Functional and Molecular Changes of the Bladder in Rats with Crushing Injury of Nerve Bundles from Major Pelvic Ganglion to the Bladder: Role of RhoA/Rho Kinase Pathway
Abstract
:1. Introduction
2. Results
2.1. Bladder Weights in the Control, Sham-Operated, and Crushing Injury on Nerve Bundles from the Major Pelvic Ganglion (MPG) to the Bladder Group at One, Two, and Four Weeks after Injury
2.2. Contractile Response of the Bladder Strip in the Control, Sham-Operated, and Crushing Injury on Nerve Bundles from the MPG to the Bladder Group at One, Two, and Four Weeks after Injury
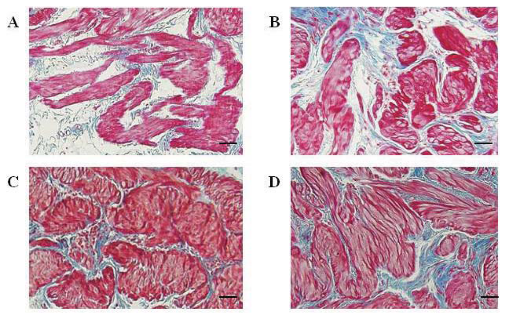
2.3. The Smooth Muscle to Collagen Ratio of the Detrusor in the Control, Sham-Operated, and Crushing Injury on Nerve Bundles from the MPG to the Bladder Group at One, Two, and Four Weeks after Injury
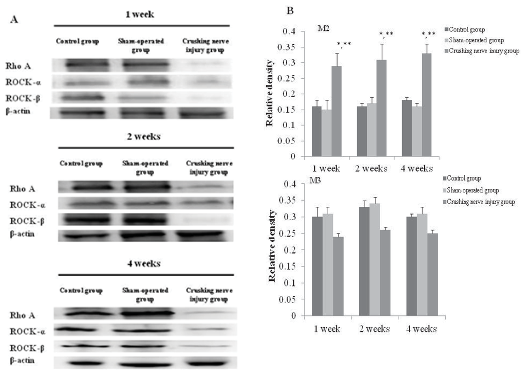
2.4. Analysis of the Expression of M2 and M3 Muscarinic Receptors in the Bladder from the Control, Sham-Operated, and Crushing Injury on Nerve Bundles from the MPG to the Bladder Group at One, Two, and Four Weeks after Injury
2.5. Analysis of the Expression of RhoA, ROCK-α, and ROCK-β in the Bladder from the Control, Sham-Operated, and Crushing Injury on Nerve Bundles from the MPG to the Bladder Group at One, Two, and Four Weeks after Injury
3. Discussion
4. Experimental Section
4.1. Animals
4.2. Surgical Procedures
4.3. In Vitro Investigation on the Contractile Response of Bladder Strip
4.4. Investigation of Smooth Muscle and Collagen Component in the Detrusor
4.5. Western Blot Analyses for Muscarinic Receptors RhoA, ROCK-α, and ROCK-β Expression in Bladder Wall
4.6. Statistic Analysis
5. Conclusions
Acknowledgments
Conflicts of Interest
References
- Siegel, R.; De Santis, C.; Virgo, K.; Stein, K.; Mariotto, A.; Smith, T.; Cooper, D.; Gansler, T.; Lerro, C.; Fedewa, S.; et al. Cancer treatment and survivorship statistics, 2012. CA: Cancer J. Clin 2012, 62, 220–241. [Google Scholar]
- Gonçalves, V. Long-term quality of life in gynecological cancer survivors. Curr. Opin. Obstet. Gynecol 2010, 22, 30–35. [Google Scholar]
- Eveno, C.; Lamblin, A.; Mariette, C.; Pocard, M. Sexual and urinary dysfunction after proctectomy for rectal cancer. J. Visc. Surg 2010, 147, e21–e30. [Google Scholar]
- Porena, M.; Mearini, E.; Mearini, L.; Vianello, A.; Giannantoni, A. Voiding dysfunction after radical retropubic prostatectomy: More than external urethral sphincter deficiency. Eur. Urol 2007, 52, 38–45. [Google Scholar]
- Delacroix, S.E., Jr; Winters, J.C. Voiding dysfunction after pelvic colorectal surgery. Clin. Colon. Rectal. Surg. 2010, 23, 119–127. [Google Scholar]
- Ceccaroni, M.; Roviglione, G.; Spagnolo, E.; Casadio, P.; Clarizia, R.; Peiretti, M.; Bruni, F.; Peters, I.; Aletti, G. Pelvic dysfunctions and quality of life after nerve-sparing radical hysterectomy: A multicenter comparative study. Anticancer Res 2012, 32, 581–588. [Google Scholar]
- Kim, J.H.; Noh, T.I.; Oh, M.M.; Park, J.Y.; Lee, J.G.; Um, J.W.; Min, B.W.; Bae, J.H. Voiding dysfunction after total mesorectal excision in rectal cancer. Int. Neurourol. J 2011, 15, 166–171. [Google Scholar]
- Matsukawa, Y.; Hattori, R.; Komatsu, T.; Funahashi, Y.; Sassa, N.; Gotoh, M. De novo detrusor underactivity after laparoscopic radical prostatectomy. Int. J. Urol 2010, 17, 643–648. [Google Scholar]
- Lange, M.M.; Maas, C.P.; Marijnen, C.A.; Wiggers, T.; Rutten, H.J.; Kranenbarg, E.K.; van de Velde, C.J. Cooperative clinical investigators of the dutch total mesorectal excision trial. Urinary dysfunction after rectal cancer treatment is mainly caused by surgery. Br. J. Surg 2008, 95, 1020–1028. [Google Scholar]
- Van Koeveringe, G.A.; Vahabi, B.; Andersson, K.E.; Kirschner-Herrmans, R.; Oelke, M. Detrusor underactivity: A plea for new approaches to a common bladder dysfunction. Neurourol. Urodyn 2011, 30, 723–728. [Google Scholar]
- Braverman, A.S.; Tibb, A.S.; Ruggieri, M.R. M2 and M3 muscarinic receptor activation of urinary bladder contractile signal transduction I. Normal rat bladder. J. Pharmacol. Exp. Ther 2006, 316, 869–874. [Google Scholar]
- Kwon, D.; Minnery, B.; Kim, Y.; Kim, J.H.; de Miguel, F.; Yoshimura, N.; Chancellor, M.B. Neurologic recovery and improved detrusor contractility using muscle-derived cells in rat model of unilateral pelvic nerve transection. Urology 2005, 65, 1249–1253. [Google Scholar]
- Canguven, O.; Burnett, A. Cavernous nerve injury using rodent animal models. J. Sex. Med 2008, 5, 1776–1785. [Google Scholar]
- Purinton, P.T.; Fletcher, T.F.; Bradley, W.E. Gross and light microscopic features of the pelvic plexus in the rat. Anat. Rec 1973, 175, 697–705. [Google Scholar]
- Guven, A.; Onal, B.; Kalorin, C.; Whitbeck, C.; Chichester, P.; Kogan, B.; Levin, R.; Mannikarottu, A. Long term partial bladder outlet obstruction induced contractile dysfunction in male rabbits: A role for Rho-kinase. Neurourol. Urodyn 2007, 26, 1043–1049. [Google Scholar]
- Shahab, N.; Kajioka, S.; Seki, N.; Naito, S. Functional role of muscarinic receptor subtypes in calcium sensitization and their contribution to rho-kinase and protein kinase C pathways in contraction of human detrusor smooth muscle. Urology 2012, 79. [Google Scholar] [CrossRef]
- Peretto, I.; Petrillo, P.; Imbimbo, B.P. Medicinal chemistry and therapeutic potential of muscarinic M3 antagonists. Med. Res. Rev 2009, 29, 867–902. [Google Scholar]
- Hirose, H.; Aoki, I.; Kimura, T.; Fujikawa, T.; Numazawa, T.; Sasaki, K.; Nishikibe, M.; Noguchi, K. The subtypes of muscarinic receptors for neurogenic bladder contraction in rats. Eur. J. Pharmacol 2002, 452, 245–253. [Google Scholar]
- Pontari, M.A.; Braverman, A.S.; Ruggieri, M.R. The M2 muscarinic receptor mediates in vitro bladder contractions from patients with neurogenic bladder dysfunction. Am. J. Physiol. Regul. Integr. Comp. Physiol 2004, 286, R874–R880. [Google Scholar]
- Pak, K.J.; Ostrom, R.S.; Matsui, M.; Ehlert, F.J. The M2-muscarinic receptor inhibits the development of streptozotocin-induced neuropathy in mouse urinary bladder. J. Pharmacol. Exp. Ther 2010, 335, 239–248. [Google Scholar]
- Braverman, A.S.; Doumanian, L.R.; Ruggieri, M.R. M2 and M3 muscarinic receptor activation of urinary bladder contractile signal transduction. II. denervated rat bladder. J. Pharmacol. Exp. Ther 2006, 316, 875–880. [Google Scholar]
- Manchana, T.; Prasartsakulchai, C. Bethanechol chloride for the prevention of bladder dysfunction after radical hysterectomy in gynecologic cancer patients: A randomized controlled trial study. Int. J. Gynecol. Cancer 2011, 21, 730–736. [Google Scholar]
- Finkbeiner, A.E. Is bethanechol chloride clinically effective in promoting bladder emptying? A literature review. J. Urol 1985, 134, 443–449. [Google Scholar]
- Yoshimura, N.; Kaiho, Y.; Miyazato, M.; Yunoki, T.; Tai, C.; Chancellor, M.B.; Tyagi, P. Therapeutic receptor targets for lower urinary tract dysfunction. Naunyn-Schmiedebergs Arch. Pharmacol 2008, 377, 437–448. [Google Scholar]
- Sun, Y.; Chai, T.C. Role of purinergic signaling in voiding dysfunction. Curr. Bladder Dysfunct. Rep 2010, 5, 219–224. [Google Scholar]








© 2013 by the authors; licensee MDPI, Basel, Switzerland This article is an open access article distributed under the terms and conditions of the Creative Commons Attribution license (http://creativecommons.org/licenses/by/3.0/).
Share and Cite
Kim, S.J.; Lee, D.S.; Bae, W.J.; Kim, S.; Hong, S.H.; Lee, J.Y.; Hwang, T.-K.; Kim, S.W. Functional and Molecular Changes of the Bladder in Rats with Crushing Injury of Nerve Bundles from Major Pelvic Ganglion to the Bladder: Role of RhoA/Rho Kinase Pathway. Int. J. Mol. Sci. 2013, 14, 17511-17524. https://doi.org/10.3390/ijms140917511
Kim SJ, Lee DS, Bae WJ, Kim S, Hong SH, Lee JY, Hwang T-K, Kim SW. Functional and Molecular Changes of the Bladder in Rats with Crushing Injury of Nerve Bundles from Major Pelvic Ganglion to the Bladder: Role of RhoA/Rho Kinase Pathway. International Journal of Molecular Sciences. 2013; 14(9):17511-17524. https://doi.org/10.3390/ijms140917511
Chicago/Turabian StyleKim, Su Jin, Dong Sup Lee, Woong Jin Bae, Seol Kim, Sung Hoo Hong, Ji Youl Lee, Tae-Kon Hwang, and Sae Woong Kim. 2013. "Functional and Molecular Changes of the Bladder in Rats with Crushing Injury of Nerve Bundles from Major Pelvic Ganglion to the Bladder: Role of RhoA/Rho Kinase Pathway" International Journal of Molecular Sciences 14, no. 9: 17511-17524. https://doi.org/10.3390/ijms140917511
APA StyleKim, S. J., Lee, D. S., Bae, W. J., Kim, S., Hong, S. H., Lee, J. Y., Hwang, T.-K., & Kim, S. W. (2013). Functional and Molecular Changes of the Bladder in Rats with Crushing Injury of Nerve Bundles from Major Pelvic Ganglion to the Bladder: Role of RhoA/Rho Kinase Pathway. International Journal of Molecular Sciences, 14(9), 17511-17524. https://doi.org/10.3390/ijms140917511
