Enrichment of Ginseng Rare Sapogenin 25-OH-PPT and Its Protective Effect on Myocardial Fibrosis
Abstract
1. Introduction
2. Results
2.1. Optimization of T19 Enrichment Process by Inorganic Acid
2.1.1. Effect of Different Hydrochloric Acid Molarity on the Hydrolysis Process
2.1.2. Effect of Different Times on the Hydrolysis Process by Hydrochloric Acid
2.1.3. Effect of Different Temperatures on the Hydrolysis Process by Hydrochloric Acid
2.1.4. Results of Orthogonal Test for Hydrochloric Acid Hydrolysis
2.2. Optimization of T19 Enrichment Process by Food Acids
2.2.1. Effects of Different Food Acid Concentrations on the Hydrolysis Process
2.2.2. Effect of Different Times on the Hydrolysis Process by Food Acid
2.2.3. Effect of Different Temperatures on the Hydrolysis Process by Food Acid
2.2.4. Results of Orthogonal Test for Citric Acid Hydrolysis
2.3. Molecular Docking Test of T19 to Its Binding Targets
2.4. Establishment of H9c2 Cardiomyocyte Injury Model
2.5. Effect of T19 on the Activity of LDH and CK-MB Enzymes in ISO-Induced H9c2 Cardiomyocytes
2.6. Effects of T19 on Oxidative Stress Injury in ISO-Induced H9c2 Cardiomyocytes
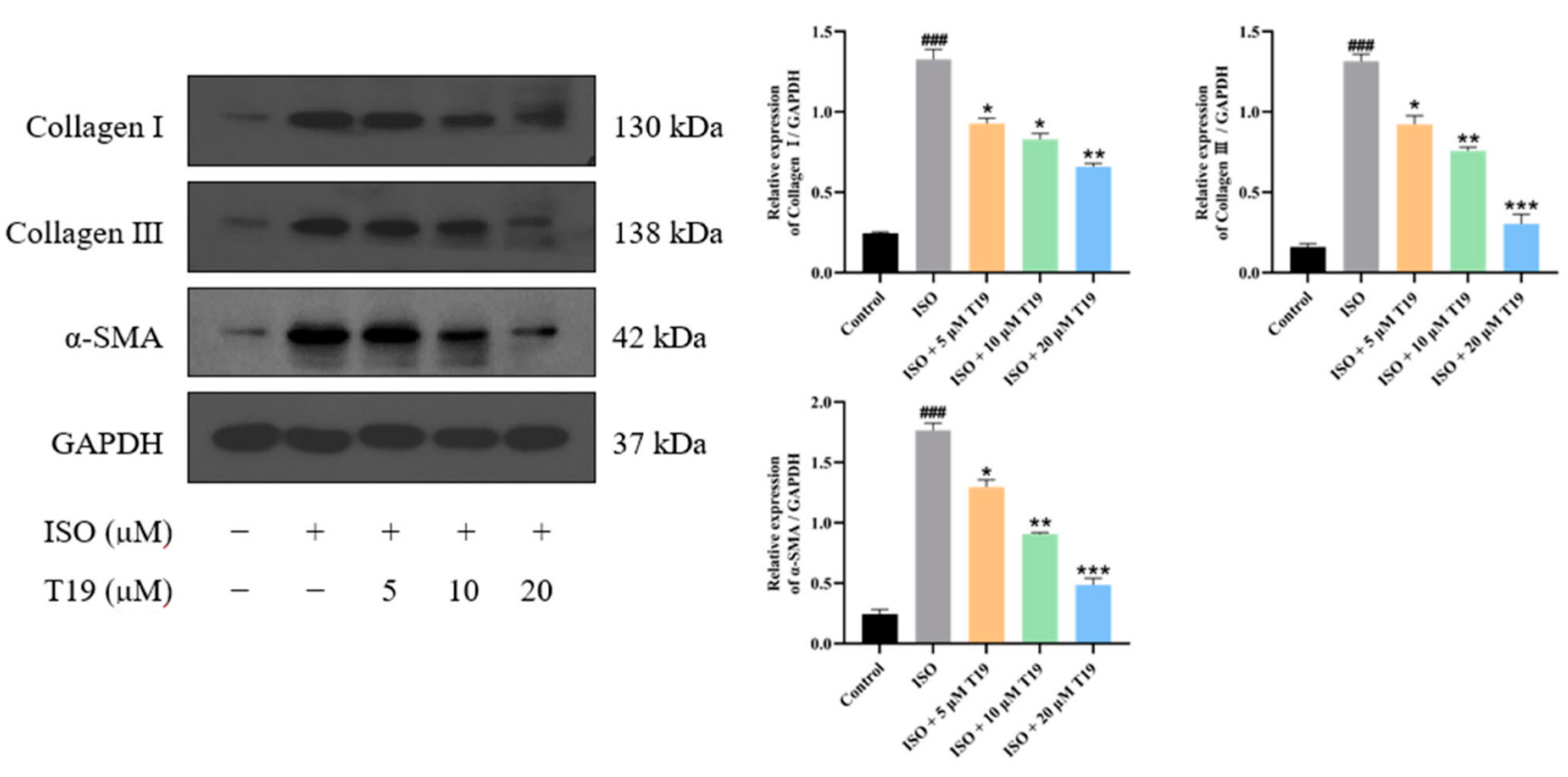
2.7. Protein Expression of Collagen I, Collagen III, and α-SMA Was Detected by Western Blot
2.8. mRNA Expression of Collagen I, Collagen III, and α-SMA in Cardiomyocytes Detected by PCR
3. Materials and Methods
3.1. Chemicals and Materials
3.2. Preparation of Acid Hydrolysis Samples
3.3. Orthogonal Experimental Design
3.4. Instrumentation and Chromatographic System
3.5. Molecular Docking Assay
3.6. Cell Culture and Anti-Myocardial Cell Injury Activity Assay
3.6.1. Cell Culture
3.6.2. Cell Viability Assay
3.7. Determination of LDH, CK-MB, SOD, GSH, and MDA Content
3.8. Western Blot (WB) Analysis
3.9. Real-Time Quantitative RT-PCR
3.10. Statistical Analysis
4. Discussion
5. Conclusions
Author Contributions
Funding
Institutional Review Board Statement
Informed Consent Statement
Data Availability Statement
Conflicts of Interest
References
- Brack, K.E. The heart’s “little brain” controlling cardiac function in the rabbit. Exp. Physiol. 2015, 100, 348–353. [Google Scholar] [CrossRef]
- Talman, V.; Ruskoaho, H. Cardiac fibrosis in myocardial infarction-from repair and remodeling to regeneration. Cell Tissue Res. 2016, 365, 563–581. [Google Scholar] [CrossRef] [PubMed]
- Aujla, P.K.; Kassiri, Z. Diverse origins and activation of fibroblasts in cardiac fibrosis. Cell. Signal. 2021, 78, 109869. [Google Scholar] [CrossRef] [PubMed]
- Jiang, F.; Chang, W.T.; Dusting, G.J. Cytoprotection by Natural and Synthetic Polyphenols in the Heart: Novel Mechanisms and Perspectives. Curr. Pharm. Des. 2010, 16, 4103–4112. [Google Scholar] [CrossRef] [PubMed]
- Wang, Q.; Wei, H.C.; Zhou, S.J.; Li, Y.; Zheng, T.T.; Zhou, C.Z.; Wan, X.H. Hyperoside: A review on its sources, biological activities, and molecular mechanisms. Phytother. Res. 2022, 36, 2779–2802. [Google Scholar] [CrossRef]
- Sadoughi, F.; Hallajzadeh, J.; Mirsafaei, L.; Asemi, Z.; Zahedi, M.; Mansournia, M.A.; Yousefi, B. Cardiac fibrosis and curcumin: A novel perspective on this natural medicine. Mol. Biol. Rep. 2021, 48, 7597–7608. [Google Scholar] [CrossRef]
- Wang, L.P.; Yang, D.; Zheng, J.; Wu, X.C.; Wang, J.; Liu, X.; He, Y.M.; Zhang, C.C.; Liu, C.Q.; Wang, T.; et al. Chikusetsu saponin IVa attenuates isoprenaline-induced myocardial fibrosis in mice through activation autophagy mediated by AMPK/mTOR/ULK1 signaling. Phytomedicine: Int. J. Phytother. Phytopharm. 2019, 58, 152764. [Google Scholar] [CrossRef]
- Wang, Z.H.; Su, G.Y.; Zhang, Z.G.; Dong, H.; Wang, Y.H.; Zhao, H.Y.; Zhao, Y.Q.; Sun, Q. 25-Hydroxyl-protopanaxatriol protects against H2O2-induced H9c2 cardiomyocytes injury via PI3K/Akt pathway and apoptotic protein down-regulation. Biomed. Pharmacother. 2018, 99, 33–42. [Google Scholar] [CrossRef] [PubMed]
- Shin, B.K.; Kwon, S.W.; Park, J.H. Chemical diversity of ginseng saponins from Panax ginseng. J. Ginseng Res. 2015, 39, 287–298. [Google Scholar] [CrossRef]
- Flagg, A.J. Traditional and current use of ginseng. Nurs. Clin. N. Am. 2021, 56, 109–121. [Google Scholar] [CrossRef]
- Jiang, J.; Sun, X.; Akther, M.; Lian, M.L.; Quan, L.H.; Koppula, S.; Han, J.H.; Kopalli, S.R.; Kang, T.B.; Lee, K.H. Ginsenoside metabolite 20 (S)-protopanaxatriol from Panax ginseng attenuates inflammation-mediated NLRP3 inflammasome activation. J. Ethnopharmacol. 2020, 251, 112564. [Google Scholar] [CrossRef] [PubMed]
- Hyun, S.H.; Bhilare, K.D.; In, G.; Park, C.K.; Kim, J.H. Effects of Panax ginseng and ginsenosides on oxidative stress and cardiovascular diseases: Pharmacological and therapeutic roles. J. Ginseng Res. 2022, 46, 33–38. [Google Scholar] [CrossRef] [PubMed]
- Park, S.H.; Chung, S.; Chung, M.Y.; Choi, H.K.; Hwang, J.T.; Park, J.H. Effects of Panax ginseng on hyperglycemia, hypertension, and hyperlipidemia: A systematic review and meta-analysis. J. Ginseng Res. 2022, 46, 188–205. [Google Scholar] [CrossRef]
- Zanuso, B.d.O.; Santos, A.R.d.O.d.; Miola, V.F.B.; Campos, L.M.G.; Spilla, C.S.G.; Barbalho, S.M. Panax ginseng and aging related disorders: A systematic review. Exp. Gerontol. 2022, 161, 111731. [Google Scholar] [CrossRef]
- Zhang, H.; Hu, C.; Xue, J.J.; Jin, D.; Tian, L.L.; Zhao, D.Q.; Li, X.Y.; Qi, W.X. Ginseng in vascular dysfunction: A review of therapeutic potentials and molecular mechanisms. Phytother. Res. PTR 2022, 36, 857–872. [Google Scholar] [CrossRef]
- Jin, W.; Li, C.R.; Yang, S.H. Hypolipidemic effect and molecular mechanism of ginsenosides: A review based on oxidative stress. Front. Pharmacol. 2023, 14, 1166898. [Google Scholar] [CrossRef] [PubMed]
- Shi, Z.Y.; Zeng, J.Z.; Wong, A.S.T. Chemical Structures and Pharmacological Profiles of Ginseng Saponins. Molecules 2019, 24, 2443. [Google Scholar] [CrossRef]
- Ye, X.-W.; Li, C.-S.; Zhang, H.-X.; Li, Q.; Cheng, S.Q.; Wen, J.; Wang, X.; Ren, H.M.; Xia, L.J.; Wang, X.X.; et al. Saponins of ginseng products: A review of their transformation in processing. Front. Pharmacol. 2023, 14, 1177819. [Google Scholar] [CrossRef]
- Choi, Y.J.; Kang, L.J.; Lee, S.G. Stimulation of DDX3 expression by ginsenoside Rg3 through the Akt/p53 pathway activates the innate immune response via TBK1/IKKε/IRF3 signalling. Curr. Med. Chem. 2014, 21, 1050–1060. [Google Scholar] [CrossRef]
- Cao, J.Q.; Fu, P.; Zhao, Y.Q. Isolation and identification of a new compound from acid hydrolysate of saponin in stems and leaves of Panax notoginseng. Chin. Tradit. Herb. Drugs 2013, 44, 137–140. [Google Scholar]
- Xu, J.; Li, T.; Xia, X.Y.; Fu, C.F.; Wang, X.D.; Zhao, Y.Q. Dietary Ginsenoside T19 Supplementation Regulates Glucose and Lipid Metabolism via AMPK and PI3K Pathways and Its Effect on Intestinal Microbiota. J. Agric. Food Chem. 2020, 68, 14452–14462. [Google Scholar] [CrossRef] [PubMed]
- Yang, N.; Zhang, S.N.; Yang, S.L.; Guo, Z.H.; Zhang, X.S.; Zhao, Y.Q. The inhibition of α-glycosidase and protein tyrosine phosphatase 1B (PTP1B) activities by ginsenosides from Panax ginseng CA Meyer and simultaneous determination by HPLC-ELSD. J. Funct. Foods 2016, 23, 188–197. [Google Scholar] [CrossRef]
- Sun, M.; Li, J.W.; Ma, J.Y.; Li, Z.Y.; Li, K.K.; Lu, M.M.; Gong, X.J. Advances in Biocatalytic Transformation and Hypoglycemic Activity Research of Rare Ginsenosides. J. Jinlin Agric. Univ. 2023, 45, 674–684. [Google Scholar]
- Hu, W.Q.; Zhang, Y.; Yang, N.; Wang, W.; Cui, J.M.; Zhao, Y.Q. Determination of 20 (R) -25-OH -PPT in different parts of Panax Linn. by HPLC-ELSD methods. Chin. Tradit. Herb. Drugs 2016, 47, 1401–1404. [Google Scholar]
- Xu, J.; Liu, H.R.; Su, G.Y.; Ding, M.; Wang, W.; Lu, J.C.; Bi, X.L.; Zhao, Y.Q. Purification of ginseng rare sapogenins 25-OH-PPT and its hypoglycemic, antiinflammatory and lipid-lowering mechanisms. J. Ginseng Res. 2021, 45, 86–97. [Google Scholar] [CrossRef]
- Xu, L.; Yang, N.; Guan, J.; Cui, J.M.; Zhao, Y.Q. Simultaneous determination 25-OH-PPT, 25-OCH3-PPT, PPT, and PT by HPLC-ELSD and its inhibition on α-glycosidase activities. Drug Eval. Res. 2016, 39, 793–796. [Google Scholar]
- Lakshmanan, V.; Viswanathan, P.K.; Thangaiyan, R. Sesamol Supplementation Mitigates Isoproterenol-Induced Cardiac Toxicity in Rats by Stabilizing Cardiac Mitochondrial and Lysosomal Enzymes. Nat. Prod. Commun. 2021, 16, 1934578X211057940. [Google Scholar]
- Chen, W.J.; Liang, J.; Fu, Y.; Jin, Y.Y.; Yan, R.N.; Chi, J.Y.; Liu, W.X.; Liu, Y.; Yin, X.H. Cardioprotection of cortistatin against isoproterenol-induced myocardial injury in rats. Ann. Transl. Med. 2020, 8, 309. [Google Scholar] [CrossRef]
- Chowdhury, D.; Kumar, D.; Bhadra, U. Prohibitin confers cytoprotection against ISO-induced hypertrophy in H9c2 cells via attenuation of oxidative stress and modulation of Akt/Gsk-3 beta signaling. Mol. Cell. Biochem. 2017, 425, 155–168. [Google Scholar] [CrossRef]
- Zhang, X.J.; Tan, H.; Shi, Z.F. Growth differentiation factor 11 is involved in isoproterenol-induced heart failure. Mol. Med. Rep. 2019, 19, 4109–4118. [Google Scholar] [CrossRef]
- Zhang, Q.; Wang, J.J.; Yang, Q.Y.; Xu, L.X.; Xu, J.; Liu, Y.Q.; Tong, T. Effect of replacing a portion of fish meal with unfermented and/or fermented soybean meal on the growth performance, antioxidant and immunity capacity and related gene expression in juvenile Coho Salmon, Oncorhynchus kisutch. J. World Aquac. Soc. 2023, 55, 223–239. [Google Scholar] [CrossRef]
- Li, J.; Shen, X.P. Oxidative stress and adipokine levels were significantly correlated in diabetic patients with hyperglycemic crises. Diabetol. Metab. Syndr. 2019, 11, 13. [Google Scholar] [CrossRef] [PubMed]
- Shih, Y.-C.; Chen, C.-L.; Zhang, Y.; Mellor, R.L.; Kanter, E.M.; Fang, Y.; Wang, H.C.; Hung, C.T.; Nong, J.Y.; Chen, H.J.; et al. Endoplasmic Reticulum Protein TXNDC5 Augments Myocardial Fibrosis by Facilitating Extracellular Matrix Protein Folding and Redox-Sensitive Cardiac Fibroblast Activation. Circ. Res. 2018, 122, 1052–1068. [Google Scholar] [CrossRef] [PubMed]
- Radhiga, T.; Senthil, S.; Sundaresan, A. Ursolic acid modulates MMPs, collagen-I, alpha-SMA, and TGF-beta expression in isoproterenol-induced myocardial infarction in rats. Hum. Exp. Toxicol. 2019, 38, 785–793. [Google Scholar] [CrossRef]
- Gordon, B.; Gonzalez-Fernandez, V.; Dos-Subira, L. Myocardial fibrosis in congenital heart disease. Front. Pediatr. 2023, 10, 965204. [Google Scholar] [CrossRef]












| Number | A (Hydrochloric Acid Concentration/mol/L) | B (Hydrolysis Temperature/℃) | C (Hydrolysis Time/min) | T19 Content/% |
|---|---|---|---|---|
| 1 | 8.4 | 20 | 20 | 3.49 ± 0.16 |
| 2 | 8.4 | 25 | 25 | 5.67 ± 0.23 |
| 3 | 8.4 | 30 | 30 | 9.47 ± 0.32 |
| 4 | 8.4 | 35 | 35 | 9.86 ± 0.25 |
| 5 | 9.5 | 20 | 25 | 4.81 ± 0.14 |
| 6 | 9.5 | 25 | 30 | 8.14 ± 0.23 |
| 7 | 9.5 | 30 | 35 | 9.81 ± 0.20 |
| 8 | 9.5 | 35 | 20 | 9.19 ± 0.19 |
| 9 | 10.6 | 20 | 30 | 1.43 ± 0.08 |
| 10 | 10.6 | 25 | 35 | 3.64 ± 0.11 |
| 11 | 10.6 | 30 | 20 | 7.90 ± 0.20 |
| 12 | 10.6 | 35 | 25 | 5.87 ± 0.12 |
| 13 | 11.7 | 20 | 35 | 10.05 ± 0.35 |
| 14 | 11.7 | 25 | 20 | 10.10 ± 0.44 |
| 15 | 11.7 | 30 | 25 | 11.86 ± 0.22 |
| 16 | 11.7 | 35 | 30 | 9.62 ± 0.34 |
| k1 | 7.12 | 4.95 | 7.67 | |
| k2 | 7.99 | 6.89 | 7.05 | |
| k3 | 4.71 | 9.76 | 7.17 | |
| k4 | 10.41 | 8.64 | 8.34 | |
| R | 5.70 | 4.81 | 1.29 |
| Number | A (Citric Acid Molarity/mol/L) | B (Hydrolysis Time/min) | C (Hydrolysis Temperature/℃) | T19 Content/% |
|---|---|---|---|---|
| 1 | 3.6 | 60 | 70 | 0.73 ± 0.03 |
| 2 | 3.6 | 120 | 85 | 1.14 ± 0.04 |
| 3 | 3.6 | 180 | 100 | 0.91 ± 0.02 |
| 4 | 4.4 | 120 | 70 | 1.19 ± 0.04 |
| 5 | 4.4 | 180 | 85 | 1.65 ± 0.07 |
| 6 | 4.4 | 60 | 100 | 1.67 ± 0.05 |
| 7 | 5.2 | 180 | 70 | 1.62 ± 0.04 |
| 8 | 5.2 | 60 | 85 | 1.55 ± 0.03 |
| 9 | 5.2 | 120 | 100 | 1.91 ± 0.08 |
| k1 | 0.93 | 1.32 | 1.18 | |
| k2 | 1.50 | 1.41 | 1.45 | |
| k3 | 1.69 | 1.39 | 1.50 | |
| R | 0.76 | 0.09 | 0.32 |
| Level | A (Hydrochloric Acid Molarity/mol/L) | B (Reaction Time/min) | C (Reaction Temperature/℃) |
|---|---|---|---|
| 1 | 8.4 | 20 | 20 |
| 2 | 9.5 | 25 | 25 |
| 3 | 10.6 | 30 | 30 |
| 4 | 11.7 | 35 | 35 |
| Level | A (Citric Acid Molarity/ mol/L) | B (Reaction Time/min) | C (Reaction Temperature/℃) |
|---|---|---|---|
| 1 | 3.6 | 60 | 70 |
| 2 | 4.4 | 120 | 85 |
| 3 | 5.2 | 180 | 100 |
Disclaimer/Publisher’s Note: The statements, opinions and data contained in all publications are solely those of the individual author(s) and contributor(s) and not of MDPI and/or the editor(s). MDPI and/or the editor(s) disclaim responsibility for any injury to people or property resulting from any ideas, methods, instructions or products referred to in the content. |
© 2024 by the authors. Licensee MDPI, Basel, Switzerland. This article is an open access article distributed under the terms and conditions of the Creative Commons Attribution (CC BY) license (https://creativecommons.org/licenses/by/4.0/).
Share and Cite
Jin, Z.; Wu, Y.; Zhang, Y.; Feng, S.; Hu, G.; Liu, H.; Zhao, Y.; Xu, J. Enrichment of Ginseng Rare Sapogenin 25-OH-PPT and Its Protective Effect on Myocardial Fibrosis. Molecules 2024, 29, 5813. https://doi.org/10.3390/molecules29235813
Jin Z, Wu Y, Zhang Y, Feng S, Hu G, Liu H, Zhao Y, Xu J. Enrichment of Ginseng Rare Sapogenin 25-OH-PPT and Its Protective Effect on Myocardial Fibrosis. Molecules. 2024; 29(23):5813. https://doi.org/10.3390/molecules29235813
Chicago/Turabian StyleJin, Zixuan, Yuemin Wu, Yanyan Zhang, Siqi Feng, Guotao Hu, Hairong Liu, Yuqing Zhao, and Jing Xu. 2024. "Enrichment of Ginseng Rare Sapogenin 25-OH-PPT and Its Protective Effect on Myocardial Fibrosis" Molecules 29, no. 23: 5813. https://doi.org/10.3390/molecules29235813
APA StyleJin, Z., Wu, Y., Zhang, Y., Feng, S., Hu, G., Liu, H., Zhao, Y., & Xu, J. (2024). Enrichment of Ginseng Rare Sapogenin 25-OH-PPT and Its Protective Effect on Myocardial Fibrosis. Molecules, 29(23), 5813. https://doi.org/10.3390/molecules29235813
