Hybrid RNA/DNA Concatemers and Self-Limited Complexes: Structure and Prospects for Therapeutic Applications
Abstract
1. Introduction
2. Results and Discussion
2.1. Model Oligonucleotides
2.2. UV Melting Analysis
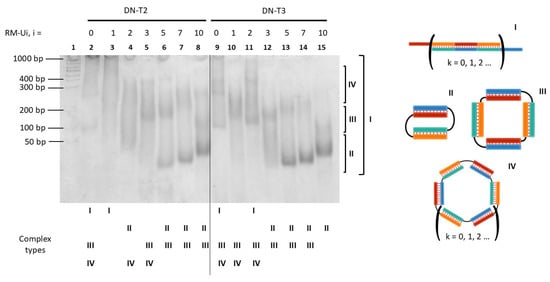
2.3. A Gel Shift Assay
2.4. Circular Dichroism (CD) Analysis
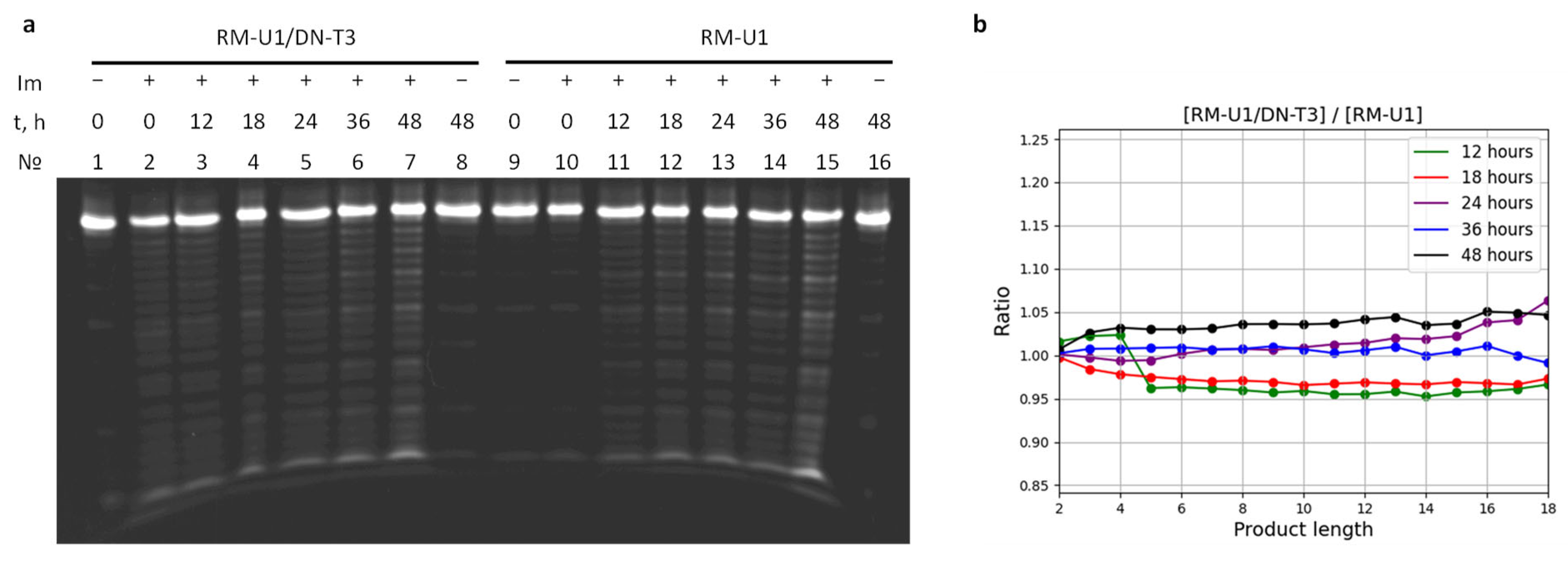
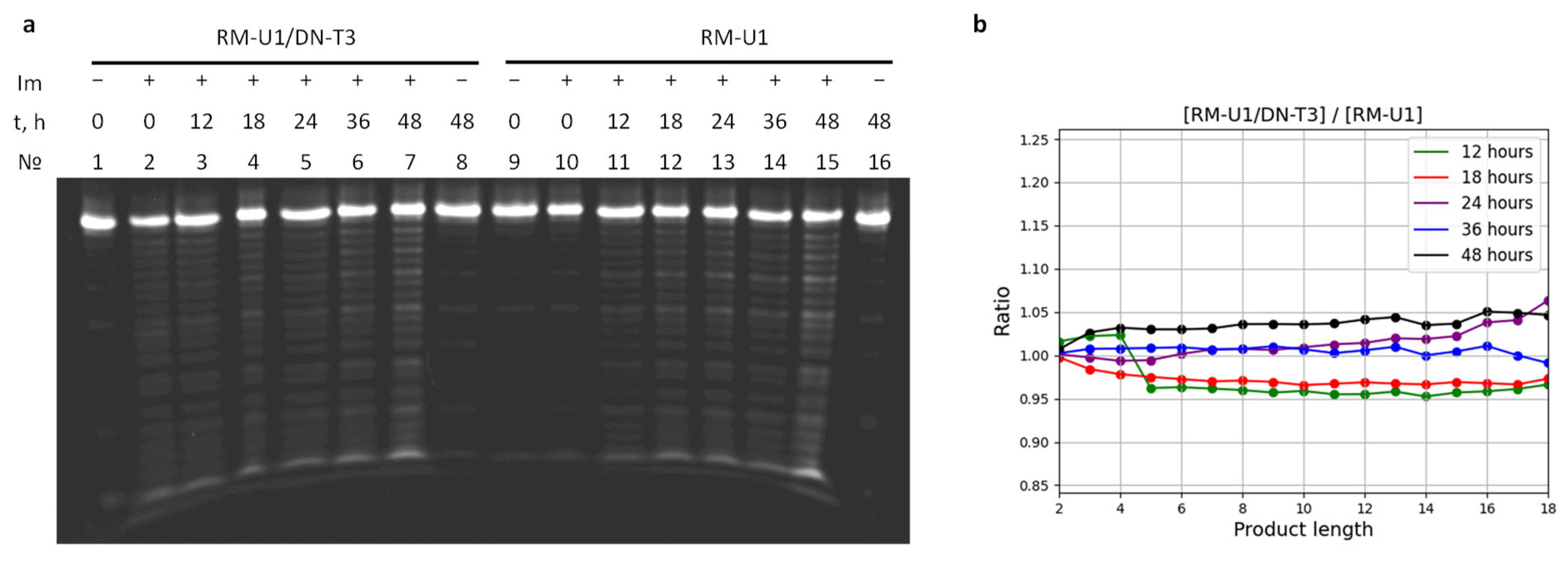
2.5. RNA Digestion Analysis
3. Materials and Methods
3.1. Materials
3.2. Oligonucleotide Concentration Determination
3.3. UV Melting Analysis
3.4. CD Spectroscopy
3.5. The Gel Shift Assay
3.6. RNA Digestion
4. Conclusions
Supplementary Materials
Author Contributions
Funding
Institutional Review Board Statement
Informed Consent Statement
Data Availability Statement
Conflicts of Interest
References
- Ke, W.; Hong, E.; Saito, R.F.; Rangel, M.C.; Wang, J.; Viard, M.; Richardson, M.; Khisamutdinov, E.F.; Panigaj, M.; Dokholyan, N.V.; et al. RNA-DNA Fibers and Polygons with Controlled Immunorecognition Activate RNAi, FRET and Transcriptional Regulation of NF-ΚB in Human Cells. Nucleic Acids Res. 2019, 47, 1350–1361. [Google Scholar] [CrossRef] [PubMed]
- Lin, Y.X.; Wang, Y.; Blake, S.; Yu, M.; Mei, L.; Wang, H.; Shi, J. RNA Nanotechnology-Mediated Cancer Immunotherapy. Theranostics 2020, 10, 281–299. [Google Scholar] [CrossRef] [PubMed]
- Li, S.; Liu, Y.; Zhang, T.; Lin, S.; Shi, S.; He, J.; Xie, Y.; Cai, X.; Tian, T.; Lin, Y. A Tetrahedral Framework DNA-Based Bioswitchable MiRNA Inhibitor Delivery System: Application to Skin Anti-Aging. Adv. Mater. 2022, 34, 2204287. [Google Scholar] [CrossRef] [PubMed]
- Zhao, M.; Wang, R.; Yang, K.; Jiang, Y.; Peng, Y.; Li, Y.; Zhang, Z.; Ding, J.; Shi, S. Nucleic Acid Nanoassembly-Enhanced RNA Therapeutics and Diagnosis. Acta Pharm. Sin. B 2023, 13, 916–941. [Google Scholar] [CrossRef]
- Teodori, L.; Omer, M.; Kjems, J. RNA Nanostructures for Targeted Drug Delivery and Imaging. RNA Biol. 2024, 21, 391–409. [Google Scholar] [CrossRef] [PubMed]
- Chandrasekaran, A.R.; Wady, H.; Subramanian, H.K.K. Nucleic Acid Nanostructures for Chemical and Biological Sensing. Small 2016, 12, 2689–2700. [Google Scholar] [CrossRef]
- Wu, X.; Wu, T.; Liu, J.; Ding, B. Gene Therapy Based on Nucleic Acid Nanostructure. Adv. Healthc. Mater. 2020, 9, e2001046. [Google Scholar] [CrossRef] [PubMed]
- Liang, X.; Li, L.; Tang, J.; Komiyama, M.; Ariga, K. Dynamism of Supramolecular DNA/RNA Nanoarchitectonics: From Interlocked Structures to Molecular Machines. Bull. Chem. Soc. Jpn. 2020, 93, 581–603. [Google Scholar] [CrossRef]
- Rolband, L.; Beasock, D.; Wang, Y.; Shu, Y.G.; Dinman, J.D.; Schlick, T.; Zhou, Y.; Kieft, J.S.; Chen, S.J.; Bussi, G.; et al. Biomotors, Viral Assembly, and RNA Nanobiotechnology: Current Achievements and Future Directions. Comput. Struct. Biotechnol. J. 2022, 20, 6120–6137. [Google Scholar] [CrossRef] [PubMed]
- Wu, Y.; Luo, L.; Hao, Z.; Liu, D. DNA-Based Nanostructures for RNA Delivery. Med. Rev. 2024, 4, 207–224. [Google Scholar] [CrossRef] [PubMed]
- Chen, S.; Hermann, T. RNA-DNA Hybrid Nanoshape Synthesis by Facile Module Exchange. J. Am. Chem. Soc. 2021, 143, 20356–20362. [Google Scholar] [CrossRef] [PubMed]
- Agarwal, S.; Franco, E. Enzyme-Driven Assembly and Disassembly of Hybrid DNA-RNA Nanotubes. J. Am. Chem. Soc. 2019, 141, 7831–7841. [Google Scholar] [CrossRef]
- Byun, J.; Wu, Y.; Park, J.; Kim, J.S.; Li, Q.; Choi, J.; Shin, N.; Lan, M.; Cai, Y.; Lee, J.; et al. RNA Nanomedicine: Delivery Strategies and Applications. AAPS J. 2023, 25, 95. [Google Scholar] [CrossRef] [PubMed]
- Grabow, W.W.; Jaeger, L. RNA Self-Assembly and RNA Nanotechnology. Acc. Chem. Res. 2014, 47, 1871–1880. [Google Scholar] [CrossRef]
- Ko, S.H.; Su, M.; Zhang, C.; Ribbe, A.E.; Jiang, W.; Mao, C. Synergistic Self-Assembly of RNA and DNA Molecules. Nat. Chem. 2010, 2, 1050–1055. [Google Scholar] [CrossRef]
- Severcan, I.; Geary, C.; Verzemnieks, E.; Chworos, A.; Jaeger, L. Square-Shaped RNA Particles from Different RNA Folds. Nano Lett. 2009, 9, 1270–1277. [Google Scholar] [CrossRef]
- Donde, M.J.; Rochussen, A.M.; Kapoor, S.; Taylor, A.I. Targeting Non-Coding RNA Family Members with Artificial Endonuclease XNAzymes. Commun. Biol. 2022, 5, 1010. [Google Scholar] [CrossRef]
- Li, H.; Lee, T.; Dziubla, T.; Pi, F.; Guo, S.; Xu, J.; Li, C.; Haque, F.; Liang, X.J.; Guo, P. RNA as a Stable Polymer to Build Controllable and Defined Nanostructures for Material and Biomedical Applications. Nano Today 2015, 10, 631–655. [Google Scholar] [CrossRef] [PubMed]
- Smith, D.; Schüller, V.; Engst, C.; Rädler, J.; Liedl, T. Nucleic Acid Nanostructures for Biomedical Applications. Nanomedicine 2013, 8, 105–121. [Google Scholar] [CrossRef]
- Wang, D.X.; Wang, J.; Wang, Y.X.; Du, Y.C.; Huang, Y.; Tang, A.N.; Cui, Y.X.; Kong, D.M. DNA Nanostructure-Based Nucleic Acid Probes: Construction and Biological Applications. Chem. Sci. 2021, 12, 7602–7622. [Google Scholar] [CrossRef]
- Zhang, T.; Tian, T.; Lin, Y. Functionalizing Framework Nucleic-Acid-Based Nanostructures for Biomedical Application. Adv. Mater. 2022, 34, 2107820. [Google Scholar] [CrossRef] [PubMed]
- Zhou, H.; Chen, S.; Hu, C.J.; Hong, X.; Shi, J.; Xiao, Y.; Zhou, H.; Hong, X.; Chen, D.S.; Hu, C.J.; et al. Stimuli-Responsive Nanotechnology for RNA Delivery. Adv. Sci. 2023, 10, 2303597. [Google Scholar] [CrossRef]
- Guo, S.; Xu, C.; Yin, H.; Hill, J.; Pi, F.; Guo, P. Tuning the Size, Shape and Structure of RNA Nanoparticles for Favorable Cancer Targeting and Immunostimulation. Wiley Interdiscip. Rev. Nanomed. Nanobiotechnol. 2020, 12, e1582. [Google Scholar] [CrossRef] [PubMed]
- Zamoskovtseva, A.A.; Golyshev, V.M.; Kizilova, V.A.; Shevelev, G.Y.; Pyshnyi, D.V.; Lomzov, A.A. Pairing Nanoarchitectonics of Oligodeoxyribonucleotides with Complex Diversity: Concatemers and Self-Limited Complexes. RSC Adv. 2022, 12, 6416–6431. [Google Scholar] [CrossRef] [PubMed]
- Kanarskaya, M.A.; Pyshnyi, D.V.; Lomzov, A.A. Diversity of Self-Assembled RNA Complexes: From Nanoarchitecture to Nanomachines. Molecules 2024, 29, 10. [Google Scholar] [CrossRef]
- Vinogradova, O.A.; Lomzov, A.A.; Shevelev, G.Y.; Sheglov, D.V.; Latyshev, A.V.; Stetsenko, D.A.; Pyshnyi, D.V. Nanorings from Concatemeric DNA: Chemical Modification Drives Nanostructure Formation. J. Nanosci. Nanotechnol. 2015, 15, 4170–4177. [Google Scholar] [CrossRef] [PubMed]
- Brylev, V.A.; Ustinov, A.V.; Tsvetkov, V.B.; Barinov, N.A.; Aparin, I.O.; Sapozhnikova, K.A.; Berlina, Y.Y.; Kokin, E.A.; Klinov, D.V.; Zatsepin, T.S.; et al. Toehold-Mediated Selective Assembly of Compact Discrete DNA Nanostructures. Langmuir 2020, 36, 15119–15127. [Google Scholar] [CrossRef] [PubMed]
- Filippov, N.S.; Lomzov, A.A.; Pyshnyi, D.V. Thermodynamic Description of Oligonucleotide Self-Association in DNA Concatamer Structures. Biophysics 2009, 54, 280–290. [Google Scholar] [CrossRef]
- Filippov, N.; Lomzov, A.; Pyshnyi, D. Influence of Oligonucleotide-Stopper on Size and Thermal Stability of Concatemer DNA Compexes. Sib. J. Phys. 2011, 6, 115–124. [Google Scholar] [CrossRef]
- Banerjee, D.; Tateishi-Karimata, H.; Ohyama, T.; Ghosh, S.; Endoh, T.; Takahashi, S.; Sugimoto, N. Improved Nearest-Neighbor Parameters for the Stability of RNA/DNA Hybrids under a Physiological Condition. Nucleic Acids Res. 2021, 48, 12042–12054. [Google Scholar] [CrossRef]
- SantaLucia, J.; Hicks, D. The Thermodynamics of DNA Structural Motifs. Annu. Rev. Biophys. Biomol. Struct. 2004, 33, 415–440. [Google Scholar] [CrossRef] [PubMed]
- Spasic, A.; Berger, K.D.; Chen, J.L.; Seetin, M.G.; Turner, D.H.; Mathews, D.H. Improving RNA Nearest Neighbor Parameters for Helices by Going beyond the Two-State Model. Nucleic Acids Res. 2018, 46, 4883. [Google Scholar] [CrossRef] [PubMed]
- Ivanov, V.I.; Minchenkova, L.E.; Schyolkina, A.K.; Poletayev, A.I. Different Conformations of Double-stranded Nucleic Acid in Solution as Revealed by Circular Dichroism. Biopolymers 1973, 12, 89–110. [Google Scholar] [CrossRef] [PubMed]
- Cerritelli, S.M.; Crouch, R.J. Ribonuclease H: The Enzymes in Eukaryotes. FEBS J. 2009, 276, 1494–1505. [Google Scholar] [CrossRef] [PubMed]
- Kuznetsova, I.L.; Zenkova, M.A.; Gross, H.J.; Vlassov, V.V. Enhanced RNA Cleavage within Bulge-Loops by an Artificial Ribonuclease. Nucleic Acids Res. 2005, 33, 1201–1212. [Google Scholar] [CrossRef] [PubMed]
- Niittymäki, T.; Lönnberg, H. Artificial Ribonucleases. Org. Biomol. Chem. 2006, 4, 15–25. [Google Scholar] [CrossRef]
- Vlassov, V.V.; Vlassov, A.V. Cleavage of RNA by imidazole. In Artificial Nucleases; Springer: Berlin/Heidelberg, Germany, 2004; pp. 49–60. [Google Scholar]
- Richards, E.G. Use of Tables in Calculation of Absorption, Optical Rotary Dispersion, and Circular Dichroism of Polyribonucleotides. In Handbook of Biochemistry and Molecular Biology; CRC Press: Cleveland, OH, USA, 1975; Volume 3, pp. 596–599. [Google Scholar]
- Lokhov, S.G.; Pyshnyi, D.V. Thermodynamic and Spectral Properties of DNA Miniduplexes with the Terminal G·A Mispairs and 3′ or 5′ Dangling Bases. FEBS Lett. 1997, 420, 134–138. [Google Scholar] [CrossRef]
- Golyshev, V.M.; Abramova, T.V.; Pyshnyi, D.V.; Lomzov, A.A. A New Approach to Precise Thermodynamic Characterization of Hybridization Properties of Modified Oligonucleotides: Comparative Studies of Deoxyribo- and Glycine Morpholine Pentaadenines. Biophys. Chem. 2018, 234, 24–33. [Google Scholar] [CrossRef]
- Simonova, O.N.; Vladimirova, A.V.; Zenkova, M.A.; Vlassov, V.V. Enhanced Cellular Binding of Concatemeric Oligonucleotide Complexes. Biochim. Biophys. Acta—Biomembr. 2006, 1758, 413–418. [Google Scholar] [CrossRef] [PubMed]
- Gusachenko, O.N.; Patutina, O.A.; Gvozdev, V.A.; Meschaninova, M.I.; Venyaminova, A.G.; Vlassov, V.V.; Zenkova, M.A. Incorporation of Antisense Oligonucleotides into Lipophilic Concatemeric Complexes Provides Their Effective Penetration into Cells. Russ. J. Bioorganic Chem. 2019, 45, 739–748. [Google Scholar] [CrossRef]
- Williams, A.; Staroseletz, Y.; Zenkova, M.A.; Jeannin, L.; Aojula, H.; Bichenkova, E.V. Peptidyl-Oligonucleotide Conjugates Demonstrate Efficient Cleavage of RNA in a Sequence-Specific Manner. Bioconjug. Chem. 2015, 26, 1129–1143. [Google Scholar] [CrossRef] [PubMed]







| DN | DN-T1 | DN-T2 | DN-T3 | DN-T15 | DN-T25 | |
|---|---|---|---|---|---|---|
| RM | 47.8 | 43.5 | 43.6 | 46.0 | 45.6 | 49.4 |
| RM-U1 | 41.7 | 38.6 | 36.8 | 40.4 | 42.0 | 43.4 |
| RM-U2 | 43.7 | 40.4 | 39.0 | 42.1 | 42.9 | 43.0 |
| RM-U3 | 40.8 | 38.8 | 37.4 | 41.2 | 42.6 | 41.9 |
| RM-U5 | 40.7 | 38.4 | 38.2 | 42.0 | 42.7 | 42.5 |
| RM-U7 | 40.6 | 39.1 | 39.8 | 42.0 | 42.2 | 42.0 |
| RM-U10 | 41.0 | 39.0 | 40.8 | 43.2 | 42.6 | 42.2 |
Disclaimer/Publisher’s Note: The statements, opinions and data contained in all publications are solely those of the individual author(s) and contributor(s) and not of MDPI and/or the editor(s). MDPI and/or the editor(s) disclaim responsibility for any injury to people or property resulting from any ideas, methods, instructions or products referred to in the content. |
© 2024 by the authors. Licensee MDPI, Basel, Switzerland. This article is an open access article distributed under the terms and conditions of the Creative Commons Attribution (CC BY) license (https://creativecommons.org/licenses/by/4.0/).
Share and Cite
Kanarskaya, M.A.; Novikova, S.V.; Lomzov, A.A. Hybrid RNA/DNA Concatemers and Self-Limited Complexes: Structure and Prospects for Therapeutic Applications. Molecules 2024, 29, 5896. https://doi.org/10.3390/molecules29245896
Kanarskaya MA, Novikova SV, Lomzov AA. Hybrid RNA/DNA Concatemers and Self-Limited Complexes: Structure and Prospects for Therapeutic Applications. Molecules. 2024; 29(24):5896. https://doi.org/10.3390/molecules29245896
Chicago/Turabian StyleKanarskaya, Maria A., Sofia V. Novikova, and Alexander A. Lomzov. 2024. "Hybrid RNA/DNA Concatemers and Self-Limited Complexes: Structure and Prospects for Therapeutic Applications" Molecules 29, no. 24: 5896. https://doi.org/10.3390/molecules29245896
APA StyleKanarskaya, M. A., Novikova, S. V., & Lomzov, A. A. (2024). Hybrid RNA/DNA Concatemers and Self-Limited Complexes: Structure and Prospects for Therapeutic Applications. Molecules, 29(24), 5896. https://doi.org/10.3390/molecules29245896

