Silkworm Gut Fiber of Bombyx mori as an Implantable and Biocompatible Light-Diffusing Fiber
Abstract
:1. Introduction
2. Results and Discussion
2.1. Fabrication of Silkworm Gut Fibers
2.2. Scanning Electron Microscopy
2.3. Attenuated Total Reflectance Fourier Transformed Infrared Spectroscopy (ATR-FTIR) Analysis
2.4. Characterization of Light Emission by Silkworm Gut Fiber (SGF)
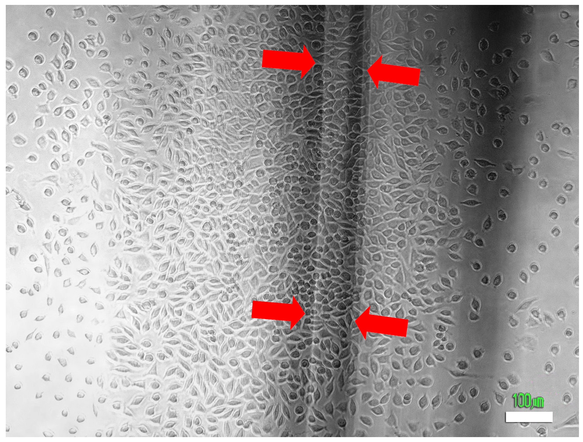
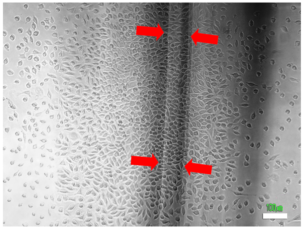
2.5. Effect of Light Irradiated by SGF on Cells
3. Experimental Section
3.1. Fabrication of Silkworm Gut Fibers
3.2. Scanning Electron Microscopy
3.3. ATR-FTIR Analysis
3.4. Characterization of Light Emission by SGF
3.5. Effect of Light Irradiated by SGF on Cells
3.5.1. Cell Culture
3.5.2. Irradiation of the Cell Culture Assembly
3.5.3. Cell Proliferation Assay
3.5.4. Microscopy
3.6. Statistical Analysis
4. Conclusions
Supplementary Materials
Acknowledgments
Author Contributions
Conflicts of Interest
References
- AlGhamdi, K.M.; Kumar, A.; Moussa, N.A. Low-level laser therapy: A useful technique for enhancing the proliferation of various cultured cells. Lasers Med. Sci. 2012, 27, 237–249. [Google Scholar] [CrossRef] [PubMed]
- Almeida-Lopes, L.; Rigau, J.; Zângaro, R.A.; Guiduli-Neto, J.; Jaeger, M.M.M. Comparison of the low level therapy effects on cultured gingival fibroblasts proliferation using different irradiance and fluence. Lasers Surg. Med. 2001, 29, 179–184. [Google Scholar] [CrossRef] [PubMed]
- Moore, P.; Ridgway, T.D.; Higbee, R.G.; Howard, E.W.; Lucroy, M.D. Effect of wavelength on low-intensity laser irradiation-stimulated cell proliferation in vitro. Lasers Surg. Med. 2005, 36, 8–12. [Google Scholar] [CrossRef] [PubMed]
- Eduardo, F.D.P.; Bueno, D.F.; de Freitas, P.M.; Marques, M.M.; Passos-Bueno, M.R.; Eduardo, C.D.P.; Zatz, M. Stem cell proliferation under low intensity laser irradiation: A preliminary study. Lasers Surg. Med. 2008, 40, 433–438. [Google Scholar] [CrossRef] [PubMed]
- Eduardo, F.P.; Mehnert, D.U.; Monezi, T.A.; Zezell, D.M.; Schubert, M.M.; Eduardo, C.P.; Marques, M.M. Cultured epithelial cells response to phototherapy with low intensity laser. Lasers Surg. Med. 2007, 39, 365–372. [Google Scholar] [CrossRef] [PubMed]
- Hawkins, D.; Abrahamse, H. Effect of multiple exposures of low-level laser therapy on the cellular responses of wounded human skin fibroblasts. Photomed. Laser Surg. 2006, 24, 705–714. [Google Scholar] [CrossRef] [PubMed]
- Basso, F.G.; Pansani, T.N.; Turrioni, A.P.S.; Bagnato, V.S.; Hebling, J.; de Souza Costa, C.A. In vitro wound healing improvement by low-level laser therapy application in cultured gingival fibroblasts. Int. J. Dent. 2012, 2012, 719452. [Google Scholar] [CrossRef] [PubMed]
- Henderson, B.W.; Waldow, S.M.; Mang, T.S.; Potter, W.R.; Malone, P.B.; Dougherty, T.J. Tumor destruction and kinetics of tumor cell death in two experimental mouse tumors following photodynamic therapy. Cancer Res. 1985, 45, 572–576. [Google Scholar] [PubMed]
- Hopper, C. Photodynamic therapy: A clinical reality in the treatment of cancer. Lancet Oncol. 2000, 1, 212–219. [Google Scholar] [CrossRef]
- Cardin, J.A.; Carlén, M.; Meletis, K.; Knoblich, U.; Zhang, F.; Deisseroth, K.; Tsai, L.H.; Moore, C.I. Targeted optogenetic stimulation and recording of neurons in vivo using cell-type-specific expression of channelrhodopsin-2. Nat. Protoc. 2010, 5, 247–254. [Google Scholar] [CrossRef] [PubMed]
- Zhang, F.; Gradinaru, V.; Adamantidis, A.R.; Durand, R.; Airan, R.D.; de Lecea, L.; Deisseroth, K. Optogenetic interrogation of neural circuits: Technology for probing mammalian brain structures. Nat. Protoc. 2010, 5, 439–456. [Google Scholar] [CrossRef] [PubMed]
- Chan, B.P.; Kochevar, I.E.; Redmond, R.W. Enhancement of porcine skin graft adherence using a light-activated process. J. Surg. Res. 2002, 108, 77–84. [Google Scholar] [CrossRef] [PubMed]
- Johnson, T.S.; O’Neill, A.C.; Motarjem, P.M.; Amann, C.; Nguyen, T.; Randolph, M.A.; Winograd, J.M.; Kochevar, I.E.; Redmond, R.W. Photochemical tissue bonding: A promising technique for peripheral nerve repair. J. Surg. Res. 2007, 143, 224–229. [Google Scholar] [CrossRef] [PubMed]
- Nizamoglu, S.; Gather, M.C.; Humar, M.; Choi, M.; Kim, S.; Kim, K.S.; Hahn, S.K.; Scarcelli, G.; Randolph, M.; Redmond, R.W.; et al. Bioabsorbable polymer optical waveguides for deep-tissue photomedicine. Nat. Commun. 2016, 7, 10374. [Google Scholar] [CrossRef] [PubMed]
- Alvarez-Lorenzo, C.; Bromberg, L.; Concheiro, A. Light-sensitive intelligent drug delivery systems. Photochemi. Photobiol. 2009, 85, 848–860. [Google Scholar] [CrossRef] [PubMed]
- Yang, X.; Liu, X.; Liu, Z.; Pu, F.; Ren, J.; Qu, X. Near-infrared light-triggered, targeted drug delivery to cancer cells by aptamer gated nanovehicles. Adv. Mater. 2012, 24, 2890–2895. [Google Scholar] [CrossRef] [PubMed]
- Tien, L.W.; Wu, F.; Tang-Schomer, M.D.; Yoon, E.; Omenetto, F.G.; Kaplan, D.L. Silk as a multifunctional biomaterial substrate for reduced glial scarring around brain-penetrating electrodes. Adv. Funct. Mater. 2013, 23, 3185–3193. [Google Scholar] [CrossRef]
- Bechet, D.; Mordon, S.R.; Guillemin, F.; Barberi-Heyob, M.A. Photodynamic therapy of malignant brain tumours: A complementary approach to conventional therapies. Cancer Treat. Rev. 2014, 40, 229–241. [Google Scholar] [CrossRef] [PubMed]
- Applegate, M.B.; Perotto, G.; Kaplan, D.L.; Omenetto, F.G. Biocompatible silk step-index optical waveguides. Biomed. Opt. Express 2015, 6, 4221–4227. [Google Scholar] [CrossRef] [PubMed]
- Altman, G.H.; Diaz, F.; Jakuba, C.; Calabro, T.; Horan, R.L.; Chen, J.; Lu, H.; Richmond, J.; Kaplan, D.L. Silk-based biomaterials. Biomaterials 2003, 24, 401–416. [Google Scholar] [CrossRef]
- Omenetto, F.G.; Kaplan, D.L. A new route for silk. Nat. Photonics 2008, 2, 641–643. [Google Scholar] [CrossRef]
- Lawrence, B.D.; Cronin-Golomb, M.; Georgakoudi, I.; Kaplan, D.L.; Omenetto, F.G. Bioactive silk protein biomaterial systems for optical devices. Biomacromolecules 2008, 9, 1214–1220. [Google Scholar] [CrossRef] [PubMed]
- Harkin, D.G.; George, K.A.; Madden, P.W.; Schwab, I.R.; Hutmacher, D.W.; Chirila, T.V. Silk fibroin in ocular tissue reconstruction. Biomaterials 2011, 32, 2445–2458. [Google Scholar] [CrossRef] [PubMed]
- Parker, S.T.; Domachuk, P.; Amsden, J.; Bressner, J.; Lewis, J.A.; Kaplan, D.L.; Omenetto, F.G. Biocompatible silk printed optical waveguides. Adv. Mater. 2009, 21, 2411–2415. [Google Scholar] [CrossRef]
- Marden, L. Spain’s silkworm gut. Natl. Geogr. Mag. 1951, 7, 100–108. [Google Scholar]
- Humphries, A.M.C. The story of silk and silkworm gut. Postgrad. Med. J. 1949, 25, 483–488. [Google Scholar] [CrossRef] [PubMed]
- Cenis, J.L.; Madurga, R.; Aznar-Cervantes, S.D.; Lozano-Pérez, A.A.; Marí-Buyé, N.; Meseguer-Olmo, L.; Plaza, G.R.; Guinea, G.V.; Elices, M.; del Pozo, F.; et al. Mechanical behaviour and formation process of silkworm silk gut. Soft Matter. 2015, 11, 8981–8991. [Google Scholar] [CrossRef] [PubMed]
- Bickham, S.; Fewkes, E.; Bookbinder, D.; Logunov, S. Optical Fiber Illumination Systems and Methods. U.S. Patent US2011/0122646 A1, 26 May 2011. [Google Scholar]
- Hunsperger, R.G. Losses in Optical Waveguides. In Integrated Optics: Theory and Technology, 6th ed.; Springer: New York, NY, USA, 2009; pp. 107–128. [Google Scholar]
- Hu, X.; Kaplan, D.L.; Cebe, P. Determining β-sheet crystallinity in fibrous proteins by thermal analysis and infrared spectroscopy. Macromolecules 2006, 39, 6161–6170. [Google Scholar] [CrossRef]
- Zhang, F.; Zuo, B.Q.; Bai, L. Study on the structure of SF fiber mats electrospun with HFIP and FA and cells behavior. J. Mater. Sci. 2009, 44, 5682–5687. [Google Scholar] [CrossRef]
- Wang, M.; Jin, H.J.; Kaplan, D.L.; Rutledge, G.C. Mechanical properties of electrospun silk fibers. Macromolecules 2004, 37, 6856–6864. [Google Scholar] [CrossRef]
- Aznar-Cervantes, S.D.; Vicente-Cervantes, D.; Meseguer-Olmo, L.; Cenis, J.L.; Lozano-Pérez, A.A. Influence of the protocol used for fibroin extraction on the mechanical properties and fiber sizes of electrospun silk mats. Mater. Sci. Eng. C 2013, 33, 1945–1950. [Google Scholar] [CrossRef] [PubMed]
- Zhang, X.; Reagan, M.R.; Kaplan, D.L. Electrospun silk biomaterial scaffolds for regenerative medicine. Adv. Drug Deliv. Rev. 2009, 61, 988–1006. [Google Scholar] [CrossRef] [PubMed]
- Mossman, T. Rapid colorimetric assay for cellular growth and survival: Application to proliferation and cytotoxicity assays. J. Immunol. Methods 1983, 65, 55–63. [Google Scholar] [CrossRef]
- Choi, W.J.; Park, K.S.; Lee, B.H. Light-guided localization within tissue using biocompatible surgical suture fiber as an optical waveguide. J. Biomed. Opt. 2014, 19, 090503. [Google Scholar] [CrossRef] [PubMed]
- Murphy, A.R.; Kaplan, D.L. Biomedical applications of chemically-modified silk fibroin. J. Mater Chem. 2009, 19, 6443–6450. [Google Scholar] [CrossRef] [PubMed]
- Sofia, S.; McCarthy, M.B.; Gronowicz, G.; Kaplan, D.L. Functionalized silk-based biomaterials for bone formation. J. Biomed. Mater. Res. 2001, 54, 139–148. [Google Scholar] [CrossRef]








© 2016 by the authors; licensee MDPI, Basel, Switzerland. This article is an open access article distributed under the terms and conditions of the Creative Commons Attribution (CC-BY) license (http://creativecommons.org/licenses/by/4.0/).
Share and Cite
Cenis, J.L.; Aznar-Cervantes, S.D.; Lozano-Pérez, A.A.; Rojo, M.; Muñoz, J.; Meseguer-Olmo, L.; Arenas, A. Silkworm Gut Fiber of Bombyx mori as an Implantable and Biocompatible Light-Diffusing Fiber. Int. J. Mol. Sci. 2016, 17, 1142. https://doi.org/10.3390/ijms17071142
Cenis JL, Aznar-Cervantes SD, Lozano-Pérez AA, Rojo M, Muñoz J, Meseguer-Olmo L, Arenas A. Silkworm Gut Fiber of Bombyx mori as an Implantable and Biocompatible Light-Diffusing Fiber. International Journal of Molecular Sciences. 2016; 17(7):1142. https://doi.org/10.3390/ijms17071142
Chicago/Turabian StyleCenis, Jose Luis, Salvador D. Aznar-Cervantes, Antonio Abel Lozano-Pérez, Marta Rojo, Juan Muñoz, Luis Meseguer-Olmo, and Aurelio Arenas. 2016. "Silkworm Gut Fiber of Bombyx mori as an Implantable and Biocompatible Light-Diffusing Fiber" International Journal of Molecular Sciences 17, no. 7: 1142. https://doi.org/10.3390/ijms17071142
APA StyleCenis, J. L., Aznar-Cervantes, S. D., Lozano-Pérez, A. A., Rojo, M., Muñoz, J., Meseguer-Olmo, L., & Arenas, A. (2016). Silkworm Gut Fiber of Bombyx mori as an Implantable and Biocompatible Light-Diffusing Fiber. International Journal of Molecular Sciences, 17(7), 1142. https://doi.org/10.3390/ijms17071142

