Analytical Criticalities Associated to Different Immunological Methods for Serum Free Light Chain Detection in Plasma Cell Dyscrasias: A Description of Particular Clinical Cases
Abstract
:1. Introduction
2. Case Reports
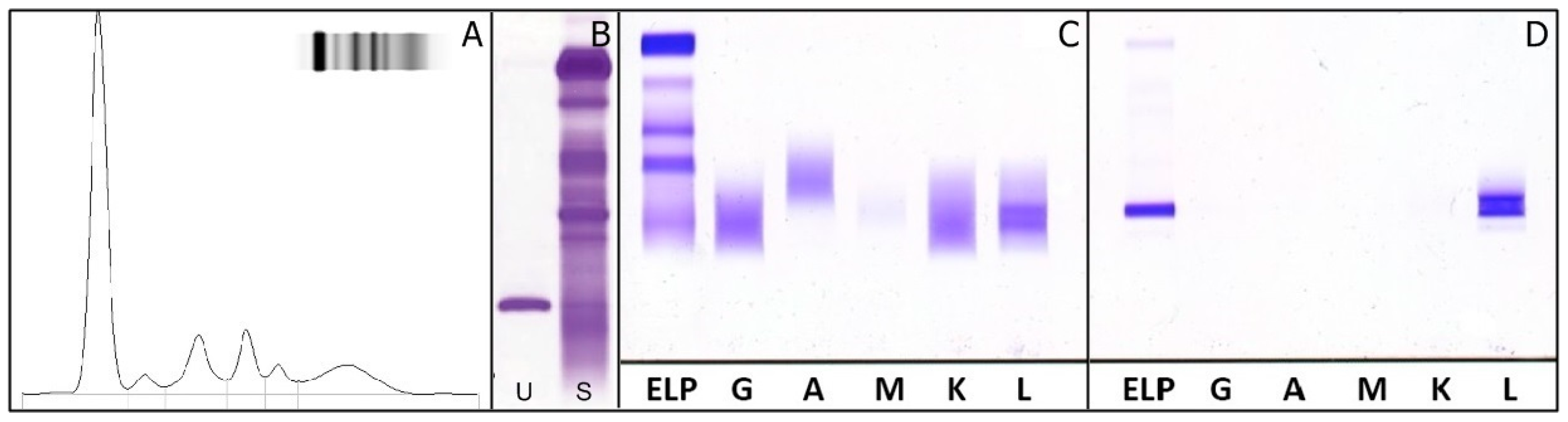
2.1. First Clinical Case
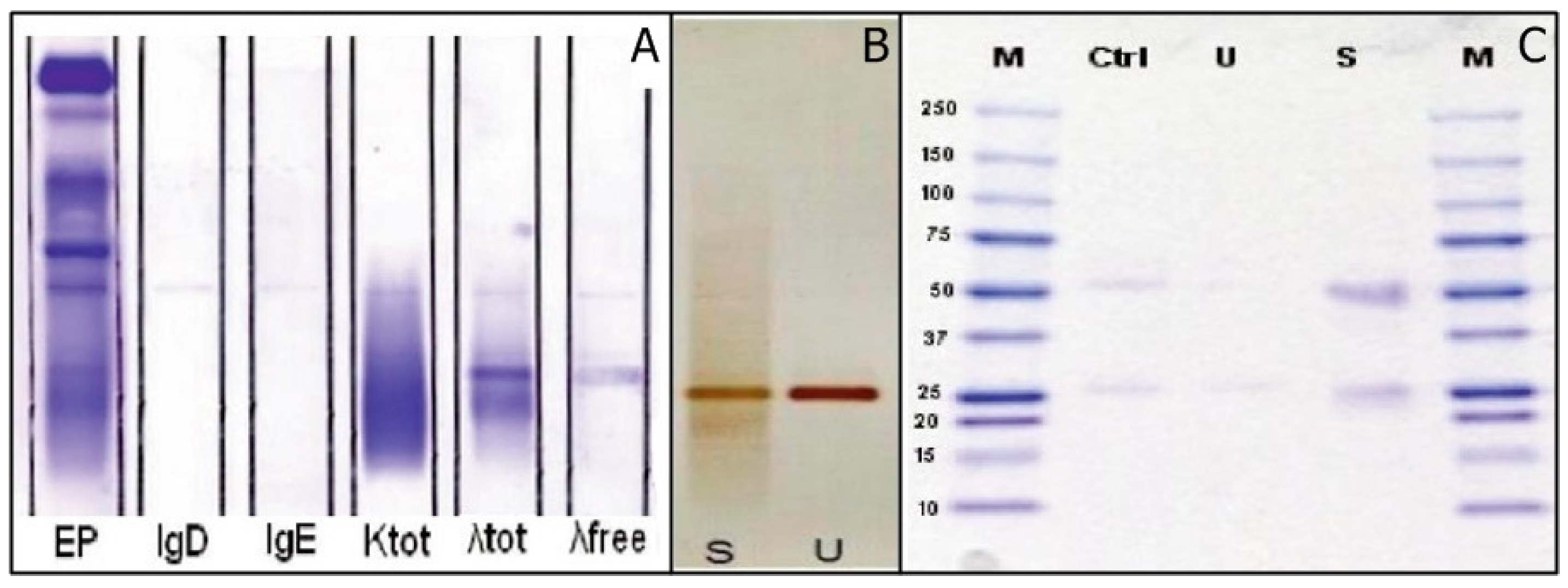
2.2. Second Clinical Case
2.3. Third Clinical Case
3. Discussion
Supplementary Materials
Acknowledgments
Author Contributions
Conflicts of Interest
References
- Ferlay, J.; Soerjomataram, I.; Dikshit, R.; Eser, S.; Mathers, C.; Rebelo, M.; Parkin, D.M.; Forman, D.; Bray, F. Cancer incidence and mortality worldwide: Sources, methods and major patterns in GLOBOCAN 2012. Int. J. Cancer 2015, 136, E359–E386. [Google Scholar] [CrossRef] [PubMed]
- Ferlay, J.; Steliarova-Foucher, E.; Lortet-Tieulent, J.; Rosso, S.; Coebergh, J.W.; Comber, H.; Forman, D.; Bray, F. Cancer incidence and mortality patterns in Europe: Estimates for 40 countries in 2012. Eur. J. Cancer 2013, 49, 1374–1403. [Google Scholar] [CrossRef] [PubMed]
- Landgren, O.; Kyle, R.A.; Pfeiffer, R.M.; Katzmann, J.A.; Caporaso, N.E.; Hayes, RB.; Dispenzieri, A.; Kumar, S.; Clark, R.J.; Baris, D.; Hoover, R.; Rajkumar, S.V. Monoclonal gammopathy of undetermined significance (MGUS) consistently precedes multiple myeloma: A prospective study. Blood 2009, 113, 5412–5417. [Google Scholar] [CrossRef] [PubMed]
- Weiss, B.M.; Abadie, J.; Verma, P.; Howard, R.S.; Kuehl, W.M. A monoclonal gammopathy precedes multiple myeloma in most patients. Blood 2009, 113, 5418–5422. [Google Scholar] [CrossRef] [PubMed]
- Kyle, R.A.; Therneau, T.M.; Rajkumar, S.V.; Larson, D.R.; Plevak, M.F.; Offord, J.R.; Dispenzieri, A.; Katzmann, J.A.; Melton, L.J. Prevalence of monoclonal gammopathy of undetermined significance. N. Engl. J. Med. 2006, 354, 1362–1369. [Google Scholar] [CrossRef] [PubMed]
- Kyle, R.A.; Rajkumar, S.V. Epidemiology of the plasma-cell disorders. Best Pract. Res. Clin. Haematol. 2007, 20, 637–664. [Google Scholar] [CrossRef] [PubMed]
- Kyle, R.A.; Durie, B.G.; Rajkumar, S.V.; Landgren, O.; Blade, J.; Merlini, G.; Kröger, N.; Einsele, H.; Vesole, D.H.; Dimopoulos, M. Monoclonal gammopathy of undetermined significance (MGUS) and smoldering (asymptomatic) multiple myeloma: IMWG consensus perspectives risk factors for progression and guidelines for monitoring and management. Leukemia 2010, 24, 1121–1127. [Google Scholar] [CrossRef] [PubMed]
- Kyle, R.A.; Therneau, T.M.; Rajkumar, S.V.; Offord, J.R.; Larson, D.R.; Plevak, M.F.; Melton, L.J. A long-term study of prognosis in monoclonal gammopathy of undetermined significance. N. Engl. J. Med. 2002, 346, 564–569. [Google Scholar] [CrossRef] [PubMed]
- Cesana, C.; Klersy, C.; Barbarano, L.; Nosari, A.M.; Crugnola, M.; Pungolino, E.; Gargantini, L.; Granata, S.; Valentini, M.; Morra, E. Prognostic factors for malignant transformation in monoclonal gammopathy of undetermined significance and smoldering multiple myeloma. J. Clin. Oncol. 2002, 20, 1625–1634. [Google Scholar] [CrossRef] [PubMed]
- Rajkumar, S.V.; Kyle, R.A.; Therneau, T.M.; Melton, L.J.; Bradwell, A.R.; Melton, L.J.; Bradwell, A.R.; Clark, R.J.; Larson, D.R.; Plevak, M.F.; et al. Serum free light chain ratio is an independent risk factor for progression in monoclonal gammopathy of undetermined significance. Blood 2005, 106, 812–817. [Google Scholar] [CrossRef] [PubMed]
- Pérez-Persona, E.; Vidriales, M.B.; Mateo, G.; García-Sanz, R.; Mateoset, M.V.; de Coca, A.G.; Galende, J.; Martín-Nuñez, G.; Alonso, J.M.; de Las Heras, N.; et al. New criteria to identify risk of progression in monoclonal gammopathy of uncertain significance and smoldering multiple myeloma based on multiparameter flow cytometry analysis of bone marrow plasma cells. Blood 2007, 110, 2586–2592. [Google Scholar] [CrossRef] [PubMed]
- Katzmann, J.A.; Clark, R.; Kyle, R.A.; Larson, D.R.; Therneau, T.M.; Melton, L.J.; Benson, J.T.; Colby, C.L.; Dispenzieri, A.; Landgren, O.; et al. Suppression of uninvolved immunoglobulins defined by heavy/light chain pair suppression is a risk factor for progression of MGUS. Leukemia 2013, 27, 208–212. [Google Scholar] [CrossRef] [PubMed]
- International Myeloma Working Group. Criteria for the classification of monoclonal gammopathies, multiple myeloma and related disorders: A report of the International Myeloma Working Group. Br. J. Haematol. 2003, 121, 749–757. [Google Scholar]
- Dispenzieri, A.; Kyle, R.; Merlini, G.; Miguel, J.S.; Ludwig, H.; Hajek, R.; Palumbo, A.; Jagannath, S.; Blade, J.; Lonial, S.; et al. International Myeloma Working Group guidelines for serum-free light chain analysis. Leukemia 2009, 23, 215–224. [Google Scholar] [CrossRef] [PubMed]
- Willrich, M.A.; Katzmann, J.A. Laboratory testing requirements for diagnosis and follow-up of multiple myeloma and related plasma cell dyscrasias. Clin. Chem. Lab. Med. 2016, 54, 907–919. [Google Scholar] [CrossRef] [PubMed]
- Katzmann, J.A. Screening panels for monoclonal gammopathies: Time to change. Clin. Biochem. Rev. 2009, 30, 105–111. [Google Scholar] [PubMed]
- Rajkumar, S.V.; Dimopoulos, M.A.; Palumbo, A.; Blade, J.; Merlini, G.; Mateos, M.V.; Kumar, S.; Hillengass, J.; Kastritis, E.; Richardson, P.; et al. International Myeloma Working Group updated criteria for the diagnosis of multiple myeloma. Lancet Oncol. 2014, 15, e538–e548. [Google Scholar] [CrossRef]
- Kyle, R.A.; Rajkumar, S.V. Criteria for diagnosis, staging, risk stratification and response assessment of multiple myeloma. Leukemia 2009, 23, 3–9. [Google Scholar] [CrossRef] [PubMed]
- Jenner, E. Serum free light chains in clinical laboratory diagnostics. Clin. Chim. Acta 2014, 427, 15–20. [Google Scholar] [CrossRef] [PubMed]
- Bhole, M.V.; Sadler, R.; Ramasamy, K. Serum-free light-chain assay: Clinical utility and limitations. Ann. Clin. Biochem. 2014, 51, 528–542. [Google Scholar] [CrossRef] [PubMed]
- Brioli, A.; Giles, H.; Pawlyn, C.; Campbell, J.P.; Kaiser, M.F.; Melchor, L.; Jackson, G.H.; Gregory, W.M.; Owen, R.G.; Child, J.A.; et al. Serum free immunoglobulin light chain evaluation as a marker of impact from intraclonal heterogeneity on myeloma outcome. Blood 2014, 123, 3414–3419. [Google Scholar] [CrossRef] [PubMed]
- Caldini, A.; Nozzoli, C.; Terreni, A.; Staderini, M.; Berardi, M.; Biagioli, T.; Brogi, M.; Bosi, A.A. New patterns of relapse in multiple myeloma: A case of “light chain escape” in which FLC predicted relapse earlier than urine and serum immunofixation. Clin. Chem. Lab. Med. 2016, 54, 991–995. [Google Scholar] [CrossRef] [PubMed]
- Zamarin, D.; Giralt, S.; Landau, H.; Lendvai, N.; Lesokhin, A.; Chung, D.; Koehne, G.; Chimento, D.; Devlin, S.M.; Riedel, E.; et al. Patterns of relapse and progression in multiple myeloma patients after auto-SCT: Implications for patients’ monitoring after transplantation. Bone Marrow Transpl. 2013, 48, 419–424. [Google Scholar] [CrossRef] [PubMed]
- Bradwell, A.R.; Carr-Smith, H.D.; Mead, G.P.; Tang, L.X.; Showell, P.J.; Drayson, M.T.; Drew, R. Highly sensitive, automated immunoassay for immunoglobulin free light chains in serum and urine. Clin. Chem. 2001, 47, 673–680. [Google Scholar] [PubMed]
- Tate, J.R.; Mollee, P.; Dimeski, G.; Carter, A.C.; Gill, D. Analitycal performance of serum free light chain assay during monitoring of patient with monoclonal light chain diseases. Clin. Chim. Acta 2007, 376, 30–36. [Google Scholar] [CrossRef] [PubMed]
- Drayson, M.; Carr-Smith, H. Clinical comparison of new monoclonal antibody-based nephelometric assays for free light chain κ and λ to polyclonal antibody-based assays and immunofixation electrophoresis. Clin. Chem. Lab. Med. 2012, 50, 587–588. [Google Scholar] [CrossRef] [PubMed]
- Hoedemakers, R.M.; Pruijt, J.F.; Hol, S.; Teunissen, E.; Martens, H.; Stam, P.; Melsert, R.; Te Velthuis, H. Clinical comparison of new Monoclonal antibodybased nephelometric assays for free light chain κ and λ to polyclonal antibody-based assays and immunofixation electrophoresis. Clin. Chem. Lab. Med. 2012, 50, 489–495. [Google Scholar] [CrossRef] [PubMed]
- Lock, R.J.; Saleem, R.; Roberts, E.G.; Wallage, M.J.; Pesce, T.J.; Rowbottom, A.; Cooper, S.J.; McEvoy, E.D.; Taylor, J.L.; Basu, S. A multicentre study comparing two methods for serum free light chain analysis. Ann. Clin. Biochem. 2013, 50, 255–261. [Google Scholar] [CrossRef] [PubMed]
- Jacobs, J.F.; Tate, J.R.; Merlini, G. Is accuracy of serum free light chain measurement achievable? Clin. Chem. Lab. Med. 2016, 54, 1021–1030. [Google Scholar] [CrossRef] [PubMed]
- Carr-Smith, H.D.; Jenner, E.L.; Evans, J.A.; Harding, S.J. Analytical issues of serum free light chain assays and the relative performance of polyclonal and monoclonal based reagents. Clin. Chem. Lab. Med. 2016, 54, 997–1003. [Google Scholar] [CrossRef] [PubMed]
- Te Velthuis, H.; Drayson, M.; Campbell, J.P. Measurement of free light chains with assays based on monoclonal antibodies. Clin. Chem. Lab. Med. 2016, 54, 1005–1014. [Google Scholar] [CrossRef] [PubMed]
- Graziani, M.S. Measurement of free light chains—Pros and cons of current methods. Clin. Chem. Lab. Med. 2016, 54, 1015–1020. [Google Scholar] [CrossRef] [PubMed]
- Kim, H.S.; Kim, H.S.; Shin, K.S.; Song, W.; Kim, H.J.; Kim, H.S.; Park, M.J. Clinical comparisons of two free light chain assays to immunofixation electrophoresis for detecting monoclonal gammopathy. Biomed. Res. Int. 2014, 2014, 647238. [Google Scholar] [CrossRef] [PubMed]
- Di Noto, G.; Cimpoies, E.; Dossi, A.; Paolini, L.; Radeghieri, A.; Caimi, L.; Ricotta, D. Polyclonal versus monoclonal immunoglobulin-free light chains quantification. Ann. Clin. Biochem. 2015, 52, 327–336. [Google Scholar] [CrossRef] [PubMed]
- Jeppsson, J.O.; Laurell, C.B.; Franzén, B. Agarose gel electrophoresis. Clin. Chem. 1979, 25, 629–638. [Google Scholar] [PubMed]
- VanDuijn, M.M.; Jacobs, J.F.; Wevers, R.A.; Engelke, U.F.; Joosten, I.; Luider, T.M. Quantitative measurement of immunoglobulin and free light chains using mass spectrometry. Anal. Chem. 2015, 87, 8268–8274. [Google Scholar] [CrossRef] [PubMed]
- Sasson, S.C.; McGill, K.; Wienholt, L.; Carr, A.; Brown, D.A.; Kelleher, A.D.; Breit, S.N.; Sewell, W.A. Comparison of the Freelite™ serum free light chain (SFLC) assay with serum and urine electrophoresis/immunofixation and the N Latex FLC assay. Pathology 2015, 47, 564–569. [Google Scholar] [CrossRef] [PubMed]




| Cases | FLC | N-Latex FLC | Reference Range | Freelite™ | Reference Range |
|---|---|---|---|---|---|
| First case | s-FLC κ (mg/L) | 16.4 | 6.7–22.4 | 9.1 | 3.3–19.4 |
| s-FLC λ (mg/L) | 23.0 | 8.3–27.0 | 818.8 | 5.7–26.3 | |
| Ratio κ/λ | 0.71 | 0.31–1.56 | 0.01 | 0.26–1.65 | |
| Second case | s-FLC κ (mg/L) | 8.2 | 6.7–22.4 | 1.92 | 3.3–19.4 |
| s-FLC λ (mg/L) | 15.2 | 8.3–27.0 | 18.27 | 5.7–26.3 | |
| Ratio κ/λ | 0.54 | 0.31–1.56 | 0.1 | 0.26–1.65 | |
| Third case | s-FLC κ (mg/L) | 6.7 | 6.7–22.4 | 2.06 | 3.3–19.4 |
| s-FLC λ (mg/L) | 19.0 | 8.3–27.0 | 69.7 | 5.7–26.3 | |
| Ratio κ/λ | 0.35 | 0.31–1.56 | 0.03 | 0.26–1.65 |
© 2017 by the authors. Licensee MDPI, Basel, Switzerland. This article is an open access article distributed under the terms and conditions of the Creative Commons Attribution (CC BY) license (http://creativecommons.org/licenses/by/4.0/).
Share and Cite
Sabatino, R.; Perrone, A.; Cuomo, M.; Liotti, S.; Barchiesi, V.; Cantile, M.; Cavalcanti, E. Analytical Criticalities Associated to Different Immunological Methods for Serum Free Light Chain Detection in Plasma Cell Dyscrasias: A Description of Particular Clinical Cases. Int. J. Mol. Sci. 2017, 18, 804. https://doi.org/10.3390/ijms18040804
Sabatino R, Perrone A, Cuomo M, Liotti S, Barchiesi V, Cantile M, Cavalcanti E. Analytical Criticalities Associated to Different Immunological Methods for Serum Free Light Chain Detection in Plasma Cell Dyscrasias: A Description of Particular Clinical Cases. International Journal of Molecular Sciences. 2017; 18(4):804. https://doi.org/10.3390/ijms18040804
Chicago/Turabian StyleSabatino, Rocco, Antonio Perrone, Marco Cuomo, Sandra Liotti, Vittoria Barchiesi, Monica Cantile, and Ernesta Cavalcanti. 2017. "Analytical Criticalities Associated to Different Immunological Methods for Serum Free Light Chain Detection in Plasma Cell Dyscrasias: A Description of Particular Clinical Cases" International Journal of Molecular Sciences 18, no. 4: 804. https://doi.org/10.3390/ijms18040804
APA StyleSabatino, R., Perrone, A., Cuomo, M., Liotti, S., Barchiesi, V., Cantile, M., & Cavalcanti, E. (2017). Analytical Criticalities Associated to Different Immunological Methods for Serum Free Light Chain Detection in Plasma Cell Dyscrasias: A Description of Particular Clinical Cases. International Journal of Molecular Sciences, 18(4), 804. https://doi.org/10.3390/ijms18040804
