Hepatotoxic Components Effect of Chebulae Fructus and Associated Molecular Mechanism by Integrated Transcriptome and Molecular Docking
Abstract
1. Introduction
2. Results
2.1. Toxicological Study on CF-Induced Liver Injury
2.1.1. Change in Biochemical Index
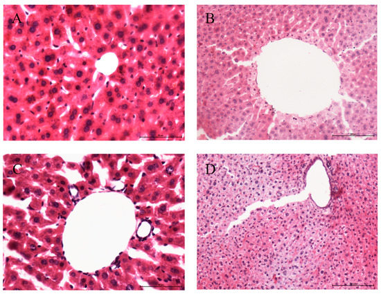
2.1.2. Histopathological Morphology
2.2. Transcriptome Sequencing
2.2.1. Gene Ontology (GO) and Kyoto Encyclopedia of Genes and Genomes (KEGG) Functional Analysis in CF-Induced Differentially Expressed Genes (DEGs)
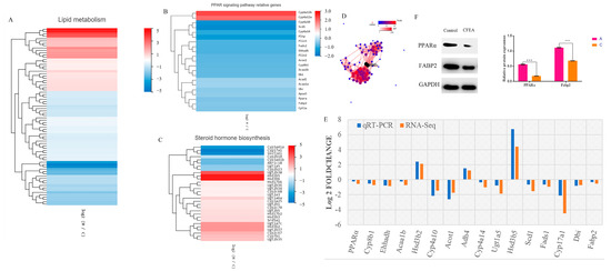
2.2.2. Lipid Metabolism Genes
2.2.3. PPAR Signaling Pathway Genes
2.2.4. Steroid Hormone Biosynthesis Genes
2.3. qRT-PCR
2.4. Western Blot (WB) of Key Proteins Related to the PPAR Signaling Pathway
2.5. Identification of Constituents in the Active Fraction of the CFEA
2.6. Results of Docking Studies
2.6.1. PPARα Receptor Protein-Ligand Binding Position
2.6.2. FABP Receptor Protein-Ligand Binding Position
3. Discussion
4. Material and Methods
4.1. Chemicals and Animals
4.2. Biochemical Analysis
4.3. Histological Analysis
4.4. Transcriptome Sequencing
4.5. qRT-PCR
4.6. Western Blot
4.7. Analysis of Chemical Constituents of Ethyl Acetate Fraction of Myrobalan
4.8. Molecular Docking Studies
4.9. Statistical Analysis
5. Conclusions
Supplementary Materials
Author Contributions
Funding
Institutional Review Board Statement
Informed Consent Statement
Data Availability Statement
Conflicts of Interest
Sample Availability
References
- Al-Hrout, A.; Chaiboonchoe, A.; Khraiwesh, B.; Murali, C.; Baig, B.; El-Awady, R.; Tarazi, H.; Alzahmi, A.; Nelson, D.R.; Greish, Y.E.; et al. Safranal induces DNA double-strand breakage and ER-stress-mediated cell death in hepatocellular carcinoma cells. Sci. Rep. 2018, 8, 16951. [Google Scholar] [CrossRef] [PubMed]
 - Amin, A.; Mahmoud-Ghoneim, D. Texture analysis of liver fibrosis microscopic images: A study on the effect of biomarkers. Acta Biochim. Biophys. Sin. 2011, 43, 193–203. [Google Scholar] [CrossRef] [PubMed]
 - Hamza, A.A.; Ahmed, M.M.; Elwey, H.M.; Amin, A. Melissa officinalis Protects against Doxorubicin-Induced Cardiotoxicity in Rats and Potentiates Its Anticancer Activity on MCF-7 Cells. PLoS ONE 2016, 11, e0167049. [Google Scholar] [CrossRef]
 - Suh, J.I. Drug-induced liver injury. Yeungnam Univ. J. Med. 2020, 37, 2–12. [Google Scholar] [CrossRef] [PubMed]
 - Avula, B.; Wang, Y.-H.; Wang, M.; Shen, Y.-H.; Khan, I.A. Simultaneous Determination and Characterization of Tannins and Triterpene Saponins from the Fruits of Various Species of Terminalia and Phyllantus emblica Using a UHPLC-UV-MS Method: Application to Triphala. Planta Med. 2013, 79, 181–188. [Google Scholar] [CrossRef]
 - Tasduq, S.A.; Singh, K.; Satti, N.K.; Gupta, D.K.; Suri, K.A.; Johri, R.K. Terminalia chebula (fruit) prevents liver toxicity caused by sub-chronic administration of rifampicin, isoniazid and pyrazinamide in combination. Hum. Exp. Toxicol. 2006, 25, 111–118. [Google Scholar] [CrossRef] [PubMed]
 - Ahmadi-Naji, R.; Heidarian, E.; Ghatreh-Samani, K. Terminalia chebula Evaluation of the effects of the hydroalcoholic extract of fruits on diazinon-induced liver toxicity and oxidative stress in rats. Avicenna J. Phytomed. 2017, 7, 454–466. [Google Scholar] [PubMed]
 - Li, N.; Li, B.; Zhang, J.; Liu, X.G.; Liu, J.; Li, K.; Pan, T.; Wang, S.; Diao, Y. Protective effect of phenolic acids from Chebulae Fructus immaturus on carbon tetrachloride induced acute liver injury via suppressing oxidative stress, inflammation and apoptosis in mouse. Nat. Prod. Res. 2020, 34, 3249–3252. [Google Scholar] [CrossRef]
 - Ekambaram, S.P.; Babu, K.B.; Perumal, S.S.; Rajendran, D. Repeated oral dose toxicity study on hydrolysable tannin rich fraction isolated from fruit pericarps of Terminalia chebula Retz in Wistar albino rats. Regul. Toxicol. Pharmacol. 2018, 92, 182–188. [Google Scholar] [CrossRef]
 - Pfundstein, B.; El Desouky, S.K.; Hull, W.E.; Haubner, R.; Erben, G.; Owen, R.W. Polyphenolic compounds in the fruits of Egyptian medicinal plants (Terminalia bellerica, Terminalia chebula and Terminalia horrida): Characterization, quantitation and determination of antioxidant capacities. Phytochemistry 2010, 71, 1132–1148. [Google Scholar] [CrossRef]
 - Arseculeratne, S.N.; Gunatilaka, A.; Panabokke, R.G. Studies on medicinal plants of Sri Lanka. part 14: Toxicity of some traditional medicinal herbs. J. Ethnopharmacol. 1985, 13, 323–335. [Google Scholar] [CrossRef]
 - Islam, S.T.; Won, J.; Khan, M.; Chavin, K.D.; Singh, I. Peroxisomal footprint in the pathogenesis of nonalcoholic steatohepatitis. Ann. Hepatol. 2020, 19, 466–471. [Google Scholar] [CrossRef] [PubMed]
 - Henry, Z.H.; Argo, C.K. How to Identify the Patient with Nonalcoholic Steatohepatitis Who Will Progress to Cirrhosis. Gastroenterol. Clin. N. Am. 2020, 49, 45–62. [Google Scholar] [CrossRef]
 - Chen, L.; Chen, X.-W.; Huang, X.; Song, B.-L.; Wang, Y.; Wang, Y. Regulation of glucose and lipid metabolism in health and disease. Sci. China Life Sci. 2019, 62, 1420–1458. [Google Scholar] [CrossRef]
 - Massart, J.; Begriche, K.; Hartman, J.H.; Fromenty, B. Role of Mitochondrial Cytochrome P450 2E1 in Healthy and Diseased Liver. Cells 2022, 11, 288. [Google Scholar] [CrossRef]
 - Shi, Z.; Zhu, J.-X.; Guo, Y.-M.; Niu, M.; Zhang, L.; Tu, C.; Huang, Y.; Li, P.-Y.; Zhao, X.; Zhang, Z.-T.; et al. Epigallocatechin Gallate During Dietary Restriction—Potential Mechanisms of Enhanced Liver Injury. Front. Pharmacol. 2020, 11, 609378. [Google Scholar] [CrossRef]
 - McCabe, M.; Waters, S.; Morris, D.; Kenny, D.; Lynn, D.; Creevey, C. RNA-seq analysis of differential gene expression in liver from lactating dairy cows divergent in negative energy balance. BMC Genom. 2012, 13, 193. [Google Scholar] [CrossRef]
 - Zhao, Z.; Xu, D.; Wang, Z.; Wang, L.; Han, R.; Wang, Z.; Liao, L.; Chen, Y. Hepatic PPARα function is controlled by polyubiquitination and proteasome-mediated degradation through the coordinated actions of PAQR3 and HUWE1. Hepatology 2018, 68, 289–303. [Google Scholar] [CrossRef] [PubMed]
 - Wang, X.; Li, F.; Liu, J.; Ji, C.; Wu, H. Transcriptomic, proteomic and metabolomic profiling unravel the mechanisms of hepatotoxicity pathway induced by triphenyl phosphate (TPP). Ecotoxicol. Environ. Saf. 2020, 205, 111126. [Google Scholar] [CrossRef] [PubMed]
 - Miller, W.L.; Auchus, R.J. The Molecular Biology, Biochemistry, and Physiology of Human Steroidogenesis and Its Disorders. Endocr. Rev. 2011, 32, 81–151. [Google Scholar] [CrossRef]
 - Kennedy, V.C.; Gaspers, J.J.; Mordhorst, B.; Stokka, G.L.; Bauer, M.L.; Swanson, K.C.; Vonnahme, K.A. 1164 Supplementation of corn-dried distiller’s grains plus solubles to gestating beef cows fed low quality forage: Neonatal calf performance. J. Anim. Sci. 2016, 94, 558–559. [Google Scholar] [CrossRef]
 - Kersten, S.; Stienstra, R. The role and regulation of the peroxisome proliferator activated receptor alpha in human liver. Biochimie 2017, 136, 75–84. [Google Scholar] [CrossRef]
 - McIntosh, A.L.; Atshaves, B.P.; Martin, G.G.; Landrock, D.; Milligan, S.; Landrock, K.K.; Huang, H.; Storey, S.M.; Mackie, J.; Schroeder, F.; et al. Effect of liver fatty acid binding protein (L-FABP) gene ablation on lipid metabolism in high glucose diet (HGD) pair-fed mice. Biochim. Biophys. Acta BBA-Mol. Cell Biol. Lipids 2019, 1864, 985–1004. [Google Scholar] [CrossRef]
 - Zhao, Q.; Tang, P.; Zhang, T.; Huang, J.-F.; Xiao, X.-R.; Zhu, W.-F.; Gonzalez, F.J.; Li, F. Celastrol ameliorates acute liver injury through modulation of PPARα. Biochem. Pharmacol. 2020, 178, 114058. [Google Scholar] [CrossRef] [PubMed]
 - Zhang, Y.; Jiang, Z.; Su, Y.; Chen, M.; Li, F.; Liu, L.; Sun, L.; Wang, Y.; Zhang, S.; Zhang, L. Gene expression profiling reveals potential key pathways involved in pyrazinamide-mediated hepatotoxicity in Wistar rats. J. Appl. Toxicol. 2013, 33, 807–819. [Google Scholar] [CrossRef] [PubMed]
 - Leone, T.C.; Weinheimer, C.J.; Kelly, D.P. A critical role for the peroxisome proliferator-activated receptor α (PPARα) in the cellular fasting response: The PPARα-null mouse as a model of fatty acid oxidation disorders. Proc. Natl. Acad. Sci. USA 1999, 96, 7473–7478. [Google Scholar] [CrossRef]
 - Wu, Z.; Ding, L.; Bao, J.; Liu, Y.; Zhang, Q.; Wang, J.; Li, R.; Ishfaq, M.; Li, J. Co-infection of Mycoplasma gallisepticum and Escherichia coli Triggers Inflammatory Injury Involving the IL-17 Signaling Pathway. Front. Microbiol. 2019, 10, 2615. [Google Scholar] [CrossRef]
 - Xie, C.; Mao, X.; Huang, J.; Ding, Y.; Wu, J.; Dong, S.; Kong, L.; Gao, G.; Li, C.-Y.; Wei, L. KOBAS 2.0: A web server for annotation and identification of enriched pathways and diseases. Nucleic Acids Res. 2011, 39 (Suppl. S2), W316–W322. [Google Scholar] [CrossRef]
 - Wu, Z.; Chen, C.; Miao, Y.; Liu, Y.; Zhang, Q.; Li, R.; Ding, L.; Ishfaq, M.; Li, J. Baicalin Attenuates Mycoplasma gallisepticum-Induced Inflammation via Inhibition of the TLR2-NF-κB Pathway in Chicken and DF-1 Cells. Infect. Drug Resist. 2019, 12, 3911–3923. [Google Scholar] [CrossRef]
 







| Compounds | Rt (min) | Chemical Structure | 
|---|---|---|
| A | 4.35 | ![]()  | 
| B | 4.46 | ![]()  | 
| C | 4.57 | ![]()  | 
| D | 4.62 | ![]()  | 
| E | 4.70 | ![]()  | 
| F | 4.51 | ![]()  | 
| G | 4.57 | ![]()  | 
| H | 4.76, 4.86 | ![]()  | 
| Compounds | Binding Site | Hydrogen Bonds | Binding Affinity (kcal/mol) | 
|---|---|---|---|
| GW6471 | LYS310 | 1 | −7.00 | 
| 3,4,8,9,10-pentahydroxydibenzo [b,d]pyran-6-one | THR288 GLU462 LYS310  | 5 | −6.64 | 
| ellagic acid | ILE317 ASN219 GLY335  | 4 | −7.51 | 
| 3′-O-methyl-4-O-(n″-O-galloyl-β-d-xylopyranosyl) ellagic acid (n = 2, 3 or 4) | GLU462 LYS310  | 3 | −8.10 | 
| 3,3′-Di-O-methyl-4-O-(β-d-xylofuranosyl) ellagic acid | GLY296 PHE297 ALA298 ASN299  | 4 | −3.57 | 
| 4-O-(3″,4″-O-digalloyl-α-l-rhamnosyl) ellagic acid | GLU251 ASN261 LYS266 ARG271 ASP453  | 5 | −6.3 | 
| Terflavin B | GLU289 THR288 GLU462 LYS310 LYS292  | 6 | −3.07 | 
| chebulic acid | GLU369 ARG226 SER230  | 4 | −2.06 | 
| galloylglucose | VAL306 LYS310 GLU462  | 3 | −2.83 | 
| Compounds | Binding Site | Hydrogen Bonds | Binding Affinity (kcal/mol) | 
|---|---|---|---|
| 3,4,8,9,10-pentahydroxydibenzo [b,d]pyran-6-one | THR60 TYR128  | 2 | −9.55 | 
| ellagic acid | LYS21 THR121  | 3 | −8.29 | 
| 3′-O-methyl-4-O-(n″-O-galloyl-β-d-xylopyranosyl) ellagic acid (n = 2, 3 or 4) | LYS58 ARG106 TYR128  | 3 | −12.27 | 
| 3,3′-Di-O-methyl-4-O-(β-d-xylofuranosyl) ellagic acid | LYS9 | 1 | −9.37 | 
| 4-O-(3″,4″-O-digalloyl-α-l-rhamnosyl) ellagic acid | LYS9 THR56  | 2 | −10.65 | 
| Terflavin B | PHE27 LYS21  | 2 | −12.46 | 
| chebulic acid | ALA75 | 1 | −10.35 | 
| galloylglucose | ARG106 | 1 | −9.08 | 
| Gene | Primers Sequences | Fragment Length | Accession Number | 
|---|---|---|---|
| PPARα (F) | ACGATGCTGTCCTCCTTGATGAAC | 108 | NM_001113418 | 
| PPARα (R) | GATGTCACAGAACGGCTTCCTCAG | ||
| Cyp8b1 (F) | ACACCAAGGACAAGCAGCAAGAC | 130 | NM_010012.3 | 
| Cyp8b1 (R) | TGGCTCACTTCCACCCACTCC | ||
| Ehhadh(F) | CGTCTCCTCGGTTGGTGTTCTTG | 110 | NM_023737.3 | 
| Ehhadh (R) | GCTGCTTTGGGTCTGACTCTACAG | ||
| Acaa1b (F) | CAAGGCAGGTTGTCACGCTACTC | 105 | NM_146230.3 | 
| Acaa1b (R) | AGACCGCAGCAGCTCCCATC | ||
| Hsd3b2 (F) | GTGTCATTCCCAGGCAGACCATC | 88 | NM_001359741.1 | 
| Hsd3b2 (R) | GCTGGCACACTGGCTTGGATAC | ||
| Cyp4a10 (F) | TCTGTGCTCGGTCTGCTCCTG | 97 | NM_010011.3 | 
| Cyp4a10 (R) | GAGGTGATGGGAACTGCTGGAAAG | ||
| Acot1 (F) | GCTGGCTGGGAAGGGCTTTG | 117 | NM_012006.2 | 
| Acot1 (R) | CGCAGGTAGTTCACGGCTTCTTC | ||
| Adh4 (F) | AGGCAAACTTGGAGAGAGTGTGTC | 84 | NM_011996.2 | 
| Adh4 (R) | GGGTGACCTTGGCAGTATTGATGG | ||
| Cyp4a14 (F) | AGCTACCAAGGCAGTGTTCAGTTG | 95 | NM_007822.2 | 
| Cyp4a14 (R) | TTCCGCAGGCGAAAGAAAGTCAG | ||
| Ugt1a5 (F) | GACTCGGGCATTCATCACACACTC | 81 | NM_201643.2 | 
| Ugt1a5 (R) | GGCATCATCACCATCGGAACTCC | ||
| Hsd3b5 (F) | GGCATCATCACCATCGGAACTCC | 124 | NM_008295.2 | 
| Hsd3b5 (R) | TGAATGTTGGCACACTGGCTTCC | ||
| Scd1 (F) | AGCCTGTTCGTTAGCACCTTCTTG | 143 | NM_009127.4 | 
| Scd1 (R) | GCACCCAGGGAAACCAGGATATTC | ||
| Fads1 (F) | TCCTGGTCTACCTGCTTCACATCC | 133 | NM_146094.2 | 
| Fads1 (R) | CAACCTGCCTGAGCCTGAACTG | ||
| Cyp17a1 (F) | GTCACGGTGGGAGACATCTTTGG | 149 | NM_007809.3 | 
| Cyp17a1 (R) | GACGGTGTTCGACTGAAGCCTAC | ||
| Dbi (F) (R) | CAAAGCCGCTGAGGAGGTGAAG | 96 | NM_001037999.2 | 
| Dbi (R) | TCGCCCACAGTAGCTTGTTTGAAG | ||
| Fabp2 (F) | GCTGATTGCTGTCCGAGAGGTTTC | 82 | NM_007980.3 | 
| Fabp2 (R) | AAAGAATCGCTTGGCCTCAACTCC | 
Disclaimer/Publisher’s Note: The statements, opinions and data contained in all publications are solely those of the individual author(s) and contributor(s) and not of MDPI and/or the editor(s). MDPI and/or the editor(s) disclaim responsibility for any injury to people or property resulting from any ideas, methods, instructions or products referred to in the content.  | 
© 2023 by the authors. Licensee MDPI, Basel, Switzerland. This article is an open access article distributed under the terms and conditions of the Creative Commons Attribution (CC BY) license (https://creativecommons.org/licenses/by/4.0/).
Share and Cite
Ai, L.; Yang, F.; Hu, W.; Guo, L.; Liu, W.; Xue, X.; Li, L.; Sheng, Z. Hepatotoxic Components Effect of Chebulae Fructus and Associated Molecular Mechanism by Integrated Transcriptome and Molecular Docking. Molecules 2023, 28, 3427. https://doi.org/10.3390/molecules28083427
Ai L, Yang F, Hu W, Guo L, Liu W, Xue X, Li L, Sheng Z. Hepatotoxic Components Effect of Chebulae Fructus and Associated Molecular Mechanism by Integrated Transcriptome and Molecular Docking. Molecules. 2023; 28(8):3427. https://doi.org/10.3390/molecules28083427
Chicago/Turabian StyleAi, Liwen, Fan Yang, Wanjun Hu, Liyang Guo, Weixue Liu, Xuexue Xue, Lulu Li, and Zunlai Sheng. 2023. "Hepatotoxic Components Effect of Chebulae Fructus and Associated Molecular Mechanism by Integrated Transcriptome and Molecular Docking" Molecules 28, no. 8: 3427. https://doi.org/10.3390/molecules28083427
APA StyleAi, L., Yang, F., Hu, W., Guo, L., Liu, W., Xue, X., Li, L., & Sheng, Z. (2023). Hepatotoxic Components Effect of Chebulae Fructus and Associated Molecular Mechanism by Integrated Transcriptome and Molecular Docking. Molecules, 28(8), 3427. https://doi.org/10.3390/molecules28083427
        
       






