Transient Co-Expression of Post-Transcriptional Gene Silencing Suppressors for Increased in Planta Expression of a Recombinant Anthrax Receptor Fusion Protein
Abstract
:1. Introduction
2. Results and Discussion
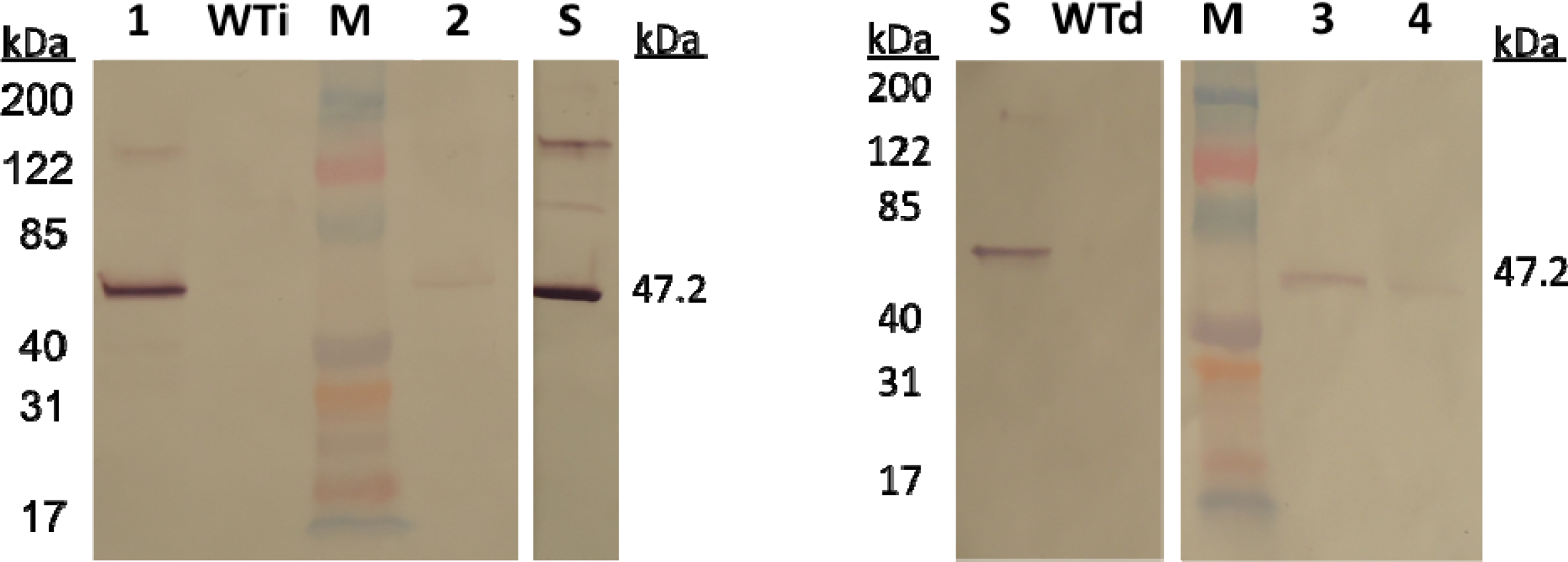
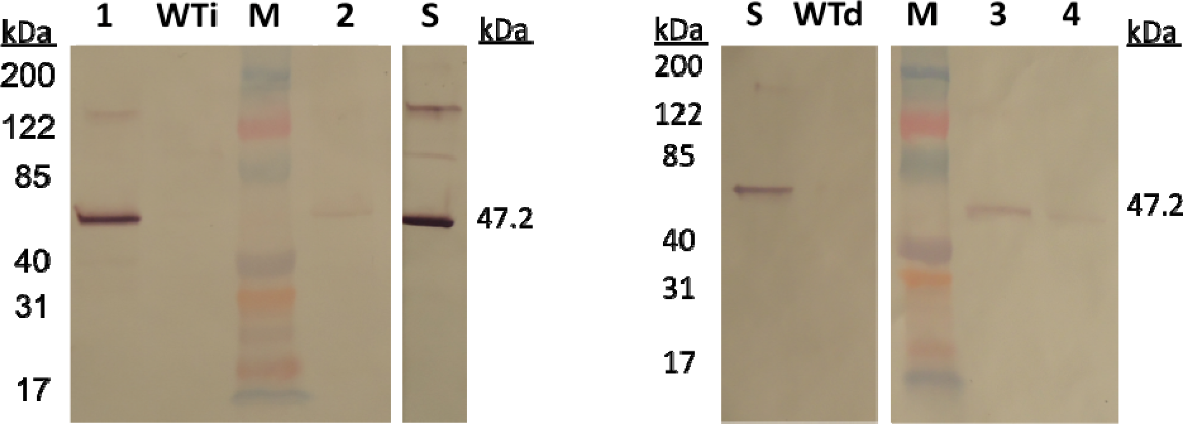
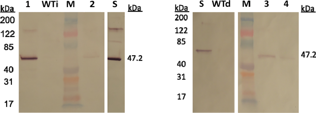
2.1. Effect of PTGS Suppressor Co-Expression on CMG2-Fc Expression Level in Intact Plants
2.2. Effect of PTGS Suppressor Co-Expression on CMG2-Fc Expression Level in Detached Leaves
3. Experimental Section
3.1. Cloning of the CMG2-Fc and Gene Silencing Suppressor Constructs for Agrobacterium Infiltration
3.2. Preparation of Nicotiana benthamiana Plants
3.3. Preparation of Agrobacterium tumefaciens for Agroinfiltration
3.4. Agroinfiltration
3.5. Sampling and CMG2-Fc Protein Extraction
3.6. ELISA Analysis
3.7. Bradford Protein Assay Analysis
3.8. Western Blot Analysis
3.9. Statistical Analysis
4. Conclusions
Acknowledgments
References
- Landry, N; Ward, BJ; Trépanier, S; Montomoli, E; Dargis, M; Lapini, G; Vézina, LP. Preclinical and Clinical Development of Plant-Made Virus-Like Particle Vaccine against Avian H5N1 Influenza. PLoS One 2010, 5, e15559. [Google Scholar]
- Hiatt, A; Pauly, M. Monoclonal antibodies from plants: A new speed record. Proc. Natl. Acad. Sci. USA 2006, 103, 14645–14646. [Google Scholar]
- Fischer, R; Stoger, E; Schillberg, S; Christou, P; Twyman, RM. Plant-based production of biopharmaceuticals. Curr. Opin. Plant Biol 2004, 7, 152–158. [Google Scholar]
- Stoger, E; Sack, M; Perrin, Y; Vaquero, C; Torres, E; Twyman, RM; Christou, P; Fischer, R. Practical considerations for pharmaceutical antibody production in different crop systems. Mol. Breed 2002, 9, 149–158. [Google Scholar]
- Twyman, RM; Stoger, E; Schillberg, S; Christou, P; Fischer, R. Molecular farming in plants: host systems and expression technology. Trends Biotechnol 2003, 21, 570–578. [Google Scholar]
- Hood, EE; Woodard, SL; Horn, ME. Monoclonal antibody manufacturing in transgenic plants—myths and realities. Curr. Opin. Biotechnol 2002, 13, 630–635. [Google Scholar]
- Gleba, Y; Klimyuk, V; Marillonnet, S. Magnifection—a new platform for expressing recombinant vaccines in plants. Vaccine 2005, 23, 2042–2048. [Google Scholar]
- Ma, JKC; Drake, PMW; Christou, P. The production of recombinant pharmaceutical proteins in plants. Nat. Rev. Genet 2003, 4, 794–805. [Google Scholar]
- Joh, LD; VanderGheynst, JS. Agroinfiltration of plant tissues for production of high-value recombinant proteins: An alternative to production in transgenic crops. J. Sci. Food Agric 2006, 86, 2002–2004. [Google Scholar]
- Kapila, J; DeRycke, R; VanMontagu, M; Angenon, G. An Agrobacterium-mediated transient gene expression system for intact leaves. Plant Sci 1997, 122, 101–108. [Google Scholar]
- Bendandi, M; Marillonnet, S; Kandzia, R; Thieme, F; Nickstadt, A; Herz, S; Froede, R; Inoges, S; Lopez-Diaz de Cerio, A; Soria, E; et al. Rapid, high-yield production in plants of individualized idiotype vaccines for non-Hodgkin’s lymphoma. Ann. Oncol 2010, 21, 2420–2427. [Google Scholar]
- Gleba, Y; Klimyuk, V; Marillonnet, S. Viral vectors for the expression of proteins in plants. Curr. Opin. Biotechnol 2007, 18, 134–141. [Google Scholar]
- Giritch, A; Marillonnet, S; Engler, C; van Eldik, G; Botterman, J; Klimyuk, V; Gleba, Y. Rapid high-yield expression of full-size IgG antibodies in plants coinfected with noncompeting viral vectors. Proc. Natl. Acad. Sci. USA 2006, 103, 14701–14706. [Google Scholar]
- Fischer, R; Vaquero-Martin, C; Sack, M; Drossard, J; Emans, N; Commandeur, U. Towards molecular farming in the future: Transient protein expression in plants. Biotechnol. Appl. Biochem 1999, 30, 113–116. [Google Scholar]
- Kalthoff, D; Giritch, A; Geisler, K; Bettmann, U; Klimyuk, V; Hehnen, HR; Gleba, Y; Beer, M. Immunization with plant-expressed hemagglutinin protects chickens from lethal highly pathogenic avian influenza virus H5N1 challenge infection. J. Virol 2010, 84, 12002–12010. [Google Scholar]
- Mett, V; Musiychuk, K; Bi, H; Farrance, CE; Horsey, A; Ugulava, N; Shoji, Y; de la Rosa, P; Palmer, GA; Rabindran, S; et al. A plant-produced influenza subunit vaccine protects ferrets against virus challenge. Influenza Other Respir. Viruses 2008, 2, 33–40. [Google Scholar]
- Pogue, GP; Vojdani, F; Palmer, KE; Hiatt, E; Hume, S; Phelps, J; Long, L; Bohorova, N; Kim, D; Pauly, M; et al. Production of pharmaceutical-grade recombinant aprotinin and a monoclonal antibody product using plant-based transient expression systems. Plant Biotechnol. J 2010, 8, 638–654. [Google Scholar]
- Inglesby, TV; O’Toole, T; Henderson, DA; Bartlett, JG; Ascher, MS; Eitzen, E; Friedlander, AM; Gerberding, J; Hauer, J; Hughes, J; et al. Anthrax as a biological weapon, 2002—Updated recommendations for management. J. Am. Med. Assoc 2002, 287, 2236–2252. [Google Scholar]
- Duesbery, NS; Webb, CP; Leppla, SH; Gordon, VM; Klimpel, KR; Copeland, TD; Ahn, NG; Oskarsson, MK; Fukasawa, K; Paull, KD; et al. Proteolytic inactivation of MAP-kinase-kinase by anthrax lethal factor. Science 1998, 280, 734–737. [Google Scholar]
- Scobie, HM; Rainey, GJA; Bradley, KA; Young, JAT. Human capillary morphogenesis protein 2 functions as an anthrax toxin receptor. Proc. Natl. Acad. Sci. USA 2003, 100, 5170–5174. [Google Scholar]
- Vitale, G; Pellizzari, R; Recchi, C; Napolitani, G; Mock, M; Montecucco, C. Anthrax lethal factor cleaves the N-terminus of MAPKKs and induces tyrosine/threonine phosphorylation of MAPKs in cultured macrophages. Biochem. Biophys. Res. Commun 1998, 248, 706–711. [Google Scholar]
- Wycoff, K. Production of Biodefense-Related Proteins in Tobacco. Proceedings of in Vitro Biology Meeting, Minneapolis, MN, USA, 3–7 June 2006; 42.
- Bazzini, AA; Mongelli, VC; Hopp, HE; del Vas, M; Asurmendi, S. A practical approach to the understanding and teaching of RNA silencing in plants. Electron. J. Biotechnol 2007, 10, 178–190. [Google Scholar]
- Rui, L; Martin-Hernandez, AM; Peart, JR; Malcuit, I; Baulcombe, DC. Virus-induced gene silencing in plants. Methods 2003, 30, 296–303. [Google Scholar]
- Roth, BM; Pruss, GJ; Vance, VB. Plant viral suppressors of RNA silencing. Virus Res 2004, 102, 97–108. [Google Scholar]
- Ma, PD; Liu, JY; He, HX; Yang, MY; Li, MN; Zhu, XJ; Wang, XZ. A Viral Suppressor P1/HC-Pro Increases the GFP Gene Expression in Agrobacterium-mediated Transient Assay. Appl. Biochem. Biotechnol 2009, 158, 243–252. [Google Scholar]
- Voinnet, O; Pinto, YM; Baulcombe, DC. Suppression of gene silencing: A general strategy used by diverse DNA and RNA viruses of plants. Proc. Natl. Acad. Sci. USA 1999, 96, 14147–14152. [Google Scholar]
- Zhou, ZS; Dell’Orco, M; Saldarelli, P; Turturo, C; Minafra, A; Martelli, GP. Identification of an RNA-silencing suppressor in the genome of Grapevine virus A. J. Gen. Virol 2006, 87, 2387–2395. [Google Scholar]
- Voinnet, O; Rivas, S; Mestre, P; Baulcombe, DC. An enhanced transient expression system in plants based on suppression of gene silencing by the p19 protein of tomato bushy stunt virus. Plant J 2003, 33, 949–956. [Google Scholar]
- Reed, JC; Kasschau, KD; Prokhnevsky, A; Gopinath, K; Pogue, GP; Carrington, JC; Dolja, VV. Suppressor of RNA silencing encoded by Beet yellows virus. Virology 2003, 306, 203–209. [Google Scholar]
- Chiba, M; Reed, JC; Prokhnevsky, AI; Chapman, EJ; Mawassi, M; Koonin, EV; Carrington, JC; Dolja, VV. Diverse suppressors of RNA silencing enhance agroinfection by a viral replicon. Virology 2006, 346, 7–14. [Google Scholar]
- Voinnet, O; Lederer, C; Baulcombe, DC. A viral movement protein prevents spread of the gene silencing signal in Nicotiana benthamiana. Cell 2000, 103, 157–167. [Google Scholar]
- Thomas, CL; Leh, V; Lederer, C; Maule, AJ. Turnip crinkle virus coat protein mediates suppression of RNA silencing in Nicotiana benthamiana. Virology 2003, 306, 33–41. [Google Scholar]
- Brigneti, G; Voinnet, O; Li, WX; Ji, LH; Ding, SW; Baulcombe, DC. Viral pathogenicity determinants are suppressors of transgene silencing in Nicotiana benthamiana. EMBO J 1998, 17, 6739–6746. [Google Scholar]
- Anandalakshmi, R; Pruss, GJ; Ge, X; Marathe, R; Mallory, AC; Smith, TH; Vance, VB. A viral suppressor of gene silencing in plants. Proc. Natl. Acad. Sci. USA 1998, 95, 13079–13084. [Google Scholar]
- Simmons, CW; VanderGheynst, JS. Transient co-expression of post-transcriptional gene silencing suppressors and β-glucuronidase in harvested lettuce leaf tissue does not improve recombinant protein accumulation in planta. Biotechnol. Lett 2007, 29, 641–645. [Google Scholar]
- Wycoff, KL; Belle, A; Deppe, D; Schaefer, L; Maclean, JM; Haase, S; Trilling, AK; Liu, S; Leppla, SH; Geren, IN; et al. Recombinant anthrax toxin receptor-fc fusion proteins produced in plants protect rabbits against inhalational anthrax. Antimicrob. Agents Chemother 2011, 55, 132–159. [Google Scholar]
- Li, F; Shou-Wei, D. Virus counterdefense: Diverse strategies for evading the RNA-silencing immunity. Annu. Rev. Microbiol 2006, 60, 503–531. [Google Scholar]
- Xiang, C; Han, P; Lutziger, I; Wang, K; Oliver, DJ. A mini binary vector series for plant transformation. Plant Mol. Biol 1999, 40, 711–717. [Google Scholar]
- Navarro, L; Jay, F; Nomura, K; He, SY; Voinnet, O. Suppression of the MicroRNA pathway by bacterial effector proteins. Science 2008, 321, 964–967. [Google Scholar]
- Lacombe, S; Bangratz, M; Vignols, F; Brugidou, C. The rice yellow mottle virus P1 protein exhibits dual functions to suppress and activate gene silencing. Plant J 2010, 61, 371–382. [Google Scholar]
- Pruss, GJ; Nester, EW; Vance, V. Infiltration with Agrobacterium tumefaciens induces host defense and development-dependent responses in the infiltrated zone. Mol. Plant-Microbe Interact 2008, 21, 1528–1538. [Google Scholar]
- Choi, MS; In-Soon, Y; Yong, R; Seung Kook, C; Sun-Hyung, L; So-Youn, W; Yeon-Hee, L; Hong-Soo, C; Suk-Chan, L; Kook-Hyung, K; et al. The Effect of Cucumber mosaic virus 2b Protein to Transient Expression and Transgene Silencing Mediated by Agro-infiltration. Plant Pathol. J 2008, 24, 296–304. [Google Scholar]
- Kasschau, KD; Carrington, JC. A Counterdefensive strategy of plant viruses: Suppression of posttranscriptional gene silencing. Cell 1998, 95, 461–470. [Google Scholar]
- Meins, F. RNA degradation and models for post-transcriptional gene silencing. Plant Mol. Biol 2000, 43, 261–273. [Google Scholar]
- Wassenegger, M; Pelissier, T. A model for RNA-mediated gene silencing in higher plants. Plant Mol. Biol 1998, 37, 349–362. [Google Scholar]
- Dougherty, WG; Parks, TD. Transgenes and gene suppression: telling us something new? Mol. Plant-Microbe Interact 1995, 7, 399–405. [Google Scholar]
- Vaucheret, H; Beclin, C; Fagard, M. Post-transcriptional gene silencing in plants. J. Cell Sci 2001, 114, 3083–3091. [Google Scholar]
- Schubert, D; Lechtenberg, B; Forsbach, A; Gils, M; Bahadur, S; Schmidt, R. Silencing in arabidopsis T-DNA transformants: The predominant role of a gene-specific RNA sensing mechanism versus position effects. Plant Cell 2004, 16, 2561–2572. [Google Scholar]
- Wroblewski, T; Tomczak, A; Michelmore, R. Optimization of Agrobacterium-mediated transient assays of gene expression in lettuce, tomato and Arabidopsis. Plant Biotechnol. J 2005, 3, 259–273. [Google Scholar]
- Sheludko, YV; Sindarovska, YR; Gerasymenko, IM; Bannikova, MA; Kuchuk, NV. Comparison of several Nicotiana species as hosts for high-scale Agrobacterium-mediated transient expression. Biotechnol. Bioeng 2007, 96, 608–614. [Google Scholar]
- Plesha, MA; Huang, TK; Dandekar, AM; Falk, BW; McDonald, KA. High-level transient production of a heterologous protein in plants by optimizing induction of a chemically inducible viral amplicon expression system. Biotechnol. Prog 2007, 23, 1277–1285. [Google Scholar]
- van Engelen, FA; Molthoff, JW; Conner, AJ; Nap, JP; Pereira, A; Stiekema, WJ. pBINPLUS: An improved plant transformation vector based on pBIN19. Transgenic Res 1995, 4, 288–290. [Google Scholar]
- Krebbers, E; Herdies, L; Declercq, A; Seurinck, J; Leemans, J; Vandamme, J; Segura, M; Gheysen, G; Vanmontagu, M; Vandekerckhove, J. Determination of the processing sites of an Arabidopsis 2S-albumin and characterization of the complete gene family. Plant Physiol 1988, 87, 859–866. [Google Scholar]
- Shen, WJ; Forde, BG. Efficient transformation of Agrobacterium spp. by high voltage electroporation. Nucleic Acids Res 1989, 17, 8385. [Google Scholar]
- Plesha, MA; Huang, TK; Dandekar, AM; Falk, BW; McDonald, KA. Optimization of the bioprocessing conditions for scale-up of transient production of a heterologous protein in plants using a chemically inducible viral amplicon expression system. Biotechnol. Prog 2009, 25, 722–734. [Google Scholar]
- Bradford, MM. Rapid and sensitive method for quantitation of microgram quantities of protein utilizing principle of protein-dye binding. Anal. Biochem 1976, 72, 248–254. [Google Scholar]
- Sudarshana, MR; Plesha, MA; Uratsu, SL; Falk, BW; Dandekar, AM; Huang, TK; McDonald, KA. A chemically inducible cucumber mosaic virus amplicon system for expression of heterologous proteins in plant tissues. Plant Biotechnol. J 2006, 4, 551–559. [Google Scholar]



| PTGS Suppressor Protein | Plant Virus Source | Reference |
|---|---|---|
| p1 | Rice Yellow Mottle Virus | [27] |
| p10 | Grapevine Virus A | [28] |
| p19 | Tomato Bushy Stunt Virus | [29] |
| p21 | Beet Yellow Virus | [30] |
| p24 | Grapevine Leaf Roll Associated Virus | [31] |
| p25 | Potato Virus X | [32] |
| p38 | Turnip Crinkle Virus | [33] |
| 2b | Cucumber Mosaic Virus | [34] |
| HcPro | Tobacco Etch Virus | [35] |
| Lane | g CMG2-Fc/kg FW leaf a | ng CMG2-Fc loaded on gel b |
|---|---|---|
| 1 | 0.65 | 1300 |
| 2 | 0.05 | 100 |
| 3 | 0.39 | 780 |
| 4 | 0.08 | 160 |
© 2011 by the authors; licensee MDPI, Basel, Switzerland. This article is an open-access article distributed under the terms and conditions of the Creative Commons Attribution license (http://creativecommons.org/licenses/by/3.0/).
Share and Cite
Arzola, L.; Chen, J.; Rattanaporn, K.; Maclean, J.M.; McDonald, K.A. Transient Co-Expression of Post-Transcriptional Gene Silencing Suppressors for Increased in Planta Expression of a Recombinant Anthrax Receptor Fusion Protein. Int. J. Mol. Sci. 2011, 12, 4975-4990. https://doi.org/10.3390/ijms12084975
Arzola L, Chen J, Rattanaporn K, Maclean JM, McDonald KA. Transient Co-Expression of Post-Transcriptional Gene Silencing Suppressors for Increased in Planta Expression of a Recombinant Anthrax Receptor Fusion Protein. International Journal of Molecular Sciences. 2011; 12(8):4975-4990. https://doi.org/10.3390/ijms12084975
Chicago/Turabian StyleArzola, Lucas, Junxing Chen, Kittipong Rattanaporn, James M. Maclean, and Karen A. McDonald. 2011. "Transient Co-Expression of Post-Transcriptional Gene Silencing Suppressors for Increased in Planta Expression of a Recombinant Anthrax Receptor Fusion Protein" International Journal of Molecular Sciences 12, no. 8: 4975-4990. https://doi.org/10.3390/ijms12084975
APA StyleArzola, L., Chen, J., Rattanaporn, K., Maclean, J. M., & McDonald, K. A. (2011). Transient Co-Expression of Post-Transcriptional Gene Silencing Suppressors for Increased in Planta Expression of a Recombinant Anthrax Receptor Fusion Protein. International Journal of Molecular Sciences, 12(8), 4975-4990. https://doi.org/10.3390/ijms12084975

