Cutaneous Adverse Events Associated with Interferon-β Treatment of Multiple Sclerosis
Abstract
:1. Introduction
2. Results and Discussion
2.1. Local Injection Site Reactions

2.2. Systemic Cutaneous Adverse Events
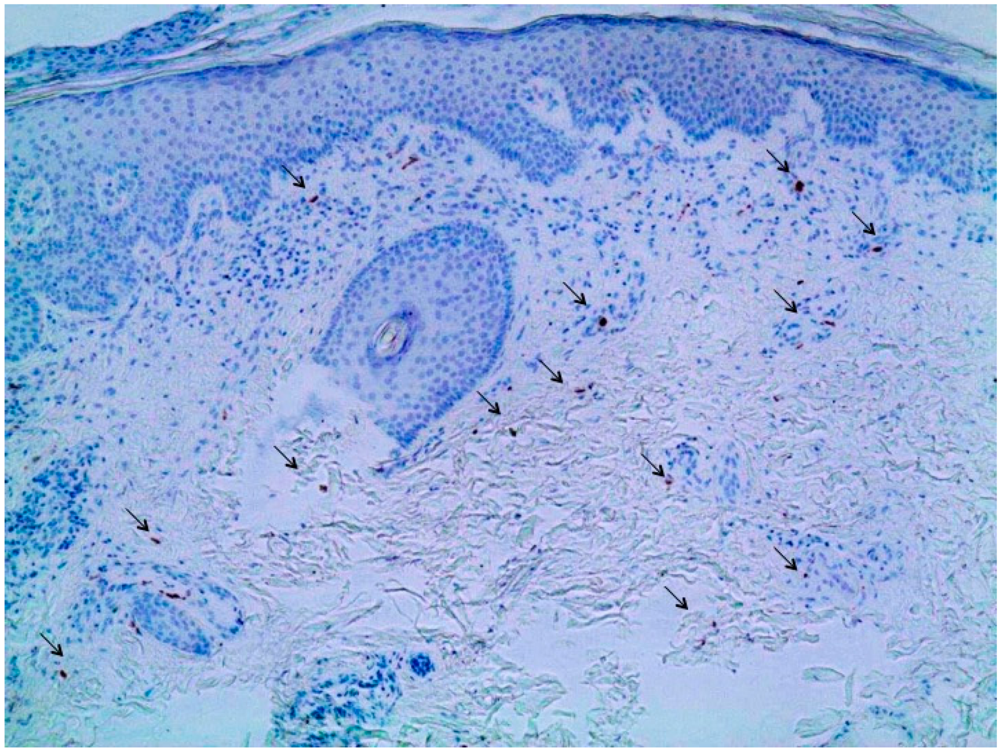
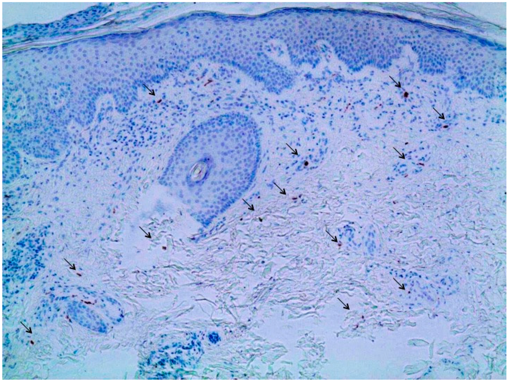
3. Case Report


4. Conclusions
Acknowledgments
Author Contributions
Conflicts of Interest
References
- Frohman, E.M.; Racke, M.K.; Raine, C.S. Multiple sclerosis—The plaque and its pathogenesis. N. Engl. J. Med. 2006, 354, 942–955. [Google Scholar] [CrossRef]
- Compston, A.; Coles, A. Multiple sclerosis. Lancet 2002, 359, 1221–1231. [Google Scholar] [CrossRef]
- Dhib-Jalbut, S.; Marks, S. Interferon-beta mechanisms of action in multiple sclerosis. Neurology 2010, 74, 17–24. [Google Scholar] [CrossRef]
- Walther, E.U.; Hohlfeld, R. Multiple sclerosis: Side effects of interferon beta therapy and their management. Neurology 1999, 53, 1622–1627. [Google Scholar] [CrossRef]
- Balak, D.M.; Hengstman, G.J.; Çakmak, A.; Thio, H.B. Cutaneous adverse events associated with disease-modifying treatment in multiple sclerosis: A systematic review. Mult. Scler. 2012, 18, 1705–1717. [Google Scholar] [CrossRef]
- Gaines, A.R.; Varricchio, F. Interferon beta-1b injection site reactions and necroses. Mult. Scler. 1998, 4, 70–73. [Google Scholar] [CrossRef]
- Buttmann, M.; Goebeler, M.; Toksoy, A.; Schmid, S.; Graf, W.; Berberich-Siebelt, F.; Rieckmann, P. Subcutaneous interferon-beta injections in patients with multiple sclerosis initiate inflammatory skin reactions by local chemokine induction. J. Neuroimmunol. 2005, 168, 175–182. [Google Scholar] [CrossRef]
- Ohata, U.; Hara, H.; Yoshitake, M.; Terui, T. Cutaneous reactions following subcutaneous beta-interferon-1b injection. J. Dermatol. 2010, 37, 179–181. [Google Scholar] [CrossRef]
- Elgart, G.W.; Sheremata, W.; Ahn, Y.S. Cutaneous reactions to recombinant human interferon beta-1b: The clinical and histologic spectrum. J. Am. Acad. Dermatol. 1997, 37, 553–558. [Google Scholar] [CrossRef]
- Feldmann, R.; Löw-Weiser, H.; Duschet, P.; Gschnait, F. Necrotizing cutaneous lesions caused by interferon beta injections in a patient with multiple sclerosis. Dermatology 1997, 195, 52–53. [Google Scholar] [CrossRef]
- Casoni, F.; Merelli, E.; Bedin, R.; Martella, A.; Cesinaro, A.; Bertolotto, A. Necrotizing skin lesions and NABs development in a multiple sclerosis patient treated with IFNbeta 1b. Mult. Scler. 2003, 9, 420–423. [Google Scholar] [CrossRef]
- Koontz, D.; Alshekhlee, A. Embolia cutis medicamentosa following interferon beta injection. Mult. Scler. 2007, 13, 1203–1204. [Google Scholar] [CrossRef]
- Weise, G.; Hupp, M.; Kerstan, A.; Buttmann, M. Lobular panniculitis and lipoatrophy of the thighs with interferon-β1a for intramuscular injection in a patient with multiple sclerosis. J. Clin. Neurosci. 2012, 19, 1312–1313. [Google Scholar] [CrossRef]
- Balak, D.M.; Hengstman, G.J.; Hajdarbegovic, E.; van den Brule, R.J.; Hupperts, R.M.; Thio, H.B. Prevalence of cutaneous adverse events associated with long-term disease-modifying therapy and their impact on health-related quality of life in patients with multiple sclerosis: A cross-sectional study. BMC Neurol. 2013, 13, 146. [Google Scholar] [CrossRef]
- Arnason, B.G. Long-term experience with interferon beta-1b (Betaferon) in multiple sclerosis. J. Neurol. 2005, 252, 28–33. [Google Scholar] [CrossRef]
- Nakamura, Y.; Kawachi, Y.; Furuta, J.; Otsuka, F. Severe local skin reactions to interferon beta-1b in multiple sclerosis-improvement by deep subcutaneous injection. Eur. J. Dermatol. 2008, 18, 579–582. [Google Scholar]
- Zecca, C.; Yawalkar, N.; Gobbi, C. Improvement of interferon-beta related skin reactions after diluent halving: first experience of five patients. Patient Prefer. Adher. 2012, 6, 565–567. [Google Scholar]
- Nielsen, N.M.; Frisch, M.; Rostgaard, K.; Wohlfahrt, J.; Hjalgrim, H.; Koch-Henriksen, N.; Melbye, M.; Westergaard, T. Autoimmune diseases in patients with multiple sclerosis and their first-degree relatives: a nationwide cohort study in Denmark. Mult. Scler. 2008, 14, 823–829. [Google Scholar] [CrossRef]
- Dobson, R.; Giovannoni, G. Autoimmune disease in people with multiple sclerosis and their relatives: A systematic review and meta-analysis. J. Neurol. 2013, 260, 1272–1285. [Google Scholar] [CrossRef]
- Munschauer, F.E.; Kinkel, R.P. Managing side effects of interferon-β in patients with relapsing-remitting multiple sclerosis. Clin. Ther. 1997, 19, 883–893. [Google Scholar] [CrossRef]
- La Mantia, L.; Capsoni, F. Psoriasis during interferon beta treatment for multiple sclerosis. Neurol. Sci. 2010, 31, 337–339. [Google Scholar] [CrossRef]
- López-Lerma, I.; Iranzo, P.; Herrero, C. New-onset psoriasis in a patient treated with interferon beta-1a. Br. J. Dermatol. 2009, 160, 716–717. [Google Scholar] [CrossRef]
- Ghoreschi, K.; Weigert, C.; Röcken, M. Immunopathogenesis and role of T cells in psoriasis. Clin. Dermatol. 2007, 25, 574–580. [Google Scholar] [CrossRef]
- Riol-Blanco, L.; Ordovas-Montanes, J.; Perro, M.; Naval, E.; Thiriot, A.; Alvarez, D.; Paust, S.; Wood, J.N.; von Andrian, U.H. Nociceptive sensory neurons drive interleukin-23-mediated psoriasiform skin inflammation. Nature 2014, 510, 157–161. [Google Scholar] [CrossRef]
- Gooderham, M.; Posso-De Los Rios, C.J.; Rubio-Gomez, G.A.; Papp, K. Interleukin-17 (IL-17) inhibitors in the treatment of plaque psoriasis: A review. Skin Ther. Lett. 2015, 20, 1–5. [Google Scholar]
- Axtell, R.C.; Raman, C.; Steinman, L. Interferon-β exacerbates Th17-mediated inflammatory disease. Trends Immunol. 2011, 32, 272–277. [Google Scholar] [CrossRef]
- Axtell, R.C.; Raman, C. Janus-like effects of type I interferon in autoimmune diseases. Immunol. Rev. 2012, 248, 23–35. [Google Scholar] [CrossRef]
- Arrue, I.; Saiz, A.; Ortiz-Romero, P.L.; Rodríguez-Peralto, J.L. Lupus-like reaction to interferon at the injection site: report of five cases. J. Cutan. Pathol. 2007, 34, 18–21. [Google Scholar] [CrossRef]
- Somani, A.K.; Swick, A.R.; Cooper, K.D.; McCormick, T.S. Severe dermatomyositis triggered by interferon beta-1a therapy and associated with enhanced type I interferon signaling. Arch. Dermatol. 2008, 144, 1341–1349. [Google Scholar] [CrossRef]
- Liu, Z.; Bethunaickan, R.; Huang, W.; Lodhi, U.; Solano, I.; Madaio, M.P.; Davidson, A. Interferon-α accelerates murine systemic lupus erythematosus in a T cell-dependent manner. Arthritis Rheum. 2011, 63, 219–229. [Google Scholar] [CrossRef]
- Hügle, T.; Gratzl, S.; Daikeler, T.; Frey, D.; Tyndall, A.; Walker, U.A. Sclerosing skin disorders in association with multiple sclerosis. Coincidence, underlying autoimmune pathology or interferon induced? Ann. Rheum. Dis. 2009, 68, 47–50. [Google Scholar] [CrossRef]
- Kocer, B.; Nazliel, B.; Oztas, M.; Batur, H.Z. Vitiligo and multiple sclerosis in a patient treated with interferon beta-1a: A case report. Eur. J. Neurol. 2009, 16, e78–e79. [Google Scholar] [CrossRef]
- Chakravarty, S.D.; Harris, M.E.; Schreiner, A.M.; Crow, M.K. Sarcoidosis triggered by interferon-beta treatment of multiple sclerosis: A case report and focused literature review. Semin. Arthritis Rheum. 2012, 42, 206–212. [Google Scholar] [CrossRef]
- Devonshire, V.; Arbizu, T.; Borre, B.; Lang, M.; Lugaresi, A.; Singer, B.; Verdun di Cantogno, E.; Cornelisse, P. Patient-rated suitability of a novel electronic device for self-injection of subcutaneous interferon beta-1a in relapsing multiple sclerosis: An international, single-arm, multicentre, Phase IIIb study. BMC Neurol. 2010, 10, 28. [Google Scholar] [CrossRef]
- Ghoreschi, K.; Brück, J.; Kellerer, C.; Deng, C.; Peng, H.; Rothfuss, O.; Hussain, R.Z.; Gocke, A.R.; Respa, A.; Glocova, I.; et al. Fumarates improve psoriasis and multiple sclerosis by inducing type II dendritic cells. J. Exp. Med. 2011, 208, 2291–2303. [Google Scholar] [CrossRef]
© 2015 by the authors; licensee MDPI, Basel, Switzerland. This article is an open access article distributed under the terms and conditions of the Creative Commons Attribution license (http://creativecommons.org/licenses/by/4.0/).
Share and Cite
Kolb-Mäurer, A.; Goebeler, M.; Mäurer, M. Cutaneous Adverse Events Associated with Interferon-β Treatment of Multiple Sclerosis. Int. J. Mol. Sci. 2015, 16, 14951-14960. https://doi.org/10.3390/ijms160714951
Kolb-Mäurer A, Goebeler M, Mäurer M. Cutaneous Adverse Events Associated with Interferon-β Treatment of Multiple Sclerosis. International Journal of Molecular Sciences. 2015; 16(7):14951-14960. https://doi.org/10.3390/ijms160714951
Chicago/Turabian StyleKolb-Mäurer, Annette, Matthias Goebeler, and Mathias Mäurer. 2015. "Cutaneous Adverse Events Associated with Interferon-β Treatment of Multiple Sclerosis" International Journal of Molecular Sciences 16, no. 7: 14951-14960. https://doi.org/10.3390/ijms160714951
APA StyleKolb-Mäurer, A., Goebeler, M., & Mäurer, M. (2015). Cutaneous Adverse Events Associated with Interferon-β Treatment of Multiple Sclerosis. International Journal of Molecular Sciences, 16(7), 14951-14960. https://doi.org/10.3390/ijms160714951
