High Expression of SOX2 Is Associated with Poor Prognosis in Patients with Salivary Gland Adenoid Cystic Carcinoma
Abstract
:1. Introduction
2. Results
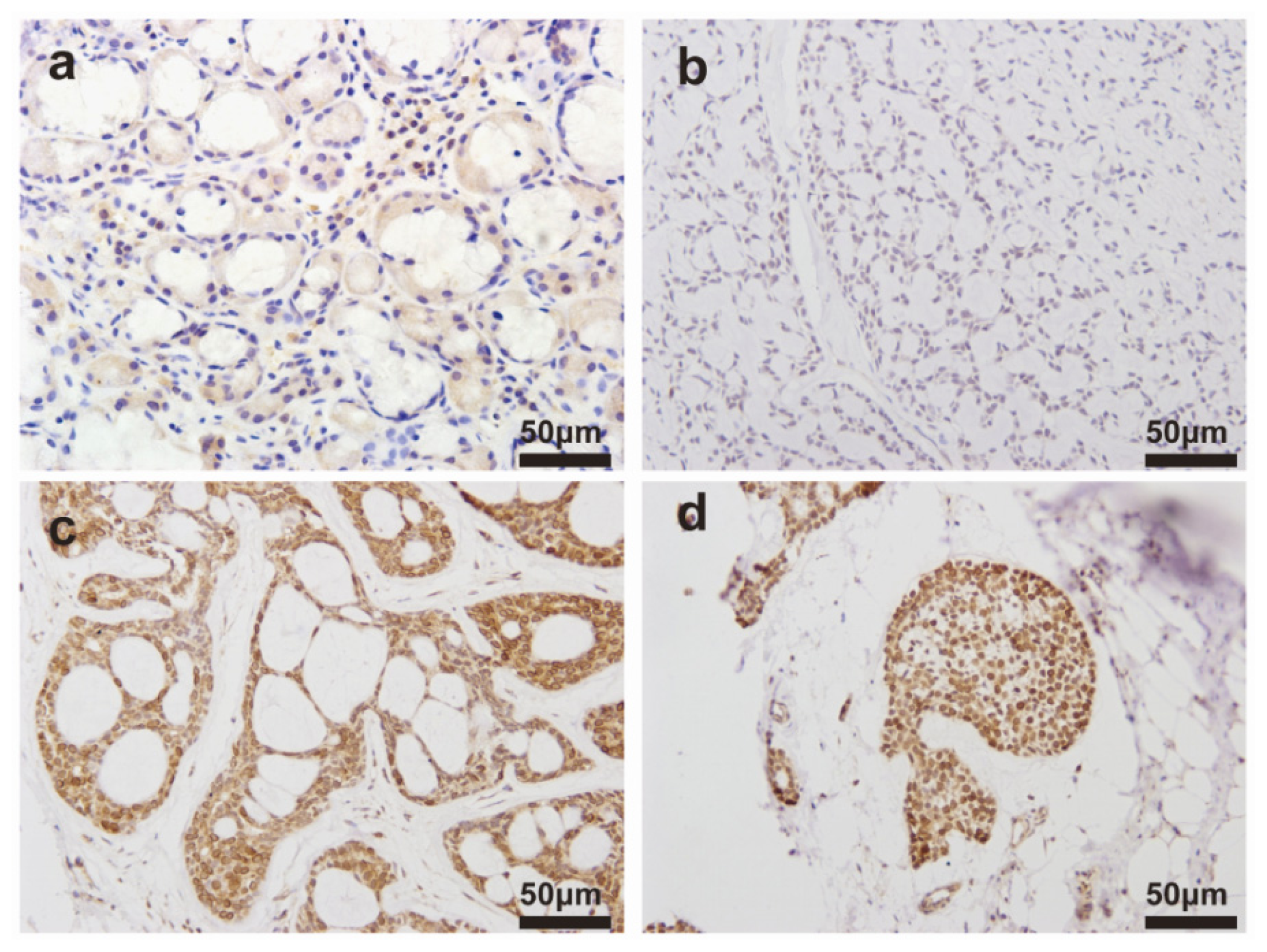
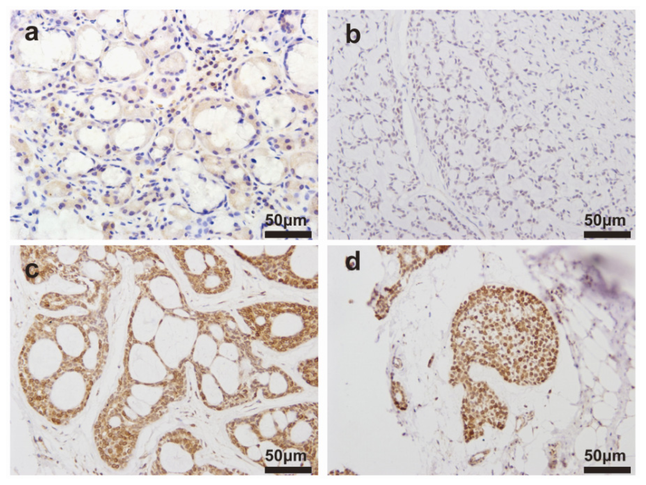
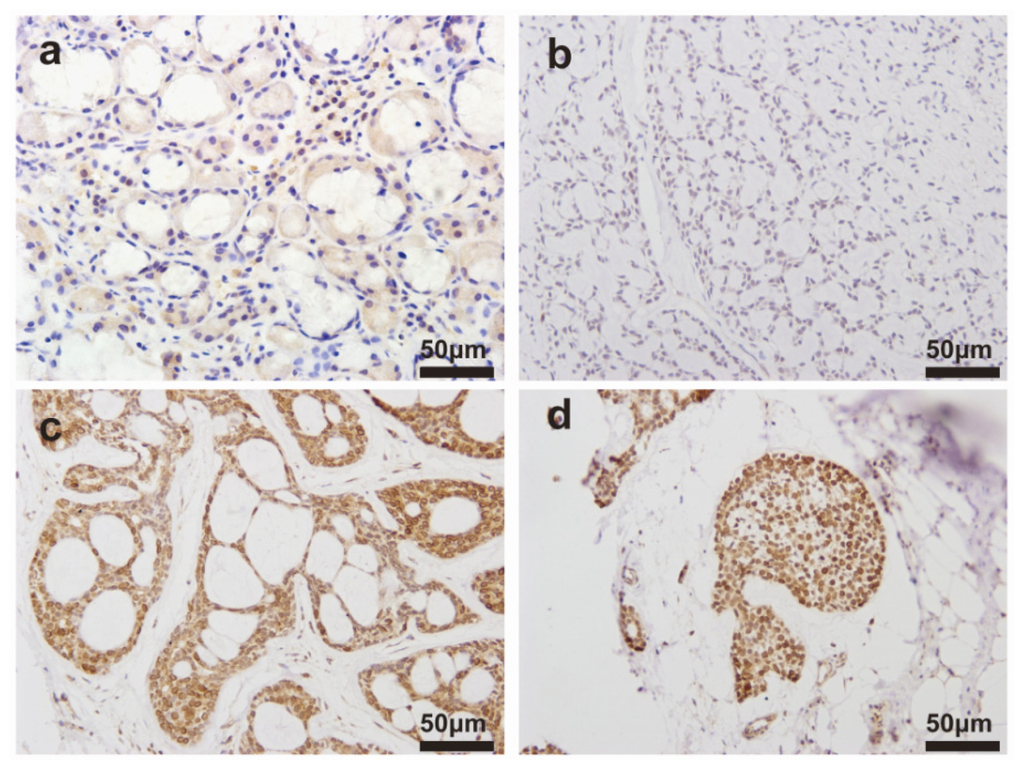
2.1. Expression of Sex Determining Region Y-BOX2 (SOX2) in Adenoid Cystic Carcinomas (ACC) Tissue and Non-Cancerous Tissue
2.2. Association between the Expression of SOX2 and Clinicopathological Features
2.3. SOX2 Expression and Prognostic Relevance
3. Discussion
4. Experimental Section
4.1. Patients
4.2. Immunohistochemistry and Scoring
4.3. Western Blotting Analysis
4.4. RNA Extraction, Reverse Transcription and Real-Time Quantitative PCR (RT-qPCR)
4.5. Statistical Analysis
5. Conclusions
Supplementary Information
ijms-15-08393-s001.pdfAcknowledgments
Conflicts of Interest
- Author ContributionsZhou, Q. conceived and designed the experiments. Dai, W. performed the experiments, and wrote the paper. Sun, C. contributed reagents/materials/analysis tools, and is responsible for study supervision. Tan, X. is responsible for analyzing data.
References
- Renehan, A.; Gleave, E.N.; Hancock, B.D.; Smith, P.; McGurk, M. Long-term follow-up of over 1000 patients with salivary gland tumours treated in a single centre. Br. J. Surg 1996, 83, 1750–1754. [Google Scholar]
- Laurie, S.A.; Ho, A.L.; Fury, M.G.; Sherman, E.; Pfister, D.G. Systemic therapy in the management of metastatic or locally recurrent adenoid cystic carcinoma of the salivary glands: A systematic review. Lancet Oncol 2011, 12, 815–824. [Google Scholar]
- Yang, X.; Dai, J.; Li, T.; Zhang, P.; Ma, Q.; Li, Y.; Zhou, J.; Lei, D. Expression of EMMPRIN in adenoid cystic carcinoma of salivary glands: Correlation with tumor progression and patients’ prognosis. Oral Oncol 2010, 46, 755–760. [Google Scholar]
- Li, X.; Xu, Y.; Chen, Y.; Chen, S.; Jia, X.; Sun, T.; Liu, Y.; Xiang, R.; Li, N. SOX2 promotes tumor metastasis by stimulating epithelial-to-mesenchymal transition via regulation of WNT/β-catenin signal network. Cancer Lett 2013, 336, 379–389. [Google Scholar]
- Mani, S.A.; Guo, W.; Liao, M.J.; Eaton, E.N.; Ayyanan, A.; Zhou, A.Y.; Brooks, M.; Reinhard, F.; Zhang, C.C.; Shipitsin, M.; et al. The epithelial-mesenchymal transition generates cells with properties of stem cells. Cell 2008, 133, 704–715. [Google Scholar]
- Sheridan, C.; Kishimoto, H.; Fuchs, R.K.; Mehrotra, S.; Bhat-Nakshatri, P.; Turner, C.H.; Goulet, R., Jr.; Badve, S.; Nakshatri, H. CD44+/CD24− breast cancer cells exhibit enhanced invasive properties: An early step necessary for metastasis. Breast Cancer Res 2006, 8, R59. [Google Scholar]
- Haraguchi, N.; Inoue, H.; Tanaka, F.; Mimori, K.; Utsunomiya, T.; Sasaki, A.; Mori, M. Cancer stem cells in human gastrointestinal cancers. Hum. Cell 2006, 19, 24–29. [Google Scholar]
- Zhou, J.; Wulfkuhle, J.; Zhang, H.; Gu, P.; Yang, Y.; Deng, J.; Margolick, J.B.; Liotta, L.A.; Petricoin, E., 3rd; Zhang, Y. Activation of the PTEN/mTOR/STAT3 pathway in breast cancer stem-like cells is required for viability and maintenance. Proc. Natl. Acad. Sci. USA 2007, 104, 16158–16163. [Google Scholar]
- Charafe-Jauffret, E.; Ginestier, C.; Iovino, F.; Wicinski, J.; Cervera, N.; Finetti, P.; Hur, M.H.; Diebel, M.E.; Monville, F.; Dutcher, J.; et al. Breast cancer cell lines contain functional cancer stem cells with metastatic capacity and a distinct molecular signature. Cancer Res 2009, 69, 1302–1313. [Google Scholar]
- Haraguchi, N.; Utsunomiya, T.; Inoue, H.; Tanaka, F.; Mimori, K.; Barnard, G.F.; Mori, M. Characterization of a side population of cancer cells from human gastrointestinal system. Stem Cells 2006, 24, 506–513. [Google Scholar]
- Liu, S.Y.; Zheng, P.S. High aldehyde dehydrogenase activity identifies cancer stem cells in human cervical cancer. Oncotarget 2013, 4, 2462–2475. [Google Scholar]
- Dean, M.; Fojo, T.; Bates, S. Tumour stem cells and drug resistance. Nat. Rev. Cancer 2005, 5, 275–284. [Google Scholar]
- Bleau, A.M.; Hambardzumyan, D.; Ozawa, T.; Fomchenko, E.I.; Huse, J.T.; Brennan, C.W.; Holland, E.C. PTEN/PI3K/AKT pathway regulates the side population phenotype and ABCG2 activity in glioma tumor stem-like cells. Cell Stem Cell 2009, 4, 226–235. [Google Scholar]
- Zhou, J.H.; Hanna, E.Y.; Roberts, D.; Weber, R.S.; Bell, D. ALDH1 immunohistochemical expression and its significance in salivary adenoid cystic carcinoma. Head Neck 2013, 35, 575–578. [Google Scholar]
- Fujita, S.; Ikeda, T. Cancer stem-like cells in adenoid cystic carcinoma of salivary glands: Relationship with morphogenesis of histological variants. J. Oral Pathol. Med 2012, 41, 207–213. [Google Scholar]
- Zhu, Y.; Li, Y.; Jun Wei, J.W.; Liu, X. The role of sox genes in lung morphogenesis and cancer. Int. J. Mol. Sci 2012, 13, 15767–15783. [Google Scholar]
- Schepers, G.E.; Teasdale, R.D.; Koopman, P. Twenty pairs of SOX: Extent, homology, and nomenclature of the mouse and human SOX transcription factor gene families. Dev. Cell 2002, 3, 167–170. [Google Scholar]
- Chen, Y.; Shi, L.; Zhang, L.; Li, R.; Liang, J.; Yu, W.; Sun, L.; Yang, X.; Wang, Y.; Zhang, Y.; et al. The molecular mechanism governing the oncogenic potential of SOX2 in breast cancer. J. Biol. Chem 2008, 283, 17969–17978. [Google Scholar]
- Chen, S.; Xu, Y.; Chen, Y.; Li, X.; Mou, W.; Wang, L.; Liu, Y.; Reisfeld, R.A.; Xiang, R.; Lv, D.; et al. SOX2 gene regulates the transcriptional network of oncogenes and affects tumorigenesis of human lung cancer cells. PLoS One 2012, 7, e36326. [Google Scholar]
- Jia, X.; Li, X.; Xu, Y.; Zhang, S.; Mou, W.; Liu, Y.; Lv, D.; Liu, C.H.; Tan, X.; Xiang, R.; et al. SOX2 promotes tumorigenesis and increases the anti-apoptotic property of human prostate cancer cell. J. Mol. Cell Biol 2011, 3, 230–238. [Google Scholar]
- Zhang, X.; Yu, H.; Yang, Y.; Zhu, R.; Bai, J.; Peng, Z.; He, Y.; Chen, L.; Chen, W.; Fang, D.; et al. SOX2 in gastric carcinoma, but not Hath1, is related to patients’ clinicopathological features and prognosis. J. Gastrointest. Surg 2010, 14, 1220–1226. [Google Scholar]
- Pham, D.L.; Scheble, V.; Bareiss, P.; Fischer, A.; Beschorner, C.; Adam, A.; Bachmann, C.; Neubauer, H.; Boesmueller, H.; Kanz, L.; et al. SOX2 expression and prognostic significance in ovarian carcinoma. Int. J. Gynecol. Pathol 2013, 32, 358–367. [Google Scholar]
- Girouard, S.D.; Laga, A.C.; Mihm, M.C.; Scolyer, R.A.; Thompson, J.F.; Zhan, Q.; Widlund, H.R.; Lee, C.W.; Murphy, G.F. SOX2 contributes to melanoma cell invasion. Lab. Investig 2012, 92, 362–370. [Google Scholar]
- Dong, C.; Wilhelm, D.; Koopman, P. SOX genes and cancer. Cytogenet. Genome Res 2004, 105, 442–447. [Google Scholar]
- Graham, J.D.; Hunt, S.M.; Tran, N.; Clarke, C.L. Regulation of the expression and activity by progestins of a member of the SOX gene family of transcriptional modulators. J. Mol. Endocrinol 1999, 22, 295–304. [Google Scholar]
- Pramoonjago, P.; Baras, A.S.; Moskaluk, C.A. Knockdown of SOX4 expression by RNAi induces apoptosis in ACC3 cells. Oncogene 2006, 25, 5626–5639. [Google Scholar]
- Matheu, A.; Collado, M.; Wise, C.; Manterola, L.; Cekaite, L.; Tye, A.J.; Canamero, M.; Bujanda, L.; Schedl, A.; Cheah, K.S.; et al. Oncogenicity of the developmental transcription factor SOX9. Cancer Res 2012, 72, 1301–1315. [Google Scholar]
- Ivanov, S.V.; Panaccione, A.; Nonaka, D.; Prasad, M.L.; Boyd, K.L.; Brown, B.; Guo, Y.; Sewell, A.; Yarbrough, W.G. Diagnostic SOX10 gene signatures in salivary adenoid cystic and breast basal-like carcinomas. Br. J. Cancer 2013, 109, 444–451. [Google Scholar]
- Ikushima, H.; Todo, T.; Ino, Y.; Takahashi, M.; Miyazawa, K.; Miyazono, K. Autocrine TGF-β signaling maintains tumorigenicity of glioma-initiating cells through Sry-related HMG-box factors. Cell Stem Cell 2009, 5, 504–514. [Google Scholar]
- Bareiss, P.M.; Paczulla, A.; Wang, H.; Schairer, R.; Wiehr, S.; Kohlhofer, U.; Rothfuss, O.C.; Fischer, A.; Perner, S.; Staebler, A.; et al. SOX2 expression associates with stem cell state in human ovarian carcinoma. Cancer Res 2013, 73, 5544–5555. [Google Scholar]
- Cox, J.L.; Wilder, P.J.; Desler, M.; Rizzino, A. Elevating SOX2 levels deleteriously affects the growth of medulloblastoma and glioblastoma cells. PLoS One 2012, 7, e44087. [Google Scholar]
- Leis, O.; Eguiara, A.; Lopez-Arribillaga, E.; Alberdi, M.J.; Hernandez-Garcia, S.; Elorriaga, K.; Pandiella, A.; Rezola, R.; Martin, A.G. SOX2 expression in breast tumours and activation in breast cancer stem cells. Oncogene 2012, 31, 1354–1365. [Google Scholar]
- Chen, S.; Li, X.; Lu, D.; Xu, Y.; Mou, W.; Wang, L.; Chen, Y.; Liu, Y.; Li, L.Y.; Liu, L.; et al. SOX2 regulates apoptosis through MAP4K4-survivin signaling pathway in human lung cancer cells. Carcinogenesis 2013. [Google Scholar] [CrossRef]
- Liu, K.; Lin, B.; Zhao, M.; Yang, X.; Chen, M.; Gao, A.; Liu, F.; Que, J.; Lan, X. The multiple roles for SOX2 in stem cell maintenance and tumorigenesis. Cell Signal 2013, 25, 1264–1271. [Google Scholar]
- Lin, F.; Lin, P.; Zhao, D.; Chen, Y.; Xiao, L.; Qin, W.; Li, D.; Chen, H.; Zhao, B.; Zou, H.; et al. SOX2 targets cyclinE, p27 and survivin to regulate androgen-independent human prostate cancer cell proliferation and apoptosis. Cell Prolif 2012, 45, 207–216. [Google Scholar]
- Rybak, A.P.; Tang, D. SOX2 plays a critical role in EGFR-mediated self-renewal of human prostate cancer stem-like cells. Cell Signal 2013, 25, 2734–2742. [Google Scholar]
- Hussenet, T.; Dali, S.; Exinger, J.; Monga, B.; Jost, B.; Dembele, D.; Martinet, N.; Thibault, C.; Huelsken, J.; Brambilla, E.; et al. SOX2 is an oncogene activated by recurrent 3q26.3 amplifications in human lung squamous cell carcinomas. PLoS One 2010, 5, e8960. [Google Scholar]
- Justilien, V.; Walsh, M.P.; Ali, S.A.; Thompson, E.A.; Murray, N.R.; Fields, A.P. The PRKCI and SOX2 oncogenes are coamplified and cooperate to activate hedgehog signaling in lung squamous cell carcinoma. Cancer Cell 2014, 25, 139–151. [Google Scholar]
- Shimoda, M.; Sugiura, T.; Imajyo, I.; Ishii, K.; Chigita, S.; Seki, K.; Kobayashi, Y.; Shirasuna, K. The T-box transcription factor Brachyury regulates epithelial-mesenchymal transition in association with cancer stem-like cells in adenoid cystic carcinoma cells. BMC Cancer 2012, 12, 377. [Google Scholar]
- Sun, C.; Sun, L.; Li, Y.; Kang, X.; Zhang, S.; Liu, Y. SOX2 expression predicts poor survival of hepatocellular carcinoma patients and it promotes liver cancer cell invasion by activating Slug. Med. Oncol 2013, 30, 503. [Google Scholar]
- Neumann, J.; Bahr, F.; Horst, D.; Kriegl, L.; Engel, J.; Luque, R.M.; Gerhard, M.; Kirchner, T.; Jung, A. SOX2 expression correlates with lymph-node metastases and distant spread in right-sided colon cancer. BMC Cancer 2011, 11, 518. [Google Scholar]
- Yang, F.; Gao, Y.; Geng, J.; Qu, D.; Han, Q.; Qi, J.; Chen, G. Elevated expression of SOX2 and FGFR1 in correlation with poor prognosis in patients with small cell lung cancer. Int. J. Clin. Exp. Pathol 2013, 6, 2846–2854. [Google Scholar]
- Tang, X.B.; Shen, X.H.; Li, L.; Zhang, Y.F.; Chen, G.Q. SOX2 overexpression correlates with poor prognosis in laryngeal squamous cell carcinoma. Auris Nasus Larynx 2013, 40, 481–486. [Google Scholar]
- Schrock, A.; Goke, F.; Wagner, P.; Bode, M.; Franzen, A.; Braun, M.; Huss, S.; Agaimy, A.; Ihrler, S.; Menon, R.; et al. Sex determining region Y-BOX2 (SOX2) amplification is an independent indicator of disease recurrence in sinonasal cancer. PLoS One 2013, 8, e59201. [Google Scholar]
- Bourguignon, L.Y.; Wong, G.; Earle, C.; Chen, L. Hyaluronan-CD44v3 interaction with Oct4-Sox2-Nanog promotes miR-302 expression leading to self-renewal, clonal formation, and cisplatin resistance in cancer stem cells from head and neck squamous cell carcinoma. J. Biol. Chem 2012, 287, 32800–32824. [Google Scholar]
- Ye, F.; Huang, G.; Fu, M.; Ma, Y.; Kang, H. Expression of SOX2 protein and its clinical significance in laryngeal carcinoma. Lin Chuang Er Bi Yan Hou Tou Jing Wai Ke Za Zhi 2013, 27, 136–139. (in Chinese). [Google Scholar]
- Du, L.; Yang, Y.; Xiao, X.; Wang, C.; Zhang, X.; Wang, L.; Li, W.; Zheng, G.; Wang, S.; Dong, Z. SOX2 nuclear expression is closely associated with poor prognosis in patients with histologically node-negative oral tongue squamous cell carcinoma. Oral Oncol 2011, 47, 709–713. [Google Scholar]
- Brown, R.S.; Wahl, R.L. Overexpression of GLUT-1 glucose transporter in human breast cancer. An immunohistochemical study. Cancer 1993, 72, 2979–2985. [Google Scholar]
- Bustin, S.A.; Benes, V.; Garson, J.A.; Hellemans, J.; Huggett, J.; Kubista, M.; Mueller, R.; Nolan, T.; Pfaffl, M.W.; Shipley, G.L.; et al. The MIQE guidelines: Minimum information for publication of quantitative real-time PCR experiments. Clin. Chem 2009, 55, 611–622. [Google Scholar]
- Bustin, S. Transparency of reporting in molecular diagnostics. Int. J. Mol. Sci 2013, 14, 15878–15884. [Google Scholar]




| Clinicopathological variables | Number of patients (%) | High SOX2 expression | Low SOX2 expression | p value |
|---|---|---|---|---|
| Age | ||||
| <50 years | 46 | 25 | 21 | 0.186 |
| ≥50 years | 85 | 57 | 28 | |
| Gender | ||||
| Male | 75 | 44 | 31 | 0.362 |
| Female | 56 | 38 | 18 | |
| Histological type | ||||
| Cribriform/Tubular | 102 | 61 | 41 | 0.278 |
| Solid | 29 | 21 | 8 | |
| T classification | ||||
| I or II | 77 | 40 | 37 | 0.003 |
| III or IV | 54 | 42 | 12 | |
| Distant metastasis | ||||
| No | 88 | 47 | 41 | 0.002 |
| Yes | 43 | 35 | 8 | |
| Nerve invasion | ||||
| No | 36 | 19 | 17 | 0.163 |
| Yes | 95 | 63 | 32 | |
| Group | Univariable analysis | Multivariable analysis | ||||
|---|---|---|---|---|---|---|
| HR | 95% CI | p | HR | 95% CI | p | |
| OS | ||||||
| Age (<50 vs. ≥50 years) | 1.21 | 0.66–2.10 | 0.514 | Not included in model | ||
| Gender (Male vs. Female) | 1.38 | 0.89–2.33 | 0.440 | Not included in model | ||
| Histotological type (Cribriform/Tubular vs. solid) | 1.29 | 1.17–2.99 | 0.509 | Not included in model | ||
| T classification (I,II vs. III,IV) | 5.02 | 2.19–9.41 | <0.001 | 2.11 | 1.07–4.26 | 0.264 |
| Distant metastasis (Yes vs. No) | 8.05 | 4.27–13.60 | <0.001 | 5.49 | 2.91–9.99 | 0.011 |
| Nerve invasion (Yes vs. No) | 2.31 | 1.38–5.23 | 0.025 | 1.35 | 1.01–4.33 | 0.123 |
| SOX2 expression (High vs. Low) | 4.71 | 2.08–8.63 | <0.001 | 2.65 | 1.21–5.20 | 0.035 |
| DFS | ||||||
| Age (<50 vs. ≥50 years) | 1.09 | 1.00–1.82 | 0.711 | Not included in model | ||
| Gender (Male vs. Female) | 1.31 | 0.91–2.00 | 0.489 | Not included in model | ||
| Histotological type (Cribriform/Tubular vs. solid) | 1.30 | 1.41–3.20 | 0.222 | Not included in model | ||
| T classification (I,II vs. III,IV) | 4.73 | 2.02–8.25 | <0.001 | 1.85 | 1.10–4.31 | 0.287 |
| Distant metastasis (Yes vs. No) | 7.81 | 3.44–12.50 | <0.001 | 5.32 | 2.31–9.05 | 0.021 |
| Nerve invasion (Yes vs. No) | 2.22 | 1.09–4.82 | 0.029 | 1.34 | 1.00–3.40 | 0.199 |
| SOX2 expression (High vs. Low) | 4.55 | 1.99–8.35 | <0.001 | 2.57 | 1.44–5.07 | 0.042 |
© 2014 by the authors; licensee MDPI, Basel, Switzerland This article is an open access article distributed under the terms and conditions of the Creative Commons Attribution license (http://creativecommons.org/licenses/by/3.0/).
Share and Cite
Dai, W.; Tan, X.; Sun, C.; Zhou, Q. High Expression of SOX2 Is Associated with Poor Prognosis in Patients with Salivary Gland Adenoid Cystic Carcinoma. Int. J. Mol. Sci. 2014, 15, 8393-8406. https://doi.org/10.3390/ijms15058393
Dai W, Tan X, Sun C, Zhou Q. High Expression of SOX2 Is Associated with Poor Prognosis in Patients with Salivary Gland Adenoid Cystic Carcinoma. International Journal of Molecular Sciences. 2014; 15(5):8393-8406. https://doi.org/10.3390/ijms15058393
Chicago/Turabian StyleDai, Wei, Xuexin Tan, Changfu Sun, and Qing Zhou. 2014. "High Expression of SOX2 Is Associated with Poor Prognosis in Patients with Salivary Gland Adenoid Cystic Carcinoma" International Journal of Molecular Sciences 15, no. 5: 8393-8406. https://doi.org/10.3390/ijms15058393
APA StyleDai, W., Tan, X., Sun, C., & Zhou, Q. (2014). High Expression of SOX2 Is Associated with Poor Prognosis in Patients with Salivary Gland Adenoid Cystic Carcinoma. International Journal of Molecular Sciences, 15(5), 8393-8406. https://doi.org/10.3390/ijms15058393
