p53 Expression as a Diagnostic Biomarker in Ulcerative Colitis-Associated Cancer
Abstract
:1. Introduction
2. Histopathological Diagnosis of UC
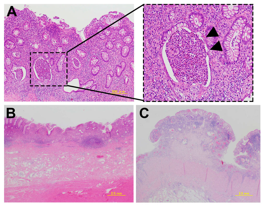
2.1. Inflammation
2.2. Dysplasia
2.3. UC-Associated Dysplasia–Carcinoma Sequence
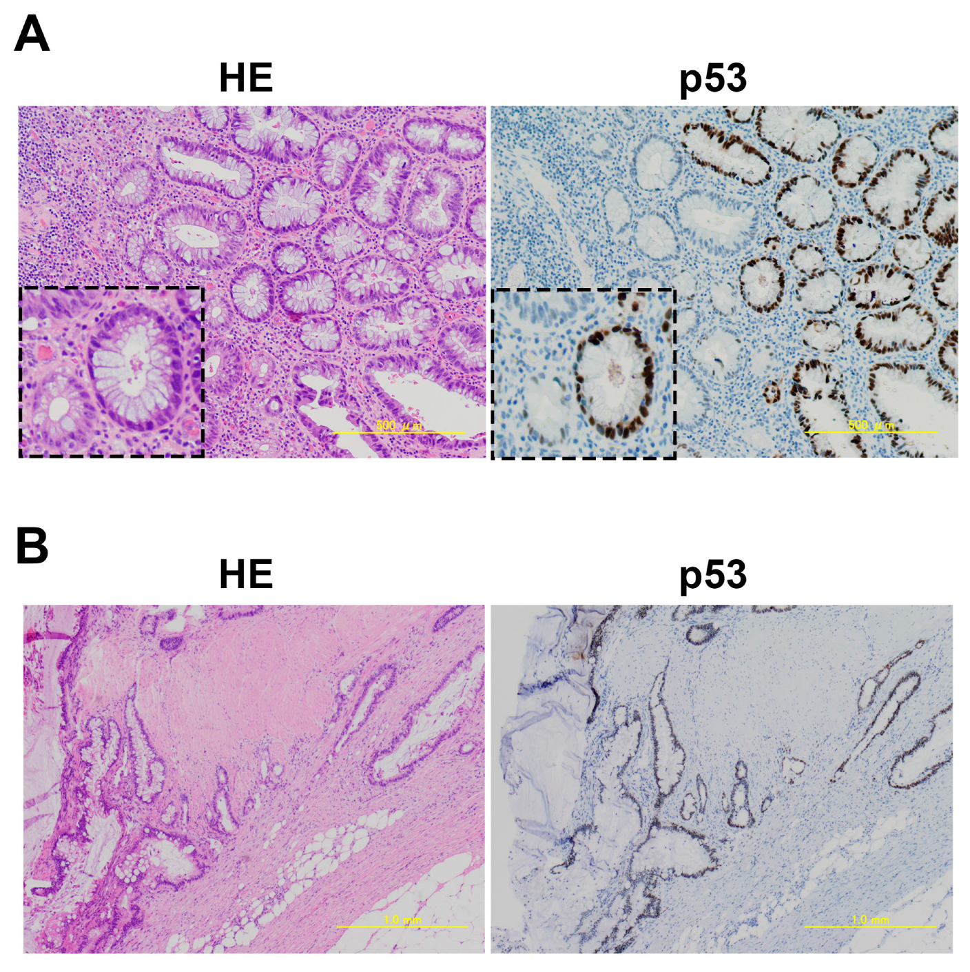
2.4. Genetic Alterations of p53
3. p53 Expression as a Diagnostic Marker in UC-Associated Dysplasia
4. Conclusions
Acknowledgments
Conflicts of Interest
References
- Kornbluth, A.; Sachar, D.B. Ulcerative colitis practice guidelines in adults: American College of Gastroenterology, Practice Parameters Committee. Am. J. Gastroenterol. 2010, 105, 501–523. [Google Scholar] [CrossRef] [PubMed]
- Jess, T.; Rungoe, C.; Peyrin-Biroulet, L. Risk of colorectal cancer in patients with ulcerative colitis: A meta-analysis of population-based cohort studies. Clin. Gastroenterol. Hepatol. 2012, 10, 639–645. [Google Scholar] [CrossRef] [PubMed]
- Lakatos, P.L.; Lakatos, L. Risk for colorectal cancer in ulcerative colitis: Changes, causes and management strategies. World J. Gastroenterol. 2008, 14, 3937–3947. [Google Scholar] [CrossRef] [PubMed]
- Eaden, J.A.; Abrams, K.R.; Mayberry, J.F. The risk of colorectal cancer in ulcerative colitis: A meta-analysis. Gut 2001, 48, 526–535. [Google Scholar] [CrossRef] [PubMed]
- Rogler, G. Chronic ulcerative colitis and colorectal cancer. Cancer Lett. 2014, 345, 235–241. [Google Scholar] [CrossRef] [PubMed]
- Tanaka, T. Development of an inflammation-associated colorectal cancer model and its application for research on carcinogenesis and chemoprevention. Int. J. Inflam. 2012, 2012. [Google Scholar] [CrossRef] [PubMed]
- Tanaka, T. Colorectal carcinogenesis: Review of human and experimental animal studies. J. Carcinog. 2009, 8, 5. [Google Scholar] [CrossRef] [PubMed]
- Itzkowitz, S.H.; Greenwald, B.; Meltzer, S.J. Colon carcinogenesis in inflammatory bowel disease. Inflamm. Bowel Dis. 1995, 1, 142–158. [Google Scholar] [CrossRef] [PubMed]
- Brentnall, T.A.; Crispin, D.A.; Rabinovitch, P.S.; Haggitt, R.C.; Rubin, C.E.; Stevens, A.C.; Burmer, G.C. Mutations in the p53 gene: An early marker of neoplastic progression in ulcerative colitis. Gastroenterology 1994, 107, 369–378. [Google Scholar] [CrossRef]
- Popp, C.; Nichita, L.; Voiosu, T.; Bastian, A.; Cioplea, M.; Micu, G.; Pop, G.; Sticlaru, L.; Bengus, A.; Voiosu, A.; et al. Expression Profile of p53 and p21 in Large Bowel Mucosa as Biomarkers of Inflammatory-Related Carcinogenesis in Ulcerative Colitis. Dis. Markers 2016, 2016. [Google Scholar] [CrossRef] [PubMed]
- Rubin, D.T.; Turner, J.R. Surveillance of dysplasia in inflammatory bowel disease: The gastroenterologist-pathologist partnership. Clin. Gastroenterol. Hepatol. 2006, 4, 1309–1313. [Google Scholar] [CrossRef] [PubMed]
- Itzkowitz, S. Colon carcinogenesis in inflammatory bowel disease: Applying molecular genetics to clinical practice. J. Clin. Gastroenterol. 2003, 36, S70–S74. [Google Scholar] [CrossRef] [PubMed]
- Hussain, S.P.; Amstad, P.; Raja, K.; Ambs, S.; Nagashima, M.; Bennett, W.P.; Shields, P.G.; Ham, A.J.; Swenberg, J.A.; Marrogi, A.J.; et al. Increased p53 mutation load in noncancerous colon tissue from ulcerative colitis: A cancer-prone chronic inflammatory disease. Cancer Res. 2000, 60, 3333–3337. [Google Scholar] [PubMed]
- Matts, S.G. The value of rectal biopsy in the diagnosis of ulcerative colitis. Q. J. Med. 1961, 30, 393–407. [Google Scholar] [PubMed]
- Floren, C.H.; Benoni, C.; Willen, R. Histologic and colonoscopic assessment of disease extension in ulcerative colitis. Scand. J. Gastroenterol. 1987, 22, 459–462. [Google Scholar] [CrossRef] [PubMed]
- Sandborn, W.J.; Tremaine, W.J.; Schroeder, K.W.; Batts, K.P.; Lawson, G.M.; Steiner, B.L.; Harrison, J.M.; Zinsmeister, A.R. A placebo-controlled trial of cyclosporine enemas for mildly to moderately active left-sided ulcerative colitis. Gastroenterology 1994, 106, 1429–1435. [Google Scholar] [CrossRef]
- Geboes, K.; Riddell, R.; Ost, A.; Jensfelt, B.; Persson, T.; Lofberg, R. A reproducible grading scale for histological assessment of inflammation in ulcerative colitis. Gut 2000, 47, 404–409. [Google Scholar] [CrossRef] [PubMed]
- Levine, D.S.; Haggitt, R.C. Normal histology of the colon. Am. J. Surg Pathol. 1989, 13, 966–984. [Google Scholar] [CrossRef] [PubMed]
- Surawicz, C.M.; Belic, L. Rectal biopsy helps to distinguish acute self-limited colitis from idiopathic inflammatory bowel disease. Gastroenterology 1984, 86, 104–113. [Google Scholar] [PubMed]
- DeRoche, T.C.; Xiao, S.Y.; Liu, X. Histological evaluation in ulcerative colitis. Gastroenterol. Rep. 2014, 2, 178–192. [Google Scholar] [CrossRef] [PubMed]
- Riddell, R.H.; Goldman, H.; Ransohoff, D.F.; Appelman, H.D.; Fenoglio, C.M.; Haggitt, R.C.; Ahren, C.; Correa, P.; Hamilton, S.R.; Morson, B.C.; et al. Dysplasia in inflammatory bowel disease: Standardized classification with provisional clinical applications. Hum. Pathol. 1983, 14, 931–968. [Google Scholar] [CrossRef]
- Riddell, R.H. The precarcinomatous phase of ulcerative colitis. Curr. Top. Pathol. 1976, 63, 179–219. [Google Scholar] [PubMed]
- Odze, R. Diagnostic problems and advances in inflammatory bowel disease. Mod. Pathol. 2003, 16, 347–358. [Google Scholar] [CrossRef] [PubMed]
- Chen, Y.X.; Qiao, L. Adenoma-like and non-adenoma-like dysplasia-associated lesion or mass in ulcerative colitis. J. Dig. Dis. 2013, 14, 157–159. [Google Scholar] [CrossRef] [PubMed]
- Leowardi, C.; Schneider, M.L.; Hinz, U.; Harnoss, J.M.; Tarantino, I.; Lasitschka, F.; Ulrich, A.; Buchler, M.W.; Kadmon, M. Prognosis of Ulcerative Colitis-Associated Colorectal Carcinoma Compared to Sporadic Colorectal Carcinoma: A Matched Pair Analysis. Ann. Surg. Oncol. 2016, 23, 870–876. [Google Scholar] [CrossRef] [PubMed]
- Lam, A.K.; Chan, S.S.; Leung, M. Synchronous colorectal cancer: Clinical, pathological and molecular implications. World J. Gastroenterol. 2014, 20, 6815–6820. [Google Scholar] [CrossRef] [PubMed]
- Mir-Madjlessi, S.H.; Farmer, R.G.; Easley, K.A.; Beck, G.J. Colorectal and extracolonic malignancy in ulcerative colitis. Cancer 1986, 58, 1569–1574. [Google Scholar] [CrossRef]
- Laine, L.; Kaltenbach, T.; Barkun, A.; McQuaid, K.R.; Subramanian, V.; Soetikno, R. SCENIC international consensus statement on surveillance and management of dysplasia in inflammatory bowel disease. Gastroenterology 2015, 148, 639–651. [Google Scholar] [CrossRef] [PubMed]
- Burgmann, T.; Rawsthorne, P.; Bernstein, C.N. Predictors of alternative and complementary medicine use in inflammatory bowel disease: Do measures of conventional health care utilization relate to use? Am. J. Gastroenterol. 2004, 99, 889–893. [Google Scholar] [CrossRef] [PubMed]
- Bernstein, C.N. Ulcerative colitis with low-grade dysplasia. Gastroenterology 2004, 127, 950–956. [Google Scholar] [CrossRef] [PubMed]
- Yang, X.; Zhao, C.; An, N. Random walk based method to identify prognostic genes in colorectal cancer. Oncotarget 2017. [Google Scholar] [CrossRef] [PubMed]
- Al-Sohaily, S.; Biankin, A.; Leong, R.; Kohonen-Corish, M.; Warusavitarne, J. Molecular pathways in colorectal cancer. J. Gastroenterol. Hepatol. 2012, 27, 1423–1431. [Google Scholar] [CrossRef] [PubMed]
- Kinzler, K.W.; Vogelstein, B. Lessons from hereditary colorectal cancer. Cell 1996, 87, 159–170. [Google Scholar] [CrossRef]
- Foersch, S.; Neurath, M.F. Colitis-associated neoplasia: Molecular basis and clinical translation. Cell. Mol. Life Sci. 2014, 71, 3523–3535. [Google Scholar] [CrossRef] [PubMed]
- Goss, K.H.; Groden, J. Biology of the adenomatous polyposis coli tumor suppressor. J. Clin. Oncol. 2000, 18, 1967–1979. [Google Scholar] [CrossRef] [PubMed]
- Robles, A.I.; Traverso, G.; Zhang, M.; Roberts, N.J.; Khan, M.A.; Joseph, C.; Lauwers, G.Y.; Selaru, F.M.; Popoli, M.; Pittman, M.E.; et al. Whole-Exome Sequencing Analyses of Inflammatory Bowel Disease-Associated Colorectal Cancers. Gastroenterology 2016, 150, 931–943. [Google Scholar] [CrossRef] [PubMed]
- Stolfi, C.; Rizzo, A.; Franze, E.; Rotondi, A.; Fantini, M.C.; Sarra, M.; Caruso, R.; Monteleone, I.; Sileri, P.; Franceschilli, L.; et al. Involvement of interleukin-21 in the regulation of colitis-associated colon cancer. J. Exp. Med. 2011, 208, 2279–2290. [Google Scholar] [CrossRef] [PubMed]
- Popivanova, B.K.; Kostadinova, F.I.; Furuichi, K.; Shamekh, M.M.; Kondo, T.; Wada, T.; Egashira, K.; Mukaida, N. Blockade of a chemokine, CCL2, reduces chronic colitis-associated carcinogenesis in mice. Cancer Res. 2009, 69, 7884–7892. [Google Scholar] [CrossRef] [PubMed]
- Becker, C.; Fantini, M.C.; Wirtz, S.; Nikolaev, A.; Lehr, H.A.; Galle, P.R.; Rose-John, S.; Neurath, M.F. IL-6 signaling promotes tumor growth in colorectal cancer. Cell. Cycle 2005, 4, 217–220. [Google Scholar] [CrossRef] [PubMed]
- Galatola, M.; Miele, E.; Strisciuglio, C.; Paparo, L.; Rega, D.; Delrio, P.; Duraturo, F.; Martinelli, M.; Rossi, G.B.; Staiano, A.; et al. Synergistic effect of interleukin-10-receptor variants in a case of early-onset ulcerative colitis. World J. Gastroenterol. 2013, 19, 8659–8670. [Google Scholar] [CrossRef] [PubMed]
- Becker, C.; Fantini, M.C.; Neurath, M.F. TGF-beta as a T cell regulator in colitis and colon cancer. Cytokine Growth Factor Rev. 2006, 17, 97–106. [Google Scholar] [CrossRef] [PubMed]
- Nguyen, A.V.; Wu, Y.Y.; Liu, Q.; Wang, D.; Nguyen, S.; Loh, R.; Pang, J.; Friedman, K.; Orlofsky, A.; Augenlicht, L.; et al. STAT3 in epithelial cells regulates inflammation and tumor progression to malignant state in colon. Neoplasia 2013, 15, 998–1008. [Google Scholar] [CrossRef] [PubMed]
- Agoff, S.N.; Brentnall, T.A.; Crispin, D.A.; Taylor, S.L.; Raaka, S.; Haggitt, R.C.; Reed, M.W.; Afonina, I.A.; Rabinovitch, P.S.; Stevens, A.C.; et al. The role of cyclooxygenase 2 in ulcerative colitis-associated neoplasia. Am. J. Pathol. 2000, 157, 737–745. [Google Scholar] [CrossRef]
- Watson, A.J. Chemopreventive effects of NSAIDs against colorectal cancer: Regulation of apoptosis and mitosis by COX-1 and COX-2. Histol. Histopathol. 1998, 13, 591–597. [Google Scholar] [PubMed]
- June, C.H.; Bluestone, J.A.; Nadler, L.M.; Thompson, C.B. The B7 and CD28 receptor families. Immunol. Today 1994, 15, 321–331. [Google Scholar] [CrossRef]
- Yin, J.; Harpaz, N.; Tong, Y.; Huang, Y.; Laurin, J.; Greenwald, B.D.; Hontanosas, M.; Newkirk, C.; Meltzer, S.J. p53 point mutations in dysplastic and cancerous ulcerative colitis lesions. Gastroenterology 1993, 104, 1633–1639. [Google Scholar] [CrossRef]
- Blackstone, M.O.; Riddell, R.H.; Rogers, B.H.; Levin, B. Dysplasia-associated lesion or mass (DALM) detected by colonoscopy in long-standing ulcerative colitis: An indication for colectomy. Gastroenterology 1981, 80, 366–374. [Google Scholar] [PubMed]
- Baker, S.J.; Preisinger, A.C.; Jessup, J.M.; Paraskeva, C.; Markowitz, S.; Willson, J.K.; Hamilton, S.; Vogelstein, B. p53 gene mutations occur in combination with 17p allelic deletions as late events in colorectal tumorigenesis. Cancer Res. 1990, 50, 7717–7722. [Google Scholar] [PubMed]
- Brahim, B.E.; Mrabet, A.; Jouini, R.; Koubaa, W.; Sidhom, B.; Elloumi, H.; Chadli, A. Immunohistochemistry in the diagnosis of dysplasia in chronic inflammatory bowel disease colorectal polyps. Arab J. Gastroenterol. 2016, 17, 121–126. [Google Scholar] [CrossRef] [PubMed]
- Rogel, A.; Popliker, M.; Webb, C.G.; Oren, M. p53 cellular tumor antigen: Analysis of mRNA levels in normal adult tissues, embryos, and tumors. Mol. Cell. Biol. 1985, 5, 2851–2855. [Google Scholar] [CrossRef] [PubMed]
- Minami, K.; Matsuzaki, S.; Hayashi, N.; Mokarim, A.; Ito, M.; Sekine, I. Immunohistochemical study of p53 overexpression in radiation-induced colon cancers. J. Radiat Res. 1998, 39, 1–10. [Google Scholar] [CrossRef] [PubMed]
- Lane, D.P. Cancer. p53, guardian of the genome. Nature 1992, 358, 15–16. [Google Scholar] [CrossRef] [PubMed]
- Kobel, M.; Piskorz, A.M.; Lee, S.; Lui, S.; LePage, C.; Marass, F.; Rosenfeld, N.; Mes Masson, A.M.; Brenton, J.D. Optimized p53 immunohistochemistry is an accurate predictor of TP53 mutation in ovarian carcinoma. J. Pathol. Clin Res. 2016, 2, 247–258. [Google Scholar] [CrossRef] [PubMed]
- Ohgaki, H.; Dessen, P.; Jourde, B.; Horstmann, S.; Nishikawa, T.; Di Patre, P.L.; Burkhard, C.; Schuler, D.; Probst-Hensch, N.M.; Maiorka, P.C.; et al. Genetic pathways to glioblastoma: A population-based study. Cancer Res. 2004, 64, 6892–6899. [Google Scholar] [CrossRef] [PubMed]
- Taubert, H.; Wurl, P.; Bache, M.; Meye, A.; Berger, D.; Holzhausen, H.J.; Hinze, R.; Schmidt, H.; Rath, F.W. The p53 gene in soft tissue sarcomas: Prognostic value of DNA sequencing versus immunohistochemistry. Anticancer Res. 1998, 18, 183–187. [Google Scholar] [PubMed]
- Sjogren, S.; Inganas, M.; Norberg, T.; Lindgren, A.; Nordgren, H.; Holmberg, L.; Bergh, J. The p53 gene in breast cancer: Prognostic value of complementary DNA sequencing versus immunohistochemistry. J. Natl. Cancer Inst. 1996, 88, 173–182. [Google Scholar] [CrossRef] [PubMed]
- Zakrzewska, M.; Szybka, M.; Biernat, W.; Papierz, T.; Rieske, P.; Liberski, P.P.; Zakrzewski, K. Prevalence of mutated TP53 on cDNA (but not on DNA template) in pleomorphic xanthoastrocytoma with positive TP53 immunohistochemistry. Cancer Genet. Cytogenet. 2009, 193, 93–97. [Google Scholar] [CrossRef] [PubMed]
- Szybka, M.; Zakrzewska, M.; Rieske, P.; Pasz-Walczak, G.; Kulczycka-Wojdala, D.; Zawlik, I.; Stawski, R.; Jesionek-Kupnicka, D.; Liberski, P.P.; Kordek, R. cDNA sequencing improves the detection of P53 missense mutations in colorectal cancer. BMC Cancer 2009, 9, 278. [Google Scholar] [CrossRef] [PubMed]
- Szybka, M.; Zawlik, I.; Kulczycka, D.; Golanska, E.; Jesien, E.; Kupnicka, D.; Stawski, R.; Piaskowski, S.; Bieniek, E.; Zakrzewska, M.; et al. Elimination of wild-type P53 mRNA in glioblastomas showing heterozygous mutations of P53. Br. J. Cancer 2008, 98, 1431–1433. [Google Scholar] [CrossRef] [PubMed]
- Forslund, A.; Kressner, U.; Lonnroth, C.; Andersson, M.; Lindmark, G.; Lundholm, K. P53 mutations in colorectal cancer assessed in both genomic DNA and cDNA as compared to the presence of p53 LOH. Int J. Oncol. 2002, 21, 409–415. [Google Scholar] [CrossRef] [PubMed]
- Williams, C.; Norberg, T.; Ahmadian, A.; Ponten, F.; Bergh, J.; Inganas, M.; Lundeberg, J.; Uhlen, M. Assessment of sequence-based p53 gene analysis in human breast cancer: Messenger RNA in comparison with genomic DNA targets. Clin. Chem. 1998, 44, 455–462. [Google Scholar] [PubMed]
- Serrati, S.; De Summa, S.; Pilato, B.; Petriella, D.; Lacalamita, R.; Tommasi, S.; Pinto, R. Next-generation sequencing: Advances and applications in cancer diagnosis. Onco Targets Ther. 2016, 9, 7355–7365. [Google Scholar] [CrossRef] [PubMed]
- Shigaki, K.; Mitomi, H.; Fujimori, T.; Ichikawa, K.; Tomita, S.; Imura, J.; Fujii, S.; Itabashi, M.; Kameoka, S.; Sahara, R.; Takenoshita, S. Immunohistochemical analysis of chromogranin A and p53 expressions in ulcerative colitis-associated neoplasia: Neuroendocrine differentiation as an early event in the colitis-neoplasia sequence. Hum. Pathol. 2013, 44, 2393–2399. [Google Scholar] [CrossRef] [PubMed]
- Munro, A.J.; Lain, S.; Lane, D.P. P53 abnormalities and outcomes in colorectal cancer: A systematic review. Br. J. Cancer 2005, 92, 434–444. [Google Scholar] [CrossRef] [PubMed]
- Noffsinger, A.E.; Belli, J.M.; Miller, M.A.; Fenoglio-Preiser, C.M. A unique basal pattern of p53 expression in ulcerative colitis is associated with mutation in the p53 gene. Histopathology 2001, 39, 482–492. [Google Scholar] [CrossRef] [PubMed]
- Sato, A.; MacHinami, R. p53 immunohistochemistry of ulcerative colitis-associated with dysplasia and carcinoma. Pathol. Int. 1999, 49, 858–868. [Google Scholar] [CrossRef] [PubMed]
- Kobayashi, S.; Fujimori, T.; Mitomi, H.; Tomita, S.; Ichikawa, K.; Imura, J.; Fujii, S.; Itabashi, M.; Kameoka, S.; Igarashi, Y. Immunohistochemical assessment of a unique basal pattern of p53 expression in ulcerative-colitis-associated neoplasia using computer-assisted cytometry. Diagn. Pathol. 2014, 9, 99. [Google Scholar] [CrossRef] [PubMed]
- Magro, F.; Langner, C.; Driessen, A.; Ensari, A.; Geboes, K.; Mantzaris, G.J.; Villanacci, V.; Becheanu, G.; Borralho Nunes, P.; Cathomas, G.; et al. European consensus on the histopathology of inflammatory bowel disease. J. Crohns Colitis 2013, 7, 827–851. [Google Scholar] [CrossRef] [PubMed]
- Kaserer, K.; Schmaus, J.; Bethge, U.; Migschitz, B.; Fasching, S.; Walch, A.; Herbst, F.; Teleky, B.; Wrba, F. Staining patterns of p53 immunohistochemistry and their biological significance in colorectal cancer. J. Pathol. 2000, 190, 450–456. [Google Scholar] [CrossRef]



| (1) Negative for dyplasia |
| ・Normal mucosa, Inactive colitis, Active colitis |
| (2) Indefinite for dysplasia |
| ・Probably negative |
| (3) Positive for dysplasia |
| ・Low-grade dysplasia |
| ・High-grade dysplasia |
© 2017 by the authors. Licensee MDPI, Basel, Switzerland. This article is an open access article distributed under the terms and conditions of the Creative Commons Attribution (CC BY) license (http://creativecommons.org/licenses/by/4.0/).
Share and Cite
Kobayashi, K.; Tomita, H.; Shimizu, M.; Tanaka, T.; Suzui, N.; Miyazaki, T.; Hara, A. p53 Expression as a Diagnostic Biomarker in Ulcerative Colitis-Associated Cancer. Int. J. Mol. Sci. 2017, 18, 1284. https://doi.org/10.3390/ijms18061284
Kobayashi K, Tomita H, Shimizu M, Tanaka T, Suzui N, Miyazaki T, Hara A. p53 Expression as a Diagnostic Biomarker in Ulcerative Colitis-Associated Cancer. International Journal of Molecular Sciences. 2017; 18(6):1284. https://doi.org/10.3390/ijms18061284
Chicago/Turabian StyleKobayashi, Kazuhiro, Hiroyuki Tomita, Masahito Shimizu, Takuji Tanaka, Natsuko Suzui, Tatsuhiko Miyazaki, and Akira Hara. 2017. "p53 Expression as a Diagnostic Biomarker in Ulcerative Colitis-Associated Cancer" International Journal of Molecular Sciences 18, no. 6: 1284. https://doi.org/10.3390/ijms18061284
APA StyleKobayashi, K., Tomita, H., Shimizu, M., Tanaka, T., Suzui, N., Miyazaki, T., & Hara, A. (2017). p53 Expression as a Diagnostic Biomarker in Ulcerative Colitis-Associated Cancer. International Journal of Molecular Sciences, 18(6), 1284. https://doi.org/10.3390/ijms18061284

