Hypoglycemic Effects and Quality Marker Screening of Dendrobium nobile Lindl. at Different Growth Years
Abstract
1. Introduction
2. Results
2.1. Changes in the Contents of Dendrobine and Six Sesquiterpene Glycosides in D. nobile at Different Growth Years
2.2. Comparison of the Hypoglycemic Effects of D. nobile at Different Growth Years
2.2.1. Animal Modeling and Grouping Results of Diabetes Induced by Alloxan
2.2.2. The Impact of D. nobile of Different Growth Years on Blood Glucose and Body Weight in Diabetic Mice
2.2.3. The Impact of Different Growth Years of D. nobile on the Overall Situation of Diabetic Mice
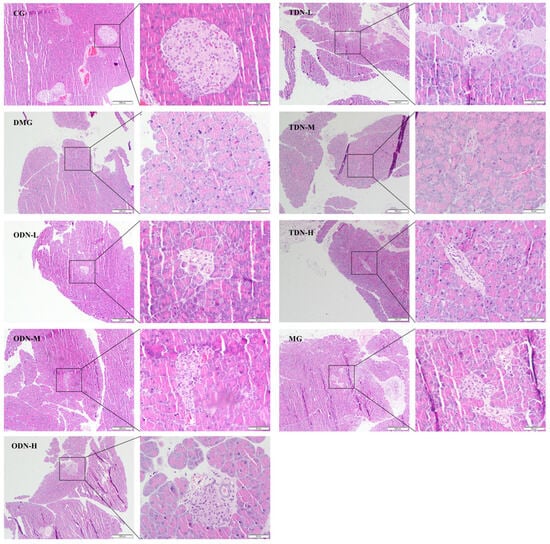
2.2.4. The Effects of D. nobile with Different Growth Years on the Pancreatic Tissue of Diabetic Mice Observed by H&E Staining
2.2.5. The Effect of Different Growth Periods of D. nobile on Glucose Tolerance in Diabetic Mice
2.2.6. The Effect of Different Growth Periods of D. nobile on Biochemical Indicators of Diabetic Mice
2.2.7. The effect of Different Growth Periods of D. nobile on Insulin Resistance and Pancreatic Islet β Function
2.3. Preliminary Screening of Quality Markers of D. nobile
2.3.1. Fingerprint of Secondary Metabolites of D. nobile
2.3.2. Similarity Evaluation
2.3.3. Principal Component Analysis of The Main Components of The Secondary Metabolites of D. nobile with Different Growth Ages
2.3.4. OPLS-DA Analysis of Secondary Metabolites of D. nobile with Different Growth Years
2.3.5. Identification of Different Components of D. nobile with Different Growth Ages
2.3.6. Disease Enrichment of Different Growth-Year D. nobile with Differential Components
2.3.7. Differential Component–Target Interactions of D. nobile with Different Growth Years
3. Discussion
4. Materials and Methods
4.1. Plant Materials and Pre-Treatment
4.2. Determination of Dendrobine Content by LC-MS
4.3. Determination of the Content of Sesquiterpene Glycosides by LC-MS
4.4. Comparison of the Hypoglycemic Effects of D. nobile at Different Years of Growth
4.4.1. Modeling and Administration
4.4.2. Intraperitoneal Glucose Tolerance Test
4.4.3. Biological Sample Collection
4.4.4. Pancreatic Tissue Hematoxylin and Eosin Staining
4.4.5. Measurement of Biochemical Indicators
4.5. Screening of Secondary Metabolites with Differential Expression in D. nobile
4.5.1. Sample Preparation
4.5.2. Chromatography Parameters
4.5.3. Mass Spectrometry Parameters
4.5.4. Similarity Evaluation
4.5.5. Multivariate Statistical Analysis
4.5.6. Identification of Differential Components
4.6. Prediction of Quality Biomarkers by Network Pharmacology
4.7. Statistical Methods
5. Conclusions
Supplementary Materials
Author Contributions
Funding
Institutional Review Board Statement
Data Availability Statement
Acknowledgments
Conflicts of Interest
References
- Zhang, X.; Yang, S.; Zhang, X. Analysis of medical expenses of inpatients with diabetes: China’s Eastern, Central, and Western regions (2013–2015). Public Health 2020, 185, 167–173. [Google Scholar] [CrossRef] [PubMed]
- Tseng, P.S.; Ande, C.; Moremen, K.W.; Crich, D. Influence of Side Chain Conformation on the Activity of Glycosidase Inhibitors. Angew. Chem. Int. Ed. Engl. 2023, 62, e202217809. [Google Scholar] [CrossRef]
- Rajasekaran, P.; Ande, C.; Vankar, Y.D. Synthesis of (5,6 & 6,6)-oxa-oxa annulated sugars as glycosidase inhibitors from 2-formyl galactal using iodocyclization as a key step. Arkivoc 2022, 2022, 5–23. [Google Scholar] [CrossRef]
- Compain, P.; Martin, O.R. Iminosugars: Past, Present and Future. In Iminosugars: From Synthesis to Therapeutic Applications; John Wiley and Sons: Hoboken, NJ, USA, 2008; pp. 1–467. [Google Scholar]
- Ma, R.; Yi, B.; Riker, A.I.; Xi, Y. Metformin and cancer immunity. Acta Pharmacol. Sin. 2020, 41, 1403–1409. [Google Scholar] [CrossRef]
- Forslund, K.; Hildebrand, F.; Nielsen, T.; Falony, G.; Le Chatelier, E.; Sunagawa, S.; Prifti, E.; Vieira-Silva, S.; Gudmundsdottir, V.; Pedersen, H.K.; et al. Disentangling type 2 diabetes and metformin treatment signatures in the human gut microbiota. Nature 2015, 528, 262–266. [Google Scholar] [CrossRef]
- Ji, L.; Tong, X.; Wang, H.; Tian, H.; Zhou, H.; Zhang, L.; Li, Q.; Wang, Y.; Li, H.; Liu, M.; et al. Efficacy and safety of traditional chinese medicine for diabetes: A double-blind, randomised, controlled trial. PLoS ONE 2017, 8, e56703. [Google Scholar] [CrossRef] [PubMed]
- Wang, Y.; Zheng, T.; Huo, Y.; Du, W. Exploration of Isoquinoline Alkaloids as Potential Inhibitors against Human Islet Amyloid Polypeptide. ACS Chem. Neurosci. 2022, 13, 2164–2175. [Google Scholar] [CrossRef] [PubMed]
- Wang, S.; Ren, H.; Zhong, H.; Zhao, X.; Li, C.; Ma, J.; Gu, X.; Xue, Y.; Huang, S.; Yang, J.; et al. Combined berberine and probiotic treatment as an effective regimen for improving postprandial hyperlipidemia in type 2 diabetes patients: A double blinded placebo controlled randomized study. Gut Microbes 2022, 14, 2003176. [Google Scholar] [CrossRef]
- Kil, Y.S.; Pham, S.T.; Seo, E.K.; Jafari, M. Angelica keiskei, an emerging medicinal herb with various bioactive constituents and biological activities. Arch. Pharm. Res. 2017, 40, 655–675. [Google Scholar] [CrossRef]
- Peña-Montes, D.J.; Huerta-Cervantes, M.; Ríos-Silva, M.; Trujillo, X.; Huerta, M.; Noriega-Cisneros, R.; Salgado-Garciglia, R.; Saavedra-Molina, A. Protective Effect of the Hexanic Extract of Eryngium carlinae Inflorescences In Vitro, in Yeast, and in Streptozotocin-Induced Diabetic Male Rats. Antioxidants 2019, 8, 73. [Google Scholar] [CrossRef]
- Fan, C.; Sun, X.; Wang, X.; Yu, H. Therapeutic potential of the chemical composition of Dendrobium nobile Lindl. Front. Pharmacol. 2023, 14, 1163830. [Google Scholar] [CrossRef]
- Yun-Yan, X.; Ya-Sha, X.; Yuan, W.; Qin, W.; Yuan-Fu, L.; Jie, L.; Jing-Shan, S. Dendrobium nobile Lindl. alkaloids regulate metabolism gene expression in livers of mice. J. Pharm. Pharmacol. 2017, 69, 1409–1417. [Google Scholar]
- Li, Z.; Zeng, M.; Geng, K.; Lai, D.; Xu, Z.; Zhou, W. Chemical Constituents and Hypoglycemic Mechanisms of Dendrobium nobile in Treatment of Type 2 Diabetic Rats by UPLC-ESI-Q-Orbitrap, Network Pharmacology and In Vivo Experimental Verification. Molecules 2023, 28, 2683. [Google Scholar] [CrossRef] [PubMed]
- Chen, Y.; Zheng, Y.F.; Lin, X.H.; Zhang, J.P.; Lin, F.; Shi, H. Dendrobium mixture attenuates renal damage in rats with diabetic nephropathy by inhibiting the PI3K/Akt/mTOR pathway. Mol. Med. Rep. 2021, 24, 590. [Google Scholar] [CrossRef] [PubMed]
- Lu, A.; Jiang, Y.; Wu, J.; Tan, D.; Qin, L.; Lu, Y.; Qian, Y.; Bai, C.; Yang, J.; Ling, H.; et al. Opposite trends of glycosides and alkaloids in Dendrobium nobile of different age based on UPLC-Q/TOF-MS combined with multivariate statistical analyses. Phytochem. Anal. 2022, 33, 619–634. [Google Scholar] [CrossRef] [PubMed]
- Commission, N.P. The Pharmacopoeia of the People’s Republic of China; China Medical Science and Technology Press: Beijing, China, 2020; Volume 1. [Google Scholar]
- Liu, Q.; Huang, Y.; Linghu, C.; Xiao, J.; Gu, R. Metabolic profiling, in-situ spatial distribution, and biosynthetic pathway of functional metabolites in Dendrobium nobile stem revealed by combining UPLC-QTOF-MS with MALDI-TOF-MSI
. Front. Plant Sci. 2023, 13, 1125872. [Google Scholar] [PubMed]
- Li, P.Y.; Li, L.; Wang, Y.Z. Traditional uses, chemical compositions and pharmacological activities of Dendrobium: A review. J. Ethnopharmacol. 2023, 310, 116382. [Google Scholar] [CrossRef] [PubMed]
- Zhao, J.R.; Wang, Y.H.; Jin, Y.; Jiang, C.; Zhan, Z.L. Research advances in chemical constituents and pharmacological activities of Dendrobium plants. Zhongguo Zhong Yao Za Zhi Zhongguo Zhongyao Zazhi China J. Chin. Mater. Medica 2022, 47, 2358–2372. [Google Scholar]
- Liu, J.; Li, Y.; Liu, W.; Qi, Q.; Hu, X.; Li, S.; Lei, J.; Rong, L. Extraction of Polysaccharide from Dendrobium nobile Lindl. by Subcritical Water Extraction. ACS Omega 2019, 4, 20586–20594. [Google Scholar] [CrossRef]
- Weaver, D.C.; McDaniel, M.L.; Lacy, P.E. Alloxan uptake by isolated rat islets of Langerhans. Endocrinology 1978, 102, 1847–1855. [Google Scholar] [CrossRef]
- Macdonald Ighodaro, O.; Mohammed Adeosun, A.; Adeboye Akinloye, O. Alloxan-induced diabetes, a common model for evaluating the glycemic-control potential of therapeutic compounds and plants extracts in experimental studies. Medicina 2017, 53, 365–374. [Google Scholar] [CrossRef]
- Jia, M.; Sun, W.; Guo, Z. Power X-ray diffraction analysis of Chinese medicinal materials Radix Gentianae macrophyllae. Zhong Yao Cai 2003, 26, 168–170. [Google Scholar] [PubMed]
- Wang, S.; Wu, Y.; He, L.; Zheng, Q.; Lü, Y. Identification of Chinese medicinal material radix Angelicae sinensis by X-ray diffraction Fourier fingerprint pattern method. Zhong Yao Cai 2003, 26, 709–711. [Google Scholar] [PubMed]
- Lu, Y.; Zheng, Q.; Wu, N.; Zhou, J.; Bao, T. Studies on all-spectrum analysis for X-ray diffraction of Chinese herbal medicine calculus bovis. Zhongguo Yi Xue Ke Xue Yuan Xue Bao 1997, 19, 331–336. [Google Scholar] [PubMed]
- Oskouei, Z.; Ghasemzadeh Rahbardar, M.; Hosseinzadeh, H. The effects of Dendrobium species on the metabolic syndrome: A review. Iran J. Basic Med. Sci. 2023, 26, 738–752. [Google Scholar] [CrossRef] [PubMed]
- Pan, L.H.; Li, X.F.; Wang, M.N.; Zha, X.Q.; Yang, X.F.; Liu, Z.J.; Luo, Y.B.; Luo, J.P. Comparison of hypoglycemic and antioxidative effects of polysaccharides from four different Dendrobium species. Int. J. Biol. Macromol. 2014, 64, 420–427. [Google Scholar] [CrossRef] [PubMed]
- Huang, S.; Wu, Q.; Liu, H.; Ling, H.; He, Y.; Wang, C.; Wang, Z.; Lu, Y.; Lu, Y. Alkaloids of Dendrobium nobile Lindl. Altered hepatic lipid homeostasis via regulation of bile acids. J. Ethnopharmacol. 2019, 241, 111976. [Google Scholar] [CrossRef]
- Xu, Y.; Wang, M.; Luo, Y.; Liu, H.; Ling, H.; He, Y.; Lu, Y. PPARα is one of the key targets for dendrobine to improve hepatic steatosis in NAFLD. J. Ethnopharmacol. 2024, 323, 117684. [Google Scholar] [CrossRef]
- Wang, J.; Wong, Y.K.; Liao, F. What has traditional Chinese medicine delivered for modern medicine? Expert Rev. Mol. Med. 2018, 20, e4. [Google Scholar] [CrossRef]
- Lv, X.; Li, Y.; Tang, C.; Zhang, Y.; Zhang, J.; Fan, G. Integration of HPLC-based fingerprint and quantitative analyses for differentiating botanical species and geographical growing origins of Rhizoma coptidis. Pharm. Biol. 2016, 54, 3264–3271. [Google Scholar] [CrossRef]
- Qaderi, M.M.; Martel, A.B.; Strugnell, C.A. Environmental Factors Regulate Plant Secondary Metabolites. Plants 2023, 12, 447. [Google Scholar] [CrossRef] [PubMed]
- Isah, T. Stress and defense responses in plant secondary metabolites production. Biol. Res. 2019, 52, 39. [Google Scholar] [CrossRef] [PubMed]
- Thoma, F.; Somborn-Schulz, A.; Schlehuber, D.; Keuter, V.; Deerberg, G. Effects of Light on Secondary Metabolites in Selected Leafy Greens: A Review. Front. Plant Sci. 2020, 11, 497. [Google Scholar] [CrossRef] [PubMed]
- Nie, X.; Chen, Y.; Li, W.; Lu, Y. Anti-aging properties of Dendrobium nobile Lindl.: From molecular mechanisms to potential treatments. J. Ethnopharmacol. 2020, 257, 112839. [Google Scholar] [CrossRef] [PubMed]
- Zhao, Y.; Ji, X.; Liu, X.; Qin, L.; Tan, D.; Wu, D.; Bai, C.; Yang, J.; Xie, J.; He, Y. Age-dependent dendrobine biosynthesis in Dendrobium nobile: Insights into endophytic fungal interactions. Front. Microbiol. 2023, 14, 1294402. [Google Scholar] [CrossRef]
- Koprivova, A.; Kopriva, S. Plant secondary metabolites altering root microbiome composition and function. Curr. Opin. Plant Biol. 2022, 67, 102227. [Google Scholar] [CrossRef]
- Perry, E.K.; Meirelles, L.A.; Newman, D.K. From the soil to the clinic: The impact of microbial secondary metabolites on antibiotic tolerance and resistance. Nat. Rev. Microbiol. 2022, 20, 129–142. [Google Scholar] [CrossRef]
- Tao, S.; Li, J.; Wang, H.; Ding, S.; Han, W.; He, R.; Ren, Z.; Wei, G. Anti-colon Cancer Effects of Dendrobium officinale Kimura & Migo Revealed by Network Pharmacology Integrated with Molecular Docking and Metabolomics Studies. Front. Med. 2022, 9, 879986. [Google Scholar] [CrossRef]
- Lan, Q.; Liu, C.; Wu, Z.; Ni, C.; Li, J.; Huang, C.; Wang, H.; Wei, G. Does the Metabolome of Wild-like Dendrobium officinale of Different Origins Have Regional Differences? Molecules 2022, 27, 7024. [Google Scholar] [CrossRef]
- Yang, D.; Song, Y.; Lu, A.; Qin, L.; Tan, D.; Zhang, Q.; He, Y.; Lu, Y. Metabolomics-Based Analysis of the Effects of Different Cultivation Strategies on Metabolites of Dendrobium officinale Kimura et Migo. Metabolites 2023, 13, 389. [Google Scholar] [CrossRef]
- Kreis, L.M.; Carreira, E.M. Total synthesis of (−)-dendrobine. Angew. Chem. Int. Ed. Engl. 2012, 51, 3436–3439. [Google Scholar] [CrossRef]
- Feng, Y.; Jia, B.; Feng, Q.; Zhang, Y.; Chen, Y.; Meng, J. Dendrobine attenuates gestational diabetes mellitus in mice by inhibiting Th17 cells. Basic Clin. Pharmacol. Toxicol. 2021, 128, 379–385. [Google Scholar] [CrossRef]
- Abdelsalam, S.S.; Korashy, H.M.; Zeidan, A.; Agouni, A. The Role of Protein Tyrosine Phosphatase (PTP)-1B in Cardiovascular Disease and Its Interplay with Insulin Resistance. Biomolecules 2019, 9, 286. [Google Scholar] [CrossRef] [PubMed]
- Salazar-Tortosa, D.F.; Labayen, I.; González-Gross, M.; Seral-Cortes, M.; Moreno, L.A.; Zapico, A.G.; Widhalm, K.; Meirhaeghe, A.; Enard, D.; Ruiz, J.R. Association between PTPN1 polymorphisms and obesity-related phenotypes in European adolescents: Influence of physical activity. Pediatr. Res. 2023, 93, 2036–2044. [Google Scholar] [CrossRef]
- Du, R.; Wu, N.; Bai, Y.; Tang, L.; Li, L. circMAP3K4 regulates insulin resistance in trophoblast cells during gestational diabetes mellitus by modulating the miR-6795-5p/PTPN1 axis. J. Transl. Med. 2022, 20, 180. [Google Scholar] [CrossRef]
- Chiappini, F.; Catalano, K.J.; Lee, J.; Peroni, O.D.; Lynch, J.; Dhaneshwar, A.S.; Wellenstein, K.; Sontheimer, A.; Neel, B.G.; Kahn, B.B. Ventromedial hypothalamus-specific Ptpn1 deletion exacerbates diet-induced obesity in female mice. J. Clin. Investig. 2014, 124, 3781–3792. [Google Scholar] [CrossRef]
- Nascimento, F.V.D.; Piccoli, V.; Beer, M.A.; von Frankenberg, A.D.; Crispim, D.; Gerchman, F. Association of HSD11B1 polymorphic variants and adipose tissue gene expression with metabolic syndrome, obesity and type 2 diabetes mellitus: A systematic review. Diabetol. Metab. Syndr. 2015, 7, 38. [Google Scholar] [CrossRef] [PubMed]
- Zhu, Q.; Ge, F.; Dong, Y.; Sun, W.; Wang, Z.; Shan, Y.; Chen, R.; Sun, J.; Ge, R.-S. Comparison of flavonoids and isoflavonoids to inhibit rat and human 11β-hydroxysteroid dehydrogenase 1 and 2. Steroids 2018, 132, 25–32. [Google Scholar] [CrossRef]
- Bhat, B.G.; Younis, H.; Herrera, J.; Palacio, K.; Pascual, B.; Hur, G.; Jessen, B.; Ogilvie, K.M.; Rejto, P.A. Antisense inhibition of 11betahydroxysteroid dehydrogenase type 1 improves diabetes in a novel cortisone-induced diabetic KK mouse model. Biochem. Biophys. Res. Commun. 2008, 365, 740–745. [Google Scholar] [CrossRef] [PubMed]
- Brazel, C.B.; Simon, J.C.; Tuckermann, J.P.; Saalbach, A. Inhibition of 11β-HSD1 Expression by Insulin in Skin: Impact for Diabetic Wound Healing. J. Clin. Med. 2020, 9, 3878. [Google Scholar] [CrossRef]
- Seo, M.; Islam, S.A.; Moon, S. Acute anti-obesity effects of intracerebroventricular 11β-HSD1 inhibitor administration in diet-induced obese mice. J. Neuroendocr. 2018, 30, e12580. [Google Scholar] [CrossRef]
- Qiu, Z.; Dong, J.; Xue, C.; Li, X.; Liu, K.; Liu, B.; Cheng, J.; Huang, F. Liuwei Dihuang Pills alleviate the polycystic ovary syndrome with improved insulin sensitivity through PI3K/Akt signaling pathway. J. Ethnopharmacol. 2020, 250, 111965. [Google Scholar] [CrossRef]
- Hu, Z.; Li, C.; Wu, T.; Zhou, J.; Han, L.; Liu, J.; Qiang, S.; Zhao, W.; Li, X.; Liu, X.; et al. Sulfathiazole treats type 2 diabetes by restoring metabolism through activating CYP19A1. Biochim. Biophys. Acta Gen. Subj. 2023, 1867, 130303. [Google Scholar] [CrossRef]
- Wang, X.; Liang, Y.; Liu, Q.; Cai, J.; Tang, X.; Liu, S.; Zhang, J.; Xu, M.; Wei, C.; Mo, X.; et al. Association of CYP19A1 Gene, Plasma Zinc, and Urinary Zinc with the Risk of Type 2 Diabetes Mellitus in a Chinese Population. Biol. Trace Elem. Res. 2023, 201, 4205–4215. [Google Scholar] [CrossRef]
- Yang, Y.; Wang, P. Association of CYP19A1 and CYP1A2 genetic polymorphisms with type 2 diabetes mellitus risk in the Chinese Han population. Lipids Health Dis. 2020, 19, 187. [Google Scholar] [CrossRef] [PubMed]
- Montaigne, D.; Butruille, L.; Staels, B. PPAR control of metabolism and cardiovascular functions. Nat. Rev. Cardiol. 2021, 18, 809–823. [Google Scholar] [CrossRef] [PubMed]
- Morieri, M.L.; Shah, H.S.; Sjaarda, J.; Lenzini, P.A.; Campbell, H.; Motsinger-Reif, A.A.; Gao, H.; Lovato, L.; Prudente, S.; Pandolfi, A.; et al. PPARA Polymorphism Influences the Cardiovascular Benefit of Fenofibrate in Type 2 Diabetes: Findings from ACCORD-Lipid. Diabetes 2020, 69, 771–783. [Google Scholar] [CrossRef] [PubMed]
- Yuan, J.; Tan, J.T.; Rajamani, K.; Solly, E.L.; King, E.J.; Lecce, L.; Simpson, P.J.; Lam, Y.T.; Jenkins, A.J.; Bursill, C.A.; et al. Fenofibrate Rescues Diabetes-Related Impairment of Ischemia-Mediated Angiogenesis by PPARα-Independent Modulation of Thioredoxin-Interacting Protein. Diabetes 2019, 68, 1040–1053. [Google Scholar] [CrossRef] [PubMed]
- Teo, C.H.Y.; Lin, M.T.-Y.; Lee, I.X.Y.; Koh, S.-K.; Zhou, L.; Goh, D.S.; Choi, H.; Koh, H.W.L.; Lam, A.Y.R.; Lim, P.S.; et al. Oral Peroxisome Proliferator-Activated Receptor-α Agonist Enhances Corneal Nerve Regeneration in Patients with Type 2 Diabetes. Diabetes 2023, 72, 932–946. [Google Scholar] [CrossRef] [PubMed]
- Rastogi, A.; Dunbar, R.L.; Thacker, H.P.; Bhatt, J.; Parmar, K.; Parmar, D.V. Abrogation of postprandial triglyceridemia with dual PPAR α/γ agonist in type 2 diabetes mellitus: A randomized, placebo-controlled study. Acta Diabetol. 2020, 57, 809–818. [Google Scholar] [CrossRef] [PubMed]
- Song, F.; Mao, Y.-J.; Hu, Y.; Zhao, S.-S.; Wang, R.; Wu, W.-Y.; Li, G.-R.; Wang, Y.; Li, G. Acacetin attenuates diabetes-induced cardiomyopathy by inhibiting oxidative stress and energy metabolism via PPAR-α/AMPK pathway. Eur. J. Pharmacol. 2022, 922, 174916. [Google Scholar] [CrossRef] [PubMed]
- Radenković, M.; Stojanović, M.; Prostran, M. Experimental diabetes induced by alloxan and streptozotocin: The current state of the art. J. Pharmacol. Toxicol. Methods 2016, 78, 13–31. [Google Scholar] [CrossRef] [PubMed]
- Andrikopoulos, S.; Blair, A.R.; Deluca, N.; Fam, B.C.; Proietto, J. Evaluating the glucose tolerance test in mice. Am. J. Physiol. Endocrinol. Metab. 2008, 295, E1323–E1332. [Google Scholar] [CrossRef] [PubMed]

















| ID | Name | Formula | Calc. MW | RT (min) | Class | VIP |
|---|---|---|---|---|---|---|
| 1 | Dendrobine | C16H25NO2 | 263.18816 | 11.162 | Alkaloids | 2.989 |
| 2 | Bis(4-ethylbenzylidene)sorbitol | C24H30O6 | 414.20360 | 39.268 | Saccharides and alcohols | 4.47091 |
| 3 | 1-Stearidonoyl-Glycerol | C21H34O4 | 350.24505 | 46.478 | Lipids | 1.08842 |
| 4 | Confertifoline | C15H22O2 | 234.16136 | 46.999 | Terpenoids | 1.09706 |
| 5 | Butyl isobutyl phthalate | C16H22O4 | 278.15114 | 51.276 | Phenolic acids | 1.9973 |
| 6 | Linoleoyl Ethanolamide | C20H37NO2 | 323.28167 | 54.843 | Alkaloids | 2.42643 |
| 7 | 9-Octadecynoic acid | C18H32O2 | 280.24023 | 56.987 | Lipids | 2.11598 |
| 8 | N-Oleoylethanolamine | C20H39NO2 | 325.29698 | 58.429 | Alkaloids | 1.40556 |
| 9 | 3,4-Methylenedioxy cinnamyl alcohol | C10H10O3 | 178.06252 | 59.276 | Lignans | 1.07447 |
| 10 | 1-α-Linolenoyl-glycerol | C21H36O4 | 352.26019 | 60.241 | Lipids | 3.91584 |
| 11 | Monopalmitin | C19H38O4 | 330.27608 | 60.436 | Lipids | 2.62414 |
| 12 | 4-Methylbenzaldehyde | C8H8O | 120.05734 | 60.68 | Others | 1.9391 |
| 13 | Oleamide | C18H35NO | 281.27071 | 61.364 | Lipids | 2.20184 |
| 14 | Blumenol C | C13H22O2 | 210.1612 | 63.053 | Terpenoids | 1.9486 |
| 15 | Elaidic Acid | C18H34O2 | 282.25506 | 63.506 | Lipids | 1.30443 |
| 16 | Eicosadienoic acid | C20H36O2 | 308.27079 | 64.328 | Lipids | 1.24043 |
| 17 | 10-Heptadecenoic Acid | C17H32O2 | 268.24059 | 64.418 | Lipids | 1.34585 |
| 18 | Octadecanamide | C18H37NO | 283.28679 | 64.541 | Alkaloids | 9.10166 |
| 19 | 1-Stearoylglycerol | C21H42O4 | 358.30729 | 64.937 | Lipids | 1.23847 |
| 20 | Stearic Acid | C18H36O2 | 284.27092 | 64.939 | Lipids | 1.11574 |
| 21 | Eicosenoic acid | C20H38O2 | 310.28636 | 67.545 | Lipids | 1.1528 |
| Sample | Sample Number * | Picking Time | Latitude and Longitude | Growth Year |
|---|---|---|---|---|
| S1 | KX2021100257401 | October 2021 | 105°47′1″ E 28°26′29″ N | One year |
| S2 | CY2022100462301 | October 2022 | 105°58′53″ E 28°44′24″ N | One year |
| S3 | YJ2022100469001 | October 2022 | 105°89′ E 28°61′ N | One year |
| S4 | XTDPHZ2022100528001 | October 2022 | 105°44′54″ E 28°33′37″ N | One year |
| S5 | XTDPMX2022100528001 | October 2022 | 105°44′54″ E 28°33′37″ N | One year |
| S6 | ZS2022100534701 | October 2022 | 105°76′ E 28°45′ N | One year |
| S7 | KX2021100257403 | October 2021 | 105°47′1″ E 28°26′29″ N | Three years |
| S8 | CY2022100462303 | October 2022 | 105°58′53″ E 28°44′24″ N | Three years |
| S9 | YJ2022100469003 | October 2022 | 105°89′ E 28°61′ N | Three years |
| S10 | XTDPHZ2022100528003 | October 2022 | 105°44′54″ E 28°33′37″ N | Three years |
| S11 | XTDPMX2022100528003 | October 2022 | 105°44′54″ E 28°33′37″ N | Three years |
| S12 | ZS2022100534703 | October 2022 | 105°76′ E 28°45′ N | Three years |
| Time (min) | 0.1% Formic Acid in Water (A%) | Acetonitrile (B%) |
|---|---|---|
| 0 | 90 | 10 |
| 1 | 90 | 10 |
| 3 | 75 | 25 |
| 4 | 75 | 25 |
| 5 | 90 | 10 |
| 9 | 90 | 10 |
| Time (min) | 0.1% Formic Acid in Water (A%) | Acetonitrile (B%) |
|---|---|---|
| 0 | 95 | 5 |
| 5 | 90 | 10 |
| 10 | 80 | 20 |
| 20 | 70 | 30 |
| 42 | 52 | 48 |
| 50 | 40 | 60 |
| 62 | 20 | 80 |
| 68 | 10 | 90 |
| 73 | 10 | 90 |
| 75 | 95 | 5 |
| 77 | 95 | 5 |
Disclaimer/Publisher’s Note: The statements, opinions and data contained in all publications are solely those of the individual author(s) and contributor(s) and not of MDPI and/or the editor(s). MDPI and/or the editor(s) disclaim responsibility for any injury to people or property resulting from any ideas, methods, instructions or products referred to in the content. |
© 2024 by the authors. Licensee MDPI, Basel, Switzerland. This article is an open access article distributed under the terms and conditions of the Creative Commons Attribution (CC BY) license (https://creativecommons.org/licenses/by/4.0/).
Share and Cite
Luo, Y.; Yang, D.; Xu, Y.; Wu, D.; Tan, D.; Qin, L.; Wu, X.; Lu, Y.; He, Y. Hypoglycemic Effects and Quality Marker Screening of Dendrobium nobile Lindl. at Different Growth Years. Molecules 2024, 29, 699. https://doi.org/10.3390/molecules29030699
Luo Y, Yang D, Xu Y, Wu D, Tan D, Qin L, Wu X, Lu Y, He Y. Hypoglycemic Effects and Quality Marker Screening of Dendrobium nobile Lindl. at Different Growth Years. Molecules. 2024; 29(3):699. https://doi.org/10.3390/molecules29030699
Chicago/Turabian StyleLuo, Yi, Da Yang, Yanzhe Xu, Di Wu, Daopeng Tan, Lin Qin, Xingdong Wu, Yanliu Lu, and Yuqi He. 2024. "Hypoglycemic Effects and Quality Marker Screening of Dendrobium nobile Lindl. at Different Growth Years" Molecules 29, no. 3: 699. https://doi.org/10.3390/molecules29030699
APA StyleLuo, Y., Yang, D., Xu, Y., Wu, D., Tan, D., Qin, L., Wu, X., Lu, Y., & He, Y. (2024). Hypoglycemic Effects and Quality Marker Screening of Dendrobium nobile Lindl. at Different Growth Years. Molecules, 29(3), 699. https://doi.org/10.3390/molecules29030699
