Next Article in Journal
Human Interleukin 23 Receptor Induces Cell Apoptosis in Mammalian Cells by Intrinsic Mitochondrial Pathway Associated with the Down-Regulation of RAS/Mitogen-Activated Protein Kinase and Signal Transducers and Activators of Transcription factor 3 Signaling Pathways
Previous Article in Journal
Preparation of Magnetic Carbon Nanotubes (Mag-CNTs) for Biomedical and Biotechnological Applications
 
 
Font Type:
Arial Georgia Verdana
Font Size:
Aa Aa Aa
Line Spacing:
Column Width:
Background:
Article

Expression Pattern of Class B Gene PAP3 in Flower Development of Pepper

Beijing Key Laboratory of Growth and Developmental Regulation for Protected Vegetable Crops, China Agricultural University, Beijing 100193, China
*
Author to whom correspondence should be addressed.
Int. J. Mol. Sci. 2013, 14(12), 24643-24655; https://doi.org/10.3390/ijms141224643
Submission received: 30 October 2013 / Revised: 24 November 2013 / Accepted: 3 December 2013 / Published: 18 December 2013
(This article belongs to the Section Biochemistry)

Abstract

:
Class B gene APETALA3 (AP3) plays a key role in the development of petals and stamens. Here, we investigated the expression pattern of PAP3 gene (genbank accession number: HM104635) in the buds of cytoplasmic male sterility line 121A and its near-isogenic restorer line 121C at four developmental stages and analyzed the possible association between Class B genes and cytoplasmic male sterility of pepper. Semi-quantitative PCR and quantitative real-time RT-PCR (qRT-PCR) as well as RNA in situ hybridization showed increased expression of PAP3 at late phase of anther development and its higher expression in restorer line compared with sterility line indicating PAP3’s role at late developmental stage of anther and suppressed expression in sterility line. RNA in situ hybridization showed Class B gene features: high abundance in stamen and petal; lower expression in pistil; no expression in sepal. Results of transient expression in onion epidermal cells also showed PAP3 localized in the nucleus, which is consistent with the expression pattern of transcription factors of MADS-box gene family.

Graphical Abstract

1. Introduction

Pepper (Capsicum annuum L.), one of the world’s most important vegetable crops with remarkable food value and economic value, is a flowering plant belonging to Solanaceae. Production of hybrids using cytoplasmic male sterility (CMS) represents an ideal method in seed production of crops, including pepper, due to its low cost and the high purity of seeds [14]. Genes of cytoplasm and nucleus regulate CMS. Regulation on the CMS associated mitochondrial genes may lead to the expression change of nuclear genes, and expression of mitochondrial sterility genes themselves can be inhibited by nuclear genes [57]. Currently, two CMS genes, orf507 and atp6-2, were found in the pepper mitochondria [8]. As for the fertility restorer gene (Rf), studies reported screening using analyses based on the differenced expression but no functional genes were identified [911].
Developmental abnormalities of stamens may disrupt the functions of anther or pollen and eventually lead to sterility. So far, our understanding on the genetic regulation of floral organ development is largely based on the studies using dicotyledonous plants, such as Arabidopsis, Antirrhinum, etc. Initially, the ABC model was proposed to explain floral organ development [12], which evolved to ABCDE model [1319]. The model defines five classes of gene function which regulate floral organ development. Among them, the function of A and E regulate the development of sepals; the function of A, B and E determine the development of petals; the function of B, C and E determine the development of stamens; the function of C and E class genes regulate the development of carpel; the function of C, D and E regulate the development of ovule [9,13,15,1719]. As the function of B class genes regulating floral organ development, MADS-box family members APETALA3 (AP3) and PISTILLATA (PI) are transcriptional factors to form AP3/PI heterodimers regulating the development of petal and stamen. Particularly, mutation of either gene may cause petals to transform sepals and stamens into carpels in some plants such as Arabidopsis and Antirrhinum [20,21]. In addition, AP3 and PI regulate other genes participating in the formations of petal and stamen, while the two genes are also regulated by other genes like LFY, AP1, UFO and ASK1 at different stages during flower development [22,23]. Currently, in plants, more than one AP3/PI homologous genes have been cloned and they appeared to execute different functions [24]. However, we still poorly understand their functions, respectively [25]. Though expression and function analyses of the genes may lay the foundation for revealing the stamen development process and illuminating the mechanism of male sterility, there are not any studies on peppers.
It has been shown that AP3 gene is essential for the development of stamen in higher plants. Exogenous gene interference, silence of AP3 and insertional mutation or deletion directional change of AP3 may lead to the conversion of stamen to carpel at varying degrees [2529]; no pollen production or production of infertile pollen [30,31].
Accordingly, introduction of AP3 homolog to its mutant partially or fully restore the mutated stamens [3234]. In addition, morphological changes may occur during development of cytoplasmic male sterile lines of these CMS model plants, such as tomatoes, carrots and tobacco [35]. These changes normally occur at the late developmental stages of the buds with the conversion of stamen to carpel [3641]. During this process, the CMS plants show striking similarities with the changes that had been previously reported in MADS-box family B-class gene AP3/PI-like mutants of Arabidopsis thaliana [36,39,42]. This suggests that the regulation of B-class gene is disturbed in many CMS systems. Studies on other plant CMS systems such as wheat, the low expression level of AP3 and PI genes might prevented stamens converting into pistil [43,44]. Actually, we have found the silence of PAP3 led to the phenotype of male sterility including shriveled anthers and reduced pollen numbers in restorer line 121C using pepper as a model plant [45].
To investigate the association between the expression of PAP3 and developmental abnormalities of anther, we analyzed the spatial and temporal expression pattern of PAP3, which was screened from a subtractive library of pepper, using buds of male infertility line 121A and near-isogenic restorer line 121C as test plants. This study may help us to further understand the relationship between stamen development and male sterility.

2. Results

2.1. Comparison with Anther Transcriptome

Local blast showed PAP3 gene corresponds to comp54456_c0_seq1 in pepper anther transcriptome with a similarity of 99.85% and an E value of 0. There is no expression difference of comp54456_c0_seq1 between CMS line and restorer line based on the results of transcriptome sequencing.

2.2. Cloning of PAP3 in CMS Line 121A

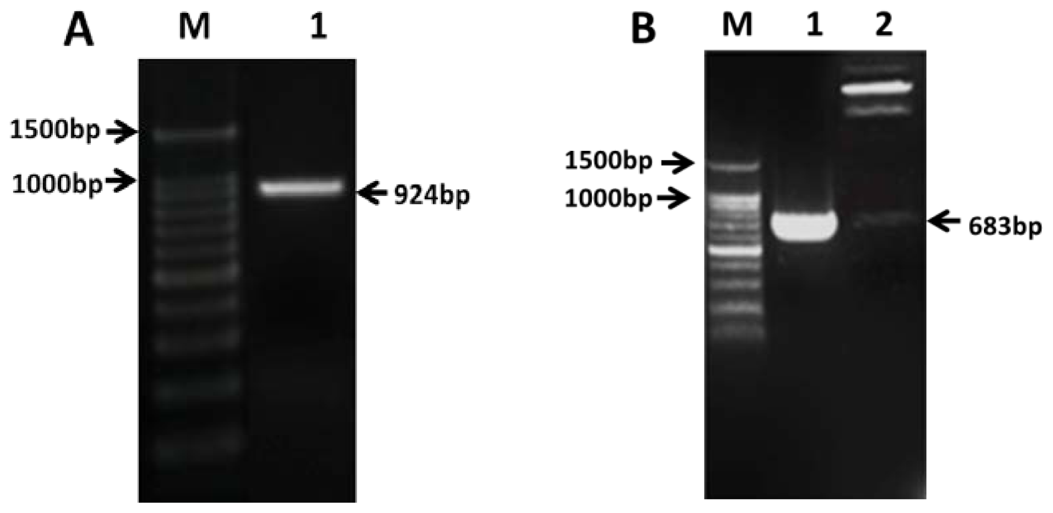
PCR amplification based on PAP3 gene of restorer line produced 924 bp band (including ORF 681 bp) of the target gene (Figure 1A). Sequence alignment using DNAMAN version 6.0 software [46] showed no difference between the mRNA of this gene and PAP3 gene of restorer line indicating the PAP3 genes from the two resources are identical. Implicating the different phenotypes may result from difference of expressions instead of base sequence.

2.3. Construction of Transient Expressing Vector

The vector plasmid pCAMBIA1302 and target gene plasmid were digested using SpeI/BglII and target band was recovered to obtain the recombinant plasmid pCAMBIAl302-PAP3 by linking vector and target gene. The recombinant plasmid was subjected to validation using PCR and enzyme digestion (Figure 1B) showing a 683 bp band, which is consistent with the inserted target gene.

2.4. Subcellular Localization of Gene Expression

To investigate the subcellular distribution of PAP3 protein in the plant, we introduced the transient expression vector pCAMBIA1302-PAP3 fusion gene in the onion epidermal cells using gene gun bombardment and examined its expression of the green fluorescent protein (GFP) under laser confocal microscope. GFP signal could be observed throughout the cell membrane, cytoplasm and nucleus in the cells with expressing vector control pCAMBIA1302 (Figure 2c). However, GFP expression is only present in the nucleus (Figure 2f) indicating PAP3 is a nuclear gene, a feature shared with class B transcriptional factors of MADS-box family.

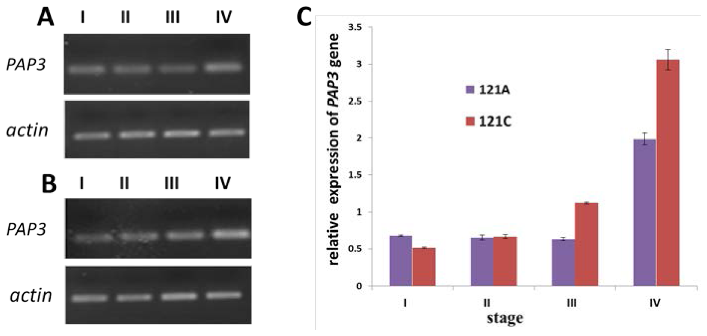
2.5. Expression of PAP3 Measured by Semi-Quantitative RT-PCR and qRT-PCR

In order to understand the expression of PAP3 in 121A and 121C, we initially applied RT-PCR and qRT-PCR for our research. As shown in Figure 3, PAP3 was present in each developmental stage of CMS line and restorer line with the highest abundance in the late stage (binucleate) during microspore development (Figure 3A(IV),B(IV)). Expression level in restorer line is higher than that of CMS line (Figure 3A(IV),B(IV)).
qRT-PCR showed the similar results as semi-quantitative RT-PCR. Specifically, PAP3 expression of restorer line in late-uninucleate and binucleate microspores was higher than that of CMS line (Figure 3C(III,IV)). However, the difference was not obvious at tetrad and early-or mid-uninucleate.

2.6. RNA in Situ Hybridization of PAP3

The apical meristem picked up from the 20 and 25 day seedling of pepper was used for RNA in situ hybridization. In restorer line, PAP3 is abundant in petals, stamen and pistil primordial at the early stage of flower bud differentiation (Figure 4b). Later on, PAP3 became abundant in stamen primordial and was poorly expressed in petal primordial and pistil primordial (Figure 4c). The expression pattern of PAP3 in 121A is similar with 121C (data not shown).
In microspores, PAP3 mainly localizes at anthers, it expresses during the development and achieves its abundance peaks at the late stage (Figure 5). There was no obvious difference between the CMS line and restorer line at early developmental stage (tetrad and early- or mid-uninucleate) (Figure 5a,b,e,f). However, The expression of PAP3 in restorer line is much higher than the CMS line (Figure 5c-1,d-1,g-1,h-1) at late developmental stage (late-uninucleate, binucleate). These results suggest PAP3 gene may be involved in the regulation of pollen development, especially the mature process of pollen.

3. Discussion

In most studied angiosperms, AP3 and PI genes were shown to be expressed in petals and stamens except that they are occasionally present in the first and fourth whorls of flower and non-floral tissues [47]. The class B gene expressed in the developmental petals and stamens of Brassica napus L. AP3 and PI expressed in floral tissue of Arabidopsis and seeds, leaves and roots of maize [4850]. Class B genes were also shown to expressed in vascular bundle, stalk, embryonic primordial of developing tubes in aconite (Eranthis hyemalis) [51]. These studies suggest expression patterns of class B genes such as AP3 and PI are not conservative and vary in different plants [52].
PAP3 expression sites of flower are similar in CMS line and restorer line. PAP3 is abundant in stamen but not in petal primordia at the early stage of flower bud development indicating PAP3 may regulate the development of petal and stamen. Besides, PAP3 is present in stamen, pistil and petals through the bud development with the highest abundance in stamen. However, PAP3 is not expressed in sepals. Our findings is consistent with early report showing continuous expression of developmental marker gene like PAP3 not only occurs in primordial of specific flora organ but also continues to the late stage of development [53].
Prior studies have shown that expression of AP3 and PI genes are suppressed in the flowers of sterile plants [42,44,54]. Other studies showed distinct expression levels of AP3 gene between sterile and fertile lines and its abundance in sterile line was lower than in fertile line at the late bud development stage [36,43,55]. In the present study, we found PAP3 expression is low at the early stage during microspore development and increased at late stage in both CMS line and restorer line indicating PAP3 is not only present in floral primordia but also may play a role in the pollen maturation process. In addition, PAP3 showed similar expression levels at early stages during microspore development between the CMS and restorer lines but expression of CMS line became much lower than the restorer line at late developmental stage. But PAP3’s counterpart unigene comp54456_c0_seq1 in pepper transcriptome showed similar expression levels in CMS and restorer lines, which could be explained by the sequencing of transcriptome using mixed anthers from different developmental stages [43].
During anther development, abnormity in any stage may affect the normal development of pollen microspore. We found pollen from male sterile line showed irregular shape, uneven size and emptiness and spallation at the late anther developmental stage (Figure 5d-1). However, restorer line appeared uniformed size, plump wall and free of shrinkage (Figure 5h-1) with lower expression level of CMS PAP3 compared with restorer line at late developmental stage of anther. Thus, the morphological difference may suggest PAP3 plays a role in the anther development, which warrants further studies for validation.

4. Experimental Section

4.1. Materials of Plants

Cytoplasmic male sterility line 121A and its isogenic restorer 121C were cultivated in the greenhouse of experimental station in China Agricultural University in 2012. Buds from the four developmental phases (tetrad, early-or mid-uninucleate, late-uninucleate, binucleate) in bud stage [56] were used for in situ hybridization and collected anther was used for semi-quantitative RT-PCR and qRT-PCR. Anther was harvested from the buds of 121A and 121C with white petals and used to clone PAP3 gene and analyze transient expression in onion epidermal cells. In addition, the apical meristem of the seedling was harvested from 20d and 25d cultivation of CMS line and restorer lines for in situ hybridization.

4.2. Gene Cloning and Blast

An EST showing 91% homology with class B gene TAP3 in Tomato flower was identified by screening using cDNA library induced by pepper CMS, which was constructed previously in our lab. We obtained 929 bp full length gene by RACE technology and named it as PAP3 (genbank accession number: HM104635). Phylogenetic analysis showed PAP3 is clustered into one group with the AP3 gene of Arabidopsis [45].
Blasting PAP3 in pepper anther transcriptome which was established in our lab [4] (with the same lines) was performed to identify the sequence with the highest similarity.

4.3. RNA Extraction and cDNA Synthesis

RNA was isolated using SV total RNA Isolation System Kit (Promega Inc., Madison, WI, USA) following instructions. cDNA was synthesized using PrimeScript 1st Strand cDNA synthesis kit (Takara, Dalian, China).

4.4. Cloning of PAP3 in CMS Line

PAP3 gene in CMS line was cloned used primers F and R (Table 1) designed based on PAP3 full length sequence. PCR was performed in total volumes of 25 μL containing 1 μL of cDNA, 5 μL of 5× PrimeSTAR® Buffer (Mg2+ plus; Takara, Dalian, China), 15.75 μL of ddH2O, 2 μL of dNTP mixture, 0.5 μL of specific F/R primers respectively, 0.25 μL of PrimeSTAR® HS DNA Polymerase. The PCR condition was as follows: 94 °C for 3 min; 35 cycles of 94 °C for 40 s, 55 °C 40 s, 72 °C for 1 min; finally 72 °C for 8 min. The product was separated on 1% agarose gel electrophoresis and purified using a DNA purification kit (BIOMED, Beijing, China) then sequenced. The clone and sequence were repeated 20 times.

4.5. Transient Expression of PAP3 in Onion Epidermal Cells

Based on the full length PAP3 sequence and pCAMBIA1302 vector’s restriction sites, two enzyme restrictions sites SpeI and BglII were picked up to design the primers SL-F and SL-R (Table 1 underlines indicate digestion sites of SpeI and BglII). Reverse transcription cDNA was used as template to amplify the coding region of the target gene (stop code was not included). The resulting PCR amplified products were inserted to the pCAMBIA1302 vector at the N-terminus of the GFP gene to generate pEGFP-PAP3. Verified by sequencing, pEGFP-PAP3 and an empty vector were transferred into onion epidermal cells using the particle bombardment method, respectively. The fluorescence signals were detected using laser confocal microscope.

4.6. Semi Quantitative RT-PCR and qRT-PCR

The pepper actin (GenBank: GQ339766.1) gene was served as the internal control of semi-quantittive RT-PCR and qRT-PCR. The cycling parameters of relative RT-PCR were: 94 °C for 3 min followed by 28 cycles of 94 °C for 30 s, 53 °C for 30 s, 72 °C for 30 s, and final elongation at 72 °C for 3 min. PCR products were visualized by 1% gel electrophoresis. qRT-PCR was performed using THUNDERBIRD SYBR qPCR Mix From BEIJING TINYOO Biotechnology Co., Ltd (Beijing, China). The primers for semi-quantitive RT-PCR and qRT-PCR were listed in Table 1 (PAP3-F and PAP3-R). Expression levels of the unigenes were calculated from the threshold cycle using the 2−ΔΔCT method [57].

4.7. In Situ Hybrization

Specific primers SH-F and SH-R were designed according to PAP3 gene (Table 1) to prepare probe template (product contains ORF excluded stop code). Digoxigenin-labeled sense and antisense probes of PAP3 gene were generated using SP6/T7 RNA polymerase through PCR amplification of cDNA and then kept in 50% formamide. Fixation of the samples and paraffin sectioning were previously described.
Before the hybridization, the sections were pretreated (dewaxing, rehydration and protease treatment). The glycine buffer was used to stop the reaction and the tissue was re-fixed. After acetic anhydride treatment following washing and dehydration, the class was kept in sealed plastic boxes at 4 °C for 4–5 h. The diluted probes were denatured at 80 °C for 2 min and kept on ice.
In situ hybridization was performed following a protocol described elsewhere [58].

5. Conclusions

Through expression analyses we confirmed the PAP3 gene as a class B gene of pepper, for its location in nucleus and highest expression in stamen. Our results also showed significantly higher expression in 121C than 121A during late-uninucleate and binucleate phases of microspore. Though preliminary functional verification by virus induced gene silencing has been implemented previously, transgenic experiments still need to be done for further verification of PAP3 gene for its effect on another development in the pepper cytoplasmic male sterile line.

Acknowledgments

Funded by National Natural Science Foundation project (project number: 31071806) and a grant for innovative team of fruit vegetables of modern agricultural technology in Beijing, China.

Conflicts of Interest

The authors declare no conflict of interest.

References

  1. Mackenzie, S.A. The influence of mitochondrial genetics on crop breeding strategies. Plant Breed. Rev 2005, 25, 115–138. [Google Scholar]
  2. Schnable, P.S.; Wise, R.P. The molecular basis of cytoplasmic male sterility and fertility restoration. Trends Plant Sci 1998, 3, 175–180. [Google Scholar]
  3. Liu, W.Y.; Gniffke, P.A. Stability of AVRDC’s cytoplasmic male sterile (CMS) pepper lines grown under low temperature. Capsicum Eggplant Newsl 2004, 23, 85–88. [Google Scholar]
  4. Zhang, B.X.; Huang, S.W.; Yang, G.; Guo, J. Two RAPD markers linked to a major fertility restorer gene in pepper. Euphytica 2000, 113, 155–161. [Google Scholar]
  5. Chase, C.D. Cytoplasmic male sterility: A window to the world of plant mitochondrial-nuclear interactions. Trends Genet 2007, 23, 81–90. [Google Scholar]
  6. Linke, B.; Borner, T. Mitochondrial effects on flower and pollen development. Mitochondrion 2005, 5, 389–402. [Google Scholar]
  7. Carlsson, J.; Leino, M.; Sohlberg, J.; Sundstroem, J.F.; Glimelius, K. Mitochondrial regulation of flower development. Mitochondrion 2008, 8, 74–86. [Google Scholar]
  8. Gulyas, G.; Shin, Y.S.; Kim, H.T.; Lee, J.S.; Hirata, Y. Altered transcript reveals an Orf507 sterility-related gene in chili pepper (Capsicum annuum L.). Plant Mol. Biol. Rep 2010, 28, 605–612. [Google Scholar]
  9. Liu, C.; Ma, N.; Wang, P.Y.; Nan, F.; Shen, H.L. Transcriptome sequencing and de novo analysis of a cytoplasmic male sterile line and its near-isogenic restorer line in chili pepper (Capsicum annuum L.). PLoS One 2013, 8, e65209. [Google Scholar]
  10. Guo, S.; Shen, H.L.; Yang, W.C. Isolation of fertility restoration-related ESTs in pepper cytoplasmic male sterility lines using SSH. Acta Hortic. Sin 2009, 36, 1443–1449. [Google Scholar]
  11. Guo, S.; Ma, N.; Yang, W.C. Expression analysis of restorer alleles-induced genes in pepper. Agric. Sci. China 2011, 10, 1010–1015. [Google Scholar]
  12. Coen, E.S.; Meyerowitz, E.M. The war of the whorls: Genetic interactions controlling flower development. Nature 1991, 353, 31–37. [Google Scholar]
  13. Purugganan, M.D.; Rounsley, S.D.; Schmidt, R.J.; Yanofsky, M.F. Molecular evolution of flower development: Diversification of the plant MADS-box regulatory gene family. Genetics 1995, 140, 345–356. [Google Scholar]
  14. Rounsley, S.D.; Ditta, G.S.; Yanofsky, M.F. Diverse roles for MADS-box genes in Arabidopsis development. Plant Cell 1995, 7, 1259–1269. [Google Scholar]
  15. Pelaz, S.; Ditta, G.S.; Baumann, E.; Wisman, E.; Yanofsky, M.F. B and C floral organ identity functions require SEPALLATA MADS-box genes. Nature 2000, 405, 200–203. [Google Scholar]
  16. Theissen, G. Development of floral organ identity: Stories from the MADS house. Curr. Opin. Plant Biol 2001, 4, 75–85. [Google Scholar]
  17. Honma, T.; Goto, K. Complexes of MADS-box proteins are sufficient to convert leaves into floral organs. Nature 2001, 409, 525–529. [Google Scholar]
  18. Litt, A.; Kramer, E.M. The ABC model and the diversification of floral organ identity. Semin. Cell Dev. Biol 2010, 21, 129–137. [Google Scholar]
  19. Theissen, G.; Becker, A.; di Rosa, A.; Kanno, A.; Kim, J.T.; Munster, T.; Winter, K.U.; Saedler, H. A short history of MADS-box genes in plants. Plant Mol. Biol 2000, 42, 115–149. [Google Scholar]
  20. Jack, T.; Fox, G.L.; Meyerowitz, E.M. Arabidopsis homeotic gene APETALA3 ectopic expression: Transcriptional and posttranscriptional regulation determine floral organ identity. Cell 1994, 76, 703–716. [Google Scholar]
  21. Lohmann, J.U.; Weigel, D. Building beauty: The genetic control of floral patterning. Dev. Cell 2002, 2, 135–142. [Google Scholar]
  22. Lamb, R.S.; Hill, T.A.; Tan, Q.K.; Irish, V.F. Regulation of APETALA3 floral homeotic gene expression by meristem identity genes. Development 2002, 129, 2079–2086. [Google Scholar]
  23. Laufs, P.; Coen, E.; Kronenberger, J.; Traas, J.; Doonan, J. Separable roles of UFO during floral development revealed by conditional restoration of gene function. Development 2003, 130, 785–796. [Google Scholar]
  24. Zhou, L.; Zhou, Y.T.; Wang, M.L.; Wang, H.Y.; Zhao, Y. Expressions and dimerization affinities of three highly identical APETALA3 genes in Brassica napus. Biol. Plant 2010, 54, 33–40. [Google Scholar]
  25. Roque, E.; Serwatowska, J.; Cruz Rochina, M.; Wen, J.Q.; Mysore, K.S.; Yenush, L.; Beltran, J.P.; Canas, L.A. Functional specialization of duplicated AP3-like genes in Medicago truncatula. Plant J 2013, 73, 663–675. [Google Scholar]
  26. Zhang, Y.F.; Wang, X.F.; Zhang, W.X.; Yu, F.; Tian, J.H.; Li, D.R.; Guo, A.G. Functional analysis of the two Brassica AP3 genes involved in apetalous and stamen carpelloid phenotypes. PLoS One 2011, 6, e20930. [Google Scholar]
  27. Xiao, H.; Wang, Y.; Liu, D.F.; Wang, W.M.; Li, X.B.; Zhao, X.F.; Xu, J.C.; Zhai, W.X.; Zhu, L.H. Functional analysis of the rice AP3 homologue OsMADS16 by RNA interference. Plant Mol. Biol 2003, 52, 957–966. [Google Scholar]
  28. Kyozuka, J.; Kobayashi, T.; Morita, M.; Shimamoto, K. Spatially and temporally regulated expression of rice MADS-box genes with similarity to Arabidopsis class A, B and C genes. Plant Cell Physiol 2000, 41, 710–718. [Google Scholar]
  29. Kang, H.G.; Jeon, J.S.; Lee, S.; An, G. Identification of class B and class C floral organ identity genes from rice plants. Plant Mol. Biol 1998, 38, 1021–1029. [Google Scholar]
  30. Sharma, B.; Kramer, E. Sub- and neo-functionalization of APETALA3 paralogs have contributed to the evolution of novel floral organ identity in Aquilegia (columbine, Ranunculaceae). New Phytol 2013, 197, 949–957. [Google Scholar]
  31. Sato, H.; Yoshida, K.; Mitsuda, N.; Ohme-Takagi, M.; Takamizo, T. Male-sterile and cleistogamous phenotypes in tall fescue induced by chimeric repressors of SUPERWOMAN1 and OsMADS58. Plant Sci 2012, 183, 183–189. [Google Scholar]
  32. Su, K.M.; Zhao, S.H.; Shan, H.Y.; Kong, H.Z.; Lu, W.L.; Theissen, G.; Chen, Z.D.; Meng, Z. The MIK region rather than the C-terminal domain of AP3-like class B floral homeotic proteins determines functional specificity in the development and evolution of petals. New Phytol 2008, 178, 544–558. [Google Scholar]
  33. Whipple, C.J.; Ciceri, P.; Padilla, C.M.; Ambrose, B.A.; Bandong, S.L.; Schmidt, R.J. Conservation of B-class floral homeotic gene function between maize and Arabidopsis. Development 2004, 131, 6083–6091. [Google Scholar]
  34. Pylatuik, J.D.; Lindsay, D.L.; Davis, A.R.; Bonham-Smith, P.C. Isolation and characterization of a Brassica napus cDNA corresponding to a B-class floral development gene. J. Exp. Bot 2003, 54, 2385–2387. [Google Scholar]
  35. Hanson, M.R.; Bentolila, S. Interactions of mitochondrial and nuclear genes that affect male gametophyte development. Plant Cell 2004, 16, S154–S169. [Google Scholar]
  36. Teixeira, R.T.; Farbos, I.; Glimelius, K. Expression levels of meristem identity and homeotic genes are modified by nuclear-mitochondrial interactions in alloplasmic male-sterile lines of Brassica napus. Plant J 2005, 42, 731–742. [Google Scholar]
  37. Farbos, I.; Mouras, A.; Bereterbide, A.; Glimelius, K. Defective cell proliferation in the floral meristem of alloplasmic plants of Nicotiana tabacum leads to abnormal floral organ development and male sterility. Plant J 2001, 26, 131–142. [Google Scholar]
  38. Kofer, W.; Glimelius, K.; Bonnett, H.T. Modifications of mitochondrial DNA cause changes in floral development in homeotic-like mutants of tobacco. Plant Cell 1991, 3, 759–769. [Google Scholar]
  39. Linke, B.; Nothnagel, T.; Borner, T. Flower development in carrot CMS plants: Mitochondria affect the expression of MADS-box genes homologous to GLOBOSA and DEFICIENS. Plant J 2003, 34, 27–37. [Google Scholar]
  40. Leino, M.; Teixeira, R.; Landgren, M.; Glimelius, K. Brassica napus lines with rearranged Arabidopsis mitochondria display CMS and a range of developmental aberrations. Theor. Appl. Genet 2003, 106, 1156–1163. [Google Scholar]
  41. Zubko, M.K.; Zubko, E.I.; Patskovsky, Y.V.; Khvedynich, O.A.; Fisahn, J.; Gleba, Y.Y.; Schieder, O. Novel “homeotic” CMS patterns generated in Nicotiana via cybridiza-tion with Hyoscyamusand Scopolia. J. Exp. Bot 1996, 47, 1101–1110. [Google Scholar]
  42. Murai, K.; Takumi, S.; Koga, H.; Ogihara, Y. Pistillody, homeotic transformation of stamens into pistil-like structures, caused by nuclear-cytoplasm interaction in wheat. Plant J 2002, 29, 169–181. [Google Scholar]
  43. Zheng, B.B.; Wu, X.M.; Ge, X.X.; Deng, X.X.; Grosser, J.W.; Guo, W.W. Comparative transcript profiling of a male sterile cybrid pummelo and its fertile type revealed altered gene expression related to flower development. PLoS One 2012, 7, e43758. [Google Scholar]
  44. Hama, E.; Takumi, S.; Ogihara, Y.; Murai, K. Pistillody is caused by alterations to the class-B MADS-box gene expression pattern in alloplasmic wheats. Planta 2004, 218, 712–720. [Google Scholar]
  45. Ma, N.; Liu, C.; Yang, W.; Shen, H. PAP3 regulates stamen but not petal development in Capsicum annuum L. J. Am. Chem. Soc. unpublished work.
  46. Geng, X.S.; Yang, M.Z.; Huang, X.Q.; Cheng, Z.Q.; FU, J.; Sun, T.; Li, J. Cloning and analyzing of rice blast resistance gene Pi-ta+ allele from Jinghong erect type of common wild rice (Oryza rufipogon Griff) in Yunnan. Hereditas 2008, 30, 109–114. [Google Scholar]
  47. Zahn, L.M.; Leebens-Mack, J.; DePamphilis, C.W.; Theissen, G. To B or Not to B a flower: The role of DEFICIENS and GLOBOSA orthologs in the evolution of the angiosperms. J. Hered 2005, 96, 225–240. [Google Scholar]
  48. Munster, T.; Wingen, L.U.; Faigl, W.; Werth, S.; Saedler, H.; Theissen, G. Characterization of three GLOBOSA-like MADS-box genes from maize: Evidence for ancient paralogy in one class of floral homeotic B-function genes of grasses. Gene 2001, 262, 1–13. [Google Scholar]
  49. Yu, D.; Kotilainen, M.; Pollanen, E.; Mehto, M.; Elomaa, P.; Helariutta, Y.; Albert, V.A.; Teeri, T.H. Organ identity genes and modified patterns of flower development in Gerbera hybrida (Asteraceae). Plant J 1999, 17, 51–62. [Google Scholar]
  50. Southerton, S.G.; Marshall, H.; Mouradov, A.; Teasdale, R.D. Eucalypt MADS-box genes expressed in developing flowers. Plant Physiol 1998, 118, 365–372. [Google Scholar]
  51. Skipper, M. Genes from the APETALA3 and PISTILLATA lineages are expressed in developing vascular bundles of the tuberous rhizome, flowering stem and flower Primordia of Eranthis hyemalis. Ann. Bot 2002, 89, 83–88. [Google Scholar]
  52. Qin, Q.P.; Yin, T.; Chen, J.W.; Xie, M.; Zhang, S.L. APETALA3/DEFICIENS and PISTILLATA/GLOBOSA genes with floral development of plant. Chin. J. Cell Biol 2006, 28, 571–576. [Google Scholar]
  53. Krizek, B.A.; Fletcher, J.C. Molecular mechanisms of flower development: Anarmchair guide. Nat. Rev. Genet 2005, 6, 688–698. [Google Scholar]
  54. Carlsson, J.; Lagercrantz, U.; Sundstrom, J.; Teixeira, R.; Wellmer, F.; Meyerowitz, E.M.; Glimelius, K. Microarray analysis reveals altered expression of a large number of nuclear genes in developing cytoplasmic male sterile Brassica napus flowers. Plant J 2007, 49, 452–462. [Google Scholar]
  55. Yang, J.H.; Qi, X.H.; Zhang, M.F. MADS-box genes are associated with cytoplasmic homeosis in cytoplasmic male-sterile stem mustard as partially mimicked by specifically inhibiting mtETC. Plant Growth Regul 2008, 56, 191–201. [Google Scholar]
  56. Zhang, J.P.; Gong, Z.H.; Liu, K.K.; Huang, W.; Li, D.W. Interrelation of cytological development period of pepper’s microspore and the morphology of flower organ. J. Northwest A&F Univ 2007, 35, 154–158. [Google Scholar]
  57. Livak, K.J.; Schmittgen, T.D. Analysis of relative gene expression data using real-time quantitative PCR and the 2(T)(-Delta Delta C) method. Methods 2001, 25, 402–408. [Google Scholar]
  58. Zhang, X.; Madi, S.; Borsuk, L.; Nettleton, D.; Elshire, R.J.; Buckner, B.; Janick-Buckner, D.; Beck, J.; Timmermans, M.; Schnable, P.S.; et al. Laser microdissection of narrow sheath mutant maize uncovers novel gene expression in the shoot apical meristem. PLoS Genet 2007, 3, e101. [Google Scholar]
Figure 1. (A) Cloning of PAP3 in sterile line. M: 100 bp DNA ladder; 1: band of target gene (924 bp); and (B) Double digestion to verify the vector. M: 100 bp DNA ladder; 1: recombinant vector pCAMBIA1302-PAP3; 2: double digestion of pCAMBIA1302-PAP3 at SpeI/BglII.
Figure 1. (A) Cloning of PAP3 in sterile line. M: 100 bp DNA ladder; 1: band of target gene (924 bp); and (B) Double digestion to verify the vector. M: 100 bp DNA ladder; 1: recombinant vector pCAMBIA1302-PAP3; 2: double digestion of pCAMBIA1302-PAP3 at SpeI/BglII.
Ijms 14 24643f1
Figure 2. Subcellular localization of PAP3. (ac) showed onion epidermal cells infected with pCAMBIA1302 vector as positive control; (df) showed onion epidermal cells infected with pCAMBIA1302-PAP3; (a,d) GFP signal; (b,e) Bright-field image; and (c,f) Merging of GFP signal, GFP signal and bright-field image. GFP-PAP3 fusion protein was located in the nuclei. Arrows indicate nucleus. Amplification factor of the microscope was 200× (ac) and 100× (df), respectively.
Figure 2. Subcellular localization of PAP3. (ac) showed onion epidermal cells infected with pCAMBIA1302 vector as positive control; (df) showed onion epidermal cells infected with pCAMBIA1302-PAP3; (a,d) GFP signal; (b,e) Bright-field image; and (c,f) Merging of GFP signal, GFP signal and bright-field image. GFP-PAP3 fusion protein was located in the nuclei. Arrows indicate nucleus. Amplification factor of the microscope was 200× (ac) and 100× (df), respectively.
Ijms 14 24643f2
Figure 3. PAP3 expression measured by semi-quantitative RT-PCR and qRT-PCR. (A) The expression of microspore from sterile line 121A; (B) the expression of microspore from restorer line 121C; and (C) PAP3 expression measured by qRT-PCR. I, II, III and IV showed the four developmental phases (tetrad, early-or mid-uninucleate, late-uninucleate, binucleate) of microspore; Actin of Pepper served as internal control.
Figure 3. PAP3 expression measured by semi-quantitative RT-PCR and qRT-PCR. (A) The expression of microspore from sterile line 121A; (B) the expression of microspore from restorer line 121C; and (C) PAP3 expression measured by qRT-PCR. I, II, III and IV showed the four developmental phases (tetrad, early-or mid-uninucleate, late-uninucleate, binucleate) of microspore; Actin of Pepper served as internal control.
Ijms 14 24643f3
Figure 4. Expression of PAP3 at apical meristem. (b,c) showed apical meristem of pepper at 20 and 25 days, respectively; and (a) showed SP6 negative control with no signals. Amplification factor of the microscope was 100× (a,b) and 200× (c), respectively. Arrows indicate sites of stamen, pistil and petal primordial with high abundance of PAP3.
Figure 4. Expression of PAP3 at apical meristem. (b,c) showed apical meristem of pepper at 20 and 25 days, respectively; and (a) showed SP6 negative control with no signals. Amplification factor of the microscope was 100× (a,b) and 200× (c), respectively. Arrows indicate sites of stamen, pistil and petal primordial with high abundance of PAP3.
Ijms 14 24643f4
Figure 5. Expression of PAP3 during bud development of pepper fertile and CMS lines. Buds from different development stages were shown under the objective of 100× (ai) and 200× (j,c-1,d-1,g-1,h-1), respectively; (i,j) were SP6 negative controls; (ad) showed the four phases during bud development (tetrad, Early-or mid-uninucleate, late-uninucleate, binucleate) in CMS line; (eh) showed the four phases during bud development (tetrad, early-or mid-uninucleate, late-uninucleate, binucleate) in restorer line; (c-1,d-1,g-1,h-1) were picked up and amplified form (c,d,g,h), respectively. PAP3 gene is expressed mostly in the specific organs in anther (c-1,d-1,g-1,h-1). Arrows indicate sites of anther. S, sepal; P, petal; St, stamen; Ca, carpel.
Figure 5. Expression of PAP3 during bud development of pepper fertile and CMS lines. Buds from different development stages were shown under the objective of 100× (ai) and 200× (j,c-1,d-1,g-1,h-1), respectively; (i,j) were SP6 negative controls; (ad) showed the four phases during bud development (tetrad, Early-or mid-uninucleate, late-uninucleate, binucleate) in CMS line; (eh) showed the four phases during bud development (tetrad, early-or mid-uninucleate, late-uninucleate, binucleate) in restorer line; (c-1,d-1,g-1,h-1) were picked up and amplified form (c,d,g,h), respectively. PAP3 gene is expressed mostly in the specific organs in anther (c-1,d-1,g-1,h-1). Arrows indicate sites of anther. S, sepal; P, petal; St, stamen; Ca, carpel.
Ijms 14 24643f5
Table 1. Primers for expression analyses of PAP3.
Table 1. Primers for expression analyses of PAP3.
PrimersSequences (5′–3′)
FAGACCTTTTAGGGTTTGAGT
RACACACTGAATTAAGCAAAA
PAP3-FGGTGGATTAGTTGAGCAGGA
PAP3-RGATGATTTGGTTGAAGGCGT
ACTIN-FAGCACCTCTCAACCCTAA
ACTIN-RGCAAAGCATAACCCTCAT
SH-FGATTTAGGTGACACTATAGAATGCTAGA
AAATAGAAAAAAAGTATGGCTC
SH-RTGTAATACGACTCACTATAGGG
ACCTAGACCAAAAGTAGTAATATCA
SL-FGAAGATCTTCAGAAAATAGAAAAAAAGTATGGCTC
SL-RGGACTAGTCC ACCTAGACCAAAAGTAGTAATATCA

Share and Cite

MDPI and ACS Style

Li, X.; Liu, C.; Da, F.; Ma, N.; Shen, H. Expression Pattern of Class B Gene PAP3 in Flower Development of Pepper. Int. J. Mol. Sci. 2013, 14, 24643-24655. https://doi.org/10.3390/ijms141224643

AMA Style

Li X, Liu C, Da F, Ma N, Shen H. Expression Pattern of Class B Gene PAP3 in Flower Development of Pepper. International Journal of Molecular Sciences. 2013; 14(12):24643-24655. https://doi.org/10.3390/ijms141224643

Chicago/Turabian Style

Li, Xin, Chen Liu, Fengjiao Da, Ning Ma, and Huolin Shen. 2013. "Expression Pattern of Class B Gene PAP3 in Flower Development of Pepper" International Journal of Molecular Sciences 14, no. 12: 24643-24655. https://doi.org/10.3390/ijms141224643

APA Style

Li, X., Liu, C., Da, F., Ma, N., & Shen, H. (2013). Expression Pattern of Class B Gene PAP3 in Flower Development of Pepper. International Journal of Molecular Sciences, 14(12), 24643-24655. https://doi.org/10.3390/ijms141224643

Article Metrics

Back to TopTop