Post-Chromatographic Derivatization Coupled with Mass Spectrometry as a Method of Profiling and Identification of Antioxidants; Ligustrum vulgare Phytocomplex as an Example
Abstract
:1. Introduction
2. Results and Discussion
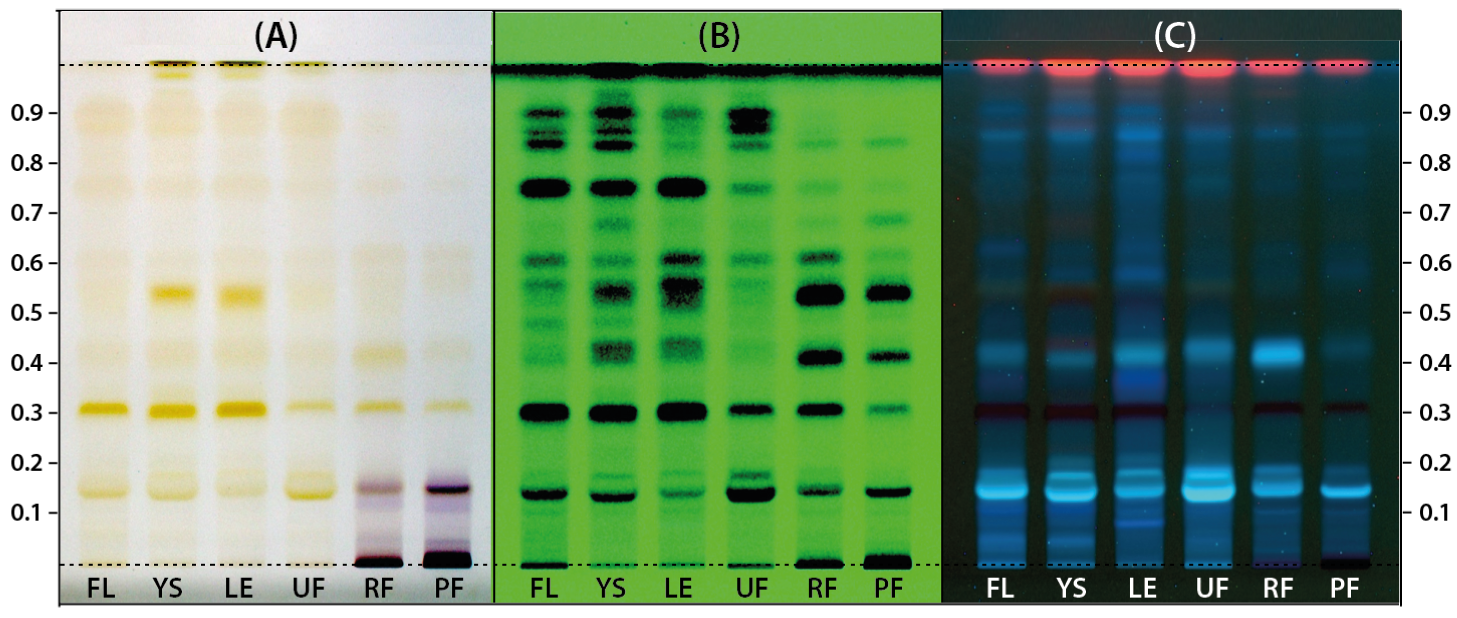
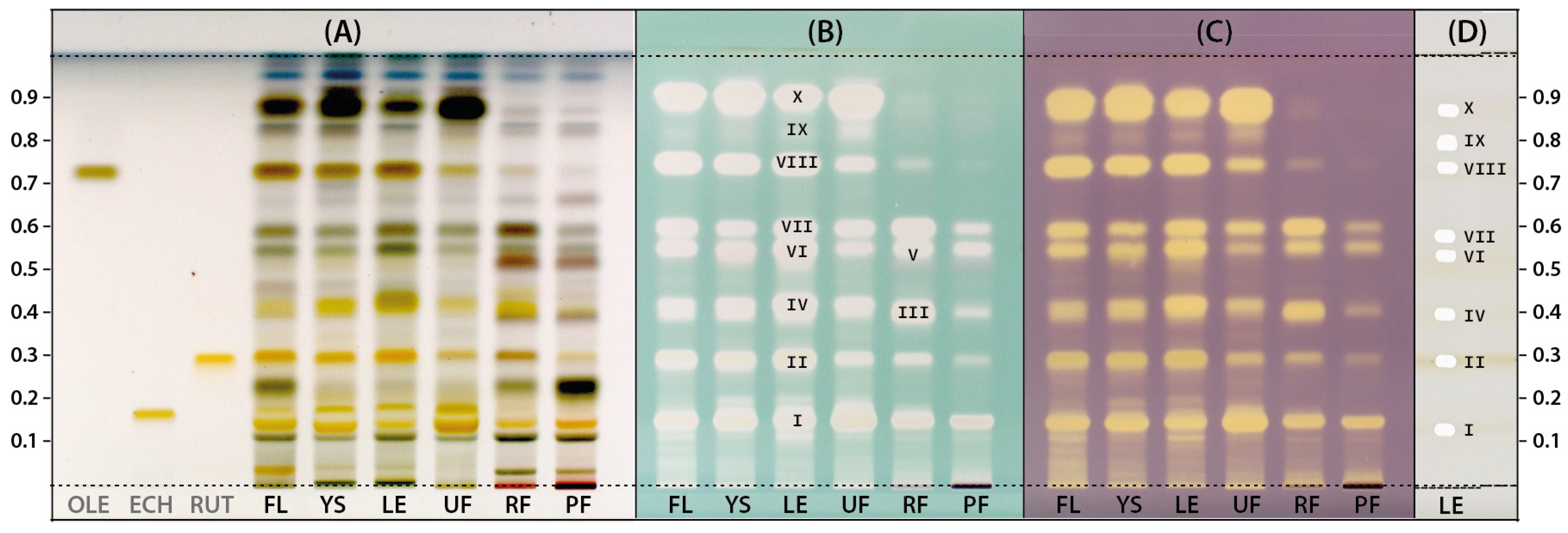
2.1. Antioxidants Separation and Identification by HPTLC-MS
2.2. Separation and Identification of Antioxidants by HPLC-MS
3. Materials and Methods
3.1. Chemicals and Reagents
3.2. Plant Extracts Preparations
3.3. Standards and Reagents Preparation
3.4. Antioxidants Profiling by HPTLC
3.5. Antioxidants Profiling by HPLC
3.6. Identification of Antioxidants
3.6.1. Antioxidants Detected by HPTLC
3.6.2. Antioxidants Detected by HPLC
3.6.3. Q-Orbitrap HRMS Analysis
4. Conclusions
Author Contributions
Funding
Institutional Review Board Statement
Informed Consent Statement
Data Availability Statement
Acknowledgments
Conflicts of Interest
References
- Munteanu, I.G.; Apetrei, C. Analytical methods used in determining antioxidant activity: A review. Int. J. Mol. Sci. 2021, 22, 3380. [Google Scholar] [CrossRef] [PubMed]
- Baranowska, M.; Suliborska, K.; Chrzanowski, W.; Kusznierewicz, B.; Namieśnik, J.; Bartoszek, A. The relationship between standard reduction potentials of catechins and biological activities involved in redox control. Redox Biol. 2018, 17, 355–366. [Google Scholar] [CrossRef] [PubMed]
- Kusznierewicz, B.; Mróz, M.; Koss-Mikołajczyk, I.; Namieśnik, J. Comparative evaluation of different methods for determining phytochemicals and antioxidant activity in products containing betalains—Verification of beetroot samples. Food Chem. 2021, 362, 130132. [Google Scholar] [CrossRef] [PubMed]
- Jakubek, P.; Suliborska, K.; Kuczyńska, M.; Asaduzzaman, M.; Parchem, K.; Koss-Mikołajczyk, I.; Kusznierewicz, B.; Chrzanowski, W.; Namieśnik, J.; Bartoszek, A. The comparison of antioxidant properties and nutrigenomic redox-related activities of vitamin C, C-vitamers, and other common ascorbic acid derivatives. Free Radic. Biol. Med. 2023, 209, 239–251. [Google Scholar] [CrossRef] [PubMed]
- Dapkevicius, A.; van Beek, T.A.; Niederlander, H.A.G.; de Groot, A. On-line detection of antioxidative activity in high-performance liquid chromatography eluates by chemiluminescence. Anal. Chem. 1999, 71, 736–740. [Google Scholar] [CrossRef] [PubMed]
- Koleva, I.I.; Niederlander, H.A.G.; van Beek, T.A. An on-line HPLC method for detection of radical scavenging compounds in complex mixtures. Anal. Chem. 2000, 72, 2323–2328. [Google Scholar] [CrossRef] [PubMed]
- Exarchou, V.; Fiamegos, Y.C.; van Beek, T.A.; Nanos, C.; Vervoort, J. Hyphenated chromatographic techniques for the rapid screening and identification of antioxidants in methanolic extracts of pharmaceutically used plants. J. Chromat. A 2006, 1112, 293–302. [Google Scholar] [CrossRef]
- Bartasiute, A.; Westerink, B.H.C.; Verpoorte, E.; Niederlander, H.A.G. Improving the in vivo predictability of an on-line HPLC stable free radical decoloration assay for antioxidant activity in methanol-buffer medium. Free Radic. Biol. Med. 2007, 42, 413–423. [Google Scholar] [CrossRef]
- Kool, J.; Van Liempd, S.M.; Harmsen, S.; Schenk, T.; Irth, H.; Commandeur, J.N.M.; Vermeulen, N.P.E. An on-line post-column detection system for the detection of reactive-oxygen species-producing compounds and antioxidants in mixtures. Anal. Bioanal. Chem. 2007, 388, 871–879. [Google Scholar] [CrossRef]
- Niederlander, H.A.G.; van Beek, T.A.; Bartasiute, A.; Koleva, I.I. Antioxidant activity assays on-line with liquid chromatography. J. Chrom. A 2008, 1210, 121–134. [Google Scholar] [CrossRef]
- Shi, S.-Y.; Zhou, H.-H.; Zhang, Y.-P.; Jiang, X.-Y.; Chen, X.-Q.; Huang, K.-L. Coupling HPLC to on-line, post-column (bio)chemical assays for high-resolution screening of bioactive compounds from complex mixtures. TrAC Trends Anal. Chem. 2009, 28, 865–877. [Google Scholar] [CrossRef]
- Kusznierewicz, B.; Piasek, A.; Bartoszek, A.; Namiesnik, J. The optimisation of analytical parameters for routine profiling of antioxidants in complex mixtures by HPLC coupled post-column derivatisation. Phytochem Anal. 2011, 22, 392–402. [Google Scholar] [CrossRef] [PubMed]
- Kusznierewicz, B.; Piasek, A.; Bartoszek, A.; Namiesnik, J. Application of a commercially available derivatization instrument and commonly used reagents to HPLC on-line determination of antioxidants. J. Food Compos. Anal. 2011, 24, 1073–1080. [Google Scholar] [CrossRef]
- Takao, T.; Kitatani, F.; Watanabe, N.; Yagi, A.; Sakata, K. A simple screening method for antioxidants and isolation of several antioxidants produced by marine bacteria from fish and shellfish. Biosci. Biotech. Biochem. 1994, 58, 1780–1783. [Google Scholar] [CrossRef]
- Kusznierewicz, B.; Piekarska, A.; Mrugalska, B.; Konieczka, P.; Namieśnik, J.; Bartoszek, A. Phenolic composition and antioxidant properties of polish blue-berried honeysuckle genotypes by HPLC-DAD-MS, HPLC postcolumn derivatization with ABTS or FC, and TLC with DPPH visualization. J. Agric. Food Chem. 2012, 60, 1755–1763. [Google Scholar] [CrossRef] [PubMed]
- Pratt, D.E.; Miller, E.E. A flavonoid antioxidant in Spanish peanuts. Am. J. Oil Chem. Soc. 1984, 61, 1064–1067. [Google Scholar] [CrossRef]
- Beekwilder, J.; Jonker, H.; Meesters, P.; Hall, R.D.; van der Meer, I.M.; Ric de Vos, C.H. Antioxidants in raspberry: On-line analysis links antioxidant activity to a diversity of individual metabolites. J. Agric. Food Chem. 2005, 53, 3313–3320. [Google Scholar] [CrossRef]
- Karaçelik, A.A.; Küçük, M.; Iskefiyeli, Z.; Aydemir, S.; De Smet, S.; Miserez, B.; Sandra, P. Antioxidant components of Viburnum opulus L. determined by on-line HPLC–UV–ABTS radical scavenging and LC–UV–ESI-MS methods. Food Chem. 2015, 175, 106–114. [Google Scholar] [CrossRef]
- Kusznierewicz, B.; Lewandowska, A.; Martysiak-Żurowska, D.; Bartoszek, A. The influence of plant protection by effective microorganisms on the content of bioactive phytochemicals in apples. J. Sci. Food Agric. 2017, 97, 3937–3947. [Google Scholar] [CrossRef]
- Motyka, S.; Kusznierewicz, B.; Ekiert, H.; Korona-Głowniak, I.; Szopa, A. Comparative analysis of metabolic variations, antioxidant profiles and antimicrobial activity of Salvia hispanica (Chia) seed, sprout, leaf, flower, root and herb extracts. Molecules 2023, 28, 2728. [Google Scholar] [CrossRef]
- Mróz, M.; Malinowska-Pańczyk, E.; Bartoszek, A.; Kusznierewicz, B. Comparative study on assisted solvent extraction techniques for the extraction of biologically active compounds from Sideritis raeseri and Sideritis scardica. Molecules 2023, 28, 4207. [Google Scholar] [CrossRef] [PubMed]
- Breaud, C.; Lallemand, L.; Mares, G.; Mabrouki, F.; Bertolotti, M.; Simmler, C.; Greff, S.; Mauduit, M.; Herbette, G.; Garayev, E.; et al. LC-MS based phytochemical profiling towards the identification of antioxidant markers in some endemic Aloe species from Mascarene Islands. Antioxidants 2023, 12, 50. [Google Scholar] [CrossRef] [PubMed]
- Niu, Y.; Yin, L.; Luo, S.; Dong, J.; Wang, H.; Hashi, Y.; Chen, S. Identification of the anti-oxidants in Flos Chrysanthemi by HPLC–DAD–ESI/MSn and HPLC coupled with a post-column derivatisation system. Phytochem. Anal. 2013, 24, 59–68. [Google Scholar] [CrossRef] [PubMed]
- Cui, G.; Niu, Y.; Wang, H.; Dong, J.; Yuki, H.; Chen, S. Rapid isolation and identification of active antioxidant ingredients from Gongju using HPLC-DAD-ESI-MS n and postcolumn derivatization. J. Agric. Food Chem. 2012, 60, 5407–5413. [Google Scholar] [CrossRef] [PubMed]
- Nuengchamnong, N.; Ingkaninan, K. On-line HPLC–MS–DPPH assay for the analysis of phenolic antioxidant compounds in fruit wine: Antidesma thwaitesianum Muell. Food Chem. 2010, 118, 147–152. [Google Scholar] [CrossRef]
- Peres, R.G.; Tonin, F.G.; Tavares, M.F.M.; Rodriguez-Amaya, D.B. HPLC-DAD-ESI/MS identification and quantification of phenolic compounds in Ilex paraguariensis beverages and on-line evaluation of individual antioxidant activity. Molecules 2013, 18, 3859–3871. [Google Scholar] [CrossRef] [PubMed]
- Piasek, A.; Kusznierewicz, B.; Grzybowska, I.; Malinowska-Pańczyk, E.; Piekarska, A.; Azqueta, A.; Collins, A.R.; Namieśnik, J.; Bartoszek, A. The influence of sterilization with EnbioJet® Microwave Flow Pasteurizer on composition and bioactivity of aronia and blueberry honeysuckle. J. Food Compos. Anal. 2011, 24, 880–888. [Google Scholar] [CrossRef]
- Pilipczuk, T.; Kusznierewicz, B.; Zielińska, D.; Bartoszek, A. The influence of roasting and additional processing on the content of bioactive components in special purpose coffees. J. Food Sci. Technol. 2015, 52, 5736–5744. [Google Scholar] [CrossRef]
- Seljåsen, R.; Kusznierewicz, B.; Bartoszek, A.; Mølmann, J.; Vågen, I.M. Effects of post-harvest elicitor treatments with ultrasound, UV- and photosynthetic active radiation on polyphenols, glucosinolates and antioxidant activity in a waste fraction of white cabbage (Brassica oleracea var. capitata). Molecules 2022, 27, 5256. [Google Scholar] [CrossRef]
- Orsini, F.; Vovk, I.; Glavnik, V.; Jug, U.; Corradini, D. HPTLC, HPTLC-MS/MS and HPTLC-DPPH methods for analyses of flavonoids and their antioxidant activity in Cyclanthera pedata leaves, fruits and dietary supplement. J. Liq. Chromatogr. Relat. Technol. 2019, 42, 290–301. [Google Scholar] [CrossRef]
- Meriane, D.; Genta-Jouve, G.; Kaabeche, M.; Michel, S.; Boutefnouchet, S. Rapid identification of antioxidant compounds of Genista saharae Coss. & Dur. by combination of DPPH scavenging assay and HPTLC-MS. Molecules 2014, 19, 4369–4379. [Google Scholar] [CrossRef] [PubMed]
- Bertrams, J.; Kunz, N.; Müller, M.; Kammerer, D.; Stintzing, F.C. Phenolic compounds as marker compounds for botanical origin determination of German propolis samples based on TLC and TLC-MS. J. Appl. Bot. Food Qual. 2013, 86, 143–153. [Google Scholar] [CrossRef]
- Czerwińska, M.E.; Ziarek, M.; Bazylko, A.; Osińska, E.; Kiss, A.K. Quantitative determination of secoiridoids and phenylpropanoids in different extracts of Ligustrum vulgare L. leaves by a validated HPTLC-photodensitometry method. Phytochem. Anal. 2015, 26, 253–260. [Google Scholar] [CrossRef] [PubMed]
- Rocchetti, G.; Senizza, B.; Zengin, G.; Senkardes, I.; Bibi Sadeer, N.; Fawzi Mahomoodally, M.; Lucini, L. Metabolomics-based profiling with chemometric approach to delineate the bio-pharmaceutical properties of fruit extracts from Ligustrum vulgare L. Ind. Crops Prod. 2019, 140, 111635. [Google Scholar] [CrossRef]
- Do, T.K.T.; De Vaumas, R.; Reich, E. Phytochemical profiling of iridoids by High-Performance Thin-Layer Chromatography. J. Planar Chromatogr.-Mod. TLC 2021, 34, 361–366. [Google Scholar] [CrossRef]
- Cieśla, Ł.M.; Waksmundzka-Hajnos, M.; Wojtunik, K.A.; Hajnos, M. Thin-Layer Chromatography coupled with biological detection to screen natural mixtures for potential drug leads. Phytochem. Lett. 2015, 11, 445–454. [Google Scholar] [CrossRef]
- Danciu, V.; Hosu, A.; Cimpoiu, C. Comparative evaluation of antioxidant activity using 1,1-diphenyl-2-picrylhydrazyl and 2,2′-azino-bis(3-ethylbenzothiazoline-6-sulphonic acid) methods. J. Planar Chromatogr.-Mod. TLC 2016, 29, 306–309. [Google Scholar] [CrossRef]
- Soler-Rivas, C.; Espín, J.C.; Wichers, H.J. An easy and fast test to compare total free radical scavenger capacity of foodstuffs. Phytochem. Anal. 2000, 11, 330–338. [Google Scholar] [CrossRef]
- Wu, L.; Georgiev, M.I.; Cao, H.; Nahar, L.; El-Seedi, H.R.; Sarker, S.D.; Xiao, J.; Lu, B. Therapeutic potential of phenylethanoid glycosides: A systematic review. Med. Res. Rev. 2020, 40, 2605–2649. [Google Scholar] [CrossRef]
- Yang, J.H.; Hu, J.P.; Rena, K.; Du, N.S. Structure-activity relationships of phenylethanoid glycosides in plants of Cistanche salsa on antioxidative activity. Zhong Yao Cai 2009, 32, 1067–1069. [Google Scholar]
- Li, H.; Yao, W.; Liu, Q.; Xu, J.; Bao, B.; Shan, M.; Cao, Y.; Cheng, F.; Ding, A.; Zhang, L. Application of UHPLC-ESI-Q-TOF-MS to identify multiple constituents in processed products of the herbal medicine Ligustri Lucidi Fructus. Molecules 2017, 22, 689. [Google Scholar] [CrossRef]
- Hassen, I.; Casabianca, H.; Hosni, K. Biological activities of the natural antioxidant oleuropein: Exceeding the expectation—A mini-review. J. Funct. Foods 2015, 18, 926–940. [Google Scholar] [CrossRef]
- Servili, M.; Sordini, B.; Esposto, S.; Urbani, S.; Veneziani, G.; Di Maio, I.; Selvaggini, R.; Taticchi, A. Biological activities of phenolic compounds of extra virgin olive oil. Antioxidants 2014, 3, 1–23. [Google Scholar] [CrossRef]
- Liu, Q.; Kim, S.H.; Kim, S.B.; Jo, Y.H.; Kim, E.S.; Hwang, B.Y.; Oh, K.; Lee, M.K. Anti-obesity effect of (8-E)-nüzhenide, a secoiridoid from Ligustrum lucidum, in high-fat diet-induced obese mice. Nat. Prod. Commun. 2014, 9, 1399–1401. [Google Scholar] [CrossRef]
- Liao, X.; Hong, Y.; Chen, Z. Identification and quantification of the bioactive components in Osmanthus fragrans roots by HPLC-MS/MS. J. Pharm. Anal. 2021, 11, 299–307. [Google Scholar] [CrossRef]



| No | Rf | λmax | Formula | Theoretical [M-H]− | Experimental [M-H]− | Δm [ppm] | MS/MS | Compound | Class |
|---|---|---|---|---|---|---|---|---|---|
| I | 0.135 | 250, 330 | C35H46O20 | 785.250425 | 785.249756 | 0.90 | 133.028; 785,250; 161.023; 135.044; 132.020; 623.219; 786.253; 71.012; 123.044 | Echinacoside | PE |
| II | 0.289 | 203, 265, 360 | C27H30O16 | 609.145565 | 609.145325 | 0.39 | 609.145; 271.024; 255.029; 243.029; 300.027; 301.035; 227.034; 151.002; 199.039 | Quertecin-O-rutinoside | Flav |
| III | 0.384 | 237, 285, 324 | C29H36O15 | 623.1976 | 623.197693 | −0.15 | 133.028; 623.198; 161.023; 135.043; 624.201; 132.020; 85.028; 461.166; 71.012 | Verbascoside | PE |
| IV | 0.392 | 242, 283 | C14H20O8 | 315.107995 | 315.108429 | −1.38 | 315.108; 135.044; 71.012; 89.022; 119.033; 101.023; 123.043; 316.112; 113.023 | Hydroxytyrosol glucoside | PE |
| V | 0.495 | 239, 280 | C31H42O17 | 685.23438 | 685.234131 | 0.36 | 453.140; 68.997; 59.012; 101.023; 421.151; 71.012; 299.113; 119.049; 523.182 | Nuzhenide | IR |
| VI | 0.531 | 239, 271, 349 | C21H20O11 | 447.09274 | 447.092957 | −0.48 | 447.093; 285.040; 284.032; 133.028; 448.096; 63.022; 107.012; 151.002; 227.034 | Luteolin-O-glucoside | Flav |
| VII | 0.587 | 236, 280 | C25H32O14 | 555.171385 | 555.171631 | −0.44 | 555.171; 93.033; 71.012; 523.145; 85.028; 89.023; 111.007; 135.044; 273.077 | 10-Hydroxyoleuropein | IR |
| VIII | 0.739 | 242, 281 | C25H32O13 | 539.17647 | 539.176514 | −0.08 | 59.012; 275.093; 307.082; 377.124; 95.049; 71.012; 121.028; 68.997; 111.007 | Oleuropein | IR |
| IX | 0.810 | 230, 240, 278 | C14H20O7 | 299.11308 | 299.113708 | −2.10 | - | Salidroside | PE |
| X | 0.887 | 227, 277 | C19H22O9 | 393.11856 | 393.118988 | −1.09 | 111.007; 93.033; 273.077; 111.044; 68.997; 275.056; 139.002; 101.023; 307.082 | 10-Hydroxyoleuropein aglycone | IR |
| No | Rt [min] | λmax | Formula | Theoretical [M-H]− | Experimental [M-H]− | Δm [ppm] | MS/MS | Compound | Class |
|---|---|---|---|---|---|---|---|---|---|
| 1 | 3.3 | 196, 220, 280 | C14H20O8 | 315.10799 | 315.10873 | −2.3 | 123.044; 59.012; 153.055; 89.023; 101.023; 113.023 | Hydroxytyrosol glucoside | PE |
| 2 | 4.2 | 196, 220, 280 | C8H10O3 | 153.05517 | 153.05467 | 3.2 | 123.044; 137.023 | Hydroxytyrosol | PE |
| 3 | 4.6 | 194, 222, 275 | C14H20O7 | 299.11308 | 299.11368 | −1.9 | 59.012; 119.049; 89.023; 101.023; 113.023; 119.035 | Salidroside | PE |
| 4 | 10.2 | 195, 220, 330 | C35H46O20 | 785.25042 | 785.25128 | −1.1 | 785.251; 623.220; 161.023; 162.027; 179.035 | Echinacoside (isomer 1) | PE |
| 5 | 11.9 | 197, 220, 330 | C35H46O20 | 785.25042 | 785.25128 | −1.1 | 785.251; 623.220; 161.023; 162.027 | Echinacoside (isomer 2) | PE |
| 6 | 12.6 | 196, 230, 282 | C31H42O18 | 701.22929 | 701.23016 | −1.2 | 315.109; 469.135; 437.148; 539.177 | Neonuzhenide | IR |
| 7 | 13.2 | 202, 220, 256, 355 | C27H30O16 | 609.14556 | 609.14624 | −1.1 | 301.035; 300.027; 178.998; 151.003 | Quertecin-O-rutinoside | Flav |
| 8 | 13.5 | 196, 232, 283 | C25H32O14 | 555.17138 | 555.17199 | −1.1 | 273.077; 89.023; 137.023; 101.023; 119.034; 181.050; 111.044; 307.082; 275.056 | 10-Hydroxyoleuropein | IR |
| 9 | 13.7 | 198, 222, 286, 335 | C29H36O15 | 623.19760 | 623.19836 | −1.2 | 161.023; 461.166; 135.043; 179.034; 315.108 | Verbascoside | PE |
| 10 | 14.1 | 202, 220, 252, 350 | C21H20O11 | 447.09274 | 447.09354 | −1.8 | 285.040; 284.032; 447.093; 327.051; 297.040; 269.044; 328.051; 133.028 | Luteolin-O-glucoside | Flav |
| 11 | 14.6 | 200, 228, 280 | C31H42O17 | 685.23438 | 685.23511 | −1.1 | 453.140; 421.151; 299.114; 223.061; 523.182; 119.034 | Nuzhenide | IR |
| 12 | 15.2 | 200, 228, 280 | C17H20O7 | 335.11308 | 335.11374 | −1.9 | 107.049; 119.049; 137.059; 121.028; 109.064; 59.012; 69.033; 108.052; 111.044 | Tyrosol derivative (syringic acid) | PE |
| 13 | 15.6 | 196, 230, 335 | C52H68O30 | 1171.37173 | 1171.37183 | −0.1 | 785.252; 1009.328; 1010.339; 623.223; 292.968 | Oleoechinacoside | IR |
| 14 | 16.9 | 200, 225, 282 | C19H22O9 | 393.11856 | 393.11945 | −2.2 | 111.044; 93.033; 111.007; 139.002; 101.023; 127.039; 137.023; 181.050; 137.060 | 10-Hydroxyoleuropein aglycone (isomer 1) | IR |
| 15 | 17.6 | 200, 222, 282 | C19H22O9 | 393.11856 | 393.11951 | −2.4 | 111.007; 111.044; 139.002; 93.033; 127.039; 101.023; 113.023; 137.023; 85.028 | 10-Hydroxyoleuropein aglycone (isomer 2) | IR |
| 16 | 17.7 | 195, 235, 283 | C25H32O13 | 539.17647 | 539.17737 | −1.7 | 89.023; 275.093; 95.049; 307.082; 149.023; 59.012; 101.023; 139.039; 119.034 | Oleuropein | IR |
| 17 | 18.5 | 196, 222, 335 | C46H58O25 | 1009.31890 | 1009.31946 | −0.6 | 847.276; 623.197; 665.215; 161.024; 815.241; 461.169; 252.460 | Oleoacteoside | IR |
| 18 | 19.8 | 200, 225, 280 | C21H28O10 | 439.16042 | 439.16107 | −1.5 | 111.007; 111.044; 137.060; 135.044; 179.034; 139.002; 211.061; 93.033; 275.056 | 10-Hydroxyoleuropein aglycone derivative | IR |
| 19 | 20.7 | 194, 225, 280 | C25H32O12 | 523.18155 | 523.18237 | −1.6 | 291.087; 101.023; 259.097; 127.039; 139.039; 111.007; 89.023; 69.033 | Ligstroside | IR |
Disclaimer/Publisher’s Note: The statements, opinions and data contained in all publications are solely those of the individual author(s) and contributor(s) and not of MDPI and/or the editor(s). MDPI and/or the editor(s) disclaim responsibility for any injury to people or property resulting from any ideas, methods, instructions or products referred to in the content. |
© 2023 by the authors. Licensee MDPI, Basel, Switzerland. This article is an open access article distributed under the terms and conditions of the Creative Commons Attribution (CC BY) license (https://creativecommons.org/licenses/by/4.0/).
Share and Cite
Litewski, S.; Mróz, M.; Bartoszek, A.; Kusznierewicz, B. Post-Chromatographic Derivatization Coupled with Mass Spectrometry as a Method of Profiling and Identification of Antioxidants; Ligustrum vulgare Phytocomplex as an Example. Molecules 2023, 28, 8000. https://doi.org/10.3390/molecules28248000
Litewski S, Mróz M, Bartoszek A, Kusznierewicz B. Post-Chromatographic Derivatization Coupled with Mass Spectrometry as a Method of Profiling and Identification of Antioxidants; Ligustrum vulgare Phytocomplex as an Example. Molecules. 2023; 28(24):8000. https://doi.org/10.3390/molecules28248000
Chicago/Turabian StyleLitewski, Szymon, Marika Mróz, Agnieszka Bartoszek, and Barbara Kusznierewicz. 2023. "Post-Chromatographic Derivatization Coupled with Mass Spectrometry as a Method of Profiling and Identification of Antioxidants; Ligustrum vulgare Phytocomplex as an Example" Molecules 28, no. 24: 8000. https://doi.org/10.3390/molecules28248000
APA StyleLitewski, S., Mróz, M., Bartoszek, A., & Kusznierewicz, B. (2023). Post-Chromatographic Derivatization Coupled with Mass Spectrometry as a Method of Profiling and Identification of Antioxidants; Ligustrum vulgare Phytocomplex as an Example. Molecules, 28(24), 8000. https://doi.org/10.3390/molecules28248000

