Pattern-Recognition Receptor Signaling Regulator mRNA Expression in Humans and Mice, and in Transient Inflammation or Progressive Fibrosis
Abstract
:1. Introduction
2. Results and Discussion
2.1. PRR Signaling Regulator mRNA Expression in Adult Human Tissues
2.2. PRR Signaling Regulator mRNA Expression in Adult Murine Tissues
2.3. PRR Signaling Regulator mRNA Expression upon Bacterial Endotoxin Exposure
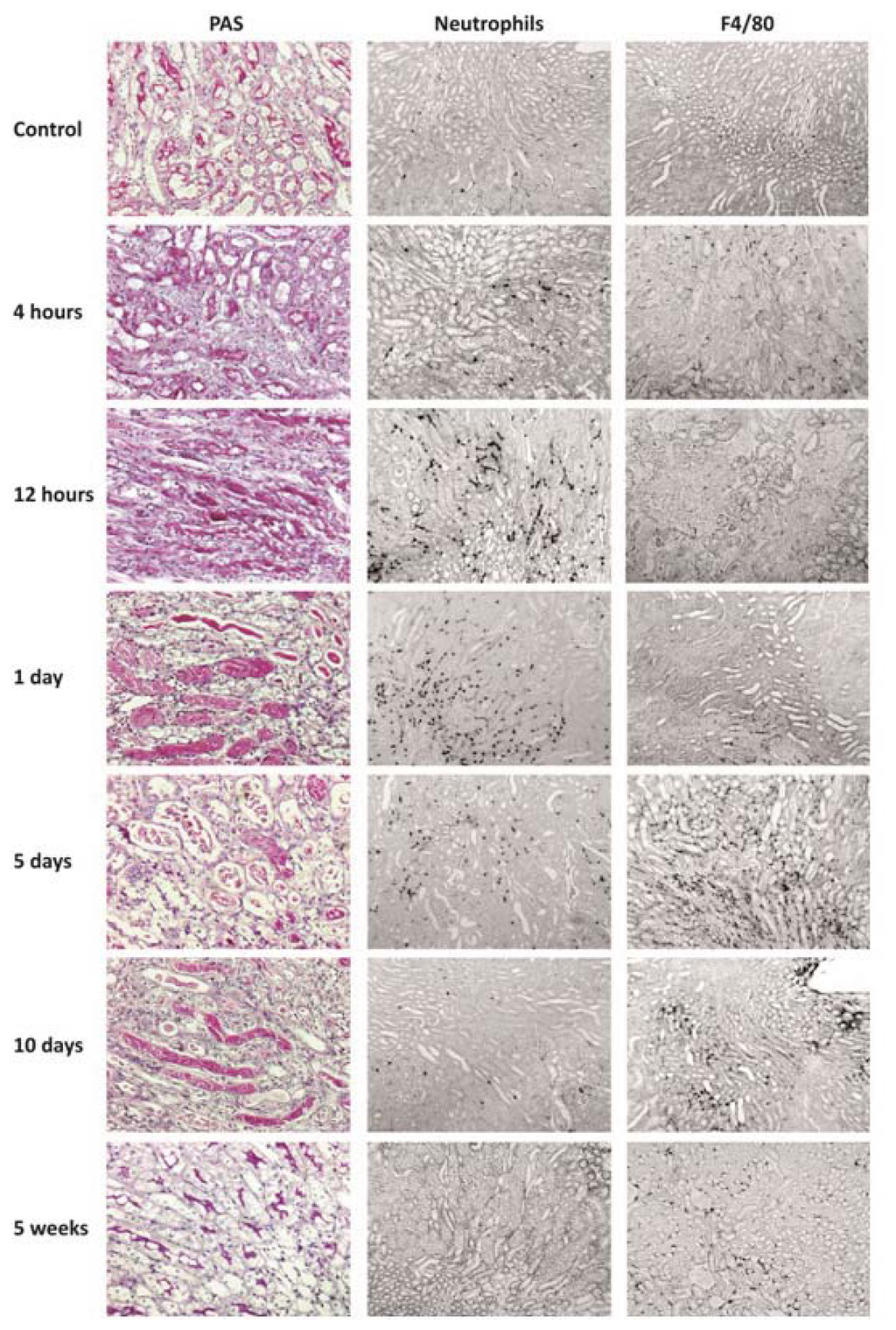
2.4. PRR Signaling Regulator mRNA Expression in Transient Ischemia-Reperfusion Injury
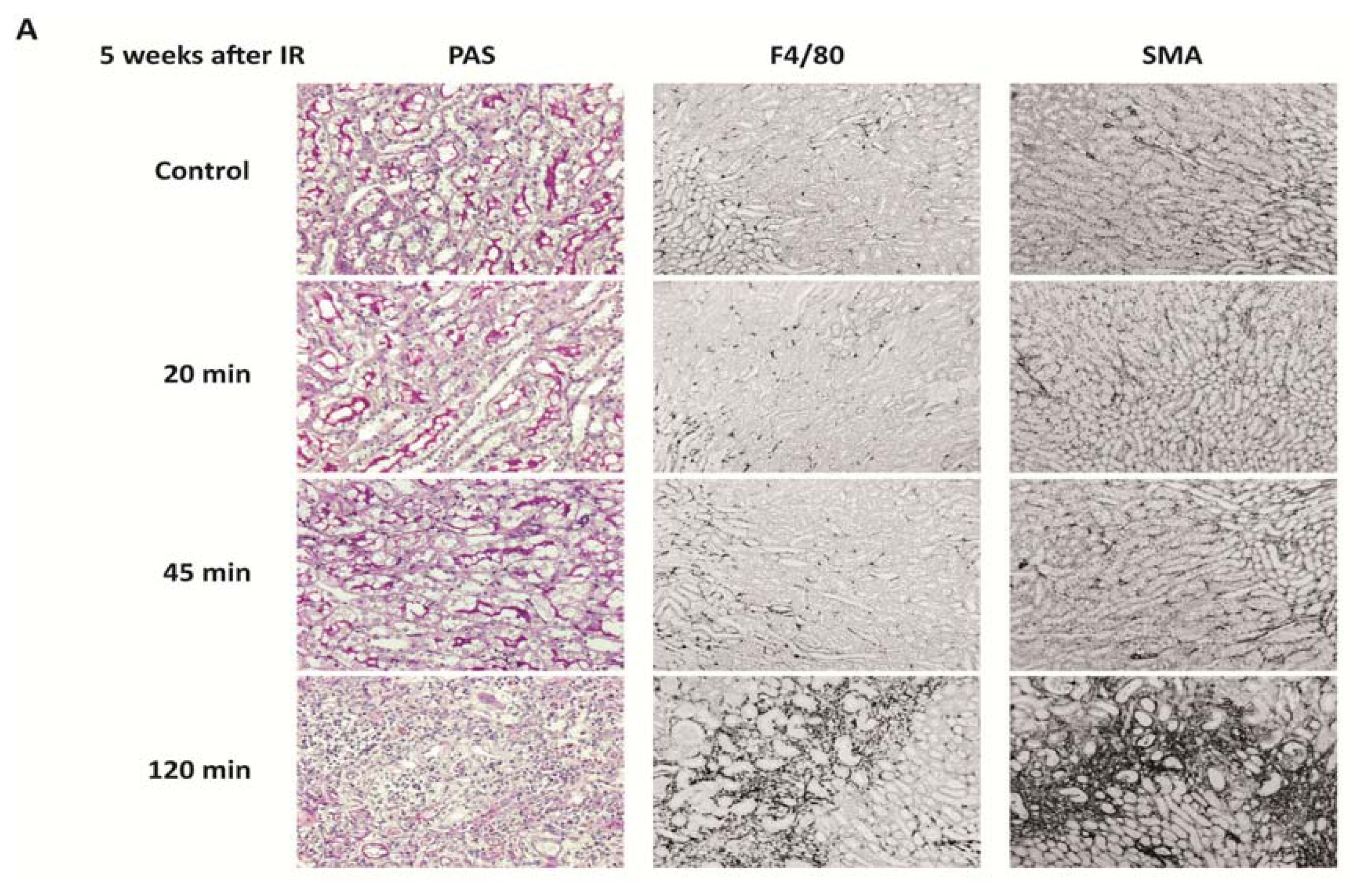
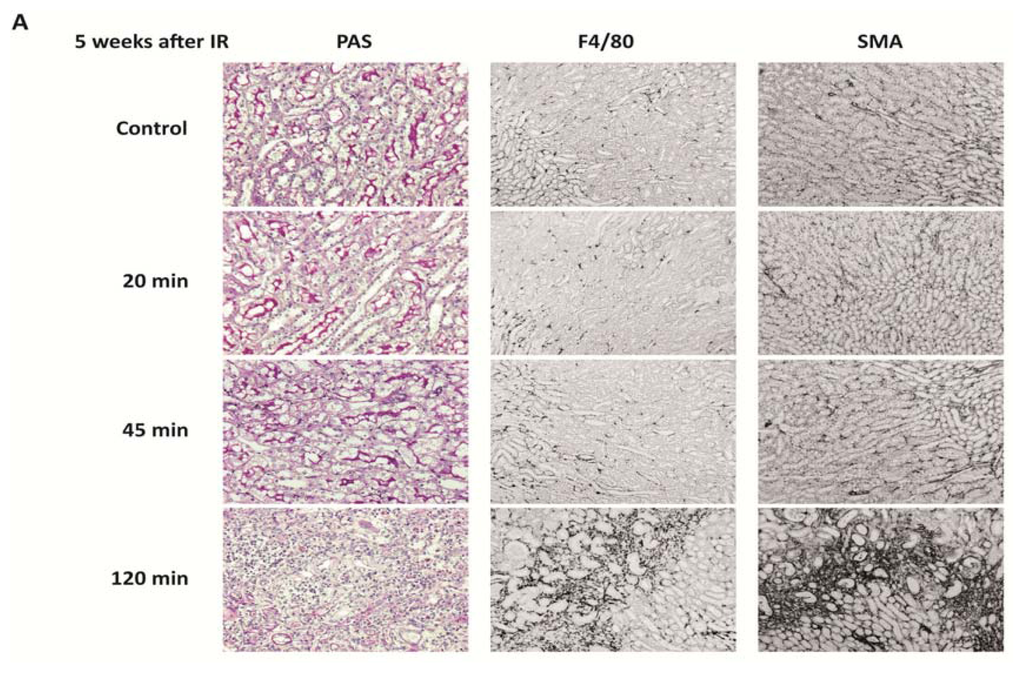
2.5. PRR Signaling Regulator mRNA Expression in Progressive Tissue Fibrosis
2.6. Negative Regulators of PRRs in Inflammation and Tissue Homeostasis
3. Experimental Section
3.1. Human Solid Organ cDNA Preparation
3.2. Mouse Solid Organ cDNA Preparation
3.3. Animal Models of Transient and Progressive Tissue Inflammation
3.4. Quantitative Real-Time RT-PCR
3.5. In Vitro Studies
3.6. Histopathology
3.7. Statistics
4. Conclusions
Supplementary Information
ijms-14-18124-s001.pdfAcknowledgements
Conflicts of Interest
References
- Takeuchi, O.; Akira, S. Pattern recognition receptors and inflammation. Cell 2010, 140, 805–820. [Google Scholar]
- Ramaiah, S.K.; Gunthner, R.; Lech, M.; Anders, H.J. Toll-like receptor and accessory molecule mRNA expression in humans and mice as well as in murine autoimmunity, transient inflammation, and progressive fibrosis. Int. J. Mol. Sci 2013, 14, 13213–13230. [Google Scholar]
- Germain, R.N. Maintaining system homeostasis: The third law of Newtonian immunology. Nat. Immunol 2012, 13, 902–906. [Google Scholar]
- Murray, P.J.; Smale, S.T. Restraint of inflammatory signaling by interdependent strata of negative regulatory pathways. Nat. Immunol 2012, 13, 916–924. [Google Scholar]
- Stearns-Kurosawa, D.J.; Osuchowski, M.F.; Valentine, C.; Kurosawa, S.; Remick, D.G. The pathogenesis of sepsis. Annu. Rev. Pathol 2011, 6, 19–48. [Google Scholar]
- Rock, K.L.; Latz, E.; Ontiveros, F.; Kono, H. The sterile inflammatory response. Annu. Rev. Immunol 2010, 28, 321–342. [Google Scholar]
- O’Neill, L.A. When signaling pathways collide: Positive and negative regulation of toll-like receptor signal transduction. Immunity 2008, 29, 12–20. [Google Scholar]
- Strebovsky, J.; Walker, P.; Dalpke, A.H. Suppressor of cytokine signaling proteins as regulators of innate immune signaling. Front. Biosci 2012, 17, 1627–1639. [Google Scholar]
- Boone, D.L.; Turer, E.E.; Lee, E.G.; Ahmad, R.C.; Wheeler, M.T.; Tsui, C.; Hurley, P.; Chien, M.; Chai, S.; Hitotsumatsu, O.; et al. The ubiquitin-modifying enzyme A20 is required for termination of Toll-like receptor responses. Nat. Immunol 2004, 5, 1052–1060. [Google Scholar]
- Harhaj, E.W.; Dixit, V.M. Regulation of NF-kappaB by deubiquitinases. Immunol. Rev 2012, 246, 107–124. [Google Scholar]
- Yoshida, H.; Jono, H.; Kai, H.; Li, J.D. The tumor suppressor cylindromatosis (CYLD) acts as a negative regulator for toll-like receptor 2 signaling via negative cross-talk with TRAF6 and TRAF7. J. Biol. Chem 2005, 280, 41111–41121. [Google Scholar]
- Kayagaki, N.; Phung, Q.; Chan, S.; Chaudhari, R.; Quan, C.; O’Rourke, K.M.; Eby, M.; Pietras, E.; Cheng, G.; Bazan, J.F.; et al. DUBA: A deubiquitinase that regulates type I interferon production. Science 2007, 318, 1628–1632. [Google Scholar]
- Liu, J.; Buckley, J.M.; Redmond, H.P.; Wang, J.H. ST2 negatively regulates TLR2 signaling, but is not required for bacterial lipoprotein-induced tolerance. J. Immunol 2010, 184, 5802–5808. [Google Scholar]
- Brint, E.K.; Xu, D.; Liu, H.; Dunne, A.; McKenzie, A.N.; O’Neill, L.A.; Liew, F.Y. ST2 is an inhibitor of interleukin 1 receptor and Toll-like receptor 4 signaling and maintains endotoxin tolerance. Nat. Immunol 2004, 5, 373–379. [Google Scholar]
- Divanovic, S.; Trompette, A.; Atabani, S.F.; Madan, R.; Golenbock, D.T.; Visintin, A.; Finberg, R.W.; Tarakhovsky, A.; Vogel, S.N.; Belkaid, Y.; et al. Negative regulation of Toll-like receptor 4 signaling by the Toll-like receptor homolog RP105. Nat. Immunol 2005, 6, 571–578. [Google Scholar]
- Wald, D.; Qin, J.; Zhao, Z.; Qian, Y.; Naramura, M.; Tian, L.; Towne, J.; Sims, J.E.; Stark, G.R.; Li, X. SIGIRR, a negative regulator of Toll-like receptor-interleukin 1 receptor signaling. Nat. Immunol 2003, 4, 920–927. [Google Scholar]
- Garlanda, C.; Anders, H.J.; Mantovani, A. TIR8/SIGIRR: An IL-1R/TLR family member with regulatory functions in inflammation and T cell polarization. Trends Immunol 2009, 30, 439–446. [Google Scholar]
- Kawagoe, T.; Takeuchi, O.; Takabatake, Y.; Kato, H.; Isaka, Y.; Tsujimura, T.; Akira, S. TANK is a negative regulator of Toll-like receptor signaling and is critical for the prevention of autoimmune nephritis. Nat. Immunol 2009, 10, 965–972. [Google Scholar]
- Kinjyo, I.; Hanada, T.; Inagaki-Ohara, K.; Mori, H.; Aki, D.; Ohishi, M.; Yoshida, H.; Kubo, M.; Yoshimura, A. SOCS1/JAB is a negative regulator of LPS-induced macrophage activation. Immunity 2002, 17, 583–591. [Google Scholar]
- Wong, P.K.; Egan, P.J.; Croker, B.A.; O’Donnell, K.; Sims, N.A.; Drake, S.; Kiu, H.; McManus, E.J.; Alexander, W.S.; Roberts, A.W.; et al. SOCS-3 negatively regulates innate and adaptive immune mechanisms in acute IL-1-dependent inflammatory arthritis. J. Clin. Investig 2006, 116, 1571–1581. [Google Scholar]
- Qin, H.; Holdbrooks, A.T.; Liu, Y.; Reynolds, S.L.; Yanagisawa, L.L.; Benveniste, E.N. SOCS3 deficiency promotes M1 macrophage polarization and inflammation. J. Immunol 2012, 189, 3439–3448. [Google Scholar]
- Sly, L.M.; Rauh, M.J.; Kalesnikoff, J.; Song, C.H.; Krystal, G. LPS-induced upregulation of SHIP is essential for endotoxin tolerance. Immunity 2004, 21, 227–239. [Google Scholar]
- Gabhann, J.N.; Higgs, R.; Brennan, K.; Thomas, W.; Damen, J.E.; Ben Larbi, N.; Krystal, G.; Jefferies, C.A. Absence of SHIP-1 results in constitutive phosphorylation of tank-binding kinase 1 and enhanced TLR3-dependent IFN-beta production. J. Immunol 2010, 184, 2314–2320. [Google Scholar]
- Kobayashi, K.; Hernandez, L.D.; Galan, J.E.; Janeway, C.A., Jr; Medzhitov, R.; Flavell, R.A. IRAK-M is a negative regulator of Toll-like receptor signaling. Cell 2002, 110, 191–202. [Google Scholar]
- Shinohara, H.; Inoue, A.; Toyama-Sorimachi, N.; Nagai, Y.; Yasuda, T.; Suzuki, H.; Horai, R.; Iwakura, Y.; Yamamoto, T.; Karasuyama, H.; et al. Dok-1 and Dok-2 are negative regulators of lipopolysaccharide-induced signaling. J. Exp. Med 2005, 201, 333–339. [Google Scholar]
- An, H.; Hou, J.; Zhou, J.; Zhao, W.; Xu, H.; Zheng, Y.; Yu, Y.; Liu, S.; Cao, X. Phosphatase SHP-1 promotes TLR- and RIG-I-activated production of type I interferon by inhibiting the kinase IRAK1. Nat. Immunol 2008, 9, 542–550. [Google Scholar]
- An, H.; Zhao, W.; Hou, J.; Zhang, Y.; Xie, Y.; Zheng, Y.; Xu, H.; Qian, C.; Zhou, J.; Yu, Y.; et al. SHP-2 phosphatase negatively regulates the TRIF adaptor protein-dependent type I interferon and proinflammatory cytokine production. Immunity 2006, 25, 919–928. [Google Scholar]
- Shah, J.A.; Vary, J.C.; Chau, T.T.; Bang, N.D.; Yen, N.T.; Farrar, J.J.; Dunstan, S.J.; Hawn, T.R. Human TOLLIP regulates TLR2 and TLR4 signaling and its polymorphisms are associated with susceptibility to tuberculosis. J. Immunol 2012, 189, 1737–1746. [Google Scholar]
- Negishi, H.; Ohba, Y.; Yanai, H.; Takaoka, A.; Honma, K.; Yui, K.; Matsuyama, T.; Taniguchi, T.; Honda, K. Negative regulation of Toll-like-receptor signaling by IRF-4. Proc. Natl. Acad. Sci. USA 2005, 102, 15989–15994. [Google Scholar]
- Huang, J.; Liu, T.; Xu, L.G.; Chen, D.; Zhai, Z.; Shu, H.B. SIKE is an IKK epsilon/TBK1-associated suppressor of TLR3- and virus-triggered IRF-3 activation pathways. EMBO J 2005, 24, 4018–4028. [Google Scholar]
- Allen, I.C.; Moore, C.B.; Schneider, M.; Lei, Y.; Davis, B.K.; Scull, M.A.; Gris, D.; Roney, K.E.; Zimmermann, A.G.; Bowzard, J.B.; et al. NLRX1 protein attenuates inflammatory responses to infection by interfering with the RIG-I-MAVS and TRAF6-NF-kappaB signaling pathways. Immunity 2011, 34, 854–865. [Google Scholar]
- Xia, X.; Cui, J.; Wang, H.Y.; Zhu, L.; Matsueda, S.; Wang, Q.; Yang, X.; Hong, J.; Songyang, Z.; Chen, Z.J.; et al. NLRX1 negatively regulates TLR-induced NF-kappaB signaling by targeting TRAF6 and IKK. Immunity 2011, 34, 843–853. [Google Scholar]
- McDonald, C.; Chen, F.F.; Ollendorff, V.; Ogura, Y.; Marchetto, S.; Lecine, P.; Borg, J.P.; Nunez, G. A role for Erbin in the regulation of Nod2-dependent NF-kappaB signaling. J. Biol. Chem 2005, 280, 40301–40309. [Google Scholar]
- Yamamoto-Furusho, J.K.; Barnich, N.; Xavier, R.; Hisamatsu, T.; Podolsky, D.K. Centaurin beta1 down-regulates nucleotide-binding oligomerization domains 1- and 2-dependent NF-kappaB activation. J. Biol. Chem 2006, 281, 36060–36070. [Google Scholar]
- Fujikado, N.; Saijo, S.; Yonezawa, T.; Shimamori, K.; Ishii, A.; Sugai, S.; Kotaki, H.; Sudo, K.; Nose, M.; Iwakura, Y. Dcir deficiency causes development of autoimmune diseases in mice due to excess expansion of dendritic cells. Nat. Med 2008, 14, 176–180. [Google Scholar]
- Meyer-Wentrup, F.; Cambi, A.; Joosten, B.; Looman, M.W.; de Vries, I.J.; Figdor, C.G.; Adema, G.J. DCIR is endocytosed into human dendritic cells and inhibits TLR8-mediated cytokine production. J. Leukoc. Biol 2009, 85, 518–525. [Google Scholar]
- Seok, J.; Warren, H.S.; Cuenca, A.G.; Mindrinos, M.N.; Baker, H.V.; Xu, W.; Richards, D.R.; McDonald-Smith, G.P.; Gao, H.; Hennessy, L.; et al. Genomic responses in mouse models poorly mimic human inflammatory diseases. Proc. Natl. Acad. Sci. USA 2013, 110, 3507–3512. [Google Scholar]
- Biswas, S.K.; Lopez-Collazo, E. Endotoxin tolerance: New mechanisms, molecules and clinical significance. Trends Immunol 2009, 30, 475–487. [Google Scholar]
- Leemans, J.C.; Stokman, G.; Claessen, N.; Rouschop, K.M.; Teske, G.J.; Kirschning, C.J.; Akira, S.; van der Poll, T.; Weening, J.J.; Florquin, S. Renal-associated TLR2 mediates ischemia/reperfusion injury in the kidney. J. Clin. Investig 2005, 115, 2894–2903. [Google Scholar]
- Wu, H.; Chen, G.; Wyburn, K.R.; Yin, J.; Bertolino, P.; Eris, J.M.; Alexander, S.I.; Sharland, A.F.; Chadban, S.J. TLR4 activation mediates kidney ischemia/reperfusion injury. J. Clin. Investig 2007, 117, 2847–2859. [Google Scholar]
- Swaminathan, S.; Griffin, M.D. First responders: Understanding monocyte-lineage traffic in the acutely injured kidney. Kidney Int 2008, 74, 1509–1511. [Google Scholar]
- Lee, S.; Huen, S.; Nishio, H.; Nishio, S.; Lee, H.K.; Choi, B.S.; Ruhrberg, C.; Cantley, L.G. Distinct macrophage phenotypes contribute to kidney injury and repair. J. Am. Soc. Nephrol 2011, 22, 317–326. [Google Scholar]
- Zhang, M.Z.; Yao, B.; Yang, S.; Jiang, L.; Wang, S.; Fan, X.; Yin, H.; Wong, K.; Miyazawa, T.; Chen, J.; et al. CSF-1 signaling mediates recovery from acute kidney injury. J. Clin. Investig 2012, 122, 4519–4532. [Google Scholar]
- Romagnani, P.; Anders, H.J. What can tubular progenitor cultures teach us about kidney regeneration? Kidney Int 2013, 83, 351–353. [Google Scholar]
- Hornung, V.; Rothenfusser, S.; Britsch, S.; Krug, A.; Jahrsdorfer, B.; Giese, T.; Endres, S.; Hartmann, G. Quantitative expression of toll-like receptor 1–10 mRNA in cellular subsets of human peripheral blood mononuclear cells and sensitivity to CpG oligodeoxynucleotides. J. Immunol 2002, 168, 4531–4537. [Google Scholar]
- Lech, M.; Avila-Ferrufino, A.; Skuginna, V.; Susanti, H.E.; Anders, H.J. Quantitative expression of RIG-like helicase, NOD-like receptor and inflammasome-related mRNAs in humans and mice. Int. Immunol 2010, 22, 717–728. [Google Scholar]
- Lech, M.; Susanti, H.E.; Rommele, C.; Grobmayr, R.; Gunthner, R.; Anders, H.J. Quantitative expression of C-type lectin receptors in humans and mice. Int. J. Mol. Sci 2012, 13, 10113–10131. [Google Scholar]
- Mages, J.; Dietrich, H.; Lang, R. A genome-wide analysis of LPS tolerance in macrophages. Immunobiology 2007, 212, 723–737. [Google Scholar]
- Park, S.H.; Park-Min, K.H.; Chen, J.; Hu, X.; Ivashkiv, L.B. Tumor necrosis factor induces GSK3 kinase-mediated cross-tolerance to endotoxin in macrophages. Nat. Immunol 2011, 12, 607–615. [Google Scholar]
- Lee, K.H.; Biswas, A.; Liu, Y.J.; Kobayashi, K.S. Proteasomal degradation of Nod2 protein mediates tolerance to bacterial cell wall components. J. Biol. Chem 2012, 287, 39800–39811. [Google Scholar]
- Van’t Veer, C.; van den Pangaart, P.S.; van Zoelen, M.A.; de Kruif, M.; Birjmohun, R.S.; Stroes, E.S.; de Vos, A.F.; van der Poll, T. Induction of IRAK-M is associated with lipopolysaccharide tolerance in a human endotoxemia model. J. Immunol 2007, 179, 7110–7120. [Google Scholar]
- Hotchkiss, R.S.; Coopersmith, C.M.; McDunn, J.E.; Ferguson, T.A. The sepsis seesaw: Tilting toward immunosuppression. Nat. Med 2009, 15, 496–497. [Google Scholar]
- Buckley, C.D.; Gilroy, D.W.; Serhan, C.N.; Stockinger, B.; Tak, P.P. The resolution of inflammation. Nat. Rev. Immunol 2013, 13, 59–66. [Google Scholar]
- Anders, H.J.; Ryu, M. Renal microenvironments and macrophage phenotypes determine progression or resolution of renal inflammation and fibrosis. Kidney Int 2011, 80, 915–925. [Google Scholar]
- Lech, M.; Anders, H.J. Macrophages and fibrosis: How resident and infiltrating mononuclear phagocytes orchestrate all phases of tissue injury and repair. Biochim. Biophys. Acta 2013, 1832, 989–997. [Google Scholar]
- Kunter, U.; Daniel, S.; Arvelo, M.B.; Choi, J.; Shukri, T.; Patel, V.I.; Longo, C.R.; Scali, S.T.; Shrikhande, G.; Rocha, E.; et al. Combined expression of A1 and A20 achieves optimal protection of renal proximal tubular epithelial cells. Kidney Int 2005, 68, 1520–1532. [Google Scholar]
- Neuwirt, H.; Eder, I.E.; Puhr, M.; Rudnicki, M. SOCS-3 is downregulated in progressive CKD patients and regulates proliferation in human renal proximal tubule cells in a STAT1/3 independent manner. Lab. Investig 2013, 93, 123–134. [Google Scholar]
- Lech, M.; Avila-Ferrufino, A.; Allam, R.; Segerer, S.; Khandoga, A.; Krombach, F.; Garlanda, C.; Mantovani, A.; Anders, H.J. Resident dendritic cells prevent postischemic acute renal failure by help of single Ig IL-1 receptor-related protein. J. Immunol 2009, 183, 4109–4118. [Google Scholar]
- Lech, M.; Garlanda, C.; Mantovani, A.; Kirschning, C.J.; Schlondorff, D.; Anders, H.J. Different roles of TiR8/Sigirr on toll-like receptor signaling in intrarenal antigen-presenting cells and tubular epithelial cells. Kidney Int 2007, 72, 182–192. [Google Scholar]
- Noris, M.; Cassis, P.; Azzollini, N.; Cavinato, R.; Cugini, D.; Casiraghi, F.; Aiello, S.; Solini, S.; Cassis, L.; Mister, M.; et al. The Toll-IL-1R member Tir8/SIGIRR negatively regulates adaptive immunity against kidney grafts. J. Immunol 2009, 183, 4249–4260. [Google Scholar]
- Lech, M.; Kulkarni, O.P.; Pfeiffer, S.; Savarese, E.; Krug, A.; Garlanda, C.; Mantovani, A.; Anders, H.J. Tir8/Sigirr prevents murine lupus by suppressing the immunostimulatory effects of lupus autoantigens. J. Exp. Med 2008, 205, 1879–1888. [Google Scholar]
- Lech, M.; Skuginna, V.; Kulkarni, O.P.; Gong, J.; Wei, T.; Stark, R.W.; Garlanda, C.; Mantovani, A.; Anders, H.J. Lack of SIGIRR/TIR8 aggravates hydrocarbon oil-induced lupus nephritis. J. Pathol 2010, 220, 596–607. [Google Scholar]
- Lassen, S.; Lech, M.; Rommele, C.; Mittruecker, H.W.; Mak, T.W.; Anders, H.J. Ischemia reperfusion induces IFN regulatory factor 4 in renal dendritic cells, which suppresses postischemic inflammation and prevents acute renal failure. J. Immunol 2010, 185, 1976–1983. [Google Scholar]
- Fagundes, C.T.; Amaral, F.A.; Souza, A.L.; Vieira, A.T.; Xu, D.; Liew, F.Y.; Souza, D.G.; Teixeira, M.M. ST2, an IL-1R family member, attenuates inflammation and lethality after intestinal ischemia and reperfusion. J. Leukoc. Biol 2007, 81, 492–499. [Google Scholar]
- Anders, H.J. Four danger response programs determine glomerular and tubulointerstitial kidney pathology: Clotting, inflammation, epithelial and mesenchymal healing. Organogenesis 2012, 8, 29–40. [Google Scholar]
- Zeisberg, M.; Kalluri, R. Cellular mechanisms of tissue fibrosis. 1. Common and organ-specific mechanisms associated with tissue fibrosis. Am. J. Physiol. Cell Physiol 2013, 304, C216–C225. [Google Scholar]
- Ninichuk, V.; Gross, O.; Segerer, S.; Hoffmann, R.; Radomska, E.; Buchstaller, A.; Huss, R.; Akis, N.; Schlondorff, D.; Anders, H.J. Multipotent mesenchymal stem cells reduce interstitial fibrosis but do not delay progression of chronic kidney disease in collagen4A3-deficient mice. Kidney Int 2006, 70, 121–129. [Google Scholar]
- Famulski, K.S.; Reeve, J.; de Freitas, D.G.; Kreepala, C.; Chang, J.; Halloran, P.F. Kidney transplants with progressing chronic diseases express high levels of acute kidney injury transcripts. Am. J. Transplant 2013, 13, 634–644. [Google Scholar]
- Satoh, T.; Takeuchi, O.; Vandenbon, A.; Yasuda, K.; Tanaka, Y.; Kumagai, Y.; Miyake, T.; Matsushita, K.; Okazaki, T.; Saitoh, T.; et al. The Jmjd3-Irf4 axis regulates M2 macrophage polarization and host responses against helminth infection. Nat. Immunol 2010, 11, 936–944. [Google Scholar]
- Mulay, S.R.; Thomasova, D.; Ryu, M.; Anders, H.J. MDM2 (murine double minute-2) links inflammation and tubular cell healing during acute kidney injury in mice. Kidney Int 2012, 81, 1199–1211. [Google Scholar]









| Human | Accession No. | Sequence |
|---|---|---|
| A20 | NM_006290 | forward primer: 5′-GGACTTTGCGAAAGGATCG-3′ reverse primer: 5′-TCACAGCTTTCCGCATATTG-3′ |
| CYLD | NM_015247 | forward primer: 5′-TTTGATGGAGTGCAGCTTTG-3′ reverse primer: 5′-CTCCTTTCCTGCGTCACACT-3′ |
| DUBA | NM_017602 | forward primer: 5′-GCAGGCTACAACAGTGAGGAC-3′ reverse primer: 5′-GCCTTTTCAAACCAATGCTC-3′ |
| ST2 | NM_003856 | forward primer: 5′-CCCACTCAGGAAAGAAATCG-3′ reverse primer: 5′-TTCGCATATCCAGTCCTATTGA-3′ |
| CD180 | NM_005582 | forward primer: 5′-CACCTCCTGGGATCAGATGT-3′ reverse primer: 5′-TGGTAGAGTGTCAGGGATTTCA-3′ |
| SIGIRR | NM_021805 | forward primer: 5′-CCCAGCTCTTGGATCAGTCT-3′ reverse primer: 5′-AGTCAGGGGCCCTATCACAG-3′ |
| TANK | NM_133484 | forward primer: 5′-CAAAGGAAGACTTGTAACCTGGA-3′ reverse primer: 5′-AGTTGCTCGCCAATGTTTTT-3′ |
| SOCS1 | NM_003745 | forward primer: 5′-GACCCCTTCTCACCTCTTGA-3′ reverse primer: 5′-GTAGGAGGTGCGAGTTCAGG-3′ |
| SOCS3 | NM_003955 | forward primer: 5′-GGAGACTTCGATTCGGGACC-3′ reverse primer: 5′-GAAACTTGCTGTGGGTGACC-3′ |
| SHIP | NM_005541 | forward primer: 5′-GTGACCCATCTGCAATACCC-3′ reverse primer: 5′-GGGTGGAGACACGACACTTT-3′ |
| IRAK-M | NM_007199 | forward primer: 5′-CTCGGTCATCTGTGGCAGTA-3′ reverse primer: 5′-TTCTAGGTGGGACCGGAAGT-3′ |
| DOK1 | NM_001381 | forward primer: 5′-AGAGTCAGCGCTTTGGGAC-3′ reverse primer: 5′-CGACCCCTTATGGTCAAAGA-3′ |
| DOK2 | NM_003974 | forward primer: 5′-GTACAGCAGCGCAGTCACAG-3′ reverse primer: 5′-AGCCCGGAGGGTATAGGAC-3′ |
| SHP1 | NM_080548 | forward primer: 5′-CCCTCCCTACAGAGAGATGCT-3′ reverse primer: 5′-GAAGCTACCGTGGACACCTC-3′ |
| SHP2 | NM_002834 | forward primer: 5′-GCGGGAGGAACATGACATC-3′ reverse primer: 5′-CGGAAAGTGTGAAGTCTCCAG-3′ |
| TOLLIP | NM_019009 | forward primer: 5′-GACAACTGTCTCCGTCGCA-3′ reverse primer: 5′-CGGGAGCTCACCGATGTA-3′ |
| IRF4 | NM_002460 | forward primer: 5′-CCTGCAAGCTCTTTGACACA-3′ reverse primer: 5′-GAGTCACCTGGAATCTTGGC-3′ |
| SIKE | NM_025073 | forward primer: 5′-GTGGATGCTGAACCAGTCCT-3′ reverse primer: 5′-CCACCTGAACTGCTTTCCTC-3′ |
| NLRX1 | NM_024618 | forward primer: 5′-CTGCCTCTGCTCTTCAACCT-3′ reverse primer: 5′-CTCGAAACATCTCCAGCACC-3′ |
| ERBIN | NM_018695 | forward primer: 5′-AATCATGTCAAGCGAAGCCT-3′ reverse primer: 5′-TGGGTTGAATTTATCTCCCTG-3′ |
| CENTB1 | NM_014716 | forward primer: 5′-GCCTCTATTGAGCTGGTGGA-3′ reverse primer: 5′-ACTTTCCAGGAGACCAGTGC-3′ |
| Clec4a2 | NM_011999 | forward primer: 5′-AGAGCTGGTTCATACAACATTGG-3′ reverse primer: 5′-TGACTTCCAATTCTTTGGGC-3′ |
| GAPDH | NM_002046 | forward primer: 5′-GAAGGTGAAGGTCGGAGTC-3′ reverse primer: 5′-GAAGATGGTGATGGGATTTC-3′ |
| 18S | NR_003278 | forward primer: 5′-GCAATTATTCCCCATGAACG-3′ reverse primer: 5′-AGGGCCTCACTAAACCATCC-3′ |
| Murine | Accession No. | Sequence |
|---|---|---|
| A20 | NM_009397 | forward primer: 5′-AAGCTCGTGGCTCTGAAAAC-3′ reverse primer: 5′-TTCCTCAGGACCAGGTCAGT-3′ |
| CYLD | NM_173369 | forward primer: 5′-GGGATGGAAGGTTTGATGG-3′ reverse primer: 5′-CTCCTTTCCTGTGTCACGCT-3′ |
| DUBA | NM_138604 | forward primer: 5′-AGCGGGCTACAACAGTGAAG-3′ reverse primer: 5′-AAGGCCTTTTCAAACCAGTG-3′ |
| ST2 | NM_010743 | forward primer: 5′-TGACGGCCACCAGATCATTCACAG-3′ reverse primer: 5′-GCCAAAGCAAGCTGAACAGGCAATAC-3′ |
| CD180 | NM_008533 | forward primer: 5′-GAGCCACCACATCCTCAGAT-3′ reverse primer: 5′-TGAGTTTGGTAAAGTGCCAGG-3′ |
| SIGIRR | NM_023059 | forward primer: 5′-GGATGACAAAGATCCCATGC-3′ reverse primer: 5′-ATGCAGATCCTGGTTTCCTG-3′ |
| TANK | NM_011529 | forward primer: 5′-GCTTCCAGAATGGGTACGTG-3′ reverse primer: 5′-TGGTAGGAATGCCAGCTCTC-3′ |
| SOCS1 | NM_009896 | forward primer: 5′-ACTTCTGGCTGGAGACCTCA-3′ reverse primer: 5′-ACAAGCTGCTACAACCAGGG-3′ |
| SOCS3 | NM_007707 | forward primer: 5′-AAGGCCGGAGATTTCGCT-3′ reverse primer: 5′-AACTTGCTGTGGGTGACCAT-3′ |
| SHIP | NM_010566 | forward primer: 5′-GCTGTTCCGGAATTGTGTTT-3′ reverse primer: 5′-GTGAAGAACCTCATGGGGAC-3′ |
| IRAK-M | NM_028679 | forward primer: 5′-CACTGCTGGGAGAGCTTTG-3′ reverse primer: 5′-CCAGCCAGCTGTTTGAAAGT-3′ |
| DOK1 | NM_010070 | forward primer: 5′-TTTTCTGCCTTGGAGATGCT-3′ reverse primer: 5′-GCTCCAGGATTTGACTCTGC-3′ |
| DOK2 | NM_010071 | forward primer: 5′-ATGGTCAGGATGGAGGAGC-3′ reverse primer: 5′-ATATAACACGGCTGCGAACC-3′ |
| SHP1 | NM_013545 | forward primer: 5′-GTACCCACTGAACTGCTCGG-3′ reverse primer: 5′-ATCACCAGGTTGGCTGAGAC-3′ |
| SHP2 | NM_011202 | forward primer: 5′-GACGGGAGGAACATGACATC-3′ reverse primer: 5′-AAAACTGCCATCGACTCCTC-3′ |
| TOLLIP | NM_023764 | forward primer: 5′-GCGGGTCTCTGTGCAGTT-3′ reverse primer: 5′-TGTGGGTGTTATACGGAGGAA-3′ |
| IRF4 | NM_013674 | forward primer: 5′-TGCAAGCTCTTTGACACACA-3′ reverse primer: 5′-CAAAGCACAGAGTCACCTGG-3′ |
| SIKE | NM_025679 | forward primer: 5′-TTCAGGTGGACGATAACCAA-3′ reverse primer: 5′-GAGATTCACTGCTGATGGACAG-3′ |
| NLRX1 | NM_178420 | forward primer: 5′-CACCTGGGTACCTTCGTGTT-3′ reverse primer: 5′-GCCCACAAATTCAACCACTT-3′ |
| ERBIN | NM_021563 | forward primer: 5′-GCCCTGAGACACCCTGAGA-3′ reverse primer: 5′-CAACCGCACAAACAAACTTC-3′ |
| CENTB1 | NM_153788 | forward primer: 5′-CCTCGATTGAACTGGTGGAA-3′ reverse primer: 5′-AGGTAATGCTGTCCGCTCTC-3′ |
| Clec4a2 | NM_011999 | forward primer: 5′-GCACAATGAATTGAACTGCAC-3′ reverse primer: 5′-GGAACCAAGTAGCAGTGGGA-3′ |
| GAPDH | NM_008084 | forward primer: 5′-CGTCCCGTAGACAAAATGGT-3′ reverse primer: 5′-TTGATGGCAACAATCTCCAC-3′ |
| 18S | NR_003278 | forward primer: 5′-GCAATTATTCCCCATGAACG-3′ reverse primer: 5′-AGGGCCTCACTAAACCATCC-3′ |
© 2013 by the authors; licensee MDPI, Basel, Switzerland This article is an open access article distributed under the terms and conditions of the Creative Commons Attribution license (http://creativecommons.org/licenses/by/3.0/).
Share and Cite
Günthner, R.; Kumar, V.R.S.; Lorenz, G.; Anders, H.-J.; Lech, M. Pattern-Recognition Receptor Signaling Regulator mRNA Expression in Humans and Mice, and in Transient Inflammation or Progressive Fibrosis. Int. J. Mol. Sci. 2013, 14, 18124-18147. https://doi.org/10.3390/ijms140918124
Günthner R, Kumar VRS, Lorenz G, Anders H-J, Lech M. Pattern-Recognition Receptor Signaling Regulator mRNA Expression in Humans and Mice, and in Transient Inflammation or Progressive Fibrosis. International Journal of Molecular Sciences. 2013; 14(9):18124-18147. https://doi.org/10.3390/ijms140918124
Chicago/Turabian StyleGünthner, Roman, Vankayala Ramaiah Santhosh Kumar, Georg Lorenz, Hans-Joachim Anders, and Maciej Lech. 2013. "Pattern-Recognition Receptor Signaling Regulator mRNA Expression in Humans and Mice, and in Transient Inflammation or Progressive Fibrosis" International Journal of Molecular Sciences 14, no. 9: 18124-18147. https://doi.org/10.3390/ijms140918124
APA StyleGünthner, R., Kumar, V. R. S., Lorenz, G., Anders, H.-J., & Lech, M. (2013). Pattern-Recognition Receptor Signaling Regulator mRNA Expression in Humans and Mice, and in Transient Inflammation or Progressive Fibrosis. International Journal of Molecular Sciences, 14(9), 18124-18147. https://doi.org/10.3390/ijms140918124
