Investigating Effects of IR-780 in Animal Models of B16-F10 Melanoma: New Approach in Lung Metastasis
Abstract
:1. Introduction
2. Results
2.1. In Vitro IR-780 Uptake in B16-F10
2.2. In Vitro IR-780 Accumulation in B16-F10
2.3. In Vivo Models
2.3.1. Subcutaneous Melanoma
2.3.2. Pulmonary Metastasis: Intraperitoneal Inoculation
2.3.3. Pulmonary Metastasis: Intravenous Inoculation
2.4. Metastatic Lung Macroscopic Evaluation
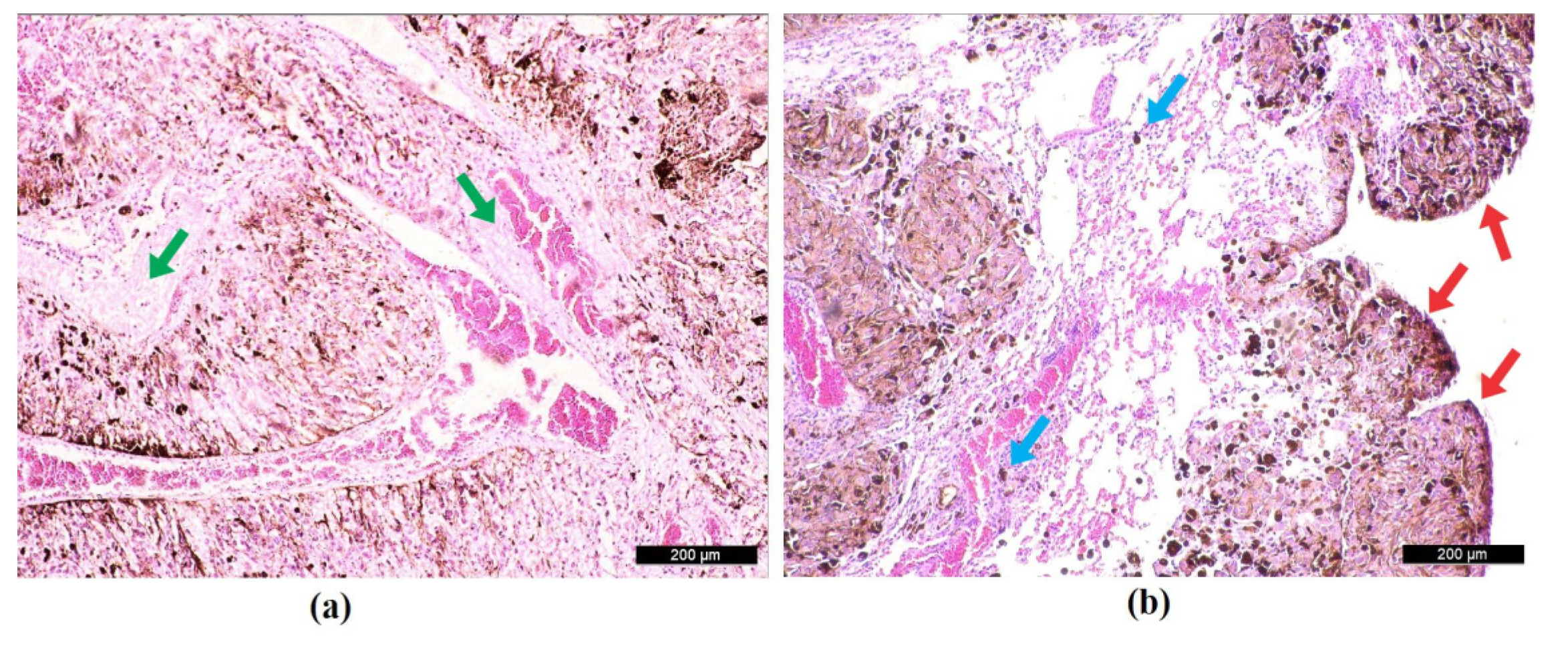
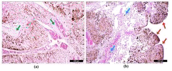
2.5. Microscopic Evaluation
3. Discussion
4. Materials and Methods
4.1. Cell Lines and Culture
4.2. IR-780 Iodide, Sigma-Aldrich
4.3. Fluorescence Analysis
4.4. In Vitro IR-780 Uptake in B16-F10
4.5. In Vitro IR-780 Accumulation in B16-F10
4.6. Experimental Animals
In Vivo Models
4.7. Metastatic Lung Macroscopic Evaluation
4.8. Microscopic Evaluation
5. Conclusions
Author Contributions
Funding
Institutional Review Board Statement
Informed Consent Statement
Data Availability Statement
Acknowledgments
Conflicts of Interest
Sample Availability
References
- Instituto Nacional do Câncer. Câncer De Pele Melanoma. Available online: https://www.gov.br/inca/ptbr/assuntos/cancer/tipos/pelemelanoma#:~:text=O%20c%C3%A2ncer%20de%20pele%20melanoma,de%20manchas%2C%20pintas%20ou%20sinais (accessed on 8 December 2022).
- National Institutes of Health. Cancer Stat Facts: Melanoma of the Skin. Available online: https://seer.cancer.gov/statfacts/html/melan.html (accessed on 8 December 2022).
- Onaciu, A.; Munteanu, R.; Munteanu, V.C.; Gulei, D.; Raduly, L.; Feder, R.I.; Pirlog, R.; Atanasov, A.G.; Korban, S.S.; Irimie, A.; et al. Spontaneous and Induced Animal Models for Cancer Research. Diagnostics 2020, 10, 660. [Google Scholar] [CrossRef] [PubMed]
- Lin, J.; Ma, L.; Zhang, D.; Gao, J.; Jin, Y.; Han, Z.; Lin, D. Tumour biomarkers—Tracing the molecular function and clinical implication. Cell Prolif. 2019, 52, e12589. [Google Scholar] [CrossRef]
- Yang, Z.; Wang, L.; Zhang, J.; Liu, J.; Yu, X. Application of bismuth sulfide based nanomaterials in cancer diagnosis and treatment. Nano Today 2023, 49, 101799. [Google Scholar] [CrossRef]
- Zhou, Q.; Berg, N.S.V.D.; Rosenthal, E.L.; Iv, M.; Zhang, M.; Leonel, J.C.M.V.; Walters, S.; Nishio, N.; Granucci, M.; Raymundo, R.; et al. EGFR-targeted intraoperative fluorescence imaging detects high-grade glioma with panitumumab-IRDye800 in a phase 1 clinical trial. Theranostics 2021, 11, 7130–7143. [Google Scholar] [CrossRef] [PubMed]
- Zhou, Q.; van den Berg, N.S.; Rosenthal, E.L.; Iv, M.; Zhang, M.; Leonel, J.C.; Walters, S.; Nishio, N.; Granucci, M.; Raymundo, R.; et al. Fluorescence Imaging of Breast Tumors and Gastrointestinal Cancer. Recent Results Cancer Res. 2020, 216, 591–624. [Google Scholar] [CrossRef]
- Sharma, S. Tumor markers in clinical practice: General principles and guidelines. Indian J. Med. Paediatr. Oncol. 2009, 30, 1–8. [Google Scholar] [CrossRef]
- Potez, M.; Trappetti, V.; Bouchet, A.; Fernandez-Palomo, C.; Güç, E.; Kilarski, W.W.; Hlushchuk, R.; Laissue, J.; Djonov, V. Characterization of a B16-F10 melanoma model locally implanted into the ear pinnae of C57BL/6 mice. PLoS ONE 2018, 13, e0206693. [Google Scholar] [CrossRef]
- Del Grande, M.P.; Miyake, A.M.; Nagamine, M.K.; Leite, J.V.; da Fonseca, I.I.; de Oliveira Massoco, C.; Dagli, M.L. Methylene blue and photodynamic therapy for melanomas: Inducing different rates of cell death (necrosis and apoptosis) in B16-F10 melanoma cells according to methylene blue concentration and energy dose. Photodiagn. Photodyn. Ther. 2022, 37, 102635. [Google Scholar] [CrossRef]
- Seif, E.J.; de França, L.P.; de Oliveira, F.F.; de Oliveira, R.A.; Chaves, A.L.; Silva, L.A.; Gaiba, S. Antioxidant and cytotoxic activity of Diplotropis incexis rizzini & a. Mattos seed oil in b16-f10 murine melanoma. Braz. J. Dev. 2021, 7, 106838–106856. [Google Scholar] [CrossRef]
- Wysocka, A. Green fluorescent protein as a marker for monitoring activity of stressinducible hsp70 rat gene promoter. Mol. Cell. Biochem. 2000, 215, 153–156. [Google Scholar] [CrossRef]
- Xian, H.; Li, J.; Zhang, Y.; Li, D.; Zhu, Y.; Li, S.; Tan, Z.; Lin, Z.; Li, X.; Pan, Y. Antimetastatic Effects of Ganoderma lucidum Polysaccharide Peptide on B16-F10-luc-G5 Melanoma Mice With Sleep Fragmentation. Front. Pharm. 2021, 12, 650216. [Google Scholar] [CrossRef]
- Huang, B.; Wang, L.; Tang, K.; Chen, S.; Xu, Y.; Liao, H.; Niu, C. IR780 Based Sonotherapeutic Nanoparticles to Combat Multidrug-Resistant Bacterial Infections. Front. Chem. 2022, 10, 840598. [Google Scholar] [CrossRef]
- Ram Prasad, R.P.; Rishikesh Pandey, R.P.; Ajit Varma, A.V.; Ishan Barman, I.B. Multimodal Image-Guided Photothermal Therapy Mediated by 188 Re-Labeled Micelles Containing a Cyanine-Type Photosensitizer. ACS Nano 2011, 5, 5594–5607. [Google Scholar] [CrossRef]
- Zhang, C.; Wang, S.; Xiao, J.; Tan, X.; Zhu, Y.; Su, Y.; Cheng, T.; Shi, C. Sentinel lymph node mapping by a near-infrared fluorescent heptamethine dye. Biomaterials 2010, 31, 1911–1917. [Google Scholar] [CrossRef]
- Zhang, E.; Luo, S.; Tan, X.; Shi, C. Mechanistic study of IR-780 dye as a potential tumor targeting and drug delivery agent. Biomaterials 2014, 35, 771–778. [Google Scholar] [CrossRef]
- Long, L.; Tan, X.; Liu, Z.; Liu, Y.; Cao, X.; Shi, C. Effects of Human Serum Albumin on the Fluorescence Intensity and Tumor Imaging Properties of IR-780 Dye. Photochem. Photobiol. 2022, 98, 935–944. [Google Scholar] [CrossRef]
- Zheng, Y.; Lan, T.; Wei, D.; Zhang, G.; Hou, G.; Yuan, J.; Yan, F.; Wang, F.; Meng, P.; Yang, X.; et al. Coupling the near-infrared fluorescent dye IR-780 with cabazitaxel makes renal cell carcinoma chemotherapy possible. Biomed. Pharm. 2019, 116, 109001. [Google Scholar] [CrossRef]
- Zhang, C.; Liu, T.; Su, Y.; Luo, S.; Zhu, Y.; Tan, X.; Fan, S.; Zhang, L.; Zhou, Y.; Cheng, T.; et al. A near-infrared fluorescent heptamethine indocyanine dye with preferential tumor accumulation for in vivo imaging. Biomaterials 2010, 31, 6612–6617. [Google Scholar] [CrossRef]
- Li, H.; Wang, K.; Yang, X.; Zhou, Y.; Ping, Q.; Oupicky, D.; Sun, M. Dual-function nanostructured lipid carriers to deliver IR780 for breast cancer treatment: Anti-metastatic and photothermal anti-tumor therapy. Acta Biomater. 2017, 53, 399–413. [Google Scholar] [CrossRef]
- Yan, F.; Duan, W.; Li, Y.; Wu, H.; Zhou, Y.; Pan, M.; Liu, H.; Liu, X.; Zheng, H. NIR-Laser-Controlled Drug Release from DOX/IR-780-Loaded Temperature-Sensitive-Liposomes for Chemo-Photothermal Synergistic Tumor Therapy. Theranostics 2016, 6, 2337–2351. [Google Scholar] [CrossRef]
- Cao, H.; Zou, L.; He, B.; Zeng, L.; Huang, Y.; Yu, H.; Zhang, P.; Yin, Q.; Zhang, Z.; Li, Y. Albumin Biomimetic Nanocorona Improves Tumor Targeting and Penetration for Synergistic Therapy of Metastatic Breast Cancer. Adv. Funct. Mater. 2017, 27, 1605679. [Google Scholar] [CrossRef]
- Kuang, Y.; Zhang, K.; Cao, Y.; Chen, X.; Wang, K.; Liu, M.; Pei, R. Hydrophobic IR-780 Dye Encapsulated in cRGDConjugated Solid Lipid Nanoparticles for NIR Imaging-Guided Photothermal Therapy. ACS Appl. Mater. Interfaces 2017, 9, 12217–12226. [Google Scholar] [CrossRef] [PubMed]
- Shih, Y.-H.; Luo, T.-Y.; Chiang, P.-F.; Yao, C.-J.; Lin, W.-J.; Peng, C.-L.; Shieh, M.-J. EGFR-targeted micelles containing near-infrared dye for enhanced photothermal therapy in colorectal cancer. J. Control. Release 2017, 258, 196–207. [Google Scholar] [CrossRef] [PubMed]
- Yang, H.; Cai, W.; Lv, W.; Zhao, P.; Shen, Y.; Zhang, L.; Ma, B.; Yuan, L.; Duan, Y.; Yao, K. A new strategy for accurate targeted diagnosis and treatment of cutaneous malignant melanoma: Dual-mode phase-change lipid nanodroplets as ultrasound contrast agents. Int. J. Nanomed. 2019, 14, 7079–7093. [Google Scholar] [CrossRef]
- Yue, C.; Yang, Y.; Song, J.; Alfranca, G.; Zhang, C.; Zhang, Q.; Yin, T.; Pan, F.; de la Fuente, J.M.; Cui, D. Mitochondria-targeting Near-infrared Light-triggered Thermosensitive Liposomes for Localized Photothermal and Photodynamic Ablation of Tumors Combined with Chemotherapy. Nanoscale 2017, 9, 11103–11118. [Google Scholar] [CrossRef]
- Yang, H.; Zhao, P.; Zhou, Y.; Li, Q.; Cai, W.; Zhao, Z.; Shen, J.; Yao, K.; Duan, Y. Preparation of multifunctional nanobubbles and their application in bimodal imaging and targeted combination therapy of early pancreatic cancer. Sci. Rep. 2021, 11, 6254. [Google Scholar] [CrossRef]
- Wang, J.; Sun, C.; Ji, M.; Wang, B.; Wang, P.; Zhou, G.; Dong, B.; Du, W.; Huang, L.; Wang, H.; et al. Design, synthesis and application of near-infrared fluorescence probe IR-780-Crizotinib in detection of ALK positive tumors. Protein Expr. Purif. 2021, 187, 105952. [Google Scholar] [CrossRef]
- Pais-Silva, C.; de Melo-Diogo, D.; Correia, I.J. IR780-loaded TPGS-TOS micelles for breast cancer photodynamic therapy. Eur. J. Pharm. Biopharm. 2017, 113, 108–117. [Google Scholar] [CrossRef]
- Lu, Y.-J.; Anilkumar, T.S.; Chuang, C.-C.; Chen, J.-P. Liposomal IR-780 as a Highly Stable Nanotheranostic Agent for Improved Photothermal/Photodynamic Therapy of Brain Tumors by Convection-Enhanced Delivery. Cancers 2021, 13, 3690. [Google Scholar] [CrossRef]
- Shen, C.; Yue, X.; Dai, L.; Wang, J.; Li, J.; Fang, Q.; Zhi, Y.; Shi, C.; Li, W. Hyperbaric oxygen enhanced the chemotherapy of mitochondrial targeting molecule IR-780 in bladder cancer. J. Cancer Res. Clin. Oncol. 2022, 149, 683–699. [Google Scholar] [CrossRef]
- Chen, M.; Bhattarai, N.; Cong, M.; Pérez, R.L.; McDonough, K.C.; Warner, I.M. Mitochondria targeting IR780-based nanoGUMBOS for enhanced selective toxicity towards cancer cells. RSC Adv. 2018, 8, 31700–31709. [Google Scholar] [CrossRef]
- Wang, Y.; Liu, T.; Zhang, E.; Luo, S.; Tan, X.; Shi, C. Preferential accumulation of the near infrared heptamethine dye IR-780 in the mitochondria of drug-resistant lung cancer cells. Biomaterial 2014, 35, 4116–4124. [Google Scholar] [CrossRef]
- Bai, L.; Hu, Z.; Han, T.; Wang, Y.; Xu, J.; Jiang, G.; Feng, X.; Sun, B.; Liu, X.; Tian, R.; et al. Super-stable cyanine@albumin fluorophore for enhanced NIR-II bioimaging. Theranostics 2022, 12, 4536–4547. [Google Scholar] [CrossRef]
- Jiang, C.; Cheng, H.; Yuan, A.; Tang, X.; Wu, J.; Hu, Y. Hydrophobic IR780 encapsulated in biodegradable human serum albumin nanoparticles for photothermal and photodynamic therapy. Acta Biomater. 2015, 14, 61–69. [Google Scholar] [CrossRef]
- He, W.; Hu, X.; Jiang, W.; Liu, R.; Zhang, D.; Zhang, J.; Li, Z.; Luan, Y. Rational Design of a New Self-Codelivery System from Redox-Sensitive Camptothecin-Cytarabine Conjugate Assembly for Effectively Synergistic Anticancer Therapy. Adv. Healthc. Mater. 2017, 6, 1700829. [Google Scholar] [CrossRef]
- Ou-Yang, H.; Stamatas, G.; Kollias, N. Spectral Responses of Melanin to Ultraviolet A Irradiation. J. Investig. Dermatol. 2004, 122, 492–496. [Google Scholar] [CrossRef]
- Milanesi, R.; Caregnato, R.C.A. Intra-abdominal pressure: An integrative review. Einstein 2016, 14, 423–430. [Google Scholar] [CrossRef]
- Papavramidis, T.; Marinis, A.; Pliakos, I.; Kesisoglou, I.; Papavramidou, N. Abdominal compartment syndrome—Intraabdominal hypertension: Defining, diagnosing, and managing. J. Emerg. Trauma Shock 2011, 4, 279. [Google Scholar] [CrossRef]
- Riley, P. Melanin. Int. J. Biochem. Cell Biol. 1997, 29, 1235–1239. [Google Scholar] [CrossRef]














Disclaimer/Publisher’s Note: The statements, opinions and data contained in all publications are solely those of the individual author(s) and contributor(s) and not of MDPI and/or the editor(s). MDPI and/or the editor(s) disclaim responsibility for any injury to people or property resulting from any ideas, methods, instructions or products referred to in the content. |
© 2023 by the authors. Licensee MDPI, Basel, Switzerland. This article is an open access article distributed under the terms and conditions of the Creative Commons Attribution (CC BY) license (https://creativecommons.org/licenses/by/4.0/).
Share and Cite
Salomão, E.d.A.; Nascimento, V.A.d.; de Oliveira, C.F.R.; Silva, I.S.; Guimarães, R.d.C.A.; Bogo, D. Investigating Effects of IR-780 in Animal Models of B16-F10 Melanoma: New Approach in Lung Metastasis. Molecules 2023, 28, 6942. https://doi.org/10.3390/molecules28196942
Salomão EdA, Nascimento VAd, de Oliveira CFR, Silva IS, Guimarães RdCA, Bogo D. Investigating Effects of IR-780 in Animal Models of B16-F10 Melanoma: New Approach in Lung Metastasis. Molecules. 2023; 28(19):6942. https://doi.org/10.3390/molecules28196942
Chicago/Turabian StyleSalomão, Evelyn de Andrade, Valter Aragão do Nascimento, Caio Fernando Ramalho de Oliveira, Iandara Schettert Silva, Rita de Cássia Avellaneda Guimarães, and Danielle Bogo. 2023. "Investigating Effects of IR-780 in Animal Models of B16-F10 Melanoma: New Approach in Lung Metastasis" Molecules 28, no. 19: 6942. https://doi.org/10.3390/molecules28196942
APA StyleSalomão, E. d. A., Nascimento, V. A. d., de Oliveira, C. F. R., Silva, I. S., Guimarães, R. d. C. A., & Bogo, D. (2023). Investigating Effects of IR-780 in Animal Models of B16-F10 Melanoma: New Approach in Lung Metastasis. Molecules, 28(19), 6942. https://doi.org/10.3390/molecules28196942

