Expression of the MT1 Melatonin Receptor in Ovarian Cancer Cells
Abstract
:1. Introduction
2. Results and Discussion
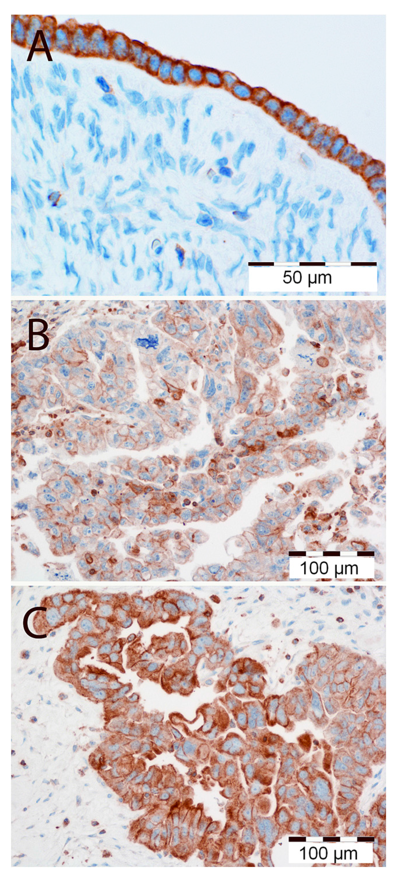
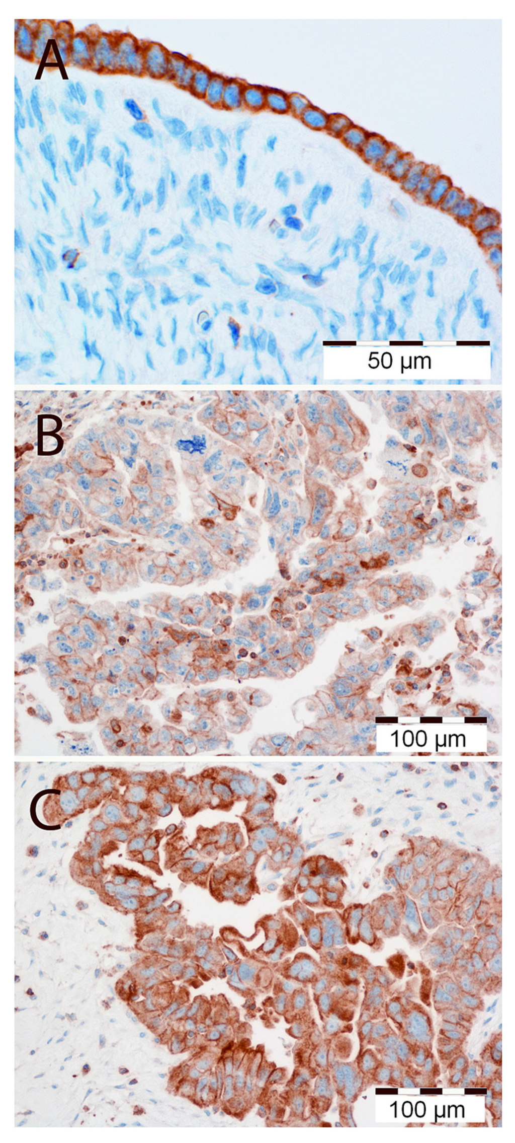
2.1. Results

| Clinical and Pathological Parameters | OS | |||||
|---|---|---|---|---|---|---|
| All | Patients with Serous Tumors | |||||
| HR | 95% CI | p-Value | HR | 95% CI | p-Value | |
| MT1CM (“low” vs. “high”) | 0.9384 | 0.5648–1.559 | 0.806 | 0.8742 | 0.5080–1.504 | 0.6274 |
| MT1M (“low” vs. “high”) | 1.326 | 0.7778–2.262 | 0.2997 | 1.216 | 0.693–2.132 | 0.4959 |
| Ki-67 (“low” vs. “high”) | 0.5927 | 0.3525–0.9964 | 0.0484 | 0.4273 | 0.2354–0.7758 | 0.0052 |
| Stage (I–II vs. III–IV) | 1.799 | 1.039–3.114 | 0.0360 | 1.799 | 0.9547–3.391 | 0.0693 |
| Tumor grade (G1–G2 vs. G3) | 1.019 | 0.6147–1.689 | 0.9425 | 1.165 | 0.6728–2.018 | 0.5852 |
| Age (≤50 vs. >50) | 1.115 | 0.6674–1.863 | 0.6777 | 1.335 | 0.7575–2.352 | 0.9987 |
| Cytoreduction (“optimal” vs. “nonoptimal”) | 3.258 | 1.926–5.512 | <0.0001 | 2.662 | 1.482–4.783 | 0.0011 |

2.2. Discussion

3. Experimental Section
3.1. Patients and Tissue Samples
3.2. Cell Lines
| Parameters | All Patients | Patients with Serous Cancers | ||
|---|---|---|---|---|
| N = 84 | Percent (%) | N = 65 | Percent (%) | |
| Tumor Type | ||||
| serous | 65 | 77.3 | 65 | 100 |
| endometrioid | 14 | 16.7 | − | − |
| clear-cell | 2 | 2.4 | − | − |
| mucinous | 3 | 3.6 | − | − |
| Age | ||||
| ≤50 | 37 | 44 | 27 | 41.5 |
| >50 | 47 | 56 | 38 | 58.5 |
| Stage | ||||
| I, II | 20 | 23.8 | 11 | 16.9 |
| III, IV | 64 | 76.2 | 54 | 83.1 |
| Tumor Grade | ||||
| G1 | 13 | 15.5 | 7 | 10.8 |
| G2 | 35 | 41.6 | 29 | 44.6 |
| G3 | 36 | 42.9 | 29 | 44.6 |
| Lymph Nodes | ||||
| pN+ | 3 | 3.6 | 0 | 0 |
| pN− | 81 | 96.4 | 65 | 100 |
| Cytoreduction | ||||
| optimal | 21 | 25 | 13 | 20 |
| nonoptimal | 63 | 75 | 52 | 80 |
| Ki-67 | ||||
| ≤50% | 42 | 50 | 35 | 53.8 |
| >50% | 42 | 50 | 30 | 46.2 |
3.3. Immunohistochemistry (IHC)
3.4. Evaluation of IHC Reaction
| Points | A | Points | B |
|---|---|---|---|
| Percentage of Positive Cells | Intensity of Color Reaction | ||
| 0 | No positive cell | 0 | No color reaction |
| 1 | <10% | 1 | Low |
| 2 | 11%–25% | 2 | Moderate |
| 3 | 26%–50% | 3 | High |
| 4 | 51%–80% | ||
| 5 | >80% |
3.5. Western Blot
3.6. Immunofluorscence (IF)
3.7. Statistical Analysis
4. Conclusions
Acknowledgments
Author Contributions
Conflicts of Interest
References
- Koshiyama, M.; Matsumura, N.; Konishi, I. Recent concepts of ovarian carcinogenesis: Type I and type II. Biomed. Res. Int. 2014. [Google Scholar] [CrossRef]
- WHO. World Cancer Report 2014; World Health Organization: Geneva, Switzerland, 2014. [Google Scholar]
- Siegel, R.; Ward, E.; Brawley, O.; Jemal, A. Cancer statistics, 2011: The impact of eliminating socioeconomic and racial disparities on premature cancer deaths. CA Cancer J. Clin. 2011, 61, 212–236. [Google Scholar]
- Mok, S.C.; Kwong, J.; Welch, W.R.; Samimi, G.; Ozbun, L.; Bonome, T.; Birrer, M.J.; Berkowitz, R.S.; Wong, K.K. Etiology and pathogenesis of epithelial ovarian cancer. Dis. Markers 2007, 23, 367–376. [Google Scholar]
- Nowak-Markwitz, E.; Spaczyński, M. Rak jajnika—Nowe spojrzenie na pochodzenie I histogenezę. Ginekol. Pol. 2012, 83, 454–457. [Google Scholar]
- Jayson, G.C.; Kohn, E.C.; Kitchener, H.C.; Ledermann, J.A. Ovarian cancer. Lancet 2014, 384, 1376–1388. [Google Scholar]
- Singh, M.; Jadhav, H.R. Melatonin: Functions and ligands. Drug Discov. Today 2014, 19, 1410–1418. [Google Scholar]
- Jablonska, K.; Pula, B.; Zemla, A.; Owczarek, T.; Wojnar, A.; Rys, J.; Ambicka, A.; Podhorska-Okolow, M.; Ugorski, M.; Dziegiel, P. Expression of melatonin receptor MT1 in cells of human invasive ductal breast carcinoma. J. Pineal Res. 2013, 54, 334–345. [Google Scholar]
- Shimozuma, M.; Tokuyama, R.; Tatehara, S.; Umeki, H.; Ide, S.; Mishima, K.; Saito, I.; Satomura, K. Expression and cellular localization of melatonin-synthesizing enzymes in rat and human salivary glands. Histochem. Cell Biol. 2011, 135, 389–396. [Google Scholar]
- Chen, W.Y.; Giobbie-Hurder, A.; Gantman, K.; Savoie, J.; Scheib, R.; Parker, L.M.; Schernhammer, E.S. A randomized, placebo-controlled trial of melatonin on breast cancer survivors: Impact on sleep, mood, and hot flashes. Breast Cancer Res. Treat. 2014, 145, 381–388. [Google Scholar]
- Jablonska, K.; Zemla, A.; Dzięgiel, P. Rola melatoniny w nowotworach gruczołu piersiowego, jajnika oraz endometrium. Postępy Biol. Komórki 2011, 38, 177–194. [Google Scholar]
- Petranka, J.; Baldwin, W.; Biermann, J.; Jayadev, S.; Barrett, J.C.; Murphy, E. The oncostatic action of melatonin in an ovarian carcinoma cell line. J. Pineal Res. 1999, 26, 129–136. [Google Scholar]
- Shiu, S.Y.; Law, I.C.; Lau, K.W.; Tam, P.C.; Yip, A.W.; Ng, W.T. Melatonin slowed the early biochemical progression of hormone-refractory prostate cancer in a patient whose prostate tumor tissue expressed MT1 receptor subtype. J. Pineal Res. 2003, 35, 177–182. [Google Scholar]
- Chen, L.D.; Leal, B.Z.; Reiter, R.J.; Abe, M.; Sewerynek, E.; Melchiorri, D.; Meltz, M.L.; Poeggeler, B. Melatonin’s inhibitory effect on growth of ME-180 human cervical cancer cells is not related to intracellular glutathione concentrations. Cancer Lett. 1995, 91, 153–159. [Google Scholar]
- Slominski, A.; Pruski, D. Melatonin inhibits proliferation and melanogenesis in rodent melanoma cells. Exp. Cell Res. 1993, 206, 189–194. [Google Scholar]
- Danielczyk, K.; Dziegiel, P. MT1 melatonin receptors and their role in the oncostatic action of melatonin. Postepy Hig. Med. Dosw. 2009, 63, 425–434. [Google Scholar]
- Danielczyk, K.; Dziegiel, P. The expression of MT1 melatonin receptor and Ki-67 antigen in melanoma malignum. Anticancer Res. 2009, 29, 3887–3895. [Google Scholar]
- Persengiev, S.P.; Kyurkchiev, S. Selective effect of melatonin on the proliferation of lymphoid cells. Int. J. Biochem. 1993, 25, 441–444. [Google Scholar]
- Cos, S.; Verduga, R.; Fernández-Viadero, C.; Megías, M.; Crespo, D. Effects of melatonin on the proliferation and differentiation of human neuroblastoma cells in culture. Neurosci. Lett. 1996, 216, 113–116. [Google Scholar]
- Hill, S.M.; Spriggs, L.L.; Simon, M.A.; Muraoka, H.; Blask, D.E. The growth inhibitory action of melatonin on human breast cancer cells is linked to the estrogen response system. Cancer Lett. 1992, 64, 249–256. [Google Scholar]
- Lemus-Wilson, A.; Kelly, P.A.; Blask, D.E. Melatonin blocks the stimulatory effects of prolactin on human breast cancer cell growth in culture. Br. J. Cancer 1995, 72, 1435–1440. [Google Scholar]
- Grant, S.G.; Melan, M.A.; Latimer, J.J.; Witt-Enderby, P.A. Melatonin and breast cancer: Cellular mechanisms, clinical studies and future perspectives. Expert Rev. Mol. Med. 2009, 11, e5. [Google Scholar]
- Mailliet, F.; Audino, V.; Malpaux, B.; Bonnaud, A.; Delagrange, P.; Migaud, M.; Barrett, P.; Viaud-Massuard, M.C.; Lesieur, D.; Lefoulon, F.; et al. Molecular pharmacology of the ovine melatonin receptor: Comparison with recombinant human MT1 and MT2 receptors. Biochem. Pharmacol. 2004, 67, 667–677. [Google Scholar]
- Slominski, R.M.; Reiter, R.J.; Schlabritz-Loutsevitch, N.; Ostrom, R.S.; Slominski, A.T. Melatonin membrane receptors in peripheral tissues: Distribution and functions. Mol. Cell. Endocrinol. 2012, 351, 152–166. [Google Scholar]
- Slominski, A.T.; Kim, T.K.; Takeda, Y.; Janjetovic, Z.; Brozyna, A.A.; Skobowiat, C.; Wang, J.; Postlethwaite, A.; Li, W.; Tuckey, R.C.; et al. RORα and RORγ are expressed in human skin and serve as receptors for endogenously produced noncalcemic 20-hydroxy- and 20,23-dihydroxy vitamin D. FASEB J. 2014, 28, 2775–2789. [Google Scholar]
- Ram, P.T.; Dai, J.; Yuan, L.; Dong, C.; Kiefer, T.L.; Lai, L.; Hill, S.M. Involvement of the mt1 melatonin receptor in human breast cancer. Cancer Lett. 2002, 179, 141–150. [Google Scholar]
- Yuan, L.; Collins, A.R.; Dai, J.; Dubocovich, M.L.; Hill, S.M. MT1 melatonin receptor overexpression enhances the growth suppressive effect of melatonin in human breast cancer cells. Mol. Cell. Endocrinol. 2002, 192, 147–156. [Google Scholar]
- Witt-Enderby, P.A.; Bennett, J.; Jarzynka, M.J.; Firestine, S.; Melan, M.A. Melatonin receptors and their regulation: Biochemical and structural mechanisms. Life Sci. 2003, 72, 2183–2198. [Google Scholar]
- Wurtman, R.J.; Axelrrod, J.; Chu, E.W. Melatonin, a pineal substance: Effect on the rat ovary. Science 1963, 141, 277–278. [Google Scholar]
- Tamura, H.; Nakamura, Y.; Korkmaz, A.; Manchester, L.C.; Tan, D.X.; Sugino, N.; Reiter, R.J. Melatonin and the ovary: Physiological and pathophysiological implications. Fertil. Steril. 2009, 92, 328–343. [Google Scholar]
- Soares, J.M., Jr.; Simoes, M.J.; Oshima, C.T.; Mora, O.A.; de Lima, G.R.; Baracat, E.C. Pinealectomy changes rat ovarian interstitial cell morphology and decreases progesterone receptor expression. Gynecol. Endocrinol. 2003, 17, 115–123. [Google Scholar]
- Yie, S.M.; Brown, G.M.; Liu, G.Y.; Collins, J.A.; Daya, S.; Hughes, E.G.; Foster, W.; Younglai, E.V. Melatonin and steroids in human pre-ovulatory follicular fluid: Seasonal variations and granulosa cell steroid production. Hum. Reprod. 1995, 10, 50–55. [Google Scholar]
- Niles, L.P.; Wang, J.; Shen, L.; Lobb, D.K.; Younglai, E.V. Melatonin receptor mRNA expression in human granulosa cells. Mol. Cell. Endocrinol. 1999, 156, 107–110. [Google Scholar]
- Bartsch, H.; Buchberger, A.; Franz, H.; Bartsch, C.; Maidonis, I.; Mecke, D.; Bayer, E. Effect of melatonin and pineal extracts on human ovarian and mammary tumor cells in a chemosensitivity assay. Life Sci. 2000, 67, 2953–2960. [Google Scholar]
- Futagami, M.; Sato, S.; Sakamoto, T.; Yokoyama, Y.; Saito, Y. Effects of melatonin on the proliferation and cis-diamminedichloroplatinum (CDDP) sensitivity of cultured human ovarian cancer cells. Gynecol. Oncol. 2001, 82, 544–549. [Google Scholar]
- Chuffa, L.G.; Fioruci-Fontanelli, B.A.; Mendes, L.O.; Fávaro, W.J.; Pinheiro, P.F.; Martinez, M.; Martinez, F.E. Characterization of chemically induced ovarian carcinomas in an ethanol-preferring rat model: Influence of long-term melatonin treatment. PLoS One 2013, 8, e81676. [Google Scholar]
- Barone, R.M.; Das Gupta, T.K. Role of pinealectomy on Walker 256 carcinoma in rats. J. Surg. Oncol. 1970, 2, 313–322. [Google Scholar]
- Lapin, V. Influence of simultaneous pinealectomy and thymectomy on the growth and formation of metastases of the Yoshida sarcoma in rats. Exp. Pathol. (Jena) 1974, 9, 108–112. [Google Scholar]
- Sanchez-Barcelo, E.J.; Mediavilla, M.D.; Alonso-Gonzalez, C.; Reiter, R.J. Melatonin uses in oncology: Breast cancer prevention and reduction of the side effects of chemotherapy and radiation. Expert Opin. Investig. Drugs 2012, 21, 819–831. [Google Scholar]
- Sanchez-Barcelo, E.J.; Mediavilla, M.D.; Alonso-Gonzalez, C.; Rueda, N. Breast cancer therapy based on melatonin. Recent Pat. Endocr. Metab. Immune Drug Discov. 2012, 6, 108–116. [Google Scholar]
- Izykowska, I.; Cegielski, M.; Gebarowska, E.; Podhorska-Okolow, M.; Piotrowska, A.; Zabel, M.; Dziegiel, P. Effect of melatonin on human keratinocytes and fibroblasts subjected to UVA and UVB radiation in vitro. In Vivo 2009, 23, 739–745. [Google Scholar]
- Cohen, M.; Roselle, D.; Chabner, B.; Schmidt, T.J.; Lippman, M. Evidence for a cytoplasmic melatonin receptor. Nature 1978, 274, 894–895. [Google Scholar]
- Clemens, J.W.; Jarzynka, M.J.; Witt-Enderby, P.A. Down-regulation of mt1 melatonin receptors in rat ovary following estrogen exposure. Life Sci. 2001, 69, 27–35. [Google Scholar]
- Dillon, D.C.; Easley, S.E.; Asch, B.B.; Cheney, R.T.; Brydon, L.; Jockers, R.; Winston, J.S.; Brooks, J.S.; Hurd, T.; Asc, H.L. Differential expression of high-affinity melatonin receptors (MT1) in normal and malignant human breast tissue. Am. J. Clin. Pathol. 2002, 118, 451–458. [Google Scholar]
- Girgert, R.; Hanf, V.; Emons, G.; Gründker, C. Membrane-bound melatonin receptor MT1 down-regulates estrogen responsive genes in breast cancer cells. J. Pineal Res. 2009, 47, 23–31. [Google Scholar]
- Lai, L.; Yuan, L.; Cheng, Q.; Dong, C.; Mao, L.; Hill, S.M. Alteration of the MT1 melatonin receptor gene and its expression in primary human breast tumors and breast cancer cell lines. Breast Cancer Res. Treat. 2009, 118, 293–305. [Google Scholar]
- Hill, S.M.; Blask, D.E.; Xiang, S.; Yuan, L.; Mao, L.; Dauchy, R.T.; Dauchy, E.M.; Frasch, T.; Duplesis, T. Melatonin and associated signaling pathways that control normal breast epithelium and breast cancer. J. Mammary Gland Biol. Neoplasia 2011, 16, 235–245. [Google Scholar]
- Garzetti, G.G.; Ciavattini, A.; Goteri, G.; de Nictolis, M.; Stramazzotti, D.; Lucarini, G.; Biagini, G. Ki67 antigen immunostaining (MIB 1 monoclonal antibody) in serous ovarian tumors: Index of proliferative activity with prognostic significance. Gynecol. Oncol. 1995, 56, 169–174. [Google Scholar]
- Concin, N.; Hefler, L.; van Bavel, J.; Mueller-Holzner, E.; Zeimet, A.; Daxenbichler, G.; Speiser, P.; Hacker, N.; Marth, C. Biological markers in pT1 and pT2 ovarian cancer with lymph node metastases. Gynecol. Oncol. 2003, 89, 9–15. [Google Scholar]
- Wu, Y.H.; Zhou, J.N.; van Heerikhuize, J.; Jockers, R.; Swaab, D.F. Decreased MT1 melatonin receptor expression in the suprachiasmatic nucleus in aging and Alzheimer’s disease. Neurobiol. Aging 2007, 28, 1239–1247. [Google Scholar]
- Hill, S.M.; Cheng, C.; Yuan, L.; Mao, L.; Jockers, R.; Dauchy, B.; Blask, D.E. Age-related decline in melatonin and its MT1 receptor are associated with decreased sensitivity to melatonin and enhanced mammary tumor growth. Curr. Aging Sci. 2013, 6, 125–133. [Google Scholar]
- Sanchez-Hidalgo, M.; de la Lastra, C.A.; Carrascosa-Salmoral, M.P.; Naranjo, M.C.; Gomez-Corvera, A.; Caballero, B.; Guerrero, J.M. Age-related changes in melatonin synthesis in rat extrapineal tissues. Gerontology 2009, 44, 28–34. [Google Scholar]
- Sánchez-Hidalgo, M.; Guerrero Montávez, J.M.; Carrascosa-Salmoral, M.; Naranjo Gutierrez Mdel, C.; Lardone, P.J.; de la Lastra Romero, C.A. Decreased MT1 and MT2 melatonin receptor expression in extrapineal tissues of the rat during physiological aging. J. Pineal Res. 2009, 46, 29–35. [Google Scholar]
- Le Page, C.; Huntsman, D.G.; Provencher, D.M.; Mes-Masson, A.M. Predictive and prognostic protein biomarkers in epithelial ovarian cancer: Recommendation for future studies. Cancers (Basel) 2010, 2, 913–954. [Google Scholar]
- Mills, E.; Wu, P.; Seely, D.; Guyatt, G. Melatonin in the treatment of cancer: A systematic review of randomized controlled trials and meta-analysis. J. Pineal Res. 2005, 39, 360–366. [Google Scholar]
- Saez, M.C.; Barriga, C.; Garcia, J.J.; Rodriguez, A.B.; Masot, J.; Duran, E.; Ortega, E. Melatonin increases the survival time of animals with untreated mammary tumours: Neuroendocrine stabilization. Mol. Cell. Biochem. 2005, 278, 15–20. [Google Scholar]
- Munkarah, A.R.; Hallum, A.V.; Morris, M.; Burke, T.W.; Levenback, C.; Atkinson, E.N.; Wharton, J.T. Prognostic significance of residual disease in patients with stage IV epithelial ovarian cancer. Gynecol. Oncol. 1997, 64, 13–17. [Google Scholar]
- Treeck, O.; Haldar, C.; Ortmann, O. Antiestrogens modulate MT1 melatonin receptor expression in breast and ovarian cancer cell lines. Oncol. Rep. 2006, 15, 231–235. [Google Scholar]
- Cos, S.; González, A.; Martínez-Campa, C.; Mediavilla, M.D.; Alonso-González, C.; Sánchez-Barceló, E.J. Estrogen-signaling pathway: A link between breast cancer and melatonin oncostatic actions. Cancer Detect. Prev. 2006, 30, 118–128. [Google Scholar]
- Gonzalez, A.; Cos, S.; Martinez-Campa, C.; Sanchez-Mateos, S.; Mediavilla, M.D.; Sanchez-Barcelo, E.J. Selective estrogen enzyme modulator actions of melatonin in human breast cancer cells. J. Pineal Res. 2008, 45, 86–92. [Google Scholar]
- Brydon, L.; Barrett, P.; Morgan, P.J.; Strosberg, A.D.; Jockers, R. Investigation of the human Mel 1a melatonin receptor using anti-receptor antibodies. Adv. Exp. Med. Biol. 1999, 460, 215–220. [Google Scholar]
- Remmele, W.; Stegner, H.E. Recommendation for uniform definition of an immunoreactive score (IRS) for immunohistochemical estrogen receptor detection (ER-ICA) in breast cancer tissue. Pathologe 1987, 8, 138–140. [Google Scholar]
- Królicka, A.; Kobierzycki, C.; Puła, B.; Podhorska-Okołów, M.; Piotrowska, A.; Rzeszutko, M.; Rzeszutko, W.; Rabczyński, J.; Domosławski, P.; Wojtczak, B.; et al. Comparison of metallothionein (MT) and Ki-67 antigen expression in benign and malignant thyroid tumours. Anticancer Res. 2010, 30, 4945–4949. [Google Scholar]
- Laemmli, U.K. Cleavage of structural proteins during the assembly of the head of bacteriophage T4. Nature 1970, 227, 680–685. [Google Scholar]
© 2014 by the authors; licensee MDPI, Basel, Switzerland. This article is an open access article distributed under the terms and conditions of the Creative Commons Attribution license (http://creativecommons.org/licenses/by/4.0/).
Share and Cite
Jablonska, K.; Pula, B.; Zemla, A.; Kobierzycki, C.; Kedzia, W.; Nowak-Markwitz, E.; Spaczynski, M.; Zabel, M.; Podhorska-Okolow, M.; Dziegiel, P. Expression of the MT1 Melatonin Receptor in Ovarian Cancer Cells. Int. J. Mol. Sci. 2014, 15, 23074-23089. https://doi.org/10.3390/ijms151223074
Jablonska K, Pula B, Zemla A, Kobierzycki C, Kedzia W, Nowak-Markwitz E, Spaczynski M, Zabel M, Podhorska-Okolow M, Dziegiel P. Expression of the MT1 Melatonin Receptor in Ovarian Cancer Cells. International Journal of Molecular Sciences. 2014; 15(12):23074-23089. https://doi.org/10.3390/ijms151223074
Chicago/Turabian StyleJablonska, Karolina, Bartosz Pula, Agata Zemla, Christopher Kobierzycki, Witold Kedzia, Ewa Nowak-Markwitz, Marek Spaczynski, Maciej Zabel, Marzenna Podhorska-Okolow, and Piotr Dziegiel. 2014. "Expression of the MT1 Melatonin Receptor in Ovarian Cancer Cells" International Journal of Molecular Sciences 15, no. 12: 23074-23089. https://doi.org/10.3390/ijms151223074
APA StyleJablonska, K., Pula, B., Zemla, A., Kobierzycki, C., Kedzia, W., Nowak-Markwitz, E., Spaczynski, M., Zabel, M., Podhorska-Okolow, M., & Dziegiel, P. (2014). Expression of the MT1 Melatonin Receptor in Ovarian Cancer Cells. International Journal of Molecular Sciences, 15(12), 23074-23089. https://doi.org/10.3390/ijms151223074

