The Anti-Inflammatory Effects of the Methanolic Extract and Fractions from Davilla elliptica St. Hil. (Dilleniaceae) on Bothrops jararaca Envenomation
Abstract
:1. Introduction
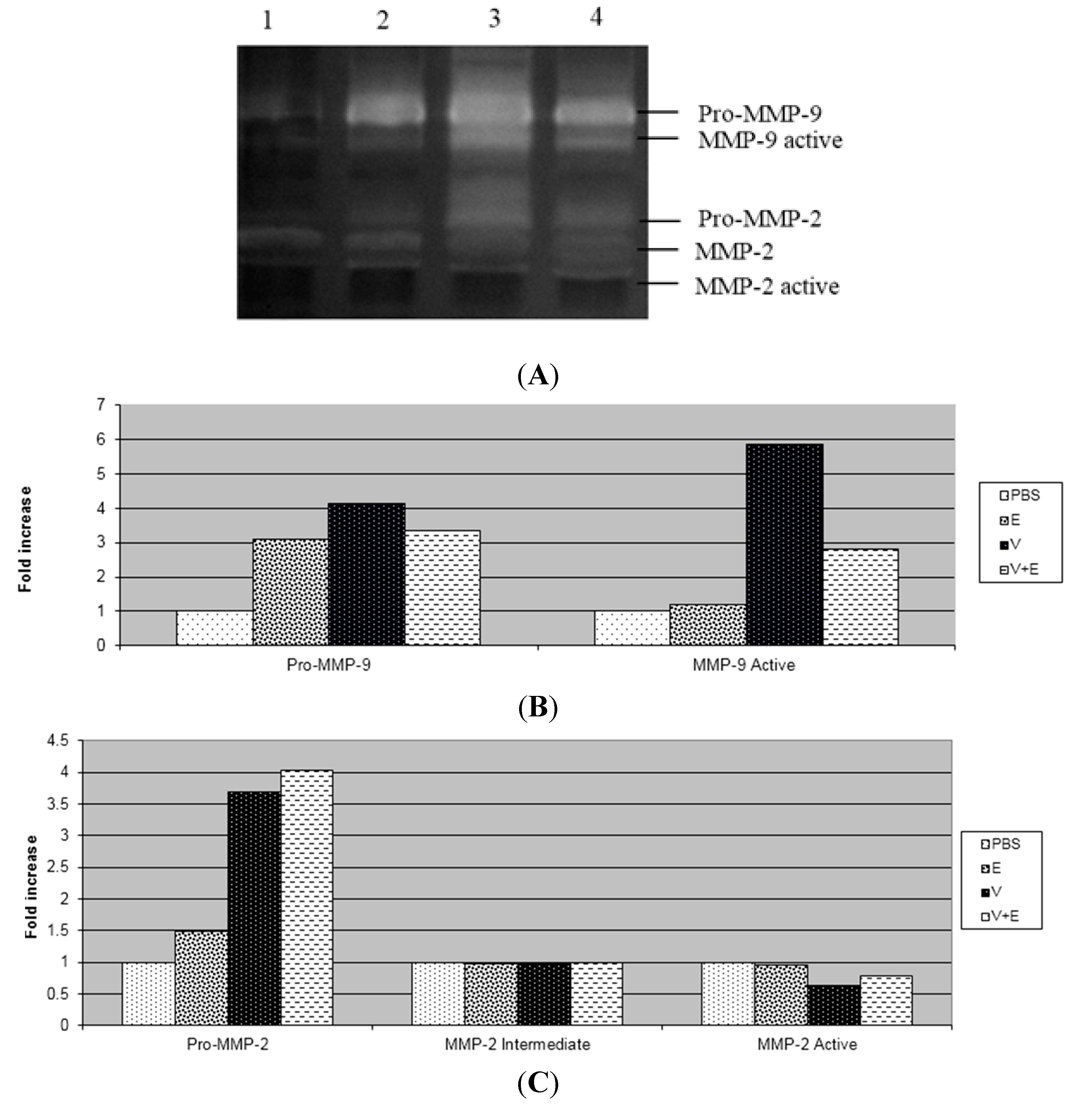
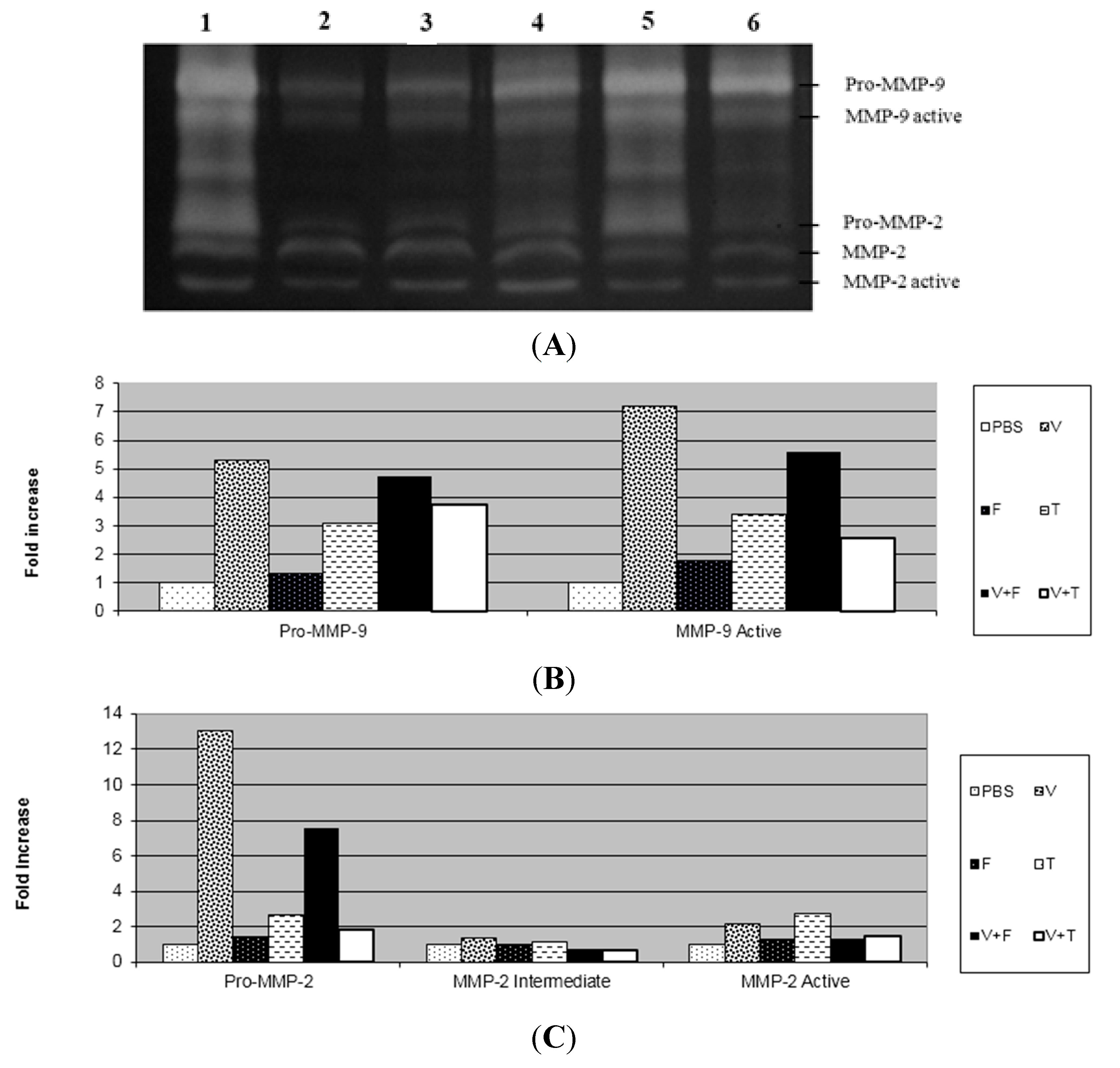
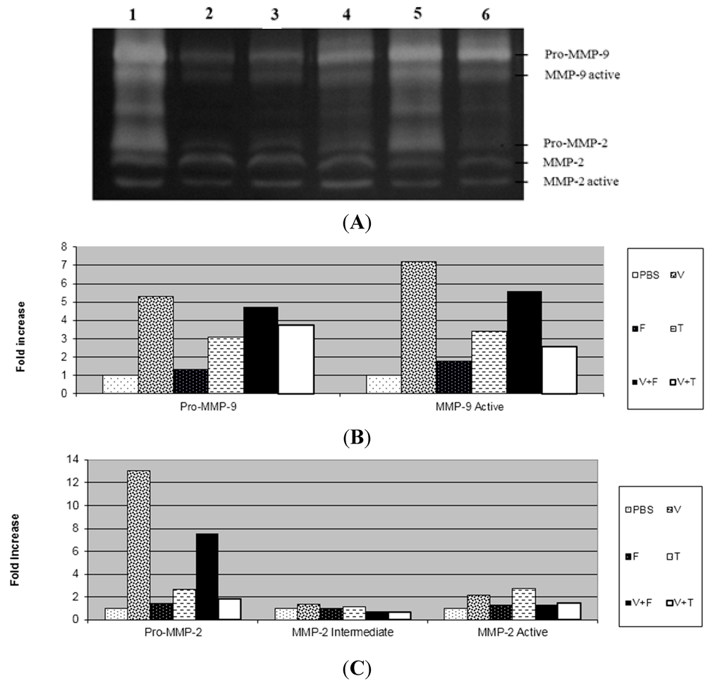
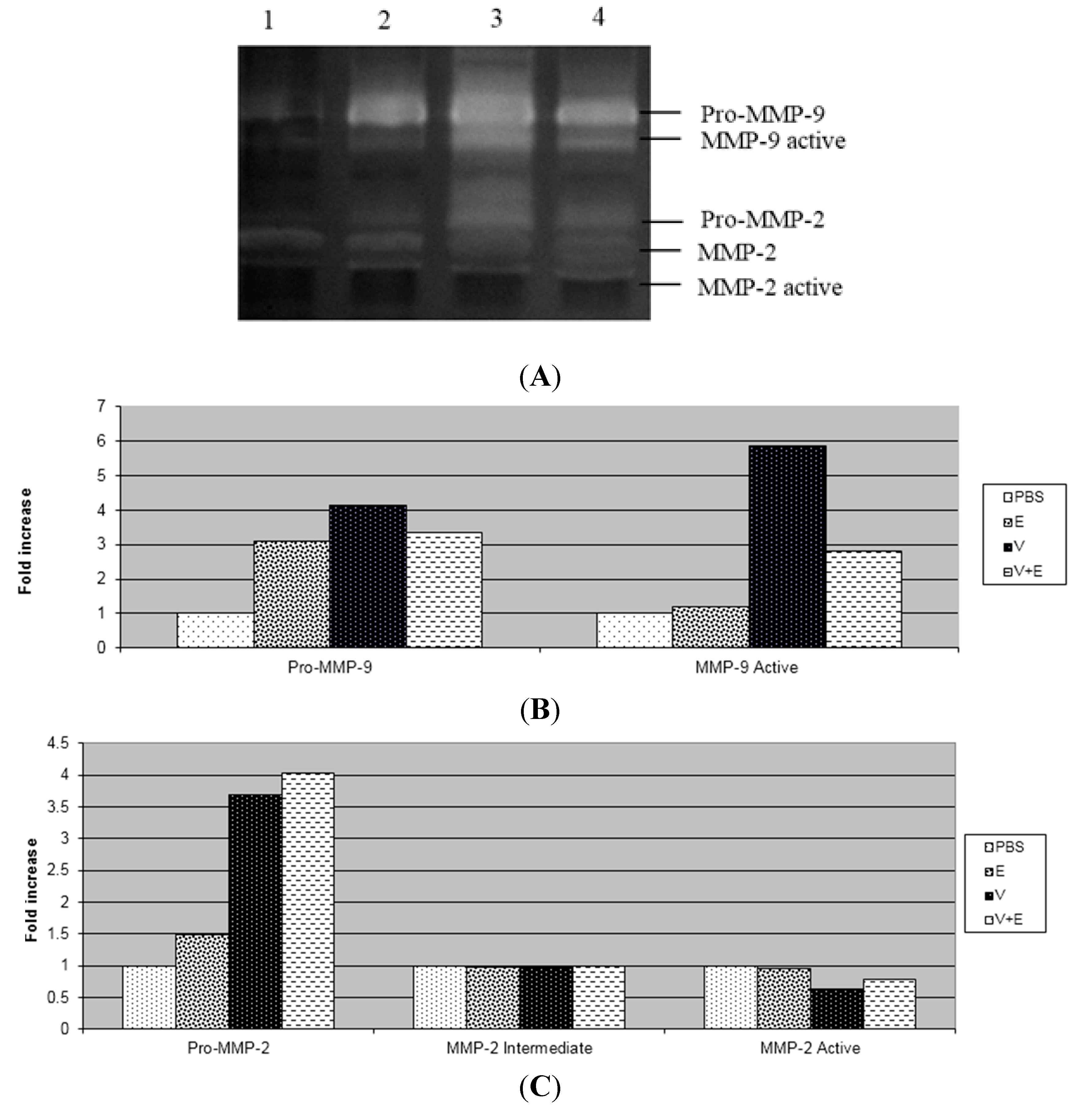
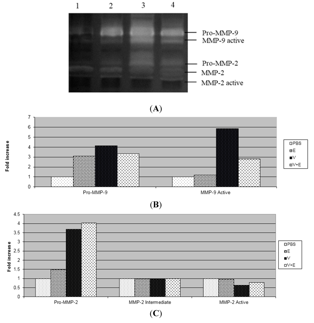
2. Results and Discussion
| Treatment | Dose (mg/kg) | 1st h | 2nd h | 3rd h | 4th h |
|---|---|---|---|---|---|
| Vehicle | – | 0.93 ± 0.19 | 1.65 ± 0.30 | 2.61 ± 0.21 | 2.83 ± 0.20 |
| Piroxicam | 30 | 0.29 ± 0.11 ** | 0.26 ± 0.04 ** | 0.83 ± 0.14 ** | 1.37 ± 0.24 * |
| Methanolic extract | 7.81 | 0.71 ± 0.12 | 0.83 ± 0.26 | 1.07 ± 0.25 * | 1.92 ± 0.13 |
| 15.62 | 0.30 ± 0.06 ** | 0.40 ± 0.07 ** | 0.88 ± 0.15 ** | 1.76 ± 0.21 ** | |
| 31.25 | 0.38 ± 0.01 ** | 0.50 ± 0.12 ** | 0.59 ± 0.12 ** | 1.01 ± 0.27 * |
| Treatment | Dose (mg/kg) | 1st h | 2nd h | 3rd h | 4th h |
|---|---|---|---|---|---|
| Vehicle | – | 0.53 ± 0.09 | 1.18 ± 0.20 | 1.92 ± 0.18 | 2.43 ± 0.20 |
| Piroxicam | 30 | 0.25 ± 0.05 * | 0.32 ± 0.05 ** | 0.71± 0.13 ** | 1.06 ± 0.19 ** |
| Flavonoids fraction | 15.62 | 0.46 ± 0.06 | 0.73 ± 0.13 | 1.53 ± 0.17 | 2.20 ± 0.19 |
| Treatment | Dose (mg/kg) | 1st h | 2nd h | 3rd h | 4th h |
|---|---|---|---|---|---|
| Vehicle | – | 0.55 ± 0.06 | 1.63 ± 0.24 | 2.71 ± 0.25 | 2.79 ± 0.22 |
| Piroxicam | 30 | 0.38 ± 0.08 | 0.49 ± 0.09 ** | 0.97 ± 0.08 ** | 1.12 ± 0.18 ** |
| Tannins fraction | 15.62 | 0.30 ± 0.04 * | 0.79 ± 0.06 * | 1.81 ± 0.20 ** | 2.75 ± 0.17 |



3. Experimental Section
3.1. Drugs and Venom
3.2. Dosage of Proteins
3.3. Plant
3.4. Animals
3.5. Carrageenan-Induced Hind Paw Oedema in Rats
3.6. Intravital Microscopy
3.7. Gelatin Zymography for MMP-2 and MMP-9
3.8. Statistical Analyses
4. Conclusions
Acknowledgments
Author Contributions
Conflicts of Interest
References
- Gutiérrez, J.M.; Rucavado, A. Snake venom metalloproteinases: Their role in the pathogenesis of local tissue damage. Biochimie 2000, 82, 841–850. [Google Scholar] [CrossRef]
- Gutiérrez, J.M. Efectos locales em El envenamiento ofídico en América Latina. In Animais Peçonhentos no Brasil. Biologia, Clínica e Terapeutica dos Acidentes; Cardoso, J.L.C., Franca, F.O.S., Wen, F.H., Málaque, C.M.S., Daddad, V., Eds.; Sarvier: São Paulo, Brazil, 2013; pp. 310–323. [Google Scholar]
- Kamiguti, A.S.; Hay, C.R.M.; Theakston, R.D.G.; Zuzel, M. Insights into the mechanism of haemorrhage caused by snake venom metalloproteinases. Toxicon 1996, 34, 627–642. [Google Scholar] [CrossRef]
- Maruyama, M.; Sugiki, M.; Yoshida, E.; Shimaya, K.; Mihara, H. Broad substrate specificity of snake venom fibrinolytic enzymes: Possible role in haemorrhage. Toxicon 1992, 30, 1387–1397. [Google Scholar] [CrossRef]
- Battelino, C.; Piazza, R.; Silva, A.M.M.; Cury, Y.; Farsky, S.H. Assessment of efficacy of bothropic antivenom therapy on microcirculatory effects induced by Bothrops jararaca snake venom. Toxicon 2003, 41, 583–593. [Google Scholar] [CrossRef]
- Rucavado, A.; Escalante, T.; Teixeira, C.F.; Fernandes, C.M.; Diaz, C.; Gutiérrez, J.M. Increments in cytokines and matrix metalloproteinases in skeletal muscle after injection of tissue-damaging toxins from the venom of the snake Bothrops asper. Mediat. Inflamm. 2002, 11, 121–128. [Google Scholar] [CrossRef] [PubMed]
- Sekhon, B.S. Matrix metalloproteinases—An overview. Res. Rep. Biol. 2010, 1, 1–20. [Google Scholar]
- Mors, W.; Nascimento, M.C.; Pereira, B.M.R.; Pereira, N.A. Plant natural products active against snakebite—The molecular approach. Phytochemistry 2000, 55, 627–642. [Google Scholar] [CrossRef]
- Silva, J.O.; Fernandes, R.S.; Ticli, F.K.; Oliveira, C.Z.; Mazzi, M.V.; Franco, J.J.; Giuliatti, S.; Pereira, P.S.; Soares, A.M.; Sampaio, S.V. Triterpenoid saponins, new metalloprotease snake venom inhibitors isolated from Penthaclethra macroloba. Toxicon 2007, 50, 283–291. [Google Scholar] [CrossRef] [PubMed]
- Pott, A.; Pott, V.J. Plantas Do Pantanal, 1st ed.; Editora da Embrapa: Corumbá, Brazil, 1994. [Google Scholar]
- Rodrigues, C.M.; Rinado, D.; Sannomiya, M.; dos Santos, L.C.; Montoro, P.; Piacente, S.; Pizza, C.; Vilegas, W. High-performance liquid chromatographic separation and identification of polyphenolic compounds from the infusion of Davilla elliptica St. Hill. Phytochem. Anal. 2008, 19, 17–24. [Google Scholar] [CrossRef] [PubMed]
- Azevedo, A.O.; Campos, J.J.; Galdino, G.S.; Braga, F.C.; Duarte, I.D.G.; Peres, A.C. Antinociceptive effect from Davilla elliptica hydroalcoholic extract. J. Ethnopharmacol. 2007, 113, 354–356. [Google Scholar]
- Campos, J.J.; Azevedo, A.O.; Filho, J.D.S.; Perez, A.C. Bioguided isolation of myricetrin-3-O-β-galactopyranoside with antinociceptive activity from the aerial part of Davilla elliptica St. Hil. J. Ethnopharmacol. 2013, 150, 270–274. [Google Scholar] [CrossRef] [PubMed]
- Nishijima, C.M.; Rodrigues, C.M.; Silva, M.A.; Lopes-Ferreira, M.; Vilegas, W.; Hiruma-Lima, C.A. Anti-hemorrhagic activity of four Brazilian vegetable species against Bothrops jararaca venom. Molecules 2009, 14, 1072–1080. [Google Scholar] [CrossRef] [PubMed]
- Kushima, H.; Nishijima, C.M.; Rodrigues, C.M.; Rinaldo, D.; Sassá, M.F.; Bauab, T.M.; di Stasi, L.C.; Carlos, I.Z.; Vilegas, W.; Hiruma-Lima, C.A. Davilla elliptica and Davilla nitida: Gastroprotective, anti-inflammatory immunomodulatory and anti-Helicobacter pylori action. J. Ethnopharmacol. 2009, 123, 430–438. [Google Scholar] [CrossRef] [PubMed]
- Eggum, B.O.; Pedersen, B.; Jacobsen, I. The influence of dietary tea, coffee and cocoa on protein and energy utilization of soya-bean meal and barley in rats. Br. J. Nutr. 1983, 50, 197–205. [Google Scholar] [CrossRef] [PubMed]
- Aw, T.L.; Swanson, B.G. Influence of tannin on Phaseolus vulgaris protein digestibility and quality. J. Food Sci. 1985, 50, 67–71. [Google Scholar] [CrossRef]
- Scalbert, A.; Déprez, S.; Mila, I.; Albrecht, A.M.; Huneau, J.F.; Rabot, S. Proanthocyanidins and human health: Systemic effects and local effects in the gut. Biofactors 2000, 13, 115–120. [Google Scholar] [CrossRef] [PubMed]
- Gutierrez, J.M.; Lomonte, L.B. Local tissue damage induced by Bothrops snake venoms. A review. Memorias Inst. Butantan 1989, 51, 211–223. [Google Scholar]
- Garcia-Leme, J.; Hamamura, L.; Leite, M.P.; Rocha e Silva, M. Pharmacological analysis of the acute inflammatory process induced in the rat’s paw by local injection of carrageenin and by heating. Br. J. Pharmacol. 1973, 48, 88–96. [Google Scholar] [CrossRef] [PubMed]
- Granger, D.N.; Kubes, P. The microcirculation and inflammation: Modulation of leukocyte-endothelial cell adhesion. J. Leukoc. Biol. 1994, 55, 662–675. [Google Scholar] [PubMed]
- Koivunen, A.L.; Maise, P.; Konttinen, Y.T.; Sandholm, M. Gelatinolytic activity in tracheal aspirates of horses with chronic obstructive pulmonary disease. Acta Vet. Scand. 1997, 38, 17–27. [Google Scholar] [PubMed]
- Raulo, S.M.; Sorsa, T.; Tervahartiala, T.; Pirila, E.; Maise, P. MMP-9 as a marker of inflammation in tracheal epithelial lining fluid (TELF) and in bronchoalveolar fluid (BALF) of COPD horses. Equine Vet. J. 2001, 33, 128–136. [Google Scholar] [CrossRef] [PubMed]
- Saravia-Otten, P.; Frisan, T.; Thelestam, M.; Gutiérrez, J.M. Membrane independent activation fibroblast proMMP-2 by snake venom: A novel roles for venom proteinases. Toxicon 2004, 44, 749–764. [Google Scholar] [CrossRef] [PubMed]
- Paixão-Cavalcante, D.; van den Berg, C.W.; Gonçalves-de-Andrade, R.M.; Fernandes-Pedrosa, M.F.; Okamoto, C.K.; Tambourgi, D.V. Role of matrix metalloproteinases in Ha CaT keratinocytes apoptosis induced by loxoceles venom sphingomyelinase. J. Investig. Dermatol. 2007, 127, 1410–1418. [Google Scholar] [CrossRef] [PubMed]
- Bawadi, H.A.; Bansode, R.R.; Trappey, I.I.A.; Truax, R.E.; Losso, J.N. Inhibition of Caco-2 colon, MCF-7 and Hs578T breast, and DU 145 prostatic cancer cell proliferation by water-soluble Black bean condensed tannins. Cancer Lett. 2005, 218, 153–162. [Google Scholar] [CrossRef] [PubMed]
- Bradford, M.M. A rapid and sensitive method for the quantitation of microgram quantities of protein utilizing the principle of protein-dye binding. Anal. Biochem. 1976, 72, 248–254. [Google Scholar] [CrossRef]
- Henriques, M.G.; Silva, P.M.; Martins, M.A.; Flores, C.A.; Cunha, F.Q.; Assrey-Filho, J.; Cordeiro, R.S. Mouse paw edema. A NEM model for inflammation? Braz. J. Med. Biol. Res. 1987, 20, 243–249. [Google Scholar]
- Baez, S. An open cremaster muscle preparation for the study of blood vessels by in vivo microscopy. Microvasc. Res. 1973, 5, 384–394. [Google Scholar] [CrossRef]
- Lopes-Ferreira, M.; Moura-da-Silva, A.M.; Piran-Soares, A.A.; Angulo, Y.; Lomonte, B.; Gutierrez, J.M.; Farsky, S.H.P. Hemostatic effects induced by Thalassophryne nattereri fish venom: A model of endothelium-mediated blood flow impairment. Toxicon 2002, 40, 1141–1147. [Google Scholar] [CrossRef]
© 2015 by the authors; licensee MDPI, Basel, Switzerland. This article is an open access article distributed under the terms and conditions of the Creative Commons Attribution license (http://creativecommons.org/licenses/by/4.0/).
Share and Cite
Nishijima, C.M.; Delella, F.K.; Rodrigues, C.M.; Rinaldo, D.; Lopes-Ferreira, M.V.d.A.; Da Rocha, L.R.M.; Vilegas, W.; Felisbino, S.L.; Hiruma-Lima, C.A. The Anti-Inflammatory Effects of the Methanolic Extract and Fractions from Davilla elliptica St. Hil. (Dilleniaceae) on Bothrops jararaca Envenomation. Int. J. Mol. Sci. 2015, 16, 12454-12466. https://doi.org/10.3390/ijms160612454
Nishijima CM, Delella FK, Rodrigues CM, Rinaldo D, Lopes-Ferreira MVdA, Da Rocha LRM, Vilegas W, Felisbino SL, Hiruma-Lima CA. The Anti-Inflammatory Effects of the Methanolic Extract and Fractions from Davilla elliptica St. Hil. (Dilleniaceae) on Bothrops jararaca Envenomation. International Journal of Molecular Sciences. 2015; 16(6):12454-12466. https://doi.org/10.3390/ijms160612454
Chicago/Turabian StyleNishijima, Catarine Massucato, Flavia Karina Delella, Clenilson Martins Rodrigues, Daniel Rinaldo, Monica Valdyrce dos Anjos Lopes-Ferreira, Lucia Regina Machado Da Rocha, Wagner Vilegas, Sergio Luis Felisbino, and Clélia Akiko Hiruma-Lima. 2015. "The Anti-Inflammatory Effects of the Methanolic Extract and Fractions from Davilla elliptica St. Hil. (Dilleniaceae) on Bothrops jararaca Envenomation" International Journal of Molecular Sciences 16, no. 6: 12454-12466. https://doi.org/10.3390/ijms160612454
APA StyleNishijima, C. M., Delella, F. K., Rodrigues, C. M., Rinaldo, D., Lopes-Ferreira, M. V. d. A., Da Rocha, L. R. M., Vilegas, W., Felisbino, S. L., & Hiruma-Lima, C. A. (2015). The Anti-Inflammatory Effects of the Methanolic Extract and Fractions from Davilla elliptica St. Hil. (Dilleniaceae) on Bothrops jararaca Envenomation. International Journal of Molecular Sciences, 16(6), 12454-12466. https://doi.org/10.3390/ijms160612454
