In Vivo Study of the Effects of Peptide-Conjugated Near-Infrared Fluorescent Quantum Dots on the Tumorigenic and Lymphatic Metastatic Capacities of Squamous Cell Carcinoma Cell Line Tca8113 and U14
Abstract
:1. Introduction
2. Experimental Section
2.1. Materials
2.1.1. Instruments and Reagents
2.1.2. Experimental Animals
2.2. Experimental Methods
2.2.1. QDs labeling of Tca8113 and U14 cells
2.2.2. Tumorigenicity Experiment
2.2.3. Detection of Cell Proliferation and Apoptotic Capabilities of Tumorigenic Cells in Vivo
2.2.4. Analyses of the Effects of QDs on U14 CELLS’ Lymphatic Metastatic Capability
3. Results
3.1. QDs Labeling of Tca8113 and U14 Cells
3.2. Tumorigenicity Experiment Demonstrates That Labeling Tca8113 and U14 Cells with QD800 Does Not Change the Tumorigenic Capacity
3.3. Detection of Proliferation and Apoptosis Indices of Tumorigenic Cells in Vivo
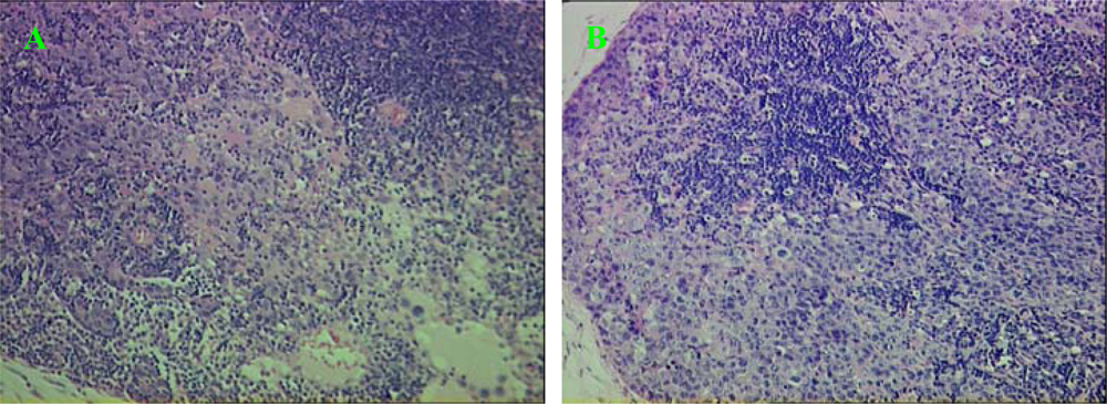
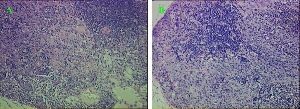
3.4. Effects of QDs on U14 Cells’ Lymphatic Metastatic Capacity
4. Discussion
5. Conclusion
Acknowledgments
References
- Jaiswal, JK; Mattoussi, H; Mauro, JM; Simon, SM. Long-term multiple color imaging of live cells using quantum dot bioconjugates. Nat. Biotechnol 2003, 21, 47–51. [Google Scholar]
- Tanke, HJ; Dirks, RW; Raap, T. FISH and immunocytochemistry: towards visualising single target molecules in living cells. Curr. Opin. Biotechnol 2005, 16, 49–54. [Google Scholar]
- Walling, MA; Novak, JA; Shepard, JR. Quantum Dots for live cell and in vivo imaging. Int. J. Mol. Sci 2009, 10, 441–491. [Google Scholar]
- Medintz, IL; Uyeda, HT; Goldman, ER; Mattoussi, H. Quantum dot bioconjugates for imaging, labelling and sensing. Nat. Mater 2005, 4, 435–446. [Google Scholar]
- Ryman-Rasmussen, JP; Riviere, JE; Monteiro-Riviere, NA. Penetration of intact skin by quantum dots with diverse physicochemical properties. Toxicol. Sci 2006, 91, 159–165. [Google Scholar]
- Han, M; Gao, X; Su, JZ; Nie, S. Quantum-dot-tagged microbeads for multiplexed optical coding of biomolecules. Nat. Biotechnol 2001, 19, 631–635. [Google Scholar]
- Wu, X; Liu, H; Liu, J; Haley, KN; Treadway, JA; Larson, JP; Ge, N; Peale, F; Bruchez, MP. Immunofluorescent labeling of cancer marker Her2 and other cellular targets with semiconductor quantum dots. Nat. Biotechnol 2003, 21, 41–46. [Google Scholar]
- Michalet, X; Pinaud, FF; Bentolila, LA; Tsay, JM; Doose, S; Li, JJ; Sundaresan, G; Wu, AM; Gambhir, SS; Weiss, S. Quantum dots for live cells, in vivo imaging, and diagnostics. Science 2005, 307, 538–544. [Google Scholar]
- Zimmer, JP; Kim, SW; Ohnishi, S; Tanaka, E; Frangioni, JV; Bawendi, MG. Size series of small indium arsenide-zinc selenide core-shell nanocrystals and their application to in vivo imaging. J. Am. Chem. Soc 2006, 128, 2526–2527. [Google Scholar]
- Gao, X; Cui, Y; Levenson, RM; Chung, LW; Nie, S. In vivo cancer targeting and imaging with semiconductor quantum dots. Nat. Biotechnol 2004, 22, 969–976. [Google Scholar]
- Jiang, W; Singhal, A; Kim, BYS; Zheng, J; Rutka, JT; Wang, C; Chan, WCW. Assessing near-infrared quantum dots for deep tissue, organ, and animal imaging applications. J. Assoc. Lab. Autom 2008, 13, 6–12. [Google Scholar]
- Tada, H; Higuchi, H; Wanatabe, TM; Ohuchi, N. In vivo Real-time tracking of single quantum dots conjugated with monoclonal anti-HER2 antibody in tumors of mice. Cancer Res 2007, 67, 1138–1144. [Google Scholar]
- Shi, C; Zhu, Y; Xie, Z; Qian, W; Hsieh, CL; Nie, S; Su, Y; Zhau, HE; Chung, LW. Visualizing human prostate cancer cells in mouse skeleton using bioconjugated near- infrared fluorescent quantum dots. Urology 2009, 74, 446–51. [Google Scholar]
- Voura, EB; Jaiswal, JK; Mattoussi, H; Simon, SM. Tracking metastatic tumor cell extravasation with quantum dot nanocrystalsand fluorescence emission-scanning microscopy. Nat. Med 2004, 10, 993–998. [Google Scholar]
- Frangioni, JV; Kim, SW; Ohnishi, S; Bawendi, MG. Sentinel lymph node mapping with type II quantum dots. Methods Mol. Biol 2007, 374, 147–159. [Google Scholar]
- Ballou, B; Ernst, LA; Andreko, S; Harper, T; Fitzpatrick, JAJ; Waggoner, AS; Bruchez, MP. Sentinel lymph node imaging using quantum dots in mouse tumor models. Bioconj. Chem 2007, 18, 389–396. [Google Scholar]
- Cai, W; Shin, DW; Chen, K; Gheysens, O; Cao, Q; Wang, SX; Gambhir, SS; Chen, X. Peptide-labeled near-infrared quantum dots for imaging tumor vasculature in living subjects. Nano. Lett 2006, 6, 6669–6676. [Google Scholar]
- Yang, K; Li, Z; Cao, Y; Yu, X; Mei, J. Effect of peptide-conjugated near-infrared fluorescent quantum dots (NIRF-QDs) on the invasion and metastasis of human tongue squamous cell carcinoma cell line tca8113 in vitro. Int. J. Mol. Sci 2009, 10, 4418–4427. [Google Scholar]
- Chen, B; Liu, Q; Zhang, Y; Xu, L; Fang, X. Transmembrane delivery of the cell-penetrating peptide conjugated semiconductor quantum dots. Langmuir 2008, 24, 11866–11871. [Google Scholar]
- Lin, S; Xie, X; Patel, MR; Yang, YH; Li, Z; Cao, F; Gheysens, O; Zhang, Y; Gambhir, SS; Rao, JH; Wu, JC. Quantum dot imaging for embryonic stem cells. BMC Biotechnol 2007, 7, 67–77. [Google Scholar]
- Ruan, G; Agrawal, A; Marcus, AI; Nie, S. Imaging and tracking of tat peptide-conjugated quantum dots in living cells: New insights into nanoparticle uptake, intracellular transport, and vesicle shedding. J. Am. Chem. Sco 2007, 129, 14759–14766. [Google Scholar]
- Lei, Y; Tang, H; Yao, L; Yu, R; Feng, M; Zou, B. Applications of mesenchymal stem cells labeled with Tat peptide conjugated quantum dots to cell tracking in mouse body. Bioconjug. Chem 2008, 19, 421–427. [Google Scholar]




© 2010 by the authors; licensee Molecular Diversity Preservation International, Basel, Switzerland. This article is an open-access article distributed under the terms and conditions of the Creative Commons Attribution license (http://creativecommons.org/licenses/by/3.0/).
Share and Cite
Li, Z.-G.; Yang, K.; Cao, Y.-A.; Zheng, G.; Sun, D.-P.; Zhao, C.; Yang, J. In Vivo Study of the Effects of Peptide-Conjugated Near-Infrared Fluorescent Quantum Dots on the Tumorigenic and Lymphatic Metastatic Capacities of Squamous Cell Carcinoma Cell Line Tca8113 and U14. Int. J. Mol. Sci. 2010, 11, 1413-1422. https://doi.org/10.3390/ijms11041413
Li Z-G, Yang K, Cao Y-A, Zheng G, Sun D-P, Zhao C, Yang J. In Vivo Study of the Effects of Peptide-Conjugated Near-Infrared Fluorescent Quantum Dots on the Tumorigenic and Lymphatic Metastatic Capacities of Squamous Cell Carcinoma Cell Line Tca8113 and U14. International Journal of Molecular Sciences. 2010; 11(4):1413-1422. https://doi.org/10.3390/ijms11041413
Chicago/Turabian StyleLi, Zhi-Gang, Kai Yang, Yu-An Cao, Gang Zheng, De-Ping Sun, Cheng Zhao, and Jia Yang. 2010. "In Vivo Study of the Effects of Peptide-Conjugated Near-Infrared Fluorescent Quantum Dots on the Tumorigenic and Lymphatic Metastatic Capacities of Squamous Cell Carcinoma Cell Line Tca8113 and U14" International Journal of Molecular Sciences 11, no. 4: 1413-1422. https://doi.org/10.3390/ijms11041413
APA StyleLi, Z.-G., Yang, K., Cao, Y.-A., Zheng, G., Sun, D.-P., Zhao, C., & Yang, J. (2010). In Vivo Study of the Effects of Peptide-Conjugated Near-Infrared Fluorescent Quantum Dots on the Tumorigenic and Lymphatic Metastatic Capacities of Squamous Cell Carcinoma Cell Line Tca8113 and U14. International Journal of Molecular Sciences, 11(4), 1413-1422. https://doi.org/10.3390/ijms11041413
