NHERF1 Enhances Cisplatin Sensitivity in Human Cervical Cancer Cells
Abstract
:1. Introduction
2. Results
2.1. NHERF1 Expression Is Downregulated in Cisplatin-Resistant HeLa Cells
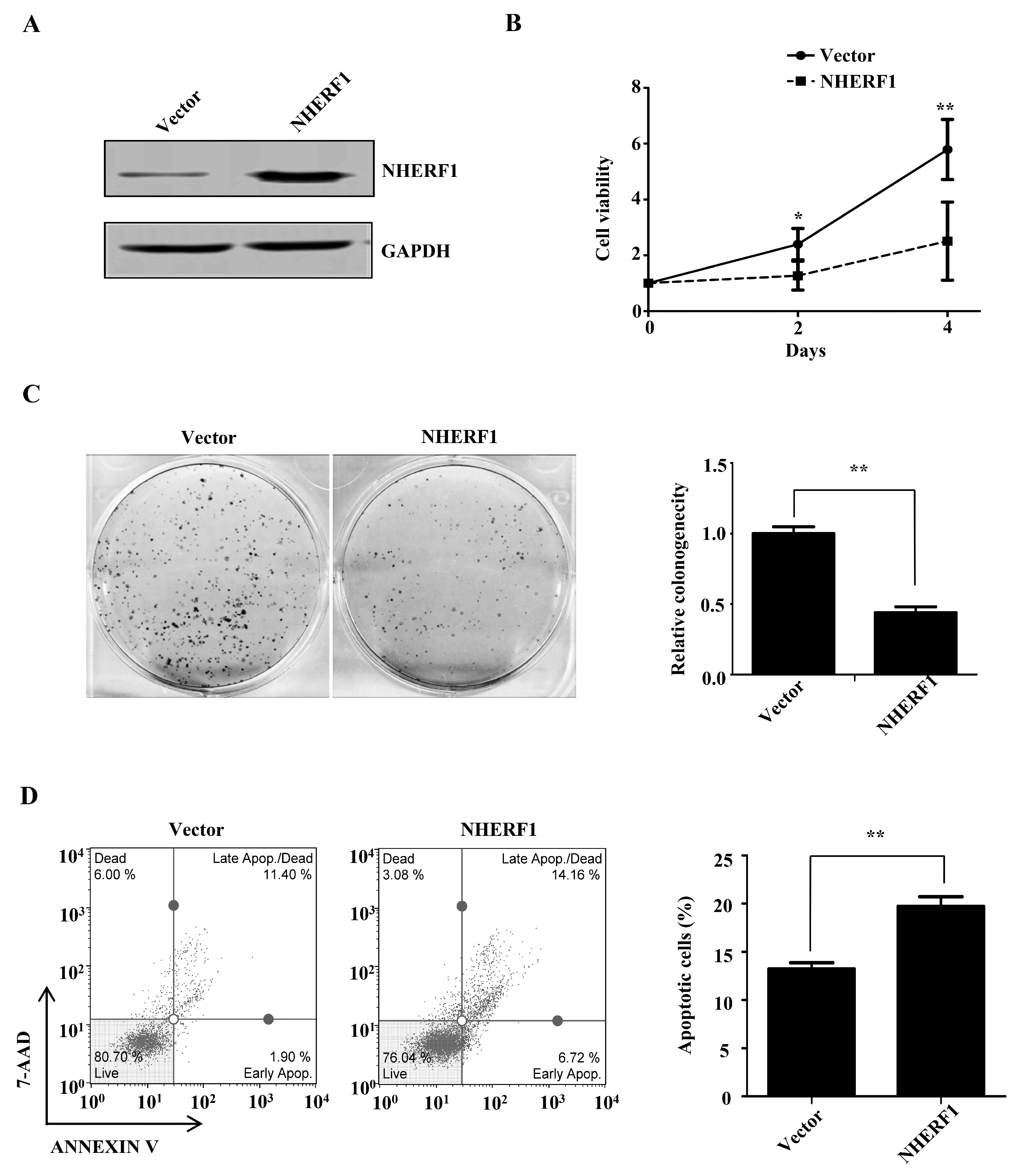
2.2. NHERF1 Regulates Cisplatin Sensitivity in Cervical Cancer Cells
2.3. NHERF1 Regulates the ERK1/2 and AKT Signaling Pathways in Cisplatin-Resistant Cells
3. Discussion
4. Materials and Methods
4.1. Datasets Collection
4.2. Gene Set Enrichment Analysis
4.3. Cell Culture and Establishment of Cisplatin-Resistant HeLa Cells
4.4. Antibodies
4.5. Plasmids and Transfection
4.6. Western Blotting
4.7. Cell Viability Assay
4.8. Cell Apoptosis Assay
4.9. Colony Formation Assay
4.10. Statistical Analysis
Supplementary Materials
Acknowledgments
Author Contributions
Conflicts of Interest
Abbreviations
| NHERF1 | Na+/H+ Exchanger Regulatory Factor 1 |
| LACC | Locally advanced cervical cancer |
| ERM | Ezrin–radixin–moesin |
| GPCR | G protein-couple receptor |
| GEO | Gene Expression Omnibus |
| TCGA | The Cancer Genome Atlas |
| AMP | Adenosine Monophosphate |
| PDZ | PSD95/Dlg/ZO-1 |
| CCK8 | Cell Counting Kit-8 |
| FBS | Fetal bovine serum |
| BAD | BCL2 Associated Agonist Of Cell Death |
| FDR | False Discovery Rate |
| DMEM | Dulbecco’s modified Eagle’s medium |
| GAPDH | Glyceraldehyde-3-phosphate dehydrogenase |
| PTEN | Phosphatase and tensin homolog deleted on chromosome ten |
| SYK | Spleen tyrosine kinase |
| PDGFR | Platelet-derived growth factor receptor |
| EGFR | Epidermal growth factor receptor |
| ERK | Extracellular signal–regulated kinase |
| SDS-PAGE | SDS-Polyacrylamide Gel Electrophoresis |
References
- Siegel, R.L.; Miller, K.D.; Jemal, A. Cancer statistics, 2016. CA Cancer J. Clin. 2016, 66, 7–30. [Google Scholar] [CrossRef] [PubMed]
- Markman, M. Advances in cervical cancer pharmacotherapies. Expert Rev. Clin. Pharmacol. 2014, 7, 219–223. [Google Scholar] [CrossRef] [PubMed]
- Pectasides, D.; Kamposioras, K.; Papaxoinis, G.; Pectasides, E. Chemotherapy for recurrent cervical cancer. Cancer Treat. Rev. 2008, 34, 603–613. [Google Scholar] [CrossRef] [PubMed]
- Weinman, E.J.; Steplock, D.; Wang, Y.; Shenolikar, S. Characterization of a protein cofactor that mediates protein kinase a regulation of the renal brush border membrane Na+/H+ exchanger. J. Clin. Investig. 1995, 95, 2143–2149. [Google Scholar] [CrossRef] [PubMed]
- Seidler, U.; Singh, A.K.; Cinar, A.; Chen, M.; Hillesheim, J.; Hogema, B.; Riederer, B. The role of the NHERF family of PDZ scaffolding proteins in the regulation of salt and water transport. Ann. N. Y. Acad. Sci. 2009, 1165, 249–260. [Google Scholar] [CrossRef] [PubMed]
- Walsh, D.R.; Nolin, T.D.; Friedman, P.A. Drug transporters and Na+/H+ exchange regulatory factor PSD-95/drosophila discs large/ZO-1 proteins. Pharmacol. Rev. 2015, 67, 656–680. [Google Scholar] [CrossRef] [PubMed]
- Takahashi, Y.; Morales, F.C.; Kreimann, E.L.; Georgescu, M.M. PTEN tumor suppressor associates with NHERF proteins to attenuate PDGF receptor signaling. EMBO J. 2006, 25, 910–920. [Google Scholar] [CrossRef] [PubMed]
- Dai, J.L.; Wang, L.; Sahin, A.A.; Broemeling, L.D.; Schutte, M.; Pan, Y. NHERF (Na+/H+ exchanger regulatory factor) gene mutations in human breast cancer. Oncogene 2004, 23, 8681–8687. [Google Scholar] [CrossRef] [PubMed]
- Maudsley, S.; Zamah, A.M.; Rahman, N.; Blitzer, J.T.; Luttrell, L.M.; Lefkowitz, R.J.; Hall, R.A. Platelet-derived growth factor receptor association with Na+/H+ exchanger regulatory factor potentiates receptor activity. Mol. Cell. Biol. 2000, 20, 8352–8363. [Google Scholar] [CrossRef] [PubMed]
- Lazar, C.S.; Cresson, C.M.; Lauffenburger, D.A.; Gill, G.N. The Na+/H+ exchanger regulatory factor stabilizes epidermal growth factor receptors at the cell surface. Mol. Biol. Cell 2004, 15, 5470–5480. [Google Scholar] [CrossRef] [PubMed]
- Zheng, J.F.; Sun, L.C.; Liu, H.; Huang, Y.; Li, Y.; He, J. EBP50 exerts tumor suppressor activity by promoting cell apoptosis and retarding extracellular signal-regulated kinase activity. Amino Acids 2010, 38, 1261–1268. [Google Scholar] [CrossRef] [PubMed]
- Cheng, S.; Li, Y.; Yang, Y.; Feng, D.; Yang, L.; Ma, Q.; Zheng, S.; Meng, R.; Wang, S.; Wang, S.; et al. Breast cancer-derived K172N, D301V mutations abolish Na+/H+ exchanger regulatory factor 1 inhibition of platelet-derived growth factor receptor signaling. FEBS Lett. 2013, 587, 3289–3295. [Google Scholar] [CrossRef] [PubMed]
- Georgescu, M.M.; Morales, F.C.; Molina, J.R.; Hayashi, Y. Roles of NHERF1/EBP50 in cancer. Curr. Mol. Med. 2008, 8, 459–468. [Google Scholar] [CrossRef] [PubMed]
- Saponaro, C.; Malfettone, A.; Dell’Endice, T.S.; Brunetti, A.E.; Achimas-Cadariu, P.; Paradiso, A.; Mangia, A. The prognostic value of the Na+/H+ exchanger regulatory factor 1 (NHERF1) protein in cancer. Cancer Biomark. 2014, 14, 177–184. [Google Scholar] [PubMed]
- Pan, Y.; Wang, L.; Dai, J.L. Suppression of breast cancer cell growth by Na+/H+ exchanger regulatory factor 1 (NHERF1). Breast Cancer Res. 2006, 8, R63. [Google Scholar] [CrossRef] [PubMed]
- Bellizzi, A.; Greco, M.R.; Rubino, R.; Paradiso, A.; Forciniti, S.; Zeeberg, K.; Cardone, R.A.; Reshkin, S.J. The scaffolding protein NHERF1 sensitizes EGFR-dependent tumor growth, motility and invadopodia function to gefitinib treatment in breast cancer cells. Int. J. Oncol. 2015, 46, 1214–1224. [Google Scholar] [CrossRef] [PubMed]
- Dasari, S.; Tchounwou, P.B. Cisplatin in cancer therapy: Molecular mechanisms of action. Eur. J. Pharmacol. 2014, 740, 364–378. [Google Scholar] [CrossRef] [PubMed]
- Hayakawa, J.; Mittal, S.; Wang, Y.; Korkmaz, K.S.; Adamson, E.; English, C.; Ohmichi, M.; McClelland, M.; Mercola, D. Identification of promoters bound by c-Jun/ATF2 during rapid large-scale gene activation following genotoxic stress. Mol. Cell 2004, 16, 521–535. [Google Scholar] [CrossRef] [PubMed]
- Zhang, L.; Yang, X.; Li, X.; Li, C.; Zhao, L.; Zhou, Y.; Hou, H. Butein sensitizes HeLa cells to cisplatin through the AKT and ERK/p38 MAPK pathways by targeting FOXO3A. Int. J. Mol. Med. 2015, 36, 957–966. [Google Scholar] [PubMed]
- Liu, M.; Qi, Z.; Liu, B.; Ren, Y.; Li, H.; Yang, G.; Zhang, Q. RY-2f, an isoflavone analog, overcomes cisplatin resistance to inhibit ovarian tumorigenesis via targeting the PI3K/AKT/mTOR signaling pathway. Oncotarget 2015, 6, 25281–25294. [Google Scholar] [CrossRef] [PubMed]
- Moon du, G.; Lee, S.E.; Oh, M.M.; Lee, S.C.; Jeong, S.J.; Hong, S.K.; Yoon, C.Y.; Byun, S.S.; Park, H.S.; Cheon, J. NVP-BEZ235, a dual PI3K/mTOR inhibitor synergistically potentiates the antitumor effects of cisplatin in bladder cancer cells. Int. J. Oncol. 2014, 45, 1027–1035. [Google Scholar] [CrossRef] [PubMed]
- Beretta, G.L.; Benedetti, V.; Cossa, G.; Assaraf, Y.G.; Bram, E.; Gatti, L.; Corna, E.; Carenini, N.; Colangelo, D.; Howell, S.B.; et al. Increased levels and defective glycosylation of MRPs in ovarian carcinoma cells resistant to oxaliplatin. Biochem. Pharmacol. 2010, 79, 1108–1117. [Google Scholar] [CrossRef] [PubMed]
- Zhang, Y.H.; Wu, Q.; Xiao, X.Y.; Li, D.W.; Wang, X.P. Silencing MRP4 by small interfering RNA reverses acquired DDP resistance of gastric cancer cell. Cancer Lett. 2010, 291, 76–82. [Google Scholar] [CrossRef] [PubMed]
- Hoque, M.T.; Cole, S.P. Down-regulation of Na+/H+ exchanger regulatory factor 1 increases expression and function of multidrug resistance protein 4. Cancer Res. 2008, 68, 4802–4809. [Google Scholar] [CrossRef] [PubMed]




| Gene | Log (FC) |
|---|---|
| NHERF1 | −0.78205 |
| TAC1 | −0.72346 |
| AGTR1 | −0.53629 |
| AVPR1A | −0.45374 |
| COMT | −0.44788 |
| EDN1 | −0.35517 |
| PTGER3 | −0.23476 |
| Patient and Tumor Characteristics | N (%) |
|---|---|
| Age (years) | |
| Mean | 47 |
| Range | 20–88 |
| Histological type | |
| Squamous carcinoma | 231 (89) |
| Adenocarcinoma | 29 (11) |
| Chemotherapy | |
| Cisplatin | 63 (24) |
| None | 197 (76) |
| Disease-free survival (DFS) status | |
| Disease Free | 213 (82) |
| Recurred/Progressed | 47 (18) |
© 2017 by the authors; licensee MDPI, Basel, Switzerland. This article is an open access article distributed under the terms and conditions of the Creative Commons Attribution (CC-BY) license (http://creativecommons.org/licenses/by/4.0/).
Share and Cite
Tao, T.; Yang, X.; Qin, Q.; Shi, W.; Wang, Q.; Yang, Y.; He, J. NHERF1 Enhances Cisplatin Sensitivity in Human Cervical Cancer Cells. Int. J. Mol. Sci. 2017, 18, 5. https://doi.org/10.3390/ijms18010005
Tao T, Yang X, Qin Q, Shi W, Wang Q, Yang Y, He J. NHERF1 Enhances Cisplatin Sensitivity in Human Cervical Cancer Cells. International Journal of Molecular Sciences. 2017; 18(1):5. https://doi.org/10.3390/ijms18010005
Chicago/Turabian StyleTao, Tao, Xiaomei Yang, Qiong Qin, Wen Shi, Qiqi Wang, Ying Yang, and Junqi He. 2017. "NHERF1 Enhances Cisplatin Sensitivity in Human Cervical Cancer Cells" International Journal of Molecular Sciences 18, no. 1: 5. https://doi.org/10.3390/ijms18010005
APA StyleTao, T., Yang, X., Qin, Q., Shi, W., Wang, Q., Yang, Y., & He, J. (2017). NHERF1 Enhances Cisplatin Sensitivity in Human Cervical Cancer Cells. International Journal of Molecular Sciences, 18(1), 5. https://doi.org/10.3390/ijms18010005
