Molecular Mechanism: Inhibition of Fusarium oxysporum T-2 Toxin Synthesis by Surfactin in Dried Fish: Induction of Yap1 Nucleation by ROS Accumulation
Abstract
1. Introduction
2. Results
2.1. Inhibitory Effect of Surfactin on the Growth Phenotype of F. oxysporum
2.2. Surfactin Induced Light and Scanning Electron Microscopic Changes in F. oxysporum Mycelia
2.3. Effect of Surfactin on the Release of Nucleic Acids and Proteins from F. oxysporum
2.4. Effect of Surfactin on the F. oxysporum ROS Production Pathway
2.5. Critical Role of YRE Components in Yap1-Mediated Tri5 Response to Surfactin Stress
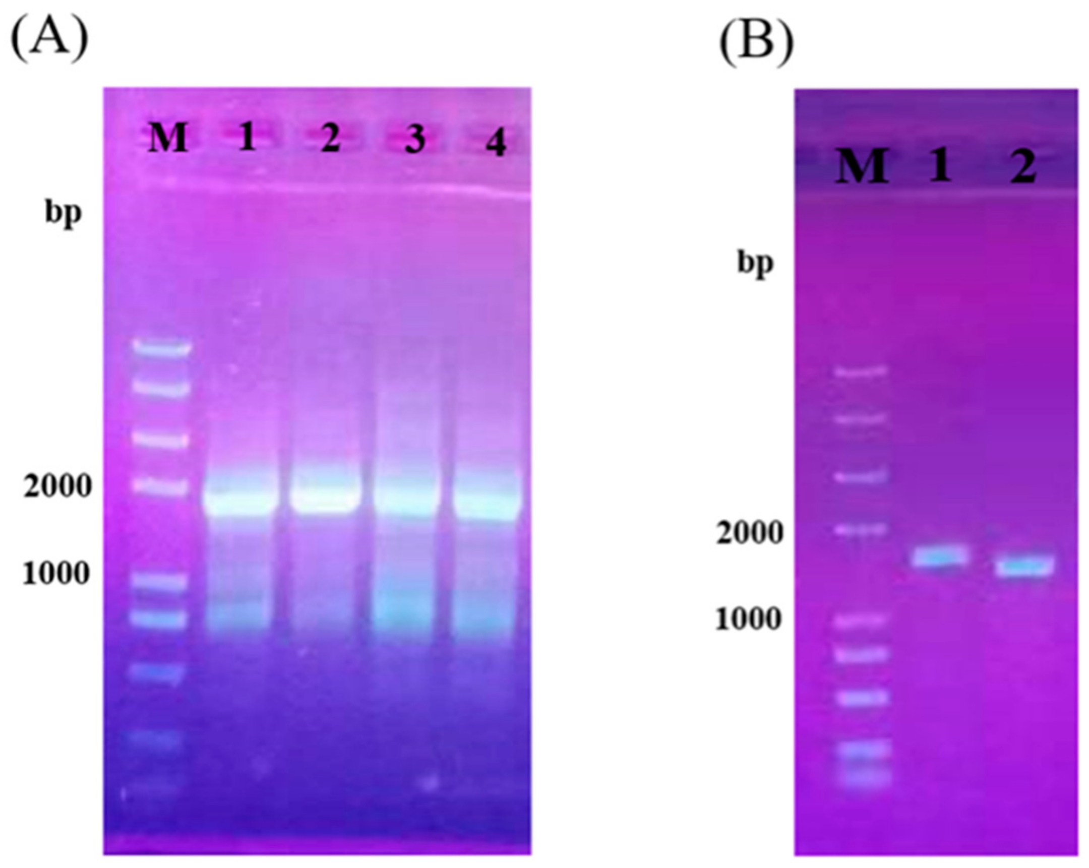
2.5.1. Validation of Yap1 Knockout Transformants
2.5.2. The Phenotypic Alterations in the Defective Strain ∆Yap1 (Deletion Strains of Yap1)
2.5.3. Effect of Yap1 Gene on F. oxysporum T-2 Toxin Production
2.5.4. Effect of Surfactin on the Subcellular Localization of the Yap1 Gene in F. oxysporum
3. Discussion
4. Materials and Methods
4.1. Materials
4.2. Experimental Methods
4.2.1. Inhibitory Effect of Surfactin on F. oxysporum Growth Phenotype
Minimum Inhibitory Concentration (MIC) of Surfactin on F. oxysporum (Fo17) Growth
Effect of Surfactin on the F. oxysporum (Fo17) Mycelial Biomass
Effect of Surfactin on the F. oxysporum (Fo17) Mycelia Growth
Scanning Electron Microscopy of F. oxysporum (Fo17) Mycelia and Spore Morphology
Effect of Surfactin on the Sporulation of F. oxysporum (Fo17)
4.2.2. Effect of Surfactin on the Release of Nucleic Acids and Proteins from F. oxysporum (Fo17)
4.2.3. Effect of Surfactin on Intracellular ROS Levels and F. oxysporum (Fo17) Production Pathways
4.2.4. Yap1 Mediates a Key Role in Tri5 Response to Surfactin Stress
Knockout of the Yap1 Gene in F. oxysporum
Influence of the Yap1 Gene on the F. oxysporum T-2 Toxin Production
GFP Green Fluorescent Labeling of the Yap1 Gene
Subcellular Localization of the Yap1 Gene in F. oxysporum Subjected to Surfactin Stress
4.3. Data Processing
5. Conclusions
Supplementary Materials
Author Contributions
Funding
Institutional Review Board Statement
Informed Consent Statement
Data Availability Statement
Acknowledgments
Conflicts of Interest
References
- Al Banna, H.; Hoque, S.; Tamanna, F.; Hasan, M.; Mondal, P.; Hossain, B.; Chakma, S.; Jaman, N.; Tareq, A.; Khan, M.S.I. Nutritional, Microbial and Various Quality Aspects of Common Dried Fish from Commercial Fish Drying Centers in Bangladesh. Heliyon 2022, 8, e10830. [Google Scholar] [CrossRef] [PubMed]
- Sinthupachee, A.; Matan, N.; Matan, N. Development of Smoke Flavour-Antimicrobial Packaging from Coconut Fibre Using Litsea Cubeba Essential Oil and Wood Smoke for Dried Fish Preservation and Reduction of PAH. Food Control 2023, 148, 109629. [Google Scholar] [CrossRef]
- Vörösházi, J.; Neogrády, Z.; Mátis, G.; Mackei, M. Pathological Consequences, Metabolism and Toxic Effects of Trichothecene T-2 Toxin in Poultry. Poult. Sci. 2024, 103, 103471. [Google Scholar] [CrossRef] [PubMed]
- Zhao, Q.; Kan, J. Advances in T-2 Toxin Detection Methods and Their Toxicity Studies. Cereals Oils 2014, 27, 8–12. [Google Scholar]
- Gbashi, S.; Madala, N.E.; De Saeger, S.; De Boevre, M.; Njobeh, P.B. Numerical Optimization of Temperature-Time Degradation of Multiple Mycotoxins. Food Chem. Toxicol. 2019, 125, 289–304. [Google Scholar] [CrossRef]
- Xiang, B.; Chen, C.; Wang, Y.; Fan, R.; Dai, C.; Tang, S. Progress in the study of the toxic effects of T-2 toxin. Chin. J. Vet. Med. 2020, 56, 67–69. [Google Scholar]
- Ruiz, M.T.; Kapr, J.; Bartmann, K.; Tigges, J.; Rodriguez-Carrasco, Y.; Ruiz, M.J.; Fritsche, E. P21-14: Neurodevelopmental Toxicity of T-2 Mycotoxin in Human-Based Primary and Induced Pluripotent Stem Cell-Derived Neural Progenitor Cells in 3D and 2D. Toxicol. Lett. 2023, 384, S243. [Google Scholar] [CrossRef]
- Li, J.; Wang, Y.; Deng, Y.; Wang, X.; Wu, W.; Nepovimova, E.; Wu, Q.; Kuca, K. Toxic Mechanisms of the Trichothecenes T-2 Toxin and Deoxynivalenol on Protein Synthesis. Food Chem. Toxicol. 2022, 164, 113044. [Google Scholar] [CrossRef]
- Deng, Y.; Wang, R.; Wang, Y.; Sun, L.; Tao, S.; Li, X.; Gooneratne, R.; Zhao, J. Diversity and Succession of Microbial Communities and Chemical Analysis in Dried Lutianus Erythropterus during Storage. Int. J. Food Microbiol. 2020, 314, 108416. [Google Scholar] [CrossRef]
- Hu, B.; Shi, H.; Hu, B.; Zhao, S.; Liu, R.; Jia, C. Advances in the Detection of Aflatoxins in Foods. J. Agric. Sci. Technol. 2022, 24, 106–118. [Google Scholar] [CrossRef]
- Yang, H.; Zhang, Y.; Ding, X.; Zhang, Y.; Zhang, Y. Advances in the use of plant essential oils for the control of fungi and their toxins. Cereal Feed. Ind. 2014, 5, 23–26. [Google Scholar]
- Qiao, J.; Borriss, R.; Sun, K.; Zhang, R.; Chen, X.; Liu, Y.; Liu, Y. Research Advances in the Identification of Regulatory Mechanisms of Surfactin Production by Bacillus: A Review. Microb. Cell Fact. 2024, 23, 100. [Google Scholar] [CrossRef] [PubMed]
- Deleu, M.; Lorent, J.; Lins, L.; Brasseur, R.; Braun, N.; El Kirat, K.; Nylander, T.; Dufrêne, Y.F.; Mingeot-Leclercq, M.-P. Effects of Surfactin on Membrane Models Displaying Lipid Phase Separation. Biochim. Biophys. Acta (BBA)—Biomembr. 2013, 1828, 801–815. [Google Scholar] [CrossRef]
- Santana Vieira Santos, V.; Silveira, E.; Barbosa Pereira, B. Toxicity and Applications of Surfactin for Health and Environmental Biotechnology. J. Toxicol. Environ. Health Part B 2019, 21, 382–399. [Google Scholar] [CrossRef] [PubMed]
- Meena, K.; Sharma, A.; Kumar, R.; Kanwar, S. Two Factor at a Time Approach by Response Surface Methodology to Aggrandize the Bacillus Subtilis KLP2015 Surfactin Lipopeptide to Use as Antifungal Agent. J. King Saud Univ.—Sci. 2018, 32, 337–348. [Google Scholar] [CrossRef]
- Sarwar, A.; Hassan, M.N.; Imran, M.; Iqbal, M.; Majeed, S.; Brader, G.; Sessitsch, A.; Hafeez, F.Y. Biocontrol Activity of Surfactin A Purified from Bacillus NH-100 and NH-217 against Rice Bakanae Disease. Microbiol. Res. 2018, 209, 1–13. [Google Scholar] [CrossRef] [PubMed]
- Gomaa, O.M.; El Nour, S.A. Aflatoxin Inhibition in Aspergillus Flavus for Bioremediation Purposes. Ann. Microbiol. 2014, 64, 975–982. [Google Scholar] [CrossRef]
- Guan, X.; Zhao, Y.; Liu, X.; Shang, B.; Xing, F.; Zhou, L.; Wang, Y.; Zhang, C.; Bhatnagar, D.; Liu, Y. The bZIP Transcription Factor Afap1 Mediates the Oxidative Stress Response and Aflatoxin Biosynthesis in Aspergillus flavus. Rev. Argent. Microbiol. 2019, 51, 292–301. [Google Scholar] [CrossRef]
- Chu, X. Purification, Identification and Inhibitory Echanism of Antimicrobial Lipopeptides IturinA Produced by Biocontrol Bacterium Bacillus Amyloliquefaciens Strain LY-1. Bachelor’s Thesis, Fujian Agriculture and Forestry University, Fuzhou, China, 2022. [Google Scholar]
- Jiang, J.; Gao, L.; Bie, X.; Lu, Z.; Liu, H.; Zhang, C.; Lu, F.; Zhao, H. Identification of Novel Surfactin Derivatives from NRPS Modification of Bacillus Subtilis and Its Antifungal Activity against Fusarium Moniliforme. BMC Microbiol. 2016, 16, 31. [Google Scholar] [CrossRef]
- Reverberi, M.; Zjalic, S.; Ricelli, A.; Punelli, F.; Camera, E.; Fabbri, C.; Picardo, M.; Fanelli, C.; Fabbri, A.A. Modulation of Antioxidant Defense in Aspergillus Parasiticus Is Involved in Aflatoxin Biosynthesis: A Role for the ApyapA Gene. Eukaryot. Cell 2008, 7, 988–1000. [Google Scholar] [CrossRef]
- Reverberi, M.; Punelli, F.; Scarpari, M.; Camera, E.; Zjalic, S.; Ricelli, A.; Fanelli, C.; Fabbri, A.A. Lipoperoxidation Affects Ochratoxin A Biosynthesis in Aspergillus Ochraceus and Its Interaction with Wheat Seeds. Appl. Microbiol. Biotechnol. 2010, 85, 1935–1946. [Google Scholar] [CrossRef]
- Narasaiah, K.V.; Sashidhar, R.B.; Subramanyam, C. Biochemical Analysis of Oxidative Stress in the Production of Aflatoxin and Its Precursor Intermediates. Mycopathologia 2006, 162, 179–189. [Google Scholar] [CrossRef] [PubMed]
- Kobayashi, D.; Kondo, K.; Uehara, N.; Otokozawa, S.; Tsuji, N.; Yagihashi, A.; Watanabe, N. Endogenous Reactive Oxygen Species Is an Important Mediator of Miconazole Antifungal Effect. Antimicrob. Agents Chemother. 2002, 46, 3113–3117. [Google Scholar] [CrossRef] [PubMed]
- Wang, Q. The Oxidative Stress Regulating Factor Yap1 Mediates Virulence and Deoxynivalenol Biosynthesis in Fusarium. Bachelor’s Thesis, Guangxi University, Nanning, China, 2016. [Google Scholar]
- Delaunay, A.; Isnard, A.-D.; Toledano, M.B. H2O2 Sensing through Oxidation of the Yap1 Transcription Factor. EMBO J. 2000, 19, 5157–5166. [Google Scholar] [CrossRef] [PubMed]
- Maeta, K.; Izawa, S.; Okazaki, S.; Kuge, S.; Inoue, Y. Activity of the Yap1 Transcription Factor in Saccharomyces Cerevisiae Is Modulated by Methylglyoxal, a Metabolite Derived from Glycolysis. Mol. Cell. Biol. 2004, 24, 8753–8764. [Google Scholar] [CrossRef] [PubMed]
- Pimentel, C.; Caetano, S.M.; Menezes, R.; Figueira, I.; Santos, C.N.; Ferreira, R.B.; Santos, M.A.S.; Rodrigues-Pousada, C. Yap1 Mediates Tolerance to Cobalt Toxicity in the Yeast Saccharomyces cerevisiae. Biochim. Biophys. Acta (BBA)—Gen. Subj. 2014, 1840, 1977–1986. [Google Scholar] [CrossRef]
- Gruhlke, M.C.H.; Schlembach, I.; Leontiev, R.; Uebachs, A.; Gollwitzer, P.U.G.; Weiss, A.; Delaunay, A.; Toledano, M.; Slusarenko, A.J. Yap1p, the Central Regulator of the S. Cerevisiae Oxidative Stress Response, Is Activated by Allicin, a Natural Oxidant and Defence Substance of Garlic. Free. Radic. Biol. Med. 2017, 108, 793–802. [Google Scholar] [CrossRef]
- Shen, T.; Wang, Q.; Li, C.; Zhou, B.; Li, Y.; Liu, Y. Transcriptome Sequencing Analysis Reveals Silver Nanoparticles Antifungal Molecular Mechanism of the Soil Fungi Fusarium Solani Species Complex. J. Hazard. Mater. 2020, 388, 122063. [Google Scholar] [CrossRef]
- Yan, S.; Liang, Y.; Zhang, J.; Liu, C.-M. Aspergillus flavus Grown in Peptone as the Carbon Source Exhibits Spore Density- and Peptone Concentration-Dependent Aflatoxin Biosynthesis. BMC Microbiol. 2012, 12, 106. [Google Scholar] [CrossRef]
- Shao, J.; Pei, Z.; Jing, H.; Wang, L.; Jiang, C.; Du, X.; Jiang, C.; Lou, Z.; Wang, H. Antifungal Activity of Myriocin against Fusarium Graminearum and Its Inhibitory Effect on Deoxynivalenol Production in Wheat Grains. Physiol. Mol. Plant Pathol. 2021, 114, 101635. [Google Scholar] [CrossRef]
- Luo, C.; Zeng, Z.; Gong, D.; Zhao, C.; Liang, Q.; Zeng, C. Evaluation of Monolaurin from Camphor Tree Seeds for Controlling Food Spoilage Fungi. Food Control 2014, 46, 488–494. [Google Scholar] [CrossRef]
- Qiu, M.; Deng, Y.; Deng, Q.; Sun, L.; Fang, Z.; Wang, Y.; Huang, X.; Zhao, J. Cysteine Inhibits the Growth of Fusarium oxysporum and Promotes T-2 Toxin Synthesis through the Gtr/Tap42 Pathway. Microbiol. Spectr. 2022, 10, e03682-22. [Google Scholar] [CrossRef]









Disclaimer/Publisher’s Note: The statements, opinions and data contained in all publications are solely those of the individual author(s) and contributor(s) and not of MDPI and/or the editor(s). MDPI and/or the editor(s) disclaim responsibility for any injury to people or property resulting from any ideas, methods, instructions or products referred to in the content. |
© 2024 by the authors. Licensee MDPI, Basel, Switzerland. This article is an open access article distributed under the terms and conditions of the Creative Commons Attribution (CC BY) license (https://creativecommons.org/licenses/by/4.0/).
Share and Cite
Deng, Q.; Ren, X.; Hu, Q.; Pu, Y.; Iddrisu, L.; Kumar, A.; Hua, M.; Liao, J.; Fang, Z.; Gooneratne, R. Molecular Mechanism: Inhibition of Fusarium oxysporum T-2 Toxin Synthesis by Surfactin in Dried Fish: Induction of Yap1 Nucleation by ROS Accumulation. Molecules 2024, 29, 5402. https://doi.org/10.3390/molecules29225402
Deng Q, Ren X, Hu Q, Pu Y, Iddrisu L, Kumar A, Hua M, Liao J, Fang Z, Gooneratne R. Molecular Mechanism: Inhibition of Fusarium oxysporum T-2 Toxin Synthesis by Surfactin in Dried Fish: Induction of Yap1 Nucleation by ROS Accumulation. Molecules. 2024; 29(22):5402. https://doi.org/10.3390/molecules29225402
Chicago/Turabian StyleDeng, Qi, Xueting Ren, Qin Hu, Yuehua Pu, Lukman Iddrisu, Anand Kumar, Meifang Hua, Jianmeng Liao, Zhijia Fang, and Ravi Gooneratne. 2024. "Molecular Mechanism: Inhibition of Fusarium oxysporum T-2 Toxin Synthesis by Surfactin in Dried Fish: Induction of Yap1 Nucleation by ROS Accumulation" Molecules 29, no. 22: 5402. https://doi.org/10.3390/molecules29225402
APA StyleDeng, Q., Ren, X., Hu, Q., Pu, Y., Iddrisu, L., Kumar, A., Hua, M., Liao, J., Fang, Z., & Gooneratne, R. (2024). Molecular Mechanism: Inhibition of Fusarium oxysporum T-2 Toxin Synthesis by Surfactin in Dried Fish: Induction of Yap1 Nucleation by ROS Accumulation. Molecules, 29(22), 5402. https://doi.org/10.3390/molecules29225402
