Outer Membrane Vesicles Formed by Clinical Proteus mirabilis Strains May Be Incorporated into the Outer Membrane of Other P. mirabilis Cells and Demonstrate Lytic Properties
Abstract
1. Introduction
2. Results
2.1. Determination of the Late Logarithmic Growth Phase in P. mirabilis Cultures
2.2. P. mirabilis Strains Are Able to Produce OMVs
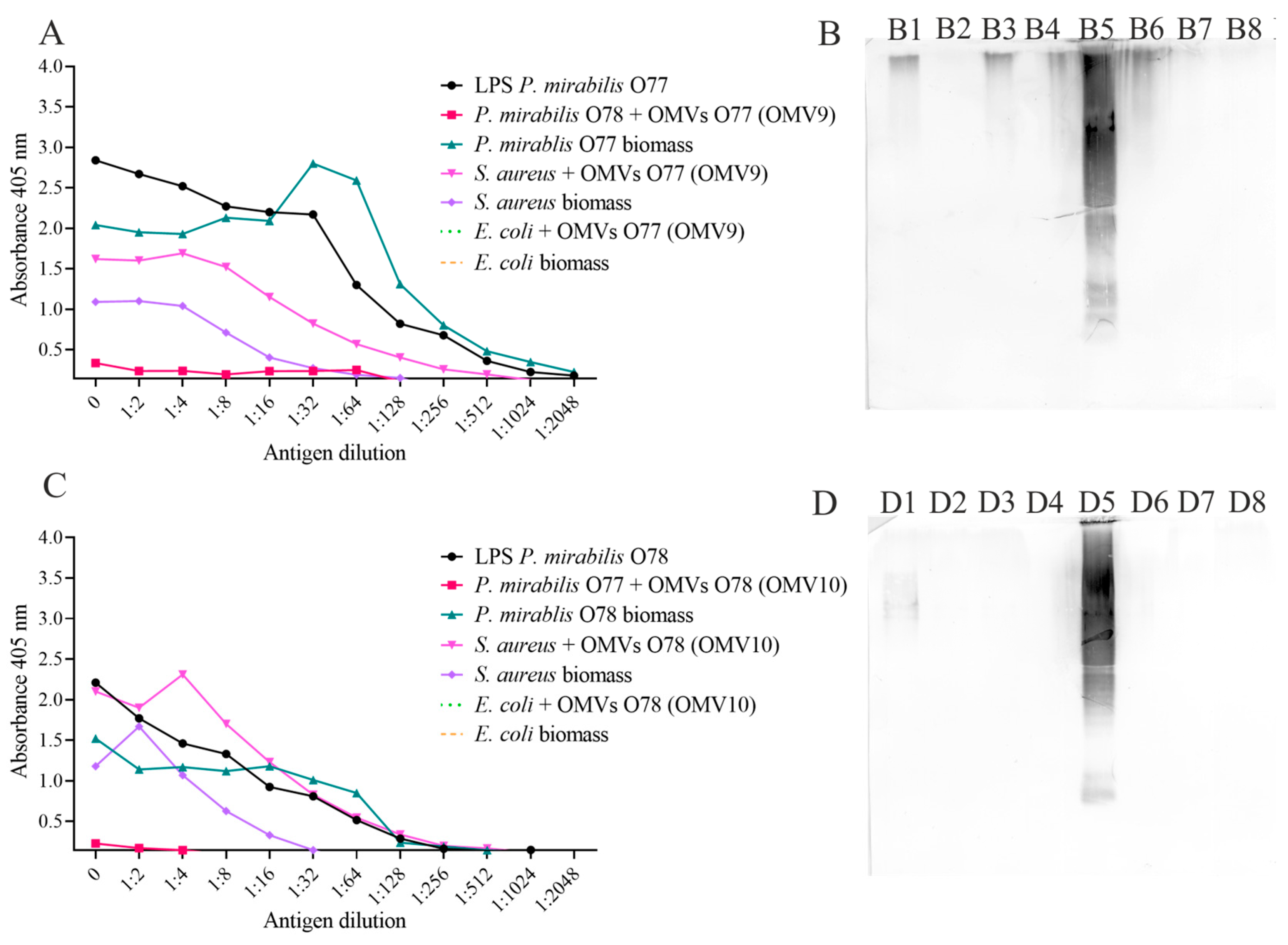
2.3. OMVs May Be Incorporated into Recipient Bacterial Cells
2.4. OMVs Produced by the P. mirabilis O78 Strain Showed Bacteriolytic Activity
3. Discussion
4. Materials and Methods
4.1. Bacterial Strains
4.2. Determination of Logarithmic Growth Phase
4.3. OMV Isolation
4.4. Assay of OMV Fusion to Bacterial Cells
4.5. Confirmation of OMV Isolation and Fusion Phenomenon
4.5.1. Visualisation of OMVs in TEM
4.5.2. ELISA
4.5.3. Western Blotting
4.6. Bacteriolytic Activity of OMVs
Supplementary Materials
Author Contributions
Funding
Institutional Review Board Statement
Informed Consent Statement
Data Availability Statement
Acknowledgments
Conflicts of Interest
References
- Drzewiecka, D. Significance and Roles of Proteus spp. Bacteria in Natural Environments. Microb. Ecol. 2016, 72, 741–758. [Google Scholar] [CrossRef] [PubMed]
- Armbruster, C.E.; Mobley, H.L.T.; Pearson, M.M. Pathogenesis of Proteus mirabilis Infection. EcoSal Plus 2018, 8, 10.1128. [Google Scholar] [CrossRef] [PubMed]
- Furuyama, N.; Sircili, M.P. Outer Membrane Vesicles (OMVs) Produced by Gram-Negative Bacteria: Structure, Functions, Biogenesis, and Vaccine Application. Biomed. Res. Int. 2021, 2021, 1490732. [Google Scholar] [CrossRef] [PubMed]
- Caruana, J.C.; Walper, S.A. Bacterial Membrane Vesicles as Mediators of Microbe—Microbe and Microbe—Host Community Interactions. Front. Microbiol. 2020, 11, 432. [Google Scholar] [CrossRef] [PubMed]
- Dell’annunziata, F.; Folliero, V.; Giugliano, R.; De Filippis, A.; Santarcangelo, C.; Izzo, V.; Daglia, M.; Galdiero, M.; Arciola, C.R.; Franci, G. Gene Transfer Potential of Outer Membrane Vesicles of Gram-Negative Bacteria. Int. J. Mol. Sci. 2021, 22, 5985. [Google Scholar] [CrossRef]
- Beveridge, T.J. Structures of Gram-Negative Cell Walls and Their Derived Membrane Vesicles. J. Bacteriol. 1999, 181, 4725–4733. [Google Scholar] [CrossRef]
- Gao, H.; Gao, Y.; Yang, C.; Dong, D.; Yang, J.; Peng, G.; Peng, J.; Wang, Y.; Pan, C.; Dong, W. Influence of outer membrane vesicles of Proteus mirabilis isolated from boar semen on sperm function. Vet. Microbiol. 2018, 224, 34–42. [Google Scholar] [CrossRef]
- Wang, T.; Mo, L.; Ou, J.; Fang, Q.; Wu, H.; Wu, Y.; Nandakumar, K.S. Proteus mirabilis Vesicles Induce Mitochondrial Apoptosis by Regulating miR96-5p/Abca1 to Inhibit Osteoclastogenesis and Bone Loss. Front. Immunol. 2022, 13, 833040. [Google Scholar] [CrossRef]
- Li, Z.; Clarke, A.J.; Beveridge, T.J. Gram-negative bacteria produce membrane vesicles which are capable of killing other bacteria. J. Bacteriol. 1998, 180, 5478–5483. [Google Scholar] [CrossRef]
- Kadurugamuwa, J.L.; Beveridge, T.J. Bacteriolytic Effect of Membrane Vesicles from Pseudomonas aeruginosa on Other Bacteria Including Pathogens: Conceptually New Antibiotics. J. Bacteriol. 1996, 178, 2767–2774. [Google Scholar] [CrossRef]
- Qing, G.; Gong, N.; Chen, X.; Chen, J.; Zhang, H.; Wang, Y.; Wang, R.; Zhang, S.; Zhang, Z.; Zhao, X.; et al. Natural and engineered bacterial outer membrane vesicles. Biophys. Rep. 2019, 5, 184–198. [Google Scholar] [CrossRef]
- Drzewiecka, D.; Palusiak, A.; Siwińska, M.; Zabłotni, A. The prevailing O serogroups among the serologically differentiated clinical Proteus spp. strains in central Poland. Sci. Rep. 2021, 11, 18982. [Google Scholar] [CrossRef] [PubMed]
- Klimentová, J.; Stulík, J. Methods of isolation and purification of outer membrane vesicles from gram-negative bacteria. Microbiol. Res. 2015, 170, 1–9. [Google Scholar] [CrossRef]
- Sartorio, M.G.; Pardue, E.J.; Feldman, M.F.; Haurat, M.F. Bacterial Outer Membrane Vesicles: From Discovery to Applications. Annu. Rev. Microbiol. 2021, 75, 609–630. [Google Scholar] [CrossRef] [PubMed]
- Avila-Calderón, E.D.; Ruiz-Palma, M.d.S.; Aguilera-Arreola, M.G.; Velázquez-Guadarrama, N.; Ruiz, E.A.; Gomez-Lunar, Z.; Witonsky, S.; Contreras-Rodríguez, A. Outer Membrane Vesicles of Gram-Negative Bacteria: An Outlook on Biogenesis. Front. Microbiol. 2021, 12, 557902. [Google Scholar] [CrossRef] [PubMed]
- Suh, J.W.; Kang, J.S.; Kim, J.Y.; Kim, S.B.; Yoon, Y.K.; Sohn, J.W. Characterization of the Outer Membrane Vesicles of Pseudomonas aeruginosa Exhibiting Growth Inhibition against Acinetobacter baumannii. Biomedicines 2024, 12, 556. [Google Scholar] [CrossRef]
- Reyes-Robles, T.; Dillard, R.S.; Cairns, L.S.; Silva-Valenzuela, C.A.; Housman, M.; Ali, A.; Wright, E.R.; Camilli, A. Vibrio cholerae Outer Membrane Vesicles Inhibit Bacteriophage Infection. J. Bacteriol. 2018, 200, e00792-17. [Google Scholar] [CrossRef]
- Bai, J.; Kim, S.I.; Ryu, S.; Yoon, H. Identification and Characterization of Outer Membrane Vesicle-Associated Proteins in Salmonella enterica Serovar Typhimurium. Infect. Immun. 2014, 82, 4001–4010. [Google Scholar] [CrossRef]
- Gerritzen, M.J.H.; Salverda, M.L.M.; Martens, D.E.; Wijffels, R.H.; Stork, M. Spontaneously released Neisseria meningitidis outer membrane vesicles as vaccine platform: Production and purification. Vaccine 2019, 37, 6978–6986. [Google Scholar] [CrossRef]
- Kadurugamuwa, J.L.; Beveridge, T.J. Membrane vesicles derived from Pseudomonas aeruginosa and Shigella flexneri can be integrated into the surfaces of other gram-negative bacteria. Microbiology 1999, 145, 2051–2060. [Google Scholar] [CrossRef]
- Shi, G.; Yang, X.; Wang, J.; Wei, W.; Hu, K.; Huang, X.; Qiu, Y.; He, Y. Isolation of Extracellular Outer Membrane Vesicles (OMVs) from Escherichia coli Using EVscore47 Beads. Molecules 2024, 29, 1831. [Google Scholar] [CrossRef] [PubMed]
- Sarra, A.; Celluzzi, A.; Bruno, S.P.; Ricci, C.; Sennato, S.; Ortore, M.G.; Casciardi, S.; Del Chierico, F.; Postorino, P.; Bordi, F.; et al. Biophysical Characterization of Membrane Phase Transition Profiles for the Discrimination of Outer Membrane Vesicles (OMVs) From Escherichia coli Grown at Different Temperatures. Front. Microbiol. 2020, 11, 290. [Google Scholar] [CrossRef] [PubMed]
- Toyofuku, M.; Tashiro, Y.; Hasegawa, Y.; Kurosawa, M.; Nomura, N. Bacterial membrane vesicles, an overlooked environmental colloid: Biology, environmental perspectives and applications. Adv. Colloid Interface Sci. 2015, 226, 65–77. [Google Scholar] [CrossRef] [PubMed]
- Eddy, J.L.; Gielda, L.M.; Caulfield, A.J.; Rangel, S.M.; Lathem, W.W. Production of outer membrane vesicles by the plague pathogen Yersinia pestis. PLoS ONE 2014, 9, e107002. [Google Scholar] [CrossRef] [PubMed]
- Drzewiecka, D.; Arbatsky, N.P.; Shashkov, A.S.; Stączek, P.; Knirel, Y.A.; Sidorczyk, Z. Structure and serological properties of the O-antigen of two clinical Proteus mirabilis strains classified into a new Proteus O77 serogroup. FEMS Immunol. Med. Microbiol. 2008, 54, 185–194. [Google Scholar] [CrossRef]
- Badi, S.A.; Moshiri, A.; Marvasti, F.E.; Mojtahedzadeh, M.; Kazemi, V.; Siadat, S.D. Extraction and Evaluation of Outer Membrane Vesicles from Two Important Gut Microbiota Members, Bacteroides fragilis and Bacteroides thetaiotaomicron. Cell J. 2020, 22, 344–349. [Google Scholar] [CrossRef]
- Smidt, H.; Trchounian, A.; Tashiro, Y.; Mingeot-Leclercq, M.P.; Mozaheb, N. Membrane Vesicle Production as a Bacterial Defense Against Stress. Front. Microbiol. 2020, 11, 600221. [Google Scholar] [CrossRef]
- O’Donoghue, E.J.; Krachler, A.M. Mechanisms of outer membrane vesicle entry into host cells. Cell Microbiol. 2016, 18, 1508–1517. [Google Scholar] [CrossRef]
- Gurunathan, S.; Thangaraj, P.; Das, J.; Kim, J.H. Antibacterial and antibiofilm effects of Pseudomonas aeruginosa derived outer membrane vesicles against Streptococcus mutans. Heliyon 2023, 9, e22606. [Google Scholar] [CrossRef]
- Nasarabadi, A.; Berleman, J.E.; Auer, M. Outer Membrane Vesicles of Bacteria: Structure, Biogenesis, and Function. In Biogenesis of Fatty Acids, Lipids and Membranes; Springer: Cham, Switzerland, 2017; pp. 1–15. [Google Scholar] [CrossRef]
- Drzewiecka, D.; Arbatsky, N.P.; Staczek, P.; Shashkov, A.S.; Knirel, Y.A.; Sidorczyk, Z. Structural and serological studies of the O-polysaccharide of strains from a newly created Proteus O78 serogroup prevalent in Polish patients. FEMS Immunol. Med. Microbiol. 2010, 58, 269–276. [Google Scholar] [CrossRef]
- Kulp, A.; Kuehn, M.J. Biological Functions and Biogenesis of Secreted Bacterial Outer Membrane Vesicles. Annu. Rev. Microbiol. 2010, 64, 163–184. [Google Scholar] [CrossRef] [PubMed]
- Renelli, M.; Matias, V.; Lo, R.Y.; Beveridge, T.J. DNA-containing membrane vesicles of Pseudomonas aeruginosa PAO1 and their genetic transformation potential. Microbiology 2004, 150, 2161–2169. [Google Scholar] [CrossRef] [PubMed]
- Afoshin, A.S.; Kudryakova, I.V.; Borovikova, A.O.; Suzina, N.E.; Toropygin, I.Y.; Shishkova, N.A.; Vasilyeva, N.V. Lytic potential of Lysobacter capsici VKM B-2533T: Bacteriolytic enzymes and outer membrane vesicles. Sci. Rep. 2020, 10, 9944. [Google Scholar] [CrossRef] [PubMed]






| OMV Sample (The Producing Strain; Serogroup) | Dry Bacterial Biomass [mg] | Amount of LPSs in the OMV Sample [ng/2 mL] | Efficiency (OMV LPSs per 100 mg of Dry Biomass [ng]) |
|---|---|---|---|
| OMV3 (P. mirabilis 3B-m O77) | 199.56 | 2000 | 1002.2 |
| OMV8 (P. mirabilis 3B-m O77) | 199.18 | 12,000 | 6024.7 |
| OMV9 (P. mirabilis 3B-m O77) | 167.85 | 2000 | 1191.5 |
| OMV7 (P. mirabilis 1B-m O78) | 181.04 | 520 | 287.2 |
| OMV10 (P. mirabilis 1B-m O78) | 298.23 | 2000 | 670.62 |
Disclaimer/Publisher’s Note: The statements, opinions and data contained in all publications are solely those of the individual author(s) and contributor(s) and not of MDPI and/or the editor(s). MDPI and/or the editor(s) disclaim responsibility for any injury to people or property resulting from any ideas, methods, instructions or products referred to in the content. |
© 2024 by the authors. Licensee MDPI, Basel, Switzerland. This article is an open access article distributed under the terms and conditions of the Creative Commons Attribution (CC BY) license (https://creativecommons.org/licenses/by/4.0/).
Share and Cite
Szczerbiec, D.; Glińska, S.; Kamińska, J.; Drzewiecka, D. Outer Membrane Vesicles Formed by Clinical Proteus mirabilis Strains May Be Incorporated into the Outer Membrane of Other P. mirabilis Cells and Demonstrate Lytic Properties. Molecules 2024, 29, 4836. https://doi.org/10.3390/molecules29204836
Szczerbiec D, Glińska S, Kamińska J, Drzewiecka D. Outer Membrane Vesicles Formed by Clinical Proteus mirabilis Strains May Be Incorporated into the Outer Membrane of Other P. mirabilis Cells and Demonstrate Lytic Properties. Molecules. 2024; 29(20):4836. https://doi.org/10.3390/molecules29204836
Chicago/Turabian StyleSzczerbiec, Dominika, Sława Glińska, Justyna Kamińska, and Dominika Drzewiecka. 2024. "Outer Membrane Vesicles Formed by Clinical Proteus mirabilis Strains May Be Incorporated into the Outer Membrane of Other P. mirabilis Cells and Demonstrate Lytic Properties" Molecules 29, no. 20: 4836. https://doi.org/10.3390/molecules29204836
APA StyleSzczerbiec, D., Glińska, S., Kamińska, J., & Drzewiecka, D. (2024). Outer Membrane Vesicles Formed by Clinical Proteus mirabilis Strains May Be Incorporated into the Outer Membrane of Other P. mirabilis Cells and Demonstrate Lytic Properties. Molecules, 29(20), 4836. https://doi.org/10.3390/molecules29204836

