.C.; van Lanschot, J.J.; Steyerberg, E.W.; van Berge Henegouwen, M.I.; Wijnhoven, B.P.; Richel, D.J.; Nieuwenhuijzen, G.A.; Hospers, G.A.; Bonenkamp, J.J.; et al. Preoperative chemoradiotherapy for esophageal or junctional cancer. N. Engl. J. Med. 2012, 366, 2074–2084. [Google Scholar] [CrossRef] [PubMed]
- Dimou, F.; Sineshaw, H.; Parmar, A.D.; Tamirisa, N.P.; Jemal, A.; Riall, T.S. Trends in Receipt and Timing of Multimodality Therapy in Early-Stage Pancreatic Cancer. J. Gastrointest. Surg. 2016, 20, 93–103. [Google Scholar] [CrossRef] [PubMed]
- Mollberg, N.; Rahbari, N.N.; Koch, M.; Hartwig, W.; Hoeger, Y.; Buchler, M.W.; Weitz, J. Arterial resection during pancreatectomy for pancreatic cancer: A systematic review and meta-analysis. Ann. Surg. 2011, 254, 882–893. [Google Scholar] [CrossRef] [PubMed]
- Fukuda, S.; Oussoultzoglou, E.; Bachellier, P.; Rosso, E.; Nakano, H.; Audet, M.; Jaeck, D. Significance of the depth of portal vein wall invasion after curative resection for pancreatic adenocarcinoma. Arch. Surg. 2007, 142, 172–179. [Google Scholar] [CrossRef] [PubMed]
- Bockhorn, M.; Uzunoglu, F.G.; Adham, M.; Imrie, C.; Milicevic, M.; Sandberg, A.A.; Asbun, H.J.; Bassi, C.; Buchler, M.; Charnley, R.M.; et al. Borderline resectable pancreatic cancer: A consensus statement by the International Study Group of Pancreatic Surgery (ISGPS). Surgery 2014, 155, 977–988. [Google Scholar] [CrossRef] [PubMed]
- Varadhachary, G.R.; Tamm, E.P.; Abbruzzese, J.L.; Xiong, H.Q.; Crane, C.H.; Wang, H.; Lee, J.E.; Pisters, P.W.; Evans, D.B.; Wolff, R.A. Borderline resectable pancreatic cancer: Definitions, management, and role of preoperative therapy. Ann. Surg. Oncol. 2006, 13, 1035–1046. [Google Scholar] [CrossRef] [PubMed]
- Malafa, M.P. Defining borderline resectable pancreatic cancer: Emerging consensus for an old challenge. J. Natl. Compr. Canc. Netw. 2015, 13, 501–504. [Google Scholar] [CrossRef] [PubMed]
- Callery, M.P.; Chang, K.J.; Fishman, E.K.; Talamonti, M.S.; William Traverso, L.; Linehan, D.C. Pretreatment assessment of resectable and borderline resectable pancreatic cancer: Expert consensus statement. Ann. Surg. Oncol. 2009, 16, 1727–1733. [Google Scholar] [CrossRef] [PubMed]
- Lutz, M.P.; Zalcberg, J.R.; Ducreux, M.; Aust, D.; Bruno, M.J.; Buchler, M.W.; Delpero, J.R.; Gloor, B.; Glynne-Jones, R.; Hartwig, W.; et al. 3rd St. Gallen EORTC Gastrointestinal Cancer Conference: Consensus recommendations on controversial issues in the primary treatment of pancreatic cancer. Eur. J. Cancer 2017, 79, 41–49. [Google Scholar] [CrossRef] [PubMed]
- Evans, D.B.; Rich, T.A.; Byrd, D.R.; Cleary, K.R.; Connelly, J.H.; Levin, B.; Charnsangavej, C.; Fenoglio, C.J.; Ames, F.C. Preoperative chemoradiation and pancreaticoduodenectomy for adenocarcinoma of the pancreas. Arch Surg 1992, 127, 1335–1339. [Google Scholar] [CrossRef] [PubMed]
- Palmer, D.H.; Stocken, D.D.; Hewitt, H.; Markham, C.E.; Hassan, A.B.; Johnson, P.J.; Buckels, J.A.; Bramhall, S.R. A randomized phase 2 trial of neoadjuvant chemotherapy in resectable pancreatic cancer: Gemcitabine alone versus gemcitabine combined with cisplatin. Ann. Surg. Oncol. 2007, 14, 2088–2096. [Google Scholar] [CrossRef] [PubMed]
- Heinemann, V. Gemcitabine-based combination treatment of pancreatic cancer. Semin. Oncol. 2002, 29 (Suppl. 3), 25–35. [Google Scholar] [CrossRef] [PubMed]
- Hackert, T.; Sachsenmaier, M.; Hinz, U.; Schneider, L.; Michalski, C.W.; Springfeld, C.; Strobel, O.; Jager, D.; Ulrich, A.; Buchler, M.W. Locally Advanced Pancreatic Cancer: Neoadjuvant Therapy With Folfirinox Results in Resectability in 60% of the Patients. Ann. Surg. 2016, 264, 457–463. [Google Scholar] [CrossRef] [PubMed]
- Fong, Y.; Gonen, M.; Rubin, D.; Radzyner, M.; Brennan, M.F. Long-term survival is superior after resection for cancer in high-volume centers. Ann. Surg. 2005, 242, 540–544. [Google Scholar] [CrossRef] [PubMed]
- Birkmeyer, J.D.; Stukel, T.A.; Siewers, A.E.; Goodney, P.P.; Wennberg, D.E.; Lucas, F.L. Surgeon volume and operative mortality in the United States. N. Engl. J. Med. 2003, 349, 2117–2127. [Google Scholar] [CrossRef] [PubMed]
- Bassi, C.; Butturini, G.; Molinari, E.; Mascetta, G.; Salvia, R.; Falconi, M.; Gumbs, A.; Pederzoli, P. Pancreatic fistula rate after pancreatic resection. The importance of definitions. Dig. Surg. 2004, 21, 54–59. [Google Scholar] [CrossRef] [PubMed]
- Russ, A.J.; Weber, S.M.; Rettammel, R.J.; Mahvi, D.M.; Rikkers, L.F.; Cho, C.S. Impact of selection bias on the utilization of adjuvant therapy for pancreas adenocarcinoma. Ann. Surg. Oncol. 2010, 17, 371–376. [Google Scholar] [CrossRef] [PubMed]
- Labori, K.J.; Katz, M.H.; Tzeng, C.W.; Bjornbeth, B.A.; Cvancarova, M.; Edwin, B.; Kure, E.H.; Eide, T.J.; Dueland, S.; Buanes, T.; et al. Impact of early disease progression and surgical complications on adjuvant chemotherapy completion rates and survival in patients undergoing the surgery first approach for resectable pancreatic ductal adenocarcinoma—A population-based cohort study. Acta Oncol. 2016, 55, 265–277. [Google Scholar] [CrossRef] [PubMed]
- Tzeng, C.W.; Tran Cao, H.S.; Lee, J.E.; Pisters, P.W.; Varadhachary, G.R.; Wolff, R.A.; Abbruzzese, J.L.; Crane, C.H.; Evans, D.B.; Wang, H.; et al. Treatment sequencing for resectable pancreatic cancer: Influence of early metastases and surgical complications on multimodality therapy completion and survival. J. Gastrointest. Surg. 2014, 18, 16–24. [Google Scholar] [CrossRef] [PubMed]
- Sho, M.; Akahori, T.; Tanaka, T.; Kinoshita, S.; Tamamoto, T.; Nomi, T.; Yamato, I.; Hokuto, D.; Yasuda, S.; Kawaguchi, C.; et al. Pathological and clinical impact of neoadjuvant chemoradiotherapy using full-dose gemcitabine and concurrent radiation for resectable pancreatic cancer. J. Hepatobiliary Pancreat. Sci. 2013, 20, 197–205. [Google Scholar] [CrossRef] [PubMed]
- O'Reilly, E.M.; Perelshteyn, A.; Jarnagin, W.R.; Schattner, M.; Gerdes, H.; Capanu, M.; Tang, L.H.; LaValle, J.; Winston, C.; DeMatteo, R.P.; et al. A single-arm, nonrandomized phase II trial of neoadjuvant gemcitabine and oxaliplatin in patients with resectable pancreas adenocarcinoma. Ann. Surg. 2014, 260, 142–148. [Google Scholar] [CrossRef] [PubMed]
- Heinrich, S.; Pestalozzi, B.; Schafer, M.; Weber, A.; Bauerfeind, P.; Knuth, A.; Clavien, P. Prospective Phase II trial on Neoadjuvant Chemotherapy with Gemcitabine and Cisplatin for Resectable Adenocarcinoma of the Pancreatic Head. J. Clin. Oncol. 2008, 26, 2526–2531. [Google Scholar] [CrossRef] [PubMed]
- Verma, V.; Li, J.; Lin, C. Neoadjuvant Therapy for Pancreatic Cancer: Systematic Review of Postoperative Morbidity, Mortality, and Complications. Am. J. Clin. Oncol. 2016, 39, 302–313. [Google Scholar] [CrossRef] [PubMed]
- Gilliland, T.M.; Villafane-Ferriol, N.; Shah, K.P.; Shah, R.M.; Tran Cao, H.S.; Massarweh, N.N.; Silberfein, E.J.; Choi, E.A.; Hsu, C.; McElhany, A.L.; et al. Nutritional and metabolic derangements in pancreatic cancer and pancreatic resection. Nutrients 2017, 9, 243. [Google Scholar] [CrossRef] [PubMed]
- Padillo, F.J.; Andicoberry, B.; Naranjo, A.; Mino, G.; Pera, C.; Sitges-Serra, A. Anorexia and the effect of internal biliary drainage on food intake in patients with obstructive jaundice. J. Am. Coll. Surg. 2001, 192, 584–590. [Google Scholar] [CrossRef]
- Gouma, D.J.; Roughneen, P.T.; Kumar, S.; Moody, F.G.; Rowlands, B.J. Changes in nutritional status associated with obstructive jaundice and biliary drainage in rats. Am. J. Clin. Nutr. 1986, 44, 36–369. [Google Scholar]
- Naumann, P.; Habermehl, D.; Welzel, T.; Debus, J.; Combs, S. Outcome after neoadjuvant chemoradiation and correlation with nutritional status in patients with locally advanced pancreatic cancer. Strahlenther. Onkol. 2013, 189, 745–752. [Google Scholar] [CrossRef] [PubMed]
- Evans, D.B.; Varadhachary, G.R.; Crane, C.H.; Sun, C.C.; Lee, J.E.; Pisters, P.W.; Vauthey, J.N.; Wang, H.; Cleary, K.R.; Staerkel, G.A.; et al. Preoperative gemcitabine-based chemoradiation for patients with resectable adenocarcinoma of the pancreatic head. J. Clin. Oncol. 2008, 26, 3496–3502. [Google Scholar] [CrossRef] [PubMed]
- Varadhachary, G.R.; Wolff, R.A.; Crane, C.H.; Sun, C.C.; Lee, J.E.; Pisters, P.W.; Vauthey, J.N.; Abdalla, E.; Wang, H.; Staerkel, G.A.; et al. Preoperative gemcitabine and cisplatin followed by gemcitabine-based chemoradiation for resectable adenocarcinoma of the pancreatic head. J. Clin. Oncol. 2008, 26, 3487–3495. [Google Scholar] [CrossRef] [PubMed]
- Golcher, H.; Brunner, T.B.; Witzigmann, H.; Marti, L.; Bechstein, W.O.; Bruns, C.; Jungnickel, H.; Schreiber, S.; Grabenbauer, G.G.; Meyer, T.; et al. Neoadjuvant chemoradiation therapy with gemcitabine/cisplatin and surgery versus immediate surgery in resectable pancreatic cancer: Results of the first prospective randomized phase II trial. Strahlenther. Onkol. 2015, 191, 7–16. [Google Scholar] [CrossRef] [PubMed]
- Casadei, R.; di Marco, M.; Ricci, C.; Santini, D.; Serra, C.; Calculli, L.; D’Ambra, M.; Guido, A.; Morselli-Labate, A.M.; Minni, F. Neoadjuvant Chemoradiotherapy and Surgery Versus Surgery Alone in Resectable Pancreatic Cancer: A Single-Center Prospective, Randomized, Controlled Trial Which Failed to Achieve Accrual Targets. J. Gastrointest. Surg. 2015, 19, 1802–1812. [Google Scholar] [CrossRef] [PubMed]
- Heinrich, S.; Schafer, M.; Weber, A.; Hany, T.F.; Bhure, U.; Pestalozzi, B.C.; Clavien, P.A. Neoadjuvant chemotherapy generates a significant tumor response in resectable pancreatic cancer without increasing morbidity: Results of a prospective phase II trial. Ann. Surg. 2008, 248, 1014–1022. [Google Scholar] [CrossRef] [PubMed]
- Mokdad, A.A.; Minter, R.M.; Zhu, H.; Augustine, M.M.; Porembka, M.R.; Wang, S.C.; Yopp, A.C.; Mansour, J.C.; Choti, M.A.; Polanco, P.M. Neoadjuvant Therapy Followed by Resection Versus Upfront Resection for Resectable Pancreatic Cancer: A Propensity Score Matched Analysis. J. Clin. Oncol. 2016, 35, 515–522. [Google Scholar] [CrossRef] [PubMed]
- Schorn, S.; Demir, I.E.; Reyes, C.M.; Saricaoglu, C.; Samm, N.; Schirren, R.; Tieftrunk, E.; Hartmann, D.; Friess, H.; Ceyhan, G.O. The impact of neoadjuvant therapy on the histopathological features of pancreatic ductal adenocarcinoma—A systematic review and meta-analysis. Cancer Treat. Rev. 2017, 55, 96–106. [Google Scholar] [CrossRef] [PubMed]
- Dholakia, A.S.; Hacker-Prietz, A.; Wild, A.T.; Raman, S.P.; Wood, L.D.; Huang, P.; Laheru, D.A.; Zheng, L.; de Jesus-Acosta, A.; Le, D.T.; et al. Resection of borderline resectable pancreatic cancer after neoadjuvant chemoradiation does not depend on improved radiographic appearance of tumor-vessel relationships. J. Radiat. Oncol. 2013, 2, 413–425. [Google Scholar] [CrossRef] [PubMed]
- De Geus-Oei, L.F.; van der Heijden, H.F.; Corstens, F.H.; Oyen, W.J. Predictive and prognostic value of FDG-PET in nonsmall-cell lung cancer: A systematic review. Cancer 2007, 110, 1654–1664. [Google Scholar] [CrossRef] [PubMed]
- Kim, S.Y.; Roh, J.L.; Kim, M.R.; Kim, J.S.; Choi, S.H.; Nam, S.Y.; Lee, S.W.; Kim, S.B.; Kim, S.Y.; Roh, J.L.; Kim, M.R.; et al. Use of 18F-FDG PET for primary treatment strategy in patients with squamous cell carcinoma of the oropharynx. J. Nucl. Med. 2007, 48, 752–757. [Google Scholar] [CrossRef] [PubMed]
- Chiorean, E.G.; von Hoff, D.D.; Reni, M.; Arena, F.P.; Infante, J.R.; Bathini, V.G.; Wood, T.E.; Mainwaring, P.N.; Muldoon, R.T.; Clingan, P.R.; et al. CA19-9 decrease at 8 weeks as a predictor of overall survival in a randomized phase III trial (MPACT) of weekly nab-paclitaxel plus gemcitabine versus gemcitabine alone in patients with metastatic pancreatic cancer. Ann. Oncol. 2016, 27, 654–660. [Google Scholar] [CrossRef] [PubMed]
- Bergquist, J.R.; Ivanics, T.; Storlie, C.B.; Groeschl, R.T.; Tee, M.C.; Habermann, E.B.; Smoot, R.L.; Kendrick, M.L.; Farnell, M.B.; Roberts, L.R.; et al. Implications of CA19-9 elevation for survival, staging, and treatment sequencing in intrahepatic cholangiocarcinoma: A national cohort analysis. J. Surg. Oncol. 2016, 114, 475–482. [Google Scholar] [CrossRef] [PubMed]
- Patel, M.; Hoffe, S.; Malafa, M.; Hodul, P.; Klapman, J.; Centeno, B.; Kim, J.; Helm, J.; Valone, T.; Springett, G. Neoadjuvant GTX chemotherapy and IMRT-based chemoradiation for borderline resectable pancreatic cancer. J. Surg. Oncol. 2011, 104, 155–161. [Google Scholar] [CrossRef] [PubMed]
- Mellon, E.A.; Jin, W.H.; Frakes, J.M.; Centeno, B.A.; Strom, T.J.; Springett, G.M.; Malafa, M.P.; Shridhar, R.; Hodul, P.J.; Hoffe, S.E. Predictors and survival for pathologic tumor response grade in borderline resectable and locally advanced pancreatic cancer treated with induction chemotherapy and neoadjuvant stereotactic body radiotherapy. Acta Oncol. 2017, 56, 391–397. [Google Scholar] [CrossRef] [PubMed]
- Ielpo, B.; Duran, H.; Diaz, E.; Fabra, I.; Caruso, R.; Ferri, V.; Malave, L.; Hidalgo, M.; Alvarez, R.; Plaza, C.; et al. Preoperative treatment with gemcitabine plus nab-paclitaxel is a safe and effective chemotherapy for pancreatic adenocarcinoma. Eur. J. Surg. Oncol. 2016, 42, 1394–1400. [Google Scholar] [CrossRef] [PubMed]
- Lee, J.L.; Kim, S.C.; Kim, J.H.; Lee, S.S.; Kim, T.W.; Park, D.H.; Seo, D.W.; Lee, S.K.; Kim, M.H.; Kim, J.H.; et al. Prospective efficacy and safety study of neoadjuvant gemcitabine with capecitabine combination chemotherapy for borderline-resectable or unresectable locally advanced pancreatic adenocarcinoma. Surgery 2012, 152, 851–862. [Google Scholar] [CrossRef] [PubMed]
- Katz, M.H.; Varadhachary, G.R.; Fleming, J.B.; Wolff, R.A.; Lee, J.E.; Pisters, P.W.; Vauthey, J.N.; Abdalla, E.K.; Sun, C.C.; Wang, H.; et al. Serum CA 19-9 as a marker of resectability and survival in patients with potentially resectable pancreatic cancer treated with neoadjuvant chemoradiation. Ann. Surg. Oncol. 2010, 17, 1794–1801. [Google Scholar] [CrossRef] [PubMed]
- Chao, Y.J.; Sy, E.D.; Hsu, H.P.; Shan, Y.S. Predictors for resectability and survival in locally advanced pancreatic cancer after gemcitabine-based neoadjuvant therapy. BMC Surg. 2014, 14, 72. [Google Scholar] [CrossRef] [PubMed]
- Tzeng, C.W.; Balachandran, A.; Ahmad, M.; Lee, J.E.; Krishnan, S.; Wang, H.; Crane, C.H.; Wolff, R.A.; Varadhachary, G.R.; Pisters, P.W.; et al. Serum carbohydrate antigen 19-9 represents a marker of response to neoadjuvant therapy in patients with borderline resectable pancreatic cancer. HPB 2014, 16, 430–438. [Google Scholar] [CrossRef] [PubMed]
- Boone, B.A.; Steve, J.; Zenati, M.S.; Hogg, M.E.; Singhi, A.D.; Bartlett, D.L.; Zureikat, A.H.; Bahary, N.; Zeh, H.J., 3rd. Serum CA 19-9 response to neoadjuvant therapy is associated with outcome in pancreatic adenocarcinoma. Ann. Surg. Oncol. 2014, 21, 4351–4358. [Google Scholar] [CrossRef] [PubMed]
- Lordick, F.; Ott, K.; Krause, B.J.; Weber, W.A.; Becker, K.; Stein, H.J.; Lorenzen, S.; Schuster, T.; Wieder, H.; Herrmann, K.; et al. PET to assess early metabolic response and to guide treatment of adenocarcinoma of the oesophagogastric junction: The MUNICON phase II trial. Lancet Oncol. 2007, 8, 797–805. [Google Scholar] [CrossRef]
- Choi, M.; Heilbrun, L.K.; Venkatramanamoorthy, R.; Lawhorn-Crews, J.M.; Zalupski, M.M.; Shields, A.F. Using 18F-fluorodeoxyglucose positron emission tomography to monitor clinical outcomes in patients treated with neoadjuvant chemo-radiotherapy for locally advanced pancreatic cancer. Am. J. Clin. Oncol. 2010, 33, 257–261. [Google Scholar] [CrossRef] [PubMed]
- Akita, H.; Takahashi, H.; Ohigashi, H.; Tomokuni, A.; Kobayashi, S.; Sugimura, K.; Miyoshi, N.; Moon, J.H.; Yasui, M.; Omori, T.; et al. FDG-PET predicts treatment efficacy and surgical outcome of pre-operative chemoradiation therapy for resectable and borderline resectable pancreatic cancer. Eur. J. Surg. Oncol. 2017, 43, 1061–1067. [Google Scholar] [CrossRef] [PubMed]
- Gillen, S.; Schuster, T.; Meyer Zum Buschenfelde, C.; Friess, H.; Kleeff, J. Preoperative/neoadjuvant therapy in pancreatic cancer: A systematic review and meta-analysis of response and resection percentages. PLoS Med. 2010, 7, e1000267. [Google Scholar] [CrossRef] [PubMed]
- Lutfi, W.; Talamonti, M.S.; Kantor, O.; Wang, C.H.; Stocker, S.J.; Bentrem, D.J.; Roggin, K.K.; Winchester, D.J.; Marsh, R.; Prinz, R.A.; et al. Neoadjuvant external beam radiation is associated with no benefit in overall survival for early stage pancreatic cancer. Am. J. Surg. 2017, 213, 521–525. [Google Scholar] [CrossRef] [PubMed]
- Lutfi, W.; Talamonti, M.S.; Kantor, O.; Wang, C.H.; Liederbach, E.; Stocker, S.J.; Bentrem, D.J.; Roggin, K.K.; Winchester, D.J.; Marsh, R.; et al. Perioperative chemotherapy is associated with a survival advantage in early stage adenocarcinoma of the pancreatic head. Surgery 2016, 160, 714–724. [Google Scholar] [CrossRef] [PubMed]
- Strobel, O.; Hank, T.; Hinz, U.; Bergmann, F.; Schneider, L.; Springfeld, C.; Jager, D.; Schirmacher, P.; Hackert, T.; Buchler, M.W. Pancreatic Cancer Surgery: The New R-Status Counts. Ann. Surg. 2017, 265, 565–573. [Google Scholar] [CrossRef] [PubMed]
- Rose, J.B.; Rocha, F.G.; Alseidi, A.; Biehl, T.; Moonka, R.; Ryan, J.A.; Lin, B.; Picozzi, V.; Helton, S. Extended neoadjuvant chemotherapy for borderline resectable pancreatic cancer demonstrates promising postoperative outcomes and survival. Ann. Surg. Oncol. 2014, 21, 1530–1537. [Google Scholar] [CrossRef] [PubMed]
- Suker, M.; Beumer, B.R.; Sadot, E.; Marthey, L.; Faris, J.E.; Mellon, E.A.; El-Rayes, B.F.; Wang-Gillam, A.; Lacy, J.; Hosein, P.J.; et al. FOLFIRINOX for locally advanced pancreatic cancer: A systematic review and patient-level meta-analysis. Lancet Oncol. 2016, 17, 801–810. [Google Scholar] [CrossRef]
- Haeno, H.; Gonen, M.; Davis, M.B.; Herman, J.M.; Iacobuzio-Donahue, C.A.; Michor, F. Computational modeling of pancreatic cancer reveals kinetics of metastasis suggesting optimum treatment strategies. Cell 2012, 148, 362–375. [Google Scholar] [CrossRef] [PubMed]
- Martin, R.C.; Kwon, D.; Chalikonda, S.; Sellers, M.; Kotz, E.; Scoggins, C.; McMasters, K.M.; Watkins, K. Treatment of 200 locally advanced (stage III) pancreatic adenocarcinoma patients with irreversible electroporation: Safety and efficacy. Ann. Surg. 2015, 262, 486–494. [Google Scholar] [CrossRef] [PubMed]
- Wu, F.; Wang, Z.B.; Zhu, H.; Chen, W.Z.; Zou, J.Z.; Bai, J.; Li, K.Q.; Jin, C.B.; Xie, F.L.; Su, H.B. Feasibility of US-guided high-intensity focused ultrasound treatment in patients with advanced pancreatic cancer: Initial experience. Radiology 2005, 236, 1034–1040. [Google Scholar] [CrossRef] [PubMed]
- Rombouts, S.J.; Vogel, J.A.; van Santvoort, H.C.; van Lienden, K.P.; van Hillegersberg, R.; Busch, O.R.; Besselink, M.G.; Molenaar, I.Q. Systematic review of innovative ablative therapies for the treatment of locally advanced pancreatic cancer. Br. J. Surg. 2015, 102, 182–193. [Google Scholar] [CrossRef] [PubMed]
- Heinrich, S.; Pestalozzi, B.; Lesurtel, M.; Berrevoet, F.; Laurent, S.; Delpero, J.R.; Raoul, J.L.; Bachellier, P.; Dufour, P.; Moehler, M.; et al. Adjuvant gemcitabine versus NEOadjuvant gemcitabine/oxaliplatin plus adjuvant gemcitabine in resectable pancreatic cancer: A randomized multicenter phase III study (NEOPAC study). BMC Cancer 2011, 11, 346. [Google Scholar] [CrossRef] [PubMed]
- Versteijne, E.; van Eijck, C.H.; Punt, C.J.; Suker, M.; Zwinderman, A.H.; Dohmen, M.A.; Groothuis, K.B.; Busch, O.R.; Besselink, M.G.; de Hingh, I.H.; et al. Preoperative radiochemotherapy versus immediate surgery for resectable and borderline resectable pancreatic cancer (PREOPANC trial): Study protocol for a multicentre randomized controlled trial. Trials 2016, 17, 127. [Google Scholar] [CrossRef] [PubMed]
- ISRCTN8950. ESPAC-5F: European Study Group for Pancreatic Cancer—Trial 5F. Available online: http://www.isrctn.com/ISRCTN89500674 (accessed on 25 July 2017).
- Tachezy, M.; Gebauer, F.; Petersen, C.; Arnold, D.; Trepel, M.; Wegscheider, K.; Schafhausen, P.; Bockhorn, M.; Izbicki, J.R.; Yekebas, E. Sequential neoadjuvant chemoradiotherapy (CRT) followed by curative surgery vs. primary surgery alone for resectable, non-metastasized pancreatic adenocarcinoma: NEOPA—A randomized multicenter phase III study (NCT01900327, DRKS00003893, ISRCTN82191749). BMC Cancer 2014, 14, 411. [Google Scholar] [CrossRef] [PubMed]


| Resectable | Borderline Resectable | Unresectable/Locally Advanced | |
|---|---|---|---|
| SMA/CA | No contact | <180° | >180° involvement |
| PV/SMV | No contact | >180° | No reconstruction possible |
| Potentially resectable | |||
| Author | n | Inclusion Criteria | Treatment | Hematologic Toxicity 1 | GI Toxicity 1 | Hosp 2 | Median Survival | Systemic Disease Progression | Evans Score | |||||||
|---|---|---|---|---|---|---|---|---|---|---|---|---|---|---|---|---|
| III | IV | III | IV | I | IIa | IIb | III | IV | ||||||||
| Evans et al. [33] | 86 | potentially resectable | (1) no evidence of extrapancreatic disease | Gemcitabine (400 mg/m2)
Radiation (30 Gy) | 69 | 6 | 60 | 0 | 40 | 22.7 months | 17/86 (19.7%) | 12 (19%) | 15 (23%) | 28 (44%) | 8 (13%) | 1 (1%) |
| (2) no evidence of tumor extension to the (SMA) or celiac axis | ||||||||||||||||
| (3) no evidence of occlusion of the (SMV) or SMV–PV confluence | ||||||||||||||||
| (4) Tumor abutment and encasement of the SMV, in the absence of vessel occlusion or extension to the SMA was considered resectable | ||||||||||||||||
| Varadachary et al. [34] | 90 | resectable | As Evans et al. | gemcitabine (750 mg/m2)
cisplatin (30 mg/m2) radiation (30 Gy) gemcitabine (400 mg/m2) | 54 | 28 | 42 | 17.4 months | 19/90 (21.1%) | 2 (11%) | 18 (20%) | 14 (15.5%) | 8 (8.9%) | 1 (1.1%) | ||
| Sho et al. [25] | 61 | resectable | (1) no distant metastases | Gemcitabine (1000 mg/m2)
Radiation (50–54 Gy) | 67 | 5 | 0 | 0 | - | 28 months | 0% | 1 (2%) | 35 (57%) | 21 (34%) | 20 (32%) | 2 (3%) |
| (2) tumor abutment with impingement and narrowing of the portal vein lumen | ||||||||||||||||
| (3) encasement of the SMV/portal vein allowing for safe resection and reconstruction | ||||||||||||||||
| (3) no extension to the celiac axis | ||||||||||||||||
| (4) tumor abutment of the SMA not to exceed 180° | ||||||||||||||||
| Golcher et al. [35] | 33 | resectable | Resectability: | Surgery | 0 | 0 | 0 | 0 | 14.4 months | |||||||
| (1) no organ infiltration except the duodenum | versus | |||||||||||||||
| 33 | (2) maximal involvement of peripancreatic vessels ≤180° | gemcitabine 300 mg/m2 cisplatin 30 mg/m2 Radiation (50.4 Gy) | 18 | 4 | 11 | 0 | 17.4 months | - | - | - | - | - | - | |||
| Casadei et al. [36] | 20 | resectable | Tumors were resectable: | Surgery | 19.5 months | |||||||||||
| (1) no distant metastases | versus | |||||||||||||||
| 18 | (2) less than180° involvement of SMV/PV (Ishikawa 0–2) | gemcitabine 1000 mg/m2 Radiation (45Gy) gemcitabine 50 mg/m2 | 5 | 1 | 0 | 0 | 22.4 months | 4 (22.2%) | None 4 | Minimal | Small | Moderate | Large | |||
| (3) clear fat planes around the CA, HA, SMA | 0 | 2 (11.1%) | 3 (16.7%) | 5 (27.8%) | 1 (5.6%) | |||||||||||
| Heinrich et al. [27] | 28 | resectable | (1) Patients with infiltration of the superior mesenteric or celiac arteries (T4) were excluded. | Gemcitabine (1000 mg/m2)
Cisplatin (50 mg/m2) | 2 | 0 | 6 | 0 | - | 26.5 months | 2/28 (7.1%) | 11 (46%) | 5 (20%) | 8 (34%) | 0 | 0 |
| (2) Patients with infiltration of the portal vein, the duodenum, or the stomach (T3) were not excluded | ||||||||||||||||
| O´Reilly et al. [26] | 38 | resectable | (1) clear fat plane around celiac and superior mesenteric arteries and a patent superior mesenteric vein and portal vein without primary tumor involvement | Gemcitabine (1000 mg/m2)
Oxaliplatin (80 mg/m2) | 0 | 0 | 1 | 0 | - | 27.2 months | 3/35 (8.6%) | - | - | - | - | - |
| (2) no encasement of the superior mesenteric vein or portal vein involvement | ||||||||||||||||
| (3) no encasement of the superior mesenteric artery or hepatic artery | ||||||||||||||||
| (4) no extra-regional nodal disease | ||||||||||||||||
| Palmer et al. [16] | 24 3 | resectable | (1) Patients with tumor surrounding >180% of the PV or SMV or | gemcitabine (1000 mg/m2) | 12 | 0 | 0 | 9.9 months | - | - | - | - | - | - | ||
| (2) direct tumor extension to SMA or CA | versus | |||||||||||||||
| 26 | (3) evidence of extra-pancreatic disease were considered nonresectable | gemcitabine (1000 mg/m2)
cisplatin (25 mg/m2) | 10 | 0 | 6 | 15.6 months | ||||||||||
© 2017 by the authors. Licensee MDPI, Basel, Switzerland. This article is an open access article distributed under the terms and conditions of the Creative Commons Attribution (CC BY) license (http://creativecommons.org/licenses/by/4.0/).
Share and Cite
Heinrich, S.; Lang, H. Neoadjuvant Therapy of Pancreatic Cancer: Definitions and Benefits. Int. J. Mol. Sci. 2017, 18, 1622. https://doi.org/10.3390/ijms18081622
Heinrich S, Lang H. Neoadjuvant Therapy of Pancreatic Cancer: Definitions and Benefits. International Journal of Molecular Sciences. 2017; 18(8):1622. https://doi.org/10.3390/ijms18081622
Chicago/Turabian StyleHeinrich, Stefan, and Hauke Lang. 2017. "Neoadjuvant Therapy of Pancreatic Cancer: Definitions and Benefits" International Journal of Molecular Sciences 18, no. 8: 1622. https://doi.org/10.3390/ijms18081622
APA StyleHeinrich, S., & Lang, H. (2017). Neoadjuvant Therapy of Pancreatic Cancer: Definitions and Benefits. International Journal of Molecular Sciences, 18(8), 1622. https://doi.org/10.3390/ijms18081622
