Untargeted Metabolomics Analysis of Lactic Acid Bacteria Fermented Acanthopanax senticosus with Regard to Regulated Gut Microbiota in Mice
Abstract
1. Introduction
2. Results
2.1. Changes in Active Ingredient Contents after Fermentation
2.2. Changes in Viable Cell Count and PH during the Fermentation Process
2.3. Untargeted Metabolomics Analysis
2.3.1. Metabolic Profile Analysis
2.3.2. Metabolomics Multivariate Statistical Analysis
2.3.3. Differential Analysis of Key Metabolites during AS Fermentation
2.3.4. Metabolic Pathway Analysis
2.4. Effect of FAS Extracts on DSS-Induced Colitis in Mice
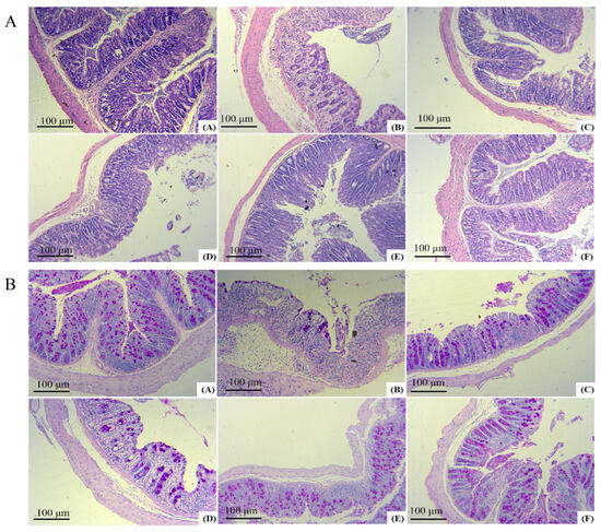
2.5. Histological Effects of FAS on Colitis
2.6. Biochemical Analysis of the Serum
2.7. Influence of FAS on Bacterial Diversity
2.8. The Influence of FAS on the Gut Microbiome
3. Discussion
4. Materials and Methods
4.1. Animal
4.2. LAB Strain and Growth Conditions
4.3. Cellulase Hydrolysis of AS before Fermentation
4.4. LAB Fermentation of AS and Extracts Preparation
4.5. Measurement of the Active Ingredients
4.6. Determination of LAB Viable Cell Counts and pH
4.7. Analysis of the Metabolite Profiles by Untargeted Metabolomics
4.8. Animal Experiment of DSS-Induced Colitis in Mice
4.9. Assessment of Daily Disease Activity and Sample Collection
4.10. Histological Changes of Colon Tissue
4.11. Biochemical Analysis of Serum
4.12. Gut Microbiota Analysis
4.13. Statistical Analysis
5. Conclusions
Supplementary Materials
Author Contributions
Funding
Institutional Review Board Statement
Informed Consent Statement
Data Availability Statement
Conflicts of Interest
References
- Shi, H.; Zhao, Y.; Wang, W.; Zhou, Y.; Liang, Y.; Wu, R.; Wu, J. The potential of lactic acid bacteria in fermented herbs-derived food products. Food Biosci. 2024, 61, 104714. [Google Scholar] [CrossRef]
- Guo, N.; Zhu, Y.-W.; Jiang, Y.-W.; Li, H.-K.; Liu, Z.-M.; Wang, W.; Shan, C.-H.; Fu, Y.-J. Improvement of flavonoid aglycone and biological activity of mulberry leaves by solid-state fermentation. Ind. Crops Prod. 2020, 148, 112287. [Google Scholar] [CrossRef]
- Zhang, Y.; Ren, H.; Tang, X.; Liu, Q.; Xiao, W.; Zhang, Z.; Tian, Y. A GC × GC-MS method based on solid-state modulator for non-targeted metabolomics: Comparison with traditional GC-MS method. J. Pharm. Biomed. Anal. 2024, 243, 116068. [Google Scholar] [CrossRef] [PubMed]
- Du, J.; Li, X.; Liu, N.; Wang, Y.; Li, Y.; Jia, Y.; An, X.; Qi, J. Improving the quality of Glycyrrhiza stems and leaves through solid-state fermentation: Flavonoid content, antioxidant activity, metabolic profile, and release mechanism. Chem. Biol. Technol. Agric. 2024, 11, 105. [Google Scholar] [CrossRef]
- Li, Y.; Ma, Y.; Zhu, H.; Liu, Y.; Pan, S.; Chen, X.; Wu, T. Identifying distinct markers in two Sorghum varieties for baijiu fermentation using untargeted metabolomics and molecular network approaches. Food Chem. X 2024, 23, 101646. [Google Scholar] [CrossRef]
- Li, J.H.; Gu, F.T.; Yang, Y.; Zhao, Z.C.; Huang, L.X.; Zhu, Y.Y.; Chen, S.; Wu, J.Y. Simulated human digestion and fermentation of a high-molecular weight polysaccharide from Lentinula edodes mushroom and protective effects on intestinal barrier. Carbohydr. Polym. 2024, 343, 122478. [Google Scholar] [CrossRef] [PubMed]
- Wu, W.; Li, Q.; Chen, H.; Fang, X.; Niu, B.; Liu, R.; Mu, H.; Gao, H. In vitro fermentation characteristics of the dietary fiber in bamboo (Phyllostachys edulis) shoots and its regulatory effects on the intestinal microbiota and metabolites. Food Chem. 2023, 404, 134707. [Google Scholar] [CrossRef] [PubMed]
- Zhang, W.; Zou, M.; Fu, J.; Xu, Y.; Zhu, Y. Autophagy: A potential target for natural products in the treatment of ulcerative colitis. Biomed. Pharmacother. 2024, 176, 116891. [Google Scholar] [CrossRef]
- Yi, L.; Han, Y.; Shen, P.; Du, H.; Guo, X.; Zhou, Z.; Xiao, H. Dietary Porphyra tenera ameliorated dextran sodium sulfate-induced colitis in mice via modulating gut microbiota dysbiosis. Food Chem. 2024, 461, 140832. [Google Scholar] [CrossRef]
- Liu, Y.; Fang, H.; Liu, H.; Cheng, H.; Pan, L.; Hu, M.; Li, X. Goji berry juice fermented by probiotics attenuates dextran sodium sulfate-induced ulcerative colitis in mice. J. Funct. Foods 2021, 83, 104491. [Google Scholar] [CrossRef]
- Jang, S.-H.; Park, J.; Kim, S.-H.; Choi, K.-M.; Ko, E.-S.; Cha, J.-D.; Lee, Y.-R.; Jang, H.; Jang, Y.-S. Oral administration of red ginseng powder fermented with probiotic alleviates the severity of dextran-sulfate sodium-induced colitis in a mouse model. Chin. J. Nat. Med. 2017, 15, 192–201. [Google Scholar] [CrossRef] [PubMed]
- Huang, L.-Z.; Zhao, H.; Huang, B.; Zheng, C.; Peng, W.; Qin, L.J.D.P. Acanthopanax senticosus: Review of botany, chemistry and pharmacology. Pharm. Int. J. Pharm. Sci. 2011, 66, 83–97. [Google Scholar] [CrossRef]
- Jiang, Y.; Wang, M.-H. Different Solvent Fractions of Acanthopanax senticosus Harms Exert Antioxidant and Anti-Inflammatory Activities and Inhibit the Human Kv1.3 Channel. J. Med. Food 2014, 18, 468–475. [Google Scholar] [CrossRef] [PubMed]
- Kim, G.-D.; Lee, J.; Auh, J.-H. Metabolomic screening of anti-inflammatory compounds in Acanthopanax sessiliflorus fruit (Ogaza) extract. Appl. Biol. Chem. 2024, 67, 56. [Google Scholar] [CrossRef]
- Kim, H.K.; Kim, M.-G.; Leem, K.-H. Extrusion process of Acanthopanax senticosus leaves enhances the gastroprotective effect of compound 48/80 on acute gastric mucosal lesion in rats. J. Tradit. Chin. Med. 2016, 36, 187–196. [Google Scholar] [CrossRef]
- Ma, Y.-H.; Sheng, Y.-D.; Zhang, D.; Liu, J.-T.; Tian, Y.; Li, H.; Li, X.-F.; Li, N.; Sun, P.; Siddiqui, S.A.; et al. Acanthopanax senticosus cultures fermented by Lactobacillus rhamnosus enhanced immune response through improvement of antioxidant activity and inflammation in crucian carp (Carassius auratus). Microb. Pathog. 2024, 190, 106614. [Google Scholar] [CrossRef]
- Kim, M.J.; Wang, H.S.; Lee, M.W. Anti-inflammatory effects of fermented bark of AS and its isolated compounds on lipopolysaccharide-treated RAW 264.7 macrophage cells. Evid. -Based Complement. Altern. Med. eCam 2020, 2020, 6749425. [Google Scholar] [CrossRef]
- Hur, S.J.; Lee, S.Y.; Kim, Y.-C.; Choi, I.; Kim, G.-B. Effect of fermentation on the antioxidant activity in plant-based foods. Food Chem. 2014, 160, 346–356. [Google Scholar] [CrossRef]
- Zhang, Y.; Zhang, J.; Yan, J.; Qi, X.; Wang, Y.; Zheng, Z.; Liang, J.; Ling, J.; Chen, Y.; Tang, X.; et al. Application of fermented Chinese herbal medicines in food and medicine field: From an antioxidant perspective. Trends Food Sci. Technol. 2024, 148, 104410. [Google Scholar] [CrossRef]
- Shumoy, H.; Gabaza, M.; Vandevelde, J.; Raes, K. Soluble and bound phenolic contents and antioxidant capacity of tef injera as affected by traditional fermentation. J. Food Compos. Anal. 2017, 58, 52–59. [Google Scholar] [CrossRef]
- Aung, T.; Eun, J.-B. Production and characterization of a novel beverage from laver (Porphyra dentata) through fermentation with kombucha consortium. Food Chem. 2021, 350, 129274. [Google Scholar] [CrossRef] [PubMed]
- Sarkar, P.; Abedin, M.M.; Singh, S.P.; Pandey, A.; Rai, A.K. 8—Microbial production and transformation of polyphenols. In Current Developments in Biotechnology and Bioengineering; Rai, A.K., Singh, S.P., Pandey, A., Larroche, C., Soccol, C.R., Eds.; Elsevier: Amsterdam, The Netherlands, 2022; pp. 189–208. [Google Scholar] [CrossRef]
- Zhou, H.; Jiang, J.; Zhao, Q.; Wang, Z.; Li, L.; Gao, Q.; Wang, K. Performance of high solids enzymatic hydrolysis and bioethanol fermentation of food waste under the regulation of saponin. Bioresour. Technol. 2023, 387, 129486. [Google Scholar] [CrossRef] [PubMed]
- Musial, C.; Kuban-Jankowska, A.; Gorska-Ponikowska, M. Beneficial Properties of Green Tea Catechins. Int. J. Mol. Sci. 2020, 21, 1744. [Google Scholar] [CrossRef] [PubMed]
- Sun, S.; Xu, K.; Yan, M.; Cui, J.; Zhu, K.; Yang, Y.; Zhang, X.; Tang, W.; Huang, X.; Dou, L.; et al. Delphinidin induces autophagic flux blockage and apoptosis by inhibiting both multidrug resistance gene 1 and DEAD-box helicase 17 expressions in liver cancer cells. J. Pharm. Pharmacol. 2023, 75, 253–263. [Google Scholar] [CrossRef]
- Kurauchi, Y.; Ryu, S.; Tanaka, R.; Haruta, M.; Sasagawa, K.; Seki, T.; Ohta, J.; Katsuki, H. Goreisan regulates cerebral blood flow according to barometric pressure fluctuations in female C57BL/6J mice. J. Pharmacol. Sci. 2024, 154, 47–51. [Google Scholar] [CrossRef]
- Maaland, M.G.; Jakobsen, L.; Guardabassi, L.; Frimodt-Møller, N. Pharmacokinetic and pharmacodynamic evaluation of nitrofurantoin against Escherichia coli in a murine urinary tract infection model. APMIS J. Pathol. Microbiol. Immunol. 2024, 132, 492–498. [Google Scholar] [CrossRef]
- Thierig, M.; Raupbach, J.; Wolf, D.; Mascher, T.; Subramanian, K.; Henle, T. 3-Phenyllactic Acid and Polyphenols Are Substances Enhancing the Antibacterial Effect of Methylglyoxal in Manuka Honey. Foods 2023, 12, 1098. [Google Scholar] [CrossRef]
- Yan, B.; Gong, Y.; Meng, W.; Sun, H.; Li, W.; Ding, K.; Dang, C.; Gao, X.; Sun, W.; Yuan, C.; et al. Cordycepin protects islet β-cells against glucotoxicity and lipotoxicity via modulating related proteins of ROS/JNK signaling pathway. Biomed. Pharmacother. 2023, 163, 114776. [Google Scholar] [CrossRef]
- Qiang, J.; Yang, R.; Li, X.; Xu, X.; Zhou, M.; Ji, X.; Lu, Y.; Dong, Z. Monotropein induces autophagy through activation of the NRF2/PINK axis, thereby alleviating sepsis-induced colonic injury. Int. Immunopharmacol. 2024, 127, 111432. [Google Scholar] [CrossRef]
- Mazibuko-Mbeje, S.E.; Mthembu, S.X.H.; Tshiitamune, A.; Muvhulawa, N.; Mthiyane, F.T.; Ziqubu, K.; Muller, C.J.F.; Dludla, P.V. Orientin Improves Substrate Utilization and the Expression of Major Genes Involved in Insulin Signaling and Energy Regulation in Cultured Insulin-Resistant Liver Cells. Molecules 2021, 26, 6154. [Google Scholar] [CrossRef]
- Ordás, I.; Eckmann, L.; Talamini, M.; Baumgart, D.C.; Sandborn, W.J. Ulcerative colitis. Lancet 2012, 380, 1606–1619. [Google Scholar] [CrossRef] [PubMed]
- Wang, G.; Xiu, P.; Li, F.; Xin, C.; Li, K. Vitamin A Supplementation Alleviates Extrahepatic Cholestasis Liver Injury through Nrf2 Activation. Oxidative Med. Cell. Longev. 2014, 2014, 273692. [Google Scholar] [CrossRef]
- Lee, Y.; Sugihara, K.; Gillilland, M.G.; Jon, S.; Kamada, N.; Moon, J.J. Hyaluronic acid–bilirubin nanomedicine for targeted modulation of dysregulated intestinal barrier, microbiome and immune responses in colitis. Nat. Mater. 2020, 19, 118–126. [Google Scholar] [CrossRef]
- Su, J.; Zhang, X.; Kan, Q.; Chu, X. Antioxidant Activity of Acanthopanax senticosus Flavonoids in H2O2-Induced RAW 264.7 Cells and DSS-Induced Colitis in Mice. Molecules 2022, 27, 2872. [Google Scholar] [CrossRef] [PubMed]
- Xu, F.; Yu, P.; Wu, H.; Wang, X.; Liu, M.; Liu, H.; Zeng, Q.; Wu, D. Therapeutic effect of total flavonoids of Sargentodoxa cuneata on ulcerative colitis in mice by correcting gut dysbiosis. Arab. J. Chem. 2024, 17, 105566. [Google Scholar] [CrossRef]
- Yang, C.; Yang, W.; Wang, Y.; Du, Y.; Zhao, T.; Shao, H.; Ren, D.; Yang, X. Nonextractable Polyphenols from Fu Brick Tea Alleviates Ulcerative Colitis by Controlling Colon Microbiota-Targeted Release to Inhibit Intestinal Inflammation in Mice. J. Agric. Food Chem. 2024, 72, 7397–7410. [Google Scholar] [CrossRef] [PubMed]
- Davidson, R.M.; Epperson, L.E. Microbiome Sequencing Methods for Studying Human Diseases. Methods Mol. Biol. 2018, 1706, 77–90. [Google Scholar] [CrossRef]
- Pham, V.T.; Dold, S.; Rehman, A.; Bird, J.K.; Steinert, R.E. Vitamins, the gut microbiome and gastrointestinal health in humans. Nutr. Res. 2021, 95, 35–53. [Google Scholar] [CrossRef]
- Qiu, P.; Ishimoto, T.; Fu, L.; Zhang, J.; Zhang, Z.; Liu, Y. The Gut Microbiota in Inflammatory Bowel Disease. Front. Cell. Infect. Microbiol. 2022, 12, 733992. [Google Scholar] [CrossRef]
- Zhang, X.-J.; Yuan, Z.-W.; Qu, C.; Yu, X.-T.; Huang, T.; Chen, P.V.; Su, Z.-R.; Dou, Y.-X.; Wu, J.-Z.; Zeng, H.-F.; et al. Palmatine ameliorated murine colitis by suppressing tryptophan metabolism and regulating gut microbiota. Pharmacol. Res. 2018, 137, 34–46. [Google Scholar] [CrossRef]
- Wang, L.; Zhang, H.; Tang, F.; Yan, H.; Feng, W.; Liu, J.; Wang, Y.; Tan, Y.; Chen, H. Therapeutic Effects of Valeriana jatamansi on Ulcerative Colitis: Insights into Mechanisms of Action through Metabolomics and Microbiome Analysis. J. Proteome Res. 2023, 22, 2669–2682. [Google Scholar] [CrossRef] [PubMed]
- Liu, R.; Chu, X.; Su, J.; Fu, X.; Kan, Q.; Wang, X.; Zhang, X. Enzyme-Assisted Ultrasonic Extraction of Total Flavonoids from Acanthopanax senticosus and Their Enrichment and Antioxidant Properties. Processes 2021, 9, 1708. [Google Scholar] [CrossRef]
- Peñas, E.; Martínez-Villaluenga, C.; Pihlava, J.M.; Frias, J. Evaluation of refrigerated storage in nitrogen-enriched atmospheres on the microbial quality, content of bioactive compounds and antioxidant activity of sauerkrauts. LWT Food Sci. Technol. 2015, 61, 463–470. [Google Scholar] [CrossRef]
- Eijkelkamp, N.; Heijnen, C.J.; Lucas, A.; Premont, R.T.; Elsenbruch, S.; Schedlowski, M.; Kavelaars, A. G protein-coupled receptor kinase 6 controls chronicity and severity of dextran sodium sulphate-induced colitis in mice. Gut 2007, 56, 847–854. [Google Scholar] [CrossRef] [PubMed]











| Groups | Chao Index | Ace Index | Shannon Index | Simpson Index |
|---|---|---|---|---|
| Normal group | 374.612 ± 20.452 | 377.728 ± 18.905 | 3.784 ± 0.252 | 0.156 ± 0.010 |
| Model group | 270.764 ± 27.847 * | 264.545 ± 29.295 * | 2.607 ± 0.183 * | 0.217 ± 0.067 |
| Unfermented group | 324.990 ± 27.930 # | 279.244 ± 4.641 | 2.968 ± 0.143 | 0.183 ± 0.012 |
| Low-dose group | 317.256 ± 49.226 | 289.361 ± 20.983 | 2.916 ± 0.165 | 0.164 ± 0.023 |
| Medium-dose group | 284.126 ± 13.553 | 320.810 ± 37.523 # | 3.243 ± 0.311 # | 0.160 ± 0.026 |
| High-dose group | 297.684 ± 10.418 | 305.646 ± 35.677 | 2.901 ± 0.348 | 0.165 ± 0.035 |
Disclaimer/Publisher’s Note: The statements, opinions and data contained in all publications are solely those of the individual author(s) and contributor(s) and not of MDPI and/or the editor(s). MDPI and/or the editor(s) disclaim responsibility for any injury to people or property resulting from any ideas, methods, instructions or products referred to in the content. |
© 2024 by the authors. Licensee MDPI, Basel, Switzerland. This article is an open access article distributed under the terms and conditions of the Creative Commons Attribution (CC BY) license (https://creativecommons.org/licenses/by/4.0/).
Share and Cite
Su, Y.; Fu, X.; Zhuang, P. Untargeted Metabolomics Analysis of Lactic Acid Bacteria Fermented Acanthopanax senticosus with Regard to Regulated Gut Microbiota in Mice. Molecules 2024, 29, 4074. https://doi.org/10.3390/molecules29174074
Su Y, Fu X, Zhuang P. Untargeted Metabolomics Analysis of Lactic Acid Bacteria Fermented Acanthopanax senticosus with Regard to Regulated Gut Microbiota in Mice. Molecules. 2024; 29(17):4074. https://doi.org/10.3390/molecules29174074
Chicago/Turabian StyleSu, Yuanyuan, Xiang Fu, and Pengwei Zhuang. 2024. "Untargeted Metabolomics Analysis of Lactic Acid Bacteria Fermented Acanthopanax senticosus with Regard to Regulated Gut Microbiota in Mice" Molecules 29, no. 17: 4074. https://doi.org/10.3390/molecules29174074
APA StyleSu, Y., Fu, X., & Zhuang, P. (2024). Untargeted Metabolomics Analysis of Lactic Acid Bacteria Fermented Acanthopanax senticosus with Regard to Regulated Gut Microbiota in Mice. Molecules, 29(17), 4074. https://doi.org/10.3390/molecules29174074

