Brain Monitoring in Critically Neurologically Impaired Patients
Abstract
:1. Introduction
2. Objective of Brain Monitoring
3. Serum Markers of Glial or Neuronal Injury
4. Cerebral Blood Flow Monitoring
5. Intracranial Pressure Monitoring
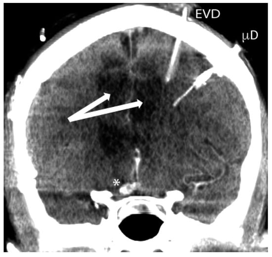
6. Cerebral Microdialysis—Assessment of Brain Microenvironment
7. Pressure Reactivity Index
8. PbtO2 Monitoring
9. Timing of Brain Monitoring
10. Optogenetics—Possible Future Monitoring Tool?
11. Use of Multimodality Monitoring
12. Conclusions
Acknowledgments
Author Contributions
Conflicts of Interest
References
- Karapetkova, M.; Koenig, M.A.; Jia, X. Early prognostication markers in cardiac arrest patients treated with hypothermia. Eur. J. Neurol. 2016, 23, 476–488. [Google Scholar] [CrossRef] [PubMed]
- Deng, R.; Young, L.M.; Jia, X. Quantitative EEG markers in severe post-resuscitation brain injury with therapeutic hypothermia. Conf. Proc. IEEE Eng. Med. Biol. Soc. 2015, 2015, 6598–6601. [Google Scholar] [PubMed]
- Corrigan, J.D.; Selassie, A.W.; Orman, J.A. The epidemiology of traumatic brain injury. J. Head Trauma Rehabil. 2010, 25, 72–80. [Google Scholar] [CrossRef] [PubMed]
- Hofmeijer, J.; Beernink, T.M.; Bosch, F.H.; Beishuizen, A.; Tjepkema-Cloostermans, M.C.; van Putten, M.J. Early EEG contributes to multimodal outcome prediction of postanoxic coma. Neurology 2015, 85, 137–143. [Google Scholar] [CrossRef] [PubMed]
- Zacharia, B.E.; Hickman, Z.L.; Grobelny, B.T.; DeRosa, P.; Kotchetkov, I.; Ducruet, A.F.; Connolly, E.S., Jr. Epidemiology of aneurysmal subarachnoid hemorrhage. Neurosurg. Clin. N. Am. 2010, 21, 221–233. [Google Scholar] [CrossRef] [PubMed]
- Jia, X.; Koenig, M.A.; Shin, H.C.; Zhen, G.; Pardo, C.A.; Hanley, D.F.; Thakor, N.V.; Geocadin, R.G. Improving neurological outcomes post-cardiac arrest in a rat model: Immediate hypothermia and quantitative EEG monitoring. Resuscitation 2008, 76, 431–442. [Google Scholar] [CrossRef] [PubMed]
- Jia, X.; Koenig, M.A.; Nickl, R.; Zhen, G.; Thakor, N.V.; Geocadin, R.G. Early electrophysiologic markers predict functional outcome associated with temperature manipulation after cardiac arrest in rats. Crit. Care Med. 2008, 36, 1909–1916. [Google Scholar] [CrossRef] [PubMed]
- Shin, H.C.; Tong, S.; Yamashita, S.; Jia, X.; Geocadin, R.G.; Thakor, N.V. Quantitative EEG and effect of hypothermia on brain recovery after cardiac arrest. IEEE Trans. Biomed. Eng. 2006, 53, 1016–1023. [Google Scholar] [CrossRef] [PubMed]
- Jia, X.; Koenig, M.A.; Shin, H.C.; Zhen, G.; Yamashita, S.; Thakor, N.V.; Geocadin, R.G. Quantitative EEG and neurological recovery with therapeutic hypothermia after asphyxial cardiac arrest in rats. Brain Res. 2006, 1111, 166–175. [Google Scholar] [CrossRef] [PubMed]
- Deng, R.; Koenig, M.A.; Young, L.M.; Jia, X. Early quantitative gamma-band EEG marker is associated with outcomes after cardiac arrest and targeted temperature management. Neurocrit. Care 2015, 23, 262–273. [Google Scholar] [CrossRef] [PubMed]
- Xiong, W.; Koenig, M.A.; Madhok, J.; Jia, X.; Puttgen, H.A.; Thakor, N.V.; Geocadin, R.G. Evolution of somatosensory evoked potentials after cardiac arrest induced hypoxic-ischemic injury. Resuscitation 2010, 81, 893–897. [Google Scholar] [CrossRef] [PubMed]
- Madhok, J.; Maybhate, A.; Xiong, W.; Koenig, M.A.; Geocadin, R.G.; Jia, X.; Thakor, N.V. Quantitative assessment of somatosensory-evoked potentials after cardiac arrest in rats: Prognostication of functional outcomes. Crit. Care Med. 2010, 38, 1709–1717. [Google Scholar] [CrossRef] [PubMed]
- Neumar, R.W.; Nolan, J.P.; Adrie, C.; Aibiki, M.; Berg, R.A.; Bottiger, B.W.; Callaway, C.; Clark, R.S.; Geocadin, R.G.; Jauch, E.C.; et al. Post-cardiac arrest syndrome: Epidemiology, pathophysiology, treatment, and prognostication. A consensus statement from the international liaison committee on resuscitation (american heart association, australian and new zealand council on resuscitation, european resuscitation council, heart and stroke foundation of canada, interamerican heart foundation, resuscitation council of asia, and the resuscitation council of southern Africa); the american heart association emergency cardiovascular care committee; the council on cardiovascular surgery and anesthesia; the council on cardiopulmonary, perioperative, and critical care; the council on clinical cardiology; and the stroke council. Circulation 2008, 118, 2452–2483. [Google Scholar] [PubMed]
- Stienen, M.N.; Smoll, N.R.; Weisshaupt, R.; Fandino, J.; Hildebrandt, G.; Studerus-Germann, A.; Schatlo, B. Delayed cerebral ischemia predicts neurocognitive impairment following aneurysmal subarachnoid hemorrhage. World Neurosurg. 2014, 82, e599–e605. [Google Scholar] [CrossRef] [PubMed]
- Murthy, T.; Bhatia, P.; Sandhu, K.; Prabhakar, T.; Gogna, R. Secondary brain injury: Prevention and intensive care management. Indian J. Neurotrauma 2005, 2, 7–12. [Google Scholar] [CrossRef]
- Hofmeijer, J.; van Putten, M.J. EEG in postanoxic coma: Prognostic and diagnostic value. Clin. Neurophysiol. 2016, 127, 2047–2055. [Google Scholar] [CrossRef] [PubMed]
- Haque, A.; Ray, S.K.; Cox, A.; Banik, N.L. Neuron specific enolase: A promising therapeutic target in acute spinal cord injury. Metab. Brain Dis. 2016, 31, 487–495. [Google Scholar] [CrossRef] [PubMed]
- Rech, T.H.; Vieira, S.R.; Nagel, F.; Brauner, J.S.; Scalco, R. Serum neuron-specific enolase as early predictor of outcome after in-hospital cardiac arrest: A cohort study. Crit. Care 2006, 10, R133. [Google Scholar] [CrossRef] [PubMed]
- Stammet, P.; Collignon, O.; Hassager, C.; Wise, M.P.; Hovdenes, J.; Aneman, A.; Horn, J.; Devaux, Y.; Erlinge, D.; Kjaergaard, J.; et al. Neuron-specific enolase as a predictor of death or poor neurological outcome after out-of-hospital cardiac arrest and targeted temperature management at 33 degrees C and 36 degrees C. J. Am. Coll. Cardiol. 2015, 65, 2104–2114. [Google Scholar] [CrossRef] [PubMed]
- Tawk, R.G.; Grewal, S.S.; Heckman, M.G.; Rawal, B.; Miller, D.A.; Edmonston, D.; Ferguson, J.L.; Navarro, R.; Ng, L.; Brown, B.L.; et al. The relationship between serum neuron-specific enolase levels and severity of bleeding and functional outcomes in patients with nontraumatic subarachnoid hemorrhage. Neurosurgery 2016, 78, 487–491. [Google Scholar] [CrossRef] [PubMed]
- Cheng, F.; Yuan, Q.; Yang, J.; Wang, W.; Liu, H. The prognostic value of serum neuron-specific enolase in traumatic brain injury: Systematic review and meta-analysis. PLoS ONE 2014, 9, e106680. [Google Scholar] [CrossRef] [PubMed]
- Pfeifer, R.; Ferrari, M.; Borner, A.; Deufel, T.; Figulla, H.R. Serum concentration of nse and S-100B during LVAD in non-resuscitated patients. Resuscitation 2008, 79, 46–53. [Google Scholar] [CrossRef] [PubMed]
- Wolf, H.; Krall, C.; Pajenda, G.; Hajdu, S.; Widhalm, H.; Leitgeb, J.; Sarahrudi, K. Preliminary findings on biomarker levels from extracerebral sources in patients undergoing trauma surgery: Potential implications for TBI outcome studies. Brain Inj. 2016, 30, 1220–1225. [Google Scholar] [CrossRef] [PubMed]
- Donato, R.; Cannon, B.R.; Sorci, G.; Riuzzi, F.; Hsu, K.; Weber, D.J.; Geczy, C.L. Functions of S100 proteins. Curr. Mol. Med. 2013, 13, 24–57. [Google Scholar] [CrossRef] [PubMed]
- Calderon, L.M.; Guyette, F.X.; Doshi, A.A.; Callaway, C.W.; Rittenberger, J.C. Combining NSE and S100B with clinical examination findings to predict survival after resuscitation from cardiac arrest. Resuscitation 2014, 85, 1025–1029. [Google Scholar] [CrossRef] [PubMed]
- Stammet, P.; Wagner, D.R.; Gilson, G.; Devaux, Y. Modeling serum level of S100β and bispectral index to predict outcome after cardiac arrest. J. Am. Coll. Cardiol. 2013, 62, 851–858. [Google Scholar] [CrossRef] [PubMed]
- Kellermann, I.; Kleindienst, A.; Hore, N.; Buchfelder, M.; Brandner, S. Early CSF and serum S100B concentrations for outcome prediction in traumatic brain injury and subarachnoid hemorrhage. Clin. Neurol. Neurosurg. 2016, 145, 79–83. [Google Scholar] [CrossRef] [PubMed]
- Lai, P.M.; Du, R. Association between S100B levels and long-term outcome after aneurysmal subarachnoid hemorrhage: Systematic review and pooled analysis. PLoS ONE 2016, 11, e0151853. [Google Scholar] [CrossRef] [PubMed]
- Thelin, E.P.; Jeppsson, E.; Frostell, A.; Svensson, M.; Mondello, S.; Bellander, B.M.; Nelson, D.W. Utility of neuron-specific enolase in traumatic brain injury; relations to S100B levels, outcome, and extracranial injury severity. Crit. Care 2016, 20, 285. [Google Scholar] [CrossRef] [PubMed]
- Savola, O.; Pyhtinen, J.; Leino, T.K.; Siitonen, S.; Niemela, O.; Hillbom, M. Effects of head and extracranial injuries on serum protein S100B levels in trauma patients. J. Trauma 2004, 56, 1229–1234. [Google Scholar] [CrossRef] [PubMed]
- Brandner, S.; Thaler, C.; Buchfelder, M.; Kleindienst, A. Brain-derived protein concentrations in the cerebrospinal fluid: Contribution of trauma resulting from ventricular drain insertion. J. Neurotrauma 2013, 30, 1205–1210. [Google Scholar] [CrossRef] [PubMed]
- Kaneko, T.; Kasaoka, S.; Miyauchi, T.; Fujita, M.; Oda, Y.; Tsuruta, R.; Maekawa, T. Serum glial fibrillary acidic protein as a predictive biomarker of neurological outcome after cardiac arrest. Resuscitation 2009, 80, 790–794. [Google Scholar] [CrossRef] [PubMed]
- Larsson, I.M.; Wallin, E.; Kristofferzon, M.L.; Niessner, M.; Zetterberg, H.; Rubertsson, S. Post-cardiac arrest serum levels of glial fibrillary acidic protein for predicting neurological outcome. Resuscitation 2014, 85, 1654–1661. [Google Scholar] [CrossRef] [PubMed]
- Vos, P.E.; van Gils, M.; Beems, T.; Zimmerman, C.; Verbeek, M.M. Increased GFAP and s100β but not NSE serum levels after subarachnoid haemorrhage are associated with clinical severity. Eur. J. Neurol. 2006, 13, 632–638. [Google Scholar] [CrossRef] [PubMed]
- Nylen, K.; Csajbok, L.Z.; Ost, M.; Rashid, A.; Blennow, K.; Nellgard, B.; Rosengren, L. Serum glial fibrillary acidic protein is related to focal brain injury and outcome after aneurysmal subarachnoid hemorrhage. Stroke 2007, 38, 1489–1494. [Google Scholar] [CrossRef] [PubMed]
- Wiesmann, M.; Steinmeier, E.; Magerkurth, O.; Linn, J.; Gottmann, D.; Missler, U. Outcome prediction in traumatic brain injury: Comparison of neurological status, CT findings, and blood levels of S100B and GFAP. Acta Neurol. Scand. 2010, 121, 178–185. [Google Scholar] [CrossRef] [PubMed]
- Raheja, A.; Sinha, S.; Samson, N.; Bhoi, S.; Subramanian, A.; Sharma, P.; Sharma, B.S. Serum biomarkers as predictors of long-term outcome in severe traumatic brain injury: Analysis from a randomized placebo-controlled phase II clinical trial. J. Neurosurg. 2016, 125, 631–641. [Google Scholar] [CrossRef] [PubMed]
- Papa, L.; Silvestri, S.; Brophy, G.M.; Giordano, P.; Falk, J.L.; Braga, C.F.; Tan, C.N.; Ameli, N.J.; Demery, J.A.; Dixit, N.K.; et al. GFAP out-performs s100β in detecting traumatic intracranial lesions on computed tomography in trauma patients with mild traumatic brain injury and those with extracranial lesions. J. Neurotrauma 2014, 31, 1815–1822. [Google Scholar] [CrossRef] [PubMed]
- Papa, L.; Brophy, G.M.; Welch, R.D.; Lewis, L.M.; Braga, C.F.; Tan, C.N.; Ameli, N.J.; Lopez, M.A.; Haeussler, C.A.; Mendez Giordano, D.I.; et al. Time course and diagnostic accuracy of glial and neuronal blood biomarkers GFAP and UCH-L1 in a large cohort of trauma patients with and without mild traumatic brain injury. JAMA Neurol. 2016, 73, 551–560. [Google Scholar] [PubMed]
- Hart, J.; Novak, V.; Saunders, C.; Gremaud, P.A. Transcranial doppler-based surrogates for cerebral blood flow: A statistical study. PLoS ONE 2016, 11, e0165536. [Google Scholar] [CrossRef] [PubMed]
- Fantini, S.; Sassaroli, A.; Tgavalekos, K.T.; Kornbluth, J. Cerebral blood flow and autoregulation: Current measurement techniques and prospects for noninvasive optical methods. Neurophotonics 2016, 3, 031411. [Google Scholar] [CrossRef] [PubMed]
- Tisdall, M.M.; Tachtsidis, I.; Leung, T.S.; Elwell, C.E.; Smith, M. Increase in cerebral aerobic metabolism by normobaric hyperoxia after traumatic brain injury. J. Neurosurg. 2008, 109, 424–432. [Google Scholar] [CrossRef] [PubMed]
- Leal-Noval, S.R.; Cayuela, A.; Arellano-Orden, V.; Marin-Caballos, A.; Padilla, V.; Ferrandiz-Millon, C.; Corcia, Y.; Garcia-Alfaro, C.; Amaya-Villar, R.; Murillo-Cabezas, F. Invasive and noninvasive assessment of cerebral oxygenation in patients with severe traumatic brain injury. Intensive Care Med. 2010, 36, 1309–1317. [Google Scholar] [CrossRef] [PubMed]
- Mutoh, T.; Ishikawa, T.; Suzuki, A.; Yasui, N. Continuous cardiac output and near-infrared spectroscopy monitoring to assist in management of symptomatic cerebral vasospasm after subarachnoid hemorrhage. Neurocrit. Care 2010, 13, 331–338. [Google Scholar] [CrossRef] [PubMed]
- Verdecchia, K.; Diop, M.; Lee, A.; Morrison, L.B.; Lee, T.Y.; St Lawrence, K. Assessment of a multi-layered diffuse correlation spectroscopy method for monitoring cerebral blood flow in adults. Biomed. Opt. Express 2016, 7, 3659–3674. [Google Scholar] [CrossRef] [PubMed]
- Kim, M.N.; Durduran, T.; Frangos, S.; Edlow, B.L.; Buckley, E.M.; Moss, H.E.; Zhou, C.; Yu, G.; Choe, R.; Maloney-Wilensky, E.; et al. Noninvasive measurement of cerebral blood flow and blood oxygenation using near-infrared and diffuse correlation spectroscopies in critically brain-injured adults. Neurocrit. Care 2010, 12, 173–180. [Google Scholar] [CrossRef] [PubMed]
- Dunn, A.K. Laser speckle contrast imaging of cerebral blood flow. Ann. Biomed. Eng. 2012, 40, 367–377. [Google Scholar] [CrossRef] [PubMed]
- Murari, K.; Li, N.; Rege, A.; Jia, X.; All, A.; Thakor, N. Contrast-enhanced imaging of cerebral vasculature with laser speckle. Appl. Opt. 2007, 46, 5340–5346. [Google Scholar] [CrossRef] [PubMed]
- Li, N.; Thakor, N.V.; Jia, X. Laser speckle imaging reveals multiple aspects of cerebral vascular responses to whole body mild hypothermia in rats. Conf. Proc. IEEE Eng. Med. Biol. Soc. 2011, 2011, 2049–2052. [Google Scholar] [PubMed]
- Junyun, H.; Hongyang, L.; Ruoxian, D.; Young, L.; Shanbao, T.; Xiaofeng, J. Real-time monitoring of cerebral blood flow by laser speckle contrast imaging after cardiac arrest in rat. Conf. Proc. IEEE Eng. Med. Biol. Soc. 2015, 2015, 6971–6974. [Google Scholar]
- Li, N.; Jia, X.; Murari, K.; Parlapalli, R.; Rege, A.; Thakor, N.V. High spatiotemporal resolution imaging of the neurovascular response to electrical stimulation of rat peripheral trigeminal nerve as revealed by in vivo temporal laser speckle contrast. J. Neurosci. Methods 2009, 176, 230–236. [Google Scholar] [CrossRef] [PubMed]
- Jia, X. Translational medicine: Creating the crucial bidirectional bridge between bench and bedside. Int. J. Mol. Sci. 2016, 17, 1918. [Google Scholar] [CrossRef] [PubMed]
- Parthasarathy, A.B.; Weber, E.L.; Richards, L.M.; Fox, D.J.; Dunn, A.K. Laser speckle contrast imaging of cerebral blood flow in humans during neurosurgery: A pilot clinical study. J. Biomed. Opt. 2010, 15, 066030. [Google Scholar] [CrossRef] [PubMed]
- Hecht, N.; Woitzik, J.; Konig, S.; Horn, P.; Vajkoczy, P. Laser speckle imaging allows real-time intraoperative blood flow assessment during neurosurgical procedures. J. Cereb. Blood Flow Metab. 2013, 33, 1000–1007. [Google Scholar] [CrossRef] [PubMed]
- Hutchinson, P.J.; Kolias, A.G.; Timofeev, I.S.; Corteen, E.A.; Czosnyka, M.; Timothy, J.; Anderson, I.; Bulters, D.O.; Belli, A.; Eynon, C.A.; et al. Trial of decompressive craniectomy for traumatic intracranial hypertension. N. Engl. J. Med. 2016, 375, 1119–1130. [Google Scholar] [CrossRef] [PubMed]
- Carney, N.; Totten, A.M.; O’Reilly, C.; Ullman, J.S.; Hawryluk, G.W.; Bell, M.J.; Bratton, S.L.; Chesnut, R.; Harris, O.A.; Kissoon, N.; et al. Guidelines for the management of severe traumatic brain injury, fourth edition. Neurosurgery 2016, in press. [Google Scholar] [CrossRef] [PubMed]
- Yuan, Q.; Wu, X.; Sun, Y.; Yu, J.; Li, Z.; Du, Z.; Mao, Y.; Zhou, L.; Hu, J. Impact of intracranial pressure monitoring on mortality in patients with traumatic brain injury: A systematic review and meta-analysis. J. Neurosurg. 2015, 122, 574–587. [Google Scholar] [CrossRef] [PubMed]
- Chesnut, R.M.; Temkin, N.; Carney, N.; Dikmen, S.; Rondina, C.; Videtta, W.; Petroni, G.; Lujan, S.; Pridgeon, J.; Barber, J.; et al. A trial of intracranial-pressure monitoring in traumatic brain injury. N. Engl. J. Med. 2012, 367, 2471–2481. [Google Scholar] [CrossRef] [PubMed]
- Talving, P.; Karamanos, E.; Teixeira, P.G.; Skiada, D.; Lam, L.; Belzberg, H.; Inaba, K.; Demetriades, D. Intracranial pressure monitoring in severe head injury: Compliance with brain trauma foundation guidelines and effect on outcomes: A prospective study. J. Neurosurg. 2013, 119, 1248–1254. [Google Scholar] [CrossRef] [PubMed]
- Cossu, G.; Messerer, M.; Stocchetti, N.; Levivier, M.; Daniel, R.T.; Oddo, M. Intracranial pressure and outcome in critically ill patients with aneurysmal subarachnoid hemorrhage: A systematic review. Minerva Anestesiol. 2016, in press. [Google Scholar]
- Wijdicks, E.F.; Hijdra, A.; Young, G.B.; Bassetti, C.L.; Wiebe, S. Practice parameter: Prediction of outcome in comatose survivors after cardiopulmonary resuscitation (an evidence-based review): Report of the quality standards subcommittee of the american academy of neurology. Neurology 2006, 67, 203–210. [Google Scholar] [CrossRef] [PubMed]
- Nordmark, J.; Rubertsson, S.; Mortberg, E.; Nilsson, P.; Enblad, P. Intracerebral monitoring in comatose patients treated with hypothermia after a cardiac arrest. Acta Anaesthesiol. Scand. 2009, 53, 289–298. [Google Scholar] [CrossRef] [PubMed]
- Tseng, E.E.; Brock, M.V.; Lange, M.S.; Troncoso, J.C.; Blue, M.E.; Lowenstein, C.J.; Johnston, M.V.; Baumgartner, W.A. Glutamate excitotoxicity mediates neuronal apoptosis after hypothermic circulatory arrest. Ann. Thorac. Surg. 2010, 89, 440–445. [Google Scholar] [CrossRef] [PubMed]
- Dreier, J.; Major, S.; Manning, A.; Woitzik, J.; Drenckhahn, C.; Steinbrink, J.; Tolias, C.; Oliveira-Ferreira, A.; Fabricius, M.; Hartings, J.; et al. Cortical spreading ischaemia is a novel process involved in ischaemic damage in patients with aneurysmal subarachnoid hemorrhage. Brain 2009, 132, 1866–1881. [Google Scholar] [CrossRef] [PubMed]
- Hinzman, J.M.; Wilson, J.A.; Mazzeo, A.T.; Bullock, M.R.; Hartings, J.A. Excitotoxicity and metabolic crisis are associated with spreading depolarizations in severe traumatic brain injury patients. J. Neurotrauma 2016, 33, 1775–1783. [Google Scholar] [CrossRef] [PubMed]
- Oddo, M.; Levine, J.M.; Frangos, S.; Maloney-Wilensky, E.; Carrera, E.; Daniel, R.T.; Levivier, M.; Magistretti, P.J.; LeRoux, P.D. Brain lactate metabolism in humans with subarachnoid hemorrhage. Stroke 2012, 43, 1418–1421. [Google Scholar] [CrossRef] [PubMed]
- Rostami, E.; Engquist, H.; Johnson, U.; Howells, T.; Ronne-Engstrom, E.; Nilsson, P.; Hillered, L.; Lewen, A.; Enblad, P. Monitoring of cerebral blood flow and metabolism bedside in patients with subarachnoid hemorrhage—A xenon-CT and microdialysis study. Front. Neurol. 2014, 5, 89. [Google Scholar] [CrossRef] [PubMed]
- Bouzat, P.; Marques-Vidal, P.; Zerlauth, J.B.; Sala, N.; Suys, T.; Schoettker, P.; Bloch, J.; Daniel, R.T.; Levivier, M.; Meuli, R.; et al. Accuracy of brain multimodal monitoring to detect cerebral hypoperfusion after traumatic brain injury. Crit. Care Med. 2015, 43, 445–452. [Google Scholar] [CrossRef] [PubMed]
- Timofeev, I.; Carpenter, K.L.; Nortje, J.; Al-Rawi, P.G.; O’Connell, M.T.; Czosnyka, M.; Smielewski, P.; Pickard, J.D.; Menon, D.K.; Kirkpatrick, P.J.; et al. Cerebral extracellular chemistry and outcome following traumatic brain injury: A microdialysis study of 223 patients. Brain 2011, 134, 484–494. [Google Scholar] [CrossRef] [PubMed]
- Kurtz, P.; Claassen, J.; Helbok, R.; Schmidt, J.; Fernandez, L.; Presciutti, M.; Stuart, R.M.; Connolly, E.S.; Lee, K.; Badjatia, N.; et al. Systemic glucose variability predicts cerebral metabolic distress and mortality after subarachnoid hemorrhage: A retrospective observational study. Crit. Care 2014, 18, R89. [Google Scholar] [CrossRef] [PubMed]
- Gupta, D.K.; Singla, R.; Kale, S.S.; Sharma, B.S. Intracerebral hypoglycemia and its clinical relevance as a prognostic indicator in severe traumatic brain injury: A cerebral microdialysis study from india. Neurol. India 2016, 64, 259–264. [Google Scholar] [CrossRef] [PubMed]
- Rostami, E.; Bellander, B.M. Monitoring of glucose in brain, adipose tissue, and peripheral blood in patients with traumatic brain injury: A microdialysis study. J. Diabetes Sci. Technol. 2011, 5, 596–604. [Google Scholar] [CrossRef] [PubMed]
- Laureys, S.; Antoine, S.; Boly, M.; Elincx, S.; Faymonville, M.; Berré, J.; Sadzot, B.; Ferring, M.; de Tiège, X.; van Bogaert, P.; et al. Brain function in the vegetative state. Acta Neurol. Belg. 2002, 102, 177–185. [Google Scholar] [PubMed]
- De Volder, A.; Michel, C.; Guérit, J.; Bol, A.; Georges, B.; de Barsy, T.; Laterre, C. Brain glucose metabolism in postanoxic syndrome due to cardiac arrest. Acta Neurol. Belg. 1994, 94, 183–189. [Google Scholar] [PubMed]
- Krinsley, J.S. Glycemic variability: A strong independent predictor of mortality in critically ill patients. Crit. Care Med. 2008, 36, 3008–3013. [Google Scholar] [CrossRef] [PubMed]
- Kurtz, P.; Claassen, J.; Schmidt, J.M.; Helbok, R.; Hanafy, K.A.; Presciutti, M.; Lantigua, H.; Connolly, E.S.; Lee, K.; Badjatia, N.; et al. Reduced brain/serum glucose ratios predict cerebral metabolic distress and mortality after severe brain injury. Neurocrit. Care 2013, 19, 311–319. [Google Scholar] [CrossRef] [PubMed]
- Antunes, A.P.; Schiefecker, A.J.; Beer, R.; Pfausler, B.; Sohm, F.; Fischer, M.; Dietmann, A.; Lackner, P.; Hackl, W.O.; Ndayisaba, J.P.; et al. Higher brain extracellular potassium is associated with brain metabolic distress and poor outcome after aneurysmal subarachnoid hemorrhage. Crit. Care 2014, 18, R119. [Google Scholar] [CrossRef] [PubMed]
- Misini, B.; Freinbichler, W.; Colivicchi, M.A.; Bisilimi, K.; Linert, W.; Tipton, K.F.; Della Corte, L. Continuous monitoring of highly reactive oxygen radicals during in vivo microdialysis. J. Neurosci. Methods 2015, 251, 1–6. [Google Scholar] [CrossRef] [PubMed]
- Helbok, R.; Schiefecker, A.J.; Beer, R.; Dietmann, A.; Antunes, A.P.; Sohm, F.; Fischer, M.; Hackl, W.O.; Rhomberg, P.; Lackner, P.; et al. Early brain injury after aneurysmal subarachnoid hemorrhage: A multimodal neuromonitoring study. Crit. Care 2015, 19, 75. [Google Scholar] [CrossRef] [PubMed]
- Aries, M.J.; Czosnyka, M.; Budohoski, K.P.; Steiner, L.A.; Lavinio, A.; Kolias, A.G.; Hutchinson, P.J.; Brady, K.M.; Menon, D.K.; Pickard, J.D.; et al. Continuous determination of optimal cerebral perfusion pressure in traumatic brain injury. Crit. Care Med. 2012, 40, 2456–2463. [Google Scholar] [CrossRef] [PubMed]
- Dias, C.; Silva, M.J.; Pereira, E.; Monteiro, E.; Maia, I.; Barbosa, S.; Silva, S.; Honrado, T.; Cerejo, A.; Aries, M.J.; et al. Optimal cerebral perfusion pressure management at bedside: A single-center pilot study. Neurocrit. Care 2015, 23, 92–102. [Google Scholar] [CrossRef] [PubMed]
- Sugimoto, K.; Shirao, S.; Koizumi, H.; Inoue, T.; Oka, F.; Maruta, Y.; Suehiro, E.; Sadahiro, H.; Oku, T.; Yoneda, H.; et al. Continuous monitoring of spreading depolarization and cerebrovascular autoregulation after aneurysmal subarachnoid hemorrhage. J. Stroke Cerebrovasc. Dis. 2016, 25, e171–e177. [Google Scholar] [CrossRef] [PubMed]
- Johnson, U.; Engquist, H.; Howells, T.; Nilsson, P.; Ronne-Engstrom, E.; Lewen, A.; Rostami, E.; Enblad, P. Bedside xenon-ct shows lower cbf in sah patients with impaired cbf pressure autoregulation as defined by pressure reactivity index (PRx). Neurocrit. Care 2016, 25, 47–55. [Google Scholar] [CrossRef] [PubMed]
- Le Roux, P.; Menon, D.K.; Citerio, G.; Vespa, P.; Bader, M.K.; Brophy, G.M.; Diringer, M.N.; Stocchetti, N.; Videtta, W.; Armonda, R.; et al. Consensus summary statement of the international multidisciplinary consensus conference on multimodality monitoring in neurocritical care: A statement for healthcare professionals from the neurocritical care society and the european society of intensive care medicine. Neurocrit. Care 2014, 21, S1–S26. [Google Scholar] [PubMed]
- Kurtz, P.; Helbok, R.; Claassen, J.; Schmidt, J.M.; Fernandez, L.; Stuart, R.M.; Connolly, E.S.; Lee, K.; Mayer, S.A.; Badjatia, N. The effect of packed red blood cell transfusion on cerebral oxygenation and metabolism after subarachnoid hemorrhage. Neurocrit. Care 2016, 24, 118–121. [Google Scholar] [CrossRef] [PubMed]
- Deshaies, E.M.; Jacobsen, W.; Singla, A.; Li, F.; Gorji, R. Brain tissue oxygen monitoring to assess reperfusion after intra-arterial treatment of aneurysmal subarachnoid hemorrhage-induced cerebral vasospasm: A retrospective study. Am. J. Neuroradiol. 2012, 33, 1411–1415. [Google Scholar] [CrossRef] [PubMed]
- Spiotta, A.M.; Stiefel, M.F.; Gracias, V.H.; Garuffe, A.M.; Kofke, W.A.; Maloney-Wilensky, E.; Troxel, A.B.; Levine, J.M.; Le Roux, P.D. Brain tissue oxygen-directed management and outcome in patients with severe traumatic brain injury. J. Neurosurg. 2010, 113, 571–580. [Google Scholar] [CrossRef] [PubMed]
- Narotam, P.K.; Morrison, J.F.; Nathoo, N. Brain tissue oxygen monitoring in traumatic brain injury and major trauma: Outcome analysis of a brain tissue oxygen-directed therapy. J. Neurosurg. 2009, 111, 672–682. [Google Scholar] [CrossRef] [PubMed]
- Lin, C.M.; Lin, M.C.; Huang, S.J.; Chang, C.K.; Chao, D.P.; Lui, T.N.; Ma, H.I.; Liu, M.Y.; Chung, W.Y.; Shih, Y.H.; et al. A prospective randomized study of brain tissue oxygen pressure-guided management in moderate and severe traumatic brain injury patients. BioMed Res. Int. 2015, 2015, 529580. [Google Scholar] [CrossRef] [PubMed]
- Kistka, H.; Dewan, M.C.; Mocco, J. Evidence-based cerebral vasospasm surveillance. Neurol. Res. Int. 2013, 2013, 256713. [Google Scholar] [CrossRef] [PubMed]
- Crowley, R.W.; Medel, R.; Kassell, N.F.; Dumont, A.S. New insights into the causes and therapy of cerebral vasospasm following subarachnoid hemorrhage. Drug Discov. Today 2008, 13, 254–260. [Google Scholar] [CrossRef] [PubMed]
- Nakajima, R.; Jung, A.; Yoon, B.J.; Baker, B.J. Optogenetic monitoring of synaptic activity with genetically encoded voltage indicators. Front. Synaptic Neurosci. 2016, 8, 22. [Google Scholar] [CrossRef] [PubMed]
- Gong, Y.; Huang, C.; Li, J.Z.; Grewe, B.F.; Zhang, Y.; Eismann, S.; Schnitzer, M.J. High-speed recording of neural spikes in awake mice and flies with a fluorescent voltage sensor. Science 2015, 350, 1361–1366. [Google Scholar] [CrossRef] [PubMed]
- Cao, G.; Platisa, J.; Pieribone, V.A.; Raccuglia, D.; Kunst, M.; Nitabach, M.N. Genetically targeted optical electrophysiology in intact neural circuits. Cell 2013, 154, 904–913. [Google Scholar] [CrossRef] [PubMed]
- Jayaprakash, N.; Wang, Z.; Hoeynck, B.; Krueger, N.; Kramer, A.; Balle, E.; Wheeler, D.S.; Wheeler, R.A.; Blackmore, M.G. Optogenetic interrogation of functional synapse formation by corticospinal tract axons in the injured spinal cord. J. Neurosci. 2016, 36, 5877–5890. [Google Scholar] [CrossRef] [PubMed]

| Technique | Detail | Advantages | Disadvantages |
|---|---|---|---|
| Neurologic examination | Global assessment of consciousness, sensory and motor responses, cranial nerve assessment, and ancillary tests | Can be used in all patients; findings can direct additional confirmatory testing or imaging | Affected by sedation, fever, seizure; in severely injured, exam may be static despite dynamic neurologic injury |
| Intracranial pressure (ICP) monitor | Available as ventricular or parenchymal probe | Well-established in traumatic brain injury; Ventricular drain allows removal of cerebrospinal fluid for ICP therapy/labs | Invasive monitor, potential risk of infection, hardware malfunction |
| Pressure reactivity index (PRx) | Algorithm relates changes in blood pressure to ICP to determine measure of autoregulation | Individualized measure of autoregulation and goal directed cerebral perfusion pressure (CPP) therapy | Requires concurrent ICP monitor; an optimal CPP not always able to be calculated; software malfunction |
| Microdialysis | Intraparenchymal probe obtains dialysate for lab assays | Informative of cerebral microenvironment and metabolic state; special lab assays possible | Invasive monitor, potential risk of infection, hardware malfunction, results potentially not reflective of entire brain |
| PbtO2 | Intraparenchymal probe measures partial pressure of oxygen | Enables targeted therapy | Invasive monitor, potential risk of infection, hardware malfunction, results potentially not reflective of entire brain |
| Serum markers | Measure of proteins indicative of neuronal injury | Non-invasive prognosticator of outcome | Not “real-time”. Affected by extracranial trauma and timing of injury. Subject to differences in specimen handling, hemolysis and differences between laboratory assays |
| Continuous electroencephalography | Assess brain electrical activity through scalp electrodes | Cerebral metabolic rate related to brain activity. Despite effects of sedative medications, may still be clinically useful [16] | May be affected by sedation, intracranial mass lesions, presence of other intracranial monitors; inherently subjective interpretation; hardware malfunction; continuous monitoring not widely available |
| Near-infrared spectroscopy/diffuse correlation spectroscopy | Optical probes placed on scalp. Measures cerebral oxygenation (NIS) and cerebral blood flow (DCS) | Non-invasive, cerebral oxygenation and extraction related to metabolism, cerebral blood flow, continuous monitoring possible | Assess brain tissue to a depth of 2–3 cm, typically frontal lobes |
| Group | Modalities Used | Findings | Comment |
|---|---|---|---|
| Bouzat et al., 2015 [68] | ICP monitor | Multimodality monitoring is more accurate than ICP monitoring alone to predict cerebral hypoperfusion | Multimodality monitoring provides better guidance for the intensivist than ICP monitoring alone |
| PbtO2 | |||
| cerebral microdialysis | |||
| Spiotta et al., 2010 [87] | ICP monitoring, PbtO2 | Concurrent ICP/PbtO2 targeted therapy resulted in lower mortality (25.7% vs. 45.3%, p < 0.05) and improved 3-month favorable outcomes (64.3% vs. 39.6%, p = 0.01) compared to ICP monitoring alone | Use of multiple markers of the brain microenvironment improves clinical outcomes |
| Narotam et al., 2009 [88] | Standard ICP/PbtO2 goal directed therapy led to reduction in mortality (25.9% vs. 41.5%) and improved 6-month GOS outcomes over standard ICP/CPP therapy alone | ||
| Lin et al., 2015 [89] | Concurrent goal directed ICP/PbtO2 therapy in TBI patients resulted in improved 3 and 6 month mortality compared to ICP therapy alone | ||
| Dias et al., 2015 [81] | ICP monitoring | Patients with unfavorable outcomes at 6 months had a median difference in CPP from CPPopt of −6.6 mmHg, compared with a difference of −1.0 mmHg in the favorable outcomes group (p = 0.04) | Individualized goal-directed therapy improves outcomes |
| PRx |
© 2016 by the authors; licensee MDPI, Basel, Switzerland. This article is an open access article distributed under the terms and conditions of the Creative Commons Attribution (CC-BY) license (http://creativecommons.org/licenses/by/4.0/).
Share and Cite
Jones, S.; Schwartzbauer, G.; Jia, X. Brain Monitoring in Critically Neurologically Impaired Patients. Int. J. Mol. Sci. 2017, 18, 43. https://doi.org/10.3390/ijms18010043
Jones S, Schwartzbauer G, Jia X. Brain Monitoring in Critically Neurologically Impaired Patients. International Journal of Molecular Sciences. 2017; 18(1):43. https://doi.org/10.3390/ijms18010043
Chicago/Turabian StyleJones, Salazar, Gary Schwartzbauer, and Xiaofeng Jia. 2017. "Brain Monitoring in Critically Neurologically Impaired Patients" International Journal of Molecular Sciences 18, no. 1: 43. https://doi.org/10.3390/ijms18010043
APA StyleJones, S., Schwartzbauer, G., & Jia, X. (2017). Brain Monitoring in Critically Neurologically Impaired Patients. International Journal of Molecular Sciences, 18(1), 43. https://doi.org/10.3390/ijms18010043

