ATRAP Expression in Brown Adipose Tissue Does Not Influence the Development of Diet-Induced Metabolic Disorders in Mice
Abstract
:1. Introduction
2. Results
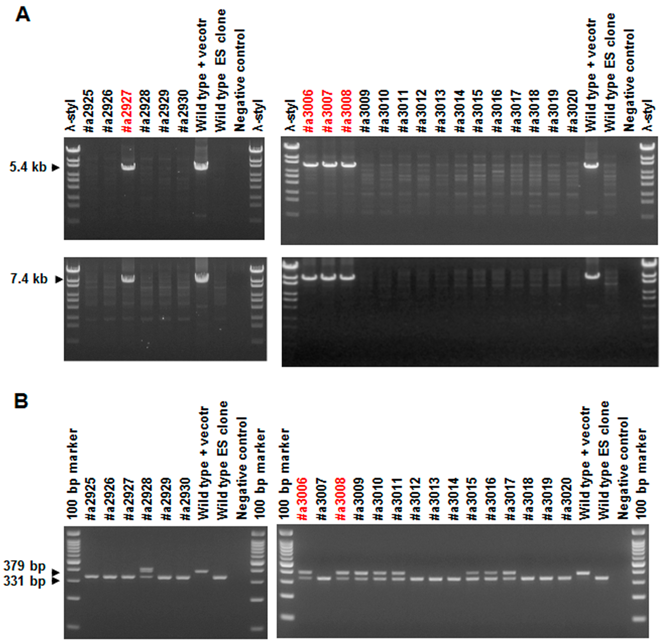
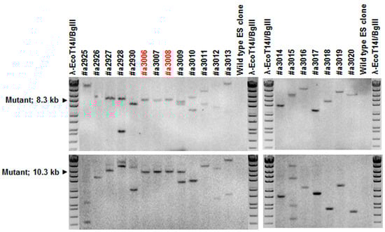
2.1. Generation of Adipose Tissue-Specific ATRAP Downregulated Mice
2.2. Physiological and Metabolic Status of ATRAPadipoq Mice
2.2.1. Body Weight Changes and Physiologic Parameters
2.2.2. Glucose and Insulin Tolerance
2.3. Effects of High-Fat Diet on Adipocyte Hypertrophy and Macrophage Infiltration in ATRAPfl/fl and ATRAPadipoq Mice
2.4. White Adipose Tissue ATRAP mRNA Expression in ATRAPadipoq Mice Is Comparable to ATRAPfl/fl Mice on a High-Fat Diet
3. Discussion
4. Materials and Methods
4.1. Animals and Animal Care
4.2. Generation of Adipoq-Cre+/Agtrapfl/fl Mice
4.2.1. Generation of Agtrapfl/fl Mice
4.2.2. Generation of Adipoq-Cre+/Agtrapfl/fl Mice
4.3. Blood Pressure Measurement by the Tail–Cuff Method
4.4. Biochemical Assay
4.5. Glucose and Insulin Tolerance Tests
4.6. Real-Time RT-qPCR Analysis
4.7. Western Blot Analysis
4.8. Histological Analysis
4.9. Statistical Analysis
5. Conclusions
Acknowledgments
Author Contributions
Conflicts of Interest
Abbreviations
| Adipoq | Adiponectin gene |
| Agtrap | ATRAP gene |
| AT1R | Angiotensin II type 1 receptor |
| ATRAP | Angiotensin II type 1 receptor associated protein |
| BAT | Brown adipose tissue |
| GTT | Glucose tolerance test |
| HFD | High-fat diet |
| ITT | Insulin tolerance test |
| LFD | Low-fat diet |
| MCP-1 | Monocyte chemotactic protein-1 |
| WAT | White adipose tissue |
References
- NCD Risk Factor Collaboration (NCD-RisC). Trends in adult body-mass index in 200 countries from 1975 to 2014: A pooled analysis of 1698 population-based measurement studies with 19·2 million participants. Lancet 2016, 387, 1377–1396. [Google Scholar]
- Global BMI Mortality Collaboration. Body-mass index and all-cause mortality: Individual-participant-data meta-analysis of 239 prospective studies in four continents. Lancet 2016, 388, 776–786. [Google Scholar]
- Zhang, M.; Hu, T.; Zhang, S.; Zhou, L. Associations of Different Adipose Tissue Depots with Insulin Resistance: A Systematic Review and Meta-analysis of Observational Studies. Sci. Rep. 2015, 5, 18495. [Google Scholar] [CrossRef] [PubMed]
- Van Gaal, L.F.; Mertens, I.L.; de Block, C.E. Mechanisms linking obesity with cardiovascular disease. Nature 2006, 444, 875–880. [Google Scholar] [CrossRef] [PubMed]
- Aune, D.; Sen, A.; Norat, T.; Janszky, I.; Romundstad, P.; Tonstad, S.; Vatten, L.J. Body Mass Index, Abdominal Fatness, and Heart Failure Incidence and Mortality: A Systematic Review and Dose-Response Meta-Analysis of Prospective Studies. Circulation 2016, 133, 639–649. [Google Scholar] [CrossRef] [PubMed]
- Mottillo, S.; Filion, K.B.; Genest, J.; Joseph, L.; Pilote, L.; Poirier, P.; Rinfret, S.; Schiffrin, E.L.; Eisenberg, M.J. The metabolic syndrome and cardiovascular risk a systematic review and meta-analysis. J. Am. Coll. Cardiol. 2010, 56, 1113–1132. [Google Scholar] [CrossRef] [PubMed]
- Chawla, A.; Nguyen, K.D.; Goh, Y.P. Macrophage-mediated inflammation in metabolic disease. Nat. Rev. Immunol. 2011, 11, 738–749. [Google Scholar] [CrossRef] [PubMed]
- Fuster, J.J.; Ouchi, N.; Gokce, N.; Walsh, K. Obesity-Induced Changes in Adipose Tissue Microenvironment and Their Impact on Cardiovascular Disease. Circ. Res. 2016, 118, 1786–1807. [Google Scholar] [CrossRef] [PubMed]
- Galic, S.; Oakhill, J.S.; Steinberg, G.R. Adipose tissue as an endocrine organ. Mol. Cell. Endocrinol. 2010, 316, 129–139. [Google Scholar] [CrossRef] [PubMed]
- Littlejohn, N.K.; Grobe, J.L. Opposing tissue-specific roles of angiotensin in the pathogenesis of obesity, and implications for obesity-related hypertension. Am. J. Physiol. Regul. Integr. Comp. Physiol. 2015, 309, R1463–R1473. [Google Scholar] [CrossRef] [PubMed]
- Yvan-Charvet, L.; Quignard-Boulangé, A. Role of adipose tissue renin-angiotensin system in metabolic and inflammatory diseases associated with obesity. Kidney Int. 2011, 79, 162–168. [Google Scholar] [CrossRef] [PubMed]
- Kalupahana, N.S.; Moustaid-Moussa, N. The adipose tissue renin-angiotensin system and metabolic disorders: A review of molecular mechanisms. Crit. Rev. Biochem. Mol. Biol. 2012, 47, 379–390. [Google Scholar] [CrossRef] [PubMed]
- Favre, G.A.; Esnault, V.L.M.; Van Obberghen, E. Modulation of glucose metabolism by the renin-angiotensin-aldosterone system. Am. J. Physiol. Endocrinol. Metab. 2015, 308, E435–E449. [Google Scholar] [CrossRef] [PubMed]
- Tamura, K.; Tanaka, Y.; Tsurumi, Y.; Azuma, K.; Shigenaga, A.; Wakui, H.; Masuda, S.; Matsuda, M. The role of angiotensin AT1 receptor-associated protein in renin-angiotensin system regulation and function. Curr. Hypertens. Rep. 2007, 9, 121–127. [Google Scholar] [CrossRef] [PubMed]
- Tamura, K.; Wakui, H.; Maeda, A.; Dejima, T.; Ohsawa, M.; Azushima, K.; Kanaoka, T.; Haku, S.; Uneda, K.; Masuda, S.; et al. The physiology and pathophysiology of a novel angiotensin receptor-binding protein ATRAP/Agtrap. Curr. Pharm. Des. 2013, 19, 3043–3048. [Google Scholar] [CrossRef] [PubMed]
- Maeda, A.; Tamura, K.; Wakui, H.; Dejima, T.; Ohsawa, M.; Azushima, K.; Kanaoka, T.; Uneda, K.; Matsuda, M.; Yamashita, A.; et al. Angiotensin receptor-binding protein ATRAP/Agtrap inhibits metabolic dysfunction with visceral obesity. J. Am. Heart Assoc. 2013, 2, e000312. [Google Scholar] [CrossRef] [PubMed]
- Tamura, K.; Wakui, H.; Azushima, K.; Uneda, K.; Haku, S.; Kobayashi, R.; Ohki, K.; Haruhara, K.; Kinguchi, S.; Matsuda, M.; et al. Angiotensin II Type 1 Receptor Binding Molecule ATRAP as a Possible Modulator of Renal Sodium Handling and Blood Pressure in Pathophysiology. Curr. Med. Chem. 2015, 22, 3210–3216. [Google Scholar] [CrossRef] [PubMed]
- Eguchi, J.; Wang, X.; Yu, S.; Kershaw, E.E.; Chiu, P.C.; Dushay, J.; Estall, J.L.; Klein, U.; Maratos-Flier, E.; Rosen, E.D. Transcriptional control of adipose lipid handling by IRF4. Cell Metab. 2011, 13, 249–259. [Google Scholar] [CrossRef] [PubMed]
- Urs, S.; Harrington, A.; Liaw, L.; Small, D. Selective expression of an aP2/Fatty Acid Binding Protein 4-Cre transgene in non-adipogenic tissues during embryonic development. Transgenic Res. 2006, 15, 647–653. [Google Scholar] [CrossRef] [PubMed]
- Ferrell, R.E.; Kimak, M.A.; Lawrence, E.C.; Finegold, D.N. Candidate gene analysis in primary lymphedema. Lymphat. Res. Biol. 2008, 6, 69–76. [Google Scholar] [CrossRef] [PubMed]
- Jeffery, E.; Berry, R.; Church, C.D.; Yu, S.; Shook, B.A.; Horsley, V.; Rosen, E.D.; Rodeheffer, M.S. Characterization of Cre recombinase models for the study of adipose tissue. Adipocyte 2014, 3, 206–211. [Google Scholar] [CrossRef] [PubMed]
- Lee, K.Y.; Russell, S.J.; Ussar, S.; Boucher, J.; Vernochet, C.; Mori, M.A.; Smyth, G.; Rourk, M.; Cederquist, C.; Rosen, E.D.; et al. Lessons on conditional gene targeting in mouse adipose tissue. Diabetes 2013, 62, 864–874. [Google Scholar] [CrossRef] [PubMed]
- Kang, S.; Kong, X.; Rosen, E.D. Adipocyte-specific transgenic and knockout models. Methods Enzymol. 2014, 537, 1–16. [Google Scholar] [PubMed]
- Vooijs, M.; Jonkers, J.; Berns, A. A highly efficient ligand-regulated Cre recombinase mouse line shows that LoxP recombination is position dependent. EMBO Rep. 2001, 2, 292–297. [Google Scholar] [CrossRef] [PubMed]
- Feil, S.; Valtcheva, N.; Feil, R. Inducible Cre mice. Methods Mol Biol. 2009, 530, 343–363. [Google Scholar] [PubMed]
- Shigenaga, A.; Tamura, K.; Wakui, H.; Masuda, S.; Azuma, K.; Tsurumi-Ikeya, Y.; Ozawa, M.; Mogi, M.; Matsuda, M.; Uchino, K.; et al. Effect of olmesartan on tissue expression balance between angiotensin II receptor and its inhibitory binding molecule. Hypertension 2008, 52, 672–678. [Google Scholar] [CrossRef] [PubMed]
- Dejima, T.; Tamura, K.; Wakui, H.; Maeda, A.; Ohsawa, M.; Kanaoka, T.; Haku, S.; Kengo, A.; Masuda, S.; Shigenaga, A.; et al. Prepubertal angiotensin blockade exerts long-term therapeutic effect through sustained ATRAP activation in salt-sensitive hypertensive rats. J. Hypertens. 2011, 29, 1919–1929. [Google Scholar] [CrossRef] [PubMed]
- Wakui, H.; Tamura, K.; Matsuda, M.; Bai, Y.; Dejima, T.; Shigenaga, A.; Masuda, S.; Azuma, K.; Maeda, A.; Hirose, T.; et al. Intrarenal suppression of angiotensin II type 1 receptor binding molecule in angiotensin II-infused mice. Am. J. Physiol. Renal. Physiol. 2010, 299, F991–F1003. [Google Scholar] [CrossRef] [PubMed]
- Wakui, H.; Tamura, K.; Tanaka, Y.; Matsuda, M.; Bai, Y.; Dejima, T.; Masuda, S.; Shigenaga, A.; Maeda, A.; Mogi, M.; et al. Cardiac-specific activation of angiotensin II type 1 receptor-associated protein completely suppresses cardiac hypertrophy in chronic angiotensin II-infused mice. Hypertension 2010, 55, 1157–1164. [Google Scholar] [CrossRef] [PubMed]
- Matsuda, M.; Tamura, K.; Wakui, H.; Maeda, A.; Ohsawa, M.; Kanaoka, T.; Azushima, K.; Uneda, K.; Haku, S.; Tsurumi-Ikeya, Y.; et al. Upstream stimulatory factors 1 and 2 mediate the transcription of angiotensin II binding and inhibitory protein. J. Biol. Chem. 2013, 288, 19238–19249. [Google Scholar] [CrossRef] [PubMed]
- Cannon, B.; Nedergaard, J. Brown adipose tissue: Function and physiological significance. Physiol. Rev. 2004, 84, 277–359. [Google Scholar] [CrossRef] [PubMed]
- Wang, Z.V.; Deng, Y.; Wang, Q.A.; Sun, K.; Scherer, P.E. Identification and characterization of a promoter cassette conferring adipocyte-specific gene expression. Endocrinology 2010, 151, 2933–2939. [Google Scholar] [CrossRef] [PubMed]
- Mullican, S.E.; Tomaru, T.; Gaddis, C.A.; Peed, L.C.; Sundaram, A.; Lazar, M.A. A novel adipose-specific gene deletion model demonstrates potential pitfalls of existing methods. Mol. Endocrinol. 2013, 27, 127–134. [Google Scholar] [CrossRef] [PubMed]
- Azushima, K.; Ohki, K.; Wakui, H.; Uneda, K.; Haku, S.; Kobayashi, R.; Haruhara, K.; Kinguchi, S.; Matsuda, M.; Maeda, A.; et al. Adipocyte-Specific Enhanchment of Angiotensin II Type 1 Receptor-Associated Protein Ameliorates Diet-Induced Visceral Obesity and Insulin Resistance. J. Am. Heart Assoc. 2017, 6, e004488. [Google Scholar] [CrossRef] [PubMed]
- Mishina, M.; Sakimura, K. Conditional gene targeting on the pure C57BL/6 genetic background. Neurosci. Res. 2007, 58, 105–112. [Google Scholar] [CrossRef] [PubMed]
- Azushima, K.; Tamura, K.; Wakui, H.; Maeda, A.; Ohsawa, M.; Uneda, K.; Kobayashi, R.; Kanaoka, T.; Dejima, T.; Fujikawa, T.; et al. Bofu-tsu-shosan, an oriental herbal medicine, exerts a combinatorial favorable metabolic modulation including antihypertensive effect on a mouse model of human metabolic disorders with visceral obesity. PLoS ONE 2013, 8, e75560. [Google Scholar] [CrossRef] [PubMed]










| Primer | Sequence (5′–3′) | Target Region |
|---|---|---|
| F23005 | CCTCTTCTGGACCACTCTATCTCTCTGC | first loxP |
| R23744 | GTTCCAGGGTCTTAACCTCCTCTGAG | |
| F24587 | CTCGTCTACCACATGCACCGTCAACG | second loxP |
| R24917 | AGCTCCCATAGAATAGGTTCAGAGAGG | |
| cre-fw | AGGTTCGTGCACTCATGGA | cre |
| cre-rw | TCGACCAGTTTAGTTACCC | |
| mAgtrapChIPF | CCTAGCAGCAAGAGCAGCT | agtrap |
| mAgtrapChIPR | GAACTCGGGAACAAACTTCCT | |
| 5AF5 | AGTGAATTCATTATCTAGGGACAGAATTACAGG | 5′-targeted allele (1st) |
| neo108r | CCTCAGAAGAACTCGTCAAGAAG | |
| 5AF4 | AGTGAATTCAGGTCAGGCTCTGCCTTATTCTGC | 5′-targeted allele (nested) |
| neo100 | AGGTGAGATGACAGGAGATC | |
| neo_marker_sense | ATTCGCAGCGCATCGCCTTCTATCGCCTTC | 3′-targeted allele |
| 3AR2 | TAAGCGGCCGCTCTCCCCAGAAATAGCTGGAAATCACC |
| Variables | LFD | HFD | ||
|---|---|---|---|---|
| ATRAPfl/fl | ATRAPadipoq | ATRAPfl/fl | ATRAPadipoq | |
| Body weight (g) | 31.6 ± 0.6 | 29.5 ± 0.5 | 48.9 ± 0.8 *** | 49.1 ± 1.1 *** |
| Systolic blood pressure (mmHg) | 114 ± 1 | 116 ± 1 | 124 ± 2 * | 124 ± 3 |
| Heart rate (beat/min) | 742 ± 1 | 747 ± 15 | 712 ± 8 | 743 ± 11 |
| Rectal temperature (°C) | 37.2 ± 0.2 | 37.8 ± 0.3 | 37.8 ± 0.1 | 37.7 ± 0.1 |
| Tissue weight | ||||
| Epididymal adipose tissue (mg) | 872 ± 160 | 694 ± 144 | 1293 ± 25 *** | 1220 ± 48 *** |
| Brown adipose tissue (mg) | 139 ± 14 | 128 ± 7 | 425 ± 27 *** | 404 ± 22 *** |
| Liver (mg) | 1510 ± 127 | 1407 ± 50 | 3670 ± 226 *** | 3242 ± 192 *** |
| Heart (mg) | 148 ± 9 | 139 ± 7 | 156 ± 6 | 145 ± 4 |
| Plasma concentration | ||||
| Total cholesterol (mg/dL) | 83 ± 8 | 91 ± 6 | 250 ± 16 *** | 218 ± 12 *** |
| Triglyceride (mg/dL) | 35 ± 9 | 38 ± 8 | 35 ± 4 | 22 ± 1 |
| Non-esterified fatty acid (µEq/L) | 470 ± 147 | 496 ± 143 | 456 ± 94 | 241 ± 42 |
| Glucose (mg/dL) | 232 ± 16 | 206 ± 11 | 259 ± 19 | 288 ± 25 * |
| Insulin (ng/mL) | 1.3 ± 0.2 | 1.3 ± 0.1 | 8.1 ± 1.7 ** | 7.1 ± 2.2 * |
© 2017 by the authors. Licensee MDPI, Basel, Switzerland. This article is an open access article distributed under the terms and conditions of the Creative Commons Attribution (CC BY) license ( http://creativecommons.org/licenses/by/4.0/).
Share and Cite
Ohki, K.; Wakui, H.; Azushima, K.; Uneda, K.; Haku, S.; Kobayashi, R.; Haruhara, K.; Kinguchi, S.; Matsuda, M.; Ohsawa, M.; et al. ATRAP Expression in Brown Adipose Tissue Does Not Influence the Development of Diet-Induced Metabolic Disorders in Mice. Int. J. Mol. Sci. 2017, 18, 676. https://doi.org/10.3390/ijms18030676
Ohki K, Wakui H, Azushima K, Uneda K, Haku S, Kobayashi R, Haruhara K, Kinguchi S, Matsuda M, Ohsawa M, et al. ATRAP Expression in Brown Adipose Tissue Does Not Influence the Development of Diet-Induced Metabolic Disorders in Mice. International Journal of Molecular Sciences. 2017; 18(3):676. https://doi.org/10.3390/ijms18030676
Chicago/Turabian StyleOhki, Kohji, Hiromichi Wakui, Kengo Azushima, Kazushi Uneda, Sona Haku, Ryu Kobayashi, Kotaro Haruhara, Sho Kinguchi, Miyuki Matsuda, Masato Ohsawa, and et al. 2017. "ATRAP Expression in Brown Adipose Tissue Does Not Influence the Development of Diet-Induced Metabolic Disorders in Mice" International Journal of Molecular Sciences 18, no. 3: 676. https://doi.org/10.3390/ijms18030676
APA StyleOhki, K., Wakui, H., Azushima, K., Uneda, K., Haku, S., Kobayashi, R., Haruhara, K., Kinguchi, S., Matsuda, M., Ohsawa, M., Maeda, A., Minegishi, S., Ishigami, T., Toya, Y., Yamashita, A., Umemura, S., & Tamura, K. (2017). ATRAP Expression in Brown Adipose Tissue Does Not Influence the Development of Diet-Induced Metabolic Disorders in Mice. International Journal of Molecular Sciences, 18(3), 676. https://doi.org/10.3390/ijms18030676

