Semi-Rational Design of L-Isoleucine Dioxygenase Generated Its Activity for Aromatic Amino Acid Hydroxylation
Abstract
1. Introduction
2. Results and Discussion
2.1. MD Simulation of IDO with L-Aliphatic Amino Acids
2.2. Analysis of the Interaction between IDO and Aromatic Amino Acids
2.3. Structure-Guided Prediction of IDO Mutation Sites
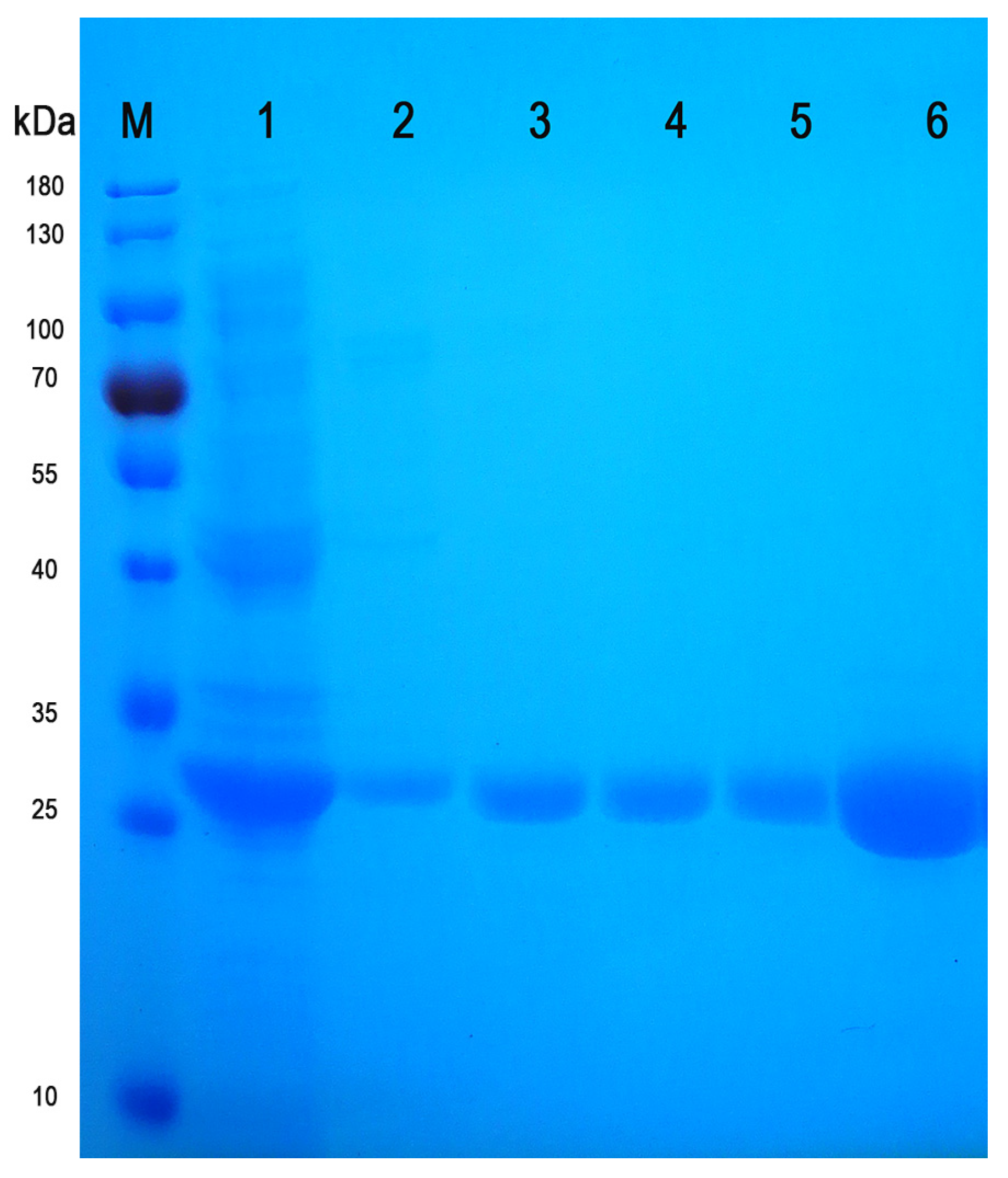
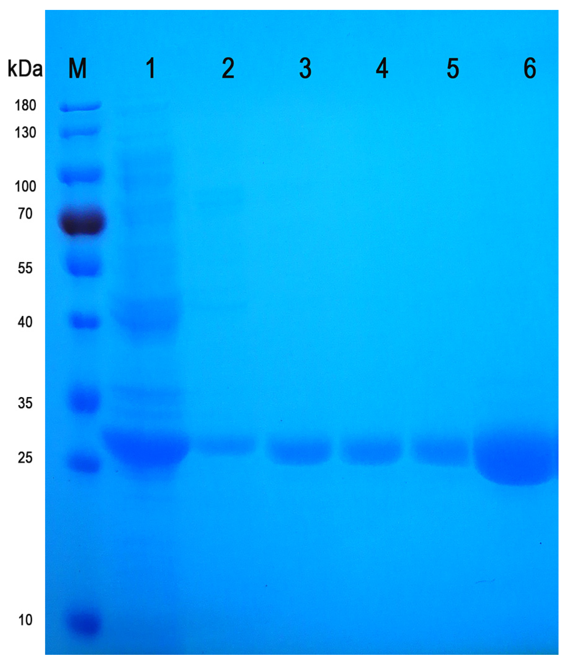
2.4. Construction, Expression and Purification of IDO Mutant
2.5. Enzymatic Activity Assay and Kinetic Characterization of IDO-WT and IDO Mutants
2.6. Molecular Docking Analysis
3. Materials and Methods
3.1. Materials
3.2. Mutagenesis Vector Construction
3.3. Protein Expression and Purification
3.4. Enzyme Activity Determination
3.5. Determination of Kinetic Parameters
3.6. Analysis of the Catalytic Product
3.7. Molecular Docking and Molecular Dynamics (MD) Simulation Analysis
4. Conclusions
Supplementary Materials
Author Contributions
Funding
Institutional Review Board Statement
Informed Consent Statement
Data Availability Statement
Conflicts of Interest
Sample Availability
References
- Ciabatti, R.; Kettenring, J.K.; Winters, G.; Tuan, G.; Zerilli, L.; Cavalleri, B. Ramoplanin (A-16686), a new glycolipodepsipeptide antibiotic. III. Structure elucidation. J. Antibiot. 1989, 42, 254–267. [Google Scholar] [CrossRef] [PubMed]
- Hamada, T.; Matsunaga, S.; Yano, G.; Fusetani, N. Polytheonamides A and B, highly cytotoxic, linear polypeptides with unprecedented structural features, from the marine sponge, Theonella swinhoei. J. Am. Chem. Soc. 2005, 127, 110–118. [Google Scholar] [CrossRef] [PubMed]
- Van Soest, R.W.M.; Ford, P.W.; Gustafson, K.R.; Mc Kee, T.C. Papuamides A–D, HIV-inhibitory and cytotoxic depsipeptides from the sponges Theonella mirabilis and Theonella swinhoei, collected in Papua New Guinea. J. Am. Chem. Soc. 1999, 121, 8632. [Google Scholar]
- Gelse, K.; Pöschl, E.; Aigner, T. Collagens—Structure, function, and biosynthesis. Adv. Drug Deliv. Rev. 2003, 55, 1531–1546. [Google Scholar] [CrossRef]
- Shen, Y.-P.; Niu, F.-X.; Yan, Z.-B.; Fong, L.S.; Huang, Y.-B.; Liu, J.-Z. Recent Advances in Metabolically Engineered Microorganisms for the Production of Aromatic Chemicals Derived From Aromatic Amino Acids. Front. Bioeng. Biotechnol. 2020, 8, 407. [Google Scholar] [CrossRef]
- Luo, H.; Yang, L.; Kim, S.H.; Wulff, T.; Feist, A.M.; Herrgard, M.; Palsson, B.Ø. Directed Metabolic Pathway Evolution Enables Functional Pterin-Dependent Aromatic-Amino-Acid Hydroxylation in Escherichia coli. ACS Synth. Biol. 2020, 9, 494–499. [Google Scholar] [CrossRef]
- Nazor, J.; Osborne, R.; Liang, J.; Vroom, J.; Zhang, X.; Entwistle, D.; Voladri, R.; Garcia, R.D.; Moore, J.C.; Grosser, S. Biocatalysts and Methods for Hydroxylation of Chemical Compounds. EP2847327 A2. U.S. Patent 10,184,117, 22 January 2019. [Google Scholar]
- Miyake, R.; Dekishima, Y. Method for Manufacturing Cis-5-hydroxy-l-pipecolic Acid. 15/526031. U.S. Patent 10,087,473, 2 October 2018. [Google Scholar]
- Ozaki, A.; Mori, H.; Shibasaki, T.; Ando, K.; Ochiai, K.; Chiba, S.; Uosaki, Y.J.E. Process for Producing Cis-3-hydroxy-L-proline. U.S. Patent 6413748, 6 December 1999. [Google Scholar]
- Kino, K.; Hara, R. L-proline Cis-4-hydroxylase and Use Thereof to Produce Cis-4-hydroxy-L-proline. U.S. Patent 8,541,209, 24 September 2013. [Google Scholar]
- Eng, J.G.M.; Shahsavarani, M.; Smith, D.P.; Hájíček, J.; De Luca, V.; Qu, Y. A Catharanthus roseus Fe(II)/α-ketoglutarate-dependent dioxygenase catalyzes a redox-neutral reaction responsible for vindolinine biosynthesis. Nat. Commun. 2022, 13, 3335. [Google Scholar] [CrossRef] [PubMed]
- Islam, M.S.; Leissing, T.M.; Chowdhury, R.; Hopkinson, R.J.; Schofield, C.J. 2-Oxoglutarate-Dependent Oxygenases. Annu. Rev. Biochem. 2018, 87, 585–620. [Google Scholar] [CrossRef]
- Martinez, S.; Hausinger, R.P. Catalytic Mechanisms of Fe(II)- and 2-Oxoglutarate-dependent Oxygenases. J. Biol. Chem. 2015, 290, 20702–20711. [Google Scholar] [CrossRef]
- Peters, C.; Buller, R.M. Industrial Application of 2-Oxoglutarate-Dependent Oxygenases. Catalysts 2019, 9, 221. [Google Scholar] [CrossRef]
- Kodera, T.; Smirnov, S.V.; Samsonova, N.N.; Kozlov, Y.I.; Koyama, R.; Hibi, M.; Ogawa, J.; Yokozeki, K.; Shimizu, S. A novel l-isoleucine hydroxylating enzyme, l-isoleucine dioxygenase from Bacillus thuringiensis, produces (2S,3R,4S)-4-hydroxyisoleucine. Biochem. Biophys. Res. Commun. 2009, 390, 506–510. [Google Scholar] [CrossRef] [PubMed]
- Fowden, L.; Pratt, H.M.; Smith, A.J.P. 4-Hydroxyisoleucine from seed of Trigonella foenum-graecum. Phytochemistry 1973, 12, 1707–1711. [Google Scholar] [CrossRef]
- Hibi, M.; Kawashima, T.; Kodera, T.; Smirnov, S.V.; Sokolov, P.M.; Sugiyama, M.; Shimizu, S.; Yokozeki, K.; Ogawa, J. Characterization of Bacillus thuringiensis L-Isoleucine Dioxygenase for Production of Useful Amino Acids. Appl. Environ. Microbiol. 2011, 77, 6926–6930. [Google Scholar] [CrossRef]
- Sun, D.; Gao, D.; Liu, X.; Zhu, M.; Li, C.; Chen, Y.; Zhu, Z.; Lu, F.; Qin, H.-M. Redesign and engineering of a dioxygenase targeting biocatalytic synthesis of 5-hydroxyl leucine. Catal. Sci. Technol. 2019, 9, 1825–1834. [Google Scholar] [CrossRef]
- Jing, X.; Liu, H.; Nie, Y.; Xu, Y. Advances in Fe(II)/2-ketoglutarate-dependent dioxygenase-mediated C–H bond oxidation for regioselective and stereoselective hydroxyl amino acid synthesis: From structural insights into practical applications. Syst. Microbiol. Biomanuf. 2021, 1, 275–290. [Google Scholar] [CrossRef]
- Wu, L.; An, J.; Jing, X.; Chen, C.-C.; Dai, L.; Xu, Y.; Liu, W.; Guo, R.-T.; Nie, Y. Molecular Insights into the Regioselectivity of the Fe(II)/2-Ketoglutarate-Dependent Dioxygenase-Catalyzed C–H Hydroxylation of Amino Acids. ACS Catal. 2022, 12, 11586–11596. [Google Scholar] [CrossRef]
- Peng, Z.; Jiang, Q.; Peng, P.; Li, F.-F. NH3-activated Fullerene Derivative Hierarchical Microstructures to Porous Fe3O4/N-C for Oxygen Reduction Reaction and Zn-air Battery. Eng. Sci. 2021, 14, 27–38. [Google Scholar] [CrossRef]
- Chen, S.; Zhang, N.; Narváez Villarrubia, C.W.; Huang, X.; Xie, L.; Wang, X.; Kong, X.; Xu, H.; Wu, G.; Zeng, J.; et al. Single Fe atoms anchored by short-range ordered nanographene boost oxygen reduction reaction in acidic media. Nano Energy 2019, 66, 104164. [Google Scholar] [CrossRef]
- Dai, L.; Zhang, X.; Hu, Y.; Shen, J.; Zhang, Q.; Zhang, L.; Min, J.; Chen, C.-C.; Liu, Y.; Huang, J.-W.; et al. Structural and Functional Insights into a Nonheme Iron- and α-Ketoglutarate-Dependent Halogenase That Catalyzes Chlorination of Nucleotide Substrates. Appl. Environ. Microbiol. 2022, 88, e02497-21. [Google Scholar] [CrossRef]
- Tao, H.; Ushimaru, R.; Awakawa, T.; Mori, T.; Uchiyama, M.; Abe, I. Stereoselectivity and Substrate Specificity of the Fe(II)/α-Ketoglutarate-Dependent Oxygenase TqaL. J. Am. Chem. Soc. 2022, 144, 21512–21520. [Google Scholar] [CrossRef]
- Tao, H.; Abe, I. Oxidative modification of free-standing amino acids by Fe(II)/αKG-dependent oxygenases. Eng. Microbiol. 2023, 3, 100062. [Google Scholar] [CrossRef]
- Roach, P.L.; Clifton, I.J.; Fülöp, V.; Harlos, K.; Barton, G.J.; Hajdu, J.; Andersson, I.; Schofield, C.J.; Baldwin, J.E. Crystal structure of isopenicillin N synthase is the first from a new structural family of enzymes. Nature 1995, 375, 700–704. [Google Scholar] [CrossRef] [PubMed]
- Clifton, I.J.; McDonough, M.A.; Ehrismann, D.; Kershaw, N.J.; Granatino, N.; Schofield, C.J. Structural studies on 2-oxoglutarate oxygenases and related double-stranded beta-helix fold proteins. J. Inorg. Biochem. 2006, 100, 644–669. [Google Scholar] [CrossRef] [PubMed]
- Markolovic, S.; Leissing, T.M.; Chowdhury, R.; Wilkins, S.E.; Lu, X.; Schofield, C.J. Structure–function relationships of human JmjC oxygenases—Demethylases versus hydroxylases. Curr. Opin. Struct. Biol. 2016, 41, 62–72. [Google Scholar] [CrossRef]
- Mcdonough, M.A.; Loenarz, C.; Chowdhury, R.; Clifton, I.J.; Schofield, C.J. Structural studies on human 2-oxoglutarate dependent oxygenases. Curr. Opin. Struct. Biol. 2010, 20, 659–672. [Google Scholar] [CrossRef]
- He, X.; Man, V.H.; Ji, B.; Xie, X.-Q.; Wang, J. Calculate protein–ligand binding affinities with the extended linear interaction energy method: Application on the Cathepsin S set in the D3R Grand Challenge 3. J. Comput. Aided Mol. Des. 2019, 33, 105–117. [Google Scholar] [CrossRef]
- Oshima, H.; Re, S.; Sugita, Y. Prediction of Protein–Ligand Binding Pose and Affinity Using the gREST+FEP Method. J. Chem. Inf. Model. 2020, 60, 5382–5394. [Google Scholar] [CrossRef]
- Siebenmorgen, T.; Zacharias, M. Computational prediction of protein–protein binding affinities. WIREs Comput. Mol. Sci. 2020, 10, e1448. [Google Scholar] [CrossRef]
- Masferrer-Rius, E.; Borrell, M.; Lutz, M.; Costas, M.; Klein Gebbink, R.J.M. Aromatic C−H Hydroxylation Reactions with Hydrogen Peroxide Catalyzed by Bulky Manganese Complexes. Adv. Synth. Catal. 2021, 363, 3783–3795. [Google Scholar] [CrossRef]
- Regoutz, A.; Wolinska, M.S.; Fernando, N.K.; Ratcliff, L.E. A combined density functional theory and x-ray photoelectron spectroscopy study of the aromatic amino acids. Electron. Struct. 2020, 2, 044005. [Google Scholar] [CrossRef]
- Chenprakhon, P.; Wongnate, T.; Chaiyen, P. Monooxygenation of aromatic compounds by flavin-dependent monooxygenases. Protein Sci. 2019, 28, 8–29. [Google Scholar] [CrossRef] [PubMed]
- Fitzpatrick, P.F. Mechanism of Aromatic Amino Acid Hydroxylation. Biochemistry 2003, 42, 14083–14091. [Google Scholar] [CrossRef] [PubMed]
- An, J.; Zhang, W.; Jing, X.; Nie, Y.; Xu, Y. Reconstitution of TCA cycle involving l-isoleucine dioxygenase for hydroxylation of l-isoleucine in Escherichia coli using CRISPR-Cas9. 3 Biotech 2020, 10, 167. [Google Scholar] [CrossRef] [PubMed]
- Jing, X.; Wang, X.; Zhang, W.; An, J.; Luo, P.; Nie, Y.; Xu, Y. Highly Regioselective and Stereoselective Hydroxylation of Free Amino Acids by a 2-Oxoglutarate-Dependent Dioxygenase from Kutzneria albida. ACS Omega 2019, 4, 8350–8358. [Google Scholar] [CrossRef] [PubMed]
- Maier, J.A.; Martinez, C.; Kasavajhala, K.; Wickstrom, L.; Hauser, K.E.; Simmerling, C. ff14SB: Improving the Accuracy of Protein Side Chain and Backbone Parameters from ff99SB. J. Chem. Theory Comput. 2015, 11, 3696–3713. [Google Scholar] [CrossRef]
- Wang, J.; Wolf, R.M.; Caldwell, J.W.; Kollman, P.A.; Case, D.A. Development and testing of a general amber force field. J. Comput. Chem. 2004, 25, 1157–1174. [Google Scholar] [CrossRef]
- Li, P.; Merz, K.M., Jr. MCPB.py: A Python Based Metal Center Parameter Builder. J. Chem. Inf. Model. 2016, 56, 599–604. [Google Scholar] [CrossRef]
- Ryckaert, J.-P.; Ciccotti, G.; Berendsen, H.J.C. Numerical integration of the cartesian equations of motion of a system with constraints: Molecular dynamics of n-alkanes. J. Comput. Phys. 1977, 23, 327–341. [Google Scholar] [CrossRef]
- Grubmüller, H.; Heller, H.; Windemuth, A.; Schulten, K. Generalized Verlet Algorithm for Efficient Molecular Dynamics Simulations with Long-range Interactions. Mol. Simul. 1991, 6, 121–142. [Google Scholar] [CrossRef]







| Residue | Residue Number | Binding Energy Decomposition (kcal/mol) |
|---|---|---|
| H | 212 | −0.59 |
| A | 213 | −0.791 |
| P | 155 | −0.852 |
| L | 168 | −1.188 |
| F | 206 | −1.61 |
| V | 214 | −1.66 |
| Y | 143 | −1.73 |
| S | 153 | −2.414 |
| N | 182 | −2.929 |
| R | 227 | −4.06 |
| Enzyme | Specific Activity (μmol/min/mg) | ||
|---|---|---|---|
| L-Ile | PHE | HPHE | |
| IDO-WT | 0.550 ± 0.150 | N | N |
| IDO-Y143D | N | 0.056 ± 0.008 | N |
| IDO-Y143I | N | 0.025 ± 0.003 | 0.014 ± 0.002 |
| IDO-S153A | N | 0.012 ± 0.002 | 0.035 ± 0.005 |
| IDO-S153Q | N | N | 0.063 ± 0.003 |
| IDO-S153Y | 0.131 ± 0.040 | N | 0.028 ± 0.004 |
| Enzyme | Substrate | Km (mM) | Vmax (μmol·min−1·mg−1) | Kcat (s−1) | Kcat/Km (s−1mM−1) |
|---|---|---|---|---|---|
| IDO-WT | PHE | N | N | N | N |
| HPHE | N | N | N | N | |
| IDO-Y143D | PHE | 0.04 ± 0.00 | 0.15 ± 0.02 | 0.08 ± 0.00 | 2.00 ± 0.01 |
| HPHE | N | N | N | N | |
| IDO-Y143I | PHE | 0.03 ± 0.00 | 0.10 ± 0.01 | 0.04 ± 0.00 | 1.33 ± 0.04 |
| HPHE | 0.02 ± 0.00 | 0.08 ± 0.01 | 0.04 ± 0.00 | 2.00 ± 0.08 | |
| IDO-S153A | PHE | 0.02 ± 0.00 | 0.05 ± 0.01 | 0.03 ± 0.00 | 1.50 ± 0.05 |
| HPHE | 0.02 ± 0.00 | 0.09 ± 0.02 | 0.05 ± 0.00 | 2.50 ± 0.04 | |
| IDO-S153Q | PHE | N | N | N | N |
| HPHE | 0.04 ± 0.01 | 0.21 ± 0.04 | 0.14 ± 0.01 | 3.50 ± 0.10 | |
| IDO-S153Y | PHE | N | N | N | N |
| HPHE | 0.02 ± 0.00 | 0.08 ± 0.01 | 0.03 ± 0.00 | 1.50 ± 0.04 |
| Receptor | L-Phenylalanine Affinity (kcal/mol) | L-Homophenylalanine Affinity (kcal/mol) |
|---|---|---|
| IDO | −6.2 | −6.3 |
| Y143D-IDO | −6.5 | −6.6 |
| Y143I-IDO | −6.4 | −6.5 |
| S153A-IDO | −6.5 | −6.3 |
| S153Q-IDO | −6.3 | −6.4 |
| S153Y-IDO | −6.1 | −6.5 |
| Strain or Plasmid | Description | Source or Reference |
|---|---|---|
| E. coli DH5α | F− endA1 glnV44 thi-1 recA1 relA1 gyrA96 deoR nupG Φ80dlacZΔM15, Δ(lacZYA-argF)U169, hsdR17(rK− mK+), λ– | TaKaRa |
| E. coli BL21(DE3) | F− ompT hsdSB(rB − mB −) gal dcm (DE3) | Novagen/Millipore |
| pET-28a (+)-ido | kan, ido (Bacillus thuringiensis) | Our previous study |
| pET-28a (+)-ido mutants | Single point saturation mutation Y143, S153 and R227 | This study |
Disclaimer/Publisher’s Note: The statements, opinions and data contained in all publications are solely those of the individual author(s) and contributor(s) and not of MDPI and/or the editor(s). MDPI and/or the editor(s) disclaim responsibility for any injury to people or property resulting from any ideas, methods, instructions or products referred to in the content. |
© 2023 by the authors. Licensee MDPI, Basel, Switzerland. This article is an open access article distributed under the terms and conditions of the Creative Commons Attribution (CC BY) license (https://creativecommons.org/licenses/by/4.0/).
Share and Cite
An, J.; Guan, J.; Nie, Y. Semi-Rational Design of L-Isoleucine Dioxygenase Generated Its Activity for Aromatic Amino Acid Hydroxylation. Molecules 2023, 28, 3750. https://doi.org/10.3390/molecules28093750
An J, Guan J, Nie Y. Semi-Rational Design of L-Isoleucine Dioxygenase Generated Its Activity for Aromatic Amino Acid Hydroxylation. Molecules. 2023; 28(9):3750. https://doi.org/10.3390/molecules28093750
Chicago/Turabian StyleAn, Jianhong, Jiaojiao Guan, and Yao Nie. 2023. "Semi-Rational Design of L-Isoleucine Dioxygenase Generated Its Activity for Aromatic Amino Acid Hydroxylation" Molecules 28, no. 9: 3750. https://doi.org/10.3390/molecules28093750
APA StyleAn, J., Guan, J., & Nie, Y. (2023). Semi-Rational Design of L-Isoleucine Dioxygenase Generated Its Activity for Aromatic Amino Acid Hydroxylation. Molecules, 28(9), 3750. https://doi.org/10.3390/molecules28093750

