Rifampicin Repurposing Reveals Anti-Melanogenic Activity in B16F10 Melanoma Cells
Abstract
1. Introduction
2. Results and Discussion
2.1. Rifampicin Inhibited Melanin Content and Tyrosinase Activity in B16F10 Cells
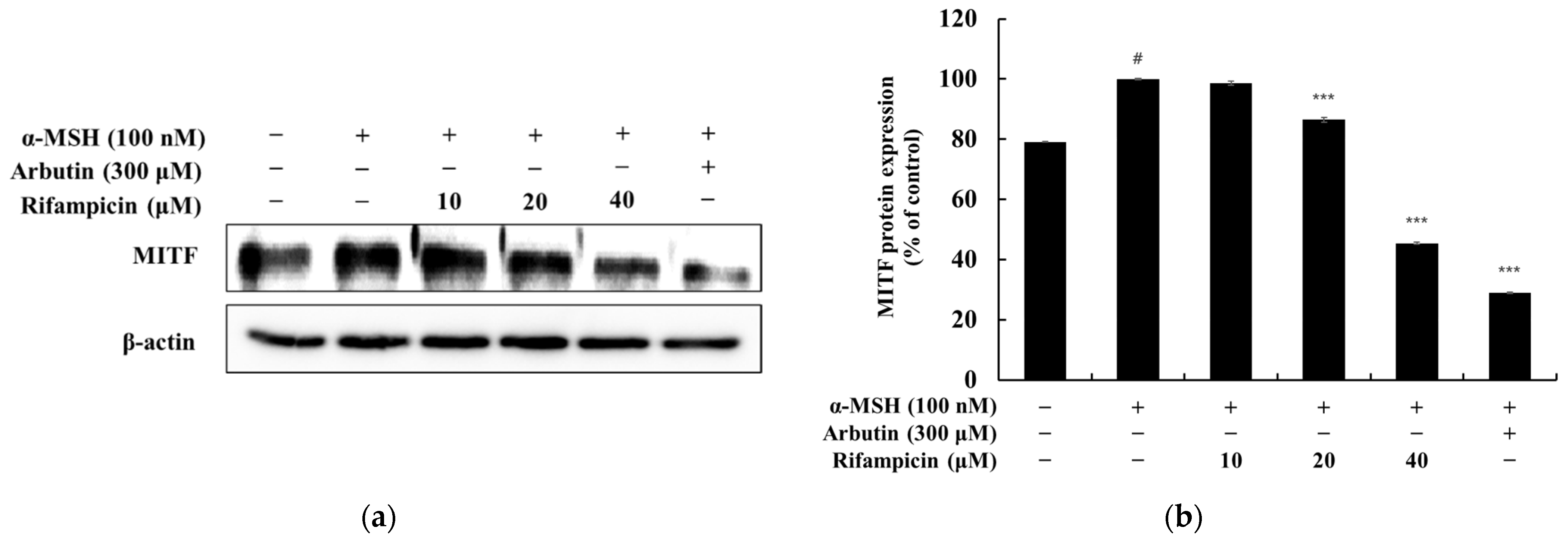
2.2. Rifampicin Regulated the Expression of Melanogenesis-Related Proteins in B16F10 Cells
2.3. Rifampicin Inhibits Melanogenesis Through the GSK–3β/β-Catenin Pathway in B16F10 Cells
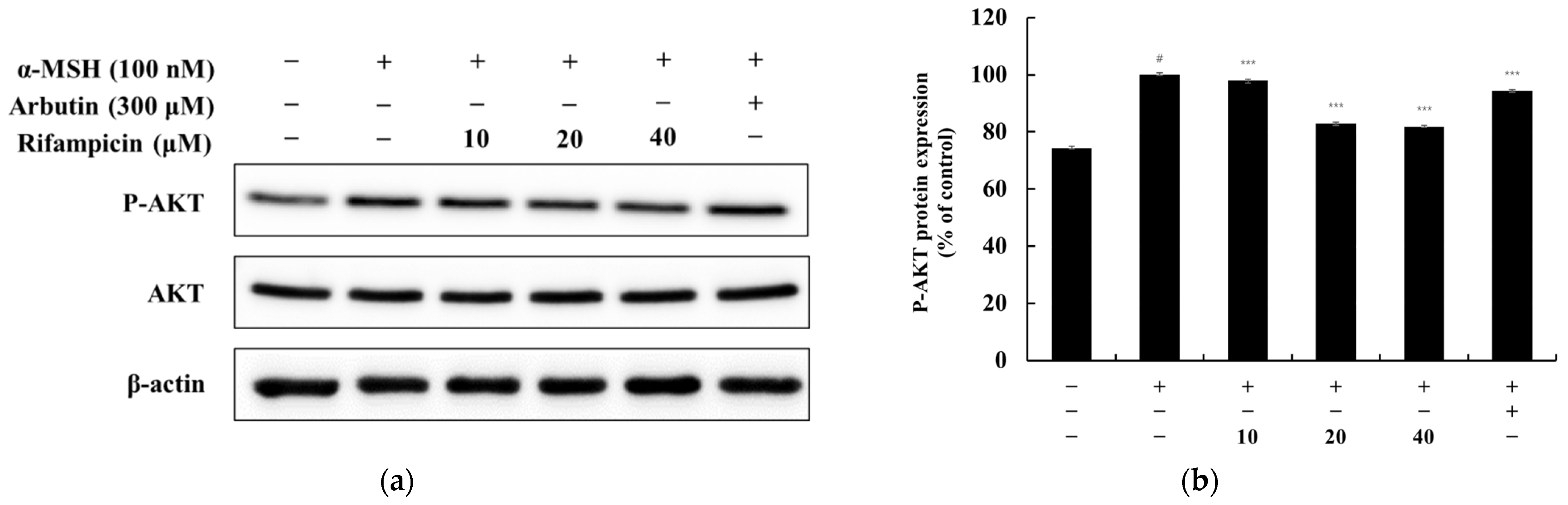
2.4. Rifampicin Inhibits Melanogenesis Independently of the PI3K/Akt Pathway in B16F10 Cells
2.5. Rifampicin Inhibits Melanogenesis Through the MAPK Pathway in B16F10 Cells
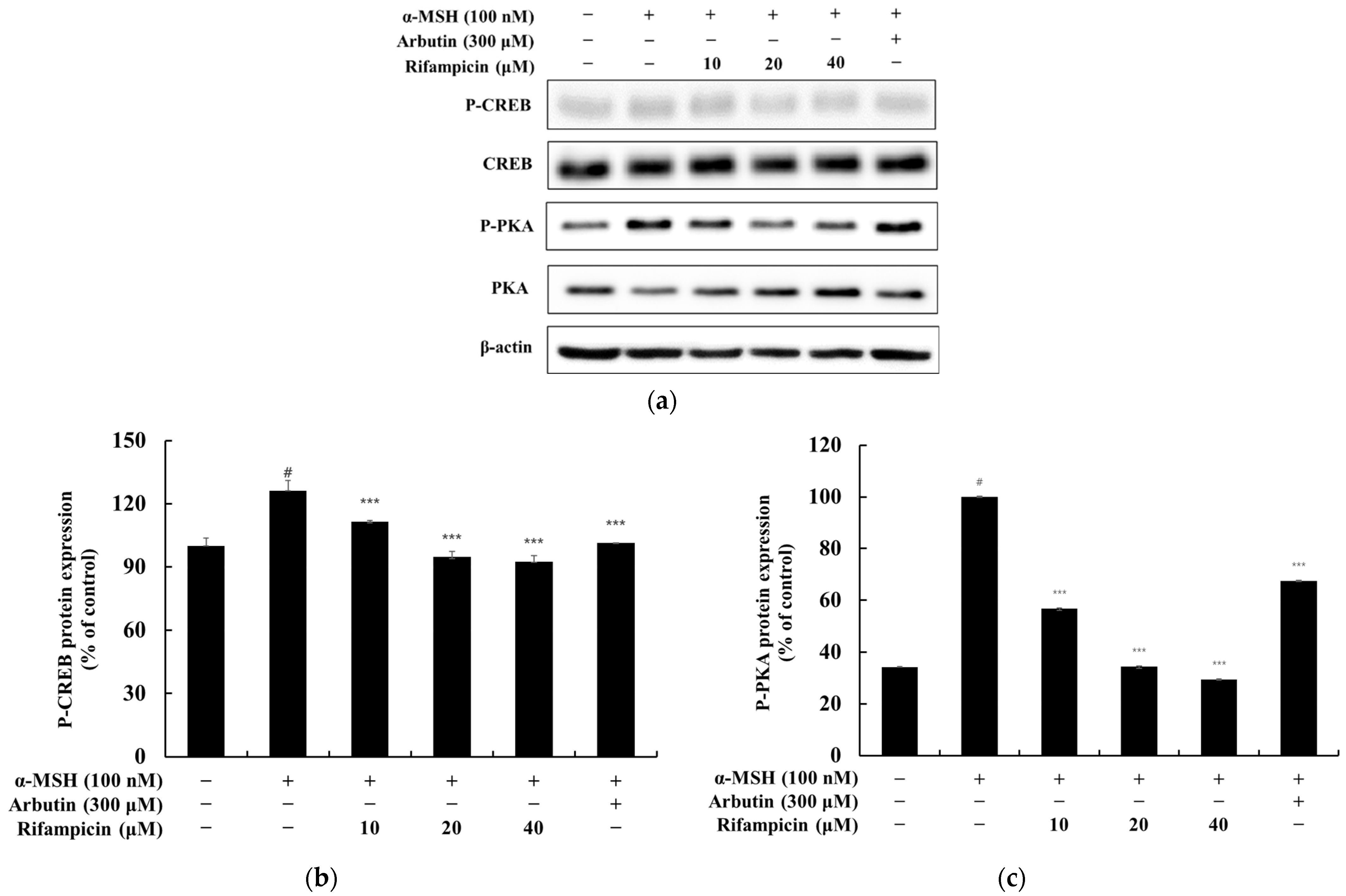
2.6. Rifampicin Inhibits Melanogenesis Through the cAMP/PKA Pathway in B16F10 Cells
2.7. Rifampicin Inhibits Melanogenesis in Human Epidermal Melanocytes
2.8. Rifampicin Is Safe for Human Skin
3. Materials and Methods
3.1. Chemicals and Antibodies
3.2. Cell Culture
3.3. Cell Viabilities
3.4. Measurement of Melanin Contents
3.5. Measurement of Intracellular Tyrosinase Activity
3.6. Western Blot
3.7. Methodology of Primary Skin Irritation Test
3.8. Statistical Analyses
4. Conclusions
Author Contributions
Funding
Institutional Review Board Statement
Informed Consent Statement
Data Availability Statement
Conflicts of Interest
References
- Mishra, A.S.; Vasanthan, M.; Malliappan, S.P. Drug repurposing: A leading strategy for new threats and targets. ACS Pharmacol. Transl. Sci. 2024, 7, 915–932. [Google Scholar] [CrossRef] [PubMed]
- Jonker, A.H.; O’Connor, D.; Cavaller-Bellaubi, M.; Fetro, C.; Gogou, M.; ’t Hoen, P.A.C.; de Kort, M.; Stone, H.; Valentine, N.; Pasmooij, A.M.G. Drug repurposing for rare: Progress and opportunities for the rare disease community. Front. Med. 2024, 11, 1352803. [Google Scholar] [CrossRef] [PubMed]
- Pinzi, L.; Bisi, N.; Rastelli, G. How drug repurposing can advance drug discovery: Challenges and opportunities. Front. Drug Discov. 2024, 4, 1460100. [Google Scholar] [CrossRef]
- Choudhury, C.; Arul Murugan, N.; Priyakumar, U.D. Structure-based drug repurposing: Traditional and advanced AI/ML-aided methods. Drug Discov. Today 2022, 27, 1847–1861. [Google Scholar] [CrossRef] [PubMed]
- Schein, C.H. Repurposing approved drugs on the pathway to novel therapies. Med. Res. Rev. 2020, 40, 586–605. [Google Scholar] [CrossRef] [PubMed]
- Gelosa, P.; Castiglioni, L.; Camera, M.; Sironi, L. Repurposing of drugs approved for cardiovascular diseases: Opportunity or mirage? Biochem. Pharmacol. 2020, 177, 113895. [Google Scholar] [CrossRef] [PubMed]
- Turabi, K.S.; Deshmukh, A.; Paul, S.; Swami, D.; Siddiqui, S.; Kumar, U.; Naikar, S.; Devarajan, S.; Basu, S.; Paul, M.K.; et al. Drug repurposing-an emerging strategy in cancer therapeutics. Naunyn Schmiedebergs Arch. Pharmacol. 2022, 395, 1139–1158. [Google Scholar] [CrossRef]
- Cruz-Burgos, M.; Losada-Garcia, A.; Cruz-Hernández, C.D.; Cortés-Ramírez, S.A.; Camacho-Arroyo, I.; Gonzalez-Covarrubias, V.; Morales-Pacheco, M.; Trujillo-Bornios, S.I.; Rodríguez-Dorantes, M. New approaches in oncology for repositioning drugs: The case of PDE5 inhibitor sildenafil. Front. Oncol. 2021, 11, 627229. [Google Scholar] [CrossRef] [PubMed]
- Pușcașu, C.; Zanfirescu, A.; Negreș, S.; Șeremet, O.C. Exploring the multifaceted potential of sildenafil in medicine. Medicina 2023, 59, 2190. [Google Scholar] [CrossRef] [PubMed]
- Babayeva, M.; Loewy, Z. Repurposing drugs for COVID-19: Pharmacokinetics and pharmacogenomics of chloroquine and hydroxychloroquine. Pharmgenom. Pers. Med. 2020, 13, 531–542. [Google Scholar] [CrossRef]
- Wong, S.K. Repurposing New use for old drug chloroquine against metabolic syndrome: A review on animal and human evidence. Int. J. Med. Sci. 2021, 18, 2673–2688. [Google Scholar] [CrossRef] [PubMed]
- Wang, Y.; Zhang, D.; Du, G.; Du, R.; Zhao, J.; Jin, Y.; Fu, S.; Gao, L.; Cheng, Z.; Lu, Q.; et al. Remdesivir in adults with severe COVID-19: A randomised, double-blind, placebo-controlled, multicentre trial. Lancet 2020, 395, 1694. [Google Scholar] [CrossRef]
- Nazir, F.; John Kombe Kombe, A.; Khalid, Z.; Bibi, S.; Zhang, H.; Wu, S.; Jin, T. SARS-CoV-2 replication and drug discovery. Mol. Cell. Probes 2024, 77, 101973. [Google Scholar] [CrossRef] [PubMed]
- Vu, T.D.; Luong, D.T.; Ho, T.T.; Nguyen Thi, T.M.; Singh, V.; Chu, D.T. Drug repurposing for regenerative medicine and cosmetics: Scientific, technological and economic issues. Prog. Mol. Biol. Transl. Sci. 2024, 207, 337–353. [Google Scholar] [CrossRef] [PubMed]
- Hermanns, J.F.; Petit, L.; Piérard-Franchimont, C.; Paquet, P.; Piérard, G.E. Assessment of topical hypopigmenting agents on solar lentigines of Asian women. Dermatology 2002, 204, 281–286. [Google Scholar] [CrossRef] [PubMed]
- Feng, X.; Shang, J.; Gu, Z.; Gong, J.; Chen, Y.; Liu, Y. Azelaic Acid: Mechanisms of action and clinical applications. Clin. Cosmet. Investig. Dermatol. 2024, 17, 2359–2371. [Google Scholar] [CrossRef] [PubMed]
- Minasyan, M.; Hogan, S.; Lal, K. Oral Tranexamic acid for prevention and treatment of postinflammatory hyperpigmentation. Dermatol. Surg. 2024, 50, S219–S224. [Google Scholar] [CrossRef] [PubMed]
- Chen, T.; Xue, J.; Wang, Q. Tranexamic acid for the treatment of hyperpigmentation and telangiectatic disorders other than melasma: An update. Clin. Cosmet. Investig. Dermatol. 2024, 17, 2151–2163. [Google Scholar] [CrossRef]
- Crous, C.; Pretorius, J.; Petzer, A. Overview of popular cosmeceuticals in dermatology. Skin Health Dis. 2024, 4, e340. [Google Scholar] [CrossRef] [PubMed]
- Augustin, M.; Berardesca, E.; Blume-Peytavi, U.; Elsner, P.; Scafa, D.; Schmeel, L.C.; Proksch, E. Managing dry skin in patients with comorbidities or with advanced age: Unmet needs and roles for products containing potential emollient-plus ingredients. J. Dermatolog. Treat. 2024, 35, 2326171. [Google Scholar] [CrossRef] [PubMed]
- Han, H.J.; Hyun, C.G. Acenocoumarol exerts anti-inflammatory activity via the suppression of NF-κB and MAPK pathways in RAW 264.7 cells. Molecules 2023, 28, 2075. [Google Scholar] [CrossRef] [PubMed]
- Kim, H.M.; Hyun, C.G. Miglitol, an oral antidiabetic drug, downregulates melanogenesis in B16F10 melanoma cells through the PKA, MAPK, and GSK3β/β-Catenin signaling pathways. Molecules 2022, 28, 115. [Google Scholar] [CrossRef]
- Kim, T.; Hyun, C.G. Imperatorin positively regulates melanogenesis through signaling pathways involving PKA/CREB, ERK, AKT, and GSK3β/β-catenin. Molecules 2022, 27, 6512. [Google Scholar] [CrossRef]
- Moon, S.H.; Chung, Y.C.; Hyun, C.G. Tobramycin promotes melanogenesis by upregulating p38 MAPK protein phosphorylation in B16F10 melanoma cells. Antibiotics 2019, 8, 140. [Google Scholar] [CrossRef] [PubMed]
- Kang, H.K.; Hyun, C.G. Anti-inflammatory effect of d-(+)-cycloserine through inhibition of NF-κB and MAPK signaling pathways in LPS-induced RAW 264.7 macrophages. Nat. Prod. Commun. 2020, 15, 4. [Google Scholar] [CrossRef]
- Li, Q.; Cao, J.; Han, G.; Liu, H.; Yan, J.; Wu, L.; Li, J. Quantitative determination of rifampicin in aquatic products by stable isotope-dilution high liquid chromatography-tandem mass spectrometry. Biomed. Chromatogr. 2020, 34, e4810. [Google Scholar] [CrossRef] [PubMed]
- Lester, W. Rifampin: A semisynthetic derivative of rifamycin-a prototype for the future. Annu. Rev. Microbiol. 1972, 26, 85–102. [Google Scholar] [CrossRef] [PubMed]
- Kora, R.; Brodsky, S.V.; Nadasdy, T.; Agra, D.; Satoskar, A.A. Rifampicin in nontuberculous mycobacterial Infections: Acute kidney injury with hemoglobin casts. Case Rep. Nephrol. 2018, 2018, 9321621. [Google Scholar] [CrossRef] [PubMed]
- Onorato, L.; Gentile, V.; Russo, A.; Di Caprio, G.; Alessio, L.; Chiodini, P.; Coppola, N. Standard versus high dose of rifampicin in the treatment of pulmonary tuberculosis: A systematic review and meta-analysis. Clin. Microbiol. Infect. 2021, 27, 830–837. [Google Scholar] [CrossRef]
- Van Deun, A.; Decroo, T.; Tahseen, S.; Trébucq, A.; Schwoebel, V.; Ortuno-Gutierrez, N.; de Jong, B.C.; Rieder, H.L.; Piubello, A.; Chiang, C.Y. World Health Organization 2018 treatment guidelines for rifampicin-resistant tuberculosis: Uncertainty, potential risks and the way forward. Int. J. Antimicrob. Agents 2020, 55, 105822. [Google Scholar] [CrossRef] [PubMed]
- Franco-Paredes, C.; Garcia-Creighton, E.; Henao-Martínez, A.; Kallgren, D.L.; Banjade, R.; Dyer, J.A.; Nelson, T.; Zaesim, A.; Peluso, M.J.; Jain, V.; et al. Novel approaches in the treatment of Hansen’s disease (Leprosy): A case series of multidrug therapy of monthly rifampin, moxifloxacin, and minocycline (RMM) in the United States. Ther. Adv. Infect Dis. 2022, 9, 20499361221135885. [Google Scholar] [CrossRef] [PubMed]
- Arora, G.; Bothra, A.; Prosser, G.; Arora, K.; Sajid, A. Role of post-translational modifications in the acquisition of drug resistance in Mycobacterium tuberculosis. FEBS J. 2021, 288, 3375–3393. [Google Scholar] [CrossRef] [PubMed]
- Chai, W.M.; Lin, M.Z.; Song, F.J.; Wang, Y.X.; Xu, K.L.; Huang, J.X.; Fu, J.P.; Peng, Y.Y. Rifampicin as a novel tyrosinase inhibitor: Inhibitory activity and mechanism. Int. J. Biol. Macromol. 2017, 102, 425–430. [Google Scholar] [CrossRef]
- Tarasek, D.; Wojtasek, H. Rifampicin is not an inhibitor of tyrosinase. Int. J. Biol. Macromol. 2022, 216, 830–835. [Google Scholar] [CrossRef] [PubMed]
- Garg, S.; Vashisht, K.R.; Garg, D.; Oberoi, B.; Sharma, G. Advancements in laser therapies for dermal hyperpigmentation in skin of color: A comprehensive literature review and experience of sequential laser treatments in a cohort of 122 Indian patients. J. Clin. Med. 2024, 13, 2116. [Google Scholar] [CrossRef] [PubMed]
- Farabi, B.; Khan, S.; Jamgochian, M.; Atak, M.F.; Jain, M.; Rao, B.K. The role of reflectance confocal microscopy in the diagnosis and management of pigmentary disorders: A review. J. Cosmet. Dermatol. 2023, 22, 3213–3222. [Google Scholar] [CrossRef] [PubMed]
- He, X.; Jin, S.; Dai, X.; Chen, L.; Xiang, L.; Zhang, C. The emerging role of visible light in melanocyte biology and skin pigmentary disorders: Friend or foe? J. Clin. Med. 2023, 12, 7488. [Google Scholar] [CrossRef] [PubMed]
- Jo, J.Y.; Chae, S.J.; Ryu, H.J. Update on melasma treatments. Ann. Dermatol. 2024, 36, 125–134. [Google Scholar] [CrossRef] [PubMed]
- Karkoszka, M.; Rok, J.; Wrześniok, D. Melanin biopolymers in pharmacology and medicine—Skin pigmentation disorders, implications for drug action, adverse effects and therapy. Pharmaceuticals 2024, 17, 521. [Google Scholar] [CrossRef] [PubMed]
- Parać, E.; Bukvić Mokos, Z. Unmasking melasma: Confronting the treatment challenges. Cosmetics 2024, 11, 143. [Google Scholar] [CrossRef]
- Ouyang, J.; Hu, N.; Wang, H. Petanin potentiated JNK phosphorylation to negatively regulate the ERK/CREB/MITF signaling pathway for anti-melanogenesis in zebrafish. Int. J. Mol. Sci. 2024, 25, 5939. [Google Scholar] [CrossRef] [PubMed]
- Pang, M.; Xu, R.; Xi, R.; Yao, H.; Bao, K.; Peng, R.; Zhi, H.; Zhang, K.; He, R.; Su, Y.; et al. Molecular understanding of the therapeutic potential of melanin inhibiting natural products. RSC Med. Chem. 2024, 15, 2226–2253. [Google Scholar] [CrossRef] [PubMed]
- Bae, S.; Lee, J.N.; Hyun, C.G. Anti-melanogenic and anti-inflammatory effects of 2′-hydroxy-4′,6′-dimethoxychalcone in B16F10 and RAW264.7 cells. Curr. Issues Mol. Biol. 2024, 46, 6018–6040. [Google Scholar] [CrossRef] [PubMed]
- Searle, T.; Al-Niaimi, F.; Ali, F.R. The top 10 cosmeceuticals for facial hyperpigmentation. Dermatol. Ther. 2020, 33, e14095. [Google Scholar] [CrossRef]
- Obeng-Nyarko, C.N.; Puerta Durango, K.S.; Jackson, S.; Taylor, S.C. Innovations in hyperpigmentation. Dermatol. Clin. 2025, 43, 111–121. [Google Scholar] [CrossRef] [PubMed]
- Huang, H.C.; Yen, H.; Lu, J.Y.; Chang, T.M.; Hii, C.H. Theophylline enhances melanogenesis in B16F10 murine melanoma cells through the activation of the MEK 1/2, and Wnt/β-catenin signaling pathways. Food Chem. Toxicol. 2020, 137, 111165. [Google Scholar] [CrossRef] [PubMed]
- Cho, J.; Bejaoui, M.; Tominaga, K.; Isoda, H. Comparative analysis of olive-derived phenolic compounds’ pro-melanogenesis effects on B16F10 cells and epidermal human melanocytes. Int. J. Mol. Sci. 2024, 25, 4479. [Google Scholar] [CrossRef]
- Lee, Y.J.; Hyun, C.G. Mechanistic insights into the stimulatory effect of melanogenesis of 4-methylcoumarin derivatives in B16F10 melanoma cells. Int. J. Mol. Sci. 2024, 25, 12421. [Google Scholar] [CrossRef] [PubMed]
- Beltran, E.; Serafini, M.R.; Alves, I.A.; Aragón Novoa, D.M. Novel synthesized tyrosinase inhibitors: A systematic patent review (2012-present). Curr. Med. Chem. 2024, 31, 308–335. [Google Scholar] [CrossRef] [PubMed]
- Pisano, L.; Turco, M.; Supuran, C.T. Biomedical applications of tyrosinases and tyrosinase inhibitors. Enzymes. 2024, 56, 261–280. [Google Scholar] [CrossRef] [PubMed]
- Bin, B.H.; Kim, S.T.; Bhin, J.; Lee, T.R.; Cho, E.G. The development of sugar-based anti-melanogenic agents. Int. J. Mol. Sci. 2016, 17, 583. [Google Scholar] [CrossRef]
- Tanemura, A.; Yang, L.; Yang, F.; Nagata, Y.; Wataya-Kaneda, M.; Fukai, K.; Tsuruta, D.; Ohe, R.; Yamakawa, M.; Suzuki, T.; et al. An immune pathological and ultrastructural skin analysis for rhododenol-induced leukoderma patients. J. Dermatol. Sci. 2015, 77, 185–188. [Google Scholar] [CrossRef] [PubMed]
- Imokawa, G.; Ishida, K. Inhibitors of intracellular signaling pathways that lead to stimulated epidermal pigmentation: Perspective of anti-pigmenting agents. Int. J. Mol. Sci. 2014, 15, 8293–8315. [Google Scholar] [CrossRef] [PubMed]
- Hirobe, T. Role of dermal factors involved in regulating the melanin and melanogenesis of mammalian melanocytes in normal and abnormal skin. Int. J. Mol. Sci. 2024, 25, 4560. [Google Scholar] [CrossRef]
- Zolghadri, S.; Beygi, M.; Mohammad, T.F.; Alijanianzadeh, M.; Pillaiyar, T.; Garcia-Molina, P.; Garcia-Canovas, F.; Munoz-Munoz, J.; Saboury, A.A. Targeting tyrosinase in hyperpigmentation: Current status, limitations and future promises. Biochem. Pharmacol. 2023, 212, 115574. [Google Scholar] [CrossRef] [PubMed]
- Lin, X.; Meng, X.; Lin, J. The possible role of Wnt/β-catenin signalling in vitiligo treatment. J. Eur. Acad. Dermatol. Venereol. 2023, 37, 2208–2221. [Google Scholar] [CrossRef]
- Bai, R.; Guo, Y.; Liu, W.; Song, Y.; Yu, Z.; Ma, X. The roles of WNT signaling pathways in skin development and mechanical-stretch-induced skin regeneration. Biomolecules 2023, 13, 1702. [Google Scholar] [CrossRef] [PubMed]
- Qian, W.; Liu, W.; Zhu, D.; Cao, Y.; Tang, A.; Gong, G.; Su, H. Natural skin-whitening compounds for the treatment of melanogenesis (review). Exp. Ther. Med. 2020, 20, 173–185. [Google Scholar] [CrossRef] [PubMed]
- Huang, P.; Yang, Z.; Wang, H.; Wang, C.; Luo, M.; Zhou, R.; Pan, Y. Imperatorin promotes melanin degradation in keratinocytes through facilitating autophagy via the PI3K/Akt signaling pathway. Arch. Dermatol. Res. 2024, 317, 70. [Google Scholar] [CrossRef]
- Liu, J.; Xu, X.; Zhou, J.; Sun, G.; Li, Z.; Zhai, L.; Wang, J.; Ma, R.; Zhao, D.; Jiang, R.; et al. Phenolic acids in Panax ginseng inhibit melanin production through bidirectional regulation of melanin synthase transcription via different signaling pathways. J. Ginseng Res. 2023, 47, 714–725. [Google Scholar] [CrossRef] [PubMed]
- Zhang, Y.; Wang, S.; Yuan, A. Hydrolyzed conchiolin protein inhibits melanogenesis through PKA/CREB and MEK/ERK signalling pathways. Int. J. Cosmet. Sci. 2025, 47, 31–44. [Google Scholar] [CrossRef] [PubMed]
- Kim, D.H.; Shin, D.W.; Lim, B.O. Fermented Aronia melanocarpa inhibits melanogenesis through dual mechanisms of the PI3K/AKT/GSK-3β and PKA/CREB pathways. Molecules 2023, 28, 2981. [Google Scholar] [CrossRef] [PubMed]








| No | Test Sample | No. of Responses | 1st Assessment | 2nd Assessment | Reaction Grade (R) * | ||||||
|---|---|---|---|---|---|---|---|---|---|---|---|
| +1 | +2 | +3 | +4 | +1 | +2 | +3 | +4 | ||||
| 1 | Rifampicin (20 μM) | 0 | 0 | 0 | 0 | 0 | 0 | 0 | 0 | 0 | 0 |
| 2 | Rifampicin (40 μM) | 0 | 0 | 0 | 0 | 0 | 0 | 0 | 0 | 0 | 0 |
Disclaimer/Publisher’s Note: The statements, opinions and data contained in all publications are solely those of the individual author(s) and contributor(s) and not of MDPI and/or the editor(s). MDPI and/or the editor(s) disclaim responsibility for any injury to people or property resulting from any ideas, methods, instructions or products referred to in the content. |
© 2025 by the authors. Licensee MDPI, Basel, Switzerland. This article is an open access article distributed under the terms and conditions of the Creative Commons Attribution (CC BY) license (https://creativecommons.org/licenses/by/4.0/).
Share and Cite
Lee, Y.-J.; Hyun, C.-G. Rifampicin Repurposing Reveals Anti-Melanogenic Activity in B16F10 Melanoma Cells. Molecules 2025, 30, 900. https://doi.org/10.3390/molecules30040900
Lee Y-J, Hyun C-G. Rifampicin Repurposing Reveals Anti-Melanogenic Activity in B16F10 Melanoma Cells. Molecules. 2025; 30(4):900. https://doi.org/10.3390/molecules30040900
Chicago/Turabian StyleLee, Ye-Jin, and Chang-Gu Hyun. 2025. "Rifampicin Repurposing Reveals Anti-Melanogenic Activity in B16F10 Melanoma Cells" Molecules 30, no. 4: 900. https://doi.org/10.3390/molecules30040900
APA StyleLee, Y.-J., & Hyun, C.-G. (2025). Rifampicin Repurposing Reveals Anti-Melanogenic Activity in B16F10 Melanoma Cells. Molecules, 30(4), 900. https://doi.org/10.3390/molecules30040900

